Язвенно-некротический гингивит, или стоматит Венсана – это тяжелая форма воспалительного заболевания десен, которая сопровождается некротизацией околозубных тканей. Проявляется как осложнение катарального гингивита, встречается редко и без медицинской помощи не излечивается.
Характерные признаки: болезненные десны, кровоточивость, язвы с белесым налетом и резкий гнилостный запах изо рта. Чаще такая патология проявляется в зимне-весенний период и в стрессовое для человека время. Внезапно появившийся гингивит Венсана – один из первых признаков заражения ВИЧ-инфекцией.
Этиология
Возбудители
Причина развития язвенно-некротического гингивита – бактериальная инфекция в патогенной микрофлоре. Возбудители – анаэробные бактерии, спирохеты и фузобактерии.
«Стайки» таких вредителей живут во рту у каждого здорового человека, но их количество ничтожно, они не опасны.
Если же человек не соблюдает правила гигиены или у него ослабевает иммунитет, анаэробные спирохеты и фузобактерии начинают активно размножаться. Токсичные продукты их бурной жизнедеятельности «отравляют» область пародонта.
Микроциркуляция жидкости в тканях нарушается, они не получают необходимые питательные вещества. Наступает некроз – разрушение и «смерть» клеток.
Фузобактерии
Общие факторы
Развивается на фоне состояний и болезней, вызывающих ослабление иммунной защиты организма:
- астения и хроническая усталость;
- болезни сердечно-сосудистой системы;
- ВИЧ-инфекция, туберкулез;
- недавно перенесенные ОРВИ;
- постоянные стрессы;
- продолжительные расстройства сна;
- эндокринные нарушения.
Другие причины – острое отравление, в том числе тяжелыми металлами (ртутью, свинцом, висмутом), курение, употребление наркотических препаратов, неполноценное питание.
Пик заболеваемости приходится на зимне-весенний период, когда организму не хватает витаминов и он ослабевает от сезонных заболеваний – простуд, гриппа, ангины и пр. У студентов —во время сессий от высокой стрессовой нагрузки.
Симптомы
- Сильные боли в области пораженных слизистой рта, отечность и покраснение;
- язвы, покрытые белесым или грязно-серым налетом;
- зловонное дыхание с резко выраженным запахом гнили;
- непроизвольная кровоточивость десен;
- деформация десневых сосочков – из треугольных они превращаются в трапециевидные;
- сильно выраженный зубной камень – обильный налет и твердые отложения.
Сперва поражение проявляется в области одного-трех зубов. За считанные дни оно распространяется на весь десневой край.
Клиническая картина
К местным симптомам присоединяется общее недомогание. Лицо приобретает землистый цвет, кожные покровы бледнеют. Температура тела повышается до 37,5-39 градусов, подчелюстные лимфоузлы увеличиваются и становятся болезненными.
Пациенты жалуются на:
- головные боли;
- мышечную слабость;
- ломоту в суставах;
- бессонницу;
- проблемы со стороны желудка и кишечника;
- потерю аппетита.
В общем анализе крови можно увидеть повышенные лейкоциты и СОЭ (скорость оседания эритроцитов) – лабораторный показатель, изменения которого свидетельствуют о воспалительном патологическом процессе в организме.
Диагностика
Симптомы патологии видны при визуальном осмотре. Для подтверждения берут соскоб с поверхности язв и проверяют образцы на присутствие анаэробных и фузобактерий, спирохеты.
Дифференциальная диагностика
Задача дифференциальной диагностики – отличить стоматит Венсана от язвенных воспалений десен, проявляющихся на фоне заболеваний крови – лейкоза, инфекционного мононуклеоза и агранулоцитоза. Для этого берут анализ периферической крови – из русла сосудов, то есть привычный анализ крови из пальца.
Для дифференциации язвенно-некротического гингивита от аллергического стоматита потребуется дополнительное бактериоскопическое исследование – мазок. При подозрении, что воспаление развилось на фоне отравления ртутью, проводится анализ мочи.
Если патология появилась внезапно, рекомендуется сдать тесты на ВИЧ-инфекцию и сифилис, провериться на онкологические заболевания.
Первый признак – сильные острые боли в околозубных тканях. Слизистая приобретает ярко-красный цвет, из-за отечности и боли становится трудно жевать.
Хронический
Симптомы хронического течения выражены не так ярко, как острого. Изо рта неприятно пахнет, при врачебном осмотре обнаруживаются небольшие язвочки и поражение в области десневого края и десневых сосочков. Хроническая форма встречается у подростков, систематически игнорирующих правила гигиены.
Хронический гингивит
Лечение язвенно-некртического гингивита
Терапия направлена на устранение проявлений болезни и ликвидацию причин. Проводится только врачом-пародонтологом в условиях клиники.
Местная терапия
-
Обезболивание
Процедуры проводятся только под аппликационным и инфильтрационным или проводниковым наркозом.
-
Снятие зубного камня
Мягкий налет и твердые отложения убирается профессиональной чисткой.
-
Обработка язв
Некротические массы удаляются аппликациями ферментов: трипсин, ируксол и т.п, область под ними тщательно дезинфицируют антисептическими и антимикробными препаратами – хлоргексидином, асептой, листерином, гелем с метронидазолом, сангваринином.
-
Медикаментозная терапия
Врач выписывает антибиотики: метронидазол, доксициклин, трихомонацид, пенициллин.
-
Полная санация ротовой полости
Лечение поможет предотвратить попадание микробов в уязвимые после процедур ткани.
После устранения очага инфекции пациенты в домашних условиях выполняют полоскания антисептическими растворами и наносят аппликации гелем «Метрогил-Дента» на пораженные участки слизистой до полного заживления ран.
Общее лечение
После местных процедур пациентам прописывают диету – легкоусвояемую пищу с высоким содержанием белка, фосфора и фтора, обильное питье. Также назначают витаминные комплексы.
