15 Октября 2012
![]()
Что такое церебральный васкулит
Церебральный васкулит – это воспаление неинфекционной природы в стенках кровеносных сосудов головного мозга. Церебральные васкулиты могут иметь разную природу.
Это может быть изолированный первичный церебральный васкулит, церебральный васкулит как один из видов поражений при системных васкулитах, вторичные церебральные васкулиты на фоне системной красной волчанки, системной склеродермии Склеродермия — поражает все органы
. ревматоидного артрита Ревматоидный артрит — развенчивание мифов о болезни
. ревматизма, различных инфекций и онкологических заболеваний.
![]()
Изолированный первичный церебральный васкулит
Изолированный первичный церебральный васкулит — это очень редкое и тяжелое заболевание, причины которого на сегодняшний день никому не известны. При этом заболевании происходит изолированное поражение артерий или вен любого калибра головного мозга с последующим образованием участков из сужения и нарушениями мозгового кровообращения.
Заболевание может развиваться в любом возрасте, как у мужчин, так и у женщин, но чаще оно встречается после сорока лет. Начинается оно обычно остро, с сильнейшей головной боли, приступов судорог или появления очаговой неврологической симптоматики (нарушений чувствительности, зрения, слуха, параличей и так далее). В некоторых случаях заболевание может длительно протекать без каких-либо проявлений и только потом дать внезапное обострение с характерными признаками.
Сосудистые воспаления: диагностика и лечение
Воспаление сосудов, иначе васкулит – заболевание крайне многообразное и с трудом поддается диагностике. Дело в том, что симптомы связаны не столько с состоянием стенок сосуда, сколько с поражением того органа, который этот сосуд обслуживает. В результате наблюдаемые признаки совпадают с описанием воспаления органа, в то время как настоящая причина недуга совершенно иная.
Общая картина заболевания
К васкулитам относят все поражения сосудов – артериол, вен, артерий, капилляров, имеющих иммунопатологические причины. Под последними подразумевается специфическое нарушение в работе иммунной системы: клетки стенок ошибочно идентифицируются как чужеродные, и, соответственно, атакуются.
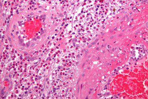
Выброс в кровь антигенов приводит к образованию большого количества иммунных комплексов. Через какое-то время эти образования фиксируются на стенках, к ним мигрируют макрофаги и лейкоциты, начинается фагоцитоз, клеточный лизис, агрегация тромбоцитов, что, в конце концов, приводит к деструкции артерии, вены или капилляра. Стенки сосудов становятся проницаемыми, а при дальнейшем течении болезни, начинаются некротические изменения.
Нетипичное повышение количества иммунных комплексов в сыворотке крови выступает одним из диагностических признаков.
Воспаление стенки сосуда препятствует нормальному кровопотоку, в результате повреждается тот орган тела, который обслуживается пораженным сосудом. Так, при васкулите височной артерии головного мозга, не получает кислород затылочная часть мозга, и в результате наблюдаются расстройства зрения. А воспалении вен нижних конечностей сопровождается кожными высыпаниями и болью в суставах.
Точная причина заболевания остается неизвестной. Достоверно известно лишь то, что помимо аутоиммунных процессов, васкулит провоцирует золотистый стафилококк и вирус гепатита. Локализация непредсказуема. Васкулит нижних конечностей, сосудов головного мозга, мелких сосудов почек относятся к наиболее часто встречаемым формам воспаления.
Классификация васкулитов
Так как недугом может быть поражен любой из кровеносных сосудов и любая часть кровеносной системы, форм у этой болезни предостаточно.
По типу источника воспаления кровеносных сосудов разделяют на два вида:
- первичный – собственно воспаление стенок как отправная точка развития болезни;
- вторичный – возникающий вследствие инфекционного, аллергического заболевания и даже травмы.
По калибру пораженных сосудов и области распространения васкулиты рассматриваются таким образом.
- Сегментарный – очагом воспаления выступает один из сосудов. В свою очередь, сегментарные подразделяются на артерииты – поражены крупные артерии, артериолиты – артериолы, флебиты – вены нижних конечностей, например, и капилляриты.
- Системный – общее поражение кровеносной системы без определенной локализации, например, волчаночный или ревматоидный васкулит. Для большинства системных васкулитов характерны высыпания на ногах, вплоть до появления язв. Вены на нижних конечностях являются в организме самыми уязвимыми, так как подвергаются наибольшей нагрузке, а васкулит проявляется в самом «слабом месте».
По локализации недуга на стенках существует следующая классификация
Строение стенки сосуда. Кликните для увеличения.
- Эндоваскулит – воспаляется внутренняя стенка сосуда.
- Мезоваскулит – здесь недуг поражает средний слой.
- Периваскулит – поражается внешний слой сосуда.
- Панваскулит – воспаление и деструкция всех слоев стенки. Это наиболее опасный вид заболевания.
Выделяют и другие формы недуга с крайне характерными признаками. Часто такие заболевания имеют четкую привязанность к региону или расовой принадлежности, например, артериит Такаясу.
Это поражение аорты, которые в 8 случаях из 9 регистрируется у азиаток. Васкулиты нижних конечностей или головного мозга куда менее специфичны, и, к сожалению, распространены повсеместно.
Симптомы воспалений
Идентифицировать их достаточно сложно из-за описанной выше особенности: заболевание не исчерпывается деструкцией стенки, а поражает орган. Из общих признаков васкулитам свойственны все типичные черты воспаления:
- беспричинная слабость;
- повышенная температура;
- невыраженная, нелокализованная боль, особенно в ногах;
- снижение аппетита.
Специфические симптомы связаны с типом воспаления и характером пораженного участка. Признаки при повреждении вен нижних конечностей и артерий головного мозга будут разные.
- Кожные высыпания – чаще всего наблюдается на ногах, так как связаны с деструкцией подкожных сосудов. Однако могут наблюдаться и в области суставов – колени, сгибы локтей. Высыпания имеют разные размеры – от горошины до перепелиного яйца, ярко-красный или пурпурный цвет, сопровождаются отеком и зудом. Высыпания являются вторичным признаком, как правило, в язвы не трансформируются. Самая частая локализация на нижних конечностях – голенях и голеностопе.
- Язвы в ротовой полости, болезненные ощущения в животе – признаки нарушения кровоснабжения кишечника. Здесь воспаление может привести к крайне тяжелым последствиям: истончаются стенки кишечника, что может нарушить его целостность.
- При повреждении сосудов глаз. а также головного мозга наблюдается покраснение и зуд в глазном яблоке, расстройства зрения и кратковременная слепота.
- Васкулиты артерий головного мозга сопровождаются сильной головной болью, нарушениями в работе памяти, речи и так далее.
Повреждение крупного сосуда обязательно сопровождается характерными симптомами нарушения в работе соответствующего органа.
Так, например, васкулит легочных сосудов имеет все признаки пневмонии, что подтверждается даже рентгенографическими исследованиями. А воспаление вен нижних конечностей всегда сопровождается высыпаниями, что несколько облегчает диагностику.
В целом поражения артерий протекает тяжелее, чем повреждение вен и являются более опасными: в отличие от вен и капилляров функции артерий не дублируются, перераспределить их между другими сосудами невозможно.
Диагностика
Высыпания на ногах, руках, лице, конечно, являются более специфическими признаками болезни, чем слабость или повышение температуры. Во всяком случае, они позволят отделить воспаление мелких сосудов от заболевания крупных артерий или глубоколежащих вен.
- На втором этапе проводят гистопатологические исследования: аллергические пробы, ПРЦ-текст, обследование иммунных комплексов и так далее.
- Производятся многократные исследования дыхательной и сердечно-сосудистой системы и не только на стадии диагностики, но и при лечении.
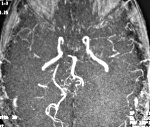
- Для идентификации артериитов головного мозга проводят МРТ и ангиографию. Для вен нижних конечностей показана допплерометрия.
Лечение сосудистых воспалений
Большинство подобных заболеваний излечиваются на начальных стадиях. К счастью или к сожалению, не все формы васкулита сопровождаются высокой температурой, что часто служит поводом игнорировать болезнь или обходится народными средствами.
При вялотекущем воспалении или на начальных стадиях заболевания медикаментозного лечения совершенно достаточно.
- Дезагреганты – препараты, влияющие на густоту крови и предотвращающие опасность возникновения тромбов. При поражении сосудов головного мозга это является одним из самых опасных осложнений. Да и закупорка вен нижних конечностей представляет не меньшую опасность. Однако на последних стадиях недуга дезагреганты могут лишь поддерживать состояние больного стабильным.
- Нестероидные противовоспалительные препараты – пармидин, стугерон. При тяжелых поражениях назначают глюкокортикоидные препараты.
- Также применяют антикоагулянты – гепарин, синкумар.
Лечение назначается только после обследования и консультации со всеми необходимыми специалистами. При васкулитах как нигде важен индивидуальный подход.
В крайних случаях назначается хирургическое вмешательство, обычно, при поражении крупных сосудов – головного мозга, сердца, почек. Применяют эндартерэктомию – удаление холестериновой бляшки, и эндоваскулярное удаление всего участка сосуда. Последний способ используют и при флебите вен нижних конечностей.
Из-за неопределенности причин возникновения болезни в качестве профилактики можно применить только общие рекомендации. Конечно, здоровое питание и доступные физические нагрузки снижают риск и в любом случае облегчают течение болезни. Самым явным провокатором воспаления является курение. Этот фактор следует исключить.
Разновидности васкулита: узелковый васкулит
Содержание
Такое заболевание, как васкулит представляет собой острое воспаление, которое располагается на стенках небольших кровеносных сосудов на коже или же в подкожной клетчатке. Опасно это заболевание по причине того, что такие аномальные изменения кровеносных сосудов могут быть крайне затяжными или же перейти в хроническую форму.
Чаще всего васкулит диагностируют в тех людей, у которых нарушена иммунная система, а также он может проявляться и в виде ревматизма, красной волчанки, разного рода опухолями и аллергиями. Кроме этого васкулит может проявиться и после того, как человек переболел сильным ОРВИ, ангинной или гриппом. При этом сперва проявлениям данной болезни подвергаются ноги. Тогда на них появляются пузырьки с кровью, которые со временем перерастают в узелки и потом уже в язвы.
Классификация васкулитов
Сегодня существует немало видов этого заболевания. Они в основном отличаются местом локализации, этиологией и остротой. Таким образом, на сегодняшний день выделяют такие формы васкулитов:
Гранулематоз Вегенера или гранулематозный васкулит;- Гигантоклеточный артериит и неспецифический аортоартериит;
- Системные васкулити, к которым относятся синдром Черджа-Стросс, узелковый васкулит, смешанный васкулит;
- Синдром Кавасаки;
- Аллергические и инфекционные васкулиты кожи;
- Болезнь Бехчета;
- Геморрагический васкулит, к которому также относиться суставной васкулит и токсический васкулит.
К тому же есть и АНЦА-ассоциированные васкулиты, которые сопровождаются присутствием в крови антинейтрофильных цитоплазматических антител.
Гранулематоз Вегенера или легочный васкулит
Данный тип васкулита может проявляться в виде подострого или хронического заболевания, которое имеет неизвестную этимологию. Его также ассоциируют с выработкой специальных антител в цитоплазме нейтрофилов. Болезнь характеризируется также воспалительными процессами чаще всего легких и почек, основой которых является обычный васкулит мелких сосудов.
Узелковый полиартериит
Узелковый васкулит представляет собой системный, некротизирующий васкулит, который главным образом поражает мышечные артерии среднего и маленького размера, также он сопровождается и изменениями в органах и системах человеческого организма. В основном он является хроническим васкулитом и поражает мужчин от 30 до 60 лет.
Этиология этого заболевания еще известна не до конца. На данный момент обсуждается роль гепатита В в проявлении данного типа васкулита. А наиболее распатроненными факторам заражением этой инфекцией является введение вакцин, ранее перенесенные инфекции, интоксикации, прием разного рода лекарств.
Что такое васкулит головного мозга или церебральный васкулит?

При этом стоит отметить, что первичный изолированный васкулит головного мозга диагностируется крайне редко, но является очень тяжелым заболеванием. Причины его возникновения на данный момент не известны. Во время этой болезни происходит поражение вен и артерий в головном мозге, что приводит к нарушению мозгового кровообращения. Важно сказать, что болеть данным типом васкулита могут люди в любом возрасте, тем не менее, зачастую его можно встретить у людей старше сорока.
Особенности поверхностного васкулита
При поверхностных вскулитах поражается венулы дермы, капилляры и артериолы. К этому типу васкулитов можно отнести геморрагический васкулит, который представляет собой воспаление небольших сосудов в силу повреждений иммунной системы.
Проявляется он разного рода геморрагиями и нарушением свертываемости крови. При острой форме болезнь проявляется на нижние конечности, ягодицы, боки живота. Со временем эти высыпания могут даже подвергаться некрозу.
Часто некрозы встречаются над большими суставами, и это может закончиться гангреной.
Когда болезнь протекает хронически при наличии кожного суставного синдрома, то ее часто именуют простой. При этом важно подчеркнуть, что кожный синдром присутствует у большей части взрослых и почти у всех детей. Кроме этого, такие высыпания могут локализироваться группами или же отдельными элементами, отдаленными друг от друга. Сами же высыпания имеют волнообразный характер, при чем наибольше их появляется во время первых волн.
Какое питание должно быть при васкулите?

