Заболевание, носящее название рак легких, считается одним из наиболее опаснейших. И дело даже не в том, что жизнь пациента может угаснуть в считанные месяцы. А кроме этого, быстро развивающиеся злокачественные клетки переносятся с кровяным потоком к другим органам, тем самым поражая практически весь организм.
Поэтому любому пациенту следует запомнить, что если была диагностирована пневмония и после курсового лечения состояние стабилизировалось, но в течение месяца появились снова те же симптомы заболевания, то необходимо настаивать на проведении дополнительных исследований, А не стараться излечить недуг тем же самым путем, с учетом того, что прописанный антибиотик, оказавший эффект при лечении заболевания может быть повторно использован, только по истечении 3 календарных месяцев.
В противном случае вырабатывается устойчивый иммунитет к данному препарату и в последствии при его использовании можно не получить ни каких результатов.
Основные методы диагностики рака легких на ранних стадиях развития
Для того чтобы выявить злокачественные новообразования в легких на самых ранних стадиях, следует подключить все известные на сегодняшний момент способы выявления данного заболевания. Рассмотрим следующие:
Рентгенографический снимок. Это метод один из самых распространенных при ранней диагностики рака легкого. Хотелось бы отметить, что на снимке можно заметить не четкость, размытость и неоднородность контуров новообразования. Для того чтобы определить данным способом наличие раковой опухоли и поставить правильный диагноз, с момента появления данного заболевания должно пройти около 126 календарных дней.- Магниторезонансная томография. Выявление злокачественной опухоли в тканях легких на ранних стадиях таким способом дает наиболее точную информацию о состоянии плевральной жидкости, состоянии сосудов легочных тканей и степени заражения данным процессом смежных органов.
- Исследование при помощи бронхоскопии. Данное исследование более эффективное, чем обычная рентгенография. Поскольку основывается оно на непосредственном введении специальной гибкой трубки со встроенным объективом в бронх. И таким образом обследуется бронхи при развитии раковой опухоли можно наблюдать сужение и изъявление, стенки его смещаются в сторону и поддаются деформации.
Еще один наиболее достоверный диагностический способ определения развития злокачественной опухоли – это исследование мокроты на цитологию. Важным условием является форма ее сбора, она производится только в моменты глубокого откашливания. В тех случаях, когда мокрота отходит скудно или вообще наличие мучительного кашля является сухим, то ее забор производится во время бронхоскопии. Данным методом обследования можно не только выявить развитие раковой опухоли, но и предсказать ее появление на несколько лет вперед, поскольку материал, предоставляемый на исследование может содержать клетки, которые склонны к мутации.- Ранняя диагностика рака может определиться и по лабораторным исследованиям крови пациента. На развитие онкологического заболевания могут указывать следующие показатели:повышенный уровень белка, обнаружение в крови онкомаркеров – это РАЭ (злокачественные новообразования в органах дыхательных путей), NCE (развитие мелкоклеточного рака).
- Метод пункционной биопсии. Возможность его проведения основывается на близком расположении пораженного участка органа по отношению к грудной клетке. Проведение данной процедуры возможно только при одновременном проведении ультразвукового исследования либо компьютерной томографии. Взятая пункция подлежит детальному исследованию под микроскопом. При раке легких, можно определить не только этап развития поражения, но и его тип.
Торакоцентез. Известен в медицине как плевральная пункция. Пациенту делают прокол и выкачивают жидкость, скопившуюся между плевральной областью и легочной тканью. Данная процедура проводится с целью уменьшения имеющегося болевого синдрома и устранения одышки, но если отдать данный материал на исследование, то с легкостью можно выявить отклонения от нормы при онкологии. К ним следует отнести следующие показатели: завышенные показатели лейкоцитов, присутствие высокого количества патологических клеток, ферментативный уровень LHD приобретает отметки высокий и очень высокий.
Также, рак легкого определяется с помощью дифференциальной диагностики (ДИФ). Выявление центрального рака легкого происходит по следующим показателям:
- на рентгенографическом снимке заметен неоднородный плотный сегмент,
- в случаях полного закупоривания бронха на снимке виден ателектаз,
- при ранней диагностике заметно сужение бронхов по объему.
- появление затененных участков, видимых на рентгеновском снимке, в виде овальной формы с выявленными неровными краями,
- если имеется явное поражение лимфоузлов, то на снимке будет прослеживаться дорожка, отходящая от зоны поражения к основанию легкого.
Еще одним действенным способом диагностики является обследование на рак легких при помощи ПЭТ (позитронно-эмиссионной томографии).
Данный вид обследования относится к одному из наиболее точных, то есть уверенность в постановке диагноза лежит в промежутке от 90 до 99%.
Он основывается на использовании камеры специально типа и радиоактивном индикаторе, которые равномерно поступает во время проведения обследования в периферическою вену.
Именно он проходит через весь обследуемый организм и способен к накоплению в очаге поражения.
Только при полном обследовании, сочетая все известные выше перечисленные методики по обнаружению рака, можно его диагностировать на ранних стадиях. Именно это позволяет человеку сохранить его жизнь и полностью избавиться от губительного недуга.
Особенности диагностики на поздних стадиях
В тех случаях, когда развитие заболевания по некоторым причинам не было выявлено на ранних его стадиях, например:
нежелание обратиться к лечащему врачу,- страх прохождения диагностических процедур,
- неправильное трактование клинической картины заболевания, особенно в следствие имеющейся наследственности.
Все эти факторы, к сожалению, возможны при современном темпе жизни человечества. Когда больному человеку регламентируют определенное количество времени, для посещения медицинского специалиста, а им в свою очередь отводят четкие рамки на прием одного пациента, что в среднем составляет не более 15 минут.
Нужно знать, что самые правдивые на сегодняшний момент показания дает лучевая диагностика рака легкого. Именно эта характеристика обследования способна дать все необходимые для лечащего врача показания.
И в связи с полученными данными специалист будет способен назначить оптимальный индивидуальный курс по излечению от недуга.
