
Атрофический гастрит представляет собой длительно текущий воспалительный процесс в слизистой оболочке желудка, приводящий к резкому уменьшению количества париетальных клеток желудка, снижению желудочной секреции, нарушению всасывания железа и витамина В12. Последние исследование установили, что данная патология обнаруживается у более трети всего взрослого населения, однако к специалистам обращается только около 15% из них.
Люди, страдающие атрофическим гастритом, имеют очень высокий риск появления серьёзного злокачественного новообразования — карциномы желудка.
Атрофия слизистой желудка сводится к значительному истончению оболочки и гибели желёз желудка, вырабатывающих желудочный сок.

Атрофический гастрит является мультифакторным состоянием. Нет единственной причины, приводящей к данному заболеванию. В формировании функциональной недостаточности желудка играют роль более десятка факторов. Среди них:
- генетическая предрасположенность;
- возрастные изменения слизистой оболочки желудка;
- заболевания щитовидной железы, например, микседема, проявляющаяся недостаточностью её функции;
- нарушение нервной регуляции;
- недостаточное кровоснабжение желудочных стенок (например, при анемиях различной этиологии);
- длительное употребление некоторых лекарственных препаратов (гормональных и прочих);
- алкоголизм;
- курение;
- профессиональные вредности (длительное вдыхание угольной, металлической, хлопковой пыли);
- отсутствие культуры питания — пристрастие к копчёной, пряной пище.
Двумя наиболее важными причинами развития атрофической формы гастрита являются аутоиммунные механизмы и инфицирование Helicobacter pylori.

Специалистами гастроэнтерологами выделяются следующие формы атрофического гастрита:
- субатрофическая или начальная. Характеризуется бессимптомным течением, иногда довольно длительным и постепенным нарастанием атрофии слизистой;
- антральный атрофический гастрит. Патологический процесс располагается между желудком и двенадцатиперстной кишкой и при отсутствии лечения может переходить на другие области;
- мультифокальный, при котором поражаются абсолютно все отделы желудка — дно (свод), тело, пилорическая (привратниковая) и кардиальная (начальная) часть.
У некоторых людей встречается очаговый атрофический гастрит. Что это такое? Он представляет собой очаг атрофических изменений в любом из отделов желудка, в котором происходит истончение слизистой оболочки с резким сокращением числа функционирующих желёз.
Желудок является одним из важных элементов желудочного конвейера, нарушение его функции приводит к сбою в работе и других пищеварительных органов.
Начинают страдать печень, поджелудочная железа, тонкий и толстый кишечник, увеличивается содержание в последних патогенной микрофлоры. В некоторых случаях атрофия желёз желудка может быть скомпенсирована за счёт увеличения их объёма или высоты складок, гипертрофии других отделов слизистой оболочки.
Как проявляется атрофический гастрит?
При данной патологии значительно ухудшается функциональная активность желудка. Все проявления заболевания укладываются в следующие синдромы:

- диспепсический. Характерно чувство переполненности и тяжести в эпигастральной области, ухудшение аппетита, тошнота, отрыжка тухлой пищей или воздухом, неприятный привкус во рту и плохой запах (какосмия), слюнотечение;
- избыточного бактериального роста. Иногда преобладает в клинической картине и проявляется вздутием, урчанием живота, неустойчивостью стула (запоры могут чередоваться с поносом), непереносимостью молочных продуктов. Связан он с тем, что соляная кислота при данной болезни не способна инактивировать некоторые виды бактерий;
- болевой. Формируется из-за растяжения стенок желудка ввиду нарушения его эвакуаторной функции. Боли носят ноющий, тупой характер, усиливаются после приёма пищи, особенно обильных порций;
- анемический. Связан с плохим всасыванием витамина В12 (из-за дефицита фактора Касла — специфического вещества-гастромукопротеина, вырабатываемого в желудке, ответственного за его метаболизм) и железа, так как благодаря воздействию соляной кислоты образуется его двухвалентная форма. Кроме того, вследствие нарушения кишечной микрофлоры нарушается всасывание фолиевой кислоты, что также способствует развитию анемии;
- дистрофический. Обусловлен полигиповитаминозом — снижением количества многих витаминов (D, А, Р, С), белковой недостаточностью (именно в желудке происходит их переработка под действием фермента — пепсина).
При появлении симптомов гастрита можно обратиться к врачам терапевтам, гастроэнтерологам.

Для выявления атрофического гастрита могут использоваться следующие инструментальные исследование и лабораторные анализы:
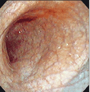
- фиброгастроскопия. Является основным методом диагностики. Позволяет выявить истончение слизистой оболочки, изменение её цвета до бледно-серого, уменьшение размера складок, увеличение выраженности сосудистого рисунка, участки кишечной метаплазии различной степени — перерождение желудочного эпителия;
- pH-метрия — помогает определить уровень секреторной активности клеток желудка. Является необходимым исследованием, так как от её результатов будет зависеть лечебная тактика, дальнейший прогноз. Атрофический гастрит обычно протекает на фоне пониженной кислотности с уровнем pH от трёх до шести;
- гистологическое исследование биоптата, взятого при фиброгастроскопии. Является ключевым и самым достоверным методом диагностики атрофических изменений. Атрофия выражается в уменьшении глубины желёз желудка, их разреженностью, заметном снижении толщины слизистого эпителия;
- ультразвуковое исследование. Необходимо для диагностики сопутствующей патологии печени, желчного пузыря и поджелудочной железы;
- определение в крови уровня пепсиногена I и II, гастрина-17. Используются в качестве маркёров атрофических изменений антрального и фундального отделов, а также рака желудка;
- выявление антител к внутреннему фактору Касла и париетальным клеткам. Проводится при подозрении на аутоиммунный механизм атрофического гастрита. Но, стоит отметить, что метод обладает низкой специфичностью, и антитела в ряде случаев присутствуют и при других заболеваниях, например, при инсулинзависимом диабете;
- определение в сыворотке крови уровня гастрина. Его уровень повышается при аутоиммунном атрофическом гастрите;
- анализ кала. Является самым дешёвым и простым, но не маловажным методом диагностики. Помогает выявить некоторые косвенные признаки заболевания желудка: большое количество неизменённых мышечных волокон, внутриклеточного крахмала и перевариваемой клетчатки, соединительной ткани.
При любом типе гастрита необходима диагностика Helicobacter pylori.