В том случае если все-таки выделять общие рекомендации, нужно сказать, что обязательно всем больным васкулитом нужно исключить алкоголь. Так как он в любом случае приведет к ухудшению состояния. К тому же алкогольные напитки не сочетаются с медикаментозными препаратами. А в силу того, какие лекарства были прописаны больному нужно применять те или иные рекомендации по рациону питания. Например, если вам приписали препараты, которые повышают артериальное давление, то нужно исключить соль из вашего рациона.
Таким образом, становиться понятно, что каждый из видов васкулита имеет свои особенности, причины и поэтому подход в лечении этой болезни также должен быть индивидуальным к каждому больному.
Васкулит: причины, диагностика и лечение. Классификация васкулитов
Васкулит (ангиит, артериит) – общее название для группы заболеваний, связанных с воспалением и разрушением стенок кровеносных сосудов. Воспаление сосудов может произойти в любом органе.
Заболевание васкулитом приводит к тому, что сосуды перестают правильно выполнять свою функцию (снабжение кровью тканей и выведение продуктов обмена), поэтому поражаются примыкающие к ним органы.
Васкулиты имеют разные классификации, могут различаться локализацией, этиологией и тяжестью клинической картины. При одних васкулитах поражается только кожа, при других – жизненно важные органы.
Оставленный без лечения васкулит может обернуться серьезными осложнениями. Кишечные и легочные кровотечения, тромбозы, почечная недостаточность, печеночная недостаточность, инфаркт – далеко не полный список опасных последствий заболевания. Васкулит способен привести больного к инвалидности и даже летальному исходу.
1
Консультация ревматолога
2
Консультация ревматолога
3
Консультация ревматолога
Виды и классификация васкулитов
Васкулит сосудов является одним из серьезнейших заболеваний. Воспалительным процессом могут быть охвачены как мелкие сосуды кровеносной системы (капилляры, артериолы и венулы), так и крупные (аорта и ее крупные ветви). Пораженные кровеносные сосуды могут располагаться неглубоко под кожей, в самих внутренних органах и любых полостях.
В зависимости от причины болезни, выделяют 2 вида системного васкулита:
- первичный васкулит (выделяется как самостоятельное заболевание, при котором воспаляются сами сосуды);
- вторичный васкулит (появляется вследствие других заболеваний или является реакцией организма на появление инфекции).
Согласно общепринятой классификации, первичный васкулит может подразделяться на три группы, в зависимости от размеров воспаленных сосудов:
- воспаление мелких сосудов (геморрагический васкулит (пурпура Шенлейна-Геноха), гранулематоз (васкулит) Вегенера, микроскопический полиангиит, криоглобулинемический васкулит, синдром-Чардж-Стросса);
- воспаление средних сосудов (узелковый периартериит, болезнь Кавасаки);
- воспаление крупных сосудов (гигантоклеточный артериит (или височный артериит, болезнь Хортона), болезнь Такаясу);
Выделяют также изолированный «васкулит кожи», который может быть проявлением следующих заболеваний:
- (гиперчувствительный аллергический васкулит, геморрагический васкулит Шенлейна-Геноха;
- узловатая эритема, узловатый васкулит, узелковый периартериит).
Также васкулит может поражать различные органы человека:
васкулит мозга, васкулит легких, васкулит нижних конечностей, васкулит глаз. Глаза при васкулите могут очень сильно пострадать (воспаление артерий сетчатки способно привести к кровоизлияниям и частичной потере зрения).
Обычно люди, впервые столкнувшиеся с этим заболеванием, интересуются, заразен ли васкулит. Первичный васкулит не заразен и не опасен для окружающих, однако вторичный (инфекционный) васкулит, появившийся на фоне инфекционных заболеваний, например менингита, может представлять эпидемическую опасность.
Васкулит при беременности может не только спровоцировать задержку развития плода, но и привести к выкидышу.
Симптомы и признаки васкулита
Симптомы васкулита различны. Они зависят от характера поражения, вида васкулита, локализации воспалительного процесса, а также от степени выраженности основного заболевания.
- Несмотря на разнообразие вариантов, у многих больных имеются некоторые одинаковые проявления: лихорадка, геморрагическая сыпь на коже, слабость, истощение, боли в суставах и мышечная слабость, отсутствие аппетита, потеря веса, онемение отдельных частей тела.
- Облитерирующий тромбангиит (или болезнь Бюргера) связан, в первую очередь, с поражением кровеносных сосудов конечностей, проявляется болью в ногах и появлением больших язв на коже (кожный васкулит на ногах).
- Болезнь Кавасаки поражает главным образом детей в возрасте до пяти лет и имеет типичные признаки васкулита (покраснение кожи, лихорадка, возможно воспаление глаз).
Узелковый периартериит в основном поражает средние кровеносные сосуды в различных частях тела, включая почки, кишечник, сердце, нервную и мышечную систему, кожу. Кожные покровы отличаются бледностью, сыпь при васкулите данного типа имеет пурпурный цвет.
Микроскопический полиангиит затрагивает в основном мелкие сосуды на коже, легких и почках. Это приводит к патологическим изменениям в органах, к нарушениям их функций. Болезнь характеризуется значительными поражениями кожи, лихорадкой и потерей веса у больных, появлением гломерулонефрита (иммунного поражения клубочков почек) и кровохарканья (легочный васкулит)
Церебральный васкулит (или васкулит мозга) – тяжелое заболевание, выражающееся воспалением стенок сосудов головного мозга. Может привести к кровоизлиянию, некрозу тканей. Причины появления этого вида сосудистого васкулита еще выясняются.
Болезнь Такаясу поражает крупные артерии тела, в том числе аорту. В группе риска — молодые женщины. Признаки данного вида — слабость и боль в руках, слабый пульс, головные боли и проблемы со зрением.
Гигантоклеточный артериит (болезнь Хортона). Процесс охватывает преимущественно артерии головы. Характерны приступы головной боли, гиперчувствительность кожи головы, боли в мышцах челюсти при жевании, нарушения зрения вплоть до слепоты.
Васкулит Шелейна-Геноха (геморрагический васкулит) — это заболевание, поражающее в основном детей, но встречается также и у взрослых.
Первые признаки геморрагического васкулита могут появиться через 1-4 недели после перенесенных инфекционных заболеваний, таких как скарлатина, ОРВИ, ангина и т.д. Приводит к воспалению кровеносных сосудов кожи, суставов, кишечника и почек.
Характеризуется болью в суставах и животе, появлением крови в моче, покраснением кожи на ягодицах, ногах и ступнях.
Криоглобулинемический васкулит может быть связан с инфицированностью гепатитом С. Больной чувствует общую слабость, у него развивается артрит, на ногах — пятна пурпурного цвета.
Гранулематоз Вегенера вызывает воспаление кровеносных сосудов в носу, носовых пазухах, легких и почках. Типичные симптомы болезни — заложенность носа, а также частые носовые кровотечения, инфекции среднего уха, гломерулонефрит и воспаление легких.
Причины васкулита
Врачи еще не могут до конца определить причины первичного васкулита. Есть мнение, что это заболевание носит наследственный характер и связано с аутоиммунными нарушениями (аутоиммунный васкулит), плюс играют свою роль негативные внешние факторы и инфицирование золотистым стафилококком.
Причиной развития вторичного (инфекционно-аллергическоговаскулита) у взрослых является перенесенная инфекция.
Среди других причин васкулита можно выделить следующие:
- аллергическая реакция (на медицинские препараты, цветочную пыльцу, книжную пыль, пух);
- аутоиммунные заболевания (системная красная волчанка, заболевания щитовидной железы);
- вакцинация;
- злоупотребление солнечными ваннами;
- последствия травм;
- негативная реакция организма на различные химические вещества, яды;
- переохлаждение организма;
1
Консультация офтальмолога
Диагностика васкулита
- Чем раньше проведено обследование, установлен диагноз и начато лечение, тем больше шансов избежать поражения жизненно важных органов и нарушения их функций.
- При необходимости назначаются консультации сосудистого хирурга, терапевта, офтальмолога, невролога, отоларинголога и др.
- Диагноз ставится на основании ряда данных:
- физикальное обследование;
- лабораторные тесты.
Анализы при васкулите (см. также ревматологическое обследование)
Необходимо сдать следующие анализы:
Кроме того могут применяться такие инструментальные методы, как:
2
Ультразвуковая допплерография
Лечение васкулита
Васкулит излечим? Достаточно частый вопрос, задаваемый врачу-ревматологу. Благоприятный прогноз возможен только при своевременно начатом лечении, на ранних стадиях, пока болезнь не перешла в так называемый хронический васкулит.
В зависимости от вида заболевания, лечение васкулита будет разным. Кроме этого, учитывается основное заболевание (если васкулит вторичный), степень распространения патологического процесса, вовлеченность внутренних органов и тканей.
Основная задача – не допустить жизнеугрожающие осложнения при васкулите.
Для лечения васкулита применяется множество различных методик. Могут назначаться следующие препараты:
- иммуносупрессоры, угнетающие аутоиммунитет;
- цитостатики, останавливающие развитие иммунного воспаления;
- препараты, препятствующие тромбообразованию;
- противовоспалительные препараты;
- гормональные препараты
Могут быть показаны процедуры плазмафереза, направленные на очищение крови и всех органов и систем организма от токсинов.
Помните, что васкулит — очень серьезная болезнь, эффективное лечение которой возможно только под контролем врача-ревматолога.
Системный васкулит: что это, причины, диагностика, лечение
Системный васкулит объединяет множество заболеваний, при которых прогрессирует воспаление в стенках сосудов разных размеров с последующим их разрушением. Из-за таких действий наступает ишемия органов и тканей.
Что такое системный васкулит
Для системных васкулитов характерны рецидивирующие появления, но при отсутствии надлежащей терапии и профилактики наступают серьезные обострения.- Что касается симптоматики болезни, она зависит от места пребывания пораженного сосуда, его диаметра, активности проходящих воспалений.
- К васкулитам системного типа относится:
- синдром Шенлейна-Геноха, который часто называется геморрагическим васкулитом;
- заболевание Кавасаки;
- узелковый периартрит;
- болезнь Хортона;
- синдром Чарга-Стросса;
- патология криоглобулинемического типа;
- синдром Такаясу, который называют еще неспецифическим аортоартериитом;
- гранулематоз Вегенера;
- полиангиит микроскопической формы.
Отличают такие недуги по зонам локализации, по общей тяжести, исходя из протекающей клинической картины.
Следует учитывать, что одни виды патологий прогрессируют только на кожных покровах, доставляя терпимый дискомфорт. Другие же отличаются тяжелым течением. В редких случаях ведут к летальному исходу.
Схематически обозначенная группа болезней, объединенных системным васкулитом, отягощается осложнениями со стороны почек, легких, сердечной мышцы, зрения, суставных тканей и пр.
Точный диагноз определяется в результате проведения висцеральной ангиографии, определенных лабораторных тестов, биопсии с последующим изучением забранного материала.
Что такое системный васкулит? Это довольно редкое явление. В группу риска входят мужчины средних лет.
Но женщины при этом не являются исключением и подвержены этой серьезной патологии.
В редких случаях неутешительный диагноз может выноситься ребенку.
Причины системного васкулита
Отсутствует исчерпывающий список причин, по которым прогрессирует заболевание сосудов. Но клиницисты утверждают, что системные васкулиты развиваются на фоне вирусных тяжелых болезней, перенесенных человеком.
- Результатом выступает то, что иммунитет проявляет аномальную реакцию по отношению к инфекционным агентам, провоцируя толчок воспалению и разрушению вен.
- На практике известны случаи, когда у пациента диагностирован васкулит после вирусного перенесенного гепатита.
- Согласно второй теории причиной описываемого заболевания выступает аутоиммунная природа.
Суть процесса заключается в том, что недуг развивается из-за сбоя в иммунной системе. Она воспринимает клетки, из которых выстроены вены, сосуды, в качестве чужеродных тел, подлежащих уничтожению.
Большое значение имеет генетическая предрасположенность, которая во много раз повышает риск развития болезни.
Не стоит сбрасывать со счетов и неблагоприятную окружающую экологию.
Классификация системных васкулитов
В зависимости от характера происхождения они подразделены на две основные группы:
- Первичные васкулиты отличаются самостоятельным прогрессированием, отсутствует сопровождение каких-либо фоновых недугов. Явный признак проявляется воспалительным процессом в сосудистых стенках, вызванный сбоями иммунной реактивности. Воспаление захватывает все слои стенки, что влечет расстройства микроциркуляторного типа, окклюзию вены, в запущенном случае ишемию. Последняя и самая опасная стадия представлена инфарктом, некрозом тканей.
- Вторичные васкулиты развиваются в связи с имеющимися в организме патологическими состояниями. Специалисты в таком случае относят их к осложнениям, факультативным локальным проявлениям.
Отмечается также классификация по отдельным группам, исходя из калибра подвергшихся патологии сосудов.- В частности это заболевание мелких, крупных и средних вен.
- Такое разделение задействуется на практике, помогает более точно определить диагноз.
Симптомы системного васкулита
Симптоматика болезни напрямую зависит от вида поврежденных сосудов.
В общем же пациент жалуется на общую слабость и недомогание, лихорадку, плохой аппетит, суставную и мышечную боль, резкое снижение веса.
Эти основные симптомы совмещаются с признаками, которые указывают на определенные виды васкулитов:
- Артериит Такаясу в большинстве случаев диагностируется у женщин, яростной атаке подлежат крупные артерии. Развитие болезни сопровождается онемением или сильным холодом в ногах, когда в них практически отсутствует пульс, головными болями, ухудшением зрения, скачками АД.
- Патология Бехчета чаще всего прогрессирует у трудоспособных молодых мужчин. Сопровождается она образованием язвочек, которые обычно образуются и развиваются во рту, на половых органах. При этом сильно воспаляются глаза, кожные покровы.
- Заболевание Бюргера, которое принято также называть облитерирующим тромбангиитом, беспокоит чаще мужчин. Характерный признак заключается в наличии мелких тромбов, накапливающихся в венах ног. Из симптомов отмечено появление болезненных язвочек на пальцах, сильная боль, не утихающая в нижних конечностях.
- Артериит гигантоклеточного типа диагностируется у пациентов преклонного возраста. Патологическому изменению подвергаются артерии головы, что влечет сильные болевые ощущения в мышечной шейной структуре. Сопутствующий фактор – дискомфорт при жевании, неожиданное онемение языка. С течением времени без должного лечения поражаются вены, питающие зрительный аппарат.

