Глиоз головного мозга развивается на фоне гибели нейронов (нервной ткани) и замещения пространства в белом веществе головного мозга глиальными элементами. Глия способна защитить от инфицирования и травм, но при этом не передаёт импульсы.
Глиоз головного мозга происходит из-за гибели нейронов
Симптомы глиозных изменений
Немногочисленные очаги скопления глий не влияют на самочувствие и поведение человека.
Признаки патологии:
- высокое артериальное давление;
- регулярная боль в голове;
- нарушение когнитивных функций – ослабление концентрации внимания, памяти;
- нарушение чувства равновесия;
- снижение зрения, слуха;
- речевые расстройства – замедленная тягучая или ускоренная речь;
- расстройства движения;
- перепады настроения;
- рассеянность.
Симптомы часто проявляют себя поодиночке, в этом случае заподозрить именно глиоз сложно.
Глиоз можно сравнить с процессом рубцевания на кожных покровах. Но эти «шрамы» в мозге не в состоянии взять на себя функции нейронов – это вызывает нарушение работы мозга.
Причины глиоза
Глиоз возникает из-за поражения ЦНС в результате патологий обмена жиров. Часто они вызваны наследственным фактором. В 25% всех случаев болезни говорят об аутосомно-рецессивном виде наследования.
Употребление алкоголя и наркотических веществ приводит к разрушению нейронов
Развитие заболевания провоцирует прием наркотических веществ – наступает медленная атрофия белого вещества. При злоупотреблении алкоголем метаболиты спирта вызывают гибель нейронов.
Очаги развиваются на фоне заболеваний (вторичный тип глиоза):
- энцефалит;
- эпилепсия;
- инсульт;
- рассеянный или туберкулезный склероз;
- энцефалопатия;
- хроническая гипертония;
- гипоксия.
У детей гибель нейронов часто провоцируют родовые травмы, когда при родоразрешении наблюдается длительная асфиксия. Симптомы развиваются не ранее 4–6 месяцев, проявляясь в потере сосательного и глотательного рефлексов, судорожного синдрома, параличе, атрофировании мышц.
Классификация очагов
Изменения происходят в одной или сразу обеих гемисферах.
Небольшие очаги гибели нейронов появляются на фоне гипертонии
По размеру поражения очаги глиоза делят на единичные и множественные:
- Единичные мелкие – не редкость у многих взрослых людей на фоне гипертонии. Незначительная гибель нейронов не вызывает характерных симптомов, но процесс замещения тканей необратим. Также причинами выступают заболевания ЦНС.
- Множественные поражения нарушают работу ЦНС, симптоматика ярко выражена.
По типу локализации глиозных клеток очаги разделяют на такие типы:
- Диффузный. Явные очаги замещения ткани отсутствуют. Поражается белое вещество мозга, реже – область мозговой ткани вплоть до спинального отдела. Основная причина – постишемический процесс.
- Анизоморфный. Зона глиоза по периферии головного мозга, глии замещают волокнистую структуру.
- Маргинальный. Очаги поражения четко локализованы, расположены в подоболочечной области мозга.
- Сосудистого характера (периваскулярный астроглиоз или перивентрикулярный). Глиальные элементы размножаются в сосудах с выраженным атеросклеротическим процессом. Специфический вариант сосудистого типа – супратенториальный глиоз сосудистого генеза. Диагностируют чаще у детей первых месяцев жизни и у пожилых пациентов на фоне возрастных изменений.
- Изоморфный. Для этого типа характерно равномерное распределение волокон.
- Краевой. Очаги находятся под мозговой оболочкой в области теменных, левой, правой лобных долей.
- Волокнистый. Такой вид характеризуется преобладанием волокнистых структур над глиями.
Из-за травмы головы маленькие очаги не будут прогрессировать
Не всегда единичные участки разрастаются. Если патологические изменения вызваны физиологическими факторами – травмами (образуются кистозно-глиозные изменения), оперативное вмешательство, тяжёлые роды, старение организма – они часто остаются немногочисленными или единичными, без специальной диагностики их не выявляют.
К какому врачу обратиться?
Диагностикой и лечением глиоза занимается невролог. По показаниям он может направить пациента к нейрохирургу.
Проблемами мозга занимается невролог, но после предварительного анамнеза он может направить к другому врачу
Если глиоз сопровождает другую патологию, может понадобиться смежная консультация специалистов:
- терапевта;
- кардиолога;
- неонатолога;
- педиатра (для осмотра ребёнка).
Диагноз не ставят только на данных внешнего осмотра, установить наличие заболевания и выраженность, локализацию, размеры очагов позволяет томография.
Диагностика патологии
Поскольку симптоматика не является характерной для глиоза, может указывать на другие патологии нервной системы, используют инструментальную диагностику:
- Электроэнцефалограмма (ЭЭГ). Обследование проводят при выявлении нарушений, связанных с активностью мозга. Очаги глиоза могут провоцировать приступы эпилепсии. При их наличии определяют повышение судорожной активности.
- КТ (ангиография). Выявляет отклонения в функционировании сосудистой системы. Во время процедуры используют контрастное вещество.
- МРТ – наиболее информативный метод. Он дает понятие об объемах, локализации глиальных очагов, определяет их этиологию. Только с помощью этой методики диагностируют субкортикальные очаги, локализованные в лобных долях мозга, микроангиопатию – мельчайшие повреждения сосудов, зоны перифокального отека.
Дополнительно при обследовании исключают опухолевые образования, рубцы, нарушение обменных процессов.
