Артрит представляет собой группу воспалительных заболеваний суставов. Основополагающим признаком его появления является боль в пораженной области, особенно при движениях или в процессе использования своей физической силы. Поражаться могут разные части тела – локти, суставы, коленки, таз, позвоночник и другие. Отклонения, возникающие в процессе развития патологии, приводят к нарушениям в работе сердца, печени, почек. Иногда в качестве осложнения появляется глухота.
Описание заболевания
Первые упоминания о признаках болезни уходят к работам Гиппократа. Лечение артрита в далекие времена было разнообразным, поскольку таким недугом называли любую хворь, связанную с суставами или опорно-двигательным аппаратам. Но уже к 16 веку о болезни было получено достаточно сведений для того, чтобы определить стадии и виды артритов.

После 40 лет хрящи, выполняющие функцию амортизации, изнашиваются и становятся более тонкими. Из-за этого их функция нарушается. Незащищенные суставы сжимаются, истощаются под воздействием трения друг об друга.
Из-за этого страдает целостность тканей. Любые даже малозначительные травмы могут стать причиной развития болезни. Появляются шишки, которые не дают суставам человека выполнять свою деятельность в полную силу.
Вопрос о том, как лечить артрит, зависит от формы болезни. По характеру она делится на две группы:
- Воспалительная. К ней относятся артриты: ревматоидные, инфекционные, реактивные. При развитии болезни воспаление затрагивает синовиальную оболочку, которая выстилает поверхность сочленения.
- Дегеративная. К нему относятся травматические виды, остеоартроз. Возникают на фоне повреждения суставной поверхности хряща.
Воспаление может быть острого, подострого и рецидивирующего течения. Последние два вида приводят к гипертрофии ворсинок. По локализации артриты делятся на изолированные и с распространением на несколько сочленений.
Причины возникновения артрита
По сей день причины, по которым появляется артрит суставов, изучены частично. Одним из предопределяющих факторов является генетика. Появиться болезнь может и из-за поражения лимфатической системы.
В этом случае организм больного не может распознать вирусы и бактерии, не начинает борьбу с ними.
В редких случаях запускается аутоиммунная реакция, когда иммунные клетки начинают уничтожать здоровые клетки соединительной ткани.
К причинам возникновения относятся:
- Осложнения после ОРВИ. Статистика утверждает, что в 40% симптоматика появляется на фоне перенесенного простудного заболевания.
- Стрессы. Эта причина была обоснована в работах ученых Шапира и Джонсона.
- Длительная нагрузка на одну и ту же группу мышц и костей. В группу риска входят спортсмены. При тренировках они испытывают сильные нагрузки, получают травмы скелета.
- Недостаток витаминов и нарушения обмена веществ. Если эти факторы не устранить, болезнь начнет прогрессировать.

У женщин есть еще одна предпосылка, из-за которой возникает недуг – менопауза. В это время происходит мощный гормональный сбой. Он негативно сказывается на функциональности суставов, может привести к их деформации.
Многие годы безуспешно боретесь с БОЛЯМИ в СУСТАВАХ? «Эффективное и доступное средство для восстановления здоровья и подвижности суставов поможет за 30 дней. Это натуральное средство делает то, на что раньше была способна только операция.»
К нестандартным причинам относится и змеиный укус. Яд не выводится из организма, сохраняется в тканях, формируя очаг поражения соединительной ткани.
Симптомы болезни
Признаки артрита появляются постепенно, по нарастающей. К ним относится скованность в суставах при пробуждении, чувство стянутости. Может появиться боль в спине, когда сидишь в одном положении. Со временем меняется температура тела на пораженных участках.
Первым звоночком становится чувство дискомфорта, возникающее в состоянии покоя. Оно не дает нормально спать. Появляется общее недомогание. Сначала оно расценивается как усталость и переутомление. Они нарушают обычный ритм жизни человека.
Типичная клиника дополняется припухлостями в пораженных зонах, болезненностью над суставом. Постепенно происходит изменение дермы. Ограничение подвижности суставов может проявляться как в легкой степени, так и в тяжелой. В крайних случаях конечность может полностью потерять двигательную активность.
По мере нарастания боли она начинает распространяться. Пациенты жалуются, что болит все тело. Это приводит к недосыпу и расстройствам ЦНС. У пациента меняется характер. Он становится раздражительным, ослабленным. У него теряется аппетит, уменьшается вес.
При инфекционном поражении симптомы артрита появляются с самого начала. Во всех остальных случаях происходит их постепенное нарастание. При этом у людей старше 60 лет начальная стадия заболевания протекает без признаков.
Диагностика
Заболевание чаще всего диагностируют с использованием инструментальных методов. На первом этапе проводится клинический осмотр. Потребуется посещение:
- Ревматолога — для исключения ревматоидного и реактивного недуга.
