Аллергию в настоящее время можно считать настоящей эпидемией, фактически 90% населения Земли подвержены этой пандемии в разной степени. Разнообразие аллергических воздействий поражает, причины их возникновения до сих пор полностью не изучены, как и виды аллергенов, из-за которых ответ иммунной системы тела срабатывает подобным образом.

Аллергия: что это такое?
Ответом на оказываемое влияние химических или физических воздействий именуют аллерго-реакцией или просто аллергией. Причину, которая спровоцировала активизацию иммунной системы, именуют аллергеном.
На здоровье человека регулярно влияют целые группы различных первопричин: они не угрожают состоянию здоровья, поэтому защита человеческого тела их просто оставляет без внимания. Аллергия начинается тогда, когда катализатор, столкнувшись с человеческим телом, вызывает бурный ответ, активизирует иммунную защиту.
Фактически организм готов защищаться от, казалось бы, безопасных вещей. Ответом на подобные воздействия по силе своего проявления может варьировать как от мало заметной сыпи на коже вплоть до повреждения органов или тканей.





Категории аллерго-реакцией
Различают несколько подобных категорий:
Поздняя гиперсенсибилизация
Подобный тип аллерго-реакции у человека выражается неспешным формированием ответным воздействием, проявляется не меньше чем через несколько часов после того, как раздражитель повлиял на человека. Здесь участвуют лимфоциты, благодаря чему вырабатываются специфические вещества, провоцирующие нестандартную ответную реакцию.
В качестве поздней гиперсенсибилизации выступают такие аллергии как кожные дерматиты, ринит, астма.
Иммунокомплексный тип
Аллергичное воздействие этой категории связано с lgG и lgM иммуноглобулинами. Соединившись с провокатором, поступившим в кровеносную систему, они оседают в сосудах крови, что ведет к сильному раздражению. Подобный ответ протекает быстрее гиперсенсибилизации и проявляется уже в ближайшие часы после взаимодействия (от 6 до 12 часов).
К подобной категории аллергии относят:
- Ревматоидный артрит;
- Красная волчанка;
- Конъюктив;
- Гломерулонефрит и др.
Цитотоксическая категория
- В ней взаимодействие происходит с участием lgG и lgM иммуноглобулинов, способных убивать своих же собратьев, нападая и уничтожая мембраны их клеток.
- К категории подобных аллерго-реакций относят:
- Гемолитическая болезнь и анемия новорожденных;
- Тромбоцитопения и др.
- Таким же образом выражается ответная аллерго-реакция на употребление медикаментов.
Анафилактическая категория
Аллерго-реакция в этом случае является самой скоротечной. Она проявляется практически моментально после взаимодействия организма с аллергеном-провокатором. Период, необходимый для зарождения ответного процесса на оказываемое влияние раздражителя, может измеряться всего лишь считанными минутами, участвуют в этом процессе lgE и lgG иммуноглобулины.
LgE и lgG размещаются на внешней оболочке клеток, называемых тучными.
Результатом подобного воздействия становится значительная выработка гистамина и иных сложных веществ, что в свою очередь меняет состояние кровеносных сосудов, оказывая влияние на проницаемость, увеличивая последнюю, выделение слизистых веществ, уменьшает количество гладкой мускулатуры. В итоге наступает классический защитный ответ иммунной системы, известный многим.
Общеизвестными моделями подобных аллрего-реакций отмечают:
- Бронхиальную астму;
- Анафилактический шок;
- Крапивницу и др.
Поэтапное формирование аллерго-реакции
Возникновение и развитие ответа иммунной системы определяется несколькими стадиями:
Первоначальное взаимодействие антигена с клеточной структурой человека, активация защитных функций. На этом этапе обычно повышается восприимчивость клеток к атакующему фактору, процесс в виде аллергии проявляется при втором и последующем проникновении раздражителя в кровеносную систему.
Во время второго этапа в игру вступают клетки под названием «тучные», их строение нарушается, в последствии в кровеносной системе оказывается гистамин, вызывающий серьезные нарушения в человеческих тканях и органах.
Финальный этап характеризуется видимыми симптомами аллергии. Например, возникает характерное чихание, обильное выделение слизи и многое другое. Таков ответ тела на активное поступление в кровь гистамина, а также других, схожих с ним веществ.
Аллергические симптомы
Помимо частных симптомов, характерных для того или иного вида аллергии у взрослых и детей, выделяют общие симптомы:
- Покраснение глаз;
- Отеки слизистых оболочек, обильные слизистые выделения;
- Характерный дискомфорт в ушных проходах, снижение слуха;
- Отечность верхней путей дыхания, частое, прерывистое дыхание со свистом, может привести к бронхиальной астме;
- Усиленная мигрень, проявляющаяся с обеих сторон;
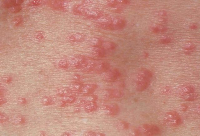
- Краснота и зуд кожи, развитие крапивницы, экземы, тогда в основном страдают локти, щеки, бока, паховая область.
Виды аллергии
В наши дни учеными определено огромное множество видов воздействия, присущих той или иной аллерго-реакции. Какие виды аллергии бывают, и что за симптомы их характеризуют, можно узнать с помощью определения аллергенов, вызывающий тот или иной отклик у организма.
Выделяют следующие заболевания:
- Инфекционное;
- Пищевое;
- Респираторное;
- На укусы насекомых;
- Кожное;
- На солнечный свет.
Выше отображены лишь наиболее встречаемые виды ответных действия на раздражители. Известно множество других процессов, с разнообразной симптоматикой и первопричинами возникновения.
К примеру, аллергия в виде сыпи является частым показателем на выработку антител как у взрослых людей, так и у детей чуть ли не с рождения. Но вот аллергеном, как и видом аллергии могут выступать совершенно разные вещи.
Виды аллергии, возникающие на лице, являются наиболее дискомфортным состоянием для человека, вызывают зуд, шелушение, покраснения, отеки разной степени. Подобное ответное действие защитной системы сказывается не только на физическом, сколько на психологическом дискомфорте человека. А ввиду отсутствия должного лечения она способна привести к серьезным осложнениям.