Глиоз мозга у плода выявляют до 20 недели беременности. Для этого проводят исследование амниотической жидкости. Если диагноз подтвержден – беременность прерывают.
Лечение глиоза головного мозга
Лекарственных средств, которые бы смогли устранить процесс замещения, нет. Терапия направлена на лечение основного заболевания, с которым связана гибель нейронов, и улучшение качества жизни больного.
Лекарства
Лекарственные средства:
- Вазоактивные средства – Циннаризин, Кавинтон, Винпоцетин.
- Антиагреганты – Вессел Дуэ Ф, производные ацетилсалициловой кислоты.
- Ноотропы – Глицин, Актовегин, Кортексин.
- Витамины группы Е, В – Мульти-Табс, Компливит.
Глицин — ноотроп, который прописывают при глиозе
Эти препараты улучшают проводимость волокон, мозговую активность. Если диагностирован глиоз сосудистого генеза, рекомендуют средства для улучшения эластичности стенок сосудов.
Хирургическое вмешательство
Удаление глиозных очагов хирургическим путем проводят редко, нейрохирургическое вмешательство не позволяет приостановить возникновение новых участков глиоза без лечения базового заболевания. Операция имеет смысл только в том случае, когда очаги единичные.
Показания для оперативного лечения:
- глиозные очаги в белом веществе вызывают судорожные приступы;
- нарушен отток ликвора;
- есть сбой в работе внутренних органов;
- обнаружена опухоль.
Операционное вмешательство возможно при опухоли и других серьёзных патологиях мозга
При множественных мультифокальных очагах эффект даёт только пожизненное консервативное лечение.
Народные средства
Помощью в консервативном лечении служат народные средства, улучшающие работу сердечно-сосудистой системы и обмена веществ:
- Лимон и корень имбиря измельчите на мясорубке или в блендере в пропорции 1:2. Заварите в виде чая в термосе – 1 ст. л. кашицы на 200 мл кипятка. Дозировка – 1 стакан в сутки после еды.
- Высушенный корень женьшеня измельчите в порошок в кофемолке, залейте 1 ст. л. 200 мл воды, настаивайте 10 минут. После процедите, пейте в течение 30 дней по 1 стакану.
- Смешайте по 1 ст. л. ромашки, бузины, липы, молотых плодов фенхеля, залейте 300 мл кипятка, настаивайте 1 час. Принимайте по 1 стакану в день натощак.
- Чай из одуванчика для укрепления сосудов готовят из 200 г молотых корней и 1 л кипятка. Способ употребления – по 50 мл перед приемом пищи трижды в день, длительность курса 1 месяц.
- Для укрепления стенок сосудов возьмите 50 г плодов рябины, 1 ст. л. липового цвета, 1 ч. л. семян укропа, 1 ч. л. сушеной полыни. Залейте 1 л кипятка, отстаивайте 15 минут. Пейте 2 раза в день перед едой по 100 мл на протяжении 20–30 дней.
- Смешайте листья крапивы и рябину в соотношении 3:7, залейте 0,5 л кипятка, 10 минут прокипятите, и настаивайте 3 часа. Пейте отвар ежедневно по 200 мл в сутки курсом 30–60 дней.
- Напиток для улучшения мозгового кровообращения. Возьмите 1 ч. л. семян люцерны, залейте половиной стакана кипятка, принимайте эту порцию раз в день до еды на протяжении 9 месяцев.
- Настойка ятрышника. 10 корней растения разрежьте на 2 части и положите в бутылку из темного стекла. Залейте 1 стаканом 96-% спирта, перенести в тёмное помещение на 2 недели. Принимайте натощак 1 ч. л. настоя, курс 1 месяц.
- Измельчите 10 листьев шелковицы, залейте 500 мл кипятка, проварите 3 минуты, процедите. Употребляйте на протяжении 3 месяцев 1 раз в день после еды.
- Для очистки стенок сосудов от холестериновых бляшек – чесночная настойка. 5 долек промелите на мясорубке, перемешайте с 1 ст. л. натертого хрена, залейте 50 мл нерафинированного оливкового или подсолнечного масла. Переложите в банку, плотно закройте крышкой, уберите в холодильник. Перед употреблением смешайте 1 ст. л. приготовленной смеси с 0,5 ст. л. свежего сока лимона. Принимайте трижды в день минимально 3 месяца за 30–35 мин. до еды.
Чесночная настойка очищает стенки сосудов от холестириновых бляшек
Диета при глиозных изменениях
При выявлении глиозных изменений в рацион важно включить продукты, богатые магнием и калием. Первый улучшает работу мозга, восстанавливает его клетки, предупреждает спазмы сосудов. Калий не даёт повышаться уровню натрия, который может задерживать в организме жидкость и приводить к отекам, повышает сократительную способность гладкой мускулатуры, улучшает работу сердца.
Магнийсодержащие продукты:
- чечевица;
- льняные, тыквенные семена;
- кукурузная крупа, перловка, гречка;
- отвар шиповника;
- грецкие орехи;
- пшеничные отруби;
- капуста, зелень;
- инжир.
Цитрусовые освобождают организм от жидкости
Продукты богатые калием:
- цитрусовые;
- изюм, курага;
- зелень, фрукты овощи с кожурой зелёного цвета;
- картофель;
- грибы.
Обязательно включите в меню морскую рыбу, мясо, твёрдый сыр. Ежедневно употребляйте по 1 порции каши, 50 г любых орехов, кисломолочную продукцию.
