
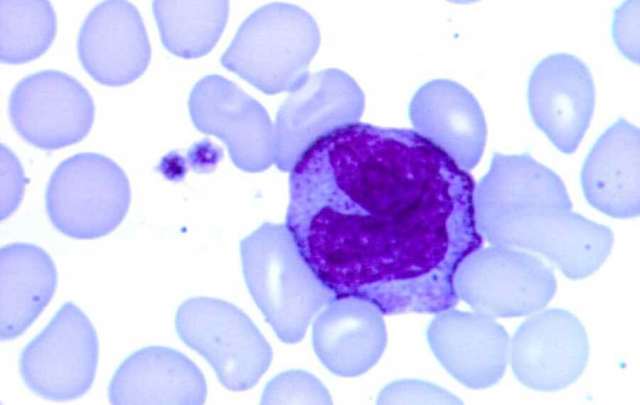
Защитная функция моноцитов — фагоцитоз
Моноцитоз — это изменение состава крови живого организма, характеризующееся повышением количества моноцитов (белых клеток) относительно общего количества крови или же повышение содержания агранулоцитарных клеток относительно всех лейкоцитов. Моноциты являются важными агентами в работе иммунной системы организма, так как обеспечивают противовирусную, противопротозойную и антибактериальную защиту.
Моноцитоз классифицируют следующим образом:
- абсолютный моноцитоз — число моноцитов в крови более 0,6 *109 на литр (повышается значение не только моноцитов, но и других клеток-лейкоцитов);
- относительный — увеличивается процентное содержание моноцитарных клеток крови относительно других лейкоцитов (более 11%), а общий показатель лейкоцитов (процентный) остается в пределах нормы.
Моноциты относятся к клеткам-защитникам организма, они присутствуют во всех тканях, в которых развивается воспаление, и устраняют его причины и последствия путем фагоцитоза. При высокой активности патологического агента число таких клеток значительно возрастает, что и называется моноцитозом.
Симптомы и признаки при повышенных моноцитах у взрослых

Моноцитоз отражает признаки основной патологии
Клинически моноцитоз определить достаточно сложно, точно можно установить наличие таких изменений только лабораторным путем (анализ крови общий развернутый). Клинические проявления моноцитоза напрямую зависят от причины, вызвавшей воспалительный процесс.
Основные симптомы увеличения количества моноцитов в крови:
- общая слабость, недомогание, повышенная утомляемость и сонливость объясняются тем, что организм активизирует все свои силы и направляет их на борьбу с патологическим агентом к месту воспаления;
- повышение температуры тела до субфебрильных цифр (37,5-37,0), ломота в теле и боли в мышцах, чувство жара или озноб;
- катаральные явления, увеличение в размерах, изменение консистенции лимфатических узлов на периферии;
- ночная потливость;
- резкая потеря веса.
Причины моноцитоза

Послеоперационный период может сопровождаться моноцитозом
Среди основных факторов, которые могут вызвать развитие моноцитоза следует обратить внимание на следующие:
- Острые воспалительные процессы инфекционного характера (вызванные бактериальными, вирусными агентами, грибками или простейшими организмами).
- Тяжелые заболевания кровеносной и лимфатической систем (миелобластные или монобластные острые лейкозы, лейкозы с хроническим течением, заболевание Ходжкина и др.).
- Доброкачественные или злокачественные новообразования.
- Опухолевая интоксикация при распаде злокачественной опухоли.
- Болезни с формированием гранулематозных изменений (саркоидоз, туберкулез и многие другие).
- Послеоперационный период (особенно после вмешательств на органах малого таза у женщин).
- Период восстановления после перенесенных тяжелых болезней инфекционной природы.
- Интоксикационный синдром (отравление химическими веществами, пищевая интоксикация и др.).
Отмечается тенденция к незначительному росту количества моноцитов на фоне частого переедания, переутомлении, при перегрузке нервной системы. Моноцитоз достаточно часто встречается и у беременных женщин, это связано с тем, что моноциты в данный период берут большую часть » ответственности» за здоровье будущей мамы на себя.
Период менструации у девушек в молодом возрасте также может стать причиной моноцитоза, однако это не считается патологией.
Как выявить повышение моноцитов

Моноцитоз — не причина, а следствие патологических изменений
Зачастую моноцитоз диагностируют как следствие определенных клинических проявлений (пациент жалуется на слабость, раздражительность, боли в горле или заложенность носа, иногда появляются множественные элементы высыпаний и др.) в результате исследования общего анализа крови.
При обнаружении высоко показателя моноцитов необходимо прохождение дополнительного лабораторно-инструментального обследования для выявления причинных факторов.
К таким исследованиям можно отнести УЗИ, рентгеновские снимки, взятие мазков на бактериальную флору со слизистых, исследование биохимических показателей крови, компьютерную томографию и многие другие методы.
Обратите внимание! Значительное длительное повышение концентрации моноцитарных клеток в крови может свидетельствовать о наличии и прогрессии тяжелого заболевания организма. Именно поэтому всегда необходимо тщательно обследовать и лечить пациента.
Лечение повышенных моноцитов у взрослых

Лечение направлено прежде всего на причину моноцитоза
Для того, чтобы определить правильную тактику и полный объем лечения пациента с моноцитозом необходимо выяснить причину развития данных изменений.
Патологические процессы, вызванные бактериальной инфекцией, следует лечить антибактериальными препаратами. Воспаление на фоне вирусной инвазии в организме лечатся противовирусными лекарственными средствами.
Инфекционные процессы в результате попадания в организм человека простейших патологических агентов следует лечить противопротозойными препаратами.
При выявлении новообразования злокачественного характера врач решает вопрос об оперативном лечении с последующим назначением химиотерапии.
В острый период воспаления часто врачи назначают параллельно с этиотропной терапией и симптоматическую (обезболивающие средства, НПВС и др).