- Гранулематоз Вегенера, который выражается в ухудшении состояния сосудов в легких, почек, придаточных пазухах, носовых пазухах. В начале патологии симптомы едва заметны, далее появляются носовые кровотечения, заметно затрудняется дыхание.
- Микроскопический полиангиит развивается в сосудах с небольшим диаметром легких, почек, кожных покровов, задевает также нервные окончания. У человека заметно снижается вес, появление на коже язвенных пятен сопровождается лихорадкой. Если поражаются почечные вены, дает о себе знать гломерулонефрит.
- Васкулит криоглобулинемического типа отличается образованием на ногах отчетливой пурпуры, при этом в суставах развивается воспалительный процесс. Далее периодически наступает онемение, что объясняется повреждением патологией нервных волокон.
- Пурпура Шенлейн-Геноха прогрессирует у детей, реже может появляться у взрослых пациентов. Болезнь прогрессирует в почечных и суставных, кожных венах, реже диагностируется в кишечнике. В последнем случае человек жалуется на сильные боли в области живота, в моче при этом присутствует кровяная примесь.
- Болезнь Чарга-Стросса развивается в сосудах легочной ткани.
- Узелковый полиартериит повреждает вены в любой части тела, соответственно, и симптоматика у такой болезни обширная. Часто у пациента наблюдается повышенная температура, острый живот, снижается функционал почек, отчетливо просматриваются язвы.
Диагностика системного васкулита
Обследование при наличии обозначенных выше признаков заключается в посещении специалистов (нефролог, ревматолог, флеболог).- Непосредственно на приеме уточняется анамнез, история начала и прогрессирования болезни, далее проводится первичный осмотр.
- После этого может быть назначено прохождение следующих лабораторных процедур:
- ОАК вместе с СОЭ и тромбоцитами;
- Анализ крови относительно РФ, СРБ;
- ОАМ;
- Биохимия кровяной массы.
Из инструментальных методов широко задействуются следующие:
- рентген;
- УЗИ, особенно если поражению подверглись почки;
- ЭКГ;
- биопсия поврежденной зоны с последующим изучением забранного материала в лаборатории;
- ангиография;
- эхокардиография.
Системные васкулиты — лечение
Терапия назначается врачом после пройденных пациентом всех диагностических процедур, которые помогут определить максимально точный диагноз.- Способ лечение напрямую зависит от органа или системы, подвергшейся патологии.
- Немаловажным фактором выступает и стадия развития.
- Если имеют место аллергические васкулиты, проявляющиеся исключительно на коже, терапия может проводиться и без синтетических медикаментов.
- Процедура в данном случае заключается в устранении воспалительных процессов, захвативших сосудистые стенки.
- Проводятся меры, направленные на восстановление нормальной работы поврежденных тканей, сосудов, органов.
Важно своевременно принять надлежащие меры и не допустить тяжелых осложнений, необратимых процессов.
Стандартно пациентам с любым видом описываемого заболевания проводится гормональное лечение, основанное на глюкокортикостероидах.
В ходе таких действий за достаточно короткий период времени снижается воспаление, поразившее сосуды. Стабилизируется работа иммунной системы, проявляющейся до этого аномальной активностью.
Дополнительными препаратами выступают НПП, с помощью которых купируется сильный болевой синдром и воспаление в венах любого диаметра.- Когда диагностирован геморрагический васкулит, в комплексную терапию обязательно вводятся антимикробные лекарства.
- Чтобы предотвратить образование тромбов в кровотоке, улучшить все показатели кровообращения, следует применять медикаменты, способствующие разжижению крови.
Когда по завершению консервативного лечения с приемом гормонов не наступают ожидаемые улучшения, проводится химиотерапия. Обычно при этом задействуются цитостатики.
При тяжелой стадии васкулита пациент может проводиться процедура по очищению крови – проводится гемосорбция, плазмоферез.
Прогноз на жизнь при системном васкулите благоприятен, если своевременно приняты все меры по купированию и лечению патологии.
Важно в восстановительный период и на протяжении всей жизни обследоваться у специалистов, выполнять все рекомендации.
Васкулиты – что это такое, как различают и лечат все формы заболеваний?
Особая группа неоднородных заболеваний, затрагивающих сосуды человеческого тела, получила общее название «васкулит» (синонимы: ангиит, артериит). Заболеваемость одинакова среди женщин и мужчин, больше болеют дети и пожилые люди. Васкулиты – что это такое, с чем связано их появление, и как следует проводить лечение, рассмотрим в подробностях.
Васкулит – что это такое?
В основе патологии лежит воспаление и последующее разрушение (некроз) стенок сосудов, по которым течет кровь. В результате сосуды утрачивают функции по снабжению и выведению продуктов метаболизма, из-за чего зависящие от них ткани, органы тоже поражаются. В воспалительный процесс могут вовлекаться и мелкие кровеносные сосуды (капилляры, венулы, артериолы), и крупные (аорта и ее ответвления), расположенные в неглубоких подкожных слоях и в самих внутренних полостях и органах.
Считается, что васкулит – аутоиммунное заболевание, патогенез которого связан с двумя основными механизмами:
- Образование иммунных комплексов в ответ на влияние тех или иных антигенов (опасных или чужеродных для организма веществ), которые фиксируются на внутренних оболочках сосудистых стенок и привлекают защитные клетки фагоциты, высвобождающие разрушительные для сосудов ферменты.
- Развитие аллергических реакций замедленного типа, вызывающих формирование воспалительных гранулем (узелков) в стенках сосудов и возле них.
Васкулиты – классификация, этиология
Васкулит, виды которого многочисленны и разнообразны, классифицируются по системности поражения, клиническим проявлениям, иммунным и гематологическим нарушениям. В зависимости от причинного фактора выделяют:
- первичные васкулиты – самостоятельные недуги, изначально вызываемые воспалительными изменениями самих сосудов;
- вторичные васкулиты – патологии, для которых характерно развитие сосудистого воспаления как реакция на другие заболевания (вирусные и бактериальные инфекции, глистные инвазии, системные заболевания соединительной ткани, онкозаболевания), воздействие токсических агентов и медикаментов.
Исходя из размеров затронутых патологией сосудов, первичные васкулиты подразделяют на:
- воспаления мелких сосудов (васкулит Вегенера, геморрагический васкулит, микроскопический полиартериит, криоглобулинемический васкулит, синдром Чардж-Стросса);
- воспаления средних сосудов (узелковый периартериит, синдром Кавасаки);
- воспаления крупных сосудов (гигантоклеточный артериит, болезнь Такаясу).
В зависимости от поражаемых органов бывают:
- васкулит головного мозга;
- васкулит легких;
- васкулит глаз;
- васкулит нижних конечностей;
- дермальный ангиит.

Васкулит – причины возникновения
На данный момент рассматриваемая группа болезней пока еще остается недостаточно изученной, и достоверных данных о причинных факторах нет.
Ведущей теорией возникновения патологии является иммунологическая, есть мнение о наследственном ее характере, а дополнительными факторами могут являться различные внешние негативные воздействия.
Учитывая возрастающую с каждым годом заболеваемость, некоторые специалисты полагают, что это может быть связано с бесконтрольным приемом иммунных стимуляторов и ухудшением экологической обстановки.
Васкулит причины (пусковые факторы) может иметь следующие:
- аллергические реакции (на пыльцу растений, домашнюю пыль, пух);
- эндогенные антигены при аутоиммунных и некоторых других заболеваниях (системная красная волчанка, паранеопластический синдром, врожденная недостаточность компонентов комплемента крови);
- вакцинация;
- лекарственные препараты (анальгетики, антибиотики, йодсодержащие средства, рентгеноконтрастные вещества, витамины группы В);
- длительные солнечные ванны;
- последствия травм;
- переохлаждение организма;
- воздействие химикатов, токсинов;
- инфекции;
- чрезмерные психические нагрузки;
- злокачественные опухоли;
- травмы, оперативные вмешательства.

Чем опасен васкулит?
Учитывая, васкулиты – что это такое, какие важные для организма образования повреждаются при этом, нужно понимать всю серьезность такого диагноза.
Оставленный без должного лечения васкулит последствия может иметь крайне негативные, среди которых:
Васкулит – симптомы
Рассматривая, васкулиты – что это такое, важно учитывать, что поражения, относящиеся к этой группе, характеризуются разной клинической картиной. В зависимости от характера патологии, локализации воспалительного процесса, степени выраженности основного заболевания, признаки васкулита разнообразны.
При этом можно выделить некоторые одинаковые проявления, регистрируемые у многих больных:
- повышение температуры тела (в некоторых случаях до 38-39 °С);
- слабость;
- головная боль;
- утрата аппетита;
- потеря массы тела;
- мышечные и суставные боли;
- онемение отдельных частей тела;
- кожная сыпь.
Накожные высыпания являются самым распространенным симптомом болезни (васкулит, фото разных типов сыпи приведены). Хотя элементы сыпи могут быть неодинаковыми, этому признаку присущи и общие черты при разных видах васкулита, отличающие от прочих патологий:
- первые элементы локализуются на ногах (зачастую на голенях);
- сыпь располагается симметрично;
- склонность участков поражения к отечности, кровоизлиянию, некрозу;
- эволюция и полиморфизм элементов (сыпь постепенно меняет форму, размер либо цвет);
- появление высыпаний на фоне аллергических, аутоиммунных, ревматических или системных заболеваний.
Могут выявляться следующие виды высыпаний:
- пятна (красного или розового цвета, не возвышаются над эпидермисом);
- геморрагическая пурпура (элементы с неровными контурами багрового цвета, которые со временем синеют, а затем желтеют, не исчезают при надавливании);
- крапивница (розовые или красные узелки с неровным контуром, сопровождаемые зудом и жжением);
- подкожные узелки (болезненные полукруглые плоские или возвышающиеся элементы, кожа над которыми впоследствии отторгается);
- пузырьки (наполненные прозрачным содержимым, иногда с включением крови);
- язвы и эрозии (элементы, склонные к нагноению, которые возникают на месте некоторых высыпаний).
Приведем еще несколько симптомов, присущих некоторым видам васкулита:
- ревматоидный васкулит – припухлости в области суставов, поражение кожи в области околоногтевого ложа, боль в глазах, аритмия;
- височный артериит – интенсивные головные боли, ослабление зрения, боли в шее;
- болезнь Такаясу – слабость и боль в руках, ослабление пульса, проблемы со зрением;
- гранулематоз Вегенера – заложенность носа, носовые кровотечения, боль в ушах.
Ввиду того, что васкулит – заболевание, при котором очаги поражения могут локализоваться в разных органах и частях тела, не всем понятно, к какому врачу следует обращаться для диагностики и лечения. Вначале при любом подозрении на развитие недуга рекомендуется обратиться к терапевту. Далее после первичной диагностики врач общей практики зачастую направляет к узконаправленным специалистам (одному или нескольким).
Когда развивается васкулит, симптомы и лечение могут входить в задачи врачей таких специальностей:
- ревматолог;
- нефролог;
- пульмонолог;
- артролог;
- сосудистый хирург;
- иммунолог;
- гематолог;
- аллерголог;
- отоларинголог;
- офтальмолог;
- инфекционист.
Васкулит – диагностика
Учитывая, васкулиты – что это такое, по каким причинам могут развиваться, диагностика требует установления ряда данных на основании следующих методик обследования:
- физикальное обследование;
- инструментальные методы;
- лабораторные тесты.
То, как диагностировать васкулит и отличить его от прочих патологий, известно терапевту, который во время осмотра и сбора анамнеза выясняет:
- когда появились первые настораживающие симптомы;
- предшествовали ли появлению признаков болезни инфекции, инвазии;
- имеется ли склонность к аллергическим реакциям;
- какие есть хронические патологии;
- наблюдалась ли повышенная чувствительность к каким-то лекарствам.

Васкулит – какие анализы нужно сдать?
Чтобы подтвердить системный васкулит, выявить его вероятные причины, назначают такие анализы:
- общий и биохимический анализ крови;
- коагулограмма;
- анализ на С-реактивный белок;
- иммунологические пробы;
- анализ крови на вирусный гепатит;
- общий анализ мочи.
Перечислим, какие инструментальные методики могут потребоваться:
- рентгенологическое исследование сосудов;
- рентген грудной клетки;
- ультразвуковая допплерография;
- УЗИ или магнитно-резонансная томография внутренних органов;
- биопсия стенок пораженных сосудов и органов.

Васкулит – лечение
Воспаление сосудов зачастую требует комплексной и длительной терапии ввиду того, что большинство форм васкулита носят хронический прогрессирующий характер. Лечение назначается строго индивидуально, с учетом основного заболевания (для вторичных процессов), степени распространения патологического очага, вовлеченности внутренних органов и тканей. Основными целями терапии является снижение выработки агрессивных антител, ликвидация их влияния на сосуды, подавление воспаления.
Васкулиты – клинические рекомендации
Васкулит – аутоиммунное заболевание, которое может лечиться амбулаторно, но в некоторых случаях требует госпитализации:
- при среднетяжелой и тяжелой форме;
- в период дебюта или обострения;
- при беременности пациентки;
- в детском возрасте;
- при геморрагической форме.
Всем больным следует придерживаться таких рекомендаций:
- Постельный режим в острый период, когда есть высыпания.
- Избегание стрессов.
- Отказ от пребывания под открытым солнцем.
- Строгое согласование приема любых медикаментов с врачом.
- Отказ от курения.
- Поддержание нормальной массы тела.
В борьбе с такими патологиями, как васкулиты, нужно учитывать, что это такое лечение, которое требует максимальной строгости выполнения всех врачебных предписаний. Важная роль отводится медикаментозной терапии, назначаемой сроком от 2-3 месяцев до года и более.
Системный ангиит может лечиться с применением следующих групп препаратов:
- иммунодепрессанты (Азатиоприн, Циклофосфамид);
- кортикостероиды (Преднизолон);
- нестероидные противовоспалительные средства (Ортофен, Пироксикам);
- антиагреганты (Аспирин, Курантил);
- энтеросорбенты (Нутриклинз, Тиоверол);
- антигистамины (Супрастин, Тавегил).
Из немедикаментозных методик основное место занимают методы экстракорпоральной гемокоррекции, направленные на очищение крови от веществ, вызывающих заболевание:
- гемосорбция;
- иммуносорбция
- плазмаферез.

