Реноваскулярная гипертензия — лечение, причины

Реноваскулярная гипертензия характеризуется проблемами с кровотоком в артериях почек, всегда имеет вторичное происхождение, никогда не возникает спонтанно.

На развитие уходят годы. При этом распространенность минимальна и определяется число в 2-4% от общей массы больных.

  • В среднем, течет процесс намного агрессивнее, чем классическая эссенциальная или первичная форма.
  • Основной контингент пациентов с реноваскулярной гипертензией — представительницы слабого пола (соотношение почти 5:1).
  • Лечение требуется начинать в короткие сроки, поскольку указанного рода болезнь имеет свойство трансформироваться в злокачественную гипертонию.

Это терминальное состояние, которое трудно купируется даже в условиях стационара. Итогом оказывается летальный исход, инфаркт, инсульт в перспективе в 1-3 месяцев или чуть более того.

Речь идет о комплексной проблеме, решать которую должны кардиолог и нефролог в тандеме. Способ терапии определяется характером патологии. Чаще имеет место нарушение функциональной активности почечных кровоснабжающих структур.

Что такое реноваскулярная артериальная гипертензия?

Болезнь представляет собой выраженный патологический процесс, в ходе которого отмечается повышение АД до существенных отметок: 180-200 мм ртутного столба на 110-120 и это не предел.

Реноваскулярная гипертензия существует в двух вариантах: изолированном и генерализованном или системном. Оба одинакового опасны.

В первом случае разница между систолическим и диастолическим показателем — не выше 10-20 мм рт. ст. Это еще более угрожающее состояние, которое заканчивается смертью в кроткие сроки.

Механизм развития заключается в нарушении гемодинамики и отсутствии адекватного синтеза особого вещества-ренина, который обладает выраженными регулятивными свойствами.

Реноваскулярная гипертензия - лечение, причины

Классифицировать патологию можно и по распространенности процесса на односторонний и поражающий сразу обе почки. Последний тип встречается намного реже, только при длительном течении основной патологии.

Таким образом, реноваскулярная гипертензия это малораспространенная разновидность повышения показателя тонометра до критических отметок.

Пациенты находятся в стабильно тяжелом состоянии, которое трудно купируется и не поддается лечению изолированно. Вне воздействия на первичный фактор становления проблемы.

Причины развития патологии

Болезнь формируется в результате вовлечения почечных тканей и сосудов, питающих парный орган.

Туберкулезное поражение

Несет колоссальную опасность здоровью и жизни. Развитие указанного заболевания происходит в терминальной стадии разрушения структур органа. До того момента давление может быть в норме или чуть повышенным.

Туберкулезный процесс всегда вторичен, основной очаг находится в легких. С течением крови или лимфы возможно проникновение микобактерии в паренхиму.

Процесс далеко не всегда течет явно, даже на развитых стадиях, потому винить пациента в запущенном состоянии нельзя.

Решается вопрос, как правило, тотальным удалением пораженных тканей и трансплантацией.

Практика показывает, что при положительном исходе терапии нормализация наблюдается в 95% случаев. Требуется на это от 1 до 3 месяцев.

Врожденные и приобретенные пороки развития парного органа

  1. В большинстве случаев коррекции не подлежат, речь об аномальном физиологическом состоянии почек.
  2. Требуется трансплантация одной или сразу двух, что сделать не так просто в условиях дефицита здоровых доноров и законодательной базы, особенно в России и странах СНГ.
  3. До 70% пациентов умирают, так и не дождавшись квалифицированной высокотехнологичной помощи.

Поликистоз почек

Болезнь, в ходе которой паренхима органа и иные структуры покрываются множеством мелких пузырьков, заполненных серозным экссудатом. Это объемные образования, но не опухоли.

Потому они не склонны к росту, развитию и инвазии. Также к метастазированию. Однако возможен разрыв полости и излияние жидкости в окружающие ткани. Результат — к гипертензии реноваскулярного типа добавляется еще и гнойное поражение брюшной полости — перитонит.

Реноваскулярная гипертензия - лечение, причины

Стеноз сосудов, питающих почечные структуры

Из-за недостаточной трофики наблюдается ишемия (недостаточное питание) органов, порой генерализованного вида.

Нарушается гемодинамика (проходимость крови по сосудам), изменяется характер функциональной активности и фильтрации. Отсюда устойчивое повышение показателя АД. Может происходить в острой фазе, тогда давление «поскочит» внезапно.

Реноваскулярная гипертензия - лечение, причины

Опухоли органа

Злокачественного и доброкачественного характера. Первые встречаются значительно чаще. Объемные новообразования разрушают сосуды, прорастают сквозь паренхиму и не дают почкам нормально работать, что приводит к реноваскулярной артериальной гипертензии.

Реноваскулярная гипертензия - лечение, причины

Неоплазии с высокой степенью дифференцировки клеток ведут себя «скромнее», но создают масс-эффект: компрессируют ткани. Оба вида лечатся хирургически.

Эмболия почечных артерий

Одной или сразу двух. Закупорка может ассоциироваться с тромбами, пузырьками воздуха, инородными объемами, разросшимися холестериновыми бляшками.

Каждый случай требует дифференцированного подхода к терапии. Недостаток питания тканей приводит к ишемии и неадекватной функциональной активности.

Реноваскулярная гипертензия - лечение, причины

Сахарный диабет

Самое непредсказуемое эндокринное заболевание. Никогда нельзя понять, как оно поведет себя в следующий момент. Частыми органами-мишенями выступают глаза, стопы и почки.