- Травматолога — для исследования артрита, появившегося на фоне травмы.
- Дополнительно может быть назначена консультация дерматолога, инфекциониста и фтизиатра.

Врачи на приеме выявляют внешние изменения в пораженной зоне, болезненность, определяют объем движений и мышечного тонуса. При симптомах у людей с артритом лечение начинается только после рентгенографии.
Используется этот метод неоднократно, поскольку позволяет определить динамику в процессе лечения. Метод дает возможность определить состояние костных структур, полости сустава.
Но исследовать с его помощью мягкие ткани не получится.
Дополнительно проводится УЗИ. Оно эффективно в том случае, если причины артрита скрываются в поражении близлежащих мягких тканей. Метод может применяться для изучения коленного, локтевого, плечевого сустава.
Одним из эффективных методов исследования является КТ. С ее помощью определяются болезни позвоночника. Томография часто сочетается с миелографией. Метод информативен, но связан с лучевой нагрузкой. По этой причине применяется в основном в спорных ситуациях.
К инвазивным техникам относится артроскопия. Обычно применяется в отношении коленки. Дает возможность исследовать поверхность менисков, связки и хрящ. Возможно и взятие биоматериала для бактериологического и морфологического исследования.
Перед тем как определить, чем лечить артрит, берется анализ крови. Его показатели меняются в зависимости от разновидности патологии. Для острых форм характерно ускорение СОЭ. При инфекционном виде наблюдается повышение количества эритроцитов.
При биохимическом анализе:
- нарушение в белках свидетельствует о воспалении;
- мочевая кислота говорит о подагре;
- сиаловые кислоты повышены в острой фазе.

Лечение артрита
После постановки диагноза врач назначает лечение, ориентируясь как на вид артрита, так и на индивидуальные особенности пациента. Могут быть использованы:
- Диетотерапия. Из рациона убираются некоторые продукты, которые оказывают отрицательное воздействие на соединительные ткани.
- Медикаменты. Существует их огромное количество, подбираются в зависимости от причины и симптоматики недуга.
- Физиотерапия. Эффективна как в острой фазе, так и в восстановительном периоде.
- Операция. Назначается в качестве крайней меры.
Диетотерапия
Методы лечения при артрите подбираются по симптомам. Но в любом случае необходимо следить за своим рационом. Акцент следует сделать на еде, которая содержит жирные кислоты. Они помогают уменьшить область воспаления, облегчают течение. Больше всего их содержится в морской рыбе, льняном масле.
Давно забытое средство от боли в суставах! «Cамый эффективный способ лечения суставов и проблем с позвоночником» Читать далее >>>
Следует исключить крепкий чай и кофе. Полностью исключаются соления, приправы, различные пряности. К полезным продуктам относятся:
- Фрукты и овощи оранжевого, желтого цвета.
- Клюква.
- Натуральные соки.
- Гречневая каша.
- Диетическое мясо.

При реактивной форме в меню должны быть тыквы, кабачки, лимоны. Псориатический тип быстрее пройдет при исключении продуктов, содержащих пурины.
Медикаменты
Пациентов часто интересует вопрос, чем лечить заболевание. Но общего лечения нет. Поэтому назначить его может только специалист с учетом формы и стадии недуга. Обычно назначаются противовоспалительные средства. Они могут быть введены как внутримышечно, так и внутрикостно. Таким же способом вводятся гормональные препараты. С их помощью снимается отечность.

При острой форме лечение может проходить в условиях стационара. Назначаются нестероидные препараты. Если они выписываются в форме таблеток, то проводится лечение с целью защиты желудка. Хорошо помогают ингибиторы протонной помпы и гастропротекторы.
Немедикаментозные методы
Эффективно лечение артрита суставов методами мануальной терапии. Она дает возможность восстановить подвижность конечностей, избежать появление застойных явлений. Массаж проводится при отсутствии острой боли, в период ремиссии. Этот метод хороший для предупреждения дублирующих заболеваний.

Народные методы лечения
Многие люди, изучая артрит и методы его лечения, отдают предпочтение народным методам. Врачи же говорят о том, что результатов можно достичь только при комплексном воздействии. Используются следующие рецепты:
Столовая ложка соли растворяется в стакане воды. Смесь заливается в формочки для льда. Полученными кусочками обрабатывают больные суставы. Когда лед растает, сустав укутывают шерстяным шарфом.
Выжимается сок из свеклы, яблока и моркови. В него добавляется имбирный порошок. В день нужно выпивать по стакану такой смеси.
Половина упаковки лаврового листа заливается 300 мл кипятка. Его необходимо прокипятить в течение 5 минут. Через три часа процеживается и выпивается. Курс лечения – 3 дня, потом неделя перерыва.