Из рациона исключают:
- субпродукты;
- горчицу;
- щавель;
- чёрный кофе;
- крепкий черный чай;
- шпинат.
Лишний вес не только дает дополнительную нагрузку на сердечно-сосудистую систему, но и провоцирует избыток холестерина.
Для коррекции массы тела исключите фастфуд, газировки и другую вредную пищу
Для коррекции массы тела исключите:
- сдобную выпечку;
- газированные напитки;
- консервированные продукты;
- фастфуд.
Желательно употребляйте продукты, не подвергшиеся термообработке. Для приготовления используйте щадящие способы – тушите, варите, готовьте на гриле или в пароварке.
Чем опасен глиоз?
Очаги глиозной трансформации вызывают опасные последствия:
- прогрессирующее ухудшение памяти;
- интеллектуальные расстройства;
- мигрень, головные боли;
- ухудшение качества жизни.
Развитие глиоза чревато потерей памяти
Глиозные изменения в любом из полушарий не влияют на работу ЦНС.
Прогноз жизни
Длительность жизни определяется выраженностью атрофических изменений в белом веществе мозга и тяжестью болезни, вызвавшей глиоз. При выполнении предписаний врача наступает ремиссия, которая может длиться десятилетиями. Плохой прогноз при обнаружении патологии у новорожденных – они редко живут больше 2–4 лет.
Основы профилактики – соблюдение принципов здорового образа жизни, посильная физнагрузка, полноценный дневной и ночной отдых. После 50–60 лет рекомендована умственная загрузка, которая восстанавливает когнитивные функции.
Узнайте больше по теме: Неврология
Глиозные изменения головного мозга — супратенториальные, перивентрикулярные
Недооценивать болезни головного мозга невозможно. Это всегда крайне серьезно. Конечно, даже незначительные колебания здоровья требуют внимательного отношения, однако, когда дело касается головного мозга, любая патология должна быть сигналом к действию.
Такие болезни представляют опасность, поскольку способны оказать негативное влияние на другие органы.
Что это такое — глиоз головного мозга
Глиоз – крайне серьезный недуг, при развитии которого идет замена мертвых нервных клеток глиальными, служащими для защиты нервной системы и помощи нейронам (передавать импульсы и образовывать новые связи). При появлении лишней глии в конкретной зоне можно говорить о таком диагнозе, как глиоз головного мозга.
Болезнь сама по себе неизлечима, это итог функциональных неполадок в ЦНС. Очаги в головном мозге – пустоты, возникающие с наличием патологии некоторых областей. Нейроны становятся мертвыми, появляются нейроглии, порождая описанную глиозную трансформацию.
Рассматриваемое заболевание — следствие расстройства ЦНС. Сложность этой патологии заключается в необратимости. Но предупреждение или остановка разрастания – задачи посильные.
В мозге ежесекундно происходят микродвижения на уровне нейронов, влияющие на работу целостного организма. Это незаметные для человека процессы, поэтому нарушения невидимы некоторое время. В слаженно работающей нервной системе, у одних составляющих главные задачи, у других – вспомогательные.
ЦНС состоит из следующих образований клеточного типа:
- Нейроны. Функция – выработка и распределение сигналов;
- Эпендимальные клетки – канал спинного мозга;
- Нейроглии — ответственны за процессы метаболического характера.
Если мозг травмирован, присутствуют патологии, начинается нейронное отмирание, наступает болезнь.
Количество нейроглиозных клеток увеличивается, заполняются пустые области, выступая толчком для нейронного перестроения. Нейроглии являются провокаторами формирования очага глиоза головного мозга.
У клеток меньшая величина, чем у нейронных, а по численности они их значительно превышают, занимая около 40% от общей массы.
Возраст не является ключевым фактором, провоцирующим образование очагов. Хотя, безусловно, в зоне риска находятся пожилые люди. Если не видно никаких структурных изменений, поврежденного участка, где находятся нейроглии, то никакого явного влияния на мозговые функции не идет.
Будет неправильно утверждать, что образование глий в пустых зонах, процесс губительный. Хотя клетки не имеют возможности выполнять функции нейрорегуляционного характера, они:
- Поддерживают мозговую деятельность;
- Охраняют полноценные ткани;
- Формируют новые нервные волокна;
- Получают и распространяют сигналы.
Глиоз мозга нельзя предвидеть, поскольку первопричиной выступает мутирующий вид гена, влияющий на процессы гексозоамидаз А.
Что такое алкогольная энцефалопатия
Жизнедеятельность мозговых клеток будет работать нужным образом при условии, что к ним по сосудам поступает нужное количество крови. Когда артерии перестают выполнять свою работу и питать нейроны, это влечет болезни сосудистого генеза.
Разновидности заболевания
Опираясь на признаки, особенности и расположения, выделяют такие виды заболевания:
- Если поражения волокнистого вида (глиальные волокна), говорят о волокнистой форме заболевания;
- При образовании единичных (например, слева лобной доли) образований на внутренней зоне оболочки желудочков говорят о субэпендимальном типе заболевания;
- Если поражение локализуется в четкой области (под оболочкой) тип болезни называют маргинальным;
- В противовес предыдущему виду заболевания, при хаотичном расположении элементов появляется анизоморфный глиоз;
- При равномерном распределении говорят о изоморфной форме заболевания;
- Нередким является периваскулярный тип. При этом имеется распространение около сосудов, пораженных атеросклерозом. Эта разновидность обладает собственным особым вариантом – супратенториальным. Супратенториальные очаги глиоза сосудистого генеза – структуры, лежащие над отростком жесткой оболочки мозга.