Происходит разрастание патологических сосудов. Гипертрофия приводит к увеличению паренхимы и избыточной выработке ренина. Отсюда резкие скачки АД и иные проблемы подобного рода.

Атеросклеротические изменения

Стеноз или окклюзия (закупорка) артерий холестерином. С течением времени бляшки становятся твердыми за счет отложения солей кальция. Если на ранней стадии можно вылечить процесс посредством применения статинов, поздний этап определяется необходимостью оперативного вмешательства.

Реноваскулярная гипертензия - лечение, причины

Воспаление артериальных стенок аутоиммунного характера

Так называемый синдром Такаясу. В отсутствии терапии отмечается заращение просвета сосудов и становления острой непроходимости с явлениями ишемии и некроза.

Болезнь требует срочной курации под контролем нефрологов, лучше в условиях стационара.

Интересно:

Нефроптоз (опущение почечной структуры) — еще одна причина развития реноваскулярного типа гипертензии. Часто наблюдается в результате резкой потери веса при соблюдении строгих диет и вынужденном голодании.

Инфаркт почки

Острое кровоизлияния, в результате чего наступает отмирание тканей.

Гиперплазия стенок артерий и замещение функциональных клеток рубцовыми

Происходит заращение просвета и нарушение кровообращения на локальном уровне.

Механические повреждения органа, вроде ушибов и развивающихся гематом так же становятся причиной реноваскулярной гипертензии, но реже. Существуют иные факторы процесса. Необходимо разбираться отдельно, под контролем лечащего специалиста и лучше не тянуть.

Многие болезни указанного рода не имеют симптомов, станет понятно, что они есть, только при существенно скачке АД, когда пациент попадет в больницу.

Причины реноваскулярной гипертензии: поражения почечных артерий или паренхимы органов.

Симптомы и признаки заболевания

Проявления указанного патологического процесса зависят от типа болезни. Существует две формы: доброкачественная и злокачественная.

Общие указатели на проблему:

  • Стойкое повышение уровня АД до существенных или критических отметок. Реноваскулярная артериальная гипертензия не сбивается классическими препаратами даже в больших дозировках. Необходима постоянная симптоматическая помощь в стационаре.
  • Боли в пояснице неясного происхождения.
  • Шум ушах, двоение в глазах, нарушение зрения по типу скотом или транзиторной слепоты.
  • Мерцание мушек в поле видимости.
  • Одышка, проблемы с легочной функцией. Даже в состоянии полного покоя.
  • Головная боль интенсивного характера.
  • Вертиго. Невозможность ориентироваться в пространстве самостоятельно даже при нормальном освещении.
  • Слабость, сонливость, снижение работоспособности.

Симптомы реноваскулярной гипертензии: проблемы с церебральными структурами, сердцем, основными чувствами и маленькая разница между верхним и нижним АД — не более 10-20 мм. рт. ст.

Вялое течение характеризуется такими признаками:

  • Незначительный рост АД в пределах 150-160 мм ртутного столба на 90-100.
  • Медленное прогрессирование процесса, порой на становление злокачественного варианта уходят годы, и даже десятилетия. Но наблюдается верное движение процесса вперед.

Тяжелая или недоброкачественная форма отличается такими элементами клинической картины:

  • Высокие показатели тонометра, до 180-210 мм и намного выше. Возможно фатальное увеличение уровня.
  • Интенсивная боль в затылке.
  • Сужение полей видимости, либо полное исчезновение зрения.

Это наиболее опасный вариант, поскольку именно он чреват развитием осложнений.

Возможные осложнения и последствия

Злокачественная гипертензия, достигнув пика, может спровоцировать такие состояния:

  • Инсульт. Наиболее вероятный исход. Причем наблюдается почти у 80% больных со столь тяжелым диагнозом. Характеризуется острой ишемией головного мозга, отмиранием нервных пучков и становлением выраженного неврологического дефекта.
  • Слепота. В результате отслойки сетчатки по причине гемофтальма. Справиться с подобной проблемой под силу только путем витрэктомии, которая в России мало где делается.
  • Инфаркт. Процесс, подобный инсульту, но локализуется в миокарда. Ведет себе недостаточно специфично, особенно при малых объемах поражения органа. Боль в груди, одышка, аритмия. Вот характерная триада.
  • Отказ почек, недостаточность в работе органа. Олуригия, анурия и смерть в результате множественных нарушений и интоксикации.

Часто наблюдается целое сочетание процессов, что сокращает вероятность вживания пациента до минимума. Летальность злокачественной гипертензии определяется числом в 40%, при своевременном лечении этиологического плана удается сбить показатель до 20%.

Диагностика

Проводится кардиологами в тандеме с нефрологами (не путать со специалистами по неврологии).

Перечень исследований:

  • Устная оценка жалоб больного на здоровье. Сбор анамнеза жизни. Наибольшую роль играют факты длительно текущих профильных патологий со стороны выделительной системы.
  • Сказывается даже столь безобидный на первый взгляд хронический пиелонефрит, который в один момент может дать о себе знать подобным образом.
  • Ангиография сосудов почек. Направлена на определение проходимости структур и степени нарушений кровотока.
  • Урография. Позволяет оценить выделительную функцию и характер ее изменения.
  • УЗИ органов брюшной полости и почек. Основной путь выявления.
  • Сцинтиграфия. Методика, направленная на исследование характера функциональной состоятельности органов посредством введения в кровоток особого контрастного вещества, несколько радиоактивного. Пациента помещают по специальный сканер и по характеру накопления, а затем выведения вещества делают вывод о сохранности органа. Это дешевое, но мощное обследование, которое до сих пор не утратило актуальности.

