Гарднерелла у женщин — откуда появляется? симптомы и лечение гарднереллёза

Присутствие гарднереллы у женщин во влагалище является признаком бактериального вагиноза.

Это невоспалительное заболевание инфекционной природы, основной особенностью которого является снижение либо полное отсутствие лактофлоры.

Гарднерелла у женщин - откуда появляется? Симптомы и лечение гарднереллёза

  • Стремительное размножение гарднереллы во влагалище и мочеиспускательном канале приводит к уничтожению нормальной микрофлоры.
  • Вызывает неприятные симптоматические проявления.
  • Практически у 20% представительниц женского пола фертильного возраста встречается повышенное содержание гарднереллы.
  • В данном случае проводится диагностика и лечение патологических процессов.
  • Иначе при игнорировании болезни повышается вероятность развития воспалительных процессов в органах мочевыделительной системы, матке и придатках.
  • Может стать причиной сложных родов или вызвать осложнения в период вынашивания плода.

Пути передачи гарднереллы

  1. Патогенный микроорганизм в малых количествах присутствует в нормальной микрофлоре влагалища и размножается при определенных условиях.
  2. Несмотря на это, могут быть и другие пути заражения у женщин.

  3. Гарднерелла передается через незащищенный половой контакт, от инфицированного сексуального партнера.
  4. При наличии гарднереллы у женщин передается ли микроорганизм мужчинам?
  5. В период клинических признаков и прохождения лечения пациенткам следует воздержаться от сексуальной связи.

  6. Но в инкубационный период или при бессимптомном течении болезни инфекция передается половому партнеру.
  7. Далее при случайных половых связях он передает гарднереллу здоровым женщинам.

  8. Достаточно часто при половом заражении здоровых женщин гарднереллой совместно в микрофлору проникают также гонококковая инфекция, хламидии, микоплазмы и другие бактерии.

Причины развития гарднереллы: предрасполагающие факторы

Откуда появляется инфекция?

Причиной патологического процесса становится нарушение состава нормальной микрофлоры влагалища.

Гарднерелла у женщин - откуда появляется? Симптомы и лечение гарднереллёза

  • Вследствие этого происходит размножение патогенных микроорганизмов, ранее не причинявших дискомфорт.
  • Причиной возникновения гарднерелл у женщин в повышенном количестве являются негативно воздействующее влияние внешних и внутренних факторов.
  • Внешнее неблагоприятное влияние оказывают:
  • загрязненная внешняя среда (относится к пациентам, проживающим в неблагоприятных экологических районах);
  • регулярная сексуальная связь с разными половыми партнерами;
  • преобладание вредной пищи, постоянные диеты при условии низкого содержания кисло молочной продукции;
  • присутствующие ЗППП;
  • перенесенная в недавнем прошлом длительная антибиотикотерапия, в частности с применением антибактериальных средств в виде суппозиториев или мазей;
  • прием гормональных лекарств;
  • регулярное использование различных косметических средств для интимной гигиены, постоянное ношение ежедневных прокладок, частое спринцевание влагалища антисептическими растворами;
  • ношение белья из некачественных материалов, синтетики.

Среди внутренних факторов, оказывающих негативное влияние на микрофлору влагалища, относятся:

  • расстройства органов эндокринной системы, а также гормональные изменения вовремя беременности;
  • частые стрессовые ситуации, нервное перенапряжение, депрессии;
  • ежедневные высокие физические нагрузки;
  • снижение иммунных свойств организма;
  • наличие хронических патологических процессов мочеполовой системы и других внутренних органов;
  • дисбактериоз микрофлоры кишечника.

Клиническая картина гарднереллеза

  1. Симптоматика бактериального вагиноза схожа с другими инфекциями органов мочеполовой системы.
  2. Инкубационный период гарднереллы у женщины длится от 3 до 5-ти дней.

  3. Признаки гарднереллы у женщин проявляются следующим образом:
  • Появляются выделения из половых путей густой консистенции, умеренного или обильного характера.
  • Выделения имеют грязно белый цвет, могут приобретать желтый оттенок.
  • Характерной особенностью выделений является зловоние, напоминающее тухлый рыбный запах.
  • Возникает зуд, жжение и дискомфортные ощущения в области половых путей, усиливающиеся при опорожнении мочевого пузыря и вовремя сексуальной близости.
  • Развиваются симптомы кольпита (воспалительных процессов слизистой оболочки влагалища) – к присутствующим признакам присоединяется ощущение распирания и давления внутри влагалища, неприятные ощущения вовремя и контактные кровотечения после полового контакта.

Гарднерелла у женщин - откуда появляется? Симптомы и лечение гарднереллёза

Как проявляется гарднерелла в период беременности?

Симптомы гарднереллы у беременных женщин практически не отличаются от клиники, возникающей у небеременной.

Первыми признаками являются

  • возникновение выделений с характерным зловонным запахом тухлой рыбы,
  • сильное ощущение зуда внешних и внутренних половых органов,
  • отечность, гиперемия половых губ,
  • дискомфортные ощущения.
  • В период вынашивания плода клиническая картина менее выражена, а патологические выделения имеют желто-зеленый оттенок.
  • В некоторых случаях на ранних этапах болезни у беременной женщины возникающие выделения имеют слизистый характер и легкий неприятный рыбный запах.
  • При походе в туалет беспокоящий зуд усиливается.
  • Появляются неприятные ощущения не только в области половых путей, но и в промежности.
  • У беременных женщин присутствие большого количества гарднерелл представляет опасность не только для нее самой, но и для будущего малыша.
  • Патология негативно влияет на плод, а также может привести к самопроизвольному выкидышу.
  • Поэтому вовремя беременности необходимо при первых же симптомах обратиться к врачу-гинекологу, который занимается наблюдением пациентки.

Негативные последствия гарднереллеза

Размножение гарднереллы у женщин зачастую сочетается с другими инфекциями – уреаплазмой, хламидиями и прочим.

Гарднерелла у женщин - откуда появляется? Симптомы и лечение гарднереллёза

Происходящие внутри мочеполовой системы воспалительные процессы могут стать причиной серьезных патологий, которые в будущем приводят к бесплодию.

