Эрозивный гастрит представляет собой единичные либо множественные дефекты слизистой оболочки желудка. На начальном этапе заболевание проявляется микроскопическими ранками, образующимися лишь на поверхности слизистой. В международной классификации он имеет код МКБ 10(К00-К93).
Причины возникновения
Эрозивный гастрит может протекать в хронической либо острой форме. Первый вариант порождает нарушение работы органов пищеварения, второй при употреблении некачественных продуктов или химических веществ.
По статистике, мужчины больше подвержены эрозивному гастриту, чем женщины, у детей проявление болезни наблюдается редко.
Эрозивный гастрит может иметь не только наружные причины для возникновения, но и внутренние.
- Продолжительный, бесконтрольный прием лекарственных средств;
- Злоупотребление алкогольными напитками;
- Продолжительный стресс;
- Недостаточность гормона инсулина;
- Прием наркотических средств;
- Нарушения в работе щитовидки;
- Хронические заболевания всех систем организма;
- Переедание;
- Голодание;
- Некачественные продукты питания;
- Влияние хеликобактерной бактерии, и прочих болезнетворных микроорганизмов;
- Рефлюкс (попадание желудочной кислоты в пищевод);
- Проживание в неблагоприятной зоне;
- Работа на вредном производстве;
- Сбой гормональной системы;
- Нарушение кровообращения желудочных стенок;
- Онкология.
Виды
В зависимости от причины возникновения эрозивного гастрита он подразделяется:
- Первичный эрозивный гастрит. Наблюдается у большинства пожилых людей проживающих в местах с неблагоприятной экологией;
- Вторичный эрозивный гастрит. Развивается впоследствии хронических заболеваний;
Имеется также несколько типов проявления болезни
- Острый язвенный эрозивный гастрит. Причиной для его возникновения часто служат механические повреждения стенок желудка либо химические ожоги. Характеризуется содержанием крови в рвотных массах и кале;
- Хронический эрозивный гастрит. Возникает при осложнении хронических болезней. Отличается переменой обострений и ослаблением симптомов. Эрозии могут доходить до 5 мм в диаметре;
- Эрозивный антральный гастрит. Самый распространенный вид, возбуждаемый вредоносными микробами;
- Эрозивный рефлюкс гастрит. Тяжело протекающая разновидность заболевания. Характеризуется образованием значительных по размеру язв. В запущенном виде возможно отслоение тканей слизистой и их выход с рвотными массами;
- Эрозивно-геморрагический гастрит. Осложнение патологии вызывающие обильные кровотечения. В особо тяжелых проявлениях может привести к смерти.
Симптомы
Основные клинические признаки эрозивного гастрита могут проявиться через несколько часов после влияния внешних факторов. Они выражаются
- Тяжесть и дискомфорт в левом подреберье;
- Быстрая утомляемость;
- Подташнивание;
- Нарушение работы вестибулярного аппарата;
- Рвота;
- Разжижение стула.
Ухудшается общее состояние пациента, наблюдается повышенное потоотделение, сухость во рту либо обильное слюнотечение. Язык покрывается сероватым налетом, а кожа и слизистые оболочки становятся желтушными.
Проявления острого эрозивного гастрита отличается резкой болью в желудке. Усиление дискомфорта происходит после приема пищи, или спустя непродолжительное время. Болевые ощущения связаны с поражением глубинных слоев слизистой и мышечной массой желудочных стенок.
Приступу часто сопутствует рвота с содержанием крови, а каловые массы из-за этого приобретают почти черный цвет.
Симптомы эрозивного гастрита желудка часто протекают незаметно. Пациенты жалуются на повышенное газообразование и неприятный привкус во рту. Некомфортные ощущения в пищеводе, тяжесть после еды и учащением стула.
Диагностика
Постановка правильного диагноза зависит от тщательного сбора анамнеза. О многом говорит значительная потеря массы тела за короткий промежуток времени, бесконтрольный прием лекарства и употребление алкоголя.
Где болит
Хроническая форма эрозивного гастрита может протекать безболезненно. Острая же характеризуется режущими болями в области желудка и грудины.
Что болит
Болевые спазматические приступы сковывают брюшную полость. В отдельных случаях может отдавать в спину и под левую лопатку.
Что нужно обследовать
Чтобы диагностировать эрозивный гастрит желудка, в первую очередь проводятся лабораторные и инструментальные исследования. Делается забор крови на общий анализ, для подтверждения (опровержения) малокровия. Каловые массы на содержание крови.
Биохимия крови выявляет осложнения и сопутствующие заболевания.
Для идентификации возбудителя, спровоцировавшего эрозивный гастрит желудка,проводится бактериологический анализ содержимого желудка, вышедшего с рвотой и кала.
- Из инструментальных методов чаще всего применяется эзофагогастродоуденоскопия с забором биопсии. Во время процедуры оценивается степень разрушения слизистой, глубина и обширность эрозий и место кровотечения. При обильной кровопотере, манипуляция должна быть проведена незамедлительно, при устойчивом состоянии пациента в течение 12-20 ч.
- Если проведение ЭГДС невозможно, применяется метод рентгеноскопии. Процедура может проводится как посредством обычной гастрографии, так и с введением красящего вещества в орган. На рентгене можно рассмотреть отек и увеличение толщины складок слизистой оболочки желудка. Двойное контрастирование желудочных стенок является более информативным. При таком исследовании можно увидеть линейные, или протяженные дефекты оболочки и визуализировать рваные края .
- pH метрия. Позволяет определить содержание соляной кислоты в желудочном соке.
Важно! Исследование желудочного сока невозможно после оперативного вмешательства и при стенозе.
К кому обратиться
При появлении первых симптомов заболевания необходимо обратиться в районную поликлинику к врачу гастроэнтерологу для определения диагноза и назначения адекватного лечения.
Лечение
Лечение эрозивного гастрита необходимо проводить комплексным методом. К первоочередным мероприятиям причисляют устранение анемии и ликвидации нарушения кровотока путем переливания крови.
Обратите внимание! Схема лечения эрозивного гастрита сложна и правильное назначение может сделать только специалист.