При правильной терапии больным становится легче уже через день-два: отеки проходят, боли стихают, появляется аппетит и способность жевать. В норме через 3-6 дней признаки воспаления исчезают. При хронической форме это наступает немного позже. Через один-два месяца – контрольный визит к врачу. Далее приходить на осмотр к стоматологу нужно каждые шесть месяцев в течение года.
Несмотря на оптимистичный прогноз, отмершие ткани слизистой восстановить невозможно. В крайних случаях потребуется гингивопластика.
Народные средства при стоматите Венсана
Заболевание лечится только средствами традиционной стоматологической медицины. Народные средства помогут дополнить основное лечение и ускорить заживление.
Для снятия воспаления после стоматологических процедур полезны полоскания отварами и настойками на основе:
- календулы;
- коры дуба;
- зверобоя;
- ромашки.
Отвар коры дуба
Профилактика
Никаких специфических мер профилактики не требуется: только тщательная гигиена, полноценное питание и своевременное стоматологическое лечение. рекомендации стоматологов о гигиене полости рта.
- Курс лечения любой формы гингивита состоит из трех этапов: санации полости рта, противовоспалительной терапии и профилактики заболеваний тканей пародонта. Лечение атрофической формы может занять более 10 дней. Средняя цена в Москве 2162 ₽
- Лечение гингивита у детей Для лечения гингивита в раннем возрасте используют щадящие методы: чистку зубов ультразвуком, антисептические растворы, приём витаминных комплексов. Чтобы предупредить рецидив заболевания, ребенка обучают правильному уходу за полостью рта. Средняя цена в Москве 2162 ₽
Язвенный гингивит — причины (этиология), лечение, патогенез
Язвенный гингивит – это воспалительное заболевание пародонта инфекционного характера. В стоматологии воспалительный процесс имеет второе название – стоматит Венсана. Патологический процесс переносится тяжело и сопровождается некротическими язвами на слизистой пародонта. По какой причине возникает язвенное воспаление, и какие существуют методы лечения?
Что такое язвенно-некротический гингивит?

Гингивит Венсана – воспаление десен, развивающееся из-за болезнетворной микрофлоры и протекающее с образованием язвенных повреждений. Среди всех патологических состояний десен, стоматит Венсана не является распространенным заболеванием, но, несмотря на это, клиническая картина проявляется яснее и сама болезнь переносится гораздо тяжелее.
По статистическим данным, некротический гингивит обнаруживается в большинстве случаев у людей в возрасте от 18 до 37 лет. Заболевание десен нуждается в лечении, назначенным квалифицированным специалистом.
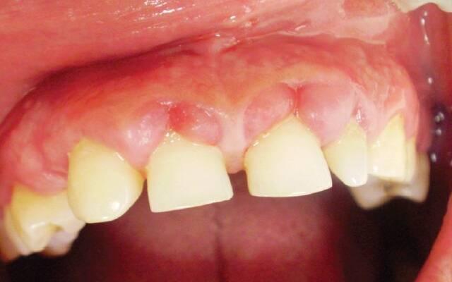
При отсутствии терапии повышается риск развития серьезных осложнений: стоматит, язвенный пародонтит, абсцесс мягких тканей. То, как выглядит заболевания в полости рта, можно увидеть по фото.
Причины гингивита Венсана. Этиология и патогенез
Главной причиной появления язвенного гингивита является патогенная микрофлора: анаэробные микроорганизмы, полиморфные бактерии и спирохеты.
Если человек не выполняет правила гигиенических мероприятий ротовой области, у него ослабевает местный иммунитет. Налет на деснах и зубах раздражает слизистую оболочку, благоприятствует активному размножению бактерий, тем самым вызывая инфекционное воспаление.
К еще одним ведущим факторам, влияющим на развитие язвенно-некротического гингивита, относятся:
- ослабление организма после перенесенных инфекций;
- перикоронарит (воспаление восьмых зубов);
- механическое или термическое воздействие на слизистую оболочку;
- постоянные стрессовые ситуации;
- неправильное питание (нехватка витаминов и минералов);
- отсутствие ЗОЖ;
- наличие ВИЧ и заболеваний сердечно-сосудистой системы;
- диабет;
- интоксикация организма токсичными веществами.
Симптомы язвенно-некротического гингивита
Как правило, признаки гингивита выявляются интенсивно начиная с острой стадии гингивита. К основным симптомам воспаления десен относятся:
- трудно терпимые боли в области поражения эрозиями;
- отечность и гиперемия слизистой десны;
- эрозии и язвы, покрытые беловатым бактериальным налетом;
- галитоз (плохо пахнущий запах изо рта);
- выделение крови из пародонтальных карманов;
- увеличение десневых сосочков;
- появление твердых и мягких отложений на зубных поверхностях, не счищающихся обычной зубной щеткой.
Помимо основных симптомов, ухудшается общее состояние больного:
- боли в области головы и шеи;
- слабость;
- ломота в мышцах;
- увеличение температуры тела до 38 градусов.
Формы
Как и для любого воспалительного заболевания, для язвенно-некротического гингивита характерно 2 формы развития: острая и хроническая.
| Острая форма | Хроническая форма |
| Наблюдается в разгаре гингивита. Симптомы выражены наиболее ярко. Появляются затруднения в жевании и речи. Слизистая пародонта становится гиперемированной и отечной. |
Развивается в течение нескольких недель.
|
Острый язвенный гингивит
Острый язвенный гингивит развивается на фоне плохой гигиены рта. Фузобактерии и спирохеты раздражают ткани пародонта и провоцируют образование язв.
Острая форма патологии выражается быстрым развитием воспалительного процесса. Полная клиническая картина наблюдается уже ко 2 суткам развития патологии. Как правило, из-за ослабленной сопротивляемости организма заболеваемость язвенным гингивитом увеличивается в осенне-весенний период.