- С большой вероятностью подобные ответные воздействия иммунитета появляются на такие вещи как употребляемую пищу, средства для уборки, некачественные косметические средства, внешние раздражители (холод, тепло).
- Виды аллергии на руках в большинстве своем являются результатом влияния на кожные структуры внешних раздражителей (солнечные лучи, ветер), бытовой химии (чистящие средства, стиральные порошки) или употребления тех, или иных продуктов питания (сахар, коровий белок).
Стоит знать, что наиболее опасной из них считается анафилактический шок. Дабы предугадать начало подобной защитного ответа тела, важно заметить первые признаки возникновения шока и предпринять все возможное: усиленный болевой синдром и отечность в области, где кожа прореагировала с раздражителем (укол, например), в дальнейшем появляется зуд, резко снижается давление.
Развивается отек дыхательной системы, есть вероятность возникновения сердечной недостаточности, сбои в функционировании центральной нервной системы. Позже наступает остановка сердца.
Не менее страшным является отек Квинке. В результате попадания в кровь антител возникает отечность дыхательной системы, что в дальнейшем ведет к удушью. Помимо системы дыхания опухать при подобном течении болезни могут и части тела, например, лицо и шея.
- Изучая фото видов аллергии на примере внешних проявлений отека Квинке и анафилактического шока, можно запомнить, в каких случаях у человека начинается сложная аллергический ответ, и когда следует незамедлительно обратиться за медицинской помощью.
- Виды аллергии у детей идентичны реакциям взрослых, за одним лишь исключением: детский организм более восприимчив к раздражителям, поэтому скорость проявления аллергии намного выше.
Заключение
Тело человека совершенно непредсказуемо, невозможно предугадать, что станет причиной возникновения того или иного процесса. Ответ организма на воздействие антител может пройти совершенно незаметно, а может привести к возникновению серьезных заболеваний и при отсутствии лечения – к смертельному исходу.
- Стоит внимательно относиться к своему здоровью, и при любых подозрениях незамедлительно обращаться за квалифицированной медицинской помощью.
Фото видов аллергии
- Также рекомендуем просмотреть:
Помогите проекту, раскажите друзьям:
Иммунотерапия или прививка от аллергии: готовьтесь к весенним симптомам осенью и зимой


Многие считают, что аллергию нельзя вылечить — можно только маскировать ее симптомы, глотая антигистаминные таблетки . Однако уже более ста лет в мире применяется эффективный способ именно лечения аллергии — аллерген-специфическая иммунотерапия (АСИТ) или, как ее еще называют, — прививка от аллергии. И проводить ее, готовясь к весенним симптомам, нужно осенью и зимой, когда в воздухе нет пыльцы.
Когда рекомендована аллерген-специфическая иммунотерапия
АСИТ – наиболее часто используемая и эффективная форма лечения аллергии. В отличие от других методов лечения, этот вид терапии изменяет ответ иммунной системы на аллерген.
Аллерген-специфическая иммунотерапия показана для лечения аллергических состояний, проявляющихся в виде аллергического риноконъюнктивита, бронхиальной астмы.
Инъекции аллергенов эффективны при лечении реакций на пыльцу деревьев, злаков, сорняков, а также споры грибов, клещей домашней пыли, перхоть животных и яд насекомых.
В то же время нет доказательств эффективности иммунотерапии при пищевой аллергии, аллергии на лекарства и на латекс.
Хотя сейчас европейская научная общественность считает, что введение малых доз пищевых продуктов-аллергенов детям со склонностью к аллергии может защитить их от проявлений этой болезни.
Ведь есть данные, что введение аллергенов оказалось эффективным при лечении чувствительности к авокадо, дыне и другим фруктам.
Помощь иммунной системе
АСИТ чаще всего проводят в холодное время года, между сезонами цветения большинства аллергенных растений, именно потому, что нагрузка аллергенами на организм в этот период минимальна.

Однако современные средства АСИТ позволяют продолжать терапию и тогда, когда цветение растения, выделяющего аллергенную пыльцу, началось.
Сейчас существуют два вида АСИТ – сублингвальная и инъекционная. В первом случае пациент принимает аллергены по определенной схеме дома, распыляя аллергены в виде спрея под язык.
Инъекционная терапия, соответственно, предполагает уколы.
Инъекции аллергенов помогают организму привыкнуть к веществам, вызывающим аллергическую реакцию.
В обоих случаях аллергены принимают в течение длительного периода, обычно 3 года.
Иммунотерапия не является лечением в полном смысле слова, поскольку не устраняет причину заболевания. Но симптомы аллергии облегчаются и могут исчезнуть на длительное время.
Ввиду того, что пациенты с аллергией обычно гиперчувствительны к более чем одному аллергену, при обоих видах иммунотерапии можно вводить несколько из них.
Конечно, эффект лечения во многом зависит от качества препарата-аллергена. Инъекционные аллергены сертифицированного фармацевтического производителя Inmunotek (Испания), зарегистрированные в Украине, соответствуют самым высоким стандартам качества и изготавливаются в виде суспензии ALXOID.
Во флаконе содержится один или несколько полимеризованных экстрактов аллергенов:
- Эпидермис животных: кот, собака.
- Пылевые клещи – 3 вида.
- Злаковые: пшеница, ячмень, рожь, овес.
- Сорняки: полынь, тимофеевка, амброзия.
- Деревья: береза, ольха, орешник.
- Плесневые грибы: альтернария, кладоспориум, аспергилюс, пеницилиум.
Как работает прививка от аллергии (иммунотерапия)
Принцип действия АСИТ заключается в том, что экстракт небольшого количества аллергена распознается клетками иммунной системы. Организм реагирует на аллерген, доза которого постепенно увеличивается, развивая иммунитет или толерантность к нему.
Терапия имеет две фазы:
- Фаза накопления, которая предусматривает инъекции / прием спрея или таблеток с увеличением количества аллергенов примерно один-два раза в неделю. Продолжительность этой фазы зависит от индивидуальной реакции пациента на аллерген, но обычно составляет 1–2 месяца.