Осложнениями патологи являются:

  • воспалительные явления во внутренней слизистой оболочке матки;
  • воспаление придатков, что непосредственно связано с бесплодием (воспалительные процессы провоцируют развитие спаек в фаллопиевых трубах вследствие чего перекрывается путь сперматозоидов к яйцеклетке, что препятствует оплодотворению);
  • формирование язвочек на слизистой оболочке мочеполовых органов;
  • самопроизвольное прерывание беременности либо преждевременные роды.

Диагностика гарднереллы у женщин

Основным анализом для подтверждения наличия гарднереллеза является мазок из влагалища.

Его исследуют с помощью светового микроскопа (с использованием метода окраски или без него).

  1. Для определения причины заболевания и возбудителя ведущую роль играет не наличие бактериального агента, а его количество.
  2. Так как в состоянии нормы у большинства представительниц женского пола гарднереллы являются частью микрофлоры влагалища (в малой концентрации).
  3. Для постановки диагноза учитываются следующие показатели:
  • присутствие характерных выделений с рыбным запахом серого оттенка;
  • повышение pH влагалища свыше 4,5;
  • появление ключевых клеток в мазках на микрофлору (эпителиальные клетки с адгезированными на поверхности гарднереллами);
  • показатели аминотеста (выделения из влагалища соединяют с несколькими каплями щелочного раствора, при гарднерелле возникает либо усиливается гнилостной рыбий запах.
  • Сверхчувствительные анализы по типу ПЦР не проводятся.
  • Так как не имеют информационной ценности в постановке диагноза – ДНК гарднереллы у женщин могут определяться даже при их единичной локализации.
  • Дополнительно пациентку обследуют на наличие нарушения микрофлоры кишечника.
  • Проводится сбор анамнеза, в ходе которого удается определить проводилась ли антибиотикотерапия.

Схема терапии гарднереллеза

  1. Лечение гарднереллы у женщин назначается индивидуально для каждой пациентки, в зависимости от тяжести течения и запущенности болезни.
  2. Также отдельная схема применяется к беременным пациенткам и девочкам.
  3. Терапия состоит из нескольких основных этапов.

  4. В первую очередь назначаются антибактериальные препараты, действие которых направленно на уничтожение патогенной микрофлоры.
  5. Далее назначаются пробиотики и витаминные комплексы.

  6. Сразу после постановки диагноза врач дает рекомендации относительно рациона питания и использования некоторых рецептов народной медицины (вспомогательные методы).

Назначение антибактериальных средств при гарднерелле у женщин

Препарат, дозировка и длительность курса определяется лечащим врачом.

Гарднерелла у женщин - откуда появляется? Симптомы и лечение гарднереллёза

В среднем терапия длится от 3 до 5 дней.

Антибактериальные препараты для перорального приема:

  1. I. Таблетки Метронидазол (антипротозойное средство с антибактериальным действием) – доза зависит от тяжести болезни, назначается 1 таблетка в сутки курсом до 5 дней либо 2 таблетки в течение суток курсом от 2 до 4 дней.
  2. II. Трихопол (антипротозойный и антибактериальный препарат) – по 2 табл. утром и вечером, длительностью до 5 дней.
  3. III. Клиндамицин (группа линкомицинов) – производится в виде капсул, средняя дозировка – 150 мг 2 раза в сутки. Интервал между приемом лекарства должен быть не менее 8-ти часов. При тяжелых клинических проявлениях дозировку повышают.

Назначение суппозиториев:

  1. I. Полижинакс (сочетание антибактериального и противогрибкового действия) – свечи вводятся во влагалище после проведения вечерних гигиенических процедур. Введение проводится в положении лежа на спине. Средняя дозировка – 1 суппозиторий перед сном. Длительность лечения от 5-ти до 10-12 дней.
  2. II. Гексикон (основное действующее вещество – хлоргексидин, антисептик) – свечи вводятся вагинально по 1 шт. утром и вечером. Длительность терапии от 1 до 2-3 недель, в зависимости от состояния больной.
  3. III. Тержинан (комбинированное средство – снимает воспаление, устраняет грибковую инфекцию, бактерии, обладает противопротозойным действием) – вводится 1 суппозиторий на ночь. Предварительно свечу опускают в кипяченную воду на 15-20 секунд, что способствует ее быстрому растворению. Курс терапии длится до 10-ти дней.

Гарднерелла у женщин - откуда появляется? Симптомы и лечение гарднереллёза

 

Гарднерелла у женщин: откуда появляется, какие симптомы и как лечить

Гарднерелла у женщин - откуда появляется? Симптомы и лечение гарднереллёзаГарднерелла вагиналис — возбудитель вагинального дисбактериоза, опасного своими тяжелыми осложнениями. Патология проявляется обильными влагалищными выделениями, тянущими болями внизу живота, сухостью слизистых. Лечение гарднереллеза консервативное с использованием местных антисептиков, антибиотиков и противомикробных средств.

Что такое гарднерелла

Гарднерелла — факультативная анаэробная бактерия, постоянно обитающая во влагалище. Ее популяция небольшая по сравнению с числом других представителей вагинального микробиоценоза.

В нем много лактобактерий, обеспечивающих кислую среду, а также бифидобактерий и пептострептококков.

Если полезных микроорганизмов во влагалище достаточно, то можно не опасаться активизации патогенов, к которым и относится гарднерелла.

Стоит иммунитету человеку ослабнуть, как эти бактерии начинают расти и размножаться. Они занимают места погибших лактобактерий, продвигаются вверх по направлению к матке и придаткам. Чем больше становится гарднерелл, тем стремительнее растет число представителей патогенной микрофлоры. Развивается вагинальный дисбактериоз, который часто предшествует и кандидозу.

Причины возникновения гарднереллы

Гарднерелла передается половым путем, а риск заражения ею значительно повышается при частой смене партнеров. Но это не означает, что непременно возникнет вагинальный дисбактериоз.

При качественной иммунной защите болезнетворные бактерии будут обезврежены или сразу ликвидированы.