Лечение васкулита народными средствами
При такой серьезной болезни, как васкулит, лечение любыми средствами с недоказанной эффективностью может быть не только бесполезным, но и опасным (даже в случае самых легких форм, как аллергический васкулит).
Прием народных лекарств может ослабить действие назначенных традиционных средств или вызвать неожиданные реакции организма, усугубляющие течение болезни. Поэтому лучше не тратить время на ненаучные методики.
Питание пациентов должно исключать употребление продуктов, которые могут вызывать индивидуальные аллергические реакции (особенно при аллергических формах, таких, как уртикарный васкулит).
Кроме того, всем больным рекомендуется отказаться от алкоголя, ограничить употребление:
- соли;
- тугоплавких животных жиров;
- быстрых углеводов.
Полезными продуктами являются:
- нежирные кисломолочные блюда;
- сухофрукты;
- печень;
- рыба.
Васкулит – прогноз
Прогноз при данной патологии зависит от ее формы, своевременности и адекватности лечения. Благодаря современным методикам во многих случаях болезнь удается победить или достичь устойчивой ремиссии.
Ухудшить прогноз могут такие факторы:
- возраст старше 50 лет;
- поражение почек;
- поражение центральной нервной системы;
- поражение аорты, сердечных сосудов (гигантоклеточный артериит).
Профилактика васкулита
Так как точных причин развития васкулита не выявлено для большинства форм (например, кожный васкулит), то осуществлять их профилактику сложно.
Можно лишь воспользоваться общими рекомендациями, увеличивающими шанс на поддержание здоровья в норме:
- своевременная санация очагов инфекции;
- ограничение пребывания на солнце;
- исключение контакта с аллергенами;
- избегание стрессов;
- исключение переохлаждений;
- нормальная физическая активность;
- рациональное питание;
- отказ от вредных привычек.
Васкулит сосудов головного мозга симптомы
Этиология идиопатического (первичного) изолированного поражения церебральных сосудов неизвестна. Не исключена роль травматических повреждений, стрессов, переохлаждений как триггеров, провоцирующих дебют васкулита. В литературе по неврологии описаны случаи развития заболевания после черепно-мозговой травмы. Причинами вторичного ЦВ могут выступать:
- Системное поражение сосудов неспецифического воспалительного генеза. Болезнь Такаясу, синдром Черджа-Стросс, микроскопический полиангиит, узелковый периартериит, геморрагический васкулит протекают с вовлечением сосудистого русла ЦНС.
- Ревматические болезни: СКВ, ревматоидный артрит, системная склеродермия, синдром Шегрена. Отмечается более редкое поражения церебральных артерий в сравнении с висцеральными, что вызвано работой гематоэнцефалического барьера.
- Инфекционные заболевания: сифилис, туберкулёз, сыпной тиф, герпетическая инфекция, трихинеллёз, листериоз. Сосудистое воспаление провоцируют сами инфекционные агенты и их токсины.
- Интоксикации. Описан церебральный васкулит при злоупотреблении амфетамином, кокаиномании, «аптечной» наркомании.
- Онкозаболевания. Сложности диагностики обуславливают редкое обнаружение ЦВ при неопластических процессах.
Что вызывает патологию?
Но существует несколько факторов, которые вызывают васкулит ЦНС:
- системная красная волчанка;
- ревматоидный артрит;
- системная склеродермия;
- ревматизм;
- инфекционное поражение;
- онкологические патологии;
- системный васкулит;
- отравление медицинскими препаратами;
- аутоиммунные патологии;
- наркомания.
Патогенез
Механизм развития изолированного ЦВ не установлен. Морфологически в сосудистой стенке выявляются инфильтраты (скопления одноядерных клеток), наблюдается формирование гранулём. Вторичный церебральный васкулит при системных сосудистых и ревматических заболеваниях имеет аутоиммунный патогенез: сосудистая стенка повреждается антителами, вырабатывающимися к её элементам вследствие неадекватной реакции иммунной системы.
В остальных случаях воспалительный механизм запускается прямым воздействием этиофактора (токсинов, бактерий, вирусов). Воспаление сосудистой стенки приводит к её истончению, сужению сосудистого просвета, повышенной проницаемости.
Развиваются гемодинамические расстройства, ухудшается кровоснабжение отдельных участков головного мозга, возникают эпизоды церебральной ишемии, лакунарные инфаркты, мелкоочаговые кровоизлияния.
Обычно церебральный процесс носит распространённый множественный характер.
Симптомы
Выявить симптомы васкулита то есть воспаления сосудов кожи тяжело, из-за того что болезнь может поражать внутренние органы, и кажется, что первопричина заболевания – воспаление органов, а не сосудов.
Симптомы васкулита:
- Слабость пациента, без видимой на то причины;
- Повышенная температура;
- Боли;
- Понижение аппетита.
Также пропадает аппетит, наблюдается слабость и утомляемость, возникают головные боли. Могут наблюдаться нарушения психики, рвотные рефлексы, насморк и кашель. Кашель бывает даже с кровью. Васкулит у ребенка и взрослого проявляется в ухудшении зрения, могут быть обмороки, стоматиты, возникают припухлости на висках и язвы на половых органах.
Различные симптомы воспаления сосудов проявляют себя каждый со своим типом воспалений и согласно свойствам, возникающим при поражении каждого из участков. Например, признаки при васкулите вен нижних конечностей и артерий, снабжающих головной мозг, всегда отличаются.
При васкулите, сыпь на коже довольно часто проявляет себя на ногах, потому что ее причиной является разрушение сосудов, расположенных под кожей. На нижних конечностях, сыпь обычно бывает на голенях и в области голеностопных суставов. Но, также, могут быть сыпи и в районах других суставов – на коленях, на локтях.

Сыпь при васкулите бывает различных размеров – от диаметра горошины, до размеров яйца. Имеют красный или пурпурный цвет, отекают и чешутся. Если появляются язвочки во рту, боли в животе – это признаки васкулита в кишечнике. Этот вид воспаления сосудов очень опасен, потому что часто нарушается целостность кишечника.
Если чешутся, краснеют глаза, у больного начинаются нарушения зрения – то, скорее всего, это васкулит глаз или мозга. Воспаления сосудов, питающих мозг можно заподозрить по головным болям, нарушениями памяти, расстройствам речи.
Васкулит глаз
Воспаления крупных сосудов всегда сопровождают особые признаки, сбои в функционировании соответствующих органов. К примеру, если происходит воспаление легочных сосудов, то появляются симптомы воспаления легких, это показывает даже рентген. А васкулит нижних конечностей обычно протекает с сыпью на ногах.
| Изолированные первичные поражения сосудов | Выраженная головная боль |
| Сокращение мышц тела | |
| Снижение чувствительности | |
| Нарушение зрения и слуха; | |
| Паралич | |
| Нарушение психики и характера | |
| Нарастающая усталость | |
| Поражение при системных васкулитах | Головные боли |
| Насильственные движения | |
| Судороги | |
| Ухудшение слуха и зрения | |
| Опущение век | |
| Обмороки | |
| Головокружения | |
| Вторичный церебральный васкулит | Прогрессирующее слабоумие |
| Судороги | |
| Психозы | |
| Инсульты | |
| Нарушения речи | |
| Параличи | |
| Дезориентация в пространстве |
острая энцефалопатия с психическими расстройствами, многоочаговые проявления, сходные с клиникой рассеянного склероза, общемозговые и очаговые симптомы, типичные для объёмного образования мозга. Наиболее характерна пирамидная недостаточность в виде пареза одной, чаще двух, конечностей с повышением тонуса мышц и рефлексов.
Ряд случаев сопровождается стоволово-мозжечковым симптомокомплексом: нистагм (подёргивание глазных яблок), мозжечковая атаксия (шаткость походки, дискоординация, несоразмерность движений), расстройство глазодвигательной функции. Возможны нарушения речи (афазия), выпадение части зрительных полей (гемианопсия), судорожный синдром (симптоматическая эпилепсия).
Вторичный ЦВ отличается постепенным нарастанием проявлений. В начальном периоде больные жалуются на ухудшение слуха, ослабление зрения, головную боль, предобморочные эпизоды, опущение верхнего века. Развёрнутый период зависит от основной патологии. Вовлечение мозговых сосудов в рамках системного васкулита проявляется гиперкинезами (непроизвольными двигательными актами), обмороками, эпизодами катаплексии и нарколепсии, судорожными приступами.
Церебральный васкулит ревматической этиологии характеризуется клиникой преходящей малой хореи с приступообразным возникновением гиперкинеза. Васкулит мозга при СКВ в 60% случаев протекает с транзиторными психическими отклонениями (беспокойством, расстройством поведения, психозами). Частыми проявлениями ЦВ туберкулёзного генеза выступают парезы, хореоатетоз, дизартрия, нарушения ориентации. При реккетсиозах наблюдаются коматозные состояния, судорожные пароксизмы.
Классификация
Наблюдаются существенные различия в течении идиопатических и вторичных форм ЦВ. Поэтому клиническую значимость имеет разделение заболевания в соответствии с этиологией на:
- Первичный церебральный васкулит — идиопатические воспалительные изменения исключительно мозговых артерий. Системное сосудистое поражение, фоновые болезни отсутствуют.
- Вторичные формы — воспалительный процесс в стенке артерий возникает в результате основного заболевания. Составляют подавляющее большинство случаев ЦВ.
Подобно системным васкулитам, церебральный процесс протекает с преимущественным вовлечением артерий определённого калибра. В зависимости от диаметра выделяют:
- ЦВ с поражением крупных сосудистых стволов. Наблюдается при болезни Такаясу, височном артериите.
- ЦВ с поражением сосудов мелкого и среднего калибра. Характерен для микроскопического полиангиита, системной волчанки.
Тонкости диагностики
При проблемах с сосудами головного мозга больному важно пройти консультацию невропатолога.
Если у больного развилось поражение сосудов головного мозга, ему необходимо обратиться к специалисту. Невропатолог проведет опрос об особенностях проявлений болезни и осмотрит пациента. Затем доктор отметит отличительные характеристики от других заболеваний центральной нервной системы и направит на специальные методики диагностики. К ним относятся:
- общее исследование крови и мочи;
- биохимия крови;
- аллергопробы;
- иммунногорамма;
- ангиография сосудов мозга;
- УЗИ;
- МРТ;
- анализ на подтверждение инфекции.
Какой прогноз и профилактика болезни?
Васкулиты бывают вен, артериол, артерий, капилляров. Часто имеют иммунопатологические причины. Такое происходит, когда начинаются сбои в функционировании иммунитета – клетки стенок сосудов иммунные составляющие ошибочно квалифицируют как чужие, и они подвергаются атаке.
Здоровый сосуд и при васкулите
Если в кровоток выбрасывается много антигенов, из-за этого образовывается множество иммунных комплексов. Потом они закрепляются на сосудах, макрофаги и лейкоциты в крови начинают их разрушать, начинаются фагоцитоз, клеточный лизис и агрегация тромбоцитов. В результате этого страдает сосуд. Сосудов становится проницаемым и начинается его отмирание. Поэтому, необычное увеличение иммунных комплексов в кровотоке является симптомом васкулита.
Когда сосуд начинает воспаляться, уменьшение проходимости мешает кровотоку, и начинает страдать орган, к которому относится больной сосуд. Например, при воспалении височной артерии, кислорода не хватает затылочной части головного мозга, у больного ухудшается способность видеть. Если воспалены вены нижних конечностей, появляется сыпь на коже, начинают болеть суставы.
Все факторы возникновения воспаления сосудов пока не найдены. Но ученые все же выяснили, что причины васкулита могут быть аутоиммунные процессы, а также золотистый стафилококк и гепатит С и другие и его формы. Где воспаление сосудов себя проявит – предсказать невозможно. Чаще всего поражается кровеносная система мозга и почек.
В целом церебральный васкулит поддаётся лечению и имеет благоприятный прогноз. Некоторые неврологи указывают на лучший эффект терапии у больных с хорошо накапливающими контраст МР-очагами Трудности диагностики в ряде случаев приводят к запоздалой постановке диагноза и позднему началу терапии, что обуславливает прогрессирование симптоматики до глубокой инвалидизации, летального исхода.
Церебральный васкулит — редкое и опасное заболевание. При появлении первых симптомов, нужно немедленно обратиться к невропатологу. Врач соберет анамнез болезни, проведет наиболее информативные методы диагностики и назначит лечение. Чтобы вылечить васкулит ЦНС специалист назначит медикаменты и диетическое питание. Применять самостоятельно любые препараты или другие методы терапии нельзя, так как это приводит к ухудшению состояния больного.
При своевременном обращении к специалистам и применении терапевтических мероприятий, исход заболевания благоприятный.
Для профилактики развития церебрального васкулита необходимо соблюдать все правила диетического питания, придерживаться рекомендаций по медикаментозному лечению.
При появлении патологий, которые приводят к развитию васкулита ЦНС, нужно своевременно пойти к специалисту. Если повторно возникли симптомы заболевания, необходимо обратиться к лечащему врачу и пройти обследование.
Осложнения
Острое расстройство мозгового кровоснабжения в зоне поражённой васкулитом мозговой артерии приводит к возникновению инсульта. Чаще наблюдаются мелкоочаговые ишемические инсульты, носящие повторный характер. Истончение патологически изменённой сосудистой стенки может осложниться разрывом и геморрагическим инсультом.
Цереброваскулярная недостаточность головного мозга — что это?
Сосудистая сеть пронизывает каждый орган и систему в организме человека, доставляя питательные вещества, необходимые для здорового функционирования. Цереброваскулярная недостаточность головного мозга образуется при нарушении кровоснабжения, вызванная воспалительным процессом в стенках сосудов.
Причины заболевания
Мозговые клетки интенсивно кровоснабжаются и чувствительны даже к небольшим сбоям в доставке питания. ЦВБ (цереброваскулярная болезнь) вызывает острую гипоксию в головном мозге, грозящую летальным исходом.
Недостаточное поступление кислорода к тканям вызывает церебральную ишемию, причиной являются расширенные периваскулярные пространства (расстояния между сосудами и белым веществом мозга), вследствие чего нарушается отток спинномозговой жидкости.
Причины возникновения церебрального васкулита подразделяют на первичные и вторичные. Исследования не смогли установить точных первопричин патологии (изолированный церебральный васкулит), предположительно относят механическое повреждение сосудов и эмоциональные всплески.
Вторичными причинами, выступающими в роли пускового механизма для возникновения васкулопатии в головном мозге, являются сопутствующие заболевания:
- Злокачественные новообразования;
- Отравления наркотическими веществами;
- Ревматоидный артрит;
- Вирусные заболевания (герпес, ветряная оспа);
- Склеродермия (поражение кожи и сосудов);
- Системная красная волчанка;
- Инфекционные заболевания (туберкулез, сифилис, сыпной тиф);
- Системное заболевание сосудов (геморрагический васкулит);
- Аутоиммунные заболевания.
Для изолированного церебрального васкулита, характерно образование уплотнений и воспалительных узелков на стенках сосудов. Для вторичного – сбой в иммунной системе и поражение стенок сосудов защитными антителами или непосредственное воздействие вирусов.
Воспаление снижает физиологический тонус сосуда и истончает его стенки – ток крови к участкам мозга прекращается, вызывая многочисленные очаги кровоизлияния (мелкоочаговые).
Симптомы и признаки церебрального васкулита
Церебральный васкулит головного мозга, симптомы которого часто схожи с инсультом, достаточно трудно диагностировать. Первичный церебральный васкулит развивается внезапно, с последующей регрессией симптоматики, за которой следует новая волна обострения.
Симптомы:
- Нарушение речи;
- Дисфагия (затрудненное глотание);
- Острая головная боль;
- Снижение работоспособности;
- Эмоциональные перепады;
- Психические расстройства.
Прогрессирование заболевания ведет к структурным изменениям в мозговых участках с ухудшением общего состояния больного.
Признаки вторичного васкулита:
- Снижение остроты слуха;
- Головокружения;
- Обмороки;
- Судорожный синдром;
- Повышение АД;
- Расстройства личности;
- Дезориентация в пространстве;
- Непроизвольные мышечные сокращения;
- Коматозное состояние;
- Слабоумие.
Симптоматика нарастает постепенно, начальная стадия заболевания имеет бессимптомное течение.
Диагностика и лечение
Выявление воспаления в сосудах головного мозга сложно поддается диагностике. Для дифференцирования патологии собирается врачебный консилиум (окулист, невропатолог, онколог, терапевт, хирург, психиатр), после физикального осмотра и собранного субъективного анамнеза, пациент направляется на диагностическое исследование:
- МРТ;
- Ангиография с контрастированием;
- КТ;
- УЗ исследование с применением дуплексного сканирования церебрального кровотока.