Хирургическое лечение
Как и любой другой вид воздействия, главная цель операции – сохранить функции части тела, снизить боли. К малым видам вмешательства относится пункция полости сустава. Она может быть лечебной и диагностической. В первом случае используется для удаления гноя или крови из синовиальной полости. Может применяться и для более быстрой доставки лекарств в пораженную зону.
Если изменения происходят активно, то назначаются корригирующие операции. К ним относится пересадка мышц, удаление части кости. Если есть паралич мышц конечностей, то проводится артрориз, подразумевающий создание специального ограничителя-распорки.

Последствия артрита
Пациенты часто спрашивают, чем опасен диагноз при отсутствии качественного лечения. Последствия зависят от причины развития патологии. Например, при длительном лечении противовоспалительными лекарствами может появиться поражение ЖКТ.
Отвечая на вопрос о том, что это за болезнь артрит, мы уже говорили: она затрагивает не только суставы. При отсутствии медикаментозного воздействия могут поражаться другие органы. Когда инфекция распространяется, возможно нарушение целостности капсулы сустава, распространение поражения на связки, мышцы, кожу.
Часто возникает остеопороз, для которого характерным является уменьшение массы и плотности костей. От чего появляется такое осложнение? От длительного вяло прогрессирующего воспалительного процесса.
Прогноз зависит от стадии, когда обнаружена болезнь, своевременности лечения. В идеале могут исчезнуть все симптомы заболевания в течение месяца. При ревматоидной форме отсутствие лечения может привести к ежегодным рецидивам, а также к развитию осложнений. Артрит без лечения негативно сказывается на качестве жизни.
Артрит
Артрит (от лат. arthritis – ломота в суставах) – это общее обозначение всех видов воспалительных процессов в суставах, выступающих в роли самостоятельных нозологических форм или проявлений системной патологии. При прогрессирующем заболевании воспаление распространяется на прилегающие ткани: синовиальную оболочку, бурсу, связки, сухожилия, мышцы и кости.
Поражение суставов при артрите
Причины артрита и факторы риска
Причины развития воспалительных процессов в суставах могут быть самыми разнообразными. Острое воспаление может быть вызвано травмой, инфекцией, аллергической реакцией или попаданием токсичных веществ в суставную полость при укусах змей, пауков и ядовитых насекомых. Хроническая форма часто развивается на фоне различных нарушений в работе внутренних органов и систем:
- эндокринные расстройства;
- заболевания нервной системы;
- аутоиммунные, аллергические и атопические состояния;
- врожденные аномалии строения опорно-двигательного аппарата и родовые травмы – например, дисплазия головки тазобедренного сустава;
- наличие в организме персистирующих инфекционных очагов.
Возникновение реактивного артрита чаще всего связывают с энтеробактериями, хламидиями и микоплазмами. В случае ревматоидного артрита первостепенное значение имеет генетическая предрасположенность.
Среди статистически значимых факторов риска развития артрита ВОЗ называет возраст старше 65 лет, избыточный вес, артериальную гипертензию, заболевания почек и принадлежность к женскому полу: в силу резких изменений гормонального фона в период менопаузы женщины заболевают чаще мужчин.
В России воспаление суставов отмечается примерно у 60% лиц пенсионного возраста на фоне тенденции к увеличению заболеваемости и снижению возраста первой манифестации заболевания.
Диагностика нервно-артритического диатеза в детстве увеличивает вероятность возникновения артрита в зрелом возрасте.
Предрасполагающим фактором артрита является пожилой возраст и наличие хронических заболеваний
Нередко причиной артрита оказывается постоянная микротравма суставных структур при профессиональных занятиях спортом и тяжелом физическом труде, когда имеет место интенсивная нагрузка на одни и те же группы мышц.
С другой стороны, малоподвижный образ жизни также способствует развитию воспалительных процессов в суставах, особенно когда к гиподинамии примешивается злоупотребление алкоголем, несбалансированное питание и нехватка витаминов в рационе.
Формы
В силу многообразия проявлений артрита в клинической практике принято выделять разные формы заболевания, которые отличаются спецификой клинической картины и терапевтических мероприятий. В зависимости от характера протекания различают острый и хронический артрит, а по количеству пораженных суставов дифференцируют три формы заболевания:
- моноартрит – воспаление одного сустава;
- олигоартрит – воспалением затронуто от двух до четырех суставов;
- полиартрит – воспаление пяти и более суставов.
Исходя из превалирующего этиологического фактора, различают первичный артрит с независимым патогенезом и вторичный артрит как следствие фонового заболевания. К первичным формам относят инфекционный, травматический и ревматоидный артрит, ювенильный идиопатический артрит, болезнь Стилла, а также воспаление суставов при остеоартрозе и спондилите.