Важно уделить внимание следующим моментам:
- правильное сбалансированное питание (пища, богатая витаминами, аминокислотами);
- соблюдение режима труда и отдыха;
- достаточное количество сна (не менее 8 часов в сутки);
- исключение стрессовых ситуаций;
- умеренная ежедневная физическая нагрузка.
Внимание! Назначать препараты, определять дозировки должен только врач!
Угроза при моноцитозе

Повышенные моноциты опасны хронизацией воспалительных процессов
Заболевания, сопровождающиеся моноцитозом, могут протекать клинически бессимптомно. Особенно часто такое случается при формировании злокачественной опухоли. Длительное бессимптомное течение вирусных или бактериальных инфекций может привести к хронизации процессов. Для того, чтобы не допустить развития заболевания, необходимо тщательно искать причину моноцитоза.
Профилактика
Для предотвращения развития той или иной патологии в организме человека важно ежегодно проходить профилактические осмотры, выполнять все необходимые лабораторные исследования биологических жидкостей, а при выявлении отклонений — искать причину и устранять ее.
Правильно питание, регулярные физические нагрузки и стрессоустойчивость — залог крепкого здоровья!
Причины моноцитоза у взрослых
- Моноцит – крупнейшая клетка в циркулирующей крови (размером около 12-22 микрометров), она содержит большой объем цитоплазмы, которая окрашена в темно-серый цвет (часто называют “небо в день пасмурный”). Цитоплазма отличается мелкой азурофильной зернистостью, которая различима только при достаточной покраске мазка клетки.
- Ядро достаточно большое, обладает рыхлостью, полиморфностью, в виде трилистника, фасоли, подковы, встречается в виде такого насекомого, как бабочка с раскрытыми крыльями.
- Предшественница этих клеток (КОЕ-ГМ) единая с гранулоцитами, а сама предшественница именно моноцитарного ростка это КОЕ – М. Эти клетки покидают костный мозг, так полностью не созрев, живут в кровяном русле около 20-40 часов, потом они покидают периферическую циркулирующую кровь и перемещаются в ткани, там они полностью специализируются.
- Покинув кровоток, клетки не смогут снова вернуться обратно. Вышедшие в ткани моноциты становятся макрофагами (в некоторых органах имеют специфические названия, а именно: купферовские клетки печени, гистиоциты, содержащиеся в соединительной ткани, альвеолярные, плевральные макрофаги, остеокласты, микроглии нервной системы). В самих живых клетках органов они имеют возможность жить от месяца до многих лет.
- Движение моноцитов похоже на амебовидное, также они обладают фагоцитарной способностью. Переваривают не только собственные мертвые клетки, множество микроорганизмов и грибов, но и клетки, стареющие, такие как элементы крови, и зараженные вирусами.
- Они уничтожают за счет своих функций и строения очаг местного воспаления и создают условия для процесса репарации. Но в самом кровяном русле клетки почти не обладают своей фагоцитарной активностью.
- Помимо процесса фагоцитоза, моноциты обладают секреторной и синтетической способностями. Они способны синтезировать и вырабатывать совокупность таких факторов, как «медиаторы» воспаления: интерферон-a, интерлейкины-1,-6, ФНО-α.
Здесь вы найдете интересную информацию про метамиелоциты в крови.

Он постоянно применяется в качестве скринингового, одного из важнейших первичных методов исследования при самой разнообразной величине патологических состояний, поэтому для определения уровня этих клеток используется именно он.
Этот анализ позволяет определить общее число всех лейкоцитов и пропорциональное соотношение различных форм среди них, это называется определением лейкоцитарной формулы.
Специфической подготовки к обследованию нет. Желательно сдавать анализ утром натощак или через два часа после приема пищи.
Норма моноцитов в крови
Они представляют собой особую категорию лейкоцитов и определяются как относительным (в процентном соотношении к общему числу лейкоцитов), так и в абсолютном количестве.
Общий анализ крови позволяет посчитать относительное число, но существуют специальные методы, которые позволяют определить абсолютное число клеток на единицу объема (чаще литр крови). Причем число клеток не имеет половой зависимости, иногда даже и возрастной.
Соотношение моноцитов в крови человека представлено в таблице ниже:
| Возраст | До 1 года | До 12-ти лет | После 12-ти лет и у взрослых |
| Относительное количество | 2-12 % | 3-9 % | 3-11 % |
| Абсолютное количество | 0,12-1,8 *109/л | 0,15-1,08 *109/л | 0,12-0,99 *109/л |
Узнайте, как поднять лейкоциты, прочитав нашу аналогичную статью.
Причины отклонения от нормы
Снижение количества моноцитов
О снижении этих клеток (такой симптом называется моноцитопенией) можно говорить, когда число этих клеток падает до 1% и ниже. В настоящее время такие состояния встречаются нечасто.
Наиболее частые основания для изменений этих клеток, это:
- период вынашивания плода и роды (если говорить о беременности, то стоит указать, что в 1-м триместре у всех женщин выявляется значительное уменьшение всех форменных клеток крови и в том числе и моноцитов, а в момент родов происходит истощение всех резервных ресурсов в организме);
- ослабление организма (при различных диетах, хронических заболеваниях; пристально нужно следить за снижением моноцитов в детском возрасте, потому что будет нарушена жизнедеятельность всех внутренних систем и органов, и детский организм в последующем будет не полностью развиваться);
- действие химиотерапевтических препаратов и состояния после лучевого воздействия (развивается апластическая анемия, чаще бывает у женщин);
- осложненные гнойные состояния и острые инфекционные процессы (к примеру, сальмонеллез).
Что значат повышенные моноциты?
Если их больше нормы, выше 11% (такой симптом называется моноцитозом), то это говорит о присутствующих инородных микроорганизмах или агентах, что является специфическим для инфекционных состояний и различных по гистологической природе опухолей.
Источниками моноцитоза могут быть следующие состояния:
- инфекционный мононуклеоз;
- острые воспалительные заболевания инфекционной природы (дифтерия, грипп, краснуха, корь) на ранних этапах реконвалесценции – инфекционный моноцитоз;
- специфические заболевания (сифилис, туберкулез);
- лимфомы;
- системные расстройства развития соединительной ткани (красная волчанка);
- лейкозы.