Диагностирование на начальной стадии заболевания, может не выявить нарушений в головном мозге. Для подтверждения диагноза прибегают к биопсии церебральной паренхимы – забор материала проводится только из мелких артерий.
Лечение васкулита головного мозга направлено на снятие симптоматики и устранение причины вызвавшей воспаление. Терапия назначается комплексно:
- Препараты, улучшающие кровообращение;
- Стероидные гормоны;
- Антибиотики;
- Антигистаминные препараты;
- Противовирусные;
- Противовоспалительные препараты;
- Ноотропные препараты.
Лечение подбирается индивидуально в зависимости от прогрессирования патологии.
Запоздалое выявление церебрального васкулита головного мозга приводит к инвалидности и летальному исходу. Своевременно проведенная терапия имеет положительную динамику и благоприятный прогноз для жизни.
Церебральный васкулит головного мозга (васкулит цнс): симптомы, лечение, признаки, причины — Умный доктор
Содержание
- 1 Васкулит Симптомы.Диагностика.Лечение в Израиле|Best-Isramed
- 2 Церебральный васкулит головного мозга, симптомы
- 3 Васкулит : причины, виды васкулитов, лечение васкулита
- 4 васкулит головного мозга

Васкулит – это группа заболеваний, общей особенностью которых является воспаление стенок сосудов, их повреждение и уменьшение просвета, что вызывает нарушение кровотока и некроз. При васкулите возможно кровотечение из пораженных сосудов, образование в них тромбов, закупорка сосудов, ишемическое поражение тканей.
Болезнь может захватить различные ткани и органы, но чаще страдают почки, легкие, верхние дыхательные пути, кожа, нервная система, желудочно-кишечный тракт, печень и глаза. В дыхательной системе васкулит может привести к кровотечениям, послужить причиной развития астмы, вызвать воспаления придаточных пазух носа.
В сердечно-сосудистой системе васкулит приводит к таким нарушениям, как перикардит, клапанная недостаточность сердца, кардиомиопатии. Наиболее опасным следствием системного васкулита является инсульт.
Причины и факторы риска
В основе васкулита, как полагают, лежит нарушение деятельности иммунной системы, в частности, гиперчувствительность к антигенам. Важную роль оказывают как генетические факторы, так и экологические: загрязнение окружающей среды, инфекции, лекарства. Частота системного васкулита увеличивается с возрастом и поражает, в основном, людей старше 65 лет.
Системный васкулит – типы
Существует несколько классификаций системных васкулитов, но в настоящее время наиболее широко используется классификация, установленная на конференции в Чапел-Хилле в 1994 году и дополненная в 2012 году:
1. Системный васкулит малых сосудов — артериол, капилляров и вен:
- гранулематозный васкулит (раньше назывался гранулематозом Вегенера), обычно поражающий дыхательные пути, часто приводит к легочному кровотечению;
- микроскопический полиангиит, затрагивающий мелкие кровеносные сосуды: капилляры, вены, артериолы и мелкие артерии;
- эозинофильный гранулематозный васкулит (ранее назывался синдромом Чарга-Стросса), при нем поражаются крупные артерии, в том числе аорты, часто болезнь сопровождается астмой и полипами в носу.
2. Системный васкулит сосудов среднего размера (поражены, в основном, висцеральные сосуды: брыжеечные артерии, ишемические, почечные):
- узелковый полиартрит (известный как болезнь Куссмауля-Майера).
- болезнь Кавасаки, при которой поражаются кожно-слизистые лимфатические узлы.
3. Большой системный васкулит (поражены крупные сосуды и аорта):
- артериит гигантских клеток (другое его название — синдром Хортона), при нем воспаляются артерии в голове, сонная и позвоночная, заболевание часто связано с ревматизмом и поражает людей старше 50 лет ;
- артериит Такаясу (как правило, болеют люди старше 50 лет, ослаблена как минимум одна конечность).
4. Васкулит, связанный с наличием иммунных комплексов:
- аллергическая пурпура Шёнлейна-Геноха, которая обычно поражает детей, но может случиться в любом возрасте (иногда возникает из-за применения антибиотиков);
- криоглобулинемия, возникающая из-за аномальных белков в крови (ее связывают с гепатитом С и другими инфекционными заболеваниями) и некоторые другие разновидности васкулита.
Выделяют также болезнь Бехчета, при которой страдают различные сосуды: и мелкие, и крупные. Болезнь Бехчета поражает слизистую оболочку рта и половых органов, возникает воспаление на коже, в глазах, суставах, в желудке и кишечнике.
Выше речь шла о системном васкулите. Иногда эта болезнь поражает только один орган:
- лейкоцитокластический васкулит, или воспаление малых кровеносных сосудов кожи;
- артериальное воспаление кожи;
- васкулит центральной нервной системы (поражается головной и спинной мозг).
Васкулит при системных заболеваниях возникает вследствие системных поражений организма: волчаночный васкулит, рематоидный и другие.Все васкулиты делят также на первичные, возникающие вне зависимости от других болезней, и вторичные, вызванные заболеваниями соединительных тканей, злокачественными образованиями, инфекциями и химическими веществами, в том числе лекарствами.
Примером вторичного васкулит являются ревматоидный артрит, неспецифический язвенный колит, системная красная волчанка.
Симптомы болезни
Так как васкулит – не одно заболевание, а целая группа, то симптомы его могут быть разными.
Однако можно выделить и общие симптомы: поражение кожи, лихорадка неясного происхождения, слабость, суставные и мышечные боли, частые головные боли, кровохарканье, затяжное течение синусита или отита, в более серьезных случаях поражаются внутренние органы (почки, легкие, печень) и нервная система. Из явных кожных симптомов при васкулите наблюдаются высыпания по типу крапивницы, подкожные узелки, пурпура.
Во Франции разработана шкала, по которой оценивается степень серьезности болезни:
- нарушение функции почек – креатинин выше 140 ммоль на литр;
- желудочно-кишечные кровотечения;
- панкреатит;
- инфаркт миокарда;
- повреждение центральной нервной системы;
- кардиомиопатия.
Специфические симптомы васкулита зависят от его типа. Например, наблюдают следующие симптомы узелкового васкулита:
- потеря веса в несколько килограммов;
- боль в мышцах и слабость;
- поражение нервной системы: мононевропатия или полиневропатия;
- увеличение диастолического давления выше 90 мм рт. ст.;
- увеличение концентрации мочевины и креатинина в крови и другие.
При гранулематозе Вегенера наблюдаются следующие симптомы:
- воспаление в носу и во рту, с гнойными и кровянистыми выделениями;
- изменения в легких, вздутия и полости;
- патологическая картина осадка мочи.
Для эозинофильного гранулематозного васкулита характерны следующие симптомы:
- бронхиальная астма, ринит, синусит;
- непереносимость лекарств;
- изменения в крови;
- мононевропатия или полиневропатия;
- пневмония, увеличение грудных лимфатических желез;
- изменения в пазухах носа и другие.
При васкулите нервной системы распространенные симптомы:
- головная боль;
- головокружение;
- когнитивные расстройства;
- инсульт;
- приступы ишемии и ряд других симптомов.
Диагностика васкулита
- При диагностике васкулита важно исключить другие системные заболевания, опухоли, инфекционные болезни, эндокардит, последствия применения лекарств.
- При подозрении на васкулит врач подтверждает диагноз с помощью развернутого анализа крови, анализа мочи и анализа кала на скрытую кровь и некоторых специфических анализов.
- В моче можно обнаружить клетки крови, пораженные при прохождении через почки, являющиеся мишенью при многих видах васкулита, и белок.
Диагностика болезни зависит от ее стадии, активности и локализации: поражен один орган или система или несколько.Возможно, потребуется рентгенография грудной клетки, пазух носа.
Золотым стандартом диагностики васкулита является гистопатологическое исследование, но не всегда можно получить материал для этого теста.
Чаще всего для биопсии берут ткань кожи, мышц или бедренного нерва, легких и почек.
Если гистопатологическое исследование невозможно, используют ангиографию, чтобы определить участки сужения сосудов и охарактеризовать кровоток по ним. В сосуды вводят краситель, который помогает выявить аневризмы и другие поражения сосудов.
При ангиографии сосуды иногда выглядят как нитка бисера из-за чередования в них участков сужения и расширения.В некоторых случаях для диагностики прибегают к компьютерной или магнитно-резонансной томографии.
Системный васкулит – лечение
Если васкулит не лечить, заболевание ведет к почечной недостаточности, повышается риск кровотечения в легких или в брюшной полости, развивается полиневропатия и возможен летальный исход.
Лечение васкулита состоит из двух этапов: достижения ремиссии в течение 3-6 месяцев и поддерживающей терапии в течение 1,5-2 лет. Терапия выбирается индивидуально, в зависимости от типа васкулита, его стадии, тяжести протекания, генетических факторов и прогноза.
Если выявлена внешняя причина болезни, например, употребление лекарства, необходимо избавиться от этого фактора.Если васкулит вторичный, необходимо взяться за лечение первичной болезни.
Лечение самого васкулита основано в первую очередь на иммуносупрессивной терапии, включающей введение таких препаратов, как циклофосфамид и гликокортекоиды. Второе направление – противовоспалительное лечение.
Васкулиты подразделяются на типы не просто для классификации, а чтобы проще и точнее назначить лечение, так как оно зависит от специфики конкретного типа васкулита. Например, при лечении гигантского васкулита основное лекарство – преднизалон.
Используют также метотрексат, циклоспорин, азатиоприн, лефлуномид и циклофосфамид.В некоторых случаях тяжелого течения болезни используется плазмафарез – плазменная очистка крови.
- Никогда не употребляйте лекарств без назначения врача и при первых признаках васкулита обратитесь к ревматологу.
- При необходимости он подключит к лечению других специалистов.
- Источник: https://best-isramed.com/vaskulit-simptomi-diagnostika-lechenie-v-israile/
Церебральный васкулит головного мозга, симптомы