- Очаговый вид отличается наличием участков, которые возникают как правило в связи с инфекционно-воспалительными процессами;
- При нахождении областей непосредственно в мозге, говорят о краевом глиозе;
- Когда поражение расположено близ мозговых желудков – это перивентрикулярный (паравентрикулярный) глиоз;
- Под диффузной формой подразумевается такая патология, когда много поражений, захватывающих спинной и головной мозг.
- Субкортикальные изменения — это глазодвигательные нарушения и нарушения покорковой деменции.
Островки, которые появились на месте нейронной гибели, могут иметь единичный характер, немногочисленный. А могут существовать как множественное патологическое распространение.
Отдельные очаги обнаруживаются вследствие родового травмирования или в виде естественного процесса, который характерен на определенном жизненном этапе. Такие участки могут так и оставаться в единичном числе, их сложно обнаружить без медоборудования.
Глиозные очаги
Очаговые островки различаются по площади, их число также может варьироваться. Тканевое распространение идет в связи с разрушением функций нейронов.
Глиозные очаги делят на два основных вида. Рассмотрим каждый из них.
Единичные очаги
Единичные — распространенное явление. Картина единичных очагов глиоза такова, что наиболее часто ее имеют гипертонические больные с не стабильным давлением. По прошествии некоторого времени появляется гипертезивная энцефалопатия. Довольно часто встречаются очаги глиоза в лобной доле.
Обращение к специалисту в нужный момент, чтобы затормозить процесс нейронной гибели, крайне важно. Иначе число очагов, их площадь будут увеличиваться.
Глиозные изменения головного мозга уже начавшись являются необратимым процессом. Задачей является недопущение дальнейшего разрушения.
Множественные очаги глиоза
Множественные очаги глиоза головного мозга характерны при диффузном течении болезни. Имеются внушительные разрастания. Симптомы при нескольких очагах ярко выражены, течение болезни тяжелое.
Что такое инсульт и как его распознать
Стоит добавить, что перифокальный тип может развиться и в процессе старения организма. Эта ситуация является естественной и помочь сможет лечение медикаментами.
Причины патологии
Причинами сосудистого глиоза у взрослых, а точнее сказать, первоначального заболевания, являются:
- Склероз рассеянный;
- Туберкулез;
- Ишемические мозговые нарушения;
- Плохой жировой обмен наследственного типа;
- Болезни инфекционного характера, при которых присутствует воспаление;
- Травмы, опухоль.
Скопления глиального вида имеются у спортсменов, которые перенесли травмы головы, а также у тех, кто ведет неправильный образ жизни, имеет вредные привычки, ведущие к нейронному разрушению.
Симптоматика заболевания
Характерных симптомов для заболевания нет. Все типы расстройств являются признаками многих других недугов.
Пусковые механизмы могут быть разные, а вот проявления у всех имеют сходства:
- Регулярные головные боли, при неэффективной классической терапии;
- Скачки давления без специфики;
- Слабость, высокая утомляемость;
- Плохая координация;
- Низкие мнестические функции.
Заболевание может вызвать судороги. Это связано с наличием крупного очага. Чтобы была выполнена точная диагностика, нужно незамедлительно обращаться к специалистам, ведь подобные проблемы могут говорить и об иных заболеваниях.
Что делать и как лечить
Конкретных врачебных рекомендаций для ликвидации рассматриваемых новообразований нет. Назначенное специалистом лечение глиоза головного мозга будет направлено на борьбу с тем заболеванием, которое стало «пусковым» механизмом для появления глиоза.
Лекарства должны быть назначены строго врачом. Медикаментозная терапия будет заключаться в приеме средств, способных поддержать состояние кровеносных сосудов.
Кроме этого, больным часто назначаются антиоксиданты для нейтрализации окислительные процессы и ноотропы, ведь при этой болезни есть нехватка кислорода.
Диагностика
Чтобы диагностировать заболевание проводятся КТ, МРТ и ЭЭГ. Рассмотрим в каких случаях используется тот или иной метод.
Магнитно-резонансная томография – самый предпочтительный метод. С ее помощью врач увидит очаги глиоза в лобной доле, поймет насколько ситуация запущена.
Компьютерная томография также иногда используется специалистами для диагностики при глиозе белого вещества головного мозга. Однако этот способ не даст настолько нужной клинической картины, как МРТ. Существенным минусом для пациента будет также присутствие излучения во время процедуры.
Электроэнцефалография – выяснение насколько активен головной мозг. Используются электроды и компьютерная обработка. Этот метод часто используется для уточнения проблем, когда имеются эпилепсия или судороги.
Нередко, чтобы получить развернутую картину, имеет смысл провести допобследование, а именно – сдать анализы или выполнить иные манипуляции.
Лекарственные методы и хирургия
Из лекарственной терапии часто назначаемыми препаратами являются:
- Направленные на улучшение мозговой работы;
- Улучшению мозгового кровообращения;
- Витамины.
К хирургии прибегают, когда присутствуют большие одиночные элементы с негативным воздействием на организм, а также те, которые не замечать уже нельзя.
Также операции рассматриваются, если лечение медикаментами не приносит должного результата и любое иное лечение испробовано без положительного эффекта, а очаг глиоза остается и болезнь прогрессирует.
Церебральная ишемия у новорожденных
Народное лечение
- Помимо привычных, традиционных способов лечения, существуют и так называемые народные методы борьбы с глиозом, а вернее с болезнью-источником.