Препаратами
Симптомы и лечение болезни зависит от формы ее проявления.
- Антибиотики. Применяется при обнаружении Хеликобактер пилори. Назначается комбинация из нескольких лекарственных средств антибактериальной направленности. Терапия длится 7-10 суток;
- Препараты восстанавливающие моторику ЖКТ. Назначаются при обнаружении рефлюкса. В последнее время для этой цели широко применяются препараты с содержанием домперидона (Мотилиум);
- Антацидные препараты назначаются при заболевании со значительными дефектами слизистой и повышенной кислотностью желудочного сока. Рекомендован прием невсасывающихся антацидов, в составе которых имеются соли алюминия и магния (Маалокс);
- Средства регенерирующие ткани и улучшающие насыщение их кислородом (Иберогаст).
- Ферменты необходимы при приеме антацидов, которые в значительной мере снижают пищеварительную функцию (Мезим);
- Восстанавливающие препараты образуют на поверхности желудочных стенок защитную пленку, предотвращает их дальнейшее разрушение и защищает от раздражающего воздействия (Вентер);
- Ингибиторы протонной помпы показаны пациентам с повышенной кислотностью, они угнетают производство соляной кислоты (Омепразол, Омез).
Народными средствами
В качестве вспомогательной терапии хорошо зарекомендовало себя и лечение народными средствами.
Важно! Нельзя заменять лекарственные препараты на отвары и настои трав без предварительной консультации с врачом.
- Масло плодов облепихи является ранозаживляющим и противовоспалительным свойством. Для лечения можно использовать аптечный продукт либо приготовленное самостоятельно. Для его приготовления понадобится равное количество сока облепихи и качественного оливкового масла. Продукты тщательно соединить и дать настоятся 3-4 дня. Принимать полученную смесь следует на голодный желудок, утром, по 25 мл. Продолжительность терапии 2 недели.
- Прополисовая настойка поможет снизить болевой синдром. 15 капель спиртовой настойки развести в 150 мл прохладной воды и пить перед каждым приемом пищи. Курс 3 недели.
- Молоко и ромашка. В стакан закипающего молока положить 5 ст. ложек соцветий ромашки, вскипятить и оставить на 1 час. Пить по 1 стакану на тощак. Курс 5-7 дней.
Важно!Перед началом лечения народными средствами следует убедиться в отсутствии аллергических реакций на составляющие рецептов.
Питание при эрозивном гастрите
Лечение эрозивного гастрита невозможно без ограничений в питании. В первые часы обострения пациенту предписано полное голодание. Голодная терапия может продолжаться от 6 до 24 часов, в зависимости от тяжести состояния. Спустя сутки, в меню вводятся блюда, приготовленные в пароварке либо отваренные. Питание при эрозивном гастрите желудка обязано быть дробным (часто и небольшими порциями).
Правильно подобранное лечение и диета способны в короткие сроки облегчить состояние больного.
Что запрещено
Эрозивный гастрит требует соблюдения определенного рациона, многие ингредиенты находятся под строжайшим запретом.
- Сдоба, свежевыпеченный хлеб;
- Насыщенные мясные и рыбные отвары;
- Грибы;
- Острые и квашеные супы;
- Сальные сорта мяса и рыбы;
- Консервированной, маринованной, острой и соленой пищи;
- Перловка, ячневая, и кукурузная крупы;
- Кисломолочные продукты с высоким процентом жира и кислоты;
- Капуста, редис, томат;
- Фасоль, горох;
- Спиртосодержащие жидкости;
- Концентрированный кофе и чай;
- Шоколадные изделия.
Диета при эрозивном гастрите желудка должна уменьшать производство соляной кислоты, поэтому ограничивает употребление белковой и жирной пищи. Мясо можно кушать 1 р. в сутки в малом количестве.
Справка! После строгих ограничений в еде, на привычное меню следует переходить постепенно. После выздоровления лечащий врач консультирует больного, что можно есть и в каких количествах.
Что можно
- Подсушенный пшеничный хлеб;
- Перетертые крупяные супы на молоке, или овощном отваре;
- Молоко;
- Белковый омлет;
- Банановое пюре;
- Кисели из ягод с нейтральным вкусом;
- Манка, греча и рис;
- Перемолотое в мясорубке мясо птицы либо говядины;
- Пюре из картофеля, кабачка и цветной капусты;
- Макароны.
Питание при эрозивном гастрите желудка должно быть сбалансированным. Список дозволенных продуктов позволяет разработать довольно многообразное меню при эрозивном гастрите. Кушать обжигающую, или ледяную пищу не рекомендуется. Диета при эрозивном гастрите желудка исключает употребление «фаст-фудов».
Примерный рацион
- Утро. Хорошо разваренный рис на молоке со сливочным маслом. Сухарик батона, кисель;
- Перекус. Бутерброд из подсушенного батона с сыром, некрепкий чай;
- День. Овощной перетертый суп из цветной капусты с гречей, пюрированный картофель с мясным суфле, компот, пшеничный сухарик;
- Перекус. Галеты с молоком, банан;
- Вечер. Запеканка из нежирного творога, сухарик с чаем из шиповника.
Десерты следует заменить печенными фруктами с небольшим содержанием сахара.
Обратите внимание! Диета, предписанная при эрозивном гастрите, является также неплохой
профилактикой заболевания. Специалисты рекомендуют, есть при эрозивном гастрите желудка на ночь не позже чем за 2 ч до сна.
Осложнения и последствия
Если эрозивный гастрит желудка проигнорировать и вовремя не обратиться к врачу, последствия болезни могут стать опасными.
- Обильное внутреннее кровотечение;
- Состояние шока;
- Уменьшение красных кровяных телец в крови;
При долговременном воздействии разрушающих факторов на слизистую желудка образуются
- Язвенная болезнь. Причиной становится очаговый эрозивный гастрит. Воспаление захватывает не только слизистую, но и мышечную ткань органа. Совершается это из-за влияния серной кислоты и крупных кусков проглоченной пищи. Язва опасна возможностью прободения (прорыва) желудочной стенки и преобразованием в онкологию.