Кроме того, каждому пациенту следует помнить о том, когда незамедлительно стоит настаивать на обследовании, все дело в том, что диагностировать рак легких на поздних стадиях можно самостоятельно полагаясь на следующие симптомы
наличие частого влажного кашля с отходящей мокротой желто-зеленого цвета,- мокрота часто наделена присутствием кровавых сгустков,
- частая утомляемость организма (даже при незначительных нагрузках),
- постоянное присутствие болевых ощущений в области грудной клетки (особенно в состоянии покоя),
- проявление одышки (даже при незначительной нагрузке на организм).
При всех проявлениях выше указанной симптоматики рак легких диагностируется с легкостью, используя один или два контрольных метода, которые были перечислены ранее.
Так же следует помнить о том, что при любом безосновательном обращении пациента прибегнуть к исследованию под названием лапароскопия специалист в праве ответить отказом.
Поскольку данный приравнивается к микрохирургии и дает показатели равные 99%. Данная диагностика является своего рода операцией, поэтому прежде чем прибегнуть к данному варианту, нужно оценить следующие показатели:
возраст больного,- его реакцию на местный наркоз,
- показатели сердечно-сосудистой системы,
- данные других более безболезненных процедур по определению развития данного заболевания,
- использованная курсотерапия и ее показатели в динамике.
Безусловно, любой легочный онкологический процесс на поздних стадиях развития может диагностировать любой метод выше описанной диагностики. Но для положительного исхода развивающихся событий его следует обнаружить как можно ранее, поэтому, если пациент находится в группе риска, а именно:
- имеет наследственную предрасположенность к заболеванию,
- не отличается пассивностью к табакокурению,
- в следствие должностных обязанностей, пребывает в местах, обозначенных для курильщиков,
- страдает хронической формой бронхитов и пневмоний,
- работает с канцерогенными веществами (характерно для химиков, лаборантов и судебных медицинских экспертов).
Важно помнить, что рак легких – это коварное заболевание, а его диагностика, особенно на ранних этапах очень затруднительна. Поэтому важное значение имеет комплексный подход к диагностике и своевременное обращение на свое здоровье.
Загрузка…
Диагностика рака легких
Объем и результаты лечения онкологического пациента напрямую зависят от стадии, на которой было обнаружено заболевание. Некоторые формы опухолей легкого достаточно быстро проявляют себя характерными признаками и хорошо распознаются в самом начале, другие бедны симптоматикой и сложно диагностируются.
Как выявить рак легких на ранних стадиях, если заболевание практически ничем не дает о себе знать? Прежде всего, нельзя забывать о регулярном флюорографическом обследовании, которое необходимо проходить не реже раза в год. Если результаты флюорографии вызывают подозрение, для уточнения характера проблем назначаются дополнительные исследования.
Профилактическое диагностическое обследование также необходимо регулярно проходить:
- Курильщикам и тем, кто по роду деятельности или вследствие других причин постоянно вдыхает канцерогенные вещества. Контакт ДНК клеток легочного эпителия с канцерогенами приводит к образованию так называемых ДНК-аддуктов (фрагментов, соединенных с молекулами химических веществ, способных вызывать рак). При эпизодическом вдыхании канцерогенов у людей с нормальным иммунитетом такие фрагменты удаляются и восстанавливается нормальная структура ДНК либо в клетках с поврежденными цепочками генов запускается контролируемый процесс самоуничтожения (апоптоз). Если этого не происходит, то вследствие мутации могут возникать геномные изменения, результатом которых становится появление атипичных злокачественных клеток. Люди, входящие в данную группу риска, должны регулярно проходить диагностику на наличие рака легких.

- Людям с отягощенной наследственностью. Согласно проведенным исследованиям, наличие мультифакторного наследственного компонента в 3 раза увеличивает риск развития заболевания.

Обследование при подозрении на рак легкого
Диагностика рака легких проходит по следующей схеме:
- С помощью рентгеновских снимков и/или КТ определяется местоположение первичного очага.
- Проводится дифференциальная диагностика рака легкого: исследуется мокрота на наличие опухолевых клеток (при влажном кашле), выполняется биопсия, определяется уровень специфических онкомаркеров, для уточнения распространенности процесса назначаются дополнительные томографические исследования и сцинтиграфия костей.
Томографические методы

При подтверждении первичного диагноза «рак легких» стадию и другие особенности опухолевого процесса устанавливают с помощью КТ, МРТ, ПЭТ и ПЭТ/КТ и сцинтиграфии костей.
Кт и мрт
кт-исследование позволяет выявить более мелкие узлы в легких и четко определить границы опухоли по сравнению с обычным рентгеном. способ получения трехмерных изображений с помощью мрт в определенных случаях делает данный метод более информативным. при уточнении диагноза компьютерная и магнитно-резонансная томография часто назначаются с контрастированием.
позитронно-эмиссионная томография (пэт)
это инновационный метод диагностики, позволяющий исследовать обмен в тканях различных органов. получаемые разноцветные изображения дают специалистам возможность определить зоны с нормальным и нарушенным обменом веществ. исследование особенно информативно, если опухоль не имеет четких границ.
повысить точность диагностики рака легких как на ранних стадиях, так и при прогрессирующем заболевании, позволяет использование аппаратного комплекса пэт/кт.
с помощью этой установки оба исследования выполняются параллельно, а получаемые снимки обрабатываются специальной компьютерной программой, сопоставляющей их результаты. стоимость диагностики в россии — одна из самых низких в мире.
дешевле всего сделать пэт можно в санк-петербурге — всего за 34 200 руб.
посмотреть все цены на пэт кт
сцинтиграфия
костей назначается для определения метастазов с помощью короткоживущих изотопов, излучение которых регистрируется специальной камерой. метод позволяет исследовать все кости скелета в процессе одного обследования и обнаружить изменения, невидимые на обычном рентгеновском снимке.
какие из методов наиболее информативны в конкретном случае, решает врач.
биопсия — забор участка легочной ткани с опухолью. ткань для биопсии может быть взята различными способами:
- при проведении бронхоскопии — осмотра слизистой бронхов с помощью специального инструмента (бронхоскопа);

- в процессе медиастиноскопии — для анализа берутся фрагменты ткани легких или лимфоузлов через небольшие разрезы в области шеи над грудиной;

- во время пункции, при которой для забора материала используется специальная длинная игла. процедура выполняется под контролем рентгена или кт грудной клетки.