- Фаза поддержки, которая начинается после достижения эффективной дозы. Эффективная поддерживающая доза зависит от уровня чувствительности к аллергенам и реакции на фазу накопления. В течение фазы поддержки промежуток времени между инъекциями становится больше и составляет от двух до четырех недель. При сублингвальной иммунотерапии спрей под язык необходимо принимать каждый день.
Вы можете заметить уменьшение симптомов уже во время фазы накопления. Однако могут потребоваться до 12 месяцев поддерживающей терапии, прежде чем улучшение станет существенным.
Если лечение проходит успешно, поддерживающая терапия обычно продолжается 3-5 лет. Любое решение о прекращении лечения следует обсудить с врачом.
Кому полезна прививка от аллергии
Инъекции аллергенов могут получать и взрослые, и маленькие пациенты, хотя обычно уколы не рекомендуются детям до пяти лет. В частности потому, что малышам сложно рассказать о негативных симптомах, которые могут почувствовать во время терапии.
Принимая решение о назначении инъекций аллергенов, врач учитывает следующие факторы:
- Продолжительность сезона аллергии и выраженность симптомов.
- Насколько хорошо лекарства и / или контроль окружающей среды помогают облегчить симптомы аллергии.
- Желание пациента избежать длительного применения лекарств.
- Доступное для лечения время.
- Стоимость терапии.
Вопрос об иммунотерапии следует рассматривать, если симптомы длятся более трех месяцев в течение года, а антигистаминные и другие лекарства не приносят достаточного облегчения.
Кому противопоказана иммунотерапия
Инфекционные заболевания, такие как вирусный гепатит, туберкулез, а также синдром приобретенного иммунодефицита (СПИД), аутоиммунные заболевания, злокачественные новообразования, обострение бронхиальной астмы, являются противопоказанием к проведению иммунотерапии.
Также АСИТ противопоказана пациентам, принимающим препараты β-блокаторы – при заболеваниях сердечно-сосудистой системы. Нельзя принимать аллерген также при повышении температуры тела (более +38,5°С) и в период беременности.
Насколько эффективна иммунотерапия
Инъекции аллергенов приводят к уменьшению симптомов аллергии. Они могут предотвратить развитие чувствительности к новым аллергенам, а также прогрессирование заболевания у детей от аллергического ринита к астме.
Кроме того, иммунотерапия эффективна при лечении аллергической астмы. Она способна снять аллергические реакции, вызывающие эпизоды болезни, уменьшая тем самым потребность в лекарствах против астмы.
Эффективность терапии связана с продолжительностью программы лечения, а также с дозой аллергена. Некоторые пациенты испытывают длительное облегчение симптомов, у других после прекращения инъекций может произойти рецидив.
Если вы не заметили улучшения после года поддерживающей терапии, врач обсудит с вами другие варианты лечения. Или предложит дообследование для определения причины неэффективности АСИТ.
Когда прививка от аллергии неэффективна
Отсутствие эффекта от иммунотерапии может быть следствием нескольких факторов:
- Недостаточная доза аллергена.
- Неправильно подобранные компоненты для проведения АСИТ.
- Высокий уровень аллергена в окружающей среде.
- Значительное влияние неаллергических триггеров, таких как табачный дым.
- Полисенсибилизация – аллергия на 3 и более факторов.
Как правильно готовиться к иммунотерапии
Если вы проходите курс АСИТ, следуйте таким советам:
- Старайтесь избегать физической нагрузки по два часа до и после укола. Дело в том, что физические упражнения усиливают приток крови к тканям и могут вызвать быстрое распространение аллергенов по вашему телу. Это не обязательно повлечет серьезные проблемы, но лучше обезопасить себя.
- Сообщите врачу о любых других лекарствах или травах и добавках, которые принимаете. Некоторые препараты препятствуют лечению или повышают риск побочных эффектов. Возможно, вам придется прекратить терапию, если вы принимаете эти лекарства.
- Если вы беременны или планируете забеременеть, спросите врача, следует ли продолжать иммунотерапию или начинать ее.
Безопасна ли иммунотерапия
Покраснение, отек или раздражение в месте инъекции является нормальной реакцией. Они могут появиться немедленно или через несколько часов после процедуры и должны пройти через 4–8 часов.
В некоторых случаях могут возникнуть усиленные симптомы аллергии, такие как чихание, заложенность носа или крапивница.
Серьезные реакции на уколы аллергенов встречаются редко, но требуют немедленной медицинской помощи.
Большинство серьезных реакций, таких как анафилактический шок, развиваются в течение 30 минут после введения аллергена. Поэтому рекомендуется подождать в кабинете врача по крайней мере полчаса после того, как сделана прививка от аллергии.

Аллергия. Виды аллергии. Проявления аллергии: аллергия на коже
Аллергия — это патологическая (отличная от нормальной) реакция иммунной системы.
Функция иммунной системы состоит в защите от чужеродного проникновения, способного принести нашему организму вред. Для чего в организме вырабатываются антитела, связывающие проникшие в нас вирусы и микробы, а также переродившиеся (раковые) клетки.
Обезвреженные таким образом вредоносные агенты (их называют антигенами) выводятся из организма. Защищённый иммунной системой организм оказывается способен длительное время не поддаваться инфекции.
Эта способность противостоять болезни называется иммунитетом.
Но если иммунная система работает неправильно, она может увидеть угрозу в веществах, которые для организма опасности не представляют.
Посчитав их антигенами, организм начинает активно вырабатывать к ним антитела, в результате мы чувствуем, что организм борется с болезнью, хотя настоящих возбудителей болезни нет есть лишь воздействие какого-то внешнего фактора, часто самого обыденного.
Такая повышенная чувствительность к воздействию отдельных веществ называется аллергией, а вещества, на которые организм отвечает аллергической реакцией аллергенами.