- Онкология. Постоянные воспалительные процессы слизистой при эрозивном гастрите способны переродится в злокачественную опухоль. При обнаружении рака желудка проводится его частичное либо полное удаление с последующим назначением химиотерапии.
Профилактика
Профилактика эрозивного гастрита должна осуществляться в двух направлениях:
- Общественные мероприятия включают в себя санитарный надзор за предприятиями общественного питания. Контроль осуществляется за качеством продуктов питания, чистотой кухонного белья и посуды. Все кухонные работники в обязательном порядке должны проходить регулярный гигиенический осмотр и ежегодную медкомиссию.
- Не последнюю роль в предотвращении эрозивного гастрита желудка играет санитарно- просветительская работа с людьми, где разъясняется важность соблюдения гигиены питания.
- Индивидуальные мероприятия профилактики включают организацию рациона питания. Меню должно быть полноценным и включать в себя все необходимые вещества. Приготовление еды должно соответствовать правилам гигиены. Овощи следует хорошо промывать под проточной водой и не допускать употребление полусырого мяса и рыбы. Соблюдение правил хранения продуктов убережет их от инфицирования вредоносными бактериями.
Все больные эрозивным гастритом должны проходить обследование 2 р. в год.
У каждого больного эрозивным гастритом желудка должен быть врач, которому он доверяет. Именно с ним должны обсуждаться вопросы, связанные с лечением, питанием и профилактикой заболевания.
Эрозивный гастрит: симптомы, лечение, диета
Эрозивный гастрит – достаточно распространенное заболевание желудочно-кишечного тракта, для которого характерна весенне-осенняя сезонность. Как диагностировать, вылечить и предотвратить рецидив заболевания должен знать каждый.
Причины возникновения эрозивного гастрита
Эрозивный гастрит, также известный как бульбит – воспалительное заболевание желудочно-кишечного тракта, вызывающее развитие эрозий (ранок) на слизистой оболочке желудка. Вовремя выявленное заболевание является залогом быстрого выздоровления.
Самыми распространенными причинами эрозивного гастрита являются:
Длительный прием медикаментозных препаратов (нестероидные противовоспалительные средства, гормональные (кортикостероиды), верошпирон, препараты нитрофуранового ряда, этакриновая кислота).- Неблагоприятные условия труда и проживания.
- Стрессы и нервное истощение также являются частой причиной гастрита.
- Заболевание эндокринной системы (заболевания щитовидной железы, сахарный диабет).
- Тяжелые хронические заболевания (почечная, сердечна, печеночная недостаточность, заболевания крови и дыхательной системы).
- Несбалансированное питание полуфабриками и фаст-фудом.
- Алкогольная интоксикация.
В зависимости от причин возникновения этого заболевания различают:
- первичный эрозивный гастрит – возникает у молодых, практически здоровых людей, в результате психотравмы или неблагоприятных социальных условий проживания;
- вторичный эрозивный гастрит – возникает как следствие тяжелых хронических заболеваний организма.
Ученые-медики не отрицают влияние следующих провоцирующих факторов:
- наличие бактерии Helicobacter pylori;
- гастродуоденальный рефлюкс (забрасывание соляной кислоты и содержимого желудка);
- снижение или отсутствие свойств слизистого геля желудка;
- нарушение кровообращения в слизистой оболочке желудка;
- нарушение иммунного и гормонально фона в организме.
Классификация эрозивного гастрита
Различают такие виды геморрагического (эрозивного) гастрита:
- острый язвенный гастрит – развивается вследствие травм, ожогов, кровотечений и сопровождается наличием частиц крови в рвотных массах и кале;
- хронический эрозивный гастрит – возникает как осложнение хронических соматических заболеваний в организме, характеризуется цикличной сменой фаз ремиссии и обострений;
- антральный язвенный гастрит – наиболее распространённая форма заболеваний, при которой в значительной мере повреждается нижняя треть желудка (антрум);
- эрозивный рефлюкс гастрит – более тяжелая форма заболевания ЖКТ, при которой на слизистой оболочке желудка образуются язвы крупного размера.
Симптомы эрозивного гастрита

В зависимости от причин, вызвавших язвенное поражение слизистой оболочки желудка, и формы заболевания симптомы язвенного гастрита могут отличаться. Так, при острой форме эрозивного гастрита первыми симптомами являются острая приступообразная или же постоянная ноющая боль, тошнота и изжога, возникающие после приема пищи, рвота и понос с частицами крови. При хронической форме бульбита симптомы очень часто бывают стертыми и проявляются лишь периодической тошнотой, рвотой и дискомфортом в эпигастральной области.
Следует также отметить, что в большинстве случаев в начале заболевания больной просто игнорирует частую изжогу, тошноту, вздутие, а эти симптомы как раз и являются первыми звоночками гастрита.
Диагностика эрозивного гастрита
Правильно поставить диагноз поможет тщательно собранный анамнез и объективный осмотр пациента. К счастью, сегодня медицина не стоит на месте и имеет множество диагностических методов, позволяющих четко и правильно поставить диагноз.
Для диагностики гастрита помимо общих анализов крови, мочи и кала, УЗИ, рентгена, назначают эзофагогастродуоденоскопию (ФГДС). Эта процедура позволяет тщательно исследовать слизистые оболочки пищевода, желудка и 12-перстной кишки с помощью тонкого гибкого зонда, а также взять поврежденную ткань на биопсию.
Этот метод диагностики позволяет выявить любые повреждения слизистой ЖКТ, их размер и локализацию.
Медикаментозное лечение эрозивного гастрита
При появлении первых симптомов воспаления слизистой оболочки желудка необходимо обратиться к врачу гастроэнтерологу, чтобы получить адекватное и эффективное лечение. Комплексная схема лечения язвенного гастрита назначается индивидуально и включает в себя не только медикаментозные препараты, но и не менее эффективную диетотерапию.