использование онкомаркеров у больных с диагнозом «рак легких»
Несмотря на то, что специфичность и чувствительность тестов на онкомаркеры не позволяют использовать данные результаты исследований в качестве безусловных критериев, в процессе лечения их определение дает онкологу ценную информацию.
В том числе, анализируя степень и скорость снижения уровня определенных маркеров на фоне комплексной терапии, врач оценивает результаты хирургической операции, ответ опухоли на действие химиопрепаратов и ЛТ.
Если вам требуется второе мнение для уточнения диагноза или плана лечения, отправьте нам заявку и документы для консультации, или запишитесь на очную консультацию по телефону.
+7 499 490-24-13
Экспертное мнение

- Научная степень: кандидат медицинских наук
- Специализация: онколог, гематолог, химиотерапевт
- Должность: главврач
Место работы: «Клиника амбулаторной онкологии и гематологии»
Город: Москва
Работал в ведущих онкоцентрах США и Великобритании. Стажировался по медицинскому менеджменту в Канаде, Германии, Сингапуре. Автор ряда публикаций, участвует в научных программах в качестве главного исследователя.
Приглашенный эксперт тематических радио- и теле-эфиров на ТВ-каналах «Дождь», «Мир», «РБК» и др., радио «Свобода», «Эхо Москвы», «Маяк» и др.
Публикует статьи и дает интервью журналистам популярных изданий «АИФ», «Женское здоровье» и др.
Диагностика рака легких
Содержание
Раннее выявление рака легких
Легочная онкология уже многие годы является одним из самых распространенных злокачественных новообразований в мире. Основной (но, к сожалению, не единственный) фактор развития рака легких – курение.
Именно с ним связано подавляющее большинство случаев развития онкологических заболеваний легких, бронхов и трахеи. Курение увеличивает риск развития рака легких более чем на 17% у мужчин и почти на 12% у женщин.
Так же в группу риска входят пассивные курильщики — у них вероятность развития легочной онкологии так же увеличена. Среди некурящих эти показатели составляют менее 2%.
К сожалению, большинство людей, находящихся в группе риска попросту не знают, как выявить это заболевание на ранних стадиях. Именно из-за этого к врачам за помощью обращаются, когда уже симптомы сильно выражены и развитие опухоли зашло далеко. Поэтому очень важно знать опасные симптомы, чтобы вовремя распознать болезнь и начать незамедлительное лечение.
Кто находится в группе риска?
Риск возникновения легочной онкологии зависит от очень многих факторов. Но все же можно выделить основные группы риска:
- Курильщики (и активные, и пассивные);
- Люди, у близких родственников которых, ранее уже было диагностировано это заболевание;
- Люди, взаимодействующие с канцерогенными веществами и радиацией;
- Люди, имеющие хронические заболевания легких и бронхов.
Все же не стоит, обнаружив соответствие по одному или нескольким пунктам, бить тревогу и выставлять себе диагноз. Присутствие этих факторов означает лишь то, что вы попадаете в группу людей с повышенной вероятностью возникновения онкологического заболевания, поэтому в обязательном порядке нужно внимательно относиться к своему здоровью.
Как распознать рак легких на ранней стадии?
На начальных стадиях это заболевание распознать не так просто, потому что его симптоматику многие люди не воспринимают как что-то серьезное, часто путают с другими болезнями или вовсе не обращают внимания. Симптомы зачастую похожи на те, что проявляются при бронхиальной астме, воспалении легких и других.
На сегодняшний день самым эффективным способом определения рака легких является КТ (компьютерная томография). Это дорогостоящая процедура, но она же — самый безопасный и действенный метод.
Но и рентген-скрининг направлен на своевременное выявление некоторых заболеваний дыхательной системы, очень важно проходить ежегодное обследование, особенно нельзя пренебрегать прохождением флюорографии людям, находящимся в группе риска.

На что стоит обратить внимание?
- Кашель. Кашель всегда сопровождает рак легких на ранней стадии. Это основной симптом, присутствующий всегда. На начальной стадии наблюдается сухой редкий кашель, не обусловленный каким-либо провоцирующим фактором. С развитием болезни он переходит в частый и изнуряющий. Сопровождается мокротой желто-зеленого цвета. Также при кашле могут быть кровяные выделения, но чаще всего это уже на более поздних стадиях.
- Боль в грудной клетке. Очень часто этот симптом принимают за проявление межреберной невралгии. Неэффективность обезболивающей и противовоспалительной терапии, а также навязчивый характер болей, говорит об онкологическом процессе.
- Стойкое повышение температуры тела. Повышение температуры, не связанное с простудой или чем-то еще – еще один симптом, на который нужно обратить внимание, так же как и на общее недомогание.
- Снижение жизненного тонуса. Снижение работоспособности, быстрая утомляемость, чувство постоянной усталости и апатия зачастую сопровождают онкозаболевания. Так же возможна мышечная слабость, которую путают с усталостью и переутомлением.
- Трудности с дыханием. На ранней стадии заболевания затрудняется процесс дыхания и к этому симптому очень важно прислушаться. На начальных стадиях человеку приходится прилагать массу усилий, чтобы полноценно дышать. Еще наблюдается одышка и свистящее дыхание.
Если вы находитесь в группе риска, то ежегодная диагностика должна стать полезной привычкой. А при обнаружении симптомов, своевременное обращение за врачебной помощью может сохранить здоровье и жизнь.
Дифференциальная диагностика онкологии органов дыхательной системы
Базой для констатации наличия новообразования в легких является рентгеновский снимок. Увидеть аномальный участок в легком — задача простая, установить старт того же процесса на первых этапах, довольно сложно.
Причина состоит в том, что при первом визите к специалисту пациент описывает симптоматическую картину, присущую многим заболеваниям дыхательной системы. Рентген может четко определить наличие патологического процесса, что и послужит поводом для последующего обследования.
При такой методике акцент делается на размерах опухоли и ее составе.