Гарднереллы — представители условно-патогенной микрофлоры, способные не проявлять себя в течение долгого времени. Инфекция манифестирует при резком снижении иммунитета, спровоцированном такими негативными факторами:

  • неблагоприятной экологией;
  • нерациональным, несбалансированным питанием, обедненном молочнокислыми продуктами;
  • недостаточным поступлением в организм микро- и макроэлементов, жиро- и водорастворимых витаминов;
  • инфицированием возбудителями венерических заболеваний;
  • длительным курсовым применением цитостатиков, глюкокортикостероидов, антибактериальных средств, в том числе местных;
  • использованием оральных контрацептивов;
  • ношением белья из синтетики, плохо пропускающего воздух и поглощающего влагу;
  • расстройствами гормонального фона, например, беременностью, климаксом, эндокринными патологиями;
  • любым иммунодефицитным состоянием;
  • депрессивным состоянием, неврозом, острым переживанием стрессовой ситуации.

Кишечный дисбактериоз рано или поздно станет причиной и гибели полезных бактерий во влагалище.  К этому приведут заболевания урогенитального тракта — вагинальный кандидоз, вагинит, вульвовагинит и другие.

Снижение популяции лакто- и бифидобактерий отмечается при частом использовании женщиной средств интимной гигиены с отдушками.

Характерные симптомы

Инкубационный период гарднереллы длится около 5 дней. Первые признаки поражения влагалища гарднереллами могут возникнуть и спустя неделю, особенно если женщина принимает антибиотики.

У ослабленных больных гарднереллез  манифестирует через сутки после ослабления иммунной защиты. В течение нескольких дней женщина ощущает только дискомфорт из-за пересушивания слизистой. Но вскоре его интенсивность нарастает.

В большинстве случаев инфекция проявляется такими симптомами:

  • сероватыми выделениями влагалища со слабым неприятным запахом;
  • ощущением тяжести внизу живота, особенно после мочеиспускания;
  • незначительным покраснением слизистых и (или) кожи в местах активизации инфекционных агентов;
  • общим недомоганием, слабостью, быстрой утомляемостью, расстройствами сна;
  • психоэмоциональной нестабильностью из-за непонимания происходящего.

При отсутствии лечения бактериальный вагиноз принимает хроническую форму течения. Во время ремиссии ощущается жжение, покалывание, слабые рези при опорожнении мочевого пузыря.

Обострение гарднереллеза происходит при переохлаждении, в период рецидивов других хронических патологий, а также простуды.

Женщина замечает обильные вагинальные выделения, а вместо жжения чувствует умеренную боль.

Лечение

Нарушения микрофлоры при гарднереллезе диагностируются на основании жалоб женщины, характерной клинической картины.

Для установления видовой принадлежности инфекционных возбудителей производится посев отделяемого из влагалища (мазок) в питательные среды.

По количеству образовавшихся колоний судят и об интенсивности воспалительного процесса. ПРЦ и иммуноферментный анализ используются только при неинформативности бакпосева.

Гарднерелла у женщин - откуда появляется? Симптомы и лечение гарднереллёзаК терапии гарднереллеза практикуется поэтапный, комплексный подход. На начальном этапе женщине назначаются препараты для уничтожения условно-патогенных микроорганизмов. В терапевтические схемы включаются анальгетики, ликвидирующие болезненность и жжение. А затем используются средства для восстановления микробиоценоза влагалища. Применяются эубиотики — и пробиотики, и пребиотики. В терапии гарднереллеза полезны Лактобактерин, Хилак Форте, Линекс, Аципол. А для улучшения общего состояния здоровья используются сбалансированные комплексы витаминов и минералов: Центрум, Селмевит, Витрум, Супрадин.

Лекарства

В процессе сосуществования с человеком гарднереллы выработали резистентность ко многим антибиотикам. Они устойчивы к действию полусинтетических пенициллинов, тетрациклинов, хинолонов.

Наиболее чувствительны болезнетворные бактерии к клиндамицину в форме вагинального крема или капсул. Применения этого антибиотика вполне достаточно для уничтожения гарднерелл.

При остром инфекционном процессе дополнительно назначаются наружные средства с метронидазолом в виде вагинальных свечей, крема или таблеток для приема внутрь:

  • Метрогил;
  • Клион;
  • Трихопол.

На месте погибших лактобактерий нередко начинают размножаться и условно-патогенные грибки. Врачи предпочитают сразу предупреждать кандидоз, включая в лечебные схемы препараты с клотримазолом (вагинальные таблетки, суппозитории, крем, гель). Это Кандид, Имидил, Кандизол, Кандибене, Фунгинал, Канизон.

Лечение антибактериальными средствами показано не только женщине, но и ее половому партнеру, иначе произойдет повторный рецидив.

Народные средства

Лечение в домашних условиях народными средствами не только нецелесообразно, но и опасно. Ни одно из них не обладает способностью даже сдерживать рост условно-патогенных микроорганизмов. Народные средства могут лишь немного снижать выраженность симптоматики. А это исказит диагностическую картину, станет причиной обращения к врачу уже при развившихся осложнениях.

Представители официальной медицины рекомендуют использовать ромашковый чай и кислый настой плодов шиповника (чайная ложка на стакан кипятка). Обильное питье приведет к учащению мочеиспусканий. А значит, определенная часть бактерий будет выводиться из организма с мочой.

Меры профилактики

Вылечить гарднереллу навсегда не получится — она неотъемлемая составляющая вагинальной микрофлоры. А вот не позволить ей активизироваться вполне возможно.

Следует исключить беспорядочные сексуальные связи. Необходимо укреплять иммунитет, своевременно лечить все заболевания, использовать гигиенические средства без ароматизаторов.

Также нужно проходить медицинские осмотры у врача-гинеколога не реже 2 раз в год.

Женщина считается выздоровевшей, если при повторном лабораторном обследовании в мазке не обнаружено повышенного количества гарднерелл. При соблюдении врачебных рекомендаций прогноз благоприятный. Вагинальная микрофлора восстанавливается, а все симптомы патологии исчезают.