При полиартрите поражаются пять и более суставов
Вторичный артрит возникает на фоне ряда заболеваний, из которых наиболее известны дизентерия, туберкулез, подагра, сахарный диабет, системная красная волчанка, гонорея, боррелиоз, псориаз, пурпура, гепатит, гранулематоз, гемохроматоз, синдром Рейтера и прочие. Воспаление суставов, развившееся после перенесения носоглоточных, кишечных и мочеполовых инфекций, носит название реактивного артрита.
На ранних стадиях острый инфекционный артрит хорошо поддается лечению вплоть до полного восстановления функций сустава.
Стадии
В динамике патологического процесса при артрите выделяют четыре стадии:
- Клинически заболевание не проявляет себя, однако на рентгеновских снимках суставов присутствуют первые признаки воспаления. Иногда ощущается незначительная скованность движений и периодические боли при физических нагрузках.
- Прогрессирующий воспалительный процесс приводит к истончению тканей суставных структур и эрозии головок костей. В области пораженных суставов появляются припухлости; часто наблюдаются локальное повышение температуры и покраснение кожи, движения сопровождаются хрустом.
- Постепенное разрушение суставных структур приводит к значительной деформации суставов, ограничению подвижности, постоянной боли и частичной потере функций сустава, которые отчасти компенсируются напряжением мышц.
- Патологические изменения суставных тканей принимают необратимый характер; больной сустав полностью обездвижен. При поражении коленных суставов образуются контрактуры, в тазобедренных суставах развивается анкилоз – сращение головок суставных костей вследствие заполнения суставной капсулы заместительной костной или фиброзной тканью.
Стадии ревматоидного артрита
Симптомы артрита
Симптоматика артрита зависит от стадии и формы заболевания. Общие признаки воспаления суставов неспецифичны: на ранних стадиях патологического процесса умеренную боль и скованность в суставах часто относят на счет усталости, переохлаждения и возрастных изменений. При воспалении некоторых суставов могут появиться настораживающие сигналы:
- отеки ступней и повышенная утомляемость при ходьбе при поражении голеностопных суставов;
- «симптом перчаток» при воспалении суставов кисти;
- хромота и боли, отдающие в колено, при артрите тазобедренного сустава;
- затрудненный подъем и отведение конечности при поражении плеча.
На ранних стадиях артрит проявляется умеренными болями и скованностью в суставах
Большинство пациентов обращается к врачу на II стадии заболевания.
Постоянный дискомфорт в области суставов, появление чувствительных припухлостей, вызванных избыточной продукцией синовиальной жидкости, характерный хруст, эритема и отечность проблемных участков – явные признаки воспаления. Вынужденное положение тела и конечностей могут указывать на сильные мышечные спазмы на фоне потери подвижности суставов.
Специфические симптомы присущи лишь некоторым формам заболевания. Для реактивного артрита характерно несимметричное воспаление суставов конечностей на фоне лихорадки, головной боли и конъюнктивита.
В некоторых случаях добавляются признаки инфекции мочеполовых путей.
Вальгусные деформации больших пальцев рук и ног дают основание заподозрить подагрический артрит, а в случае псориатического артрита сильно деформируются и утолщаются суставы кисти.
При ревматоидном артрите суставы поражаются симметрично, а в местах сгибов образуются плотные узелки. В период ремиссии дискомфорт ощущается преимущественно по утрам и практически исчезает ко второй половине дня. Обострения сопровождаются лихорадочным состоянием, онемением конечностей, болью при вдохе, воспалением лимфоузлов и слюнных желез, светобоязнью и резью в глазах.
Ревматоидная стопа
Особенности протекания артрита у детей
Существуют две формы артрита, которые диагностируются исключительно в детском возрасте – ювенильный идиопатический артрит и ювенильный ревматоидный артрит, или болезнь Стилла. Для обоих заболеваний характерно персистирующее течение и слабый ответ на терапию, при болезни Стилла кроме суставов часто поражаются внутренние органы.
Диагностика нервно-артритического диатеза в детстве увеличивает вероятность возникновения артрита в зрелом возрасте.
Также детям свойственно более острое течение инфекционного артрита по сравнению с взрослыми пациентами. Болезненность и выраженные деформации суставов сопровождаются высокой температурой и выраженной интоксикацией организма – сильной головной и мышечной болью, спутанностью сознания, тошнотой и рвотой.
- 12 распространенных заболеваний стоп
- 8 продуктов, сохраняющих здоровье суставов
- 7 методик щадящей физической нагрузки
Диагностика артрита
Хотя признаки воспаления суставов хорошо заметны даже неспециалисту, точно определить форму и стадию артрита, равно как и выработать правильную стратегию терапии, основываясь исключительно на данных анамнеза и физикального осмотра, не представляется возможным.