Медикаментозное лечение бульбита включает несколько этапов:
- снятие болевого симптома (но-шпа, анальгин, платифилин, папаверин);
- антибиотикотерапия (амоксицилин, тетрациклин, кларитромицин);
- противовоспалительные препараты (ранитидин, Де-нол, омез);
- препараты, нормализирующие кислотность (энтерогель, альмагель, фосфалюгель, ренни, маалокс);
- ферменты (панкреатин, мезим, фестал, креон);
- препараты, способствующие восстановлению пораженных тканей (трентал, экстракт алоэ, витамины группы В, аскорбиновая кислота).
Лечение гастрита с помощью рецептов народной медицины
Положительное влияние на слизистую оболочку ЖКТ имеют травяные настои, чаи и эмульсии с облепиховым маслом.
Эмульсия с прополисом и облепиховым маслом
Для приготовления этого чудо-средства понадобится 10% настойка прополиса и облепиховое масло. Данные ингредиенты берутся в соотношении 10:1 и энергично взбалтываются. Эту эмульсию нужно принимать по 25 капель, трижды в день, за час до приема пищи.
Медово-оливковое лекарство
Обволакивающим и восстанавливающим эффектом обладает смесь из оливкового масла, меда и лимонного сока. Для приготовления берем 200 г меда, 500 мл оливкового масла, сок одного лимона. Все составляющие смешиваем, принимаем по 1 столовой ложке за 40-60 минут до еды, 3 раза в день. Данное средство храним в холодильнике в плотно закрытой таре.
Яичное обволакивание

При лечении гастрита эффективным является принятие натощак двух яичных белков домашних кур. Эту процедуру нужно проделывать за 2 часа до еды, а также рекомендуется повторить вечером. Белок положительно влияет на рубцевание и обволакивание поврежденной слизистой оболочки желудка.
Настойка подорожника
Подорожник издавна известен своими целительными свойствами. Приготовленная настойка на основе листьев подорожника ускорит процесс регенерации слизистой желудка.
Для приготовления настойки необходимо: 250 грамм свежих листьев подорожника, которые промываются под проточной водой, измельчаются и заливаются 500 мл 70% спирта.
Настаивается все это в темном и прохладном месте 7 суток, после чего принимается по 1 чайной ложке 3 раза в день.
Настой из мяты и золототысячника
Для приготовления целительного настоя берем листья мяты перечной и листья золототысячника в соотношении 4:1. Из данного сырья готовим настой: 3 чайные ложки смеси заливаем 400 мл горячей кипяченой воды. Настаиваем 30 минут и выпиваем за полчаса да еды по 200 мл.
Паста от гастрита
Данным лекарственным средством лечились от гастрита и язвы желудка еще наши бабушки. Для приготовления этого лекарства понадобится: 250 г меда, 25 г листьев алоэ, 100 г какао, 100 г гусиного жира, который можно заменить качественным сливочным маслом. Все ингредиенты смешиваются и хранятся в холодильнике. 1 столовую ложку пасты растворяем в стакане горячего молока и выпиваем на ночь.
Общеукрепляющие травяные чаи
Общеукрепляющим, тонизирующим и противовоспалительным эффектом обладают травяные чаи на основе цветков календулы, ромашки, шиповника, мяты перечной и плодов фенхеля.
Методы народной медицины целесообразно сочетать с медикаментозным лечением после консультации лечащего врача. Обычно облегчение наступает через 2-3 недели регулярного выполнения процедур.
Диета при эрозивном гастрите
При лечении эрозивного гастрита диета играет решающую роль. Ведь если принимать медикаментозные препараты и не соблюдать принципов диетического питания, то наступление эффекта от лечения весьма сомнительно.
Принципы диетотерапии:
- питание должно быть сбалансированным;
- 6-разовый дробный прием пищи;
- исключается все солёное, острое, жирное и жаренное;
- категорически запрещено принимать алкоголь, свежевыжатые соки, крепкий чай и кофе;
- также не рекомендуется употреблять дрожжевые хлебобулочные изделия;
- разрешено употребление слизистых супов и каш;
- мясо лучше всего принимать в отварном виде или в виде паровых котлет;
- вся пища должна проходить термическую обработку;
- температура блюд должна быть слегка теплой;
- приветствуются протертые и измельченные блюда.

Главным принципом диеты при лечении эрозивного гастрита является сбалансированное, витаминизированное и разнообразное питание.
Все каши и супы готовятся на воде, без использования крепких наваристых бульонов. В кашу можно добавить немножечко сливочного масла.
Для приготовления вторых блюд применяют нежирные сорта рыбы, говядину, куриное и индюшиное мясо, которые употребляют в отварном виде или приготовленные на пару.
Из напитков лучше всего приготовить фруктовый компот, кисель или настой шиповника. Все пряности и соусы исключаются из меню на время лечения, а лучше всего навсегда.
Примерное меню на один день при лечении бульбита:
- Завтрак – слизистая овсяная или гречневая каша, можно заменить паровым омлетом из одного куриного яйца.
- Второй завтрак – фруктовый кисель с галетным печеньем.
- Обед – протертый крупяной суп, паровая рыбная котлета, отварные овощи или салат из них, на десерт можно взять отвар шиповника. Из хлебобулочных изделий разрешены сухари из белого хлеба.
- Полдник – травяной чай с галетным печеньем, или запеканка из нежирного творога.
- Ужин – картофельное пюре с отварной куриной грудинкой.
Такое питание помогает не только восстановить слизистую оболочку желудка от эрозий, но и нормализирует функции всех органов желудочно-кишечного тракта. Особое внимание больного следует обратить на организацию питания:
- принимать пищу нужно не спеша;
- каждая порция пищи должна быть размером с ладошку;
- тщательно пережёвывать пищу, до 20-30 пережёвывающих движений;
- принимать пищу нужно в специально отведенном для этого месте.