Развитие язвенного гингивита острой формы может служить доказательством заражения СПИДом и ВИЧ-инфекцией.

Хронический язвенный гингивит
Такая форма язвенного гингивита встречается в основном у людей в юношеском возрасте. Развивается из-за отсутствия лечения острой формы в течение 2–3 месяцев.
Признаки патологии проявляются постепенно: сначала появляется кровоточивость десен после чистки зубов и во время механической обработке пищи, затем десневые сосочки отекают, появляются множественные язвочки и эрозии.
Стадии развития гингивита Венсана
Для язвенного гингивита Венсана характерно 3 стадии течения патологического процесса: легкая, средняя и тяжелая.
| Легкая | Средняя | Тяжелая |
| Десневые сосочки отекают и увеличиваются в размере. Верхушки папиллярной области десны покрываются белесоватым налетом. |
Признаки воспаления наблюдаются на десневых сосочках и маргинальной десне. Появляются множественные язвочки, покрытые серым налетом. Гигиена полости рта неудовлетворительна. |
Имеется выраженный некроз папиллярно-маргинально-альвеолярной десны. При пальпации десна кровоточит, наблюдается резкая болезненность. Зубы на нижней челюсти на ½ части коронки покрыты твердыми зубными отложениями. |
Легкая степень тяжести
Легкая степень тяжести язвенного гингивита является началом заболевания. Воспалительным процессом поражается лишь папиллярная область десны (сосочки). Десневые сосочки увеличиваются в размере, становятся болезненными. Наблюдается резкая кровоточивость после приема пищи и чистки зубов. Общее самочувствие больного не нарушается.
Средняя степень
Для средней степени стоматита Венсана характерно воспаление не только десневых сосочков, но и маргинальной десны. Десна становится отекшей, гиперемированной, болезненной при жевании.
Пациентов беспокоит неприятный запах из полости рта, огромное количество налета и зубных камней.
Температура тела увеличивается до 37 градусов, появляются: слабость, нарушение сна и повышенная раздражительность.

Тяжелая степень
Поражение распространяется на всю область пародонта: папиллярно-маргинально-альвеолярную зону. Околозубная слизистая оболочка наркотизирована, резко болезненна.
Значительно ухудшается общее самочувствие: температура тела увеличивается до 38 градусов, появляется ломота в мышцах. Пациенты жалуются на головную боль и потерю аппетита.
Заметно увеличиваются подчелюстные лимфатические сосуды.
Диагностика язвенно-некротического гингивита Венсана
Диагноз устанавливается доктором на основании диагностических мероприятий. В первый прием у стоматолога проводятся следующие обследования:
- Сбор анамнеза жизни и заболевания (возраст, профессия, наличие вредных привычек, жалобы).
- Визуальный осмотр (оценивание воспалительного процесса, наличие язв и эрозий).
- Пальпация лимфатических узлов (определяются: размер, спаянность, болезненность).
- Измерение температуры тела.
- Лабораторные исследования (анализ крови и мочи, мазок с язвенных поверхностей на определение возбудителя).
- Ортопантомография (для установления уровня надкостницы).
- Реопародонтография (исследование сосудов тканей пародонта).
Помимо вышеперечисленных исследований, назначаются анализы на ВИЧ, гепатиты, СПИД, онкологию.
Лечение язвенно-некротического гингивита
Заболевание нуждается в обязательном лечении. Лечение язвенно-некротического гингивита назначается врачом-стоматологом в поликлинических условиях после получения всех результатов диагностического обследования.
Терапия нацелена не только на устранение дискомфортных ощущений, но и на укрепление всего организма. В обязательном порядке назначается лечебная диета.
Местная терапия
Для купирования болевых ощущений и снятия воспалительного процесса при лечении язвенного гингивита назначается местная терапия:
- Профессиональная чистка полости рта (удаление над-и под десневых бактериальных отложений ультразвуковым способом с последующей полировкой эмали).
- Удаление с пораженных участков бактериального налета и некрозных тканей (под местной анестезией).
- Обработка эрозий и язв (полоскание полости рта антисептическими растворами травами, проведение аппликаций на местах поражения).
- Обезболивающие компрессы на область воспаленной десны (Лидокаин).

Общее лечение
Одновременно с местной терапией при гингивите назначают общее лечение.
- Принятие внутрь негормональных обезболивающих и противовоспалительных препаратов (Диклофенак).
- Курс антибактериальных лекарственных средств (пенициллиновый ряд).
- Витаминный и минеральный комплекс (Витрум, Комплевит).
- Лечебная диета (отказ от жареной и пряной пищи высокой температуры; включение в рацион молочнокислых продуктов, нежирного мяса и рыбы, еды на пару).
- Частое питье чистой воды.
- Физиотерапия (электрофорез, УФО).
Народные средства при гингивите Венсана
Народные средства обладают меньшей токсичностью, чем другие лекарственные препараты и благоприятствуют уменьшению воспаления и болевого синдрома. Но необходимо знать, что следовать исключительно народной медицине неразумно. Получить эффективный результат можно лишь путем комплексного лечения язвенного гингивита (местного и общего).
Для уменьшения боли и воспаления полезны полоскания полости рта отварами и настойками, приготовленными на основе:
- аптечной ромашки;
- календулы;
- коры дуба;
- шалфея.
Растворы для полоскания приготавливаются согласно инструкции.
Язвенный гингивит у детей: особенности клиники и лечения
Причины язвенного гингивита у детей те же, что и у взрослого населения: неудовлетворительная чистка зубов, повреждения слизистой десен, хронические и инфекционные заболевания.
Клиника заболевания у детей представляет собой отек десневых сосочков и альвеолярной десны, сопутствующий кровоточивостью и болью во время еды.
На зубах и деснах образуется бактериальный налет, наблюдается запах изо рта.