На сегодняшний день лечение атрофического гастрита имеет множество «белых пятен» и не гарантирует полного успеха. Оно включает в себя:
- терапию, направленную на эрадикацию (уничтожение) хеликобактера. Сводится к назначению ингибиторов протонной помпы (Пантопразола, Омепразола, Лансопразола) при значениях pH не ниже 6 и антибактериальных средств (Кларитромицина, Амоксициллина, Джозамицина, Метронидазола, Левофлоксацина).
Эрадикационная терапия в настоящее время рассматривается как один из методов профилактики развития рака желудка;
- назначение кортикостероидов (Преднизолона, Метилпреднизолона) при сочетании атрофического гастрита с В12-дефицитной (пернициозной) анемией. В остальных случаях их побочные эффекты будут превалировать над пользой. На данном этапе развития медицины аутоиммунные механизмы полностью устранить не представляется возможным;
- заместительное лечение натуральным желудочным соком, таблетками ацедин-пепсина, препаратами желудочных ферментов (Абомином);
- стимулирующую терапию минеральными водами (Ессентуки 4, 17, Миргородская, Нарзан); отваром шиповника; капустным, лимонным, томатными соками, разведёнными кипячёной водой; лимонтаром (янтарной и лимонной кислотами); лекарственными сборами из полыни, зверобоя, чабреца). Также довольно часто используют плантаглюцид, состоящий из гранул листьев подорожника;
- назначение средств, влияющих на регенерацию (восстановление) слизистой оболочки желудка и трофику тканей (Солкосерил, Вентер); моторику желудка в случае ослабления его перистальтики и тонуса, снижения гастродуоденального рефлюкса и активности нижнего пищеводного сфинктера (Домперидон, Церукал, Цизаприд);
- обволакивающие и вяжущие препараты, обладающие противовоспалительным эффектом (Де-нол и др.).
- В период ремиссии лечение атрофического гастрита желудка складывается из длительного применения стимулирующей и заместительной терапии.
- Каждый пациент, страдающий атрофическим гастритом, должен придерживаться следующих принципов питания:
- еда должна быть мягкой или полужидкой, пюреобразной (в таком виде она лучше усваивается);
- между основными тремя приёма пищи нужно ввести два перекуса (для стимуляции выработки соляной кислоты);
- пища не должна быть сильно холодной или чересчур горячей (во избежание дополнительного травмирования слизистой оболочки желудка);
- перерыв между приёмами пищи не должен превышать 4 часа;
- размер порции должен быть около 200 грамм;
- обязательно отказаться от курения и алкоголя (даже незначительные порции алкогольной продукции могут свести на «нет» всё проводимое лечение);
- отказаться от слишком жирной и пряной пищи.
Диета при атрофическом гастрите должна сохраняться пожизненно.

Продукты, разрешённые к применению:
- нежирные сорта рыбы (хек, треска) и мяса (курица, кролик, нутрия);
- яйца;
- рисовая, овсяная, гречневая каши;
- минеральные воды;
- ягодные и фруктовые кисели, компоты, некрепкий чай;
- молочнокислая продукция (творог, кефир);
- картофель;
- мёд.
За полчаса до приёма пищи рекомендуется употребление отвара шиповника, зверобоя, полыни или подорожника.

Заключение
При соблюдении врачебных рекомендаций по приёму лекарственной терапии и рациональной диеты пациенты с атрофическим типом гастрита в большинстве случаев проживают долгую жизнь.
Но стоит помнить, что риск развития злокачественных новообразований желудка при наличии патологии увеличивается в 5 раз.
Именно поэтому не стоит забывать минимум один-два раза посещать лечащего врача и проводить фиброгастроскопию.
Оценка статьи
Мы приложили много усилий, чтобы Вы смогли прочитать эту статью, и будем рады Вашему отзыву в виде оценки. Автору будет приятно видеть, что Вам был интересен этот материал. Спасибо!
(20
Атрофический гастрит у женщин — симптомы причины лечение

Атрофический гастрит у женщин является весьма серьезным заболеванием, лечение нужно постоянное и адекватное.
Атрофический гастрит у женщин, общие понятия:
Атрофический гастрит у женщин признают предраковой болезнью. Поэтому изучить азы заболевания не помешает никому. Особенно это нужно тем, кому за 50. Чего только наш желудок в жизни не перенес, теперь расплата.
Название гастрита говорит само за себя. При атрофическом гастрите кроме воспаления серьезно сокращается количество нормально работающих клеток.
Клетки желудка постепенно изменяются, нарушается их строение, затем наступает постепенное отмирание. Резко изменяется функция выработки ферментов, всасывание. Полезные вещества не доходят до организма в том виде, в котором нужно.
Слизистый слой желудка существенно уменьшается. Сокращается выработка желудочного сока, пища плохо перерабатывается, усваивается. Наступает гибель нормальных стенок желудка с замещением на рубцы.
Сказать просто – слизистая желудка износилась, стала тонкая, работу свою почти не выполняет. Все складки желудка выпрямляются, становятся тонкими.
Отчего так изменяется наш желудок? Что этому сопутствует. Точно медицина нам не отвечает, есть только косвенные причины этому.
Атрофический гастрит у женщин, причины:

- Конечно в первую очередь — постоянные воспалительные процессы желудка. Совсем не леченные или плохо. Особенно провокатором гастритов является бактерия Хеликобактер пилори. Это единственный микроб, живущий в кислой среде желудка. Все остальные погибают.
- Заразиться ею можно поцеловав кого – то, не вымыв руки, покушав из одной посуды с больным. Даже спустя несколько лет после заражения вы ничего не почувствуете, но изменения уже идут. На земле более половина таких страдальцев.
- Все болезни желудка и кишечника, особенно рефлюкс – обратное затекание в желудок ферментов из двенадцатиперстной кишки. Желчь разрушает все защитные барьеры слизистой желудка – возникает воспаление. Имеют значение и панкреатит, холецистит, энтороколит.
- Возраст и все неизбежные изменения организма, связанные с этим, усугубляют течение болезни.
- Аутоиммунные процессы в организме.
- Хронические болячки во рту и глотке (кариес, фарингиты, ларингит, ангина).
- Аллергические реакции на продукты с наплевательским отношением хозяина желудка к этому.
- Отравления некачественной пищей.
- Постоянные стрессы, переживания, расстройства.
- Раздражение слизистой желудка лекарствами, препаратами железа, нестероидными противовоспалительными веществами в лекарствах, спиртное, наркотики, никотин.