- Так, чтобы улучшить кровообращение можно использовать следующие травы:
Корень одуванчика. Поможет укрепить сосуды, снижает холестерин. Применяется в виде отвара.
Мелисса. Положительное действие на кору мозга, укрепляет сосудистые стенки, действует как успокоительное средство, восстанавливая нервные клетки.
Семена укропа. Способны восстановить кровяную циркуляцию, помогут нормализовать давление.
Зверобой. Положительное действие при поражениях сосудов, тканевое восстановление.
Диоскорея. Показана при сосудистых и сердечных проблемах, снимает головную боль. Корень измельчают и заваривают, после чего принимают несколько раз в день по столовой ложке после еды.
Профилактика
Чтобы исключить глиоз сосудистого характера, а также затормозить процесс клеточного отмирания, стоит:
- Обеспечить физическую активность. Стоит постараться выполнять несложный комплекс упражнений на ежедневной основе, прибавится сил и выносливости.
- Отдыхать, откорректировать режим. Только тогда нервная система будет работать как нужно.
- Позаботиться о правильном питании.
Опасен ли глиоз
Нарушения в головном мозге ведут к сбою всей системы организма. При большом количестве очагов страдают функции всех отделов, человек становится беспомощным.
Чем чревата болезнь
- Перепадами давления;
- Энцефалитами;
- Рассеянным склерозом;
- Нарушенным кровообращением;
- Необратимыми повреждениями нервной системы.
Если присутствуют первые симптомы, стоит не медлить и обращаться к врачу неврологу.
Для новорожденных диагноз часто приговор. Дети редко доживают даже до детсадовского возраста несмотря на то, что на начальном этапе болезнь не дает о себе знать.
Сердечно-сосудистые заболевания могут не только вызывать глиоз, но и стать итогом самой болезни при иных первоначальных причинах. Шансы побороть болезнь на любом возрастном этапе у всех почти одинаковы.
Говоря о жизненном прогнозе стоит понимать, что лишь врач может оценить степень опасности, которые несут глиозные изменения.
Последствия и осложнения
Своевременное обращение к специалисту поможет сильно улучшить состояние и остановить появление дополнительных очагов в головном мозге.
У болезни разные жизненные прогнозы, на которые влияет катализатор, повлекший тканевые изменения. Также прогноз зависит от интенсивности течения изменений и того насколько много очагов уже имеется. Как и при многих заболеваниях, благоприятный исход стоит ожидать, если проведена ранняя диагностика и вовремя начата адекватная терапия. При этом варианте с глиозом живут довольно долго.
Придерживаясь наставлений врача течение болезни может быть замедлено. Конечно, лишь специалист может спрогнозировать насколько опасны новообразования, поэтому важно как можно раньше обратиться за помощью.
Что такое глиоз головного мозга
В процессе работы нейронов по всему организму передаются нервные импульсы. Некоторые ситуации способствуют разрушению нервных клеток и замещению их глиальными элементами. В медицине это состояние называется глиоз головного мозга.
Такое физиологическое явление естественно во время старения человеческого организма. Однако бывают случаи, когда микропроцессы обмена в организме значительно нарушаются из-за снижения работоспособности мозга.
Такой сбой происходит, если очаги глиоза в белом веществе головного мозга разрастаются и приобретают масштабный характер. Что же это такое – глиоз в головном мозге?
Специалисты неврологии считают, что подобные отклонения в клетках мозга не стоит классифицировать как отдельное заболевание, поскольку такая патология скорее является следствием другого нарушения в организме.
Пока изменения в клеточном составе головного мозга не становятся аномальными, на функциональность нервных клеток глии не влияют. Даже, наоборот. Они оказывают защитное действие и предотвращают от возможных травм и попадания инфекций в пораженный участок мозга.
Замещая место отмерших нейронов, глии выполняют функции погибших структур и снабжают процессы обмена мозговых тканей. Однако положительный эффект образования глий ограничивается лишь до определенного состояния.
После его достижения такие изменения причисляются в разряд патологии, что со временем выдает клинические проявления.
Причины глиоза
Спровоцировать гибель нервной ткани, а, следовательно, и глиоз головного мозга может множество факторов:
- Генетические или наследственные патологии;
- Туберкулезный склероз;
- Хроническая патология кровообращения в мозге;
- Травмы черепа и мозга;
- Воспаления, спровоцированные нейроинфекцией;
- Длительное время прогрессирующая гипертензия;
- Травмы при рождении;
- Пониженное содержание сахара в крови;
- Оперативные воздействия на мозг.
Вследствие родовой травмы, сопровождающейся асфиксией, происходит гибель клеток нейронов. Такая патология в первые месяцы не сказывается на развитии ребенка. Регресс проявляется после четвертого – шестого месяца и выражается психическим и физическим нарушением развития.
Факторы, непосредственно влияющие на глиозные изменения головного мозга, их происхождение и распространение:
- Алкоголь. Употребление алкогольных напитков в умеренных количествах способствует повышению кровообращения. Однако превышение дозы спиртного провоцирует нарушение связей нейронов.
- Наркотики. Любой вид наркотических средств влечет воспаления сосудов и очаговое отмирание мозговых тканей.
Формы и степени развития
Начальная степень образования глиоза в головном мозге бессимптомная. Клинические проявления нарушения обнаруживаются в результате патологического распространения глиозных очагов.
В ходе некротического процесса вместо отмерших нейронных клеток, образующих очаги глиоза (клетки нейроглии), освобождаются участки. Формы глиоза головного мозга зависят от различных признаков, характера и места его расположения.