Терапия язвенного гингивита у детей ничем не отличается от основного лечения воспаления десен. После назначения лечения стоматологи обучают родителей и ребенка правильной технике чистки зубов.
Последствия и осложнения язвенно-некротического гингивита
При отсутствии грамотной терапии возможно появление серьезных осложнений:
- стоматит;
- пародонтит;
- пародонтоз;
- хроническая форма течения язвенного гингивита;
- гнойно-некротический процесс в кости челюсти;
- абсцесс пародонта;
- одонтогенный менингит;
- флегмона.
Если лечение язвенного гингивита откладывать на долгое время, при тяжелых стадиях заболевания пародонта возможна потеря зубов и атрофия надкостницы.
Чтобы избежать подобных последствий, следует вовремя обратиться к врачу и начать действенное лечение.
Прогноз и профилактика
В случае легкой стадии язвенного гингивита высока вероятность устранения патологии без возникновения осложнений.
Средняя и тяжелая формы болезни могут привести к необратимым процессам: рецессия десны, оголение пришеечной области зуба, деформация надкостницы.
С целью профилактики важно очень внимательно относиться к гигиене ротовой полости. Следует 1 раз в 6 месяцев посещать врача-стоматолога для планового осмотра и раннего выявления стоматологических заболеваний. Необходимо исключить любые факторы, способствующие повреждению слизистой оболочки, а также отказаться от вредных привычек.
Полное избавление от язвенного стоматита возможно лишь в случае своевременной диагностики и лечения заболевания.
Не рекомендуется практиковать самостоятельное лечение, таким образом, можно лишь усугубить течение воспалительного процесса.
Чтобы уберечь себя от возникновения патологии, нужно лишь следовать всем вышеперечисленным профилактическим рекомендациям.
Язвенный гингивит
Язвенный гингивит – это воспалительное поражение тканей десны, сопровождающееся эрозированием, изъязвлением и некрозом десневого края. Течение язвенного гингивита характеризуется резкой болью, затрудняющей прием пищи; неприятным запахом изо рта; гиперемией, отеком и кровоточивостью десен с образованием язвочек; повышением температуры тела пациента и общим недомоганием. Диагноз язвенного гингивита устанавливается на основании осмотра полости рта, функциональных проб, бактериологического исследования отделяемого язв, при необходимости – данных рентгенографии. Лечение язвенного гингивита включает местную обработку полости рта и общую антибактериальную терапию.
A69.1 Другие инфекции Венсана. Некротический язвенный (острый) гингивит
Язвенный гингивит (эрозивно-язвенный гингивит, язвенно-некротический гингивит Венсана) – форма гингивита, протекающая с преимущественно деструктивными изменениями тканей десны.
Язвенный гингивит встречается в практической стоматологии реже, чем другие клинико-морфологические формы поражения десен, однако протекает гораздо тяжелее, с развитием местных и общих изменений. Наиболее часто язвенный гингивит диагностируется в возрасте 18-30 лет.
В большинстве случаев заболевание протекает остро, однако при определенных условиях может переходить в подострую или хроническую фазу, а также язвенный стоматит и пародонтит.

Язвенный гингивит
В большинстве случаев язвенный гингивит развивается на фоне предшествующего течения катарального гингивита под воздействием причин локального и общего характера. Местные предрасполагающие факторы включают:
- наличие в полости рта обильного мягкого зубного налета и зубного камня, множественного кариеса зубов,
- затрудненное прорезывание зубов (особенно третьих моляров),
- курение,
- хронические травмы полости рта разрушенными зубами, острыми краями пломб, неправильно подогнанными ортопедическими конструкциями.
В некоторых случаях упорный язвенный гингивит является одним из ранних симптомов СПИДа. Среди причин общего порядка, провоцирующих развитие язвенного гингивита, наибольшее значение имеют:
Снижение местной и общей защиты создает условия для активации микрофлоры (главным образом, анаэробов и простейших — фузобактерий, зубных спирохет), антигены которых вызывают иммуно-воспалительную реакцию десен, нарушение микроциркуляции, усиление тромбообразования. Деструктивные процессы при язвенном гингивите обусловлены проникновением фузоспириллярной микрофлоры к соединительно-тканной основе десны.
Чаще всего поражение десен протекает остро. В продромальном периоде, продолжающемся 1-2 дня, могут отмечаться субфебрилитет, нарушения сна, головная боль, явления диспепсии. На фоне выраженных катаральных изменений в полости рта развивается болезненность и зуд десен, их отек и застойная гиперемия, кровоточивость при минимальном механическом воздействии.
Вскоре на ограниченном участке десны, в области верхушки десневого края и десневых сосочков, образуются язвы, окаймленные некротизированными участками бело-серого цвета, которые вскоре охватывают значительную площадь поверхности десны. При снятии некротизированной пленки по краям язвы возникает капиллярное кровотечение.
Кроме язвенных дефектов, при данной форме гингивита отмечается появление стойкого, зловонного гнилостного запаха изо рта, независимо от давности проведения гигиенических процедур.
Характерно изменение характера слюны (она становится вязкой и тягучей), скопление в межзубных промежутках пищевых остатков и обильного мягкого налета.
Из-за болей в деснах пациенты не могут нормально пережевывать пищу, разговаривать, чистить зубы, что еще более усугубляет местные проявления.
В разгаре клинических проявлений течение язвенного гингивита сопровождается региональным лимфаденитом, явлениями интоксикации, выраженным нарушением общего самочувствия. В зависимости от степени выраженности деструктивных изменений течение язвенного гингивита может быть легким, среднетяжелым и тяжелым.
В большинстве случаев диагноз язвенного гингивита может быть поставлен безошибочно на основании характерной клинической картины. При осмотре и инструментальном обследовании полости рта выявляется повышенная кровоточивость десен, наличие зубного налета и наддесневого зубного камня. Зубодесневое соединение сохранно, зубодесневые карманы отсутствуют. Дополнительные исследования включают:
- Оценку стоматологических индексов. Функциональная проба Шиллера-Писарева положительная, индекс гигиены превышает норму, папиллярно-маргинально-альвеолярный индекс больше 0.