При постановке предварительного диагноза врач обращает внимание на размер, форму и чувствительность и подвижность суставов, цвет и температуру кожных покровов, тонус мышц; проводит функциональные пробы. Следующим этапом диагностического поиска должны стать инструментальные методики, визуализирующие характерные признаки артрита:
- утолщение и уплотнение прилегающих мягких тканей;
- кальцификаты;
- тендиниты и тендосиновиты;
- околосуставной остеопороз;
- кистовидные просветления костной ткани;
- шероховатости суставных поверхностей;
- костные эрозии;
- сужение суставной щели;
- остеофиты и т. д.
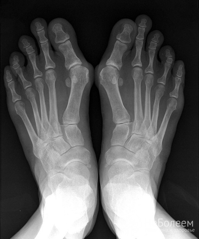
Прохождение МРТ гарантирует максимальную точность диагностики суставных патологий за счет качественной визуализации твердых и мягких тканей. Рентгенография и КТ сустава в прямой, боковой и косой проекции позволяют выявить изменения со стороны костного аппарата.
Для оценки состояния хряща, сухожилий, связок, мышц и нервов дополнительно назначают УЗИ крупных суставов. При повреждении коленного сустава может потребоваться артроскопия с отбором синовиальной жидкости и биоптата.
В целях отслеживания динамики процесса в отсутствие обострений может быть целесообразна контрастная артрография.
Для диагностики артрита делают рентген, МРТ или КТ
Лабораторная диагностика артрита предусматривает проведение общего, биохимического и иммунологического анализа крови. Высокая скорость оседания эритроцитов и повышенная концентрация фибриногена подтверждает наличие воспалительного процесса; увеличенное количество лейкоцитов – бактериальную инфекцию.
При эозинофилии высока вероятность аллергической реакции. Обнаружение в сыворотке крови ревматоидного фактора наряду с превышением допустимого уровня антител и циркулирующих иммунных комплексов четко указывает на ревматоидный артрит.
При подагрическом артрите повышаются показатели сиаловой и мочевой кислоты.
В России воспаление суставов отмечается примерно у 60% лиц пенсионного возраста на фоне тенденции к увеличению заболеваемости и снижению возраста первой манифестации заболевания.
Лечение артрита
Выбор терапевтической стратегии зависит от формы, этиологии и стадии заболевания, локализации воспаления, а также возраста, состояния здоровья и конституциональных особенностей пациента.
Для купирования воспалительного процесса и болевого синдрома подбирают комплекс нестероидных противовоспалительных средств, миорелаксантов и обезболивающих препаратов в сочетании с физиотерапевтическими процедурами.
Хороший эффект дают электрофорез и ультрафонофорез, Хилт-терапия, амплипульс-терапия, магнитотерапия и СМТ-терапия (лечение синусоидальными модулированными токами).
В лечении артрита эффективны физиотерапевтические методы
Кортикостероиды в ревматологической практике применяют с большой осторожностью, ограничиваясь инъекциями в пораженный сустав при отсутствии реакции на щадящие методы лечения.
В случае наличия инфекционного артрита назначаются курсы антибиотиков или противовирусных препаратов, а при ревматоидном артрите – иммуносупрессоры и иммуномодуляторы.
При возникновении гнойных осложнений ежедневно проводится артроцентез.
Лечебная диета при артрите предполагает отказ от высококалорийных продуктов, красного мяса и мясных субпродуктов, зернобобовых, соли, специй и спиртного.
При ревматоидном артрите следует также отказаться от помидоров, картофеля, баклажанов и других овощных культур семейства пасленовых, содержащих соланин.
В рационе больного должны присутствовать продукты, богатые клетчаткой и витаминами, а также источники легкоусвояемого белка – мясо птицы и кисломолочные продукты.
Для закрепления терапевтического эффекта рекомендуется массаж, занятия в группе ЛФК и курс бальнеотерапии в профильном санатории. Обращаться к народным средствам и нетрадиционным методикам допустимо только после консультации с лечащим врачом.
Осложнения и возможные последствия
Ранние осложнения в виде панартритов, флегмон и других гнойных процессов развиваются главным образом при инфекционном артрите.
К поздним осложнениям относят контрактуры, патологические вывихи, остеомиелит, остеолиз, некроз костных тканей и генерализованный сепсис.
В отсутствие адекватного лечения прогрессирующий хронический артрит может привести к инвалидности: больной утрачивает способность к самообслуживанию и свободному передвижению.
Прогноз
На ранних стадиях острый инфекционный артрит хорошо поддается лечению вплоть до полного восстановления функций сустава. Если развитие воспалительного процесса связано с эндогенными факторами, добиться выздоровления сложнее, однако возможно замедлить темпы прогрессирования заболевания, предотвратить развитие осложнений и избежать инвалидизации.