- Единичное супратенториальное нарушение появляется при старении организма или во время родовой травмы у новорожденного. Данное отклонение не проявляется и не опасно для человека.
- Многочисленные образования возникают при нарушении кровообращения в мозге. Такое состояние выступает проявлением неврологических патологий.
- Перивентрикулярное проявление поражает участки желудочков головного мозга. В результате в головном мозге формируются изменения кистозно-глиозного характера.
- Анизомофорное проявление может быть выявлено в любой части мозга. Служит следствием хаотичного разрастания глиальных волокон.
- Периваскулярное нарушение заявляет о себе опутыванием поврежденных сосудов глиозными клетками, что является следствием рассеянного склероза.
- Субкортикальный очаг глиоза диагностируется под корой головного мозга.
- Диффузное поражение образует множественные очаги глиоза головного мозга, которые могут распространяться на спинной мозг.
- Краевой тип поражает поверхность головного мозга.
Симптомы и последствия
Единичное появление глиоза вещества головного мозга обычно не выдает себя. Обнаруживаются такие очаги случайно во время обследований МРТ. Однако если вовремя не выявить патологию, то глиоз мозга размножается, образовывая новые островки атрофических изменений мозгового состояния.
Следующие признаки нарушения состояния организма должны насторожить человека:
- Резкие и частые перепады артериального давления;
- Постоянные интенсивные головные боли, не купирующиеся спазмолитиками;
- Снижение работоспособности, периодическое головокружение;
- Падение концентрации и внимания, провалы в памяти;
- Значительное ухудшение слуховой и зрительной функции;
- Нарушение двигательной системы.
Стоит отметить, что проявление и интенсивность симптомов зависят от того, на каком участке образовался глиоз головного мозга.
- Супратенториальный глиоз наиболее часто выражается расстройствами зрения;
- Глиоз белого вещества головного мозга нередко является последствием черепных травм и оперативных вмешательств в главный орган. Проявляется данное нарушение головокружениями, судорожными состояниями головного мозга и эпиприпадками;
- Частые сильные боли головы выступают последствиями травм височных долей. Также головные боли может повлечь глиоз сосудистого генеза, который также провоцирует постоянные скачки артериального давления;
- При отсутствии других заболеваний, стимулирующих размножение глии, глиоз можно рассматривать как первичную патологию. Эти изменения являются возрастными и возникают при естественном старении.
Опасность глиоза
Локация катализатора, вызывающего патологические нарушения, в первую очередь влияет на последствия глиоза. Скачки давления и гипертензии, энцефалиты, рассеянный склероз и травмы черепа приводят к образованию глий.
Продолжительность жизни человека, страдающего подобными изменениями, напрямую зависит от степени повреждения важных для жизни систем и органов. Благоприятность прогноза заболевания обусловливается своевременной диагностикой нарушений и их адекватным лечением.
Лечение глиоза
При возникновении подозрительных симптомов не стоит надеяться на то, что начавшийся процесс не станет прогрессировать без лечения и останется на том же уровне.
Даже самое безобидное на первый взгляд нарушение состояния, которое свойственно глиозу сосудистого генеза, может дать осложнения: полное нарушение речевых функций, паралич конечностей, расстройства интеллектуально-механического характера и деменцию. Жить с такими симптомами можно, но данные проявления создают дискомфорт человеку и опасны для его жизни.
В самых тяжелых случаях при неправильном лечении или полном отсутствии терапии вероятен летальных исход. Поэтому лечение глиоза головного мозга необходимо начинать сразу же после его обнаружения.
Традиционная медицина
Многие люди живут, годами не зная о своем заболевании, а между тем запускать глиозное нарушение головного мозга и сосудов не рекомендуется. Чем дольше пациент затягивает с лечением, тем сложнее справиться с последствиями любой болезни.
Препаратов, устраняющих глиальные образования, не существует, поскольку глиозное нарушение не классифицируется как самостоятельное заболевание.
Чтобы улучшить самочувствие больного в традиционной медицине используются три основных направления лечения:
- Профилактика. Организм взрослых людей на раннем этапе патологии способен побороть негативные изменения. Специалисты рекомендуют больным отказаться от вредных привычек, изменить режим питания, придерживаясь здорового образа жизни;
- Лечение медикаментами. Врачами назначается необходимое лечение спровоцировавшего глиоз заболевания. В случае обнаружения глиозного поражения головного мозга сосудистого генеза назначаются средства, восстанавливающие и укрепляющие стенки артерий. Также применяются препараты, повышающие мозговую активность за счет улучшения проводимости нервных волокон;
- Хирургическое лечение. Если у пациента выявляются отклонения работы внутренних органов, судорожные и эпилептические припадки, назначается нейрохирургическое вмешательство.
Народные способы лечения
Сколько бы лекарственных препаратов не назначалось больному, а дополнительная поддержка организма с помощью народных средств будет способствовать улучшению состояния.
- Так, на начальной стадии при немногочисленном поражении очагов хорошо поддерживают организм травы, способствующие стабилизации кровоснабжения и повышению обмена веществ.
- При ожирении рекомендуются сыроедческая диета, разгрузочные дни, голодания. Это также способствует очищению организма от вредных веществ, нарушающих его нормальное функционирование.
- Употребление настоек и отваров, действие которых направлено на борьбу с симптомами заболевания. Можно покупать в аптеке уже готовые сбалансированные сборы для лечения.