Виды аллергии
В зависимости от того, что провоцирует аллергическую реакцию и какими путями аллергены попадают в наш организм, могут быть выделены различные виды аллергии:
Пищевая аллергия это аллергия на пищевые продукты и их компоненты. В качестве аллергенов могут выступать молоко, куриный белок, рыба, белковые компоненты ячменя, ржи, пшеницы и другие продукты. Аллергию также могут вызывать пищевые добавки и консерванты.
Аллергия на лекарства наиболее заметна, когда проявляется немедленно после приёма или введения препарата, но реакция на лекарство может быть и замедленной. Наиболее часто аллергическую реакцию вызывают анальгин, сульфамидные препараты и антибиотики.
Чтобы снизить риск аллергической реакции рекомендуется не вводить более одного нового препарата сразу и принимать новый препарат, начиная с малых доз. При появлении реакции на препарат следует немедленно прекратить приём и обратиться к врачу. Если аллергическая реакция протекает в острой форме необходимо немедленно принять антигистаминный препарат, который есть под рукой.
Аллергия на прививки это аллергическая реакция на компоненты вакцин.
При наличии реакции на определённые аллергены, например, антибиотики, куриный белок или пекарские дрожжи, следует ожидать аллергическую реакцию на вакцину, содержащую данное вещество.
Поскольку аллерген в случае прививки попадает непосредственно в кровь, реакция может быть, с одной стороны, замедленной, а с другой более тяжёлой.
Аллергия на укусы насекомых возникает как патологическая иммунная реакция на яд, выделяемый насекомыми при укусе. При нормальной реакции место укуса может немного опухнуть, покраснеть, обычно чувствуется зуд, но эти симптомы быстро проходят. Из тех насекомых, которые обитают в средней полосе России, наиболее тяжелые формы аллергической реакции вызывают укусы пчёл, ос и муравьёв.
Аллергия на животных один из самих распространённых видов аллергии. Аллергию могут вызывать как домашние животные (собаки, кошки, грызуны, птицы), так и фермерские (лошади). Аллергенами являются шерсть, перхоть, слюна и моча животных, перья и экскременты птиц. Аллергическую реакцию обычно вызывает вдыхаемая пыль, содержащая эти аллергены.
Аллергия на пыльцу (поллиноз) обычно имеет сезонный характер. Как правило, аллергию вызывает пыльца растений, которые опыляются ветром. Пора цветения соответствующих видов весна, лето является самой проблемной для людей, страдающих поллинозом.
Аллергия на пыль. Пыль может содержать различные аллергены (частички пищи, перхоть животных, споры грибков), однако основным аллергеном является микроскопическое паукообразное пылевой клещ. Пылевые клещи питаются частичками отшелушившейся человеческой кожи.
Их особенно много в матрасах кроватей, подушках, одеялах, мягких игрушках, коврах спален и занавесках. Белковая структура пылевых клещей близка к белковой структуре паразитов (например, глистов).
Нарушение работы иммунной приводит к тому, что на пылевых клещей начинают вырабатываться те же антитела, что и на паразитов. В результате развивается аллергическая реакция.
Аллергия на холод. В этом случае уместнее говорить о псевдоаллергии, ведь вещества, вызывающего аллергию аллергена при аллергической реакции на холод нет. Под воздействием холода белки наших тканей видоизменяются, и неадекватно реагирующая иммунная система вдруг распознаёт в них чужеродных агентов и начинает с ними бороться.
Фотодерматит. Его ещё называют аллергией на солнце, но это не очень правильно. Ультрафиолетовые лучи воздействуют на те вещества, которые находятся на нашей коже, в результате чего они начинают распознаваться иммунной системой как антигены.
Это так называемый экзогенный (т.е. внешнего происхождения) фотодерматит. Его причиной могут быть нанесенный на кожу крем для загара, дезодорант, духи. Подобный эффект вызывают также некоторые лекарства, неизбежно попадающие на кожу в капельках пота.
Выделяют также луговой дерматит. В период цветения многие луговые растения выделяют особые вещества фукрокумарины. Они оседают на коже и под воздействием ультрафиолета провоцируют аллергическую реакцию.
Наряду с экзогенным бывает и эндогенный фотодерматит. В этом случае иммунная система реагирует на изменение тканей кожи под воздействием солнечных лучей. Подобные заболевания встречаются достаточно редко.
Аллергия при беременности. Признаки аллергии во время беременности обнаруживает у себя примерно каждая третья женщина, ранее с аллергией не сталкивавшаяся. Основная причина неизбежные в этот период гормональные изменения.
Непосредственной угрозы для плода аллергия не представляет, поскольку ни аллергены, ни антитела не проникают через плаценту.
Главная проблема в том, что во время беременности противопоказаны практически все антигистаминные препараты. Поэтому без консультации с врачом пытаться снять у себя аллергическую реакцию нельзя.
В острых случаях надо вызывать скорую помощь, а в остальных идти на приём к аллергологу.
Причины аллергии
В настоящее время считается, что склонность к аллергии в значительной степени предопределена генетически. Развитию аллергических заболеваний также способствуют неблагоприятная экология, несбалансированная структура питания, стрессы, чрезмерное употребление лекарств.
Симптомы аллергии
Аллергические реакции могут быть разными по интенсивности (от слабых до острых).
Пищевая аллергия проявляется, как правило, в виде аллергического дерматита. Типичные проявления аллергии на теле: кожа краснеет, уплотняется, появляется зуд. В тяжелых случаях пораженный участок начинает мокнуть.
Иногда пищевые аллергены вызывают также аллергический насморк или конъюнктивит. В случае аллергического поражения желудочно-кишечного симптомами могут быть кишечные расстройства, рвота, боль в животе.
Вдыхание паров или частиц-аллергенов, например, при приготовлении пищи может привести к поражению дыхательной системы.