- протозоонозы и риккетсиозы (лейшманиоз, малярия);
- послеоперационный период (особенно после обширных операций на органах желудочно-кишечного тракта, органах грудной полости).
- Инфекционный мононуклеоз (ИМ) — острое вирусное расстройство, которое вызывается вирусом Эпштейн-Барра (является герпес вирусом 4 типа).
- Инкубационный период длится от 2-х недель до 2-х месяцев.
- Главный симптомокомплекс содержит данные особенности:

- увеличение размеров периферических лимфоидных участков, в особенности шейной группы;
- патологические процессы в носоглотке и ротоглотке;
- лихорадку;
- возникновение мононуклеаров в периферической крови;
- увеличение объемов печени и селезенки.
Помимо главных симптомов при ИМ могут присутствовать такие: энантема, экзантема, пастозность век, одутловатость лица, ринит. Расстройство начинается остро, с возникновения лихорадки. Обычно все симптомы развиваются к концу 6-7 дня.
Самыми начальными клиническими проявлениями являются:
- поднятие температуры тела;
- налет на небных миндалинах;
- воспаление и увеличение шейных лимфатических узлов;
- затруднение дыхания.
К концу 7-8 дня от момента развития недуга у большинства людей уже можно пропальпировать увеличенную и уплотненную печень и селезенку, в клиническом анализе крови уже начинают появляться атипичные мононуклеары. В некоторых отдельных случаях болезнь развивается постепенно.
Осложнения:
- Специфические: удушье, серозный менингит, разрыв селезенки, поражение нервной системы, тробоцитопения, агранулоцитоз, гемофагоцитарный синдром, инфекционно-токсический шок.
- Бактериальные: отит, мастоидит, паратонзиллит, гнойный лимфаденит.
Возможно несколько исходов острого инфекционного процесса:
- реконвалесценция
- бессимптомное вирусоносительство либо скрытая инфекция
- затяжная рецидивирующая инфекция:
Лабораторная диагностика:
- Изменения периферической крови: лейкоцитоз, умеренное повышение СОЭ, лимфомоноцитоз.
Самым главным и специфическим признаком инфекционного мононуклеоза являются атипичные мононуклеары, доля которых становится выше 20%. Они появляются к 10-14 дню болезни и сохраняются до 1 месяца.
В аналогичной статье мы отвечаем на вопрос, что делать, если повышен СОЭ у женщин.
Лечение симптоматическое. В начальном моменте следует рекомендовать постельный режим, на этапе реконвалесценции — сдерживание физической нагрузки. С противовоспалительной целью назначают НПВС в рекомендуемой дозировке. В острую стадию процесса не показано назначение противовирусных препаратов (препараты ацикловира).
Назначение ГКС показано при развитии осложнений (обструкция в.д.п., тромбоцитопении, гемолитической анемии, поражении ЦНС). Назначение АБ показано при присоединении вторичной бактериальной флоры. Сторониться назначения аминопенициллинов. Следует гарантировать присмотр за полостью рта.
Симптомы и виды моноцитоза
Такое состояние – моноцитоз, можно разделить на несколько видов:
- Абсолютный моноцитоз: его возможно диагностировать, когда количество самих клеток становится выше 0,12-0,99*109/л.
- Относительный моноцитоз: состояние патологическое или физиологическое, при котором общая часть моноцитов становится выше 3-11% от общего числа лейкоцитов.
Причем абсолютные цифры содержания моноцитов могут оставаться в границах нормы, но будет повышен их уровень в общей лейкоцитарной формуле, это значит, что количество моноцитов будет прежним, но будет снижена численность других видов лейкоцитов. Чаще такое наблюдается при снижении числа нейтрофилом (нейтропении) и снижении числа лимфоцитов (лимфоцитопении).
Абсолютный моноцитоз представляет собой важность при выявлении и терапии патологических процессов в сравнении с относительным, который может меняться в зависимости от травм, стрессов, питания.
Моноцитоз при беременности: у женщин, вынашивающих плод, не слишком высокое увеличение суммы лейкоцитов и моноцитов считается физиологической реакцией организма на “чужеродное” тело. И нужно всегда иметь ввиду, что абсолютный моноцитоз у беременных следует обязательно корректировать в отличие от относительного.
Моноцитоз – не заболевание, а симптом основной болезни. Поэтому картина моноцитоза будет зависеть от самого заболевания.
В отсутствие любых симптомов болезни его можно распознать по неспецифическим признакам:
- хроническая усталость,
- быстрая утомляемость
- сниженная работоспособность,
- общая слабость,
- сонливость,
- постоянная субфебрильная температура.
Эти признаки могут указывать на разнообразные заболевания. При беременности они являются физиологически обусловленными.
В любом случае требуется обратиться к врачу и сдать анализы.
В чем опасность заболевания?
Если в проведенном анализе содержание этих клеток увеличено, то это указывает на изменения в иммунной системе, а именно начало иммуносупрессии. Поэтому требуется необходимая профилактика, а зачастую и терапия данных расстройств.
Инфекционные болезни без этиотропной и патогенетической терапии могут привести к тяжелым последствиям, развитию осложнений, отягощению существующих состояний и самих заболеваний.
Несвоевременное диагностирование онкологических процессов также приводит к развитию тяжелых последствий, инвалидизации, летальности. Поэтому целесообразно обратиться к специалистам с консультацией и решением вопроса о своевременной диагностике, постановке диагноза и терапии.
Одновременное повышение других лейкоцитов на фоне моноцитоза
- Повышение нейтрофилов в ос
обенности палочкоядерных (нейтрофилез). Такого рода процесс показывает на острое воспалительное расстройство и наиболее выражено при гнойных процессах (менингите, абсцессах и флегмонах, рожистом воспалении). - Повышение лимфоцитов (лимфоцитоз), состояние, которое характерно для отдельного ряда инфекций. Если лимфоциты повышены у взрослого, о чем это говорит?