Профилактика эрозивного гастрита
Как говорит одна из главных пословиц медиков: «Заболевание легче предупредить, чем потом лечить». Главным принципом профилактики эрозивного гастрита является устранение причин его возникновения. Исходя из этого, профилактические мероприятия включают в себя следующие моменты:
- правильная организация сбалансированного питания, содержащего в необходимом количестве белки, жиры, углеводы и витамины;
- четкая организация режима дня: питание, спорт, работа, отдых;
- полный отказ от вредных привычек;
- строго следить и придерживаться санитарных норм питания;
- исключить продукты фаст-фуда;
- избегать химического, механического и термического травмирования слизистой ЖКТ;
- тщательное пережёвывание потребляемой пищи, для обогащения ее ферментами слюны;
- своевременно лечить все очаги хронического воспаления: кариес, гайморит, отит, холецистит;
- не заниматься самолечением, принимая препараты по совету соседки;
своевременно устранять профессиональные вредности;- профилактика и лечение глистных инвазий;
- своевременное лечение всех хронических соматических заболеваний;
- избегать стрессов и нервного и физического переутомления;
- обеспечить полноценный сон и отдых для организма;
- диспансерный учет у гастроэнтеролога и профилактические осмотры не реже 2 раз в год.
Эрозивный гастрит – серьезное заболевание ЖКТ, которое поддается лечению с помощью медикаментозных препаратов, рецептов народной медицины и диетотерапии. Здоровый образ жизни – залог крепкого здоровья и долголетия, поэтому стоит поменять свои гастрономические привычки, дабы радоваться и наслаждаться жизнью долгие годы.
Эрозивный гастрит — осложнения недопустимы

Эрозивный гастрит – это такая форма воспаления слизистой желудка, при которой на ее поверхности формируются полные или частичные повреждения слизистого слоя.
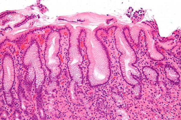
При эндоскопическом обследовании врач видит единичные или множественные сильно гиперемированные участки, на которых почти отсутствует поверхностный эпителий.
Чтобы образно представить, как выглядит эрозия, вспомните, как в детстве вы разбивали коленку. Ранка через несколько дней затягивалась, покрывалась корочкой, а после на ее месте появлялась тонкая и гладкая пленка.
Приблизительно так выглядят эрозивные повреждения на слизистой желудка. Эти участки более восприимчивы к любым раздражителям и при отсутствии лечения и нарушениях диеты успешно трансформируются в язвенную болезнь.
Как и все другие формы гастрита, эрозивный вариант бывает острым и хроническим. Случаи острого течения чаще связывают с токсическими отравлениями, острыми инфекциями. Хроническая форма имеет много причин, рассмотрим их детально.
Распространенные причины заболевания
По мнению врача – гастроэнтеролога Анатолия Близнюка, главной причиной любой формы гастрита является хронический стресс, который чаще возникает у людей беспокойных, нервных, озлобленных.
Постоянное напряжение нарушает процессы переваривания пищи, страдает моторная и секреторная функции желудка. Если прибавить сюда большую нагрузку, связанную с неправильным питанием, алкоголем, перееданием, а также инфицирование хеликобактером – гастрит неизбежен. Формирование эрозий на слизистой не бывает случайным, существуют дополнительные провоцирующие факторы, вот они:
- Наличие инфекции. Бактерия хеликобактер обладает удивительной выносливостью. Она не только отлично себя чувствует в агрессивной желудочной среде, но и прекрасно размножается. Продвигаясь по слизистой, бактерия нарушает ее целостность. Таким образом, соляная кислота становиться постоянным раздражителем для слизистой, формируются эрозии.
- Повышенная кислотность. Принцип формирования эрозий в этом случае тот же, повреждения возникают из-за постоянного раздражающего воздействия кислоты. Если человек питается нерегулярно, допускает голодные диеты и большие перерывы между приемами пищи, желудок начинает «есть сам себя».
- Регулярный прием некоторых медикаментов. К повреждениям слизистой оболочки приводит длительный прием нестероидов, антикоагулянтов, некоторых гормональных препаратов.
- Другие заболевания пищеварительного тракта болезнь Крона, желчный рефлюкс и др.
- Воздействие радиации. Нередко эрозивный гастрит развивается у онкологических пациентов, проходивших лучевую терапию.
- Оперативные вмешательства на желудке.
- Курение и алкоголь. Даже при нормальной кислотности регулярное употребление алкоголя и курение вызывает воспаление слизистой. Интересно, что для курильщиков более типичным заболеванием является язвенная болезнь, то есть воспаление минует эрозивную стадию, сразу трансформируется в язву.
Эрозивный гастрит характеризуется затяжным течением, не очень хорошо поддается медикаментозной терапии. В тяжелых случаях болезнь осложняется кровотечением из поврежденных участков, если таковых много, то кровотечение становится угрожающим для жизни пациента. Локализация эрозий различна: они возникают и в теле, и в дне желудка, но самая излюбленная локализация – антральный отдел.
Симптомы и осложнения
Симптомы патологии не всегда бывают яркими и очень схожи с проявлениями болезни с повышенной секреторной функцией.
Пациенты предъявляют следующие жалобы:
- Неприятные ощущения до или после еды, тяжесть в эпигастральной области.
- Отрыжка, неприятный привкус во рту.
- Вздутие живота.
- Периодическая рвота (редко).
- Боль в эпигастрии при употреблении раздражающих продуктов, боль на голодный желудок.
- Изжога.
- Нарушения деятельности кишечника – запоры или диарея.
Клиника заболевания становиться выраженной, если эрозивный гастрит осложняется язвами или кровотечением.
Эрозивно-язвенный гастрит
Для этой формы болезни характерно не только наличие эрозий, но и язвенных повреждений слизистой.
Болевой синдром при такой форме гастрита бывает очень интенсивным, таким же, как при язвенной болезни. Также характерны голодные боли, нарушения стула.
Чаще всего этот вид повреждений локализуется в антральном отделе и связан с наличием желчного рефлюкса. К перерождению эрозий в язву приводит раздражение не только собственной соляной кислотой, но и желчью.
Эрозивно — геморрагический гастрит
Эрозивно – геморрагическая форма заболевания диагностируется при наличии кровотечения из поврежденных участков слизистой.
