В последнее время онкологические заболевания диагностируются всё чаще. Лейкоз представляет опасное злокачественное новообразование, поражающее кроветворные органы. На ранних стадиях болезнь протекает бессимптомно, что усложняет процесс диагностирования.
Симптомы болезни проявляются на более поздних стадиях. Врачи и учёные давно ищут варианты выявления лейкоза на ранних сроках. Анализ крови при лейкозе сразу покажет имеющиеся отклонения в показателях. Врачи рекомендуют сдавать кровь ежегодно.
Это позволит выявить заболевание на ранних сроках.
Виды анализов для определения лейкоза
Лейкемия обладает специфическими признаками, которые проявляются у взрослых и у детей. Болезнь также имеет достаточно несвойственных симптомов, по которым трудно поставить правильный диагноз.
Симптомы часто схожи с другими болезнями. Для уточнения требуется пройти диагностику. По имеющейся симптоматике врач примет решение о типе анализов и количестве.
В основном врачи назначают следующие виды диагностики:
- Общий анализ крови (ОАК) поможет определить уровень основных показателей – количество лейкоцитов, эритроцитов, базофилов, СОЭ и других элементов. Показатели данных элементов являются одними из самых важных в определении отклонений в организме.
- Биохимия по крови показывает нарушения в функционировании внутренних органов. По результату анализа принимается решение о методе терапии, чтобы улучшить самочувствие больного.
- Диагностировать лейкоз также принято проведением пункции костного мозга с лимфатическими узлами. Ультразвуковое исследование, томография, рентгенография и скопия считаются уточняющими методиками для предварительного диагноза по общему анализу крови.
Уточнить имеющиеся признаки лейкоза по анализу крови можно в короткие сроки – показатели основных элементов в крови, выходящие за границы нормы, подскажут степень поражения организма.
Клетки крови при тысячекратном увеличении
Общий анализ крови
Общий анализ способен определить наличие многих заболеваний, воспалений и отклонений в функционировании внутренних органов и систем организма. Если картина основных элементов в анализе не меняется, то организм работает без отклонений и нарушений. Для диагноза учитываются следующие элементы:
- Наблюдается повышенное СОЭ – это говорит о наличии возможных патологий. Чтобы подтвердить рак крови, нужно сравнить остальные показатели.
- Лейкоциты могут быть выше нормы или ниже. При остром или хроническом лейкозе уровень зависит от стадии процесса и формы патологии. Острый лейкоз характеризуется агрессивным делением клеток, что выражается в повышении показателя от нормы. У ребёнка дошкольного возраста и подростка часто наблюдается разница в показаниях уровня лейкоцитов.
- Выявление клеток с разными размерами говорит о наличии анизоцитоза.
- При лейкемии тромбоциты снижаются в 10-15 раз (при норме 180-320). Начальная стадия может показывать нормальный уровень.
- Снижение эритроцитов до 1-2*109/л указывает на онкологический процесс в организме. Клетка отвечает за транспортировку кислорода к тканям и органам. Дефицит транспорта провоцирует одышку и головную боль у человека. Злокачественный процесс на ранней стадии не влияет на количество эритроцитов в составе крови.
- Ретикулоциты – это зародышевые клетки эритроцитов. Низкий показатель присутствует на ранней стадии опухоли.
- Гемоглобин снижается на более поздних сроках болезни. Показатель в 50 или 60 г/л считается главным признаком лейкемии. Но для этого врач исключает причины снижения, связанные с другими заболеваниями – дефицит витамина В12 с железом и сильное кровотечение.
- Отсутствие базофилов с эозинофилами говорит о присутствии онкологии, поразившей кроветворение организма.

Клинический анализ проводится у пациентов одинаково, независимо от возраста. Этот вид диагностики – обязательное мероприятие в программе сбора анамнеза. У детей острый лейкоз имеет лимфобластный характер, у взрослых – в основном миелобластный. Хронический лейкоз встречается у людей старше 45 лет.
Лейкоциты
Лейкоциты – это клетки, отвечающие за защиту организма от инфекционных и вирусных веществ в организме. При заболевании форма и структура лейкоцитов терпит изменения, которые сказываются на их функциональности. Болезнь может повысить или уменьшить количество клеток. Анализ крови с пункцией костного мозга позволяет обнаружить степень поражения организма.
Любые изменения в показателях показывают присутствие болезни. Лимфоциты по своей структуре неоднородны и отличаются видом. Низкие либо повышенные показатели (лейкоцитоз) не только при лейкозе.
Это возможно во время других заболеваний – внутренних воспалений или вирусного поражения. Есть пример протекания болезни на фоне нормального количества лимфоцитов. Но лейкоцитарная система сдвигается в сторону агранулоцитов или гранулоцитов.
Гранулоциты в основном повышаются при инфекционном заболевании.
Тромбоциты
Тромбоциты в составе кровообращения выполняют важную функцию – останавливают кровотечение. При травмировании сосудов система оперативно образует тромб для остановки кровотечения.
В норме их должно содержаться от 180 до 360 у мужчин и женщин. Лейкемия влияет по-разному – возможно повышение (тромбоцитоз) или понижение (тромбоцитопения).