Аллергическую реакцию на лекарства следует отличать от реакций других типов. Если после приёма лекарства наблюдается ухудшение состояния, то это не обязательно следствие аллергии. Это может быть побочный эффект препарата или отравление в результате превышения допустимой дозы. Возможны следующие проявления аллергии на лекарства:
В случае аллергии на прививки возможны следующие проявления:
- крапивница;
- отёк Квинке;
- синдром Лайела распространение по всей коже сыпи и пузырей, сопровождающихся сильным зудом;
- сывороточная болезнь воспалительное поражение сосудов, развивающаяся через 1−2 недели после прививки. Характеризуется лихорадкой, крапивницей, отёками Квинке, увеличением лимфатических узлов и селезёнки, болью в суставах;
- анафилактический шок.
В случае аллергии на укусы насекомых реакция оказывается более обширной, могут наблюдаться крапивница, отёк Квинке и даже анафилактический шок.
Аллергию на животных легко установить, если при контакте с ним или в его присутствии у вас:
- начинается насморк или закладывает нос;
- краснеют глаза, текут слёзы (аллергический конъюнктивит);
- затрудняется или становится хриплым дыхание, начинается сухой кашель;
- при контакте с животным краснеет и чешется кожа.
При аллергии на пыльцу могут наблюдаться:
- аллергический насморк;
- конъюнктивит (проявления покраснение глаз, обильное слезотечение);
- зуд нёба и языка;
- затруднение дыхания (одышка или удушье);
- хрипы и сухой кашель;
- покраснение кожи.
При аллергии на пыль могут наблюдаться:
- аллергического ринита;
- бронхиальной астмы;
- аллергических кожных заболеваний.
При аллергии на холод возникают такие проявления как:
- холодовая крапивница волдыри на коже, сопровождающиеся зудом;
- холодовый дерматит покраснение и шелушение кожи. В тяжёлых случаях возможен отёк;
- псевдоаллергический холодовый ринит (насморк);
- псевдоаллергический конъюнктивит на морозе в глазах чувствуется жжение, они начинают слезиться.
Самые распространённые симптомы аллергии
Аллергическая сыпь, как правило, сопровождается зудом. Повышения температуры при аллергических высыпаниях обычно не наблюдается.
В некоторых случаях (при контактном дерматите) сыпь появляется на тех участках, где произошел контакт с аллергеном. Однако сыпь может быть вызвана не только аллергией.
Например, сыпь характерна для многих инфекционных заболеваниях. Чтобы разобраться в природе сыпи, следует обратиться к врачу.
Подробнее о симптоме
Зуд сопровождает аллергические высыпания. Довольно часто сначала возникает зуд, а потом в этом же месте появляется сыпь. В некоторых случаях может наблюдаться зуд без сыпи.
Подробнее о симптоме
Аллергический отёк может иметь любую локализацию, однако наиболее часто отекают лицо, конечности, части тела, покрытые слизистой оболочкой (глаза, губы, носоглотка, половые органы). Особую опасность представляют отёки горла и носоглотки, способные вызвать удушье.
Подробнее о симптоме
Типичная аллергическая реакция на аллергены, способные находиться в воздухе. Слезотечение может проявлением аллергического конъюнктивита (воспаления слизистой оболочки глаза)
При контакте с аллергеном, присутствующем в воздухе, также может наблюдаться аллергический ринит (насморк).
У некоторых пациентов контакт с аллергеном приводит к развитию отека и спазма дыхательных путей.
Методы диагностики аллергии
Задача диагностики — определить аллерген, вызывающий аллергическую реакцию.
В некоторых случаях для установления аллергена достаточно сбора анамнеза.
При проведении сбора анамнеза особое внимание уделяется наследственности и образу жизни (жизненным обстоятельствам, сопутствующим возникновению симптомов аллергии, пищевым привычкам и т.п.).
Однако для полной уверенности в сделанных выводах, а также в тех случаях, когда анализа анамнеза недостаточно, обычно проводятся специальные исследования.
Анализ крови на аллергены
Анализ крови на аллергены необходим для того, чтобы определить, какой именно аллерген вызывает аллергическую реакцию. В ходе анализа оценивается содержание в крови специфических иммуноглобулинов E (IgE).
Метод аллергологических проб заключается в организации контакта пациента с потенциальными аллергенами. Используются минимальные дозы аллергенов. Их достаточно, чтобы зафиксировать реакцию организма на аллерген, но они неспособны вызвать аллергическую реакцию в масштабах, способных сказаться на состоянии пациента.
Подробнее о методе диагностики
Записаться на диагностику
Методы лечения аллергии
В первую очередь лечение аллергии направлено на устранение аллергических проявлений. Аллергические реакции могут быть достаточно тяжелыми и даже представлять серьёзную опасность для жизни человека (анафилактический шок, отёк Квинке). Проявления аллергии способны снизить нашу работоспособность, ухудшить качество жизни.
Прежде всего, необходимо прервать контакт с аллергеном. Здесь возможна проблема: аллерген не всегда известен. И даже наоборот: если человек впервые сталкивается с аллергией, то, скорее всего, он не сможет однозначно сказать, какой именно аллерген вызвал реакцию.
Поэтому в случае аллергии необходимо обратиться к врачу аллергологу-иммунологу и пройти диагностические процедуры.
Когда аллерген будет установлен (довольно часто реакцию вызывает не один, а сразу несколько аллергенов), надо будет по возможности минимизировать контакт с ним.
Успешно проведенное лечение позволяет добиться длительной ремиссии (то есть аллергические проявления могут отсутствовать многие годы). Чем раньше начато лечение, тем ощутимее будет эффект. Поэтому своевременное обращение к специалисту – аллергологу-иммунологу — первый и главный фактор успеха в борьбе с аллергией.