Главная проблема дифференциальной диагностики — определить характер новообразования, поэтому изучение образцов ткани имеет огромное значение для постановки точного диагноза.
Сложность при диагностике онкологии представляет гнойное воспаление тканей с их расплавлением и образованием гнойной полости. Чтобы точно поставить диагноз, нужно основываться на клинических признаках патологического процесса.
Дифференциальная диагностика онкологии легкого может не выявлять патологию на первых стадиях развития, если есть киста. Дополнительно часто используют ультразвук и томографию.

Рентген
Можно ли с помощью флюорографии определить наличие новообразования? Конечно, патология визуализируется, но просто заметить его недостаточно, необходимо еще распознать.
Флюорографию делают 2 способами:
- Прямой (пациент становится спиной к аппарату).
- Боковой (пациент становится боком к аппарату).
На рентгенографии, человек незначительно облучается.
Рентгеновский снимок помогает установить наличие аномальных зон, но не узнать характер новообразования. Сходно с онкологией на снимке выглядят образование отложений солей кальция в мягких тканях или органах, доброкачественные опухоли.
Компьютерная томография (КТ)
КТ можно делать для многих частей тела. Как диагностировать онкологию легких с помощью КТ? Процедура выявит не только новообразование, но и обширность метастазирования.
По своей сути напоминает рентген: компьютер делает большое количество снимков тела с помощью кольцевидного рентгеновского аппарата. Съемка производится с разных углов.
Главное преимущество КТ перед стандартной рентгенографией — по результатам можно оценить всю обширность поражения тканей раковыми клетками.
Бронхоскопическая диагностика
Внешний осмотр дыхательных путей, при котором оборудованием служит тонкий зонд из оптоволокна. Его вставляют через носовую или ротовую полость, и специалист имеет возможность продвигаться по всей дыхательной системе. Считается основной методикой диагностирования онкологии в легких.
Достоинство методики состоит в том, что с его помощью можно изучить, как выглядит новообразование внутри, провести исследования всех главных дыхательных путей. С помощью бронхоскопии можно провести морфологически подтвердить диагноз, изучить структуру злокачественного новообразования.
Прямые признаки онкологии в легком:
- Бугристость, опухолевидные и папилломатозные разрастания разных размеров и окраса.
- Скопление клеточных элементов с примесью крови и лимфы.
- Гладкие, блестящие, бугристые, шершавые возвышения.
- Сужается просвет бронха эксцентрического или концентрического характера с ригидностью стенок.
Непрямые:
- Шпора бифуркации трахеи визуально сплющена, по форме напоминает сельдь.
- Увеличение плотности стенок бронхов.
- Смещение начал сегментарных бронхов.
- Изменение формы и размеров, разрушение клеток гребня межсегментарной и субсегментарной шпоры.
- Нечеткое изображение хрящевых колец. Кровоточащая, рыхлая, отечная слизистая оболочка с локальным переполнением кровью сосудов.

В качестве оборудования используется особенная разновидность КТ-сканера. СКТ показала себя, как самый эффективный способ констатировать наличие аномальных клеток у курильщиков, или бросивших пагубную привычку.
Метод сверхчувствительный, что является его главным недостатком. Установлено, что у 20% исследуемых спиральная КТ фиксирует новообразования в легких, которые требуют последующего изучения, но в 90 % случаев это не онкология.
На сегодняшний день еще идет оценка результативности метода, и целесообразности его использования.
Магнитно резонансная томография (МРТ)
С помощью МРТ можно точно определить локализацию патологии. Такой способ основывается на магнетизме, что в комплексе с компьютером дает возможность тщательно изучить состояние здоровья пациента. МРТ схожа с КТ, так как пациента помещают на кушетку внутри МРТ-сканера. Одно из главных преимуществ такого способа диагностики — на человек не подвергается облучению.
https://www.youtube.com/watch?v=HD2itkKHGZ4
По итогу исследования специалист получает снимки с высоким разрешением, где детально можно рассмотреть незначительные изменения в структуре органа. МРТ нельзя использовать, если у пациента есть имплант из металла, водитель сердечного ритма, другие элементы не природного происхождения, установленные хирургическим путем.
Позитронно-эмиссионная томография (ПЭТ)
Диагностика с помощью ПЭТ основывается на действии радиоактивных элементов с коротким периодом полураспада, создающих изображение органа.
Если КТ и МРТ дают представление об анатомическом строении органа, ПЭТ оценивает процессы метаболизма и функционирование тканей.
Методика позволяет оценить интенсивность развития и идентифицировать вид раковых клеток внутри конкретного новообразования.
Человек во время процедуры облучается аналогично 2 рентгеновским снимкам, поэтому используется препарат, содержащий радиоактивные элементы с коротким периодом полураспада. Вещество концентрируется, и начинает выделять позитроны. Когда позитроны сталкиваются с электронами, происходит реакция с образованием гамма-излучения.
Аппарат ловит эти излучения, фиксирует локацию, где накапливается препарат. Найти опухоль можно и за счет реакции препарата с глюкозой. Углеводы — главный источник энергии в организме, поэтому растущая опухоль активно их использует.
Если в организме есть место, где большая концентрация глюкозы, можно предположить, что это злокачественное новообразование.
ПЭТ можно использовать в комплексе с КТ, в методике диагностики под общим названием ПЭТ-КТ. Такой способ намного эффективнее в определении стадии развития патологии.
Оценка характеристик морфологической структуры клеточных элементов мокроты
Как диагностируется рак на начальной стадии? Простой метод диагностики — микроскопическое изучение состава мокроты. ЦИ будет эффективным, если новообразование локализуется в центральном отделе, при этом затрагиваются дыхательные пути.
Это самый лояльный по стоимости метод, но его ценность не слишком высока. Даже если патологический процесс есть, аномальные клетки не всегда входят в состав мокроты.
Плюс — нормальные клетки, могут преображаться, если в организме идет воспалительный процесс или повреждена их структура.
Онкологические указатели при раке легких
Онкологические указатели или онкомаркеры – это особые вещества, появляющиеся в процессе развития ракового заболевания. Их существует довольно большое количество, при чем все они разные. Однако, зачастую это либо белок, либо его производные.