: 03 сен 2015 в 15:11
Церебральный васкулит мозга развивается вследствие воспаления кровеносных сосудов центрального органа нервной системы. В медицинской практике различают первичную и вторичную формы заболевания. Первичный васкулит мозга может возникнуть на фоне системного поражения кровеносной системы и органов.
Вторичная форма поражения сосудов органа развивается вследствие осложнений инфекционно-аллергических заболеваний. Патология не зависит от границ этапов жизни и половой принадлежности пациента, и может быть диагностирована в любом возрасте.
Неоднократно врачи сталкиваются именно с вторичными воспалениями стенок кровеносных сосудов головного мозга.
Первичный или изолированный васкулит головного мозга
При данной форме патологии происходит поражение сосудов головного мозга разного калибра, вследствие чего нарушается кровообращение. Диагноз характерен для людей старше 40 лет. Патогенез опасного и редкого заболевания до конца не изучен. Воспаление артерий или вен возникает изолировано с дальнейшим уменьшением просвета между стенками сосудов и слабой циркуляцией крови.
По каким признакам распознают васкулит головного мозга? Симптомы начинаются с острых приступов головной боли. Поражение центрального органа нервной системы приводит к кратковременным спазмам мышц и неврологическим нарушениям со стороны слухового аппарата, зрения и снижения степени поверхностной чувствительности.
Известны случаи течения патологии без характерных синдромов, но с прогрессированием болезни возникает стремительное обострение. Иногда он вызывает стойкую психопатизацию личности. Имеется возможность спутать заболевание с симптомами рассеянного склероза. Сосудистые поражения приводят к некрозам и ишемическим инсультам.
Постановка диагноза затрудняется из-за отсутствия возможности взять биопсию сосудистой ткани, поэтому терапевтические меры заключаются в устранении неврологической симптоматики.
Вторичный церебральный васкулит головного мозга и его симптомы
Вторичный васкулит мозга чаще всего развивается на фоне ревматоидного артрита. Такого рода осложнения возникают из-за повышенного артериального давления или сосудистой патологии почек.
То есть, в артерии и вены органа не поступают питательные вещества из общего кровяного русла. Вследствие нарушения кровообращения возможен геморрагический инсульт.
- На начальных этапах церебральный васкулит головного мозга, симптомы которого выражаются в виде необоснованных психозов и судорожных припадков, хорошо поддается лечению.
- Также васкулит головного мозга может быть осложнением узелкового периартериита, неспецифического аортоартериита или при геморрагическом поражении кожи и слизистых оболочек рта, глаз. Поражение центрального органа нервной системы в таких случаях характеризуется следующими симптомами:
- острая головная боль;
- внезапные обмороки;
- резкое периодическое сокращение группы мышц.
При своевременно начатом лечении с применением гормональных противовоспалительных препаратов, развитие болезни приостанавливается, и устраняются ее проявления.
Интересные материалы по этой теме!
Появление васкулита на ногах Причиной, провоцирующей васкулит на ногах, является воспалительный процесс сосудистых стенок, который нарушает их…
Рекомендации к прочтению Вам лично!
Церебральный васкулит :: Симптомы, причины, лечение и шифр по МКБ-10
Название: Церебральный васкулит.
Церебральный васкулит
Церебральный васкулит. Заболевание, вызванное воспалительным процессом в стенке мозговых сосудов. Возникает в основном вторично. Проявления вариабельны: энцефалопатия, парезы, психические нарушения, эпилептические приступы, обмороки, зрительные расстройства, тугоухость, атаксия.
Диагностика опирается на клинические сведения, данные неврологического статуса, результаты МРТ, церебральной ангиографии, исследования ликвора, биохимии крови. Лечение проводится дифференцированно в соответствии с этиологией и клиническими особенностями.
Может включать кортикостероиды, цитостатики, сосудистые препараты, ноотропы, симптоматические средства.
Церебральный васкулит (ЦВ) возникает преимущественно в структуре системных васкулитов или на фоне инфекций, ревматических заболеваний, онкопатологии, интоксикаций. Термин «васкулит» означает воспалительное поражение сосудистой стенки. Изолированный васкулит мозговых сосудов относится к редким формам.
Точная заболеваемость не установлена, поскольку отсутствуют специфические клинико-инструментальные диагностические критерии ЦВ. Ряд авторов указывают распространённость патологии — 2-3 случая на 100 тыс. Человек. Заболеванию подвержены лица от 7 до 71 года, наиболее часто – представители возрастной категории от 30 до 60 лет.
Гендерные различия в заболеваемости не прослеживаются.
Церебральный васкулит
Этиология идиопатического (первичного) изолированного поражения церебральных сосудов неизвестна. Не исключена роль травматических повреждений, стрессов, переохлаждений как триггеров, провоцирующих дебют васкулита. В литературе по неврологии описаны случаи развития заболевания после черепно-мозговой травмы.
Причинами вторичного ЦВ могут выступать: • Системное поражение сосудов неспецифического воспалительного генеза. Болезнь Такаясу, синдром Черджа-Стросс, микроскопический полиангиит, узелковый периартериит, геморрагический васкулит протекают с вовлечением сосудистого русла ЦНС. • Ревматические болезни. СКВ, ревматоидный артрит, системная склеродермия, синдром Шегрена.
Отмечается более редкое поражения церебральных артерий в сравнении с висцеральными, что вызвано работой гематоэнцефалического барьера. • Инфекционные заболевания. Сифилис, туберкулёз, сыпной тиф, герпетическая инфекция, трихинеллёз, листериоз. Сосудистое воспаление провоцируют сами инфекционные агенты и их токсины. • Интоксикации.
Описан церебральный васкулит при злоупотреблении амфетамином, кокаиномании, «аптечной» наркомании. • Онкозаболевания. Сложности диагностики обуславливают редкое обнаружение ЦВ при неопластических процессах.
Механизм развития изолированного ЦВ не установлен. Морфологически в сосудистой стенке выявляются инфильтраты (скопления одноядерных клеток), наблюдается формирование гранулём. Вторичный церебральный васкулит при системных сосудистых и ревматических заболеваниях имеет аутоиммунный патогенез: сосудистая стенка повреждается антителами, вырабатывающимися к её элементам вследствие неадекватной реакции иммунной системы.
В остальных случаях воспалительный механизм запускается прямым воздействием этиофактора (токсинов, бактерий, вирусов). Воспаление сосудистой стенки приводит к её истончению, сужению сосудистого просвета, повышенной проницаемости. Развиваются гемодинамические расстройства, ухудшается кровоснабжение отдельных участков головного мозга, возникают эпизоды церебральной ишемии, лакунарные инфаркты, мелкоочаговые кровоизлияния.
Обычно церебральный процесс носит распространённый множественный характер.
Наблюдаются существенные различия в течении идиопатических и вторичных форм ЦВ. Поэтому клиническую значимость имеет разделение заболевания в соответствии с этиологией на: • Первичный церебральный васкулит — идиопатические воспалительные изменения исключительно мозговых артерий. Системное сосудистое поражение, фоновые болезни отсутствуют. • Вторичные формы — воспалительный процесс в стенке артерий возникает в результате основного заболевания. Составляют подавляющее большинство случаев ЦВ. Подобно системным васкулитам, церебральный процесс протекает с преимущественным вовлечением артерий определённого калибра. В зависимости от диаметра выделяют: • ЦВ с поражением крупных сосудистых стволов. Наблюдается при болезни Такаясу, височном артериите.
• ЦВ с поражением сосудов мелкого и среднего калибра. Характерен для микроскопического полиангиита, системной волчанки.
Первичный ЦВ имеет острую манифестацию с интенсивной головной боли, эпилептического пароксизма или внезапного появления очагового неврологического дефицита. Отдельные исследователи указывают на возможность продолжительного субклинического периода, предшествующего дебюту заболевания.
В последующем реализуется один из следующих вариантов симптоматики: острая энцефалопатия с психическими расстройствами, многоочаговые проявления, сходные с клиникой рассеянного склероза, общемозговые и очаговые симптомы, типичные для объёмного образования мозга.
Наиболее характерна пирамидная недостаточность в виде пареза одной, чаще двух, конечностей с повышением тонуса мышц и рефлексов. Ряд случаев сопровождается стоволово-мозжечковым симптомокомплексом: нистагм (подёргивание глазных яблок), мозжечковая атаксия (шаткость походки, дискоординация, несоразмерность движений), расстройство глазодвигательной функции.
Возможны нарушения речи (афазия), выпадение части зрительных полей (гемианопсия), судорожный синдром (симптоматическая эпилепсия). Зрительные галлюцинации. Лимфоцитоз. Судороги.
Острое расстройство мозгового кровоснабжения в зоне поражённой васкулитом мозговой артерии приводит к возникновению инсульта. Чаще наблюдаются мелкоочаговые ишемические инсульты, носящие повторный характер.
Истончение патологически изменённой сосудистой стенки может осложниться разрывом и геморрагическим инсультом. Возникающая вследствие васкулита хроническая ишемия мозга приводит к снижению когнитивных функций (памяти, внимания, мышления), формированию деменции.
Осложнением судорожного синдрома является эпилептический статус. В редких случаях течение заболевания может привести к развитию комы.
Неоднородность механизмов возникновения, течения, клинической картины ЦВ существенно осложняют постановку диагноза, требуют участия нескольких специалистов: невролога, ревматолога, инфекциониста, психиатра. Важное значение имеет выявление/исключение базового заболевания. Основными этапами диагностического алгоритма являются: • Неврологический осмотр.
Выявляет пирамидные расстройства, патологические рефлексы, признаки дисфункции мозжечка и ствола мозга, симптомы внутричерепной гипертензии. • Консультация офтальмолога. Включает проверку остроты зрения, офтальмоскопию, периметрию. Определяет снижение зрения, отёчность дисков зрительных нервов, гемианопсию. • МРТ головного мозга. В дебюте болезни может не фиксировать патологических изменений.
В последующем патология на МРТ диагностируется у 50-65% пациентов. Наблюдаются преимущественно множественные мелкие очаги в веществе головного мозга, отёчность мозгового вещества, зоны перенесённых лакунарных инфарктов, острых ишемических эпизодов. • Церебральная ангиография. Может осуществляться рентгенологически и при помощи МРТ сосудов. По различным данным, выявить сосудистые изменения удаётся у 40-90% больных.
На ангиограммах отмечается смазанность сосудистого контура, сужения, участки дилятации, прерывание, окклюзия, наличие множественных коллатералей. • УЗДГ и дуплексное сканирование церебрального кровотока выявляют неспецифические изменения гемодинамики, которые могут быть результатом других сосудистых заболеваний. Иногда используется в оценке динамики на фоне проводимой терапии. • Исследование цереброспинальной жидкости. Может не выявлять отклонений.
При ревматическом генезе васкулита наблюдается лимфоцитоз, умеренно повышенная концентрация белка. Определению инфекционной этиологии способствует ПЦР, РИФ с ликвором. • Биохимическое исследование крови. Позволяет обнаружить наличие маркеров ревматических и аутоиммунных заболеваний. Включает анализ на РФ, СРБ, антитела к Sm и Scl-70, волчаночный антикоагулянт, комплемент С3 и С4, антинуклеарные антитела. • Биопсия церебральной паренхимы.
Исследование биоптатов позволяет выявить воспалительные изменения артерий мелкого калибра. Однако участок с изменёнными сосудами может не попасть в биопсийный материал. Возможно поражение крупных артерий, биопсия которых не проводится.
Дифференцировать церебральный васкулит следует с многоочаговыми энцефалитами, церебральным атеросклерозом, демиелинизирующей патологией (рассеянным склерозом, оптикомиелитом, склерозом Бало). У молодых больных необходимо исключить антифосфолипидный синдром.
Терапия изолированных форм, вторичного церебрального поражения при системных и ревматических васкулитах проводится глюкокортикостероидами. Состоит из 2 этапов: ударного и поддерживающего лечения. В тяжёлых случаях стероиды комбинируют с цитостатиками (азатиоприном, циклофосфамидом). Базовая терапия других вариантов вторичного васкулита зависит от основной патологии.
Инфекционная этиология требует соответствующего антибактериального или противовирусного лечения, токсическая — дезинтоксикации. С целью улучшения мозгового кровотока применяются вазоактивные препараты, средства улучшающие реологические свойства крови. Поддержание метаболизма нервных клеток, стимуляция когнитивных функций осуществляется назначением ноотропов.
В комплексное лечение входит симптоматическая терапия, лечебная физкультура и массаж паретичных конечностей, занятия с логопедом (при расстройствах речи).
В целом церебральный васкулит поддаётся лечению и имеет благоприятный прогноз. Некоторые неврологи указывают на лучший эффект терапии у больных с хорошо накапливающими контраст МР-очагами Трудности диагностики в ряде случаев приводят к запоздалой постановке диагноза и позднему началу терапии, что обуславливает прогрессирование симптоматики до глубокой инвалидизации, летального исхода.
Специфическая профилактика отсутствует. Предупреждение вторичного ЦВ сводится к исключению интоксикаций, своевременному лечению инфекций и системных болезней.
42a96bb5c8a2acfb07fc866444b97bf1 Модератор контента: Васин А.С.
Церебральный васкулит: причины и симптомы воспаления
Церебральный васкулит — это достаточно тяжело диагностируемое патологическое состояние, при котором в стенке сосудов, кровоснабжающих головной мозг, развивается воспалительная реакция. Такое воспаление в подавляющем большинстве случаев возникает на фоне какой-либо первичной патологии.
Изолированное поражение мозговых сосудов встречается крайне редко. Опасность данного заболевания заключается в том, что в результате сопутствующих гемодинамических нарушений существует большая вероятность образования острой или хронической ишемии головного мозга.
При позднем начале лечения есть риск инвалидизации больного человека и даже летального исхода.
Наиболее часто церебральному васкулиту сопутствуют воспалительные процессы в сосудах, кровоснабжающих и другие органы. В настоящее время точных сведений о распространенности такого воспаления среди населения нет.
Предполагается, что частота его встречаемости составляет примерно три случая на сто тысяч населения. Сталкиваться с данным заболеванием могут люди абсолютно любого возраста. Однако чаще всего оно диагностируется в возрастном диапазоне от тридцати до шестидесяти лет.
При этом никакой связи с полом человека также не наблюдается.
В зависимости от причины своего развития данная болезнь делится на первичную и вторичную формы. Первичная форма подразумевает под собой самостоятельное поражение церебральных сосудов при отсутствии системных сосудистых изменений. Несмотря на долгие годы исследований, установить механизм образования первичного церебрального васкулита все еще не удалось.
Чаще всего все же встречается вторичное воспаление. Оно устанавливается в том случае, если в организме обнаруживается какая-либо первичная патология, которая могла привести к поражению сосудистых стенок.
В большинстве случаев, как мы уже сказали, данное заболевание возникает на фоне системных васкулитов. В качестве примера можно привести воспалительную реакцию, развивающуюся в артериальных стенках, которая называется узелковым периартериитом.
Иногда спровоцировать формирование этой болезни могут и различные ревматические нарушения, например, системная красная волчанка.
Значительно реже воспаление сосудистой стенки бывает связано с перенесенными инфекционными заболеваниями. При этом свою роль здесь могут сыграть как бактериальные, так и вирусные инфекции.
Некоторый процент людей с церебральным васкулитом первично заражаются сифилисом. В литературе описаны случае, когда поражение сосудов, кровоснабжающих головной мозг, было вызвано острой интоксикацией, чаще всего на фоне наркомании.
На последнем месте по частоте встречаемости стоит церебральный васкулит, обусловленный злокачественными опухолями.
Точный механизм развития данного патологического процесса также остается под вопросом. Известно, что в результате воспаления стенка сосуда подвергается лейкоцитарной инфильтрации, в ней формируются гранулематозные очаги.
За счет возникших изменений сосудистая стенка истончается, а ее проницаемость повышается. По мере прогрессирования заболевания просвет сосуда суживается, что ведет к усиливающимся гемодинамическим нарушениям.
Головной мозг начинает получать недостаточное количество кислорода, за счет чего в нем формируется острая или хроническая ишемия.
Первичный и вторичный церебральные васкулиты будут несколько отличаться своими клиническими проявлениями. При первичной форме симптомы нарастают внезапно и стремительно. Больной человек начинает предъявлять жалобы на чрезвычайно выраженную головную боль. В целом сопутствующие проявления будут напоминать инсульт. Достаточно быстро присоединяются очаговые нарушения. Чаще всего они проявляются мышечной слабостью в верхних или нижних конечностях. При этом мышечный тонус и рефлексы повышены.
Нередко присутствуют такие симптомы, как нарушение координации движений, неустойчивость походки, непроизвольные колебательные движения глазными яблоками. Клиническая картина может дополняться изменениями со стороны речевой и зрительной функций.
В некоторых случаях возникают судорожные приступы. Чаще всего обострение первичного церебрального васкулита сменяется длительной ремиссией, за которой следует повторное обострение.
С каждым новым эпизодом неврологические нарушения приобретают все более выраженный характер.
Вторичный церебральный васкулит характеризуется постепенно нарастающими симптомами. На первых порах больной человек отмечает небольшое ухудшение зрительной функции или снижение слуха. Затем присоединяются периодически возникающие приступы головной боли.
В период максимального нарастания клинических проявлений могут отмечаться непроизвольные движения, резкая полная утрата мышечной силы при сохранении сознания, обморочные состояния, судорожные приступы. На фоне возникших нарушений изменяется психическое состояние пациента. Он становится беспокойным, эмоционально лабильным и так далее.
Могут присоединяться расстройства со стороны речевой функции, потеря координации и так далее.
Первоначально для диагностики этой болезни необходимо провести полный неврологический осмотр. Дополнительно осуществляют оценку зрительной функции. Из инструментальных методов исследования могут использоваться магнитно-резонансная томография, церебральная ангиография, ультразвуковая допплерография сосудов. Также показан биохимический анализ крови.
Лечение при данном воспалении складывается из системных глюкокортикостероидов. В тяжелых случаях их могут комбинировать с цитостатиками. Параллельно назначают лекарственные препараты, направленные на улучшение кровоснабжения головного мозга. К ним относятся средства с вазоактивным эффектом, а также антиагреганты.
Специфические методы профилактики не разработаны. К общим рекомендациям относится своевременное лечение возникающих инфекционных и системных патологий.
Церебральный васкулит сосудов головного мозга — причины, симптомы, лечение, однополушарный
Церебральный васкулит – поражение стенок сосудов головного мозга вследствие воспаления.
Результатом возникновения васкулита могут стать транзиторные ишемические атаки, инсульт. Диагностирование – крайне сложная процедура, ведь для того, чтобы 100% подтвердить диагноз необходимо провести биопсию.
Заболевание встречается редко – примерно 1 случай на 1 млн. человек в год, при том, что от системных васкулитов страдают 39 человек на 1 млн. в год.
- Вся информация на сайте носит ознакомительный характер и НЕ ЯВЛЯЕТСЯ руководством к действию!
- Поставить ТОЧНЫЙ ДИАГНОЗ Вам может только ВРАЧ!
- Убедительно просим Вас НЕ ЗАНИМАТЬСЯ самолечением, а записаться к специалисту!
- Здоровья Вам и Вашим близким!
Причины
На сегодняшний день причины развития заболевания не установлены. Клиническая картина и признаки аналогичны другим заболеваниям, которые связаны с нарушением мозгового кровообращения. Характерной чертой является наличие высыпаний на кожном покрове, сочетающееся с неврологическими проявлениями.
Частыми симптомами являются парестезии и изменение настроения – человек становится раздражительным, ощущает апатию, быструю утомляемость, раздражительность.
Церебральный васкулит относится к заболеваниям, которые могут потенциально привести к инвалидизации пациента. Причины его развития обычно кроются в ревматических поражениях, инфекционных заболеваниях, формировании злокачественных опухолей, вызываются приемом лекарственных препаратов. Однако встречаются случаи, когда васкулит развивается как первичное заболевание.