Гарднереллез у женщин: симптомы и лечение, откуда появляется и как проявляются признаки гарднереллы, нужно ли волноваться беременным?

Болезней, поражающих женскую половую систему, множество. Одно из часто возникающих заболеваний — гарднереллез.

Эта патология не считается классической венерической болезнью, но ее течение может быть затяжным, а путь к полному выздоровлению — долгим.

Давайте разберем все детали: каковы симптомы и признаки гарднереллеза у женщин, лечение заболевания, возможные последствия.

Суть заболевания и бактерия Гарднерелла Вагиналис

Во влагалище женщины присутствует определенная микрофлора, включающая массу микроорганизмов, — как полезных (лактобактерии), так и условно-патогенных. Их соотношение у здоровой женщины оптимально для здоровья репродуктивной системы и всего организма.

При определенных ситуациях условно-патогенная флора начинает активно размножаться, вытесняя полезную.

Микроорганизм гарднерелла вагиналис как раз относится к разряду условно-патогенных. В норме ее количество в половых путях ничтожно либо наблюдается полное отсутствие.

При нарушении биоценоза из-за приема антибиотиков, при беспорядочных половых контактах, использовании противозачаточных свечей гарднерелла вагиналис активно размножается, вытесняя полезные микроорганизмы.

Откуда появляется патология: причины возникновения и пути передачи

Откуда берется гарднерелла у женщин, в чем ее причины появления? Гарднереллез развивается по ряду причин, которые врачи-гинекологи считают классическими:

  • употребление сильнодействующих антибиотиков, которые убивают микрофлору в кишечнике, влагалище, подрывая оптимальное соотношение микроорганизмов;
  • спринцевания, которые женщины проводят самостоятельно, в результате полезная флора просто вымывается;
  • использование для спринцеваний антисептиков с мощным антибактериальным эффектом;
  • использование противозачаточных препаратов с содержанием вещества 9-ноноксинол, способном губительно влиять на лактобактерии;
  • беспорядочные половые связи, частая смена половых партнеров;
  • половые контакты без средств контрацепции.
  • Чтобы гарднерелла начала активно размножаться, вызывая бактериальный вагиноз, нужно несколько причин.
  • Хотя у женщин с ослабленной иммунной системой болезнь может стартовать при наличии одного фактора.
  • Заражение происходит через половые контакты без барьерных средств контрацепции.

Передается ли гарднерелла от женщины к мужчине и наоборот, может ли мужчина заразить женщину? Источник инфекции — больная женщина. Основные пути заражения — от женщины к мужчине, и наоборот.

Хотя врачи говорят о том, что в мужском организме гарднерелла не может прижиться, мужчины выступают в роли переносчика микроорганизма.

Классификация

Как и большинство болезней, поражающих женскую мочеполовую систему, гарднереллез имеет определенную классификацию. Врачи-гинекологи чаще классифицируют заболевание по тяжести протекания:

  • бактериальный вагиноз компенсированного типа — при таком течении по анализам отмечается незначительное наличие условно-патогенной флоры у больных;
  • бактериальный вагиноз по субкомпенсированному типу — значительно уменьшается количество полезных лактобактерий с повышением условно-патогенной флоры, в том числе гарднереллы;
  • вагиноз по декомпенсированному типу — полезная флора практически полностью вытеснена патогенной, воспалительный процесс сильный, выраженный, характерны изменения эпителиального слоя.

Клиническая картина

  1. Болезнь может поражать женщин в любом возрасте, включая совсем юных девушек и женщин в возрасте.

  2. Как проявляется гарднерелла у женщин?
  3. Патология может развиваться:
  • бессимптомно — заболевание диагностируют по анализам, никаких жалоб женщина не предъявляет, болей и выделений нет;
  • с ярко выраженной клинической картиной — боли и рези, выделения, плохое самочувствие.
  • Инкубационный период гарднереллеза у женщин — с момента попадания гарднереллы в половые пути до момента проявления — составляет от недели до 20 дней.
  • В этот период патогенная флора начинает постепенно распространяться, вытесняя полезную.
  • Начало болезни характеризуется слабовыраженными признаками — небольшой дискомфорт, слабые выделения.

Основные признаки, свидетельствующие о развитии гарднереллеза:

  • Плохой запах от половых путей — это первый симптом развития вагиноза; запах зловонный, резкий, похож на аромат от разлагающейся рыбы, что обусловлено разложением аминов из-за быстрого размножения гарднерелл.
  • Выделения из влагалища — их характер меняется в зависимости от тяжести. При начальной стадии выделения имеют вид слизистой полупрозрачной и мутной жидкости, по мере усугубления патологии выделения становятся серыми, непрозрачными, вязкими, приобретают зеленый или желтый оттенок.При запущенной стадии выделения образуют наслоения на стенках влагалища, вызывая его отек и покраснение. Характерная особенность выделений при гарднереллезе — дурной запах.
  • Внезапные сбои менструального цикла могут указывать на развитие бактериального вагиноза.
  • Дискомфорт в районе мочеполовых органов — по мере размножения патогенной флоры появляются зуд и жжение в уретре, половых губах, влагалище, слизистые оболочки могут выглядеть отекшими, воспаленными.
  • Развитие болезней, затрагивающих органы мочевой системы, — уретрит, цистит указывают на гарднереллез. Это обусловлено непосредственной близостью расположения половых органов и мочевыводящих.
  • Болевые ощущения при половом акте — болезненность может возникнуть непосредственно при близости и сохраняться после нее.
  • Боли во время мочеиспускания — возникают при распространении инфекции на уретру.
  • Общее недомогание — патология может привести к общему нарушению самочувствия, ощущению слабости, возможно повышение температуры, как следствие активного размножения негативных микробов.

Диагностические мероприятия

Опасность болезни — в ее возможном скрытом течении, без жалоб и признаков. При этом женщина, не подозревая о наличии вагиноза, может заражать половых партнеров.

При ярком начале болезни важно своевременное обращение за медицинской помощью. Врач, который лечит гарднереллез — гинеколог.