Хотелось бы отметить, что лечение народными методами может быть действенным исключительно в качестве дополнения к основной терапии, назначенной специалистами. Продолжительного эффекта от применения лекарственных препаратов и лечения с помощью народных средств не будет, если не устранить причину глиального образования.
Профилактика
Для того, чтобы предотвратить развитие глиальных образований и исключить появление этой болезни, следует знать некоторые правила профилактики:
- Качественный отдых, свежий воздух и полноценный сон. Придерживаясь правильного распорядка дня, человек сохраняет свою нервную систему в хорошем состоянии.
- Посильные физические нагрузки также способствуют укреплению нервной системы. Для того, чтобы организм стал выносливым и сильным, не обязательно посвящать спорту много времени. Достаточно ежедневно уделять немного времени небольшому комплексу упражнений.
- Питание. Стоит максимально отказаться от вредных для организма животных жиров. Продукты, которые следует включить в свой рацион для профилактики подобных нарушений: злаки, овощи, фрукты салаты, мясо нежирных сортов. Для приготовления пищи лучше использовать техники тушения и приготовления в пароварке.
- Отказ от вредных привычек.
Данные профилактические мероприятия станут полезными всем людям и значительно ограничат такие нежелательные недуги.
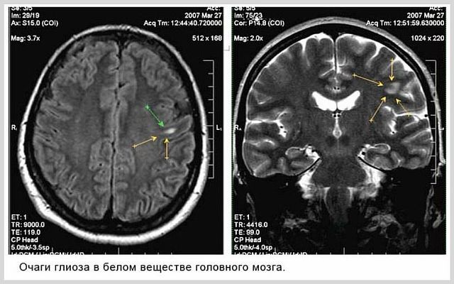
Очаги глиоза в головном мозге в белом веществе (единичные) на МРТ: что это такое?
Нервная система – основа полноценной жизни и осуществления рефлекторной деятельности человека. При ее поражении нарушаются все важнейшие функции: питание, дыхание, сердцебиение, ходьба, навыки поддерживания равновесия.
Если же в область повреждения включается головной мозг, человек полностью может утратить способность к формированию речи, чтению, письму и осмысленной деятельности.
Глиоз мозгового вещества – это не болезнь, но аномальный процесс, который вызывает существенные нарушения жизнедеятельности человека.
Глиоз белого вещества мозга – что это?
Глиоз мозгового вещества – это сложный патологический и морфофизический процесс, формирующийся в тканях мозга под действием некоторых травмирующих этиологических факторов. В основе его лежит массивное разрастание на месте травмы (где погибло определенное количество нейронов) рубца, который называется нейроглией.
Нейроглия – дополнительный тканевый компонент головного мозга человека, составляющий в норме до 30% от веса мозговой ткани. Нейроглия защищает от повреждений вещество мозга, отграничивает его от патогенных микроорганизмов, секретирует полезные вещества и активно участвует в обменных процессах.
Когда происходит травматическое или инфекционное повреждение клеток мозга в каком-либо его участке, увеличение количества нейроглии является адаптационным механизмом к произошедшим изменениям.
На месте мертвых нейронов должна сформироваться рубцовая ткань, но нейроглия отграничивает ее, становясь в своем роде биологическим проводником.
К сожалению, она не может функционировать подобно нормальной нервной ткани, за счет чего и возникают основные проблемы, которые видно на МРТ.
Проявление клинической картины при недуге:
- Резкие перепады артериального давления. Утром цифры АД находятся ниже нормы, но в течение дня формируется устойчивая артериальная гипертензия второй или третьей степени.
- Мучительные головные боли и головокружения. Иногда встречается картина мигренозной боли с тошнотой, рвотой и светобоязнью.
- Хроническая усталость. Необъяснимые приступы переутомления и потери сил, которые возникают даже после продолжительного отдыха в спокойной среде.
- Нарушения кратковременной и долговременной памяти. Пациент не может вспомнить, что он делал прошлым вечером и как провел предыдущее лето.
- Изменения координации. Частые падения, удары и большое количество синяков свидетельствует о том, что у больного имеются выраженные расстройства мозжечка.
- Судорожные и эпилептические припадки. При наличии достаточно большого очага возможно появление неврологических симптомов.
- Нарушения речи, письма и словообразования. Эта патология связана с формированием в мозге очага в зоне устной и письменной речи.
- Галлюцинации. Слуховые, звуковые и даже обонятельные галлюцинации могут послужить первым признаком наступления болезни.
- Нарушения поведения. Апатия, депрессивность или избыточная агрессия выступают в качестве неопровержимых свидетелей при заболеваниях мозга различного генеза.
Виды заболевания
Некротические клетки начинают постепенно погибать под давлением растущей нейроглии. После этого формируются островки глиоза различной формы, размера и местоположения. Выделяют несколько типов патологического процесса:
- Очаг сосудистого изменения, иначе именуемый периваскулярным участком. Нейроглия формирует островки, видимые на пленках КТ, вокруг атеросклеротических измененных сосудов мозга, вызывая еще большее их сдавление.
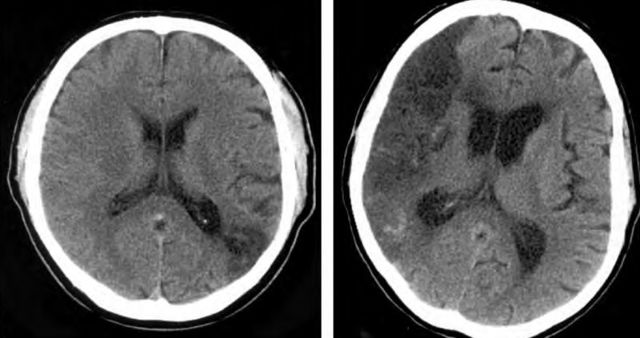
- Внутрижелудочковая форма. Очаги изменения возникают на внутренней поверхности желудочков мозга, за счет чего значительно уменьшается их объем и количество спинномозговой жидкости (такое изменение четко видно на МРТ).