Обнаружить подобные указатели можно при проведении анализа крови или мочи больного онкозаболеванием. Согласно теоретическим утверждениям именно онкомаркеры служат ответом на вопрос о наличии онкологических патологий в организме.
Но как показывает практика, такой метод срабатывает далеко не всегда.
Точность результатов полученных от применения указателей напрямую зависит от:
- специфичности;
- чувствительности.
Специфичность указателя плотно связывается с самым раковым заболевание, поэтому он поможет установить присутствие онкологических формирований, а не указать на разновидность.
Касательно чувствительности, то это позволяет найти заболевание и указать на уровень его развития. Если чувствительность маркера находиться на низком уровне, то можно предположить наличие онкологических формирований в организме человека. Само присутствие маркера уже утверждает присутствие заболевания.
Многие раковые формирования дыхательных органов являются гетерогенными по своей гистологии.
Европейская группа по онкомаркерам (EGTM) советует для процедуры диагностирования и контроля использовать указатели онкологического заболевания легких.
Такие маркеры рекомендуются для диагностирования больных, которые получили определенное лечение или перенесли оперативное вмешательство на органах дыхания.
Биопсия легкого
Процедура, во время которой специалист берет образец аномального участка для последующего микроскопического изучения. Биопсия позволит исключить или подтвердить наличие новообразования.
Биопсии предшествуют исследования посредством рентгеновского излучения и КТ. Методика проводится 4 способами.
Делая выбор методики, врач отталкивается от состояния больного и зоны проведения исследования.
Чтобы подготовится к биопсии необходимо:
- Не пить и не есть на протяжении 6-12 часов.
- Не принимать нестероидные противовоспалительные препараты.
Обязательно сообщить специалисту о:
- Беременности.
- Аллергических реакциях.
- Нарушениях свертываемости крови.
- Медикаментах, которые вы принимаете.
Обратите внимание! Перед биопсией проводятся исследования с помощью рентгена или КТ грудной клетки, полный анализ крови.
Биопсия с помощью бронхоскопа проводится во время бронхоскопии или медиастиноскопии. Используется, если есть подозрения на инфекцию или онкологию. Бронхоскоп вводится через ротовую или носовую полость.
Во время процедуры отщипывается образец видоизмененного участка органа. Средняя длительность исследования — от получаса до часа.
По завершению исследования больной может ощущать: боль в горле, легкую хрипоту, сухость в ротовой полости.
Расшифровка анализов биопсии
Типичные показатели образцов ткани легкого:
- легкие и легочные ткани в норме;
- отсутствие микроорганизмов любого вида (бактерий, грибковых инфекций и т.п.);
- не обнаружена симптоматика воспалительных, инфекционных или онкологических поражений.
Атипичными результатами исследования клеток легочной ткани будут:
- присутствие микроорганизмов в тканях;
- наличие раковых клеток, мезотелиом;
- хорошо заметны участки, пораженные пневмонией;
- появление доброкачественных новообразований;
- заболевание легких (фиброз).
Результаты таких процедур вместе с другими методиками диагностики, позволяют врачам, увидеть насколько развилась болезнь. И обнаружить ее еще до того, как начнут проявляться клинические признаки. Проведение таких тестов после курса химиотерапии укажет на увеличение указателей, но это не всегда результат развития болезни.

Современные методы обследования при подозрении на рак легкого
Рак лёгкого – самая распространенная злокачественная опухоль у мужчин, имеющая неблагоприятный прогноз. 5-летняя выживаемость не слишком зависит от уровня медицины: в США она достигает 14%, в Европе и развивающихся странах – 8%.
По состоянию на 2007 год в России от этого заболевания ежедневно умирали 180 человек. Такие чудовищные цифры врачи связывают с поздней выявляемостью.
С одной стороны, ранняя диагностика рака лёгких затруднена: до определенного этапа он протекает бессимптомно: в России у 59,1% впервые заболевших болезнь обнаруживается на снимке при плановой флюорографии. С другой стороны, часто возникают ошибки при постановке диагноза.
От 60 до 90% впервые обратившихся к врачу пациентов, у которых впоследствии была диагностирована онкология, исходно получили лечение по поводу бронхита, пневмонии, туберкулеза, и тому подобного. По данным российских ученых, первоначальный диагноз устанавливается верно лишь в 10,5% случаев.
Лабораторные методы диагностики
Общий анализ крови
При раке лёгких общий анализ крови не имеет специфических изменений и потому используется только в качестве вспомогательного метода при общем клиническом обследовании.
Да, СОЭ при злокачественном новообразовании увеличено, но сама по себе скорость оседания эритроцитов – признак не патогномоничный и может обнаруживаться при множестве других заболеваний, чаще всего воспалительного характера.
Точно так же не имеют специфического значения и многие другие показатели крови: гемоглобин, количество лейкоцитов.
Определение опухолевых маркеров
Анализ крови на наличие онкомаркеров рака легкого — относительно новый и не слишком распространенный метод ранней диагностики, основанный на обнаружении в крови антигенов (специфических белков), характерных для злокачественной опухоли.
Связь опредёленной гистологической формы новообразования лёгкого с наличием в крови онкомаркеров:
- мелкоклеточный рак лёгких – нейронспецифическая энолаза (НСЕ), раково- эмбриональный антиген (РЭА);
- плоскоклеточный — онкомаркер плоскоклеточного рака (SCC),цитокератиновый фрагмент (CYFRA 21-1), РЭА;
- аденокарцинома CYFRA 21-1, СА-125;
- онкомаркеры рака легкого CYFRA 21-1, SCC, или РЭМ могут стать свидетельством крупноклеточной гистологической формы(в том числе крупноклеточный нейроэндокринный рак).
Инструментальные методы
Диагностика рака лёгкого осуществляется комплексно.