Реноваскулярная гипертензия - лечение, причины

  • КТ и МРТ. Крайняя мера, когда остальными способами выяснить не удалось ничего или информации недостаточно. Показаны также при подозрениях на опухоли. В таком случае дополнительно используется контраст (на основе йода или гадолиния).
  • Помимо этого могут потребоваться исследования крови (на гормоны, биохимический, общий), мочи. Малораспространенный способ — биопсия почки с пораженной стороны для оценки структуры органа и вероятного инфекционного или неопластического процесса.

Вся диагностика должна проводиться быстро. Постановка и верификация диагноза играет решающую роль. Промедление сокращает шансы пациента на жизнь и благоприятный исход процесса.

Медикаментозное, оперативное лечение и прогноз

Для нормализации давления используются следующие группы препаратов:

  • Блокаторы кальциевых каналов.
  • Ингибиторы АПФ.
  • Бета и альфа-блокаторы.
  • Диуретики на основе синтетических компонентов.
  • Глюклокортикоиды в состав которых входит преднизолон.

Часто все средства назначаются в комплексе, для достижения быстрого эффекта и в значительных дозировках. Но и этого может оказаться недостаточно.

Хирургическое вмешательство проводится при неэффективного основного лечения либо в случаях, когда иного выхода нет. Назначается либо расширение сосудов посредством стентирования, ангиопласткики. Либо тотальное удаление почки (нефрэктомия) с решением вопроса о трансплантации.

Прогноз условно благоприятный при доброкачественно течении болезни и обратный при острой форме с массой симптомов.

Продолжительность лечения — около года. Возможно, поддерживающая терапия будет длиться всю жизнь. На восстановление нужно от 3 до 6 месяцев. Это тяжелый и опасный период.

Артериальная реноваскулярная гипертензия отличается значительной агрессивностью и непредсказуемость. Точно можно говорить об одном: без лечения шансов на выживание нет.

Обнаружив хотя бы подозрение симптом почечной патологии, нужно срочно бежать к врачу-нефрологу для назначения лечения. 

Реноваскулярная гипертензия

Реноваскулярной гипертензией, или РВГ, называют форму артериальной гипертензии, которая обусловлена сужением артерий почек или их крупных ветвей. Поражение может быть как односторонним, так и двусторонним (стеноз правой и левой артерий). По статистике, РВГ составляет от двух до пяти процентов от всех артериальных гипертензий и около 10 % от всех почечных гипертензий.

При сужении просвета артерии почка получает меньше крови, что приводит к ишемии ее ткани. Выраженность ишемии напрямую связана со степенью сужения сосуда.

Причины

Реноваскулярная гипертензия развивается на фоне некоторых заболеваний и патологических состояний, которых насчитывается порядка 20.

Атероскероз

Чаще всего РВГ обусловлена отложением атеросклеротических бляшек в почечных артериях и их ветвях (до 85 %). Такой форме заболевания подвержены, как правило, люди старше 40 лет и преимущественно мужчины. Сосуды правой и левой почки по частоте поражаются примерно одинаково. В 10 % случаев возникает осложнение в виде тромбоза почечных артерий и их ветвей.

Реноваскулярная гипертензия - лечение, причины

Фибромускулярная дисплазия

Второй причиной развития РВГ считается фибромускулярная дисплазия, или ФМД, почечных артерий. Это аномалия сосудистых стенок, характеризующаяся их утолщением и, как следствие, сужением просвета сосуда. Болеют преимущественно молодые (от 12 до 44 лет) и чаще женщины.

Синдром Такаясу

Еще одна причина реноваскулярной гипертензии – неспецифический аортоартериит, впервые описанный врачом-окулистом Такаясу. Синдром относится к системным васкулитам – группе аутоиммунных воспалительных заболеваний стенок сосудов любых калибров. При болезни Такаясу поражается аорта и ее крупные ветви с последующей их облитерацией (закрытием).

Синдром может быть одно- и двусторонним, болеют, как правило, молодые и чаще женщины. Манифестирует в раннем возрасте (с 11 лет) и в течение двух-трех лет приводит к сужению сосудов. При неспецифическом аортоартериите почечных артерий развивается тяжелая форма РВГ, которая плохо поддается лечению ввиду системности первичного заболевания.

Может осложняться тромбозом и почечной недостаточностью.

Другие причины

К сужению и закрытию просвета сосудов почек и развитию РВГ может привести:

Советуем вам прочитать:Реноваскулярная гипертензия - лечение, причиныСтандарты лечения артериальной гипертензии

  • Сдавление артерии и ее ветвей разрастающейся опухолью или гематомой.
  • Эмболия или тромбоз почечной артерии.
  • Врожденное сужение (стеноз).
  • Аневризма.
  • Кисты почек.
  • Нефроптоз.
  • Гипоплазия артерий почек.
  • Другие почечные аномалии.

Симптомы

Симптомы реноваскулярной гипертензии появляются при закрытии просвета почечной артерии на 50-90 %. Течение болезни зависит от причин ее возникновения.

Существует ряд признаков, по которым можно заподозрить развитие РВГ:

  • Стабильно повышено артериальное давление у молодых.
  • Быстрое развитие АГ у людей от 40 лет.
  • Повышение преимущественно диастолического давления.
  • Малый эффект от приема лекарств, снижающих АД. Этот признак нельзя считать надежным, поскольку при комбинации нескольких препаратов в некоторых случаях все же удается понизить давление.
  • Проявления системных патологий сосудов.