Симптомы атрофического гастрита у женщин:

- После еды чувство переполнения желудка, хотя кажется, что съели мало.
- Боли тянущего характера под ложечкой.
- Постоянная отрыжка, нехороший запах изо рта, изжога.
- Постепенно аппетит снижается.
- По причине неправильного усвоения железа, а также витамина В12. По этой причине развивается анемия. Это известное нам малокровие. Появляется слабость.
- Ломаются волосы.
- Сухая совсем кожа.
Атрофический гастрит подразделяется на:
- Поверхностный.
- Очаговый.
- С пониженной кислотностью желудка.
- И повышенной кислотностью.
Повышенная кислотность в желудке при атрофическом гастрите у женщин:
Если у вас выявят повышенную кислотность, вас скорее всего будут беспокоить:
- Перед едой тошнота, совсем не редко рвота.
- Живот вздувается.
- Появляется отрыжка кислым.
- Стойкая изжога.
- Аппетите может повышаться или совсем пропадать.
- Постоянно досаждающие боли под ложечкой.
Пониженная кислотность желудка при атрофическом гастрите у женщин:
Если кислотность понижена у вас будут проявления:
- Тяжести в животе.
- Отрыжка тухлым.
- Тошнота и подташнивание, иногда дело доходит до рвоты.
- Непереносимость лактозы (находится в молоке).
- Ухудшается работа кишечника.
- Нарушение обмена (волосы и ногти становятся ломкими, кожа сухая, похудение, головокружение).
- Пропадает аппетит.
- Боли под ложечкой.
Диагностика атрофического гастрита у женщин:
Обязательное посещение врача гастроэнтеролога. Обычно назначают:
- Гастроскопию.
- Процедура для определения наличия Хеликобактер у больного (определяется на гастроскопии).
- Рентгенологическое исследование желудка.
- Обязательное взятие биопсии слизистой его.
- Определяют исследование желудочной секреции.
Атрофический гастрит лечение у женщин:
Атрофический гастрит нужно лечить обязательно – эта болезнь предвестник рака желудка, особенно с пониженной кислотностью. Цифры статистики говорят о 15% перехода атрофического гастрита в рак.
Назначаются на основе анализов после приема у врача:
Правильная диета и образ жизни (сон, работа, стрессы, спорт):

В первые дни после обострения, боли лучше вообще не есть, лучше пить.
Затем диету расширяют с назначением всего щадящего:
- Протертое питание.
- Нежирное.
- Только теплое.
- Пресное (без добавления приправ, соли).
- Не жарить.
- Запрещено копченое, консервированное.
- Отваривать и готовить на пару.
- Запекать.
При повышении кислотности желудка запрещено:

- Редька, репа.
- Редис.
- Хлеб отрубной.
- Цитрусовые.
- Кофе, крепкий чай.
- Газированную воду.
- Жареное, острое.
- Шоколад, пирожное, булки есть нельзя.
Обязательное лечение:

Препараты для обволакивания желудка (препараты висмута):
- Распространен препарат Де – нол: (назначают до четырех раз в сутки). Очень хорошо сочетается с другими препаратами для лечения.
Антибиотики для уничтожения Хеликобактер:
- Такое лечение обязательно при обнаружении бактерии.
- Перечислять препараты не буду, это очень серьезное лечение, его пить самостоятельно назначенным нельзя.
Ингибиторы протонной помпы:
Для уменьшения кислотности желудка:
- Омез.
- Омепразол.
- Эзомепразол.
- Пантопразол.
- Ранитидин.
- Рабепразол.
Препараты по мере необходимости:
- Нужны препараты для улучшения секреторной функции желудка.
Витаминотерапия:
- Витамин В 12.
- При анемии препараты железа.
- Фолиевая кислота (витамин В 9).
Метаболическая терапия (обмен):
Для улучшения моторной функции желудка (прокинетики):
- Церукал: (хорошо снимает тошноту).
- Метоклопрамид.
- Генатон: (стимулирует движение пищевода и желудка. Не дает забрасывать содержимого двенадцатиперстной кишки в желудок. Повышает тонус желчного пузыря.
- Итомед.
- Мотилиум: (успокаивает икоту, убирает тошноту, обладает противорвотным действием).
- Мотилак.
- Пассажикс.
- Домперидон.
- Лекарственные вещества для регенерации (восстановления слизистой желудка).
- Для улучшения микроциркуляции в нем.
- Для нормализации белкового обмена.
Обязательно ферментативные препараты (если их не хватает):
- Фреон.
- Панкреатин
- Мезим – форте.
- Креон.
Заместительная терапия (если нет противопоказаний):
- Препараты для выработки соляной кислоты.
- Например, пепсидил.
- Препараты для снятия спазмов.
По возможности рекомендуют посетить санатории для укрепления организма. Хороши для этой цели курорты Ставрополя, Железноводск, Кисловодск или Пятигорск.
Фитопрепараты для лечения атрофического гастрита у женщин :
Сборы с мятой, мелиссой при повышенной кислотности:
- Трава шалфея – одна часть.
- Мята – одна часть.
- Горькая полынь – одна часть.
- Трава тысячелистника – одна часть.
- Ромашка аптечная цветки – одна часть.
Настой готовится традиционно: на стакан кипятка одна столовая ложка сбора. Настаиваем примерно полчаса, пьем до еды в горячем виде.
Обволакивающие травы, уменьшающие изжогу:
- Семена льна.
- Алтей.
- Подорожник большой (при пониженной кислотности).
- Дягиль лекарственный.
- Аир.
Для снижения иммунной агрессии:
- Девясил высокий.
- Дурнушник обыкновенный.
- Чага.
- Борец ядовитый (осторожно).
- Чистотел
- Княжник.
Противовоспалительные травы:
- Василек синий.
- Шалфей.
- Кипрей.
- Кора дуба.
- Калган.
Иммуномодулирующие травы:
- Родиола розовая.
- Астрагал.
- Ряска.
- Молочай Палласа.
- Ферула джунгарская.
Антибактериальные травы:
- Зверобой продырявленный.
- Шалфей.
- Багульник болотный.
- Чабрец.
- Аир болотный.
- Календула.
Травы спазмолитического действия:
- Аптечная ромашка.
- Сушеница топяная.
- Лапчатка гусиная.
- Мята полевая.
- Пижма обыкновенная.
- Зверобой.
- Тмин, укроп, фенхель, анис.
Для повышения кислотности желудка:
- Подорожник.
- Полынь горькая.
- Вахта трехлистная.