Рентгенография органов грудной клетки

Основным, чаще всего применяемым исследованием до сих пор остается рентгенография лёгких в двух проекциях. С одной стороны – рентген безопасен и достаточно эффективен: как уже было сказано, в нашей стране в более чем половине случаев рака лёгких диагностика осуществляется во время изучения плановой флюорограммы. С другой — узловое образование в краевой зоне лёгкого (при периферической форме) рентген может выявить лишь, когда оно достигает диаметра 1 см, в корне лёгкого (центральный рак) рентгенограмма «заметит» не ранее, чем оно достигнет диаметра 2 см. Опухоль вырастает их одной-единственной клетки. Для удвоения объема плоскоклеточного рака требуется 120-140 дней, из чего следует, что от момента зарождения онкопатологии до возможности ее обнаружения проходит не менее 10 месяцев.
Мнение о том, что опухоль на снимке имеет округлую форму не совсем верно. Рак лёгких на ранних стадиях (опухоль диаметром до 2 см.) чаще выглядит как звездчатый рубец с нечеткими размытыми контурами. Только по мере роста картина опухоли приобретает округлую или овальную форму.
Также обращают внимание на рентгенологические проявления стеноза (сужения) бронхов, состояние окружающих органов, тканей, лимфатических узлов. Рак лёгких на флюорограмме ничем не отличается от такового на рентгенограмме.
С учетом статистики, упомянутой выше, ответ на вопросы, может ли флюорография показать рак и тому подобные, очевиден.
Компьютерная томография
Американские руководства рекомендуют в качестве скринигового (используемого для регулярного профилактического осмотра пациентов из групп риска) метода именно КТ.
Технически это обследование действительно позволяет выявить опухоль и обнаружить характерные для злокачественного процесса особенности на доклинических стадиях. Но в нашей стране КТ скрининг признан экономически нецелесообразным.
Как первичный метод диагностики используется редко, применяется уже после того, как на рентгенограмме были обнаружены изменения.
Фибробронхоскопия
Эндоскопическая методика, позволяющая не только исследовать визуально состояние трахеи, бронхов, но и получить материал для цитологического исследования (изучение строения клеток).
Суть ФБС состоит в том, что через носовой ход пациенту вводят фибробронхоскоп и врач-эндоскопист имеет возможность осмотреть стенки воздухопроводящих путей. Во время процедуры выполняется биопсия лёгких, берутся мазки-отпечатки, либо производят соскоб или смыв с поверхности слизистой бронха (бронхоальвеолярный лаваж).
Полученный материал исследуется под микроскопом на онкологию, чтобы уточнить клеточную структуру опухоли для подтверждения диагноза.
Позитронно-эмиссионная томография
Один из самых современных методов, основанный на способности клеток злокачественной опухоли избирательно поглощать определённые вещества.
Перед исследованием в организм пациента вводятся фармпрепараты с коротким периодом полураспада, которые накапливаются исключительно в тканях злокачественной опухоли.
Следующим этапом выполняются снимки в различных проекциях, на которых можно четко локализовать распространение раковых клеток, выявить очаги метастазов, недоступные при других вариантах диагностики.
Ультразвуковое исследование
При описываемой форме заболевания, УЗИ — не используют в качестве самостоятельного метода, но выполнение ультразвукового обследования необходимо для того, чтобы обнаружить метастазы в лимфоузлы над- и подключичной области, брюшной полости.
Тонкоигольная пункция и биопсия
Биопсия лёгких может проводиться либо сквозь ткани грудной клетки под рентгеноскопическим контролем (трансторакальная биопсия) или УЗИ-контролем, либо при эндоскопическом (бронхоскопия) исследовании. Для выявления метастазов пунктируют надключичные и нижние шейные лимфоузлы.
Диагностическая торакотомия или торакоскопия
Используется редко, так как, по сути, это полноценная операция, организованная для того, чтобы подтвердить или опровергнуть диагноз.
Применяется, когда совокупность всех проведенных исследований не позволяет точно выявить доброкачественность или злокачественность процесса.
Тогда во время операции проводится забор ткани для срочного гистологического исследования, если их структура под микроскопом говорит о злокачественном характере опухоли, объем операции расширяется до необходимого.
Определение EGFR мутации
Данный метод является генетическим.
Для исследования берётся часть удалённой опухоли и на уровне ДНК определяются наличие или отсутствие мутаций в гене EGFR (epidermal growth factor receptor) – рецепторе эпидермального фактора роста.
Показанием к проведению данного теста является наличие немелкоклеточного рака лёгкого и планирование лечения таргетными препаратами (Гефитиниб или Эрлотиниб).
Алгоритм обследования
Российские клинические рекомендации для участковых врачей регламентируют следующий порядок действий:
При появлении характерных жалоб и клинических проявлений заболевания:
- рентгенография в прямой и боковой проекции;
- при выявлении патологии на снимке – провести КТ органов грудной клетки;
- при изменениях, подтверждённых компьютерной томографией – отправить в специализированное учреждение для дальнейшей диагностики.

При обнаружении патологических затемнений на профилактической флюорограмме (рентгенограмме):
- направить на КТ,
- обследовать у фтизиатра для исключения туберкулеза.
Дальнейшая тактика зависит от выявленных во время КТ изменений и сопутствующих обстоятельств (относится ли пациент к группе риска, есть ли у него клинические проявления). Пациент определяется к одной из 6 возможных групп:
- Нет факторов риска и нет клинических проявлений.
- Нет факторов риска, но есть неспецифические симптомы, возможно, относящиеся к патологии (проявления общей интоксикации, боли в мышцах, суставах, тромбофлебит).
- Нет факторов риска, но есть специфические симптомы (кашель, одышка, осиплость голоса).
- Есть факторы риска, нет симптомов.
- Есть факторы риска, есть неспецифические симптомы.
- Есть факторы риска и специфические проявления.
Группы 1 и 2 должны обследоваться по следующему алгоритму:
| До 4 мм | Нет |
| 4-6 мм | Через год, при отсутствии динамики – в дальнейшем не требуется |
| 6-8 мм | Через 6-12 мес., при отсутствии динамики – через 18-24 мес. Нет динамики повторно – наблюдение снимается |
| Более 8 мм | КТ через 3,9,24 месяца, биопсия легких |
Группы 3-6 обследуются следующим образом:
| До 4 мм | Через год, при отсутствии динамики – в дальнейшем не требуется |
| 4-6 мм | Через 6-12 мес., при отсутствии динамики – через 18-24 мес. Нет динамики повторно – наблюдение снимается |
| 6-8 мм | Через 3-6, потом 9-12 потом через 24 мес. При отсутствии динамики наблюдение снимается. |
| Более 8 мм | КТ через 3,9,24 месяца, биопсия легких |
Диагностика рака легких: какие методы позволяют выявить опасность своевременно?