В лечении аллергии используется медицинские препараты, принадлежащие к разным группам лекарств. Это:
- антигистаминные препараты, подавляющие действия свободного гистамина. Гистамин – это биологически активное вещество, находящееся в организме, как правило, в связанном состоянии. При попадании аллергена в организм гистамин высвобождается, вызывая сыпь, зуд, отёки – типичные аллергические проявления. Антигистаминные препараты, таким образом, являются эффективным средством для устранения основных (острых) симптомов аллергии. Однако злоупотреблять антигистаминными средствами не стоит, особенно препаратами первого поколения (Супрастин и др.), вызывающими замедление реакций и сонливость. Приём препаратов следует согласовать с лечащим врачом;
- глюкокортикостероиды. Данные препараты имеют гормональную основу. Во избежание осложнений и побочных эффектов их следует принимать только по назначению врача. Глюкокортикостероиды обладают мощным антиаллергическим действием. Однако нарушения правил их приёма может привести к быстрому набору веса (ожирению), повышению артериального давления, развитию сахарного диабета, язвенной болезни и т.п.;
- сорбенты. Не обладая прямым антиаллергическим действием, препараты этой группы способствуют связыванию и быстрому выведению из организма токсинов и аллергенов, что способствует снижению остроты аллергической реакции;
- другие медицинские препараты.
Внутривенное лазерное облучение крови
Для лечения аллергии могут использоваться некоторые физиотерапевтические методы. В частности высокую эффективность показывает ВЛОК – внутривенное лазерное облучение крови. Суть метода состоит в том, что в русло вены (как правило, у локтевого сгиба) посредством специальной иглы вводится световод, по которому подаётся лазерный импульс.. Кванты световой энергии воздействуют на кровь, в результате чего достигается противовоспалительный и иммуноукрепляющий эффект.
Лечение с помощью ВЛОК показано при любой форме и проявлениях аллергии. Однако метод имеет свои противопоказания, поэтому процедура ВЛОК проводится только по назначению врача.
Очищение крови может проводиться и другими методами. Например, с помощью плазмафереза.
Подробнее о методе лечения
Аллерген-специфическая иммунотерапия
АСИТ — аллерген-специфическая иммунотерапия — это метод лечения аллергии, при котором в результате постепенного введения в организм установленного аллергена во всё возрастающих дозах достигается эффект снижения чувствительности к данному аллергену (гипосенсибилизация).
Подробнее о методе лечения
Все заболевания
Лечение аллергии у детей и взрослых: подходы и методы
По данным Российской ассоциации аллергологов и клинических иммунологов, от аллергических заболеваний страдает около 30% людей в мире, а в России по разным оценкам их процент колеблется в пределах от 17,5% до 30% [1] . Эти данные не учитывают людей, которые не обращаются к врачу по поводу аллергии, с переменным успехом довольствуясь самолечением. По праву аллергию уже называют болезнью века.
Что же такое аллергия, отчего она появляется и какими методами можно ее вылечить — узнаете из этой статьи.
Симптомы и причины аллергии
Аллергия (в переводе с греческого allos — «другой» и ergon — «действие») — это реакция организма на какое-либо вещество — аллерген. Другими словами, это повышенная чувствительность иммунной системы.
Аллергию могут вызывать шерсть животных, пыльца растений, пыль, продукты питания, укусы насекомых, лекарства, химические вещества и т.д.
Протекать аллергия может по-разному, в некоторых случаях человек может даже не догадываться о проблеме, но чаще аллергия выражается в следующих симптомах:
- сыпь и покраснение кожи, высыпания, шелушения;
- слезоточивость, насморк;
- чихание;
- кашель;
- зуд в носу и глазах;
- отеки (например, языка, губ);
- рвота, диарея.
Опасность аллергии в том, что она может привести к тяжелому состоянию — анафилактическому шоку, а тот в свою очередь — к летальному исходу, если вовремя не предпринять нужные действия.
В случае анафилактического шока реагирует весь организм, а не только место соприкосновения с аллергеном. Может быть тяжело дышать, появляется отек слизистых и гортани, слабость, резко падает давление, кружится голова, может случиться обморок, начаться рвота.
При первых подобных признаках важно незамедлительно вызвать скорую помощь.
Особенности лечения аллергии
К счастью, аллергию можно лечить. В зависимости от вида аллергии подход к лечению будет отличаться.
Аллергический ринит
Аллергия дыхательных путей чем-то похожа на простудные заболевания. Может быть также заложен нос, затруднено дыхание, появляется кашель. Однако при этом температура тела в норме.
Дыхательная аллергия может привести к развитию бронхиальной астмы, которая сопровождается приступами удушья, затрудненностью дыхания, продолжительным кашлем.
Еще одним признаком респираторной аллергии является покраснение глаз (они чешутся, слезятся — это так называемый аллергический конъюнктивит).
Особенно часто проявляется дыхательная аллергия в период цветения, также подобная реакция может быть на шерсть животных. Поэтому первое, что нужно сделать для лечения — это устранить контакт с аллергеном. Дальше — можно использовать специальные капли для глаз, назальные спреи, антигистаминные препараты.
Дерматозы
Это группа аллергических заболеваний, которые проявляются высыпаниями на коже. Раздражения на коже могут быть самые разные — корки, рубцы, бляшки, пузырьки, пятна и др. Они могут сопровождаться сильным зудом.
Например, зудящий дерматоз начинается как небольшие красноватые высыпания на коже, которые впоследствии покрываются желтыми корками и сильно чешутся. У человека может нарушиться сон, усиливается нервное возбуждение.
- Также аллергический дерматоз может быть контактным (то есть аллергия развивается только в месте соприкосновения с аллергеном — например, при укусе насекомого или при контакте с химическим веществом) или токсико-аллергическим (когда все тело реагирует высокой температурой и ухудшением состояния).
- В самых простых случаях вылечить дерматоз можно устранением аллергена, соблюдением диеты, приемом антигистаминных препаратов.
- Пищевая аллергия
Это реакция на продукты питания. Чаще всего она проявляется впервые уже в детском возрасте и может быть вызвана нарушениями питания у женщины во время беременности и кормления. При раннем переходе на искусственное вскармливание, при проблемах с ЖКТ также высок риск пищевой аллергии или непереносимости.
Наиболее типичное проявление пищевой аллергии — это покалывания во рту, онемение языка или неба. Но также может проявляться рвотой, тошнотой, диареей, коликами, запорами.
Часто при пищевой аллергии возникают высыпания на коже, крапивница, дерматит, отек Квинке.