- Повышение эозинофилов (эозинофилия) указывает на присутствие аллергических заболеваний и синдромов, паразитарных заболеваний, кожных болезней, коллагенозов, многих тяжелых заболеваний крови, специфических воспалительных заболеваний.
Что делать при возникновении патологии?
Повышение уровня моноцитов является в любом случае обязательным поводом прибегнуть к помощи специалиста – врача для дальнейшего выяснения причин такого состояния. Даже несильное повышение уровня фагоцитов должно вызвать настороженность.
В первую очередь понадобится еще раз пересдать общий анализ крови с целью выявления повышения остальных показателей или только узкое повышение моноцитов. И при выявлении повторного повышения их обязательно дообследоваться и выяснить первопричину моноцитоза.
(3
Повышенный уровень моноцитов в крови у взрослого: о чем это говорит, причины
Белые кровяные тельца (лейкоциты) содержит пять основных типов клеток и по их внешнему виду, они делятся на две группы – гранулоциты и агранулоциты. Гранулоциты представляют собой эозинофилы, нейтрофилы и базифилы.
- Агранулоциты представляют лимфоциты и моноциты.
- Эти пять типов клеток в жидкой подвижной соединительной ткани внутренней среды организма являются частью нашего иммунитета и обеспечивают защитный механизм нашего организма.
- Их функциональность отличается друг от друга.
Моноциты – это белые кровяные тельца помогающие другим лейкоцитам уничтожать мертвые или поврежденные ткани, убивать раковые клетки и защищать иммунитет от вирусов и бактерий.
Что представляют собой моноциты?

- Моноциты имеют единую, большую, гладкую, идентифицируемую нуклеазу бобовидной формы в их центре.
- Этот крупный зрелый одноядерный лейкоцит может менять свою форму в соответствии с потребностями иммунитета.
- Основная функция моноцитов помогать белым кровяным тельцам, устранять ненужный тканевой мусор, уничтожать злокачественные клетки, защищать иммунную систему и фагоцитировать проникшие в кровь микробы.
- Моноциты образуются в костном мозге (важнейший орган кроветворной системы), оттуда поступают в циркулирующею по организму кровь, а затем перемещаются в разные органы:
- селезенку;
- легкие;
- печень;
- костный мозг где они созревают и меняют свою форму на макрофаги (Макрофаги – окончательно созревшие крупный одноядерный лейкоцит).
- Крупные зрелые одноядерные лейкоциты группы агранулоцитов выполняют разнообразные функции, чтобы контролировать нормальную работу иммунной системе человека.
- Они преобразовываются в макрофаги, когда токсины, неклеточный инфекционные агенты или иные посторонние инфекции проникают в человеческий организм, окончательно созревшие моноциты поглощают и нейтрализуют их.
- Также они расщепляют весь мусор и уничтожают зараженные клетки специальными типами ферментов, которые производятся в макрофагах.
- Когда инородные частицы вторгаются в организм, окончательно созревшие белые кровяные клетки готовят антиген, который сигнализирует, что вредное вещество в организме.
- После распознавания инфекции наша иммунная система готовит против них иммуноглобулины (Ig).
Распознанные антигены покрываются иммуноглобулином (Ig) и уничтожаются посредством фагоцитоза. Фагоцитоз – это прямой процесс захвата используемый ферментом через макрофаги. Антитело представляет собой белковые соединения плазмы крови обладающая антигенспецифическим свойством.
Эти лейкоциты также содержат тонкие хроматины, которые помогают образовывать хромосомы. Хромосомы развивают индивидуальную структуру генов, которая содержит специфическую ДНК.
Исследования показывают, что зрелые одноядерные лейкоциты группы агранулоцитов также участвуют в формировании жизненно важных органов включая центральный отдел нервной системы человека и центральный орган кровообращения в виде мускульного мешка (сердца).
Какой % лейкоцитов являются моноцитами?
Среди общего количества циркулирующих лейкоцитов процент моноцитов составляет от 1 до 10%, о чем это говорит, т.е на микролитр крови количество моноцитов составляет от 200 до 600 моноцитов на микролитр крови, 2-8% моноцитов приблизительно присутствуют в общем содержание лейкоцитов (обратите внимание на нижнею таблицу с показателями моноцитов).
Общий анализ крови – процент моноцита [в количестве %]
- → До 4% [0,04] (низкий)
- → от 4 до 10% [0,04-0,10] (нормальный)
- → от 11 до 15% [0,11-0,15] (повышенный)
- → Более 15% [0,15] (высокий)
Причины повышенного количества моноцитов у взрослого

- Клинически высокий уровень зрелых одноядерных лейкоцитов называют моноцитозом.
- Если моноциты повышены у взрослого, спровоцировать это могло высокий уровень стресса и слабый иммунитет.
- Другие проблемы физиологического состояния включающие даже незначительное повышение:
- Аутоиммунные расстройства;
- Воспаления и опухали;
- Вирусную инфекцию (корь, эпидемический паротит, инфекционный мононуклеоз);
- Тяжелую бактериальную инфекцию (пневмонию);
- Паразитарную инфекцию;
- Серповидноклеточную анемию;
- Нарушения функционирования иммунной системы и восстановление количеств эритроцитов в крови (красные кровяные клетки).
Заболевания, вызывающие увеличение моноцитов у взрослых, следующие:
- Саркоидоз (необычное крошечное образование кольцевых образований на поверхности пораженных тканей)
- Хроническая гранулематозная болезнь (генетическое расстройство, при котором клетки иммунной системы не могут влиять на конкретные типы бактерий, вирусов и т.д.)
- Синдром Кушинга (избыточная секреция стероидного гормона, такого как кортизол в надпочечниках)
- Гистиоцитоз из клеток Лангерганса (заболевание, при котором клетки, называемые гистиоцитами, размножаются в клетках Лангерганса (внутриэпидермальные макрофаги) поджелудочной железы).