Какие методы обследования позволяют поставить точный диагноз своевременно.
Рак легких на сегодняшний день не является редко встречающимся заболеванием. Патология наиболее часто прогрессирует под влиянием длительного табакокурения, когда стаж исчисляется годами либо при агрессивной окружающей обстановке, когда воздух сильно загрязнен.
Знание признаков, которые являются характерными для такой патологии, предоставляют возможность ее своевременно обнаружить и начать терапию. Современные диагностические методы позволяют обнаружить раковые опухоли даже на начальных этапах, что позволяет полностью ликвидировать патологический процесс и позволить человеку прожить длинную жизнь.
Диагностика рака легких подразумевает проведение многих манипуляций.
Какие признаки могут указывать на развитие рака легких?
Характерные симптомы.
Рак легких подразделяется на 2 типа. Первый тип – центральный рак легких и 2 – периферический.
Основными причинами, которые указывают на прогрессирование рака легких, принято считать:
- генетическую предрасположенность;
- никотиновую зависимость;
- экологические факторы;
- хронические патологии бронхолегочной системы.
При раке легких достаточно часто проявляются следующие симптомы:
- дыхание с присвистом;
- понижение работоспособности;
- одышка;
- непроходящий кашель;
- частые повышения общей температуры тела без причины;
- слабость общего характера;
- отсутствие аппетита;
- мокрота с вкраплениями крови;
- болезненность области груди.
Указанные симптоматические проявления не всегда являются признаками рака легких, тем не менее, игнорировать их не рекомендуется, так как могут наличествовать иные патологические процессы дыхательной системы.
С течением времени, клиническая картина приобретает более выраженный характер:
- возникают тахикардические проявления;
- развивается одышка;
- кашель приобретает более интенсивный характер.
Даже при обыкновенном дыхании пациент может испытывать боли. Глотания затрудняется, а голос приобретает сиплый характер. Может развиться цианоз верхней части тела.
Этапы развития опухоли
Прогрессирование онкологии легких подразделяется специалистами на несколько стадий, рассмотренных в таблице:
Стадии развития патологического процессаЭтапОписаниеБиологическийОн длится на протяжении момента возникновения опухолевого образования и до первых клинических проявлений, которые подтверждаются рентгенографическим исследованием.
ДоклиническийИмеются исключительно рентгенологические признаки, но на данном этапе пациенты редко попадают к специалисту, так как их еще ничего не беспокоит.КлиническийНа данном этапе возникают внешние симптоматические проявления онкологического процесса.
Наиболее часто образование язвенных поражений становится причиной беспокойства. Врач в таком случае поможет определить причину изменений.
Процесс развития.Важно! Скорость течения онкологического процесса обуславливается лишь степенью агрессивности и характеристиками гистологии. В некоторых случаях, биологический и доклинический этапы могут продолжаться на протяжении многих лет, никак себя не проявляя и не вызывая у пациента никаких подозрений.
Как возможно диагностировать рак легких?
Характер злокачественного процесса.
Рак легких подразделяется на 4 специфических группы, в зависимости от степени развития процесса и согласно предполагаемой стадии выполняются диагностические мероприятия:
- Первая группа заключает в себе методики, которые способны указать на вероятное прогрессирование опухолевого процесса. В эту категорию относится осмотр специалистом, рентгенографическое и флюорографическое исследования, цитологическое исследование мокроты.
- Вторая группа предполагает прохождение пациентом КТ, бронхоскопического и радионуклидного исследований, а также цитологического теста мокроты.
- Третья группа подразумевает диагностические мероприятия морфологического характера, которые способствуют окончательному подтверждению диагноза. В группу входят цитологическое исследование биоматериала, гистология.
- Четвертая группа представлена диагностическими мероприятиями, которые позволяют провести оценивание распространенности онкологического процесса. Для этого пациенту требуется пройти радионуклидное, ультразвуковое исследование и КТ.
Одним из важных моментов диагностики раковых опухолей легких является возможность отличить их от туберкулезных процессов, которые имеют сходные симптоматические проявления, к примеру — кровохарканье. Тем не менее, туберкулез и рак – категорически разные заболевания, которые специалисты определяют и отделяют после прохождения пациентом полноценного исследования.
Внимание! Определение рака легких по флюорографии является возможным, потому не следует пренебрегать основным правилом – ежегодное прохождение планового обследования. Регулярное обследование как средство самозащиты.
Наиболее распространенным методом диагностирования рака легких выступает рентгеноскопия и флюорография, которую возможно сделать в любой городской больнице.
Рентгеноскопия
Наиболее доступный метод диагностики.
Рентгеноскопия характеризуется высокой степенью информативности и в 80% случаев позволяет обнаружить легочную онкологию. Лишь в малой доле случаев, рентгеноскопия отображает нормальное состояние легочных тканей при наличии онкологического процесса легочной системы.
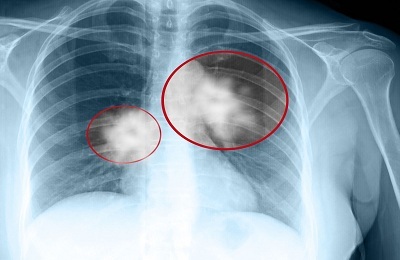
При центральной форме ракового образования, на рентгенографии будет отображаться, что в легких присутствует расширенная сеть сосудов, а также имеются замутненные участки. Когда у легочной онкологии периферический характер, картина на рентгеновском изображении будет отображать присутствие четкой тени с неровными краями, от которой к корню легких отходят отростки в виде лент.
Видны ли раковые опухоли при флюорографии?
Флюорография.
Онкология легких определяется при помощи флюорографического исследования, которое является наиболее доступным способом проверки легких на данный момент. Некоторые пациенты ошибочно думают, что такая методика не способна отобразить присутствие каких-либо опухолевых процессов.