При обследовании у 40-80 % больных с РВГ прослушиваются систолические шумы, если приложить фонендоскоп к пояснице (в области сужения почечной артерии) или с левой и с правой стороны от пупка. Особенно хорошо шумы прослушиваются, если причиной сужения артерии стала фибромускулярная дисплазия.

Реноваскулярная гипертензия в злокачественной форме (до 30 % случаев при одностороннем поражении и до 65 % при двустороннем) протекает намного чаще, чем первичная гипертония (менее 1 %).

Для злокачественной формы характерны стабильно повышенные значения артериального давления и явно выраженные изменения в органах мишенях:

  • в сердце – недостаточность левожелудочковая, инфаркт миокарда;
  • в сосудах глазного дна – отслойка сетчатки, кровоизлияния;
  • в мозге – тромбозы, инсульты.

При РВГ гипертонические кризы встречаются намного реже, чем при артериальной гипертензии другого происхождения.

Отличается РВГ и от других почечных гипертензий, например, развивающихся при пиелонефритах и гломерулонефритах. При реноваскулярной гипертензии отсутствуют такие проявления, как кровь, белок и цилиндры в моче. В некоторых случаях возможна незначительная протеинурия (белок в моче).

Все перечисленные признаки не могут служить основанием для постановки диагноза, они всего лишь позволяют предположить развитие заболевания. Для точной диагностики требуются другие методы.

Диагностика

Очень важно вовремя выявить РВГ. Только при своевременной диагностике есть возможность приостановить, а иногда и полностью излечить болезнь.

После того как врач заподозрил у пациента реноваскулярную гипертензию, он должен подтвердить диагноз с помощью дополнительных исследований, среди которых:

  • рентген;
  • УЗИ;
  • ангиография;
  • радиоизотопное исследование и другие.

При одностороннем стенозе почечных артерий с помощью рентгенографии, УЗИ и томографии определяют, что одна почка меньше другой по размеру. Экскреторная урография, кроме разницы в размере, может обнаружить нарушение выделительной функции почки.

Снижение функциональных возможностей пораженной почки можно выявить с помощью радиоизотопной ренографии, хотя этот метод следует считать ориентировочным, поскольку с его помощью нельзя определить место, степень и причину сужения артерии.

Все эти способы диагностики не будут информативными при двустороннем сужении сосудов.

Реноваскулярная гипертензия - лечение, причины При одностороннем стенозе почечной артерии почка, находящаяся со стороны пораженного сосуда, будет иметь меньший размер

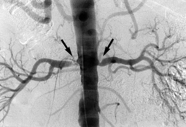
Наиболее достоверным методом диагностики РВГ считается ангиография почечных артерий. С ее помощью можно определить происхождение патологического процесса, локализацию стеноза и его степень, что очень важно при вынесении решения о хирургическом вмешательстве.

Кроме этого, проводятся лабораторные исследования мочи и крови. Важным маркером поражения почек считается альбумин в моче. Вообще, при РВГ протеинурия (белок в моче) или умеренная, или слабая, а в начале заболевания отсутствует.

Фибромускулярная дисплазия редко характеризуется нарушениями работы почек, обычно это происходит на поздних стадиях заболевания.

При двустороннем поражении артерий почек наблюдается сниженная скорость клубочковой фильтрации и подъем уровня креатинина в крови.

Наиболее точным методом считается сравнение активности ренина в крови, которую получают из нижней полой вены, и активности ренина плазмы, взятой во время катетеризации почечной вены. Такой инвазивный метод диагностики чреват осложнениями, поэтому его применяют только в случаях крайней необходимости.

Лечение РВГ

Цель врача – устранить причину сужения сосудов, нормализовать кровообращение в почке, не допустить развития осложнений, оптимизировать артериальное давление. Чем раньше будет обнаружена болезнь и начато лечение, тем лучше будет результат.

Оперативное вмешательство

Самым эффективным методом считается хирургическая операция. Раньше при одностороннем поражении почки, единственным способом лечения, было ее удаление.

Сегодня такая операция назначается только в случае выраженного поражения почки и при значительных нарушениях ее работы. В наши дни чаще применяются операции, при которых орган удается сохранить.

Эффективность лечения зависит от причины болезни и от того, насколько рано была диагностирована патология.

Предпочтение оперативного лечения объясняется тем, что лекарственная терапия имеет много побочных действий. Как правило, назначают несколько медикаментозных препаратов, которые могут плохо взаимодействовать между собой. Кроме того, гипотензивная терапия требует значительных материальных затрат.

Следует сказать, что технически удачно проведенная операция, в результате который была восстановлена проходимость артерий и нормализован кровоток, еще не гарантирует хороших клинических результатов.

Наиболее часто применяемые хирургические методики – это открытая операция и более щадящее вмешательство – чрескожная ангиопластика.

Ангиопластика чрескожная

Это менее травматичный метод по сравнению с открытой операцией и не требует общего наркоза и длительного нахождения в больничном отделении.

Реноваскулярная гипертензия - лечение, причины Ангиопластика заключается в ведении в пораженный сосуд катетера с баллончиком

Как правило, доступ производится через бедренную артерию. Считается, что риск этой операции невелик, хотя и не исключаются некоторые осложнения:

  • разрыв сосуда;
  • кровотечение;
  • распад холестериновой бляшки и развитие эмболии.