- Лабораторную диагностику. Важными лабораторными тестами при язвенном гингивите являются определение уровня секреторного иммуноглобулина А в слюне методом ИФА, бактериологическое исследование отделяемого с поверхности язв.
- Инструментальные методы. Для исследования микроциркуляции в тканях пародонта проводится реопародонтография. С целью оценки состояния костной ткани выполняется ортопантомография.
Язвенный гингивит, как самостоятельное заболевание, следует дифференцировать от язвенно-некротических изменений десен при заболеваниях крови и ВИЧ-инфекции, а также от пародонтита. Важным представляется заключение других специалистов (гастроэнтеролога, эндокринолога, иммунолога, гематолога) о состоянии здоровья пациента.
Терапия язвенного гингивита складывается из местных и общих мероприятий. Пациентам рекомендуется щадящая и витаминизированная диета, обильное питье.
Началу лечения предшествует профессиональная чистка зубов, снятие зубных отложений, удаление некротизированных тканей; при необходимости – пришлифовывание острых краев зубов, способных травмировать десну.
Данные манипуляции следует проводить очень осторожно, под адекватной местной анестезией. В качестве средств топической терапии язвенного гингивита применяются:
- аппликации анестетиков (новокаина, лидокаина), противомикробных препаратов (хлоргексидина, метронидазола), протеолитических ферментов (трипсина, химотрипсина);
- ротовые ванночки с антисептиками и отварами трав;
- пародонтологические аппликации кератопластических препаратов (например, масляных растворов витаминов А и Е) производятся после очищения язвенных дефектов от некротических масс.
Медикаментозное лечение язвенного гингивита дополняется физиотерапевтическим (УФО, ультрафонофорезом, лазеротерапией). Общая терапия язвенного гингивита включает прием метронидазола, антигистаминных препаратов, ацетилсалициловой кислоты, витаминов.
При язвенном гингивите легкой степени все изменения десны носят обратимый характер. Среднетяжелое и тяжелое течение язвенного гингивита может приводить к необратимым деформациям десневого контура и обнажению шеек зубов.
В профилактическом плане важно исключение всех возможных местных и общих факторов, предрасполагающих к развитию язвенного гингивита. Следует уделять повышенное внимание гигиене полости рта, в т. ч. профессиональной чистке зубов, своевременно обращаться к пародонтологу при возникновении катарального гингивита.
Симптомы, диагностика и лечение язвенно-некротического гингивита Венсана. При чем тут СПИД
Язвенно-некротический гингивит – воспалительное заболевание, поражающее десна, развивающееся в результате инфицирования их слизистой оболочки и протекающее с развитием язвенных дефектов при отсутствии поражения зубодесневых карманов.
В стоматологической практике болезнь также называется гингивитом Венсана. Болезнь может носить как первичный характер, так и осложнять другие инфекционные патологии ротовой полости.
Чаще всего встречается у молодых людей в возрасте 20-30 лет.
Язвенно-некротический гингивит. Фото.
Причины возникновения язвенно-некротического гингивита
Выделяют как местные, затрагивающие ротовую полость, так и общие предпосылки к развитию заболевания.
Местными причинами являются:
- недостаточная гигиена полости рта;
- постоянное травмирование десен при неправильной технике чистки зубов;
- осложненное прорезывание зубов мудрости;
- хронические инфекции, локализованные в ротовой полости (кариес, стоматит);
- неправильно подобранные или установленные зубные протезы, брекетные системы, стоматологические пломбы;
К факторам, затрагивающим весь организм, относят:
- иммунодефицитные состояния любого генеза (ВИЧ-инфекция, туберкулез, на фоне приема цитостатиков и иммунодепрессантов);
- гиповитаминозы;
- сопутствующая эндокринная патология (сахарный диабет, гипотиреоз);
- радиационная болезнь;
- патология сердечно-сосудистой системы;
- гормональные нарушения;
- курение;
- острые отравления организма;
- длительный стресс и недосыпание;
Симптомы язвенно-некротического гингивита
- острое начало болезни с повышения температуры до 38-39 градусов;
- головная боль, слабость;
- покраснение и отечность десен;
- повышенная кровоточивость слизистых оболочек десен;
- увеличение подчелюстных и шейных лимфоузлов при тяжелом течении заболевания;
- образование эрозий и язв на 2-3 день болезни в области сосочков десны и их краев, покрытых фиброзным налетом;
- неприятный запах изо рта;
- усиление выработки слюнной жидкости;
- затруднение речи из-за сильных болевых ощущений;
Виды язвенно-некротического гингивита
Острый язвенный гингивит
Острый гингивит Венсана вызывается преимущественно фузобактериями и спирохетами и чаще всего развивается вследствие других инфекций ротовой полости.
Острая форма заболевания характеризуется быстрым началом и развитием симптоматики – полностью клиническая картина проявляется ко 2-3 дню болезни.
Заболеваемость возрастает в холодные времена года, что связано с частыми переохлаждениями, вирусными инфекциями и снижением общей реактивности организма.
Возникновение острого язвенно-некротического гингивита может служить одним из первых проявлений СПИДа.
Хронический язвенный гингивит
Данная форма заболевания встречается преимущественно у подростков и возникает в течение нескольких лет из-за неправильной или неполной гигиены ротовой полости. Симптомы проявляются постепенно – сначала возникает повышенная кровоточивость десен при чистке зубов или приеме пищи и их отечность, позже присоединяется неприятный запах изо рта и выявляются единичные эрозии и язвы.