Тем не менее, это не так и опытный рентгенолог способен обнаружить какие-либо патологические изменения в легочной системе. По этой причине не рекомендуется отказываться от флюорографического исследования. Именно этот метод ранней диагностики рака легкого доступен всем пациентам.
Бронхоскопия
Бронхоскопия является диагностическим мероприятием, которое основывается на визуальном исследовании системы дыхании при помощи оптоволоконного зондирования. Зонд вводится в пути дыхания – при легочном раке бронхиальный просвет сужается и в нем развиваются язвенные процессы.
Также происходит деформация и смещение бронхиальных стенок. Могут также увеличиваться трахеобронхиальные лимфатические узлы.
Бронхоскопия как метод диагностики рака.
Описываемая методика достаточно часто неприятна и по этой причине пациенту вводится успокоительное и обезболивающее. При помощи бронхоскопического обследования достаточно часто берут материал для биопсии опухолевых тканей. После выполнения исследование, на протяжении 1-2 суток, у пациента могут отхаркиваться сгустки крови темного цвета.
МРТ
МРТ (на фото) базируется на принципе ядерно-магнитного резонанса, который в совмещении с необходимым ПО позволяет провести обработку полученных данных с максимальной достоверностью и предоставить наиболее доскональные результаты обследования. Такая диагностическая мера полностью безопасна для здоровья пациента.
Помимо этого, МРТ – это высоко информативный метод, так как при его использовании получается добиться снимков максимальной четкости и разрешения.
Магнитно-резонансная томография.
Тем не менее, имеются некоторые ограничения – МРТ противопоказано при электронных имплантатах, к примеру – сердечных клапанов, водителей ритма и прочих. Цена проведения обследования с использованием данного метода достаточно высока, особенно если рассматривать возможность проведения МРТ в частных клиниках.
Компьютерная томография
КТ обычно используется при недостаточной ясности картины, которую предоставило рентгенологическое исследование о состоянии опухолевой патологии. Такая методика наиболее предпочтительна в сравнении с обыкновенной рентгенографической, так как у компьютерной томографии наибольшая чувствительность по отношению к присутствию опухолевых процессов в легочных структурах.
Видео в этой статье ознакомит читателей с особенностями проведения КТ при подозрении на рак легкого.
Компьютерная томография.
Суть методики заключается в том, что в процессе выполнения КТ выполняется огромное число снимков тела в срезе. В редких случаях пациентам, для того чтобы получить более полную картину происходящих в организме процессов, вводятся специфические контрастные вещества, которые способны повышать четкость изображения.
Цитологическое исследование мокроты
Цитологическое исследование мокроты предполагает при проведении диагностики использование специфического микроскопа. Когда возникают сложности с забором материала для исследований, то его изымают в ходе бронхоскопического исследования.
Достаточно часто, при легочном раке, в мокроте имеются плоскоклеточные атипичные фракции, которые и говорят о присутствии онкологического процесса.
Цитологическое исследование.
Такая методика является наиболее финансово доступной и безопасной. Но, она характеризуется ограниченной информативностью, так как нередко при раке в мокроте могут отсутствовать определенные клеточные структуры, а значит – исследование потенциально способно предоставить специалистам ложноотрицательный результат, что приведет к осложнению течения.
Плевральная пункция
Плевральная пункция.
Плевральная пункция также именуется как торакоцентез. Иногда, онкология легких сопровождается и поражениями плевры, а также возникновение плеврального выпота.
Инструкция полагает забор биоматериала для исследования и дальнейшее изучение именуется плевральной пункцией. В результате исследования, в материале обнаруживаются онкологические клетки, что и выступает доказательством присутствия ракового процесса в дыхательном органе.
Хирургические методики
Хирургический метод диагностики.
Имеются и оперативные методики диагностирвоания, которые представлены торакотомией и медиастиноскопией. Первая методика базируется на взятии биопсии малого кусочка опухоли, а другая предполагает исследования взятых образцом лимфатических узлов либо тканей опухоли, в которых могут присутствовать метастазы.
Подобная диагностика требует выполнения всех мероприятий в условиях операционной. Оба метода способны стать причиной множественных осложнений, которые представлены инфекционными поражениями, кровотечениями либо побочными реакциями организма пациента на применяемые медикаменты.
Пункционная биопсия
Указанная диагностика выполняется за счет введения в очаг опухолевого процесс тонкой иглы, сквозь которую производится забор биоматериала. После этого образцы отправляются в лабораторию для дальнейшего изучения. Выполнение пункционной биопсии требует предварительного местного обезболивания либо наркоза.
Позитронно-эмиссионная томография
Подобная диагностическая методика позволяет получить оценку работоспособностей тканей и активности обменных процессов. Изображения пострадавшего участка выполняются за счет влияния радиоактивных веществ с кратким периодом воздействия. Позитронно-эмиссионная томография позволяет выполнить изображения внутриорганных структур в 3D формате.
ПЭТ.
Пациенту вводят радиоактивный препарат с кратковременным действием, а после этого проводят сканирование. В процессе обследования, пациент получает облучение, которое по степени сопоставимо с флюорографией.
Анализ крови
Выявить присутствие рака исключительно исходя из результатов лабораторных анализов, возможности не имеется. При таком исследовании могут быть обнаружены исключительно нарушения и отклонения состава крови и прочие признаки, характерные онкологическим процессам.
Присутствие либо нехватка определенных ферментов могут указывать на метастазирование некоторых органов.
Анализ крови.Внимание! Определение рака легких по анализу крови на онкологические маркеры является простым и доступным методом диагностики, тем не менее, способ не позволяет утвердить абсолютно точный диагноз.
Стадирование
Результат стадирования.
Для каждого из этапов онкологического процесса имеется собственная характерная стадия распространенности по структурам организма. Стадирование рака легких основывается на оценивании параметров новообразования, присутствия онкологических клеток в лимфатических узлах и прочим параметрам.
Стадирование выступает одной из наиболее важных диагностических мероприятий, которые помогают специалисту подобрать оптимальную схему лечения. Также, стадирование помогает выполнить прогноз жизни пациента.
Читать далее…