- Золототысячник.
- Алоэ.
Ранозаживляющие травы:
- Облепиховое масло.
- Алоэ.
- Каланхое.
- Манжетка.
- Крапива двудомная.
- Пастушья сумка.
- Тысячелистник.
- Свежевыжатый картофельный сок.
Восстановление слизистой:
- Корень родиолы розовой.
- Аралия манчжурская.
- Маралий корень.
- Женьшень.
Седативные (успокаивающие травы):
- Кипрей.
- Мята перечная.
- Боярышник кроваво – красный.
- Валериана.
- Пустырник.
- Багульник болотный.
- Синюха голубая.
- Душица.
- Мелисса лекарственная.
Атрофический гастрит симптомы и лечение у женщин:
Если проблемы у вас только начинаются хорошим подспорьем поддержания здоровья будут:
Дыхание животом:
Не думайте, что только таблетки могут помочь избавиться от гастрита. Нижеприведенное дыхание напрочь отобьет у вашего организма не только развивать гастрит, но и все кишечные болячки вас покинут. Пройдет вздутие и тяжесть в животе. По утрам слово запор забудете навсегда.
Упражнение совсем простое:
- Утром, когда проснетесь, не соскакивайте с кровати.
- Лягте на спину.
- Вдыхая носом надуйте живот, как шар.
- Откройте рот и выдыхайте до той степени, чтобы живот достал позвоночник (или как сможете).
- Начинайте с трех, пяти раз и не спеша доводите через два месяца до 30 раз.
- Вечером повторить, желудок должен быть пустым.
- Через месяц вспомните меня добрым словом.
- Сама на себе испробовала.
Бесподобно помогает, ручаюсь.
Когда будете тренированы, в конце выдоха можно дыхание задержать и втягивать живот внутрь сколько сможете. По мере очищения живота от всякой гадости, вы будете наблюдать, как в животе ничего не остается утром. Он пустой.
Профилактика атрофического гастрита у женщин:
Запомните общие правила:
- Никогда не курите, отравляется каждая клеточка, поэтому не удивляйтесь никакой болячке в своем теле.
- Не реагируйте бурно на стрессы. Тяжело, но учиться нужно. Его последствия для организма просто губительны.
- Выпивайте на ночь обволакивающие желудок лекарства:
Они защитят слизистую от влияния кислоты. Чтобы лекарство лучше распределилось в желудке, поворочайтесь на кровати.
Лягте на спину, перевернитесь на левый и правый бок, полежите на животе.
- Утром натощак употребляйте по столовой ложке оливкового масла.
- Если гастрит дает о себе знать, не забывайте о лечении препаратами.
- В перерывах можно заниматься фитотерапией.
Атрофический гастрит у женщин очень опасен, особенно в возрасте. Поддерживайте себя, оздоравливайтесь и не болейте.
В статье много рецептов и советов. В голове еще больше, написать в одной статье невозможно.
- Надеюсь, что помогла Вам.
- Приходите ко мне почаще в гости.
- Я всегда Вам рада.
- С уважением, Татьяна Николаевна, автор.
- Посмотрите видео, диагностика и лечение атрофического гастрита:
-
Умеренный атрофический гастрит – симптомы и лечение
Воспаление слизистой оболочки желудка, которое провоцирует чрезмерное уменьшение внутреннего слоя, выстилающего полость органа, называется атрофическим гастритом.
Развитие такого рода заболевания провоцирует неправильное питание, злоупотребление острыми, солеными продуктами, постоянный стресс в организме и нарушения в работе иммунитета человека, что в свою очередь запускает ряд аутоиммунных процессов против собственного организма.
Происходит нарушение в работе иммуноглобулина IgA, который синтезируется клетками слизистой оболочки полости желудка. Процесс разрушает работу желез внутренней секреции, отвечающих за выработку желудочного секрета, и, как следствие — атрофические изменения в слизистой полости желудка.
Симптомы умеренного атрофического гастрита и особенности диагностики
Умеренной форме свойственны как стандартные диспепсические симптомы гастрита, так и некоторые другие явления:
- Тошнота.
- Отрыжки.
- Болезненные ощущения ноющего характера в области желудка, с тенденцией к усилению после приема пищи.
- Анемия.
- Появление на языке налета белого цвета.
- Перманентное отсутствие аппетита.
- Общее ослабление организма.
- Диарея.
- Вздутие живота.
- Периодические запоры.
- Повышенная утомляемость.
- Снижение массы тела.
- Приступы рвоты, не приносящие чувства облегчения.
- Тяжесть в животе.
- Изжога.
- Метеоризм.
- Нехватка витамина B12.
- Появление неприятного привкуса во рту.
- Периодически возникающее чувство жжения в районе живота.
- Нарушения стула.
- Бессонница.
- Урчание в животе.
- Непереносимость молочных продуктов.
- Снижение иммунитета.
- Кровоточивость десен.
- Наличие расстройств диспепсического характера.
- Повышенная бледность кожных покровов и слизистых оболочек.
- Головокружение.
- Выпадение волос.
Умеренный атрофический гастрит — это медленное развитие деструкций и легкая степень воспаления. Деформация клеток частична, не имеет патологического характера, протекает слабо выражено, в чем и состоит опасность.
Часто возникает вопрос: чем опасен атрофический гастрит? Это заболевание тяжелое и опасное, поскольку атрофия слизистой желудочной оболочки оказывает отрицательное воздействие на весь организм, вызывая нарушения в функционировании практически всех его систем и органов. Больной страдает от чувства перманентной усталости, слабости и общей астении. Кроме того, при отсутствии должного лечения, атрофический гастрит неизменно приводит к развитию ряда достаточно серьезных осложнений:
- Язва желудка.
- Панкреатит.
- Развитие внутренних кровотечений желудочно-кишечного тракта.
- Бульбит.
- Тяжелые формы анемии.
- Развитие онкологического заболевания.
Атрофический гастрит, особенно в умеренной форме, достаточно сложно поддается диагностике, поскольку схож по своей симптоматике с различными другими заболеваниями. При подозрении на этот недуг пациенту назначается сразу несколько видов исследований:
- гистология;
- ФЭГДС;
- рентген;
- анализы крови;
- оценка работы желудка (исследуется желудочный сок на количество и наличие содержания pH);
- иногда биопсия пораженных участков.
- ультразвуковое исследование.