Диагностика
Диагностика проводится посредством взятия анализов крови (WBC общий анализ крови) для лабораторных исследований, когда у человека есть признаки или симптомы инфекционного или аутоиммунного расстройства.
В некоторых случаях выявляется случайно, при сдача того-же общего анализа крови во время диагностики обычного физического состояния пациента.
Повышенный уровень моноцитов у взрослого: лечение
Для лечения моноцитоза важно диагностировать основную причину. В первую очередь рекомендуется консультация у врача, который сможет определить высокий уровень этих крупный лейкоцитов, и исходя из этого назначить терапию.
Изменения в образе жизни, регулярные упражнения, нормальный вес и адекватный сон, помогают контролировать количество этих лейкоцитов. Также, потребление некоторых пищевых добавок и продуктов питания помогут нормализовать высокий уровень моноцитов.
Продукты питания
Продукты содержащие высокое количество антиоксидантов способствуют повышению иммунитета и снижению проникновения в организм патогенных (болезнетворных) микроорганизмов, вирусов.
Список продуктов питания и специй содержащие высокое количество антиоксидантов снижающие воспаления:
- Шпинат;
- Лук;
- Чеснок;
- Куркума;
- Черный тмин;
- Виноград;
- Черешня;
- Брокколи;
- Фасоль.
Диетические добавки
Добавка Омега-3 жирные кислоты включающие рыбий жир из печени трески, биологически активная добавка куркумина (куркуминоид, входящий в состав корня куркумы) помогают уменьшить воспаления и снизить количественное содержание моноцитов в крови.
Рекомендации по питанию

В период прохождения терапии следует исключить из своего рациона некоторые продукты и соблюдать некую диету.
- Потребляйте меньше сахара — продукты содержащие сахар, повышают уровень глюкозы и могут вызвать сахарный диабет, который в сою очередь высвобождает большое количество одноядерных лейкоцитов группы агранулоцитови. В первую очередь не потребляйте сладкие газированные напитки, различные сладости, типа конфет, рафинированный сахар, сладкий чай.
- Не принимайте спиртные напитки — выпивка и тем более злоупотребление алкоголем негативно скажутся на состоянии здоровья и усугубят воспалительные процессы в вашем организме.
- Добавьте рыбу в рацион — как уже раннее было сказано, продукты содержащие омега-3 жирные кислоты получающие из рыб, благоприятно влияют на человека, снижают воспаления и общего количества этих лейкоцитов в крови. Если вы не любитель рыб, особенно трески, лосося или скумбрии, вы можете купить в аптеке добавки омега-3.
Видеозаписи по теме
Повышение моноцитов в крови

Моноциты повышены (моноцитоз) – это превышение допустимого количества белых клеток в крови, что может быть обусловлено физиологическими причинами или являться признаком определенного патологического процесса. Определить причину сможет только врач.
Норма в крови у женщин или у мужчин составляет не больше 8% от общего количества лейкоцитов. О превышении говорят тогда, когда показатели выше отметки в 9%, так как допустимо небольшое отклонение в большую или меньшую сторону. Например, если моноциты повышены при беременности, то такое состояние не является патологией.
Для того чтобы определить количество моноцитов, проводится общий анализ крови. Если будет установлено, что повышены моноциты и СОЭ, то назначается дополнительное обследование, по результатам которого врач и будет определять дальнейшие терапевтические мероприятия.
Курс базисной терапии зависит от того, что именно стало причиной превышения нормы моноцитов. Это же можно сказать и про дальнейшие прогнозы.
Повышенные моноциты в крови не всегда говорят о том, что в организме развивается определенный патологический процесс. Существует понятие относительного моноцитоза и абсолютного.
В первом случае речь идет о количественном увеличении клеток, но процентный показатель остается в норме.
Такое положение вещей может быть обусловлено снижением количества нейтрофилов или лимфоцитов, и серьезной диагностической нагрузки не имеет.
Если происходит увеличение и процентного, и количественного показателя в крови, то говорят об абсолютном моноцитозе. Такое повышение моноцитов в крови однозначно будет указывать на развитие патологии в организме, не исключается и врожденное заболевание.
Причины повышения моноцитов по относительному показателю могут быть следующие:
- после проведения операции;
- в начальной стадии детских инфекционных заболеваний;
- в период выздоровления.
Также моноциты выше нормы могут быть у женщины в период вынашивания ребенка. В этом случае могут быть повышены моноциты и эозинофилы, базофилы.
Абсолютно повышенное содержание моноцитов в крови может свидетельствовать о наличии следующих патологий:
- злокачественные опухоли различной локализации;
- заболевания аутоиммунного типа – системная красная волчанка, саркоидоз, ревматоидный артрит;
- инфекционные заболевания кишечника;
- кандидоз и другие заболевания грибковой природы;
- тяжелые вирусные инфекции – мононуклеоз, паротит эпидемического типа;
- септический эндокардит;
- туберкулез, сифилис и тому подобные по этиологии заболевания;
- сердечно-сосудистые патологии;
- глистные инвазии;
- геморрагический диатез;
- гематологическая онкология.
Если повышены моноциты в крови, то также может присутствовать и увеличенное количество других компонентов.
Определить точно, что именно стало причиной того, что моноциты повышены, может только врач путем проведения необходимых диагностических мероприятий. Самолечение настоятельно не рекомендуется.
Сам по себе моноцитоз не рассматривается как отдельный патологический процесс, поэтому характер клинической картины будет полностью зависеть от первопричинного фактора.
Общие симптомы патологии:
- чрезмерная восприимчивость к патогенным организмам – частые случаи ОРВИ, простуды, гриппа, инфекционных заболеваний;
- длительный процесс выздоровления;
- частые рецидивы хронических заболеваний;
- общее ухудшение самочувствия, недомогание и нарастающая слабость;
- высыпания на коже;
- нестабильное артериальное давление;
- нарушение работы желудочно-кишечного тракта;
- головные боли, головокружение;
- нарушение работы мочеполовой системы;
- повышенная температура тела, озноб и лихорадка.