У совсем маленьких детей (грудничков) симптомами пищевой аллергии считаются зуд и дерматит вокруг заднего прохода и частые опрелости (не связанные с неправильным уходом за кожей).
Лечение пищевой аллергии должно быть комплексным. Это планирование питания, применение антигистаминных препаратов нового поколения, аллергенспецифическая иммунотерапия (АСИТ).
Лекарственная аллергия
Это индивидуальная непереносимость определенного лекарственного вещества. Она проявляется в виде побочных эффектов (они указываются в инструкции), токсических реакций (при передозировке), а также симптомов, например свойственных пищевой аллергии. Первое действие при появлении аллергии — это отмена лекарственного препарата.
Если пациент принимает несколько, то все их отменяют до выяснения причины. При появлении крапивницы также назначают прием антигистаминных препаратов, инъекций глюкокортикостероидов. Если аллергические проявления довольно тяжелые, то лечение проводится в палате интенсивной терапии.
При развитии инфекционного процесса также назначают антибиотики.
Инсектная аллергия
Аллергия на укусы жалящих насекомых (пчел, ос, муравьев). Однако важно не путать нормальную реакцию на укус с аллергической. Если укус сопровождается покраснением, небольшим отеком и болью, то это вполне естественная реакция организма.
Если же укус сопровождается затрудненностью дыхания, сыпью, хрипами, учащенным пульсом, головокружением, отеком лица или горла, то следует как можно быстрее обратиться к врачу. Это острые анафилактические реакции, которые требуют скорой помощи.
В более мягкой форме инсектная аллергия может проявляться в виде зуда, жжения, появления пятен.
Как действовать в случае укуса? Если вас укусила пчела, то необходимо в течение полуминуты удалить жало, чтобы избежать поступления большего количества яда под кожу.
Мешочек с ядом можно выскрести острым предметом, но ни в коем случае не выдавливать и не вытягивать. Затем место укуса можно промыть и нанести успокаивающую мазь.
Если есть отек, то можно приложить холодный компресс.
При острых аллергических реакциях вводят инъекцию адреналина. Более того, если у вас уже была острая аллергия на укус, то необходимо постоянно носить с собой инъекции адреналина и незамедлительно обращаться к врачу в случае укуса.
Инфекционная аллергия
Вызывается, как следует из названия, инфекционными аллергенами. К ним относятся грибки, вирусы, бактерии, продукты жизнедеятельности микроорганизмов. К аллергии приводят инфекционные заболевания, от которых человек страдает в течение длительного времени: туберкулез, гонорея, сифилис, грибок кожи и другие.
Симптомы такой аллергии неспецифичны: слезоточивость, сыпь, насморк, затрудненное дыхание, проблемы со стулом. Единственный эффективный способ лечения такого вида аллергии — это устранение инфекции, ее вызывающей.
Лечение аллергии у взрослых
При аллергии у взрослых чаще всего назначаются:
Антигистаминные препараты (в виде таблеток и инъекций). Они устраняют симптомы аллергии. К ним относятся «Цетрин», «Зиртек», «Эриус» и др.
Глюкокортикостероиды (в виде таблеток, мазей, инъекций). Эти гормональные средства применяются при очень сильных аллергических реакциях — снимают спазмы, приступы удушья, отек Квинке и т. д.
Иммуннотерапия устраняет не только симптомы (в отличие от вышеописанных способов), но и причины аллергии. Она направлена на снижение чувствительности иммунной системы к аллергену.
Для этого в организм вводится небольшая доза аллергена, который предварительно прошел специальную обработку. Бывает инъекционная и безинъекционная иммунотерапия (в виде каплей, преорально, ингаляции и др.).
Иммунотерапия успешно борется с бытовыми (пыль, шерсть), пыльцевыми и пищевыми аллергенами.
Плазмоферез — это очистка плазмы крови, в процессе которой из нее удаляются аллергены и вредные вещества (шлаки и токсины). Назначают при средней и тяжелой формах аллергии.
Спелеокамера — физиотерапевтическая процедура, широко используемый для лечения дыхательной аллергии. Человека помещают в пространство, насыщенное ионами солей. Таким образом, воспаление уменьшается, иммунитет укрепляется, аллергические реакции снижаются.
Барокамера для лечения бронхиальной астмы и аллергии дыхательных путей используется редко. Страдающего аллергией помещают в герметичную камеру с повышенным давлением воздуха и газовыми смесями с кислородом.
ВЛОК — внутривенное лазерное облучение крови. В ходе процедуры в вену вводят иглу, к которой присоединено оптическое волокно, и через него передают импульс с заданными характеристиками. Таким образом лечат разные виды аллергии — в том числе дыхательную, пищевую, кожные заболевания и др.
ДЭНАС — аппаратная процедура, основанная на динамической электронейростимуляции пораженных участков тела (крылья носа в случае аллергического ринита, параорбитальные зоны и закрытое веко при аллергическом конъюнктивите, участки кожных высыпаний при крапивнице).
Каждый из перечисленных вариантов имеет свои особенности и противопоказания. Так, например, с осторожностью следует принимать антигистаминные препараты беременным женщинам — нужно обязательно проконсультироваться с лечащим врачом. Будущим мамам также можно посоветовать перейти на гипоаллергенную диету, исключить контакт с аллергенами и проводить профилактику аллергии.
Сама по себе аллергия не является противопоказанием к беременности и родам. Однако учтите, что во время беременности аллергические реакции могут проявляться сильнее — к этому нужно быть готовыми.
Особенности лечения аллергии у детей
Аллергия у детей протекает почти так же, как у взрослых, но имеет свои особенности. Помимо общих симптомов, наблюдаются нарушение работы ЖКТ, частые простуды и грипп. Специалисты считают, что детскую аллергию вполне можно вылечить и полностью избавиться от заболевания.
Наиболее распространены среди детей пищевая и дыхательная аллергии. Лечат их также при помощи специфической диеты и антигистаминных препаратов, назначенных врачом.
В случае пищевой аллергии применяется так называемое элименационное питание, когда новые продукты вводятся в рацион постепенно в небольшом количестве и на протяжении определенного времени — при этом наблюдают за реакцией организма.