Ангиопластика чрескожная противопоказана, если почечная артерия сужена в области устья или ее просвет полностью закрыт. В этом случае высок риск повторного сужения в этой же зоне в первый год после оперативного вмешательства. Особенно это касается пациентов с атеросклеротическим происхождением стеноза.

Открытая операция

В этом случае происходит удаление бляшки и вместе с ней пораженного участка сосуда или только участка внутреннего слоя артерии (интимы). Затем удаленный участок заменяют искусственным или собственным крупным сосудом пациента.

Открытая операция позволяет не допустить турбулентности кровяного потока и провести более полную реконструкцию артерии с удалением пораженной интимы и атероматозных масс, которые могут воспаляться и вызывать рестеноз. Во время открытого хирургического вмешательства можно проводить лечение, а также протезирование других крупных артерий в случае распространенного атеросклероза.

При открытой операции довольно высокий риск осложнений, обычно связанных с наркозом и потерей крови, что особенно касается пациентов старшего возраста.

Итоги операций

Хирургическое лечение реноваскулярной гипертензии и его результат зависит от возраста больного и происхождения и особенностей развития стеноза.

С помощью чрескожной ангиопластики удается устранить причину гипертензии, нормализовать давление и отменить гипотензивные препараты при РВГ, обусловленной фибромускулярной дисплазией. Полного или частичного, при этом стойкого эффекта удается достичь примерно в 90 % случаев.

При РВГ, вызванной атеросклерозом почечной артерии, результат операции, как правило, значительно хуже (эффективность составляет не более 15 %), а риск осложнений высокий. Особенно малоэффективно лечение у диабетиков, больных с распространенным атеросклерозом и длительно протекающей гипертензией.

При ишемическом поражения почки главная цель операции – сохранение ее функциональности, чего удается добиться более чем в 70 % случаев.

Хирургическое лечение бывает неэффективным в случае длительно протекающей артериальной гипертензии, при малом размере почки и продолжительном и устойчивом снижении ее фильтрующей функции.

В таком случае обычно не удается избежать прогрессирования болезни, что заканчивается развитием почечной недостаточности.

Чаще всего при артериальном стенозе назначают чрескожную ангиопластику со стентом. В случае полного закрытия сосуда, сужения артерии почки в районе устья, а также при неэффективности чрескожного вмешательства делают открытую операцию.

Консервативное лечение

Терапия включает немедикаментозные методы и лечение лекарственными препаратами.

Немедикаментозное лечение предполагает обязательное соблюдение диеты с пониженным содержанием соли (не более 3 г в сутки) и отказ от курения.

Терапевтическое лечение назначают при системном поражении сосудов, и это единственный метод в данном случае. Положительного результата иногда удается достичь даже при злокачественном течении болезни.

Консервативное лечение может быть оправдано и при атеросклеротическом стенозе, и при фибромускулярной дисплазии.

Из гипотензивных препаратов показаны:

  • Ингибиторы АПФ.
  • Блокаторы рецепторов ангиотензина.
  • Блокаторы кальциевых каналов.

Реноваскулярная гипертензия - лечение, причины При тяжелых формах болезни могут назначить до пяти лекарственных препаратов разных видов в высокой дозировке

Ингибиторы АПФ и блокаторы рецепторов ангиотензина эффективны в 80 % случаев на начальной стадии РВГ при фибромускулярной дисплазии и при одностороннем и умеренном атеросклеротическом стенозе.

Блокаторы ангиотензиновых рецепторов противопоказаны при двустороннем стенозе, поскольку могут вызвать острую почечную недостаточность и замедление и ослабление кровотока в почке. Осторожно их нужно принимать при атеросклеротическом стенозе со склонностью к быстрому сужению сосудов. Во время приема медикаментов этой группы необходим контроль уровня калия и креатинина в крови.

Лечение одним препаратом чаще всего не дает нужного эффекта, поэтому назначают несколько медикаментов разных групп:

  • диуретики;
  • бета-адреноблокаторы;
  • агонисты имидазолиновых рецепторов;
  • альфа-адреноблокаторы.

Монотерапия статинами может применяться в случае атеросклеротического стеноза артерий.

Заключение

При отсутствии лечения прогноз при реноваскулярной гипертензии, как правило, неблагоприятный в связи с повышенным риском развития осложнений. Если РВГ обнаружена на ранней стадии, с помощью современных методов лечения вполне возможно держать болезнь под контролем.

Реноваскулярная гипертензия: способы лечения и профилактики

Реноваскулярная гипертензия - лечение, причины

  • Дополнительное образование:
  • «Неотложная кардиология»

1990 — Рязанский медицинский институт имени академика И.П. Павлова

Контакты: popova@cardioplanet.ru

С понятием гипертонии сегодня знакомы все, кто хоть раз столкнулся с повышенным давлением. А вот название «реноваскулярная гипертензия» врачами чаще всего не озвучивается.

Они предпочитают называть ее по-другому – почечная гипертония. Это симптоматическая патология, так как исходным звеном в ее развитии является нарушение кровообращения в почках.

Что это такое — реноваскулярная гипертензия? И чем она отличается от обычной?

Пусковой механизм реноваскулярной гипертензии

Почечное кровообращение нарушается по разным причинам. Результат всегда один – уменьшение объема поступающей в них крови и кислородное голодание или ишемия почечной ткани.

Организм, спасая себя от гибели в результате развивающейся почечной недостаточности, включает компенсаторный механизм. Для увеличения кровотока запускается выработка фермента ренина. В результате нескольких биохимических превращений образуется ренин-ангиотензин-альдостероновая система (РААС).

РААС влияет на деятельность сердца и сосудов и участвует в регуляции артериального давления.