Данные методики помогают выявить наличие процесса атрофического поражения тканей и позволяют не только поставить точный диагноз, но и точно определить стадию и степень тяжести. Точная и своевременная диагностика атрофического гастрита любой формы является залогом успешного лечения этой патологии!
Лечение умеренного атрофического гастрита
Грамотно подобранная терапия, соблюдение рекомендаций врача способны в значительной степени замедлить течение патологического процесса и снизить его проявления. Лечить умеренный атрофический гастрит необходимо комплексно и систематически, направляя основные усилия на устранение болезненной симптоматики.
Медикаментозное лечение, заключающееся в приеме антибиотиков и препаратов, включающих в свой состав компоненты желудочного сока и активных веществ, выделяемых в норме поджелудочной железой. Наиболее к распространенным из представленной группы лекарствам относятся: Панкреатин, Пепсидил, Мезим.
Болезненные ощущения, сопутствующие атрофическому гастриту устраняются при помощи спазмальгетиков (Но-шпа, Папаверин и т. д.) или же препаратов холинолитического характера, таких, как Гастропецин или Метацин. При необходимости в дополнительной стимуляции желудочных мышц назначаются лекарственные средства, направленные на улучшение перистальтики (Церукал, Мотилиум и др.).
Выбор препарата, определение дозировки и продолжительности приема должен осуществляться исключительно врачом. При этом учитывается форма и степень тяжести заболевание, общее состояние здоровья и индивидуальные особенности пациента, наличие у него осложнений и сопутствующих заболеваний.
Витаминотерапия, заключающаяся в приеме поливитаминных комплексов и препаратов железа необходима для восполнения дефицита питательных веществ, сопровождаемого рассматриваемое заболевание.
Рекомендуют санитарно-курортное лечение, применение электрофореза, магнитотерапии и электролечения, заключающееся в применение обезболивающих и противовоспалительных эффектов электрического тока, способствующего выработке желудочного сока.
Лечение народными средствами должно обязательно выполняться под контролем врача. Многие травы и продукты питания могут оказать благотворное влияние на внутреннюю оболочку желудка, заставить ее вырабатывать больше нужного фермента, унять воспаление и боль.
При лечении атрофического гастрита народными средствами важно строго соблюдать диету, следить за течением болезни и регулировать список лечебных средств вместе с врачом.
Какие народные рецепты можно применять?
- Черника. Восстанавливает бактериальный баланс, успокаивает диарею и боли в кишечнике. Нужно перетереть чернику с сахаром и принимать по 1 ч. л. каждое утро натощак: варенье для этого не подходит, только свежие ягоды.
- Бананы против воспаления. Можно есть каждый день по несколько плодов.
- Лопух, подорожник, чабрец, зверобой. Измельчить травы, залить кипятком (1ст.л. трав на стакан), поместить в термос и настаивать ночь. Утром процедить и выпить в течение дня.
- Шиповник. Залить 2ст.л. плодов стаканом кипятка, кипятить 20 минут, процедить, выпить за день, в 3 приема.
- Картофельный сок — этот напиток может являться ежедневным вспомогательным средством для желудка. Принимать по 0,2 сока за 30–60 минут до еды.
- Овощные соки: капуста + свекла, капуста + картошка + морковь. Пить до еды.
Лечебное питание и диеты обязательно должны учитывать форму заболевания — повышенную или пониженную кислотность.
В общем случае должны соблюдаться следующие правила питания и приготовления пищи:
- Отказ от любых острых пряностей, продуктов домашнего консервирования (кроме компотов).
- Отказ от алкоголя и крепких напитков (кофе, крепкий чай).
- Полезные напитки: травяные чаи, шиповник, свежевыжатые соки, лечебная минеральная вода.
- Еда не должна быть слишком холодной (мороженое запрещено) или горячей.
- Нельзя жарить с маслом, на гриле или мангале. Допустимый вид обработки — варка, на пару, тушение, редко — запекание (без масла, в фольге).
- Легкая выпечка, хлебобулочные изделия, яйца, молочные продукты разрешены в разумных количествах (если форма болезни не запрещает их).
- Майонез и другие тяжелые соусы запрещены.
- Первые блюда: супы — пюре, овощной бульон. Мясные бульоны должны быть вторичными.
- При пониженной кислотности желудка запрещены продукты, вызывающие брожение: свежая выпечка, молоко, кисломолочные продукты, кислые фрукты.
- Полезны абрикосы курага, каши, запеченные овощи, тыква, вся зелень кроме зеленого лука, отварная рыба, говяжий язык, печень.
Патология опасна тем, что она способна привести к серьезному сбою функционирования всех систем и органов.
Секреторная недостаточность приводит к появлению неприятных симптомов после еды, а также к дефициту полезных веществ в организме.
Особенно опасна нехватка витаминов группы B, влияющих на нервную систему. А недостаток железа в организме может спровоцировать развитие железодефицитной анемии.
Но самое опасное осложнение при отсутствии лечения — перерождение поврежденных клеток в раковые. Если приступить к своевременной терапии, функционирование желудка удастся восстановить, при этом разрушенные клетки смогут вернуться к жизни.
Возможность вылечить атрофический гастрит полностью, зависит обычно от причин, которые спровоцировали его появление. Некоторым пациентам хватает пройти курс лечения, который состоит из 10 дней, чтобы восстановить работу желудка. Однако в отдельных или запущенных случаях людям приходится проводить лечение всю жизнь.
Симптомы атрофического гастрита — причины, диагностика, лечение, диета
Обновление: Ноябрь 2018
- Атрофический гастрит — воспалительный процесс в слизистой оболочке и железах желудка, при котором существенно сокращается количество нормально функционирующих клеток.
- Атрофия слизистой оболочки и желез характеризуется тем, что клетки желудка изменяются, постепенно нарушается их строение, затем происходит их отмирание и свои функции по секреции слизи, ферментов, а также всасыванию полезных веществ они не выполняют.
- При хроническом атрофическом гастрите симптомы заболевания обусловлены существенным сокращением слизистого слоя желудка, уменьшением выработки желудочного сока и плохим усвоением продуктов питания.
Причины заболевания

- Аутоиммунные процессы — выработка антител к собственным обкладочным клетками желудка, которые вырабатывают соляную кислоту (при этом клетки отмирают и выработка соляной кислоты снижается). Также могут образовываться антитела к гастромукопротеину, результатом чего является нарушение связывания витамина В12 и гастромукопротеина. Еще один вид антител способен поражать белки, связывающие гастрин. В результате отмирают рецепторы к гастрину, снижается продукция соляной кислоты.