Диагностика заболевания должна быть комплексной, важно дифференцировать гарднереллез с другими заболеваниями мочеполовой сферы — вульвит, кольпит, хламидиоз.

Основные методы установления диагноза:

  • Гинекологический осмотр. При первичном приеме врач осуществляет сбор информации о половой жизни, методах контрацепции, регулярности цикла. Обязателен осмотр на кресле с использованием гинекологических зеркал для осмотра влагалища.
  • Взятие мазка для лабораторных и микроскопических исследований, в ходе которых будет установлено наличие патогенных микроорганизмов.
  • Взятие мазка на маркеры вагиноза.
  • Определение уровня кислотности во влагалище специальными тест-полосками.
  • ПЦР-диагностика — метод полимерной цепной реакции.
  • Реакция на изонитрил — вещество, которое появляется во влагалище при гарднереллезе и придает выделениям запах гнилой рыбы.

Общий клинический анализ крови, мочи позволяет определить тяжесть протекания патологии, ее распространение на мочевыводящие органы. После подтверждения диагноза врач дополнительно может провести кольпоскопию, чтобы установить наличие воспалительных процессов в шейке матки.

Чем опасна инфекция

Эта болезнь не относится к чисто венерическим, но сопутствующее лечение необходимо. При длительном течении гарднереллеза без классических признаков — выделений, болей, дискомфорта в области половых путей — могут развиться нешуточные осложнения.

  1. У женщин несвоевременное и неправильное лечение способно спровоцировать развитие воспалительных заболеваний органов малого таза, включая спаечную болезнь, метроэндометрит — воспаление мышечного слоя матки.
  2. Другие последствия:
  3. При своевременном обращении к гинекологу и адекватно назначенной терапии гарднереллез успешно лечится.

Как и чем лечить: схемы приема препаратов

Лечение проводится в несколько этапов:

  • уничтожение самого возбудителя;
  • восстановление микрофлоры во влагалище;
  • общая укрепляющая терапия — для повышения иммунитета.

Первый этап, направленный на подавление патогенной флоры и дальнейшее недопущение ее роста. Важно определить чувствительность гарднерелл к антибиотикам, чтобы лечение прошло успешно.

Основные группы антибиотиков, применяемых в терапии гарднереллеза:

  • антибиотики широкого спектра воздействия — Клиндамицин, Метронидазол — убивают виновника болезни и прочие микроорганизмы — стафилококк, кишечную палочку;
  • производные имидазолов — Трихопол, Тинидазол — эти препараты губительны в отношении гарднерелл, трихомонад, которые зачастую присоединяются к течению болезни;
  • препараты антисептического действия — Макмирор — действуют мягче, чем антибиотики, но дополнительно препятствует росту грибов во влагалище, предупреждая молочницу.
  • Антибиотикотерапия составляет в среднем 7-10 дней в дозировках, рассчитанных в зависимости от возраста, веса больных, выраженности воспаления.
  • Общепринятая дозировка — не менее 500 мг в сутки для препаратов с содержанием метронидазола, трихопола; 300 мг — для Клиндамицина.
  • При легком и среднем течении болезни возможен разовый прием Метронидазола в объеме 2 г.

Свечи

Применение свечей актуально при незапущенном течении болезни. В основном, суппозитории активно назначают беременным, ведь их плюс — не системное влияние на весь организм, а действие на проблемный очаг — половые пути, влагалище.

Популярные свечи в лечении гарднереллеза:

  • Тержинан — комплексный препарат в форме вагинальных таблеток, содержит антимикробные и противогрибковые компоненты;
  • Метровагин — содержит метронидазол, губительный по отношению к анаэробной инфекции;
  • Гексикон — свечи с содержанием хлоргексидина, который уничтожает вредные микробы, не влияя на лактобактерии;
  • Макмирор в форме свечей — губительно воздействует на условно-патогенные и патогенные микроорганизмы, дополнительно содержит нистатин.

Прочие лекарства

  1. После уничтожения возбудителя важно продолжить лечение медикаментами, которые снимут неприятные симптомы во влагалище и восстановят баланс микрофлоры.
  2. Лактобактерии в виде свечей или таблеток для употребления внутрь помогут наладить «правильный» биоценоз: пройдут зуд, жжение, неприятные ощущения в животе.

  3. Для таких целей назначают:
  • Бифидумбактерин в виде лиофилизата;
  • Ацилакт в форме свечей;
  • Лактобактерин — свечи и порошок.

Курс приема должен быть не менее 14 дней, чаще потребуется месяц, чтобы полезная микрофлора прижилась, поднялся местный иммунитет — в кишечнике и влагалище.

Наиболее эффективны следующие средства:

  • Вобэнзим;
  • Генферон в свечах;
  • Иммунал;
  • Интерферон.

Курс — от 10 до 14 дней, после перерыва возможно повторение для лучшего эффекта.

Народные средства

Средства народной медицины безопасны, в основе их действия — травы и растительное сырье с антимикробным и вяжущим эффектом — кора дуба, ромашка, шалфей, череда.

Применяют масла, способные заживлять поврежденную слизистую — оливковое, облепиховое.

Но несмотря на безопасность, лечение без разрешения врача лучше не проводить. Народные способы можно применять в комплексе наряду с лекарственной терапией, для облегчения симптомов.

Уничтожить возбудителя и предотвратить развитие болезни травы и прочие средства из масел, меда не в состоянии.

Популярные рецепты народной медицины в лечении гарднереллеза:

  • спринцевание настоем коры дуба (на 10 г сырья 200 мл кипятка) перед сном в течение недели;
  • спринцевание настоем из ромашки и подорожника (на 20 г смеси трав стакан кипятка) на ночь, курс — 10 дней;
  • тампоны с облепиховым маслом — стерильную марлю пропитать подогретым маслом, свернуть и ввести во влагалище на ночь, курс — 7-10 дней.

Оптимальная продолжительность терапии, лечение партнера

Средняя продолжительность лечения бактериального вагиноза составляет почти 2 месяца, из которых 7-10 дней длится терапия антибиотиками, около 14-30 дней происходит восстановление микрофлоры путем приема биопрепаратов, около 2-х недель нужно для поднятия защитных сил организма.