Язвы на деснах без поражения зубодесневых карманов
Стадии развития гингивита Венсана
Легкая степень
Характеризуется ограниченными единичными воспалениями сосочков десен с не глубокими язвенными дефектами. Общее самочувствие пациента не страдает, отмечается только болезненность десен при их соприкосновении с зубной щеткой или грубой пищей, и наличие неприятного запаха изо рта.
Средняя степень тяжести
Воспаление захватывает не только межзубные сосочки и верхушки десен, но и свободные края десны. Выявляется субфебрильная температура тела, общее недомогание, кровоточивость десен и их отек. Как правило язвенные дефекты располагаются группами, больше на передней стороне десен.
Тяжелая степень
Температура тела поднимается до 38-39 градусов, язвенные дефекты множественные и глубокие, могут достигать мышечной ткани и костных структур, визуализируются массивные отложения фибрина на дне язв. Самочувствие пациента резко ухудшается, увеличиваются регионарные лимфоузлы. Гингивит Венсана тяжелого течения может приводить к остеомиелиту пораженного участка челюсти.
Диагностика язвенно-некротического гингивита
Основывается на осмотре ротовой полости врачом-стоматологом и характерных жалобах пациента. При осмотре выявляются язвенные дефекты десен, наддесневой зубной камень и повышенная кровоточивость, зубодесневые карманы при этом не выявляются.
Лабораторные и инструментальные методы исследования:
- Общий анализ крови (выявляется лейкоцитоз, повышенная скорость оседания эритроцитов).
- Бактериологическое исследование язвенного налета (обнаружение в мазке фузобактерий и спирохет) и определение чувствительности выявленного возбудителя к антимикробному спектру.
- ИФА и РИФ для определения в слюне бактериальных антигенов.
- Определение в слюнной жидкости уровня иммуноглобулина А, указывающего на местное воспаление.
- Ортопантомография для оценки состояние костных структур челюстей, исследование особенно важно при тяжелом течении процесса.
- Реопародонтография, проводящаяся для оценки циркуляции капиллярной крови в пародонтальных тканях.
Ортопантомография
Лечение язвенно-некротического гингивита
Терапия гингивита Венсана направлена как на устранение местных проявлений заболевания, так и на общее укрепление организма.
- Профессиональная чистка зубов в условиях стоматологической клиники, направленная на полное удаление зубных отложений и участков отмерших тканей, промывание язвенных дефектов антисептическими растворами. Процедура проводится под местной анестезией.
- Компрессы с анестезирующими препаратами (Лидокаин, Новокаин) для снятия болевых ощущений.
- Назначение антимикробных препаратов с учетом чувствительности выявленного возбудителя (Метронидазол, Трихомонацид, антибиотики пенициллинового ряда).
- Использование протеолитических ферментов для очищения эрозий и язв от некротических масс (Трипсин, Химопсин, Террилитин).
- Регулярные полоскания рта антисептическими растворами (Хлоргексидин, Мирамистин).
- Аппликации препаратами кератопластического действия для ускорения регенерации тканей (Актовегин, Метилурацил, масло шиповника).
- Применение нестероидных противовоспалительных препаратов, способствующих снятию болевых ощущений и ликвидации воспалительного процесса (Индометацин, Кетопрофен, Диклофенак).
- Витаминные препараты группы С и Р (Аскорбиновая кислота, Аскорутин, Кверцетин).
- Физиотерапевтическое лечение (УФО, электрофорез, ультрафонофорез).
- Диета, направленная на механическое щажение десен, и обогащенная белками и витаминами.
- Обильное питье.
Профилактика язвенно-некротического гингивита
В целях предотвращения повторного возникновения гингивита Венсана, пациентам, перенесшим заболевание, рекомендуют посещение стоматолога 3-4 раза в год для контроля состояния десен и своевременного удаления отложений зубного камня.
К мерам профилактики первичного развития патологии относят соблюдение гигиены полости рта, санирование очагов хронической инфекции, расположенных в ротовой полости, исключение вредных привычек (курение, употребление алкоголя), лечение эндокринных заболеваний и общее укрепление защитных сил организма.
Последствия и осложнения язвенно-некротического гингивита
При отсутствии своевременного лечения велик риск возникновения осложнений болезни:
- язвенно-некротический стоматит;
- остеомиелит костей челюсти;
- развитие пародонтоза, расшатывание и выпадение зубов;
- хроническое течение гингивита Венсана;
- генерализация инфекции, приводящая к септическим осложнениям;
- развитие одонтогенного менингита;
Этиология и патогенез язвенного гингивита
Гингивит Венсана вызывается зубными спирохетами и фузобактериями, являющимися частью нормальной микрофлоры ротовой полости.
Развитию заболевания способствует срыв общих и местных иммунных систем, что ведет к усиленному размножению бактерий на слизистых оболочках, антигены и продукты жизнедеятельности которых вызывают в деснах иммунно-инфекционный воспалительный процесс. Язвенные дефекты образуются при внедрении возбудителя в ткани десны и их последующее размножение.
Язвенно-некротическое воспаление десен – серьезное заболевание полости рта, которое без должного лечения может повлечь за собой ряд серьезных проблем, поэтому при первых признаках поражения десен необходимо незамедлительно посетить стоматологическую клинику и проконсультироваться с врачом.
Язвенно-некротический гингивит Венсана: лечение острого заболевания десен и полости рта
Поражение десен, сопровождающееся активным воспалением с образованием язв и эрозий на их поверхности и последующей некротизацией слизистой называется язвенно-некротическим гингивитом Венсана.
Развитие патологии обусловлено инфицированием десневой ткани. При этом заболевание нередко сопровождается присоединением вторичной инфекции, что значительно ухудшает общую симптоматику.
Болезнь Венсана может выступать и в качестве самостоятельной патологии.
Что это за болезнь
Язвенно-некротический гингивит — одно из самых неприятных стоматологических заболеваний, возникающее в результате инфицирования десневой ткани и активации воспалительного процесса.