Поверхностные дефекты редко провоцируют кровотечение, а вот глубокие дефекты в области малой кривизны осложняются достаточно часто. Связано это с анатомическими особенностями – именно здесь расположены крупные кровеносные сосуды.
Переход в геморрагическую форму наиболее вероятен, если пациент страдает гипертензией, принимает антикоагулянты или нестероиды.
Симптоматические проявления эрозивно-геморрагической формы аналогичны клинике желудочного кровотечения. Это:
- рвота с примесью крови, рвотные массы имеют цвет «кофейной гущи»;
- стул черного цвета;
- отсутствие болевого синдрома. Так как глубокие повреждения слизистой разрушительно действуют на нервные рецепторы, вначале исчезает боль, и только после развивается кровотечение;
- общая слабость;
- снижение ад;
- частый пульс;
- бледность;
- анемия;
Желудочное кровотечение всегда требует неотложной помощи. Поэтому важно как можно скорее доставить пациента в стационар.
Диагностика
Диагноз эрозивного гастрита требует морфологического подтверждения. При проведении ФГДС проводится биопсия, результаты которой и будут основанием для постановки диагноза.
- Даже при наличии кровотечения нельзя точно утверждать, что оно спровоцировано именно эрозиями, а не другими причинами (травмой, онкологией, гипертензией).
- Наличие хеликобактера в желудке определяется как при помощи ФГДС, так и посредством дыхательного теста, безболезненного и простого исследования.
- Клинические анализы назначаются пациентам для выявления других хронических патологий и отклонений в составе крови.
- УЗИ органов брюшной полости, рентген желудка с барием назначают по показаниям.
Лечение
Лечение эрозивного гастрита всегда состоит из нескольких компонентов: диеты, нормализации режима, применения медикаментов.
В начале терапии врач тщательно анализирует состояние пациента, собирает подробный анамнез. Если пациент по собственному желанию принимает какие-то витаминные или биологические добавки, их нужно отменить, так как они играют роль дополнительных раздражителей для воспаленной слизистой.
- Пациенту следует объяснить необходимость соблюдения диеты, без которого даже дорогостоящие препараты не окажут эффекта.
- Правильный режим, отсутствие стрессов также являются основополагающими факторами положительного результата лечения.
- Из медикаментозных средств используют:
- Антациды – Гефал, Фосфолюгель.
- Антибактериальные препараты при выявлении хеликобактера – Кларитромицин, Метронидазол.
- Ингибиторы протонной помпы – Омез, Пантопразол.
- Блокаторы H2 рецепторов – Фамотидин, Ранитидин.
- Аналоги простагландина – Травопрост, Латанопрост.
При выявлении бактериальной природы заболевания назначают эрадикационную терапию. Подробнее о лечении и диагностике расскажет тематическое видео:
Пациенты должны понимать, что универсальной схемы лечения эрозивного гастрита не существует. Медикаменты всегда назначаются и подбираются индивидуально. Не стоит доверяться случайной информации и пытаться самостоятельно залечить эрозии. Вряд ли это получится, а вот осложнения возможны.
Народные методы
Существуют ли народные рецепты для лечения эрозивного гастрита? Безусловно. Их великое множество. По-нашему мнению, не стоит им безоговорочно доверять. То есть вы можете использовать травяные сборы и отвары, но только после того, как посоветуетесь с лечащим врачом, и никак иначе.
Самым эффективным и обоснованным народным методом нам кажется применение облепихового масла при эрозивном гастрите. Но и это лечение согласуйте с доктором. Если вы подвержены частым стрессам, часто нервничаете, доктор обязательно посоветует вам пить успокаивающий сбор, который не противопоказан при вашей форме болезни.
Не забывайте. Что эрозивная форма болезни – отличный трамплин для будущей язвы, кровотечения, атрофии и онкологии. Поэтому методично выполняйте медицинские рекомендации, не занимайтесь самолечением и соблюдайте диету. Вылечить эрозии можно, но это требует времени. Будьте уверены в успехе и все получится.
Эрозивный гастрит
Эрозивный гастрит – одна из форм хронического гастрита, при которой воспалительный процесс сопровождается образованием эрозий разного размера. В отличие от язвенной болезни, поражения не затрагивают глубокие мышечные слои. Опасность состоит в том, что эрозии со временем могут начать кровоточить – 20% случаев желудочных кровотечений связано именно с эрозивным гастритом.
При эндоскопии у 25% больных, приходящих с жалобами на боль в желудке, тошноту и рвоту, обнаруживается эрозирование слизистой оболочки. По статистике, болезнь поражает в равной степени и мужчин, и женщин.
У детей эрозивный гастрит встречается крайне редко. Последние годы наблюдается рост данной патологии.
Это связывают с некорректным питанием, стрессами и улучшением качества диагностики, что позволяет выявить гастрит при отсутствии симптомов.
Виды эрозивного гастрита
Принято выделять два вида эрозийных поражений:
- Поверхностные (острые): характеризуются небольшими размерами и покраснением по периферии, сверху часто покрыты фибринозным налетом или кровью.
- Полные (хронические): имеют полиповидную форму и приподнимаются над поверхностью. Имеют крупный размер – до 15 мм. Заживают в течение длительного времени (до трех лет), периодически возникают рецидивы.
Острая форма эрозивного гастрита со временем может трансформироваться в хроническую, которая, в свою очередь, может быть предшественником язвенной болезни. Заболевание в хронической форме довольно тяжело поддается лечению.
Выделают несколько форм эрозий:
- Первичные (не связанные с предшествующей патологией).
- Вторичные (возникают как следствие заболевания).
- Незрелые.
- Зрелые (с признаками некроза).
В большинстве случаев причиной возникновения гастрита становится бактерия Helicobacter Pilori. Однако не всегда микроорганизм вызывает воспалительные изменения слизистой оболочки желудка – в 60% случаев инфекция протекает без каких-либо симптомов. Эрозивный гастрит является полиэтилогичным заболеванием. К основным факторам риска относят:
- Частые стрессы.
- Вредные привычки: систематическое употребление алкогольных напитков, курение.
- Нарушения питания: длительные голодания, злоупотребление жирной, соленой и острой пищей, переедание.