Сложно лечить — болезнь может возвращаться. При малейших провоцирующих факторах — переохлаждение, стресс — гарднерелла опять начинает активизироваться. Поэтому курсы лекарственной терапии периодически важно повторять.

  • Мужчинам чаще назначают антимикробные средства в виде мазей и кремов (Метронидазол гель) — они воздействует на очаг воспаления, уничтожая возбудителя.
  • Контрольное обследование важно проводить обоим — женщине и партнеру, при отсутствии в мазке инфекции и клинических проявлений болезнь считается побежденной.
  • О лечении этого заболевание подробно расскажет врач:

Гарднереллез у беременных

Эта напасть диагностируется и у беременных на разных сроках. Для плода болезнь не несет опасности — через кровь и плаценту бактерии попасть к ребенку не могут.

Но невылеченная патология может осложнить течение беременности и родового процесса, состояние самой женщины.

Перечень возможных осложнений:

  • преждевременные роды;
  • ранний прорыв околоплодного пузыря;
  • послеродовой эндометрит — воспаление в матке.

Лечить гарднереллу у женщин при беременности можно и нужно. Гинекологи назначают более мягкие, щадящие препараты с местным действием.

Антибиотики противопоказаны, особенно на раннем сроке. Свечи с клиндамицином либо вагинальные таблетки Тержинан уничтожают патогенную флору во влагалище, не всасываясь в общий кровоток, и попадание через плаценту исключено.

Не менее важно для беременных, лечащихся от вагиноза, употребление кисломолочных продуктов в виде био-йогуртов, кефира. Это помогает создать правильный баланс полезных бактерий.

Беременным важно периодически сдавать мазки на определение «вредной» микрофлоры, чтобы своевременно диагностировать и лечить инфекционные болезни половых путей.

Если лечение проведено грамотно, с применением антимикробных препаратов, общеукрепляющих средств и медикаментов, способствующих восстановлению «правильной» микрофлоры, риск негативных последствий для организма сводится к минимуму.

Распространенное осложнение — ослабление защитных сил организма. Ему нужно время, чтобы прийти в норму.

В основном, прогноз благоприятный, серьезные осложнения возникают редко. Главное — распознать болезнь в самом начале.

Профилактические меры

Гарднереллез — болезнь неприятная, опасная, поэтому лучше предупредить ее развитие. Основа профилактики — забота о здоровье мочеполовой системы и всего организма.

Важно укреплять иммунитет простыми мерами:

  • правильное питание;
  • отказ от вредных привычек;
  • рациональный режим труда и отдыха;
  • избегание стрессовых, конфликтных ситуаций.

Женщина должна избегать переохлаждений, регулярно соблюдать гигиену половых органов, причем для этих целей важно выбрать правильные очищающие средства с молочной кислотой, использование которых не вызовет нарушение кислотности во влагалище.

Особо тщательной должна быть гигиена во время критических дней — частая замена прокладок, отказ по возможности от частого применения тампонов.

Грамотное половое поведение позволит сохранить здоровье репродуктивной системы. Наличие проверенного партнера, применение контрацептивов позволит избежать заражения болезнями, передающимися половым путем.

При любых настораживающих признаках — небольшой зуд, непонятные выделения, дискомфорт — повод для визита к гинекологу.

Гарднереллез — коварная болезнь. Хоть оно не считается таким тяжелым, как ЗППП, но способно подорвать здоровье женщины и ухудшить качество жизни.

Своевременное выявление инфекции, комплексный подход к лечению и бережное отношение к своему организму позволит сохранить отличное самочувствие надолго.

И в завершение еще больше полезной и важной информации о гарднереллезе:

Гарднерелла у женщин — откуда появляется? Симптомы и лечение гарднереллёза

Влагалищная гарднерелла у женщин (Gardnerella vaginalis) – это один из видов микроорганизмов, который находится в половых путях даже у здоровых людей.

Когда они живут во влагалище в небольшом количестве, никакой неприятной симптоматики не проявляется. Однако ряд факторов может привести к усиленному размножению влагалищной бактерии Гарднереллы.

На его фоне, после проведения анализов, женщине диагностируют гарднереллез.

Сразу предупредим, что обычно эти бактерии – Gardnerella vaginalis, в небольшом количестве присутствуют в женской микрофлоре всегда, но при возникновении определенных условий начинается их активное размножение, что и приводит к первым симптомам гарднереллеза.

Такое заболевание относят к числу венерических, но не в классическом виде. Многих волнует откуда появляется в избыточном кол-ве бактерия гарднереллы у женщин, передается ли она половым путем от мужчины, при не защищенном половом акте.

Помимо ответа на эти вопросы, очень важно знать все варианты, откуда появляется гарднерелла, а также симптомы начала развития влагалищного гарднереллёза у женщины и своевременно начать медикаментозное лечение таблетками, свечами, мазями, народными средствами лечения гарднереллы отварами и настоями трав, цветов, спринцевания и приема внутрь.

В целом гарднереллез считается не опасным, так как не приводит к бесплодию, однако его всё равно необходимо вовремя лечить отклонения от нормы.

Гарднерелла у женщин – микроорганизм, который находится в половых путях женщины.

Возбудитель

Данные бактерии представлены единственным видом – это гарднерелла вагиналис (Gardnerella vaginalis). Это факультативные анаэробы, которые способны жить и развиваться в безвоздушной среде. Обычно они в небольшом количестве присутствуют в женской микрофлоре, но при возникновении определенных условий начинается их активное размножение.

Главное патологическое действие данного бактериального микроорганизма – подавление и постепенное уничтожение молочнокислых бактерий. Их также называют лактобактериями или палочками Додерлейна. В нормальном состоянии они формируют здоровую кислую среду, в которой тормозится развитие различных влагалищных бактериальных патогенов и грибков.

Обратите внимание. Палочки бактерии гарднереллы синтезируют перекись водорода, за счет которой происходит обеззараживание микрофлоры.