Недуг может протекать в острой и хронической форме, развиваться самостоятельно или выступать в качестве осложнения других болезней.
При отсутствии должной терапии патология переходит в рецидивирующую форму катарального гингивита, характеризующуюся острым воспалением десен, изъязвлением слизистой и некрозом.
Согласно статистике, заболеваемость язвенным гингивитом в зимнее время гораздо выше. Это обусловлено тем, что организм в этот период сильно ослаблен и более подвержен вирусным инфекциям.
Симптомы
Практически в каждом случае язвенно-некротический гингивит начинается остро и сопровождается:
- повышением температуры тела до 39 градусов;
- сильной головной болью;
- слабостью, недомоганием;
- увеличением лимфоузлов, расположенных в подчелюстной области и на шее.
По мере развития заболевания основная симптоматика дополняется:
- воспалением и отечностью десен, образованием кровоточащих язв и эрозий;
- формированием фиброзного налета в сосочковой и краевой части десны;
- появлением гнилостного запаха изо рта, сохраняющегося после проведения гигиенических процедур;
- усилением секреции слюнных желез;
- болезненностью.
При язвенно-некротическом гингивите характерным является изменение вязкости слюны: она становится более густой и тягучей. Из-за сильных болевых ощущений у пациентов отмечаются речевые нарушения, возникают трудности при пережевывании пищи, появляется обильный мягкий налет на деснах. Патология сопровождается выраженной интоксикацией организма и ухудшением общего самочувствия.
Причины
Развитие болезни Венсана может быть обусловлено как местными, так и общими причинами.
В первом случае речь идет о следующих факторах:
- несоблюдение гигиены полости рта;
- периодическое травмирование десневой ткани при чистке зубов;
- усложненный рост зубов мудрости;
- некорректно установленные зубные протезы, брекеты или пломбы;
- зубной камень;
- кариес;
- стоматит.
К общим факторам, способным вызвать развитие заболевания, относят:
- некоторые патологии ЖKТ;
- заболевания печени и почек;
- функциональные нарушения эндокринной и кровеносной систем;
- интоксикацию организма;
- отравление солями тяжелых металлов;
- простудные заболевания вирусной этиологии: ангину, грипп;
- переутомления, частые стрессы, недосыпания;
- неправильно организованное питание, авитаминоз;
- ВИЧ-инфекцию;
- легочный туберкулез;
- сахарный диабет;
- заболевания сердечно-сосудистой системы;
- изменения гормонального фона;
- радиационное облучение;
- пищевые отравления;
- катаральный гингивит;
- ослабленный иммунитет.
Форма
В стоматологии выделяют острую и хроническую форму недуга. В обоих случаях язвенно-некротические проявления могут получить свое развитие на фоне других стоматологических инфекций. Чаще всего они вызваны спирохетами или грамотрицательными анаэробными фузобактериями.
Острая
Такая форма болезни характеризуется внезапным началом и стремительным развитием. Проявления сопровождаются болезненностью, десна приобретают ярко-красный оттенок, становится отечной.
Полную клиническую картину можно наблюдать спустя 2—3 дня после инфицирования. Наибольший процент заболеваемости отмечается в холодное время года, что может быть связано с частыми переохлаждениями организма, ослаблением иммунитета, инфекционными заболеваниями вирусной этиологии.
Острый гингивит является одним из первых признаков СПИДа.
Хроническая
Хроническая форма заболевания чаще всего встречается у детей в подростковом возрасте, что происходит из-за недостаточной гигиены полости рта.
Симптоматика характеризуется постепенным появлением:
- возникновением кровоточивости десен, усиливающейся во время еды или чистки зубов;
- появлением отечности с последующим присоединением специфического запаха;
- образованием единичных язв и эрозий, которые можно обнаружить на краях и сосочках десны.
Стадии
Существует всего три стадии развития гингивита Венсана.
Легкая
Характеризуетсяя спокойным протеканием без выраженной симптоматики, при которой болезненность десен появляется во время еды и чистки зубов. На данном этапе может отмечаться неприятный запах изо рта. Поражению в основном подвергаются межзубные сосочки.
Средняя
При средней степени тяжести воспалительный процесс распространяется и на свободную часть десны.
У пациентов:
- повышается температура тела до субфебрильных показателей;
- появляется слабость, недомогание;
- отмечается кровоточивость и отечность десен.
Язвенные формирования при средней стадии группируются на передней части десны.
Тяжелая
Тяжелая степень гингивита проявляется повышением температуры до 39 градусов, увеличением количества язвенных дефектов, их углублением.
Поражению подвергается не только слизистая оболочка десны, но и мышечная, костная ткань. На дне язв отмечается наличие фибриновых отложений.
Патологический процесс сопровождается резким ухудшением общего самочувствия и нередко заканчивается остеомиелитом пораженного участка челюсти.
Диагностика
Диагностика данного заболевания осуществляется врачом-стоматологом на основании жалоб пациента и выраженной клинической картины. При осмотре ротовой полости оцениваются язвенные дефекты десен, их кровоточивость, степень распространения кариеса, отмечается отсутствие зубодесневых карманов.
В ходе обследования пациентам назначаются:
- общий анализ крови c целью определения скорости эритроцитов, количества лейкоцитов;
- бактериологическое исследование мазка, позволяющее обнаружить спирохеты и фузобактерии и определить чувствительность инфекции к антимикробному спектру;
- РИФ (реакция иммунной флюоресценции) и ИФА (иммунологические факторы) слюны проводится для выявления болезнетворных бактерий в слюне и определения уровня иммуноглобулина А.
- При тяжелом течении заболевания больным назначают ортопантомографию — исследование, позволяющее определить состояние челюстных костей.
- Оценка циркуляции крови в пародонтальных капиллярах осуществляется посредством реопародонтографии.