Профилактика
Профилактика артритов не представляет особой сложности. Достаточно вести умеренно активный образ жизни, отказаться от вредных привычек, придерживаться сбалансированного рациона и контролировать вес.
При инфекционных заболеваниях и травмах суставов следует обращаться к врачу, не уповая на домашние средства.
Для предотвращения обострений хронического артрита важно соблюдать диету, избегать переохлаждений, не поднимать тяжелые грузы и проходить санаторно-курортное лечение по профилю как минимум раз в два года.
Видео с YouTube по теме статьи:
Артрит суставов: симптомы, лечение, причины и степени
Виды
Единой классификации воспалительных суставных болезней нет, они различаются в зависимости от этиологии, локализации или характера процесса.
По локализации
Различают следующие виды артритов:
- Моноартрит — воспаление одного сустава.
- Полиартрит — заболевание охватывает несколько сочленений.
По характеру болезни
Классификация артритов подразумевает разделение заболевания на острую и хроническую формы.
Для острой формы характерно лихорадка, проявления интоксикация, суставные боли. Если человек болеет более трех месяцев, патология переходит в хроническую форму. При этом суставы деформируются, движения в них ограничиваются из-за постоянных болей.
По причине происхождения
Артрит суставов может быть вызван внешними или внутренними причинами.
Внутренние факторы провоцируют развитие следующих разновидностей артрита:
- ревматоидный;
- псориатический;
- подагрический.
Внешние причины могут привести к развитию таких видов патологии:
- инфекционный;
- реактивный;
- ревматический.
Причины
Причины артрита могут быть разными.
Инфекция
Инфекционный артрит вызывают стафилококки, стрептококки, гонококки, кишечная и анаэробная микрофлора.
Часто патология развивается на фоне следующих заболеваний:
- бруцеллез;
- туберкулезный остеомиелит;
- грибковые поражения костей с формированием гнойников и свищей.
Ревматическая форма также связана со стрептококковой инфекцией.

Аутоиммунная патология
Причины ревматоидного артрита до конца не установлены. Это хроническое суставное заболевание связывают с генетическим дефектом иммунной системы человека.
При воздействии провоцирующих факторов развивается аутоиммунная реакция, при которой происходит выработка антител на собственные ткани организма.
Предположительно к этой группе относится псориатический артрит, возникновение которого связано со сбоями в иммунной защите.
Травма
Воспалительный процесс развивается после перенесенной травмы. Это также характерно для профессиональных спортсменов и людей, занимающихся тяжелым физическим трудом.
Аллергия
Инфекционно-аллергический, или реактивный артрит часто провоцирует аллергия. Воспаление суставов возникает как аллергическая реакция на внесуставное инфекционное поражение.
Чаще является результатом урогенитальной, кишечной инфекции, активной стадии ревматизма. При бактериологическом анализе синовиальной жидкости возбудитель не выделяется.
Метаболические расстройства
Причинами артрита могут быть нарушения обмена веществ. Так, подагра — заболевание, обусловленное патологией пуринового обмена и повышением содержания мочевой кислоты в крови. Ураты при этом откладываются в суставах, вызывая их поражение.
Способствуют развитию заболевания ожирение, вредные привычки, малоподвижный образ жизни, авитаминозы, переохлаждения, генетическая предрасположенность.
Симптомы артрита
Воспалительные изменения в суставах проявляются одинаково, но различные по этиологии формы имеют некоторые особенности.
Основные, общие для всех форм
Существуют симптомы артрита, характерные для всех разновидностей этой патологии:
- боль при движениях, усиливающаяся при физических нагрузках и в конце дня на фоне утомления;
- уменьшение объема движений в суставе;
- покраснение кожи и повышение местной температуры в области сочленения;
- отечность периартикулярных тканей;
- хруст при движениях;
- ночные миалгии;
- нарушение общего состояния (лихорадка, слабость, снижение аппетита).
В зависимости от причины заболевания
Признаки артрита могут иметь специфические отличия.
При инфекционном бактериальном артрите обычно поражается коленный сустав, иногда наблюдается патология тазобедренных суставов. Болезнь протекает бурно, сопровождается проявлениями общей интоксикации. Внесуставные проявления: увеличение селезенки, лимфатических узлов, поражение других органов.

При инфекционном (специфическом) артрите со стороны суставов наблюдаются следующие изменения:
- мигрирующий полиартрит при грибковой и урогенитальной инфекции;
- кожа над суставом холодная, покрасневшая, отечная;
- остеомиелит;
- атрофия околосуставных мышц;
- сгибательные контрактуры;
- деформация суставов.