В случае, когда количество молочнокислых бактерий падает ниже нормы, то есть их становится менее 95% от всех присутствующих микроорганизмов, развивается патогенная флора.

Обычно они подавляются не только гарднереллами, но и облигатными анаэробами и микоплазмой, то есть микроорганизмами вроде фузобактерий и пептострептококков. Очень часто сочетается уреаплазма и гарднерелла.

По этой причине такие патологии называют смешанными инфекциями.

Подобная ситуация опасна преимущественно тем, что изменение кислотности позволяет другим патогенам спокойно развиваться в микрофлоре. В простых случаях на фоне гарднереллеза появляется бактериальный вагиноз, но сниженная защита половых органов позволяет добраться до них и более серьёзным вирусам.

Гарднерелла вагиналис – бактериальный возбудитель гарднереллы у женщин.

Почему развивается гарднерелла, откуда появляется?

Существуют две основные основные причины появления повышенного количества вагинальных бактерий гарднереллы у женщин.

Первая причина появления – заражение гарднереллой от другого человека. На вопрос о том, как передается этот патоген, существует один доказанный ответ – гарднерелла передается половым путем. Именно так заражается большинство здоровых женщин, которые не испытывают проблем с иммунитетом.

Вторая причина появления – сбой в иммунной системе женщины. В остальных случаях развитие болезни связно с активацией патогенной флоры конкретной представительницы прекрасного пола. Это связано с проблемами с иммунной системой или негативным влиянием на микрофлору. Подобное происходит под воздействием следующих факторов:

  • Употребление медикаментозных препаратов, особенно антибиотиков;
  • Проведение спринцевания, использование местных антисептиков;
  • Использование контрацептивов (за исключением презервативов) без врачебной консультации и назначения (противозачаточные таблетки, внутриматочная контрацепция, спермициды);
  • Период менопаузы или полового созревания;
  • Изменения в гормональном фоне, которые затрагивают количество крови, появляющейся во время менструаций;
  • Гормональные сбои, вызывающие удлинение менструального цикла;
  • Воспалительные процессы матки, придатков и других половых органов;
  • Иммунодефицитные состояния, развивающиеся на фоне ВИЧ-инфекции, использования цитостатиков и иммунодепрессантов, а также при сахарном диабете у женщин;
  • Инородные тела в матке или влагалище;
  • Бактериальные инфекции мочевыводящих путей;
  • Полипы в матке и кисты яичника;
  • Пороки развития.

Отдельное место в вопросе о том, откуда берется гарднереллез, занимает образ жизни женщины. Например, снижение иммунитета часто наблюдается на фоне стресса. Также этому способствуют разнообразные хронические инфекции, лечению которых не уделяется достаточно внимания. Беспорядочные половые связи – ещё один значительный фактор появления болезней, передающихся половым путем.

Гарднерелла у мужчин не может привести к развитию заболевания, так как микроорганизмы просто выводятся из уретры посредством потока мочи. Однако такие представители сильного пола становятся носителями патогена, то есть от них болезнь может передаваться дальше. Обнаружена гарднерелла может быть только случайно, потому что признаки заболевания у мужчин не наблюдаются.

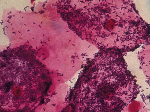
Гарднерелла передается половым путем и визуально выглядит как на этом фото.

Симптомы влагалищного гарднереллеза

Симптомы гарднереллы у женщин преимущественно не отличаются от большинства других половых инфекций. По истечении инкубационного периода, который в норме составляет от четырех до десяти дней, проявляются следующие первые признаки:

  • Запах тухлой рыбы;
  • Выделения серого, белого или желтоватого оттенка.

Когда появился неприятный запах, большинство девушек стараются чаще проводить подмывания. Нередко они делают это до шести раз в день. В результате и без того измененная кислотно-щелочная среда ухудшается ещё больше. На фоне этого периоды отсутствия запаха становятся все более короткими, а само проявление всё более сильным.

Обратите внимание. Данный симптом обусловлен процессом распада аминов, которые являются побочным продуктом жизнедеятельности бактерии-возбудителя.

Уже на этом этапе женщина должна поскорее сдать анализы, чтобы врач решил, как вылечить гарднереллу. Появившись, данные признаки вряд ли пройдут сами собой. За ними последует развитие других проявлений. Ими станут:

  • Зуд и жжение;
  • Боль во время полового акта;
  • Кремообразные выделения, которые будут стекать по стенкам влагалища;
  • Симптоматика цистита;
  • Нарушения мочеиспускания – малые порции жидкости, слишком частые позывы, болезненность и зуд в процессе;
  • Патологические изменения шейки, вроде псевдоэрозии, эктропиона, воспаления и рубцовой деформации.

По мере развития болезни появляются признаки других патологических процессов. Например, возникает болевой синдром в нижней части живота. Он связан с тем, что во влагалище начинается воспаление. Нередко бактерия приводит к усилению болей во время менструаций. Отличительной особенностью является тот факт, что на стенках влагалища больных не наблюдается отеков или покраснений.

При появлении неприятных симптомов необходимо как можно скорее обратиться к врачу

Гарднереллёз у беременных

Гарднерелла у беременных женщин может появиться на любом сроке. К счастью, она не несет потенциальной опасности для будущего малыша, так как возбудители не передаются плоду посредством крови или прохождения сквозь плаценту. Однако отсутствие лечения нередко приводит к осложнениям процесса родов и протекания беременности. Ухудшается общее состояние женщины.

Появление влагалищной гарднереллы при беременности, опасно преимущественно возможностью:

  • Преждевременных родов;
  • Послеродового воспаления в матке, эндометрита;
  • Раннего прорыва околоплодного пузыря.

Если рождение ребенка будет происходить посредством хирургического вмешательства, в том числе и кесарева сечения, то велика вероятность развития патологических осложнений на органах малого таза. Есть риск появления на свет малыша с недостаточным весом, у него может быть пневмония.