- Краевая форма. Единичные простые очаги нейроглии возникают в наружной части мозговой ткани: повреждение считается одним из самых легких, потому что не затрагивает центральный участок.
- Распространенный глиоз представляет собой массивные очаговые поражения тканей. На МРТ такая картина выглядит подобно пятнистому полю.
- Волокнистые изменения. Глиозные очаги обычно заполнены волокнами самых разных размеров и длины.
- Анизоморфные очаги. Характеризуются хаотичным расположением нейроглии, более гиподенсивные.
- Внутриоболочечная форма. Такое поражение является наиболее сложно диагностируемым вариантом по МРТ. Измененные участки расположены под внутренними мозговыми оболочками.
Очаги глиоза
При легких патологических процессах не происходит нарушения функций мозга. Все очаговые изменения на МРТ можно разделить на две группы по их отображению на пленке:
- Гиперинтенсивные. Имеют более четкую и выраженную структуру, хорошо окрашиваются.
- Гиподенсные. Плохо поддаются окрашиванию, не структурированы, встречаются реже, чем гиперинтенсивные.
По количеству патологических участков очаги также можно подразделить на:
- единичные мозговые очаги, которые показывает МРТ картина;
- множественные изменения на КТ.
Единичные образования
Единичные очаги распространены в популяции гораздо больше. Их можно встретить у младенцев как последствия недавней родовой травмы или у пожилых людей как результат возрастной дегенерации мозговой ткани. Такой процесс является вполне естественным и встречается на 60% снимков МРТ белого вещества у людей старше восьмидесяти лет.
Обычно такие поражения становятся случайной находкой во время скрининга, потому что не доставляют пациентам каких-либо выраженных неудобств.
Однако, находясь в области левой лобной доли, они могут вызвать некоторые галлюцинации. Это объясняется тем, что в той доле располагаются важнейшие центры глубоких чувств и ощущений.
Это поражение не имеет тенденции к разрастанию и не представляет большой угрозы при хронических заболеваниях.
Множественные очаги
Встречаемость множественного поражения гораздо ниже, чем единичного очага глиоза.
При многих заболеваниях центральной нервной системы (в особенности белого вещества), кровеносных сосудов и соединительных тканей может возникнуть данная патология.
Чаще всего источником поражений такого генеза становятся инсульты, инфаркты или атеросклерозы. Нередко возникает подобная картина при черепно-мозговой травме.
При легких травмах головы размеры повреждений не превышают нескольких миллиметров, что не может существенно отразиться на мыслительных функциях. На КТ можно увидеть даже самые мелкие участки с измененной структурой.
При каких заболеваниях появляются очаги в белом веществе?
Возникновение подобного состояния обычно считают мультифакторым. Окружающая среда, вредные привычки, отягощенный семейный, генетический и инфекционный анамнез также играют значительную роль в формировании патологии. Предрасполагающие факторы:
- наличие у родственников заболеваний нервной системы;
- работа на химическом или физическом производстве;
- занятие опасными и экстремальными видами спорта;
- злоупотребление алкоголем и никотином;
- прием наркотических веществ в течение длительного времени;
- нарушения питания: избыток жареной, жирной и соленой пищи;
- генетическая предрасположенность к возникновению обменных сбоев.
Причины глиоза тканей:
- трофические нарушения и болезни обмена веществ, связанные с отложением патогенных частиц в мозге;
- менингит и менингоэнцефалит;
- туберкулезное поражение мозга;
- эпилепсия и эпилептический статус;
- патологии сосудистого пучка;
- врожденные аномалии развития;
- инфекционно-токсическое поражение тканей;
- повреждение в процессе рождения (ишемия и гипоксия плода);
- паразитарная инвазия любого генеза;
- черепно-мозговая травма любой давности (ушиб, сотрясение, гематома);
- инсульт и инфаркт головного мозга;
- гипертоническая болезнь или симптоматическая артериальная гипертензия, которая существует более десяти лет.
Очаговые изменения сосудистого происхождения
Расстройство кровообращения в мозговых сосудах, вазогенные врожденные изменения сосудистой стенки, которые могут привести к развитию атеросклероза, диагностируют еще на первом этапе любого морфологического исследования.
Данная патология имеет свою клиническую симптоматику, описание которой изложено здесь:
- Нарушения ритма пульсовой волны, иначе именуемое аритмией. Пульс становится более интенсивным, нарушается частота сердечных сокращений, формируется более упругая и твердая пульсовая волна, что характерно для начальной стадии болезни.
- Регулярный подъем артериального давления (как систолического, так и диастолического) на 40-50 миллиметров ртутного столба выше установленной в медицинских рекомендациях нормы. Это может вызвать носовые кровотечения.
- Обмороки и синкопальные состояния. Чаще всего их наблюдают в период полного разгара болезни.
- Слабость нижних и верхних конечностей. Руки теряют возможность плотно удерживать предметы, ноги начинают подгибаться в неподходящих ситуациях, что может нанести серьезный ущерб здоровью и жизни.
- Невозможность усвоения привычного количества информации. В результате сосудистой патологии страдает память, концентрация внимания и способность запоминать большие объемы текста.