- Употребление раздражающей стенки желудка пищи натощак.
- Прием лекарственных средств, оказывающих негативное воздействие на слизистую оболочку желудка (глюкокортикостероиды, нестероидные противовоспалительные средства).
- Хронические заболевания желудочно-кишечного тракта.
- Новообразования, оказывающие давление на внутреннюю оболочку желудка.
- Гипоксия (травмы, ожоги, сердечная или дыхательная недостаточность, коматозное состояние).
- Обширные оперативные вмешательства.
- Работа с вредными веществами (пестициды, соли тяжелых металлов, лакокрасочные пары).
- Несостоятельность гастродуоденального сфинктера, приводящая к забросу содержимого двенадцатиперстной кишки в желудок.
Симптомы эрозивного гастрита
Жалобы, с которыми больные обращаются к врачу, характерны для большинства желудочно-кишечных заболеваний. Так, симптомами эрозивного гастрита являются:
- Тошнота, рвота.
- Голодные боли в желудке (спустя 3–4 часа после еды).
- Вздутие живота, отрыжка, изжога.
- Ухудшение аппетита и потеря массы тела.
- Слабость, сонливость, снижение работоспособности.
- Отдышка, тахикардия.
- Рвота кофейной гущей. Темный цвет масс свидетельствует о наличии внутреннего кровотечения.
- Характерный дегтеобразный стул – мелена.
Черный стул – один из главных признаков эрозивного гастрита, по которому можно диагностировать желудочное кровотечение. Под действием желудочных ферментов гемоглобин, придающий крови красный цвет, превращается в гемин. Он, в свою очередь, имеет темно-бурый оттенок.
Опасность состоит в том, что эрозии со временем могут начать кровоточить – 20% случаев желудочных кровотечений связано именно с эрозивным гастритом.
- 1. Какие микробы живут на руках
- 2. Здоровый образ питания
- 3. Зачем нужна дезинсекция помещений
- Обследование больного начинается со сбора анамнеза и физикального обследования.
- Чтобы точно определить наличие эрозивного поражения слизистой оболочки желудка, требуется проведение лабораторных и инструментальных исследований.
- Лабораторные методы:
- Общий анализ крови, общий анализ мочи, копрограмма.
- Анализ кала на скрытую кровь.
- Бактериологический анализ содержимого желудка и кала.
- Иммунологическое исследование крови.
- Гистологическое и цитологическое исследование взятой на фиброгастродуоденоскопии (ФГДС) биопсии.
- Тесты на определение H. Pylori.
Инструментальные методы:
- ФГДС – является самым современным методом исследования внутренних органов желудочно-кишечного тракта. Процедура позволяет получить подробную информацию о состоянии слизистой оболочки желудка, сделать фотографии обследуемых участков, осуществить биопсию и взять материал для проведения теста на определение бактерии H. Pylori.
- Рентгенография с контрастным веществом – дает возможность выявить моторно-эвакуаторные нарушения и исключить наличие более серьезных заболеваний.
- Термография – современный и высокоинформативный метод диагностики состояния желудочно-кишечного тракта. Выявляет нарушения в работе внутренних органов при помощи инфракрасного излучения.
Симптоматика эрозивного гастрита схожа с признаками язвенной болезни. При постановке диагноза, в первую очередь, опираются на результаты ФГДС.
По состоянию поражений определяют, можно ли поставить диагноз эрозивный гастрит. При эндоскопическом исследовании врачи определяют наличие покраснений, отека и кровоточивости слизистой.
При этом кислотность желудка может быть в норме или слегка снижена.
Отличить эрозивный гастрит от другой формы гастрита можно по темной зернистой рвоте и черному стулу – все это говорит о желудочном кровотечении. Длительные потери крови приводят к анемии.
Лечение
К хирургическим методам в случае эрозивного гастрита прибегают крайне редко. Чаще всего лечение осуществляется консервативными методами. Комплексная терапия подразумевает следующие способы:
- Медикаментозное лечение, направленное на уничтожение бактерии H. Pylori, купирование болезненных симптомов и заживление эрозий.
- При наличии кровотечений – инъекции заживляющих препаратов.
- Лечебная диета.
Бактерия H. Pylori устраняется в ходе многоэтапного лечения, включающего в себя прием гистаминоблокаторов, антибактериальных препаратов и гастропротекторов. В среднем длительность курса составляет один месяц. С целью устранения симптомов болезни и заживления имеющихся поражений назначаются следующие лекарственные средства:
- Ингибиторы протонной помпы, такие как Омепразол и Энпростил. Они уменьшают секрецию соляной кислоты и являются основной группой препаратов в борьбе с эрозивным гастритом.
- Антациды.
- Спазмолитики.
- Репаранты.
- Антиоксиданты.
- Седативные препараты.
При эрозивном гастрите диета является необходимым этапом, без которого медикаментозное лечение будет менее эффективным. Пищу следует принимать 5–6 раз в день небольшими порциями.
Острая форма эрозивного гастрита со временем может трансформироваться в хроническую, которая, в свою очередь, может быть предшественником язвенной болезни.
Диета при эрозивном гастрите строится на принципах механического, термического и химического щажения.
- Механическое щажение – употребление пищи в перетертом виде. Такой способ питания минимизирует травмирующее воздействие на стенки желудка.
- Термическое щажение – исключение термического воздействия, еда не должна быть слишком горячей или холодной.
- Химическое щажение – отказ от газированных напитков, чая, кофе и алкоголя, а также исключение из меню соленых, жирных и острых блюд. Пища должна быть приготовлена на пару или в отваренном виде. Допустимо употреблять в пищу каши на воде, овощи и рыбу, постные супы.
После курса терапии обязательно регулярное посещение врача-гастроэнтеролога с целью исключения рецидива. Если в ходе консервативного лечения не удалось достигнуть положительных результатов, прибегают к оперативным методам.
К хирургическим методам лечения эрозивного гастрита относятся:
- Электрокоагуляция или эндоскопическое клипирование кровоточащего сосуда.