- Хеликобактериоз — усиленное размножение бактерий Helicobacter pylori в желудке оказывает разрушительное действие на слизистую желудка. Однако, этот вид бактерий спокойно существует в здоровом желудке, не порождая заболевание, но при ряде провоцирующих факторов, таких как раздражающие вещества, общее снижение иммунитета, неправильное питание и пр. вызывает воспалительный процесс.
- Сопутствующие заболевания желудочно – кишечного тракта, такие как панкреатит, холецистит, энтероколит и пр.
- Злоупотребление спиртными напитками порождает развитие алкогольного и атрофического гастрита.
- Лекарственные средства — безконтрольное применение различных лекарственных средств, влияющих на слизистую желудка.
- Хронические интоксикации, тяжелые инфекционные заболевания.
- Наследственный фактор.
Этот вид гастрита считается самым опасным состоянием, предраковым, у населения старше 50 лет этот вид гастрита регистрируется в 60% случаях.
Симптомы этого заболевания зависят от выраженности атрофического процесса. По интенсивности этот гастрит разделяют на ярко выраженный, умеренно выраженный и атрофически-гиперпластический. Начинается отмирание тканей в дне и теле желудка, в тех отделах, где располагаются париетальные клетки.
Когда процесс разрушения клеток становится интенсивным, происходит резкое снижению выработки пепсиногена, соляной кислоты и гастромукопротеина — основных ферментов, необходимых для здорового нормального пищеварения.
Недостаток гастромукопротеина значительно сказывается на развитии у больного В12-дефицитной анемии, поскольку он отвечает за всасывание витамина В12.
К симптомам атрофического гастрита относят:
- Ощущение переполненности, тяжести в желудке после еды
- Только изредка наблюдается тупая боль в желудке
- Частый симптом — отрыжка воздухом, а при выраженном процессе появляется тухлый привкус, горечь во рту, сухость во рту.
- Снижение аппетита приводит к снижению веса, со временем при прогрессировании процесса это приводит к истощению
- Неустойчивый стул — понос сменяется запором
- Быстрая насыщаемость
- Клиника В12 дефицитной анемии и железодефицитной анемии: слабость, вялость, головокружение, сонливость, быстрая утомляемость, бледность кожных покровов. Ломкость волос и ногтей, колющие боли в груди, одышка в нагрузке.
- После еды, особенно богатой углеводами, наступает слабость, головокружение, потливость
- Язык у больного становится атрофичным — «полированный язык»
- При рецидивах заболевания язык становится обложенным густым белым налетом
- При длительном течении болезни у пациентов развивается сухость кожи, бледность кожных покровов по причине развития анемии
- Дефицит витамина А может сказаться на остроте зрения
- Дефицит витамина С приводит к кровоточивости десен, ломкости ногтей, выпадению и ломкости волос
При прогрессирующем гиповитаминозе у пациентов могут возникать заеды в уголках губ, гнойничковые поражения кожи, сниженный иммунитет отражается на восприимчивости к различным вирусным, инфекционным и грибковым заболеваниям.
Виды хронического атрофического гастрита
В медицине существует несколько терминов, характеризующих процесс атрофии слизистой оболочки желудка. Под понятием атрофический гастрит подразумевается, что это хроническое заболевание, которое длится годами, с периодами ремиссии и обострений.
- Субатрофический — гастрит, при котором процесс атрофии слизистой находится в начальной стадии, этот термин несколько устарел и его в клинической практике сейчас практически не используют, это просто атрофический гастрит.
- Очаговый — гастрит, при котором только некоторые участки (очаги) подвержены атрофическим изменениям, при этом на участке снижается количество желез и заменяются простым эпителием.
- Аутоиммунный — гастрит, обусловлен чаще всего генетической расположенностью, и вызвается аутоиммунными заболеваниями, такими как Болезни Аддисона, нарушениями в функционировании щитовидной железы, при В12 дефицитной анемии.
- Мультифокальный атрофический гастрит с очагами гиперплазии – гастрит, при котором отмирают не отдельные очаги и участки желудка. а большая часть желез фундального отдела и истощается его слизистая. При этом в антарльном отделе более характерны процессы гиперплазии. Здесь развивается гиперпластический гастрит, который называют и полипозным, и бородавчатым, гипертрофическим, лимфоцитарным, гранулематозным. Но более характерны метапластические изменения эпителия по кишечному типу, то есть предраковые изменения.
Все варианты хронического атрофического гастрита вызывают онкологическую напряженность, поскольку при прогрессировании процесса увеличивается риск появления кист, полипов, изъязвлений слизистой, что провоцирует рост онкологических клеток.
Диагностика и лечение заболевания
Диагноз атрофического гастрита может быть установлен на основании следующих диагностических мероприятий:
- Рентгеноскопия желудка
- Фиброгастродуоденоскопия
- Гистологическое исследование
- Иммунологическое обследование крови
Лечение атрофического гастрита назначается гастроэнтерологом с учетом стадии течения разрушительного процесса, состояния секреторной функции, общего состояния пациента и с учетом сопутствующих заболеваний:
- Диета — при таком виде гастрита показано диетическое питание. Правильное питание должно быть направлено на сокращение термического, механического и химического травмирования слизистой оболочки желудка:
- Пищу готовить на пару, измельчать, исключить грубые волокна
- Исключить холодные и горячие блюда и напитки
- Исключить все острые, кислые, острые, соленые, жареные, копченые, блюда, специи, консервы
- Исключить спиртные, газированные напитки, кофе, употреблять только желе, кисель, слабый чай, мусс, минеральную воду, какао
- Исключить кондитерские изделия — шоколад, конфеты, пирожные
- Желательно употреблять отварное мясо, рыбу, супы, каши, отварные овощи и фрукты, некислые молочные продукты.
- Снятие болей. При сильных болях возможно применение холинолитических препаратов — Метацин, Платифиллин, Гастроцепин, и спазмолитических средств — Но- шпа, Галидор, Бускопан, Папаверин.
- Стимуляция мышц желудка. Лекарственные средства, такие как Церукал, Мотилиум возможно назначать для улучшения двигательной функции желудка.
- Заместительная терапия. При серьезном нарушении секреции соляной кислоты и пепсиногена, возможно использование натурального желудочного сока — Абомин, Пепсидил, Ацидин-пепсин. А также препараты ферментов поджелудочной железы — Мезим, Панкурмен, Креон, Панкреатин.
- Витамины. Врач назначает фолиевую кислоту, витамин В12, и прочие витаминные комплексы и препараты железа при анемии.