Недостаточная изученность механизма зарождения и развития патологии, множественность ее клинических проявлений, отсутствие точных и правдивых неинвазивных критериев диагностики в значительной степени затрудняют постановку диагноза на начальной стадии заболевания.
Виды
| Первичный |
|
| Вторичный |
К проявлениям вторичного васкулита относятся:
|
В каждом отдельном случае церебральный васкулит может проявлять себя по-разному, симптомы обычно не составляют единой клинической картины, характерной для всех пациентов.
В диагностировании (как и в последующем лечении) должна участвовать группа специалистов: невролог, ревматолог, инфекционист, аллерголог.
Современная диагностика проводится с учетом:
- симптоматики многоочаговых и диффузных поражений головного мозга на фоне психических отклонений и эпилептических приступов;
- подтверждения ангиопатии, энцефалопатии, характеризующейся множественностью очагов, полученного при помощи магнитно-резонансной томографии, ультразвукового исследования, ангиографического исследования;
- лабораторно-инструментальных методов исследования;
- выявления наличия воспалительного процесса при помощи биопсии паренхимы головного мозга, если исключается вероятность вторичного васкулита.

Очень важно не запустить заболевание и вовремя выявить его, так как на начальной стадии оно поддается лечению
При системных патологиях
Лечение васкулита, развивающегося на фоне системных заболеваний, как правило, дает хорошие результаты.
При различных типах патологии наблюдается своя клиническая картина:
| Синдром Чарджа-Стросса | Сопровождается развитием гиперкинезов, приступами эпилепсии. |
| Гранулематоз Вегенера | Значительно ухудшается зрение, слух, развивается воспалительный процесс в оболочках мозга. |
| Однополушарный церебральный васкулит | Может имитировать энцефалит Расмуссена, для дифференциации также проводят КТ, МРТ, биопсию, исследования на аутоантитела. |
| Неспецифический аортоартериит Такаясу | Характеризуется возникновением ортостатических обмороков – потери сознания при смене положения из горизонтального на вертикальное. Усиление головных болей провоцирует жевание. |
Симптомы церебрального васкулита
Признаки, которые могут сопровождать церебральный васкулит, отличаются в зависимости от типа патологии:
| Первичный васкулит (вызванный автономным поражением сосудистых стенок) |
|
| Вторичный васкулит |
|
Лечение
Из-за сложностей, связанных с диагностированием, большое значение придается анализу клинических проявлений. Первоначально проводится дифференциальная диагностика с системными васкулитами, рассеянным склерозом, мультифокальными энцефалитами.
По проявлениям церебральный васкулит может напоминать рассеянный склероз. Результативным может оказаться лечение, направленное на устранение психических и неврологических отклонений.
Терапия направлена на устранение существующих симптомов.
| При инфекционной природе первичного заболевания |
|
| При вторичной форме заболевания |
|
| Лечение изолированного церебрального васкулита | Предполагает назначение кортикостероидов. Дополнительно могут назначаться цитостатики, вазоактивные препараты, антиагреганты. |
Пациенты должны придерживаться диеты, отказаться от приправ, жареного, копченого – всего, что может способствовать развитию аллергии или нагружать пищеварительную систему. Также следует отказаться от вредных привычек. После обсуждения с врачом допускается применение рецептов народной медицины.
Васкулит – тяжелое заболевание, однако в целом прогноз является благоприятным. В то же время при отсутствии лечения или запоздалой терапии возможно развитие тяжелых когнитивных дисфункций, потеря трудоспособности, летальный исход.
Васкулит головного мозга симптомы
Церебральный васкулит мозга развивается вследствие воспаления кровеносных сосудов центрального органа нервной системы. В медицинской практике различают первичную и вторичную формы заболевания.
Первичный васкулит мозга может возникнуть на фоне системного поражения кровеносной системы и органов. Вторичная форма поражения сосудов органа развивается вследствие осложнений инфекционно-аллергических заболеваний. Патология не зависит от границ этапов жизни и половой принадлежности пациента, и может быть диагностирована в любом возрасте. Неоднократно врачи сталкиваются именно с вторичными воспалениями стенок кровеносных сосудов головного мозга.
При данной форме патологии происходит поражение сосудов головного мозга разного калибра, вследствие чего нарушается кровообращение. Диагноз характерен для людей старше 40 лет. Патогенез опасного и редкого заболевания до конца не изучен. Воспаление артерий или вен возникает изолировано с дальнейшим уменьшением просвета между стенками сосудов и слабой циркуляцией крови.
Варикоз — ужасная «чума XXI века». 57% больных умирают в течение 10 лет от.
По каким признакам распознают васкулит головного мозга? Симптомы начинаются с острых приступов головной боли. Поражение центрального органа нервной системы приводит к кратковременным спазмам мышц и неврологическим нарушениям со стороны слухового аппарата, зрения и снижения степени поверхностной чувствительности.
Известны случаи течения патологии без характерных синдромов, но с прогрессированием болезни возникает стремительное обострение. Иногда он вызывает стойкую психопатизацию личности. Имеется возможность спутать заболевание с симптомами рассеянного склероза. Сосудистые поражения приводят к некрозам и ишемическим инсультам.