Ангиотензин II в ее составе оказывает сосудосуживающее действие, высвобождает катехоламины (норадреналин), увеличивает сопротивление периферических сосудов, способствует задержке жидкости в организме.

Все это вызывает реноваскулярную артериальную гипертензию. Почки – парный орган, поэтому поражение сосудов может быть односторонним или двусторонним.

Реноваскулярная гипертензия - лечение, причины

Причины и последствия сужения почечных сосудов

Реноваскулярная гипертония (второе название – вазоренальная) развивается чаще у мужчин в 40-50 летнем возрасте. Иногда наблюдается у детей и совсем молодых людей.

На нее приходится не более 5% случаев заболевания гипертонией. Поскольку основной причиной сужения почечных артерий является атеросклероз, женщины подвержены этой форме гипертензии только после 60 лет.

Кроме атеросклероза причинами нарушения почечного кровотока являются:

  • новообразования в почках, сдавливающие кровеносные сосуды (кисты, гематомы, опухоли);
  • фиброзно-мышечная дисплазия сосудов почек;
  • неспецифический аортоартериит Такаясу;
  • воспаление всех слоев почечной артерии или ее ответвлений, вызывающее сужение ее просвета;
  • закупорка почечной артерии тромбом или эмболом;
  • врожденные аномалии развития почек, в частности опущение почки (нефроптоз).

Аортоартериит Такаясу или болезнь отсутствия пульса характерна для детского и юношеского возраста. Она носит аутоиммунный характер. Врожденные аномалии могут вызывать перегибы артерий с резким сужением сосудистого русла.

Фиброзно-мышечная (фибромускулярная) дисплазия – это врожденный дефект, последствия которого в виде гипертензии проявляются в основном в детском, молодом и среднем возрасте. Патология характеризуется чередованием аневризм и фиброзных утолщений стенок артерий, отчего она приобретает вид четок.

Стеноз почечных сосудов носит механический характер. Поэтому выработка биологически активных веществ в виде РААС не в состоянии восстановить нормальное кровоснабжение путем подъема артериального давления.

Реакции на производство ренина не происходит — кровеносные сосуды остаются суженными и плохо пропускают кровь.

Ишемизация почечной ткани продолжается, что заставляет ее постоянно вырабатывать ренин, поэтому кровяное давление остается стабильно высоким.

Реноваскулярная гипертензия - лечение, причины

Симптомы и признаки

Разница между эссенциальной и реноваскулярной гипертензией заключается в том, что первая происходит из-за спазма сосудов. Она носит первичный характер. Вазоренальная гипертония всегда вторична, она является признаком почечной патологии. Несмотря на различие патогенеза симптомы у них примерно одинаковы:

  • стойкое повышение кровяного давления;
  • частые головные боли, иногда сопровождающиеся носовыми кровотечениями;
  • тошнота;
  • чувство сдавливания в груди;
  • гул в ушах.

Специфическим признаком, по которому чаще всего устанавливают почечное происхождение гипертонии – это повышенное диастолической («нижнее») давление при относительно нормальных показателях систолического (например, 140/110 мм ртутного столба). Другие клинические признаки, которыми проявляется реноваскулярная гипертензия:

  • невозможность снизить давление гипотензивными препаратами;
  • минимальные изменения в анализе мочи при нарастающем снижении функции фильтрации;
  • при физикальном осмотре прослушивается систолический шум в почечной артерии.

Реноваскулярная гипертензия обычно имеет тяжелое течение и неблагоприятный прогноз. Она сопровождается следующими осложнениями:

  • увеличением левого желудочка сердца;
  • поражением глаз – ретинопатией и даже отслоением сетчатки;
  • инсультом;
  • сердечной недостаточностью;
  • инфарктом миокарда
  • нарастающей почечной недостаточностью.

Реноваскулярная гипертензия - лечение, причины

Подобная картина чаще наблюдается у пожилых больных с атеросклеротическим поражением сосудов обеих почек. Легче протекает реноваскулярная артериальная гипертензия при одностороннем поражении. В этом случае часть функций берет на себя неповрежденная (коллатеральная) почка.

Одним из диагностических маркеров при атеросклеротическом стенозе почечных артерий является одновременное нарушение кровотока в нижних конечностях.

Как диагностируют вазоренальную гипертензию?

Видимые клинические проявления служат лишь толчком к дальнейшему углубленному обследованию пациента. Оно заключается в применении разных видов инструментальных исследований и проведении биохимических анализов. Для установления реноваскулярной гипертонии используют:

  • радиоизотопное рентгенографическое исследование почечных сосудов;
  • ультразвуковое исследование почек и забрюшинной области;
  • компьютерную и магниторезонансную томографию;
  • избирательную ангиографию сосудов почек.

Выбор наиболее информативных методов обследования производится индивидуально и зависит от состояния больного. Обычно применяется не более 1-2 способов. МРТ и рентгенографические методы диагностики используют для определения степени и места поражения сосудов, а также для решения вопроса о необходимости хирургического вмешательства.

Для проведения биохимического анализа на ренин кровь берется непосредственно из почечного сосуда со стороны поражения. Однако катетеризация почечной вены сопряжена с высоким риском для больного, поэтому используется только в крайне тяжелых случаях реноваскулярной артериальной гипертонии. Кроме того, проводится:

  • исследование крови на уровень креатинина, мочевины и электролитов (калия, натрия и других);
  • анализ мочи;
  • проба Реберга.