Чтобы избежать гарднереллы у женщин во время беременности и вынашивания, будущие мамы должны регулярно проходить проверки и сдавать анализы, на выявление патогенной бактериальной или грибковой микрофлоры. Если вовремя диагностировать гарднереллез при беременности, то вылечить её будет проще, а вероятность опасных осложнений станет куда ниже.

Регулярное прохождение анализов на выявление патогенной микрофлоры поможет избежать гарднереллы у женщин во время беременности.

Диагностика

Чтобы диагностировать женский влагалищный гарднереллез, врач проводит забор секрета из самого влагалища. Зачастую мазка достаточно, чтобы была выявлена гарднерелла.

По реакции секрета определяют кислотность среды, также используют аминную реакцию, с помощью которой обнаруживают характерный рыбный запах.

Проводится анализ на изонитрил, благодаря которому изучают количество бактериальных клеток.

Важную роль в вопросе диагностики влагалищной гарднереллы играют:

  • Слущенные клетки, которые выстилают слизистую;
  • Исчезновение лактобактерий;
  • Эпителиоциты, на которых закрепляется возбудитель;
  • Присутствие других микроорганизмов, приводящих к такому заболеванию как бактериальный вагиноз;
  • Слабо выраженный воспалительный процесс, небольшое количество лейкоцитов.

Ряд методик, вроде ПИФ и ПЦР, не применяются для обнаружения патогена, эти способы считаются нецелесообразными. Гарднерелла всегда присутствует в организме женщины, поэтому анализ должен не просто выявить её, а определить конкретное количество.

Для выявления гарднереллы достаточно сделать анализ мазка, для выявления отклонений от нормы.

Лечение медикаментозное, свечи

Лечение гарднереллы у женщин включает в себя устранение причины болезни и подавление патогена. Необходимо наладить состояние иммунной системы, привести в порядок образ жизни, соблюдать диету. Лечение влагалищной гарднереллы у женщин антибиотиками, должно проходить только под контролем врача. Чаще всего назначаются лекарства вроде:

  • Метронидазола,
  • Клиндамицина,
  • Ампициллина.
  • Свечей Тержинан.

В отдельных случаях требуется схема лечения уреаплазмы, и лишь затем гарднереллеза.

Во время беременности, для лечения применяют вагинальные крема, вроде Далацина, а также свечи Гино-певарил, свечи Натальсид и свечи Пимафуцин.

Ни одной женщине интернет форум не сможет достоверно подсказать, чем лечить женский вагинальный гарднереллёз. Определить свои симптомы по фото в интернете тоже невозможно.

Народные рецепты лечения гарднереллы у женщин травами

В качестве дополнительной меры воздействия, и только под контролем специалиста, можно использовать народные средства лечения влагалищной гарднереллы у женщин – спринцевания с травами, для которых берётся ромашка, календула, алоэ или дуб.

  • Спринцевание травами. В равных долях смешивают цветы ромашки, зверобоя и шалфея. Затем две больших ложки сырья заливают кипятком в количестве 250 мл, настаивают до теплого состояния и фильтруют.
  • Настой из почек сосны. Считается хорошим противомикробным средством в народе. Рецепт приготовления: в термос насыпают большую ложку измельченных почек сосны, заливают 500 мл кипятка, настаивают в течение ночи. Утром настойку фильтруют, после чего пьют теплой четыре раза за сутки перед приемами еды. Объем разовой дозы составляет ½ стакана. После приема настойки полчаса не рекомендуется есть. Длительность терапии две недели.
  • Эфирное масло, полученное из чайного дерева. В одну большую ложку молока добавляют одну капельку масла. Принимать средство следует в утренние и вечерние часы. Длительность такой терапии составляет 21 день.
  • Тампоны с маслом. Растительное масло можно использовать и для приготовления целебных тампонов. Следует прокипятить 10 грамм постного, льняного или любого другого растительного масла, добавить в него 5 капель эфирного масла, тщательно перемешать. Стерильный тампон необходимо смочить приготовленным маслом и ввести на ночь во влагалище. Процедуры требуется проводить с интервалом в 24 часа, всего их должно быть десять.
  • Настойка из цветов для приема внутрь и спринцевания. Смешивают полторы маленьких ложки клевера с двумя маленькими ложками цветов белой кувшинки, таким же количеством лепестков садовой розы и белого пиона, в смесь добавляют три маленьких ложки цветов ромашки. После перемешивания большую ложку сбора заваривают в 500 мл кипятка и настаивают 40 минут, после чего фильтруют и пьют по ½ стакана в утренние и вечерние часы. Этим же средством рекомендуют проводить спринцевания. Продолжительность лечения — 10 суток.

Для приготовления в домашних условиях напитка для употребления внутрь требуется взять траву зверобой, аптечную ромашку, шалфей в равных количествах и хорошо перемешать.

Затем 2 столовые ложки получившейся смеси заливаются 1 литром кипящей воды и настаиваются 8-10 часов. В течение дня настой употребляется 3 раза по ½ стакана за 15 минут до приема еды.

 Если настои будут использоваться для промывания влагалища, следует взять равное количество хорошо измельченных трав и перемешать. 1 столовая ложка смеси заливается 1 литром кипятка и также оставляется на 8-10 часов.

Процедуру проводят 2-3 в сутки, набирая в спринцовку по 1 стакану жидкости.

Для того чтобы процесс излечения проходил более эффективно, специалисты рекомендуют совмещать спринцевания с приемом лекарства внутрь.

Однако такие меры воздействия могут и затянуть процесс выздоровления, обязательно проконсультируйтесь с врачом.

В лечение гарднереллы у женщин входит устранение причины болезни и подавление патогена.

На Видео, представитель КВД (Кожно-венерологического диспансера) Ленкин Сергей Геннадьевич, подробно рассказывает про гарднереллёз у женщин, его симптомы, диагностику и лечение.

Данная статья размещена исключительно в общих познавательных целях посетителей и не является научным материалом, универсальной инструкцией или профессиональным медицинским советом, и не заменяет приём доктора. За диагностикой и лечением обращайтесь только к квалифицированным врачам.

Оставить комментарий

Ваш e-mail не будет опубликован. Обязательные поля помечены *