Лечение аллергии: восточная медицина и народные средства
Тибетская и китайская медицина, использующая лечебные сборы и воздействие на биоактивные точки организма, может предложить свои процедуры для борьбы с аллергией.
Точечный, или энергетический, массаж , в процессе которого глубоко прорабатываются жизненно важные точки на теле человека. Убираются «блоки», застои, выводятся вредные вещества.
Иглоукалывание — введение игл в определенные точки, запускает процессы саморегуляции организма, снимает блоки в теле и восстанавливает жизненную энергию.
Фитотерапия — это применение многокомпонентных препаратов, изготовленных исключительно на натуральной основе. Основные действующие компоненты устраняют причину аллергии, а второстепенные оказывают общеукрепляющий эффект.
Гирудотерапия — лечение пиявками. Официально признана Министерством здравоохранения России в 1995 году, при назначении и проведении квалифицированными врачами абсолютно безвредна. Пиявки выделяют полезные вещества, которые проникают в кровь и очищают сосуды, уходят застои, укрепляется иммунитет.
Эти и другие способы работают с источником самой проблемы. Ведь если устранить только симптом, то болезнь может вернуться — и иногда даже в более серьезном виде. Тибетские процедуры, если они правильно проводятся, не имеют побочных эффектов, так как врачи восточной медицины всегда работают с организмом как с единой системой.
Довериться классической медицине или восточной — вопрос, который каждый решает для себя сам. Однако в любом случае не стоит запускать аллергию — необходимо пройти своевременное лечение.
Врачи дали советы аллергикам по профилактике коронавируса
МОСКВА, 30 мар — РИА Новости.
Страдающие весенней аллергией люди попадают в зону повышенного риска в связи с распространением коронавируса, в качестве профилактики им нужно повышать иммунитет и не забывать про базисную терапию, рассказали врачи-аллергологи, опрошенные РИА Новости.
Всемирная организация здравоохранения 11 марта объявила вспышку новой коронавирусной инфекции COVID-19 пандемией. По последним данным ВОЗ, в мире заражены уже более 509 тысяч человек, свыше 23 тысяч скончались.
«Пациенты с аллергией не являются группой риска по умолчанию.
Но нам известно, что тяжелое хроническое аллергическое воспаление дыхательных путей делает слизистые пациента более уязвимым перед вирусами», — рассказала аллерголог-иммунолог Белла Брагвадзе, отвечая на вопрос, повышен ли риск заражения коронавирусом для аллергиков.
Заведующий лабораторией вакцинопрофилактики и иммунотерапии аллергических заболеваний НИИ вакцин и сывороток имени Мечникова Михаил Костинов пояснил, что у аллергиков теряется мукозальный (барьерный) иммунитет, особенно при поллинозе. «Нос, глаза краснеют, человек чихает, у него слезотечение. И при такой «ране» вирусам легче быстро распространяться», — отметил он.
Он также добавил, что болезнь может протекать тяжелее, так как организм не сразу начинает борьбу, а чем позже включается иммунная система, тем вероятнее тяжелое протекание болезни. «Инфекция ухудшает течение аллергии. Аллергия ухудшает течение самой респираторной инфекции. Порочный круг», — подчеркнул Костинов.
Врач рассказал, что поллиноз, весеннее аллергическое заболевание, чаще всего развивается у детей и у людей среднего возраста, максимум до 50 лет. Другие же аллергические заболевания с возрастом наоборот ухудшаются.
Заслуженный работник здравоохранения РФ, профессор Юрий Мизерницкий напомнил, что риск заражения и тяжелого течения коронавирусной инфекции особенно высок для групп риска, в частности, для лиц старше 60 лет, для ослабленных, больных с той или иной хронической патологией, в том числе с тяжёлыми хроническими аллергическими заболеваниями.
«Коронавирусная инфекция может привести к обострению аллергического заболевания. Вирусы всегда выступают триггерами (провокаторами) обострения аллергических заболеваний, в частности бронхиальной астмы», — рассказал Мизерницкий.
«Как и для всех, в эпидемический сезон рекомендуются меры профилактики, направленные на повышение устойчивости организма к инфекциям (поливитамины, средства, повышающие иммунитет, усиливающие выработку эндогенного интерферона и так далее), а также ограничение контактов и безукоризненное соблюдение правил личной гигиены», — ответил профессор на вопрос о мерах профилактики для аллергика в период распространения коронавируса.
Костинов отметил, что аллергики сейчас нуждаются в двойной профилактике. В период цветения у них есть свое специфическое лечение. Они меньше гуляют, больше сидят дома, чтобы исключить контакт с пыльцой. «Для них это закон. Это они прекрасно знают», — рассказал врач.
Брагвадзе рассказала, что меры профилактики вирусных инфекций для аллергиков такие же, как и для всех. «Но есть еще один важный момент — пациент с аллергией должен получать назначенную ему терапию, особенно сейчас, в период весеннего цветения деревьев для контроля над симптомами и тяжестью состояния», — подчеркнула она.
Если же аллергик все-таки заразился коронавирусом, то ему будет оказана комплексная помощь, которая будет учитывать симптомы как вирусного заболевания, так и аллергии, рассказала врач. Она также уточнила, что на данный момент медицинское сообщество пробует различные противовирусные комбинации для лечения этого вируса, пока нет точных выводов о том, какая терапия наиболее эффективна.
На вопрос о совместимости антигистаминных препаратов, например, с лопинавиром/ритонавиром, аллерголог ответила, что их применение не противопоказано. «А если пациент с аллергией получает глюкокортикостероиды, то доктор может пересмотреть проводимую терапию», — добавила она.
Брагвадзе подчеркнула, что пока мы имеет слишком мало информации о самом вирусе, статистические данные, на которые можно опираться, пока очень отрывочны. «На это все нужно время. И лишь когда все закончится, мы оценим как данное заболевание протекало у разных групп населения», — считает врач.
Последние данные о ситуации с COVID-19 в России и мире представлены на портале стопкоронавирус.рф.