Единой клинической картины, если в крови моноциты повышены, нет. Все будет зависеть от того, что именно стало причиной такого нарушения, поэтому при наличии некоторых симптомов, которые описаны выше, нужно обращаться к врачу, а не проводить лечение самостоятельно, путем сопоставления текущей симптоматики и возможной причины ее возникновения.
Моноцитоз не рассматривается как отдельный диагностический показатель. Как правило, принимается во внимание то, какую долю в крови занимают моноциты и другие элементы лейкоцитарной формулы.
Достаточную диагностическую информацию дают такие комбинации, как:
- Моноцитоз и лейкоцитоз – повышение моноцитов и лейкоцитов может говорить о респираторных и вирусных заболеваниях, а также детских инфекциях. Довольно часто снижаются и нейтрофилы.
- Моноцитоз и базофилия – повышенное количество как первых, так и вторых может говорить о последствии длительного приема гормональных препаратов. Совместное повышение всех лейкоцитарных элементов может привести только к усугублению воспалительной реакции и повышенной выработке гистамина.
- Моноцитоз и эозинофилия – повышение элементов в такой комбинации свидетельствует об аллергической реакции, но также может присутствовать при глистной инвазии, хламидийном заражении.
- Моноцитоз и нейтрофилез – моноциты повышены у взрослого при развитии бактериальной инфекции.
Определить, моноциты в крови повышены или нет, позволяет общий клинический анализ крови по развернутому типу. Расшифровкой анализов занимается только врач.
Терапевтические мероприятия будут зависеть от того, что именно стало причиной превышения показателей, поэтому могут использоваться как консервативные, так и радикальные методы лечения.
Кроме основного курса (прием медикаментов или операция), дополнительно врач может назначить физиотерапевтические процедуры, диетическое питание и курс реабилитации в санаторно-курортном учреждении.
Прогноз будет зависеть от тяжести основного патологического процесса, своевременности начатого лечения, а также от общих показателей состояния здоровья пациента. В любом случае, чем раньше будет начата терапия, тем больше шансов на полное выздоровление.
Что касается профилактики, то специфических мер здесь нет. Следует в целом соблюдать правила здорового образа жизни, и проводить профилактические мероприятия относительно тех заболеваний, которые входят в этиологический перечень. Также систематически следует проходить медицинский осмотр для предотвращения или раннего диагностирования болезни.
Повышены моноциты у взрослого: о чем это говорит?
Моноциты (макрофаги) – иммунные клетки, которые входят в систему мононуклеарных фагоцитов.
Особенностью моноцитов является способность к уничтожению крупных бактерий, недоступных для микрофагов (нейтрофилов и базофилов).
Моноцитоз – это повышенное содержание моноцитов в крови (более, чем 0,8 x 109/литр). В зависимости от показателей анализа, различают относительный и абсолютный моноцитоз.
Функции

- распознавание вредоносных микроорганизмов (вирусов, бактерий, простейших и грибков), поврежденных, старых и атипичных клеток с дальнейшим поглощением и удалением (фагоцитоз);
- устранение воспалительных процессов;
- обнаружение и устранение опухоли;
- выделение в кровь активных веществ для стимуляции других разновидностей лейкоцитов при обнаружении патогенных микроорганизмов;
- участие в процессе формирования крови, жировом обмене и в процессах усвоения железа;
- повышение температуры тела;
- выделение ряда веществ (эластаза, коллагеназа, фиброгенный фактор), способствующих выделению коллагена и быстрому заживлению повреждений.
Далее часть моноцитов выходит в ткани через стенки кровеносных сосудов, превращаясь в макрофаги. В зависимости от расположения и функций, выделяют несколько разновидностей макрофагов:
- альвеолярные (находятся в альвеолах легких);
- перитонеальные (в кишечнике);
- купферовские (в печени);
- лимфатические;
- селезеночные;
- дендритные (в коже и под слизистой оболочкой);
- остеокласты (в костях);
- гистиоциты (находятся в соединительной ткани во всех органах).
Основные функции моноцитов-макрофагов заключаются в очищении крови, которая проходит через легкие, селезенку, печень и т.д., от патогенных микроорганизмов, бактерий, вирусов и грибков, и от старых кровяных телец. Также макрофаги выполняют ряд важных функций в организме, принимая участие в следующий процессах:
- регуляции кроветворения;
- обмене липидов;
- усвоении железа;
- гомеостазе (поддержании нормального состава плазмы и всех систем организма).
Также значительное число макрофагов находится в грудном молоке, обеспечивающем новорожденному ребенку материнский иммунитет на протяжении первых шести месяцев жизни.
Норма моноцитов в крови (таблица)
Определение количества моноцитов осуществляется при помощи клинического анализа крови с лейкоцитарной формулой (включает абсолютное и относительное количество всех видов лейкоцитов в плазме).
| До 10 | 0,09-0,8 | 1-6 |
| 10-23 | 0,09-0,8 | 1-7 |
| После 23 | 0,09-0,8 | 1-8 |
Относительный моноцитоз не имеет существенного диагностического значения, так как может быть вызван снижением других параметров лейкоцитов (в большинстве случаев, нейтрофилов).
Причины повышенных моноцитов у взрослых

Заболевания, которые вызывают повышенные моноциты, разделяют на следующие категории: инфекционные, аутоиммунные заболевания, гранулематозы и гематологические патологии.
Инфекционные болезни
Развитие инфекционных болезней сопровождается воспалительным процессом, который вызывает патологическое повышение моноцитов в организме.
В процессах снятия воспаления в первую очередь участвуют нейтрофилы, прибывающие к очагам поражения первыми. Спустя некоторое время, в воспаленных тканях сменяется уровень ph, среда становится кислой, и нейтрофилы теряют способность к фагоцитозу.
Появление кислой среды в организме активирует другие формы лейкоцитов, в частности, моноциты, которые скапливаются в области воспаления, уничтожая микробы, поврежденные клетки и погибшие лейкоциты.