- Перед назначением терапии проводится дифференциация язвенного гингивита с такими заболеваниями, как СПИД, лейкоз, некротический пародонтит и агранулоцитоз.
Лечение
Лечение гингивита Венсана должно быть направлено на устранение внешних проявлений заболевания, купирование воспаления и укрепление иммунной системы.
Медикаменты
Пациентам с таким диагнозом проводят чистку зубов в стоматологической клинике. Процедура предполагает удаление зубного камня и отмершей ткани под местным обезболиванием, промывание язв на деснах растворами с антисептиком и наложение компрессов с Новокаином и Лидокаином для снятия боли.
Дальнейшие назначения:
- При тяжелой форме гингивита, сопровождающейся некротическими проявлениями, назначают антимикробные лекарственные средства: Трихомонацид, Метронидазол, антибиотики пенициллиновой группы. Подбор препаратов осуществляется с учетом чувствительности к ним инфекционного возбудителя.
- Для снятия болевых ощущений и воспаления применяют нестероидные противовоспалительные средства: Диклофенак и Индометацин.
- Для укрепления организма прописывают витаминные комплексы, включающие аскорбиновую кислоту, витамины группы В, фловониды.
В случае возникновения некротических проявлений прибегают к хирургическому вмешательству — проводят иссечение поврежденных десен или их частичное удаление. Применяют аппликации с Химотрипсином с подключением препаратов, способствующих регенерации и восстановлению тканей.
Чтобы предотвратить развитие рецидивов, после операции проводится санация ротовой полости.
Местная терапия
Консервативный метод лечения предполагает использование медикаментов без хирургического вмешательства. Его применение целесообразно при легкой и средней степени заболевания.
Местная терапия гингивита включает:
- Инъекционное обезболивание при помощи Лидокаина, Тримекаина, анестезии аппликациями или бензокаиновым гелем.
- Для промывания и очищения язв и эрозий применяют протеолитические ферменты: Химопсин, Террилитин, Трипсин.
- С целью ускорения регенеративных процессов прибегают к наложению аппликаций кератопластическими препаратами: Метирулацила и Актовегила. С этой же целью используют масло шиповника.
- Обработку десен антисептическими растворами. Для этих целей используют Фурацилин, перекись водорода, Хлорофиллипт, Хлоргексидин, Мирамистин. Полоскание проводят три раза в день, обязательно после еды. С целью обеззараживания ротовой полости некротизированная часть десны смазывается 3 % йодовой настойкой.
- Антибактериальную обработку проблемной области, проводимую путем наложения аппликаций пятнадцатиминутного действия с Димексидом, Ируксолом и Диоксидином.
- Устранение некротических участков десны посредством химических препаратов: Трипсина, Террилитина.
Креатопластические лекарства применяют после отторжения некротических формирований. Данные манипуляции можно проводить в домашних условиях.
Ускорить процесс выздоровления при гингивите возможно при помощи физиотерапевтических процедур: УФО, электрофореза.
Народные методы
Народные средства при лечении данного заболевания могут применяться в качестве дополнительных. Выраженный противовоспалительный, антибактериальный и обеззараживающий эффект дает каланхоэ. Из листьев данного растения можно делать аппликации для наложения на поверхность десны. Растение измельчают, заворачивают в марлю и прикладывают на пораженную область на 15 минут.
Ранозаживляющим действием обладает масло с цветками зверобоя или календулы. Средство вполне можно использовать при некротизированном гингивите.
Рецепт приготовления:
- взять 50 г лекарственного сырья, измельчить до кашецеобразного состояния;
- залить 200 мл оливкового масла;
- лекарство настаивать на протяжении 25 суток;
- процедить и использовать для обработки пораженных участков.
При данном заболевании помогает массаж десен с пихтовым маслом. Для его проведения используют стерильный бинт, которым обматывают палец и окунают его в лекарственный раствор. Манипуляцию выполняют два раза в сутки.
Неотъемлемой частью лечения при гингивите является организация правильного питания. В первую очередь из ежедневного меню необходимо исключить сладости, так как они способствуют разрушению зубов.
Вместо сахара рекомендуется использовать заменители.
Нельзя употреблять слишком горячие и слишком холодные блюда: они раздражают слизистую, усиливают болевые ощущения в ротовой полости и способствуют распространению инфекции.
Питание должно быть сбалансированным, с обязательным включением в рацион свежих овощей и фруктов, богатых витаминами.
В перечень продуктов, улучшающих состояние десен, входят:
- капуста брокколи;
- все виды цитрусовых;
- киви;
- морковь;
- клубника;
- имбирь;
- кунжут;
- репчатый лук;
- зелень.
Возможные осложнения
Тяжелое течение гингивита может привести к развитию осложнений. Самым распространенным из них является стоматит Венсана. Заболевание характеризуется возникновением язв и эрозий в ротовой полости, выраженной гиперемией и отечностью десен. Патологическое изменение тканей отмечается в нижнечелюстной области, на внутренней стороне щек, по боковым участкам языка.
Некротический стоматит, проявляющийся в легкой форме, характеризуется ограничением зон поражения при отсутствии дополнительной симптоматики. По мере прогрессирования заболевания у пациентов отмечается снижение работоспособности, повышение температуры тела, активное распространение воспалительного процесса и увеличение площади поражения.
Среди других последствий язвенной формы гингивита, выделяют:
- остеомиелит челюстных костей;
- пародонтоз десен;
- выпадение зубов;
- заражение крови;
- менингит.
Профилактика
Предотвратить развитие данного заболевания можно при помощи профилактических мер, предполагающих выполнение несложных правил, включающих:
- ежедневную гигиену полости рта;
- проведение регулярной санации ротовой полости;
- своевременное посещение стоматолога;
- поддержание иммунитета;
- организацию правильного питания.
Видео
О том, что такое язвенный гингивит и как лечить данное заболевание, можно узнать, посмотрев данное видео.