- Санатории. Больным атрофическим гастритом рекомендуется санаторно-курортное лечение, особенно курорты Ставропольского Края — Кисловодск, Железноводск, Пятигорск.
Последствия и осложнения атрофического гастрита
Известный факт, что атрофический гастрит имеет высокий риск трансформации в рак желудка.
Особенно онкологическую напряженность вызывает атрофический гастрит с пониженной кислотностью, по статистике вероятность возникновения рака при этом заболевании приближается к 15%.
По понятным причинам при атрофии слизистой оболочки создаются благоприятные условия для негативного влияния канцерогенов и значительно уменьшается противоопухолевая защита желудка. Этот риск увеличивается в пять раз по сравнению с неатрофическим гастритом.
Как избежать рака желудка при атрофическом гастрите? Ответ на этот вопрос весьма сложен — важно как можно раньше узнать о начинающемся онкологическом процессе, чтобы успеть провести оптимальное лечение на ранней стадии. При наблюдении за пациентами с хроническим гастритом имеет важнейшее значение заметить начало прогрессирования атрофии, и более целесообразно проводить это не инвазивным, а простым информативным способом.
Селезнева Валентина Анатольевна врач-терапевт
Атрофический гастрит у женщин: причины, признаки, симптомы и лечение — медикаментозное, народными средствами, диета
Атрофический гастрит – это серьезное заболевание, характеризующееся атрофическими изменениями стенок желудка или более глубоких тканей. Лечение длительное, направленное на снятие воспаления и предотвращение дальнейшего разрушения слизистых.
Основная причина патологии – инфицирование патогенными бактериями или аутоиммунные заболевания. Является предраковым состоянием.
Что это такое, чем отличается от других форм
Атрофический гастрит – это хроническая патология, характеризующаяся истончением слизистой оболочки желудка и выраженной секреторной недостаточностью.
Существует немало причин, которые могут привести к атрофии слизистых, но чаще это возникает из-за инфицирования Helicobacter pylori. В очень редких случаях атрофический гастрит — это следствие аутоиммунного заболевания.
При инфицировании Helicobacter pylori возникает поверхностный гастрит. Если его не лечить, может появиться атрофия стенок желудка.
Бактерии оказывают негативное влияние на слизистые и более глубокие ткани. В результате количество желез, которые участвуют в выработке ферментов, уменьшается, появляется секреторная недостаточность.
При аутоиммунном хроническом атрофическом гастрите происходит выработка антител, которые повреждают железы, отвечающие за выработку секреции.
Заболевание чаще всего наследственного характера или развивается на фоне другие аутоиммунных нарушений. Восстановить полностью поврежденные ткани при нем невозможно. Лечение направлено на предотвращение дальнейшего процесса разрушения.
Атрофические изменения могут поражать все отделы желудка или одну часть. Симптоматика зависит от степени поражения, места локализации атрофии.
Причины возникновения у взрослых
Развивается на фоне инфицирования хеликобактерной инфекцией или аутоиммунного процесса, провоцирующего повреждение клеток органа пищеварения.
Заражение Helicobacter pylori возможно еще в раннем возрасте. Эта бактерия погибает на воздухе, а передается через слизь и слюну.
Наиболее подвержены инфицированию люди, тесно проживающие друг с другом, пользующиеся одной посудой. Несоблюдение правил гигиены увеличивает риск заражения.
Helicobacter pylori может быть передана даже через поцелуй или от матери к ребенку, например, во время кормления грудью.
Другая причина – это аутоиммунный сбой в организме. При нем иммунитет начинает вырабатывать антитела, которые воспринимают клетки желудка, как чужеродные.
Другие причины:
- Постоянные стрессы.
- Употребление алкоголя.
- Наличие серьезных заболеваний.
- Некоторые медикаменты.
- Регулярное неправильное питание.
- Хронические интоксикации.
Атрофический гастрит — хроническое заболевание, развивается в течение длительного времени.
Симптомы и признаки
На первоначальном этапе развития заболевание может никак не проявлять себя. Большинство пациентов не ощущали выраженного болевого синдрома, который характерен для других типов гастрита.
Болезненность не характерна для этого заболевания, но заподозрить нарушение можно по другим симптомам:
- Чувство тяжести после еды. Независимо от объема пищи в желудке постоянный дискомфорт. Наблюдаются ухудшение аппетита, неприятный привкус во рту.
- Вздутие живота. Женщину мучает отрыжка воздухом, чувство переполнения желудка, повышенное слюноотделение.
- Диареи. Они могут чередоваться с запорами. При частых диареях могут развиться анемия, анорексия. Больные часто теряют в весе. Женщины испытывают дефицит витаминов и минералов.
- Болезненность. Боли ноющего характера, связаны с растяжением желудка.
- Белый налет на языке.
- Быстрая насыщаемость. Человеку достаточно маленьких объемов пищи, чтобы насытиться.
Развивается депрессия, повышается раздражительность. Могут наблюдаться гормональные сбои, потеря либидо.
На внешности заболевание тоже отражается:
- Кожные покровы приобретают белый цвет.
- Начинают слоиться, ломаться ногти.
- Иногда выпадают волосы.
- Гнойничковые поражения кожи.
- Сухость кожи.
- Ухудшение зрения.
- Возникают проблемы с зубами и кровоточивость десен.
Особенно ярко выражен атрофический гастрит, который вызван аутоиммунными процессами. При нем человек испытывает дискомфорт после еды. Некоторые сознательно отказываются от пищи, боясь неприятных симптомов, которые она спровоцирует.
Патология часто становится причиной дистрофии, недостатка питательных элементов в организме.
Определить наличие патологии можно с помощью диагностических процедур. Из-за недостатка питательных элементов страдает весь организм, ухудшается иммунитет и работа всего желудочно-кишечного тракта.
К кому обращаться, методы диагностики, что будет в результатах обследования
Лечением занимается гастроэнтеролог. Чтобы поставить точный диагноз, требуется пройти ряд диагностических процедур. Самая важная из них — фиброгастродуоденоскопия. Это исследование позволяет оценить степень поражения и обычно устанавливает причину патологии.
Во время процедуры фиброгастродуоденоскопии проводится биопсия, когда участки слизистых отправляют на гистологическое исследование.
Чем опасно, можно ли вылечить полностью
- Заболевание опасно тем, что может спровоцировать серьезный сбой работы всех органов и систем.