Высокий уровень моноцитов наблюдается при многих инфекционных болезнях:
- Инфекционный мононуклеоз – вирусное заболевание, вызванное вирусом герпеса человека 4 типа. Мононуклеоз сопровождается увеличением лимфоузлов, лихорадкой и повышенным содержанием моноцитов в периферической крови.
- Малярия – инфекционное заболевание, которое сопровождается повышением температуры и лихорадкой, и может вызвать осложнения в виде малярийной комы. Лабораторные анализы крови во время развития малярии показывают повышение уровня моноцитов, а также наличие плазмодий малярии в эритроцитах.
- Трихофития и другие грибковые инфекции – ряд поверхностных и системных болезней, вызванных инфицированием грибками. Наличие микозов в организме вызывает иммунный ответ в виде повышения числа моноцитов и нейтрофилов, при этом, уровень моноцитоза зависит от степени заражения грибками.
- Лейшманиоз – заражение простейшими микроорганизмами, протекающее с кожными, слизисто-кожными или внутренними поражениями. Причинами лейшманиоза являются внутриклеточные паразиты, которые размножаются в макрофагах.
- Подострый инфекционный эндокардит – воспаления в сердечной мышце, сопровождающиеся септическими процессами. При диагностике эндокардита у взрослого человека обнаруживается повышенное СОЭ и высокий уровень лейкоцитов, а при возникновении гнойных процессов наблюдается увеличение моноцитов в крови.
Также повышенный уровень моноцитов наблюдается в периоды выздоровления после инфекций, так как моноциты продолжают уничтожение воспаленных и погибших клеток, чем способствуют регенерации тканей.
Гранулематозы
Гранулематозы – ряд инфекционных и аллергических заболеваний, которые сопровождаются развитием гранулем — опухолевидных разрастаний, состоящих из моноцитарных фагоцитов. Образование гранулем происходит в результате повышенного количества моноцитов и макрофагов в очагах воспаления при возникновении таких болезней:
- Туберкулез – инфекционное заболевание, вызываемое палочкой Коха, с локализацией в дыхательной, лимфатической, нервной и опорно-двигательной системах. Симптомом активного развития туберкулеза является повышенный уровень моноцитов в крови, а признаком выздоровления — снижение моноцитов и повышение количества лейкоцитов.
- Бруцеллез — бактериальное заражение всех систем организма бактерией рода бруцеллы, вызывающей высокую температуру и общую интоксикацию. Опасность бруцеллеза проявляется в серьезных осложнениях в виде неврита, полиневрита, радикулита. Бруцеллез может вызвать нарушения работы половых органов, включая бесплодие.
- Саркоидоз – воспалительная болезнь неинфекционной природы с образованием гранулем в лимфатических узлах, внутренних органах, на коже и на слизистой оболочке.
- Язвенный колит – острое или хроническое воспаление прямой кишки или всего толстого кишечника. При колите наблюдаются повышенные показатели моноцитов, лейкоцитов и базофилов.
Аутоиммунные заболевания
Еще одной причиной моноцитоза могут стать аутоиммунные процессы, в результате которых происходят системные поражения соединительной ткани. Повышенные моноциты в крови и в очагах воспаления могут быть вызваны наличием антител и необходимостью фагоцитоза разрушенных клеток при таких болезнях:
- ревматоидный артрит;
- узелковый полиартрит;
- системная красная волчанка.
Гематологические патологии
При нарушениях работы кроветворной системы наблюдается высокий показатель моноцитов, патологическое изменение количества, строения и функций форменных элементов крови (лейкоцитов, эритроцитов, тромбоцитов), в результате чего моноцитарные макрофаги теряют возможность нормально функционировать. Патологический процесс проявляется при следующих гематологических заболеваниях:
- острый монобластный лейкоз;
- хронический миелолейкоз;
- лимфогранулематоз;
- лейкемия.
Также содержание моноцитов повышается в период восстановления после хирургических вмешательств и при развитии опухолей внутренних органов.
О чем говорят повышенные моноциты у взрослого
Из этой статьи вы узнаете о чем это говорит, если у взрослого повышены моноциты. Моноциты обладают выраженной способностью к фагоцитозу (поглощению и уничтожению патогенных микроорганизмов). Поэтому их повышение закономерно связано с развитием инфекционного процесса в организме человека. Однако это не единственная возможная причина отклонения лабораторного параметра от нормы.
Основные функции моноцитов
По морфологии – это сравнительно крупные клетки, их диаметр достигает 20 мкм. Цитоплазма не содержит гранул, но в ней обнаруживается большое количество лизосом. Крупное ядро располагаетсяближе к одной из клеточных стенок. Оно не сегментировано и имеет бобовидную форму. Это позволяет легко дифференцировать моноциты от лимфоцитов при микроскопическом исследовании.
Несмотря на немногочисленность моноцитов крови здорового человека, переоценить их значение трудно.
В системном кровотоке они циркулируют не более 2 суток, а затем через стенку кровеносных сосудов диффундируют в межклеточное пространство.
Они начинают функционировать как полноценные макрофаги, уничтожая болезнетворные микроорганизмы. Кроме этого они способствуют очистке кровотока от погибших, опухолевых и мутантных клеток.
Поэтому повышенное содержание моноцитов– признак, указывающий на развитие патологического процесса. Знание точной причины позволяет подобрать оптимальное лечение.
Читайте далее: Что такое моноциты в анализе крови и их норма у женщин и мужчин по возрасту
Если моноциты повышены у взрослого, о чем это говорит?
В медицине подобное состояние описывается термином моноцитоз. Выделяют 2 формы:
- абсолютный моноцитоз, наблюдающийся при увеличении моноцитов и других лейкоцитарных клеток (моноцитов более 0.6 клеток на 109);
- относительный, когда увеличивается процентное содержание моноцитов относительно других субпопуляций лейкоцитов (более 11% моноцитов в анализе).
Диагностическая значимость относительной формы моноцитоза меньше, чем абсолютной.
Поэтому если в результатах анализа зафиксирован высокий процент моноцитов в крови, то исследование повторяется и подсчитывается абсолютное число клеток.