Реноваскулярная гипертензия - лечение, причины

Проба Реберга представляет собой одновременный анализ крови и мочи на показатели, свидетельствующие о наличии или отсутствии ухудшения работы почек. Для проведения анализа собирается суточная моча, а на следующий день натощак забирается кровь из вены для биохимического анализа.

Реноваскулярная гипертензия требует дифференциальной диагностики с эссенциальной гипертонией. Также ее дифференцируют с другими видами вторичной почечной гипертонии, вызванной хронической болезнью почек. В особо сложных случаях используется метод пункционной биопсии почечной ткани.

Лечение

Реноваскулярная артериальная гипертензия лечится двумя способами – консервативным и хирургическим. Консервативное лечение дает неплохой результат при раннем выявлении патологии.

Медикаментозная терапия

Для снижения давления применяют препараты нескольких фармакологических групп:

  • ингибиторы АПФ;
  • блокаторы ангиотензивных рецепторов.

Эти препараты дают положительный эффект в 80% случаев реноваскулярной гипертонии, вызванной фибромускулярной дисплазией. Их применение оправдано не только на ранних стадиях, но при одностороннем поражении.

На поздних стадиях они не дают видимого эффекта.

Более того, при двустороннем стенозе почечных артерий с явными нарушениями кровотока блокаторы РААС становятся опасными, так как могут вызвать острую почечную недостаточность.

Блокаторы медленных кальциевых каналов снижают давление, но их целесообразно использовать в сочетании бета- и альфа-адреноблокаторами и диуретиками. При атеросклеротической природе вазоренальной гипертензии обязательно назначают статины.

Диета

Прием препаратов от давления поддерживается диетой, направленной на нормализацию углеводного, жирового и пуринового обмена.

Главный враг почек – это избыток соли. Ограничение касается именно соленых, маринованных и копченых продуктов. Общее количество соли в сутки не должно превышать 3 г.

Не меньшее значение имеет и повышенное содержание мочевой кислоты в крови.

Поэтому исключаются или ограничиваются все продукты, которые ведут к образованию ее излишков в организме – это мясо и животные субпродукты, горох, лосось, молодая зелень.

В остальном диета мало отличается от той, которая предписана при обычной гипертонии, атеросклерозе и сердечных заболеваниях.

Хирургическое лечение

Хирургическое лечение является наиболее действенным способом избавиться реноваскулярной гипертензии.

В его пользу говорит большое количество побочных эффектов антигипертензивных средств и опасных лекарственных взаимодействий при проведении консервативной терапии.

Немаловажную роль играет и дороговизна медикаментов – ведь для лечения иногда требуется до 4 видов препаратов разного действия.

Хирургическое вмешательство производится двумя путями – чрезкожным и открытой операцией. Чрезкожный метод – это баллонная ангиопластика. С помощью открытой операции проводится стентирование пораженных сосудов почки, шунтирование (создание обходных путей для кровотока) и ангиопластика.

Можно ли помочь себе народными рецептами?

Народные средства в качестве вспомогательной терапии принесут пользу при стенозе почечных сосудов атеросклеротическими бляшками. На начальной стадии помогает настой из березовых листьев, цветков боярышника, почечного чая, пустырника и перечной мяты.

Отлично чистит сосуды свекольный сок. Но его можно принимать только в разбавленном виде. Лучше всего разбавлять его теплой водой с медом. Разжижает кровь настой чеснока на воде. Гипотензивным действием обладает отвар сырых семян тыквы или подсолнуха.

Прогноз

Неблагоприятный прогноз реноваскулярной гипертонии наблюдается при отсутствии лечения и заключается в крайне негативном влиянии на работу сердца и сосудов – коронарных и церебральных. Благоприятный исход болезни обусловлен своевременной диагностикой и ранним началом лечения патологии.

Реноваскулярная артериальная гипертензия: что это такое, симптомы и лечение

Рассмотрим особенности реноваскулярной гипертензии, что это за болезнь, причины, симптомы, опасность и методы лечения заболевания.

Реноваскулярная гипертензия - лечение, причины

Суть патологии

Реноваскулярная (вазоренальная) гипертония – это стойкое повышение артериального давления (свыше 140/90), на фоне ишемии одной (обеих) почки, вызванное сужением почечных артерий или их ветвей.

Согласно международной классификации болезней МКБ-10, реноваскулярной гипертензии присвоен код I15.0. Патология носит вторичный характер, диагностируется у 5% людей, страдающих от стойкого повышения АД.

Сужение артерий вызывает снижение перфузионного давления в органе, что провоцирует усиление секреции ренина – фермента, вырабатываемого почками и участвующего в регулировании АД, уровня калия, баланса жидкости.

Далее происходит превращение ангиотензиногена в ангиотензин I, с дальнейшим его преобразованием в ангиотензин II – мощный сосудосуживающий гормон, стимулирующий выработку альдостерона.

Результат – повышение показателей давления.

Реноваскулярная гипертензия - лечение, причины

Причины развития патологии

Вазоренальная гипертензия развивается на фоне врожденных и приобретенных заболеваний.

Патологии врожденного характераПриобретенные заболевания
Ишемия почек — результат:

  • фибромускулярной дисплазии, аневризмы, гипоплазии сосудов почек;
  • прямого соединения артерии с веной;
  • аномального развитии аорты.
Патологические процессы вызваны:

  • атеросклеротическим стенозом, тромбозом, эмболией, аневризмой;
  • стенозом почечных артерий, вен при нефроптозе;
  • панартериитом;
  • сдавливанием артерий органа снаружи опухолями или инородными телами.