- Гастротомия с последующим наложением скобок или прошиванием кровоточащих эрозий.
Осложнения
Эрозивный гастрит нередко протекает с осложнениями.
Возможные последствия:
- Желудочное кровотечение.
- Трансформация гастрита в язвенную болезнь или злокачественное образование.
Прогноз
В случае ранней диагностики болезни и грамотного лечения прогноз благоприятный.
Профилактические меры
Эрозивный гастрит – одна из форм хронического гастрита, при которой воспалительный процесс сопровождается образованием эрозий разного размера.
- Соблюдение рационального режима питания, отказ от фастфуда и другой пищи, раздражающей слизистую оболочку желудка.
- Своевременное лечение хронических заболеваний желудочно-кишечного тракта.
- Соблюдение правил личной гигиены, что позволит снизить риск инфицирования бактерией H. Pylori.
- Нормализация психоэмоционального состояния с целью снижения негативного влияния стрессов и психических перегрузок.
- Соблюдение мер безопасности для минимизации токсичного воздействия химических веществ на организм в случае работы на вредном производстве.
Видео с YouTube по теме статьи:
Эрозивный гастрит: что это такое
Эрозивный гастрит относится к весьма распространенным воспалительным заболеваниям желудочно-кишечного тракта.
Гастрит представляет собой острое или хроническое воспаление слизистой оболочки, которая выстилает желудок изнутри. При этом отмечается нарушение секреции соляной кислоты и других компонентов желудочного сока, отвечающих за пищеварение.
Данное заболевание может протекать без каких-либо признаков или сопровождается целым рядом неприятных симптомов, которые в некоторых случаях существенно нарушают жизнь пациента.
Одной из форм воспаления слизистой желудка является эрозивный гастрит. Основным его признаком служит появление на выстилке желудка единичных или множественных эрозий, которые представляют собой поверхностные дефекты слизистой. В отличие от язв, которые также сопровождаются нарушением целостности оболочки желудка, эрозии заживают без образования соединительно-тканного рубца.
Эрозивный гастрит может быть острым или хроническим и считается существенным фактором риска развития язвенной болезни желудка и желудочных кровотечений. О хронических эрозиях можно говорить в том случае, если дефекты слизистой оболочки не заживают 6 месяцев и более.
Эрозивный гастрит: распространенность
Эрозии на слизистой оболочке желудка, а также двенадцатиперстной кишки у современного человека встречаются довольно часто. Отчасти это связано с хроническими стрессами, неблагоприятными условиями жизни и работы и неправильным питанием.
Статистика показывает, что острый эрозивный гастрит чаще развивается у мужчин, нередко моложе 30 лет, однако среди детей им обычно страдают девочки. Хронические эрозии также чаще возникают у мужчин, причем более старшего возраста.
Хронический эрозивный гастрит встречается у 2-20% пациентов, которым проводилось эндоскопическое обследование желудка по поводу болей в верхних отделах живота.
Данное состояние часто сопровождает другие хронические заболевания, такие как болезни печени, поджелудочной железы, почек, сердечно-сосудистой системы, легких, крови и эндокринных органов, аутоиммунные заболевания.
Эрозивный гастрит: в чем причины
Точная причина развития эрозивных поражений слизистой оболочки желудка до сих пор не установлена.
Одним из возможных механизмов развития заболевания, особенно острой его формы, считается стресс, который сопровождается нарушением кровоснабжения слизистой оболочки и ее гипоксией, то есть кислородным голоданием. В результате возникает некроз клеток выстилки желудка и появляются эрозии.
Также острый эрозивный гастрит возникает под действием на слизистую оболочку этанола, лекарственных препаратов (особенно из группы нестероидных противовоспалительных средств), химических веществ. Нередко он сопровождает обширные травмы, ожоги, кровопотерю, сотрясение головного мозга.
Среди вероятных причин развития хронической формы эрозивного гастрита можно выделить нарушение режима и состава питания, постоянный и сильный стресс, прием лекарств с раздражающим желудок действием, курение, злоупотребление алкоголем, хронические заболевания других органов и систем.
В последнее время все больше внимания уделяется инфицированию слизистой желудка особым видом бактерий под названием Хеликобактер пилори.
Эти микроорганизмы обладают специфическими способами выживания в агрессивной кислой среде желудка, подщелачивая ее.
Кроме этого, бактерии стимулируют выделение желудочного сока, способствуют развитию дисбактериоза и нарушают двигательную активность желудочно-кишечного тракта. Все эти факторы благоприятствуют воспалению и изъязвлению стенки желудка и кишечника.
Эрозивный гастрит: симптомы
Нередко эрозивный гастрит, особенно его хроническая форма, протекает бессимптомно. Однако в некоторых случаях возможно появление следующих симптомов, которые называются диспепсическими:
- тупые ноющие боли в верхних отделах живота, нередко натощак или ночью;
- изжога, отрыжка кислым или съеденной пищей;
- тошнота и рвота;
- расстройства стула с преобладанием запоров.
Одно из самых опасных осложнений эрозивного гастрита — желудочное кровотечение. Его симптомами являются:
- рвота с примесью свежей или измененной крови (типа «кофейной гущи»);
- дегтеобразный черный стул;
- примесь свежей крови в стуле.
При обильном кровотечении у пациента быстро падает артериальное давление и развивается шок, поэтому данное состояние требует неотложной диагностики и лечения.
Осложнения эрозивного гастрита
Эрозивный гастрит предрасполагает к развитию следующих осложнений:
- язвенная болезнь;
- полипы желудка;
- желудочное кровотечение;
- доброкачественные и злокачественные опухоли желудка.
Эрозивный гастрит, протекающий на фоне инфекции Хеликобактер пилори, может переходить в атрофический гастрит. При этом состоянии отмечается постепенная атрофия (функциональные нарушения) клеток, которые вырабатывают соляную кислоту и ферменты, что сопровождается расстройством пищеварения.
Считается, что атрофический гастрит, в свою очередь, предрасполагает к развитию двух опухолей: рака желудка и MALT-лимфомы, то есть опухоли из лимфоидной ткани слизистых оболочек.