При каких болезнях повышаются моноциты у взрослых и детей?
Причины моноцитоза у взрослых напрямую зависят от выполняемых функций моноцитов. Клетки обладают способностью к выраженному фагоцитозу, а значит их большое количество необходимо при заражении инфекцией. Поэтому моноциты выше нормы обнаруживаются при острой стадии инфекции.
Моноциты способны уничтожать относительно большие по размеру отдельные клетки или скопление мелких частиц. В то время как нейтрофилы и эозинофильные гранулоциты фагоцитируют лишь мелкие чужеродные частицы, а затем сразу погибают.
После завершения фагоцитоза, моноциты не разрушаются и способны дальше осуществлять защитную функцию.
Основные заболевания
Примеры заболеваний, при которых обнаруживается повышение моноцитов в крови у женщин и мужчин:
- туберкулёз, основной орган поражения которого – лёгкие. Основная опасность болезни – возбудители (микобактерии) активно вырабатывают механизмы устойчивости ко всем известным группам антибиотиков. Кроме этого, патология характеризуется условно неблагоприятным исходом. Поэтому следует своевременно проходить флюорографию и сдавать лабораторные анализы;
- сифилис – венерическая инфекционная болезнь, распространение которой на территории РФ достигает критических значений. Исход при грамотном и своевременном лечении благоприятный. Однако если ребёнок был инфицирован в утробе, то у него происходят мутации, приводящие к дальнейшей инвалидности;
- саркоидоз;
- неспецифический язвенный колит – воспаление слизистой кишечника. Возникает в результате сочетанного проявления нескольких факторов: генетической предрасположенности, влияния окружающей среды и инфекционного заражения;
- эндокардит, когда инфекция поражает внутреннюю оболочку сердца. Условно неблагоприятный прогноз исхода обусловлен широкой распространённостью устойчивости бактерий к антибиотикам и высоким риском возникновения сердечной недостаточности. Часто болезнь сопровождается необратимыми патологическими изменениями клапанов сердца;
- инфекционный мононуклеоз;
- вирусные острые инфекции;
- грибковые инфекции;
- протозойные и риккетсиозные заражения;
- системные поражения соединительной ткани (коллагенозы);
- моноцитарные и миеломоноцитарные лейкозы и т.д.
Онкология
Еще одна причина повышенных моноцитов у взрослых – онкология. При этом злокачественный процесс затрагивает костный мозг, лимфатические узлы, органы пищеварения или мочеполовой системы.
Например, при множественной миеломной болезни происходит нарушение дифференциации лейкоцитов на стадии созревания в костном мозге.
Следует подчеркнуть, что изменение лабораторного показателя на ранних этапах может не обнаруживаться. Поэтому при подозрении на онкологическое заболевание проводится дополнительная диагностика: онкомаркеры, УЗИ, МРТ, а также другие лабораторные и инструментальные тесты.
Повышенный уровень моноцитов и базофилов фиксируется у людей с ревматоидными болезнями. Однозначная причина системного заболевания не установлена. Предполагается, что для развития артрита и узелкового периартериита у человека должна быть наследственная предрасположенность и сопутствующая хроническая инфекция.
Прогноз исхода для артрита и периартериита неблагоприятный. При этом артрит протекает медленно и осложнения при грамотной терапии наступают спустя длительное время. А узелковый периартериит развивается молниеносно с поражением сердечно-сосудистой, мочевыделительной и пищеварительной систем.
Столь серьёзные последствия и осложнения подчёркивают важность своевременной лабораторной диагностики и необходимость ежегодных профилактических осмотров.
Читайте далее: Все о базофилах — определение, нормы, причины отклонений
Беременность
Повышенные моноциты при беременности указывают на развитие патологического процесса, который может негативно сказаться на нормальном внутриутробном развитии ребёнка. Причины подобного состояния аналогичны: инфекционное заражение, онкология или ревматоидные заболевания.
Однако следует учитывать индивидуальные особенность каждой беременной пациентки. Во время вынашивания ребёнка не исключены гормональные сдвиги, избыточный стресс и изменения биохимического состава крови, повлекшие за собой активацию иммунитета. В результате этих процессов число моноцитов в крови повышается. При этом может изменяться как абсолютное их содержание, так и относительное.
Окончательное заключение о причинах превышения нормальных значений выносит лечащий врач после полной диагностики и сбора анамнеза.
Что делать при повышенных моноцитах?
Первоначально определяется причина моноцитоза. Для этого могут понадобиться дополнительные лабораторные анализы.
При симптомах бактериальной инфекции проводится выделение возбудителя из биоматериала (кровь, мазок из зева или носа, моча, мокрота, моча). После выделения определяется вид бактерий и в соответствии с этим проводится тест на чувствительность к антибиотикам.
Ставить антибиотикограмму ко всем группам антибактериальных препаратов нецелесообразно, поскольку каждая из них активна в отношении определённых видов или семейств.
По результатам теста пациенту назначаются препараты, которые проявили максимальную активность к конкретному виду возбудителя.
Применение подобного подхода для лечения вирусной инфекции недопустимо. Поскольку антибиотики не способны уничтожать вирусные частицы. В этом случае больному подбираются противовирусные средства и препараты, стимулирующие естественные защитные силы организма. Применение антибиотиков целесообразно исключительно при смешанной инфекции.
Лечение ревматоидных заболеваний – длительный процесс. Терапия складывается из назначения противовоспалительных и кортикостероидных лекарственных средств.
Отсутствие стойкой положительной динамики – достаточный повод для коррекции терапии. Параллельно с этим проводятся профилактические мероприятия, предупреждающие развитие остеопороза.
Терапия онкологии проводится с учётом локализации новообразования, степени её тяжести и других факторов. Методы подбираются индивидуально для каждого пациента.
При выздоровлении отмечается возвращение лабораторных показателей в норму, в том числе и числа моноцитов.
Читайте далее: Норма лейкоцитов в крови у женщин по возрасту в таблице, о повышенных и пониженных значениях