При псориазе развивается асимметричный полиартрит кистей без утренней скованности и выраженных болей. Характерны сопутствующие поражения кожи, ахилловых сухожилий, ногтей и глаз.
Артрит реактивный возникает через 10—20 суток после урогенитальной инфекции или острого кишечного заболевания.
Признаки:
- асимметричное поражение суставов ног, в том числе плюснефалангового сустава первого пальца;
- боли в разных отделах позвоночника;
- вовлечение в процесс крестцово-подвздошных областей;
- сопутствующие поражения органов зрения, кожных покровов и слизистых.
При ревматоидном артрите воспаление суставов симметричное, в большинстве случаев начинается с сочленений кистей и стоп. Позже возникают разрастания синовиальной оболочки и остеофиты, что ведет к деформации суставов.
Возможны изменения коленного сустава и подвывихи в шейном отделе позвоночника, развитие хронического отека кистей.
Характерна утренняя скованность, с которой на начальных этапах болезни пациент справляется с помощью легкого массажа и физических упражнений.
Сопутствующие признаки: поражение сухожильно-связочного аппарата, мышц. Системные проявления: подкожные ревматоидные узелки в области наиболее травмируемых суставов, поражения сердца, глаз, почек, легких.
Подагра — воспаление суставов может протекать в острой или хронической форме. Для острого подагрического артрита характерно асимметричное поражение первого плюснефалангового сустава с выраженным болевым синдромом.
Атака возникает внезапно ночью, сопровождается быстрым нарастанием местных изменений — отека, эритемы, температуры, которые достигают максимума в течение суток.
Если пациент не получает лечения, повторные приступы учащаются, сопровождаются нарушением общего состояния. Хроническая форма болезни напоминает ревматоидный артрит.
Для травматического артрита характерны боли, отечность в области сустава, хруст при движениях.
Степени
Стадии артрита определяются степенью запущенности болезни, выраженностью клинических проявлений и результатами рентгенологического обследования.
Артрит 1 степени характеризуется следующими признаками:
- отечность в области сустава;
- быстрая утомляемость при ходьбе;
- ночные суставные боли (при псориазе).
Ревматоидный артрит 1 степени отличается появлением утренней скованности, особенно в суставах кистей рук. На рентгеновском снимке артрит первой степени характеризуется наличием воспалительных изменений.
Артрит 2 степени можно заподозрить по местным изменениям. В области суставов появляется отек, кожа краснеет и становится горячей на ощупь. При второй стадии болезни движения вызывают боль и сопровождаются хрустом.
Инвалидность при ревматоидном артрите 2 степени может быть обусловлена выраженной утренней скованностью, суставными болями, ограничениями при движениях, что затрудняет самообслуживание и снижает работоспособность. На рентгеновских снимках видны разрушения хряща и эрозии костей.

Артрит 3 степени характеризуется постоянным болевым синдромом и ограничением подвижности суставов. При третьей стадии артритов на рентгене видны разрушения суставных элементов и выраженная деформация сочленений.
Какой врач занимается лечением артрита?
Кто лечит артрит? При появлении любых дискомфортных явлений со стороны суставов человек должен обратиться к участковому терапевту, который назначит все необходимые обследования.
С полученными результатами пациент будет направлен на консультацию к ревматологу, фтизиатру, иммунологу в зависимости от предварительного диагноза.
Диагностика артрита
Диагностирование направлено на установление этиологии суставного поражения, так как от этого зависит адекватность и эффективность терапии. Поэтому необходим тщательный сбор анамнеза, осмотр пациента.
Лабораторные исследования
Для выяснения причины заболевания необходимо сделать ряд анализов:
- Анализ крови — выявляет воспалительные признаки, ревматоидный фактор, высокие показатели C-реактивного белка, мочевой кислоты.
- Бактериологическое и серологическое исследование крови, мочи. Так, ревматическое поражение сопровождается высокими титрами антител к гемолитическому стрептококку типа А.
- Анализ внутрисуставной жидкости.
- Бактериологический анализ кала.
- Проба Манту.
Инструментальные методы
Рентгенография выявляет общие признаки, позволяющие поставить диагноз артрита. Некоторые разновидности заболевания имеют специфические черты на снимках.
На ранних стадиях обнаруживают следующие изменения:
- эрозии хрящей;
- сужение суставной щели;
- воспалительные проявления.
Поздняя стадия:
- явления остеопороза;
- признаки деструкции суставных костей;
- анкилоз.
Кроме того, проводятся следующие обследования: УЗИ, магнитно-резонансная или компьютерная томография, артроскопия, радиоизотопное сканирование.
Комплексное лечение
Чем лечить артрит суставов? Средства, помогающие от артрита, относятся к различным фармакологическим группам. Их эффективное применение зависит от своевременности начала лечения и правильно установленной причины заболевания.