Постановка диагноза затрудняется из-за отсутствия возможности взять биопсию сосудистой ткани, поэтому терапевтические меры заключаются в устранении неврологической симптоматики.
Вторичный васкулит мозга чаще всего развивается на фоне ревматоидного артрита. Такого рода осложнения возникают из-за повышенного артериального давления или сосудистой патологии почек. То есть, в артерии и вены органа не поступают питательные вещества из общего кровяного русла. Вследствие нарушения кровообращения возможен геморрагический инсульт.
Также васкулит головного мозга может быть осложнением узелкового периартериита, неспецифического аортоартериита или при геморрагическом поражении кожи и слизистых оболочек рта, глаз. Поражение центрального органа нервной системы в таких случаях характеризуется следующими симптомами:
- острая головная боль;
- внезапные обмороки;
- резкое периодическое сокращение группы мышц.
При своевременно начатом лечении с применением гормональных противовоспалительных препаратов, развитие болезни приостанавливается, и устраняются ее проявления.
Ксения Стриженко: «Как я избавилась от варикоза на ногах за 1 неделю? Это недорогое средство творит чудеса, это обычный. «
Наблюдаются существенные различия в течении идиопатических и вторичных форм ЦВ. Поэтому клиническую значимость имеет разделение заболевания в соответствии с этиологией на:
- Первичный церебральный васкулит — идиопатические воспалительные изменения исключительно мозговых артерий. Системное сосудистое поражение, фоновые болезни отсутствуют.
- Вторичные формы — воспалительный процесс в стенке артерий возникает в результате основного заболевания. Составляют подавляющее большинство случаев ЦВ.
Подобно системным васкулитам, церебральный процесс протекает с преимущественным вовлечением артерий определённого калибра. В зависимости от диаметра выделяют:
- ЦВ с поражением крупных сосудистых стволов. Наблюдается при болезни Такаясу, височном артериите.
- ЦВ с поражением сосудов мелкого и среднего калибра. Характерен для микроскопического полиангиита, системной волчанки.
острая энцефалопатия с психическими расстройствами, многоочаговые проявления, сходные с клиникой рассеянного склероза, общемозговые и очаговые симптомы, типичные для объёмного образования мозга. Наиболее характерна пирамидная недостаточность в виде пареза одной, чаще двух, конечностей с повышением тонуса мышц и рефлексов.
Ряд случаев сопровождается стоволово-мозжечковым симптомокомплексом: нистагм (подёргивание глазных яблок), мозжечковая атаксия (шаткость походки, дискоординация, несоразмерность движений), расстройство глазодвигательной функции. Возможны нарушения речи (афазия), выпадение части зрительных полей (гемианопсия), судорожный синдром (симптоматическая эпилепсия).
Вторичный ЦВ отличается постепенным нарастанием проявлений. В начальном периоде больные жалуются на ухудшение слуха, ослабление зрения, головную боль, предобморочные эпизоды, опущение верхнего века. Развёрнутый период зависит от основной патологии. Вовлечение мозговых сосудов в рамках системного васкулита проявляется гиперкинезами (непроизвольными двигательными актами), обмороками, эпизодами катаплексии и нарколепсии, судорожными приступами.
Церебральный васкулит ревматической этиологии характеризуется клиникой преходящей малой хореи с приступообразным возникновением гиперкинеза. Васкулит мозга при СКВ в 60% случаев протекает с транзиторными психическими отклонениями (беспокойством, расстройством поведения, психозами). Частыми проявлениями ЦВ туберкулёзного генеза выступают парезы, хореоатетоз, дизартрия, нарушения ориентации. При реккетсиозах наблюдаются коматозные состояния, судорожные пароксизмы.
Неоднородность механизмов возникновения, течения, клинической картины ЦВ существенно осложняют постановку диагноза, требуют участия нескольких специалистов: невролога, ревматолога, инфекциониста, психиатра. Важное значение имеет выявление/исключение базового заболевания. Основными этапами диагностического алгоритма являются:
- Неврологический осмотр. Выявляет пирамидные расстройства, патологические рефлексы, признаки дисфункции мозжечка и ствола мозга, симптомы внутричерепной гипертензии.
- Консультация офтальмолога. Включает проверку остроты зрения, офтальмоскопию, периметрию. Определяет снижение зрения, отёчность дисков зрительных нервов, гемианопсию.
- МРТ головного мозга. В дебюте болезни может не фиксировать патологических изменений. В последующем патология на МРТ диагностируется у 50-65% пациентов. Наблюдаются преимущественно множественные мелкие очаги в веществе головного мозга, отёчность мозгового вещества, зоны перенесённых лакунарных инфарктов, острых ишемических эпизодов.
- Церебральная ангиография. Может осуществляться рентгенологически и при помощи МРТ сосудов. По различным данным, выявить сосудистые изменения удаётся у 40-90% больных. На ангиограммах отмечается смазанность сосудистого контура, сужения, участки дилятации, прерывание, окклюзия, наличие множественных коллатералей.
- УЗДГ и дуплексное сканирование церебрального кровотока выявляют неспецифические изменения гемодинамики, которые могут быть результатом других сосудистых заболеваний. Иногда используется в оценке динамики на фоне проводимой терапии.
- Исследование цереброспинальной жидкости. Может не выявлять отклонений. При ревматическом генезе васкулита наблюдается лимфоцитоз, умеренно повышенная концентрация белка. Определению инфекционной этиологии способствует ПЦР, РИФ с ликвором.
- Биохимическое исследование крови. Позволяет обнаружить наличие маркеров ревматических и аутоиммунных заболеваний. Включает анализ на РФ, СРБ, антитела к Sm и Scl-70, волчаночный антикоагулянт, комплемент С3 и С4, антинуклеарные антитела.
- Биопсия церебральной паренхимы. Исследование биоптатов позволяет выявить воспалительные изменения артерий мелкого калибра. Однако участок с изменёнными сосудами может не попасть в биопсийный материал. Возможно поражение крупных артерий, биопсия которых не проводится.
Дифференцировать церебральный васкулит следует с многоочаговыми энцефалитами, церебральным атеросклерозом, демиелинизирующей патологией (рассеянным склерозом, оптикомиелитом, склерозом Бало). У молодых больных необходимо исключить антифосфолипидный синдром.
Терапия изолированных форм, вторичного церебрального поражения при системных и ревматических васкулитах проводится глюкокортикостероидами. Состоит из 2 этапов: ударного и поддерживающего лечения.
В тяжёлых случаях стероиды комбинируют с цитостатиками (азатиоприном, циклофосфамидом). Базовая терапия других вариантов вторичного васкулита зависит от основной патологии.
Инфекционная этиология требует соответствующего антибактериального или противовирусного лечения, токсическая — дезинтоксикации.
С целью улучшения мозгового кровотока применяются вазоактивные препараты, средства улучшающие реологические свойства крови. Поддержание метаболизма нервных клеток, стимуляция когнитивных функций осуществляется назначением ноотропов. В комплексное лечение входит симптоматическая терапия, лечебная физкультура и массаж паретичных конечностей, занятия с логопедом (при расстройствах речи) и т. д.
Ситуация, когда организм воспринимать свои клетки как чужеродные, не ограничивается простой аллергией. Патологии иммунной системы, при которых начинается борьба с собственными тканями, вызывают серьезные заболевания. В частотности васкулит (другое название – ангиит) – поражение сосудов мелкого и крупного калибра: капилляров, вен, артерий.
При данной патологии происходит сбой в работе иммунной системы, который приводит к тому, что на стенках артерий оседают антитела. Защитные силы организма определяют собственные ткани как вредоносные. В результате пораженные клетки образуют медиаторы, провоцирующие воспалительный процесс. В итоге снижается кровоснабжение, мозг испытывает кислородное голодание.
- При появлении судорожных припадков необходимо назначение противоэпилептической терапии.
- При головной боли хороший эффект, как правило, оказывают анальгетики с периферическим действием.
- При наличии двигательных нарушений показаны обычные лечебные методы, такие как лечебная физкультура, дозированные нагрузки или занятия с логопедом.
- артерииты – воспаление происходит на стенках аорты, артерий и ветвей. При височном или гигантоклеточном (болезнь Хортона) страдают сосуды висков, глаз и позвоночника. Крайне редко встречается неспецифический аортоартериит, когда воспаление происходит в крупных артериях головы.
- артериолиты – поражаются артериолы (возможное осложнение – артериальная гипертензия);
- капилляриты – по статистике чаще страдают капилляры ног, в том числе у детей в возрасте от 5 до 15 лет. У ребенка образуются фиолетовые пятна, появляется боли в животе и зуд;
- флебиты – поражение вен.
Васкулит головного мозга – все о церебральном ангиите
Васкулит головного мозга – это редкое заболевание, но опасное и тяжелое. Представляет собой воспаление кровеносных сосудов головного мозга, что может привести к ухудшению мозгового кровообращения. В результате могут развиться транзиторные ишемические атаки и инсульт.
Поставить такой диагноз на сегодняшний день нелегко. Окончательно и бесповоротно утверждать диагноз «церебральный васкулит» можно только после биопсии, то есть взятия кусочка ткани сосуда на анализ.
Конечно, такой анализ не проводят, так как это повредит структуру головного мозга.
Причины возникновения
Причины возникновения также окончательно не известны. По сути, механизмы возникновения и симптомы при васкулите головного мозга такие же, как и при других заболеваниях, сопровождающихся поражением сосудов головного мозга. Однако, могут присутствовать кожные высыпания, что в купе с неврологическими симптомами может говорить в пользу васкулита. Зачастую наблюдаются такие симптомы:
- Парестезии – ползание мурашек по телу.
- Изменения настроения – вялость, раздражительность, заторможенность, плохое настроение, апатия, плаксивость у детей.
Чаще всего васкулит сосудов головного мозга встречается у детей (1-2% больных васкулитом), у взрослых этот показатель ниже. Наиболее такая форма болезни бывает вторичной, то есть на фоне какой-либо патологии. Например, при опухоли, инфекции, аллергии, системной красной волчанки, ревматизма и т.д. Иногда это может быть первичный процесс с изолированным поражением сосудов головного мозга.
Какие признаки
Причины этого заболевания на сегодняшний день недостаточно изучены. Это тяжелая патология, при которой поражаются сосуды любого калибра.
В результате такие сосуды не могут полноценно выполнять свои функции, кровообращение нарушается, мозг получает недостаточно кислорода. Возникает у обоих полов в любом возрасте. Начало, как правило, внезапное.
На фоне общего благополучия появляются симптомы инсульта. Это могут быть нарушения двигательной активности конечностей, речи, чувствительности, слуха и зрения.
После острого периода может быть длительная ремиссия с последующим обострением и соответствующей симптоматикой. Иногда могут возникать психические отклонения, в результате которые сильно портится характер и поведение человека. Иногда это могут признаки склероза и постоянная усталость. В результате изменений структур головного мозга происходит частичная ишемизация и некротизация его очагов.
Такая болезнь прогрессирует. Иногда бывает сложно диагностировать церебральный васкулит, симптомы которого схожи, как правило, с инсультом (ишемическим или геморрагическим), могут давать симптоматику опухоли головного мозга.
Диагностика затруднена в связи со сложностью взять материал для исследования.
Лечение такой формы васкулита проводится в неврологическом отделении и направлено на устранение симптомов.
Осложнение при системных болезнях
Поражение сосудов головного мозга может встречаться в качестве осложнения системных болезней. При синдроме Чарджа-Стросса и узелковом периартериите симптоматика включает гиперкинезы (непроизвольные движении) и эпилептические приступы. При этой форме лечение дает положительные результаты. Гранулематоз Вегенера сопровождается ухудшением зрения и слуха, воспалением мозговых оболочек (менингитом).
При болезни Такаясу (неспецифическом аортоартериите) возникают ортостатические обмороки. Это такие обмороки, которые возникают при переходе больного из горизонтального в вертикальное положение. Также во время жевания усиливается головная боль. Лечение церебрального васкулита при таких формах системных заболеваний дает хорошие результаты.
Вторичный васкулит головного мозга
Такой вид васкулитов развивается при наличии:
- Ревматизма;
- Коллагенозов.
При этих заболеваниях в первую очередь страдают почки, что сопровождается повышением артериального давления. Неврологическая симптоматика развивается не из-за воспалительных изменений в головном могзе, а из-за повышенного артериального давления. Редко возникающее поражение сосудов мозга объясняется наличием гематоэнцефалического барьера. При этом различные повреждающие агенты не поступают из крови в головной мозг.
При воспалительных поражениях головного мозга при этих заболеваниях меняется реактивность организма. Клиническая картина протекает стерто. Для пациентов в целом болезнь имеет легкое течение, но медикам усложняет диагностику. Вторичный васкулит сосудов головного мозга проявляется в виде судорог, транзиторных ишемических атак и инсультов, слабоумия. На начальных стадиях хорошо поддаются лечению. Главное – вовремя его начать.
Диагностика церебрального васкулита на снимках МРТ и КТ головного мозга
- Воспаление и некроз стенки кровеносных сосудов головного мозга, особенно артерий
- Для верификации диагноза показана биопсия, которая из практических соображений производится редко.
- Васкулит имеет такие причины своего появления : часто возникает на фоне инфекционного, ревматического заболваний.
- Исключения: подозрение на височный артериит (чрескожная биопсия височной артерии), гранулематоз Вегенера (биопсия слизистой оболочки носа)
- Предварительный диагноз выставляется на основании выявления симптомов воспаления и серологической диагностики васкулита (АНЦА, АНА, антитела к двунитевой ДНК)
- При изолированном васкулите ЦНС серологические реакции отрицательные, и отсутствуют признаки поражения других органов.
Формы:
- Вторичные васкулиты при инфекционных болезнях, например, при бактериальном менингите, вирусном энцефалите и сифилисе
- Первичный системный васкулит при гигантоклеточном артериите, гранулематозе Вегенера и изолированных васкулитах ЦНС (очень редко)
- Вторичные васкулиты при коллагенозах, например, при системной красной волчанке, первичном синдроме Шегрена и склеродермии .
- Вторичные васкулиты при опухолях или кокаиновой наркомании
Клинические проявления
Типичные симптомы:
- Поражение черепных нервов и очаговая неврологическая симптоматика, однако, часто неспецифичная
- Васкулит имеет общие симптомы, такие, как лихорадка, потливость по ночам, потеря веса.
Какой метод диагностики церебрального васкулита выбрать: МРТ, КТ, ангиографию
Метод выбора
Что покажут снимки МРТ и КТ головного мозга при васкулите
- В зависимости от поражения сосудов ишемические инсульты возникают в зонах, кровоснабжаемых различными артериями
- В паренхиме или мягкой мозговой оболочке визуализируются воспалительные инфильтраты, которые накапливают КС на Т1-ВИ
- Наблюдается поражение белого и серого вещества, множественные стенозы, окклюзия или аневризмы артерий при КТ- или МР-ангиографии
Проводят ли обычную ангиографию при церебральном васкулите
- Оптимальный метод визуализации сосудистых изменений
- Множественные стенозы, окклюзии или аневризмы артерий.
Картина поражения. Зависит от основного заболевания:
- Аорта: артериит Такаясу.
- Аорта и крупные артерии: гигантоклеточный артериит.
- Артерии крупного и среднего калибра: полиартрит, ангиит Черджа— Строе.
- Артерии среднего и мелкого калибра: первичный васкулит ЦНС, гранулематоз Вегенера, болезнь Бехчета, болезнь Кавасаки.
- Мелкие артерии и артериолы: вторичные васкулиты при коллагенозах.
Что хотел бы знать лечащий врач?
- Картина поражения
- Динамическое исследование для оценки эффективности лечения.
Какие заболевания имеют симптомы, схожие с васкулитом головного мозга
- Рассеянный склероз:
- — Преимущественное поражение перивентрикулярного белого вещества
- — Серое вещество обычно не вовлекается в процесс
- Эмболические инфаркты головного мозга:
- — Дифференциальная диагностика возможна только с учетом изменений сосудов при ДСА и данных серологической диагностики васкулита.
Лечение
Диагноз васкулит предусматривает следующее лечение:
- Лечение основного заболевания
- Глюкокортикоиды и иммунодепрессанты (циклофосфамид, азатиоприн)
- Плазмоферез по показаниям.
Врачи каких специальностей диагностируют и лечат васкулит мозга
— Врач функциональной диагностики (подтверждение диагноза)
— Невропатолог (консультация для определения степени поражения ЦНС)
Прогноз
- Зависят от причины и/или основного заболевания.
Возможные осложнения
- Церебральный васкулит влечет за собой гиперкинезы насильственные движения им судорожные приступы по типу эпилепсии.