- Секреторная недостаточность — причина не только неприятных симптомов после еды, но и дефицита витаминов и минералов.
- Наиболее опасен дефицит витаминов группы В для нервной системы.
При недостатке железа в организме формируется железодефицитная анемия. Она не менее опасна, чем ее другие виды.
Но самое опасное — при отсутствии лечения поврежденные клетки могут переродиться в раковые. Если вовремя начато лечение, работу желудка можно восстановить, а поврежденные клетки вернутся к жизни.
Можно ли полностью вылечить заболевание, зависит от причин, которые его спровоцировали. Иногда достаточно 10-дневного курса лечения, реже терапию проводят в течение жизни.
Как лечить хроническую болезнь желудка при обострении
- Лечение заключается в устранении причины заболевания и восстановлении слизистых желудка.
- Терапия — прием медицинских препаратов и соблюдение диеты.
- В терапию входят:
- Ферментные препараты, улучшающие процесс прохождения пищи от желудка к кишечнику.
- При сниженной выработке соляной кислоты назначают препараты, включающие натуральный желудочный сок. Высокая кислотность желудка требует приема блокаторов ее выработки.
- Дефицит витаминов и минералов восполняется витаминными комплексами с отдельным приемом фолиевой кислоты и цианокобаламина.
- Антибактериальные препараты для устранения Helicobacter pylori.
- Препараты, восстанавливающие слизистую желудка и снятие воспаления.
- При выраженном болевом синдроме показаны спазмолитики.
Подобрать схему можно, только имея результаты анализов и заключение диагностических процедур.
Традиционная схема медикаментозной терапии
- В первую очередь, важно устранить причину заболевания.
- Если его спровоцировали болезнетворные бактерии, проводится антибактериальная терапия.
- Она включает два антибиотика и препарат, снижающий секрецию желудочного сока.
- Иногда его заменяют препаратами висмута с бактерицидными свойствами.
- Длительность лечения Helicobacter pylori составляет 10 дней.
- Препараты для лечения атрофического гастрита:
- Амоксициллин.
- Метронидазол.
- Омепразол.
Восстановление слизистых проводится препаратами:
- Де-нол.
- Викалин.
- Ротер.
- Алмагель.
Применяют препараты для выработки соляной кислоты и ферментов:
- Натуральный желудочный сок.
- Ацидин–пепсин.
- Панкреатин.
- Мезим.
- Лимонтар.
- Абомин.
При нарушенной моторике назначаются препараты:
- Тримедат.
- Бетамакс.
- Галидор.
В случае аутоиммунной причины гастрита, патологию устранить невозможно. Терапию проводят на протяжении всей жизни.
Применение дополнительных препаратов
В зависимости от того, к каким нарушениям привел гастрит, могут быть назначены дополнительные медикаменты.
Часто наблюдается В12–дефицитная анемия. При ней требуется парентеральное введение В 12.
Недостаток железа восполняют препаратами:
- Сорбифер.
- Феррум Лек.
- Железа глюконат.
Если атрофический гастрит сопровождается другими заболеваниями органов желудочно-кишечного тракта, проводится их лечение медикаментозно.
Допустимы ли народные средства
Вылечить такое серьезное заболевание народными средствами невозможно, но они могут входить в терапию. При лечении атрофического гастрита полезны лекарственные отвары и настои на основе трав:
- Шиповника.
- Подорожника.
- Зверобоя.
- Чабреца.
- Полыни.
Рекомендовано пить капустный, томатный соки, наполовину разведенные кипяченой водой. Минеральную воду употребляют в теплом виде перед едой.
Питание и соблюдение диеты в домашних условиях
- Показана диета №1.
- Принцип этой диеты заключается в том, чтобы пища не смогла оказывать травмирующего воздействия на стенки желудка.
- Желательно, чтобы она имела кашеобразное и протертое состояние в период обострения.
- Есть нужно часто, но небольшими порциями.
- Лучше всего готовить пищу на пару, а от обработки в виде жарки нужно отказаться.
- Калорийность суточного рациона – 2500 ккал.
- Полностью запрещены:
- Холодные и горячие блюда.
- Алкоголь, кофе, газированные напитки.
- Жирные, соленые, копченые блюда.
- Шоколад.
Рацион должен состоять из легкоусвояемых продуктов с богатым витаминным составом. Можно употреблять:
- Супы-пюре.
- Каши, макароны.
- Нежирные сорта мяса, рыбы.
- Отварные овощи, фрукты.
- Яйца.
- Пресные сухари.
- Молочные продукты.
Длительность восстановления
Сколько будет длиться лечение, зависит от наличия осложнений, сопутствующих заболеваний. На начальном этапе восстановить желудок можно за 14 дней, если полностью соблюдать все рекомендации специалиста.
Если же изменения зашли слишком далеко, в течение нескольких месяцев необходимо принимать препараты и придерживаться диеты.
Если причина патологии стенок желудка — аутоиммунный гастрит, терапию проводят в течение жизни. Но это не значит, что годами придется принимать медикаменты.
Возможные последствия, прогноз для жизни
- Заболевание имеет высокий риск трансформации в рак.
- Особенно часто это происходит при сниженной кислотности желудка.
- Во время этого снижается противоопухолевая защита желудка, и любые канцерогены оказывают негативное влияние на него.
- Своевременное лечение поможет избежать опасных последствий.
Прогноз заболевания зависит от его стадии. На начальной стадии оно хорошо поддается лечению.
Если же обратиться к врачу в момент, когда будут поражены большие площади желудка, потребуется слишком длительное лечение, которое не всегда эффективно.
Трудно лечить гастрит у женщин после 50 лет.
Меры профилактики
Чтобы уберечь себя от этого опасного диагноза, необходимо правильно питаться, отказаться от вредных продуктов.
Жирные, копченые и соленые блюда редко содержат питательные элементы, но зато негативно влияют на все системы организма. Это же можно сказать о вредных привычках, которые заставляют платить своим здоровьем за получение кратковременного удовольствия.
Большую роль играют правила гигиены. Овощи и фрукты перед употреблением нужно тщательно мыть, а есть только из чистой посуды.
Еще больше о симптомах и лечении атрофического гастрита, в том числе у женщин, расскажет Елена Малышева:
Любые заболевания проще лечить на начальном уровне, в том числе атрофический гастрит. Патология слишком опасна, чтобы заниматься самолечением.
Важно своевременно посетить врача, пройти все рекомендуемые диагностические процедуры и курс лечения. Это поможет уберечь себя от рака желудка.