Лечение патологии осуществляется препаратами следующих лекарственных групп:
- нестероидные противовоспалительные средства (Диклофенак, Индометацин, Мелоксикам);
- глюкокортикостероидные гормоны (Триамцинолон, Гидрокортизон, Преднизолон);
- анальгетики;
- хондропротекторы;
- миорелаксанты.
Схемы терапии различных видов артритов могут отличаться дозами и длительностью курса:
- Инфекционный и реактивный артрит лечится с обязательным назначением антибиотиков. После окончания курса терапии нужно сдать повторные анализы на выявление возбудителя.
- Лечится артрит или нет, если он имеет аутоиммунную этиологию? Базисная терапия, включающая иммунодепрессанты и соли золота, является главной при ревматоидной форме. Лечение артрита суставов этими препаратами проводится с учетом состояния здоровья пациента и под врачебным контролем. Осуществляется также гормонотерапия. Лечение с применением гормонов внутрь проводится только по строгим показаниям.
- При псориазе также должно быть сочетание базисной терапии с НПВС и местными средствами. Лечение может проводиться с использованием различных путей введения лекарств.
- Как вылечить туберкулезный артрит? Эффективная помощь возможна только в туберкулезных отделениях с использованием специфических препаратов.
- Как лечить подагрический артрит суставов? Вылечить артрит этой разновидности в острой стадии могут специально подобранные дозы Колхицина, НПВС в высоких дозах, внутрисуставное введение гормонов, внутримышечное использование анальгетиков.

Для всех видов артрита применяется местная терапия:
- введение в околосуставную область растворов анестетиков;
- аппликации Димексида;
- мази и гели, содержащие НПВС и гормоны.
К хирургическому лечению прибегают в запущенных стадиях заболевания и при неэффективности консервативных методов.
Физиотерапия также лечит артрит. Она показана на фоне умеренной и низкой активности процесса. Назначают фонофорез с гидрокортизоном, грязевые аппликации, лечебные ванны. Если нет противопоказаний, применяют массаж.
Диета
Артрит — болезнь, которая во многом зависит от правильного и сбалансированного рациона.
Диетологи считают необходимыми следующие ингредиенты:
- полиненасыщенные жирные кислоты Омега-3 (жирная морская рыба);
- кальций (молочные продукты, творог, твердые сыры);
- магний (крупы, отруби, зелень).
Необходимо ограничение сахара и легко усвояемых углеводов. Должен быть исключен алкоголь, острая и соленая пища. Диетический стол №6 лечит артрит, вызванный подагрой. При этом запрещены жирные сорта мяса, рыбы, субпродукты. Подробнее про диету для суставов →
Физические упражнения
- В острой стадии для уменьшения воспалительных явлений необходим покой.
- При ревматоидном артрите двигательный режим должен быть щадящим с исключением чрезмерных нагрузок на сустав.
- Если нет противопоказаний, то при уменьшении болей начинают сначала пассивные, затем активные движения в суставе.
Условия: отсутствие резких движений, высокого темпа, болей и усталости при занятиях.
Комплекс упражнений подбирается в зависимости от формы заболевания и возраста пациента.
Лечение народными методами
Лечит артрит также народная медицина. Воспаление суставов можно снимать с помощью приема снадобий внутрь или наружно. Если нет аллергии, хорошо помогает прием внутрь отвара лаврового листа, сока картофеля, яблочного уксуса, настойки чеснока.
Местно используют компрессы с цветками лютика, растирания настойками из цветков сирени и одуванчика, прикладывание на ночь листьев лопуха или капусты. Обо всех применяемых рецептах нужно сообщить лечащему врачу, так как они могут быть противопоказаны.
Прогноз
Заболевание является хроническим, медленно прогрессирующим. Поэтому исход некоторых форм считается условно неблагоприятным и может спровоцировать инвалидность.
Своевременное обращение и адекватное лечение способствуют длительной ремиссии и сохранению работоспособности. Раннее начало терапии инфекционного артрита позволяет добиться полного излечения.
Своевременное оказание помощи при псориазе и подагре в большинстве случаев позволяет избежать выраженной деформации и стойкой утраты трудоспособности.
Профилактика
Чтобы не допустить развития заболеваний суставов, необходимо следовать простым правилам:
- контроль веса тела;
- правильное и сбалансированное питание;
- исключение перегрузок, травм и переохлаждений;
- физическая активность, спортивные занятия;
- ношение удобной обуви.

Артрит — болезнь опорно-двигательного аппарата, которая доставляет человеку много проблем.
Патология ограничивает двигательную активность, нарушает трудоспособность, в запущенных случаях пациенты становятся инвалидами. Поэтому так важно при появлении признаков болезни обратиться за помощью к специалистам.