Примерно у 60-70% пациентов вазоренальная гипертония связана с атеросклерозом, который чаще наблюдается у взрослых мужчин. Фибромускулярная дисплазия, приводящая к стойкому повышению АД, диагностируется в 30-40% случаях, преимущественно у молодых женщин. Очень редко гипертония появляется при наличии других причин (1%).

Реноваскулярную гипертензию и ишемическую нефропатию провоцирует гемодинамические значимый стеноз артерий (более 75% от их диаметра), визуально выявляемый в ходе ангиографии или ультразвукового исследования.

Клинические проявления

Симптомы реноваскулярной артериальной гипертензии идентичны с проявлениями эссенциальной (первичной) формы заболевания. Человек подвергается:

Реноваскулярная гипертензия - лечение, причины

  • головным болям, чувству тяжести в голове;
  • слабости, недомоганию;
  • тахикардии;
  • ознобу, потливости;
  • нарушению зрительных функций;
  • перепадам настроения, раздражительности;
  • нарушению сна;
  • одышке;
  • загрудинным болям.

Урологическая патология дает о себе знать чувством тяжести, тупыми болями в области поясницы, при инфаркте почки – гематурией.

Патологические процессы могут характеризоваться следующими особенностями, позволяющими предположить у пациента стеноз:

  • возникновением гипертонии до достижения человеком 30 летнего возраста или после 50 лет, при этом генетическая предрасположенность отсутствует;
  • неожиданным возникновением артериальной гипертензией или внезапным ухудшением ранее доброкачественной гипертонии;
  • стремительным прогрессированием гипертонии;
  • быстрым поражением органов мишеней;
  • поражением других сосудов. Возможна диагностика ишемии сердца, атеросклероза артерий ног, аневризмы аорты;
  • резистентностью гипертензии к медикаментозной терапии;
  • снижением функции почек при приеме блокаторов ренин-ангиотензин-альдостероновой системы.

У пациента, возможно ничем не обусловленное уменьшение размеров почки или появление разницы между длиной почек более 1,5 см, а также развитие отека легких, застойной хронической сердечной недостаточности или рефракторной стенокардии.

Стойкое повышение артериального давления, а также возникновение даже одного из вышеперечисленных симптомов – повод обращения к врачу для проведения диагностики, назначения оптимального лечения реноваскулярной гипертонии.

Диагностические мероприятия

Диагностические исследования, направленные на определение стеноза проводятся при дебюте артериальной гипертензии у пациентов до достижения ими 30 летнего возраста (если отсутствуют факторы риска ее развития), гипертонии третьей степени, а также в случаях:

  • стойкого ухудшения контролируемой, а также не поддающейся лечению и злокачественной артериальной гипертензии;
  • острого снижения функции почек при применении блокаторов ренин-ангиотензин-альдостероновой системы (РААС);
  • ничем не обусловленного уменьшения размеров органа или разницы между длиной почек больше 1,5 см.

Систолическое давление при реноваскулярной гипертензии повышается до уровня 110-120 и больше. При этом измерение АД необходимо проводить при нахождении пациента в стоячем и лежачем положении, до и после физических нагрузок.

Далее больного направляют на прохождение лабораторных и инструментальных исследований.

Лабораторные исследования часто позволяют определить наличие гипокалиемии, протеинурии, гематурии, полицитемии, повышение уровня креатинина.

К наиболее распространенным диагностическим методам выявления стеноза артерий почек, относят ультразвуковую допплерографию, магнитно-резонансную ангиографию, почечную сцинтиграфию, экскреторную урографию, внутривенную пиелографию. Исследования проводятся для определения состояния сосудов, выявления атеросклеротического процесса, стеноза, тромбов, оценки качественного характера кровотока, его скорости.

Необходимо проведение дифференциальной диагностики с гипертензиями нейрогенного характера, нейроциркуляторной дистонией, атеросклеротической гипертензией, синдромом Иценко-Кушинга, первичным альдостеронизмом, феохромоцитомой, хроническим пиелонефритом и другими патологиями.

Особенности лечения

  • Для устранения гипертонии целесообразно назначение:
  • Применение диуретиков при реноваскулярной гипертензии должно быть осторожным, зависит состояния мочевыделительной системы.
  • Иногда возможен длительный прием статинов (Симвастатина, Аторвастатина).

Во время проведения терапевтических мероприятий пациент должен посещать терапевта один раз в три месяца, ангиохирурга – раз в полгода.

Помощь узкопрофильных специалистов необходима при сопутствующих патологиях.

Также от больного требуется: отказаться от сигарет, злоупотребления алкоголем, не переохлаждаться, нормализовать вес, вести активный образ жизни, сбалансировать рацион (ограничить употребление соли, жиров и углеводов).

Плановая госпитализация рекомендуется при:

  • невозможности снизить показатели артериального давления лекарственными средствами;
  • отказе пациента от проведения лекарственной терапии или риске побочных эффектов;
  • желании пациента сохранить функцию почки.

Специалисты лечебных учреждений прибегают к следующим хирургическим вмешательствам:

  • эндоваскулярным процедурам (стентированию, баллонной ангиопластики состентированию);
  • реконструкции почечных артерий (почечной и трансаортальной эндартерэктомии, аорторенальному протезированию, шунтированию);
  • нефрэктомии (применяется в исключительных случаях).

Количество летальных исходов после проведения операции не превышает 0-6%, гипертония проходит на протяжении полугода.

Последнее обновление: Август 22, 2019

Оставить комментарий

Ваш e-mail не будет опубликован. Обязательные поля помечены *