Опасным диагнозом считается тромбоцитопения – снижается функция свертываемости (ДВС-синдром).
Снижение тромбоцитов возможно при лейкозе, гепатитах и системной красной волчанке. Повышение уровня встречается при эритремии, раковой опухоли в области поджелудочной железы и после операции.

Эритроциты и гемоглобин
Эритроциты содержат гемоглобин для транспортировки кислорода к тканям и органам человека. Уровень эритроцитов зависит от количества гемоглобина. В норме их должно быть 4-5*1012/л. На последних стадиях лейкемии показатель снижается до 1-2*1012/л.
Снижение гемоглобина вызывает острое состояние анемии, которая характеризуется следующими признаками:
- Ощущается сильная усталость со снижением работоспособности.
- Кожа становится сухой и бледной.
- Ногтевые пластины становятся ломкими и тонкими, волосы выпадают.
- Лёгкие физические нагрузки сопровождаются частым сердечным сокращением и одышкой.
- Наблюдается смена вкусовых предпочтений.
- В ушах присутствуют посторонние шумы, приступы тошноты и головокружение.
- Нестабильный эмоциональный фон.
Данные симптомы ухудшают состояние больного, осложняя процесс терапии.
Гематокрит
Гематокрит – это соотношение эритроцитного объёма к плазме. Показатель напрямую связан с количеством эритроцитов. Болезнь влияет на весь кроветворный состав.
Гематокрит помогает обнаружить степень анемии. Развитие анемии снижает количество до 25% и ниже. Сильная кровопотеря с переливанием крови не учитывает данные гематокрита из-за поздней реакции на смену основных элементов. Также нужно правильно сдать анализ, так как значение меняется в зависимости от положения тела.
СОЭ во время болезни
СОЭ – это значения процесса оседания эритроцитов. Учитывается скорость данного процесса. На фоне рака картина выглядит не так, как в нормальном состоянии. Обычно скорость увеличивается. Связано это с нарушением в работе иммунной системы и наличием вторичного инфекционного поражения. На основании этого значения врач может понять состояние больного.
Аппарат для проведения анализа СОЭ крови
Лейкоцитарная формула
Диагностика больного на лейкоз также включает оценку лейкоцитарной формулы. Здесь учитывают не количество лейкоцитов, а важно выявить качественное изменение. Количество часто остается без изменений, но наблюдается качественный дисбаланс. Анализ показывает зрелые и молодые формы, без присутствия промежуточных форм.
Онкология провоцирует снижение ретикулоцитов. Особенность лейкоцитарной картины зависит от вида лейкоза – возможно увеличение и снижение.
Анализ у детей
Дети подвержены острой форме заболевания. В группе риска находится возрастная категория от 2 до 5 лет. При хроническом типе симптомов часто не выявляется, но болезнь возможно определять по значениям главных элементов крови. Распознать развитие злокачественной опухоли можно по следующим признакам:
- Резкое понижение уровня гемоглобина с эритроцитами;
- Эритроциты оседают с высокой скоростью;
- Уменьшается количество ретикулоцитов;
- Нестабильное значение лейкоцитов;
- Тромбоциты смещаются в сторону уменьшения.
Врачи рекомендуют ежегодно сдавать анализ крови на клиническую картину и онкомаркеры.
Миелолейкоз
При миелолейкозе возможно выявление повышения лейкоцитов и уменьшение тромбоцитов – это характерно хроническому типу заболевания. Активно развивается анемический синдром с уменьшением эритроцитного уровня. На начальной стадии развития опухоли выявляется эозинофилия, базофилия и рост СОЭ.
Дальнейшее формирование раковой опухоли приводит к аномальной смене формы и размеров главных элементов – пойкилоцитоз с анизоцитозом. Биохимия часто выявляет снижение или отсутствие щелочной фосфатазы.
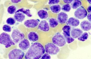
Лимфобластный криз под микроскопом
Лимфобластный криз характеризуется острой формой анемии с критически увеличенными значениями бластных клеток и минимальными – нейтрофилов. Острый миелолейкоз определяется лейкоцитозом, молодыми генами.
Биохимический анализ
Прогноз на лейкемию также составляют на основании биохимического анализа крови. Врач составляет клиническую картину о работе органов и внутреннему состоянию тканей. Лейкоз характеризуется следующими значениями:
- Увеличивается уровень мочевины с мочевой кислотой – нарушения в работе почек.
- Увеличенный уровень гамма-глобулинов говорит об отклонениях в функционировании органов пищеварительного тракта.
- Сбой в работе печёночных клеток говорит об увеличении показателей билирубинов, АСТ с АЛТ и ЛДГ.
- Снижение значений сахара характеризует неправильную работу поджелудочной железы.
- Тяжёлое поражение тканей печени выявляется снижением альбумина с фибриногеном, но иногда их значения остаются в норме.
Как отличить острую и хроническую лейкемию по анализу крови
Острый лейкоз характеризуется:
- Увеличение уровня лейкоцитов незрелой формы и бластов – незрелые эритроциты, промиелоциты с миелоцитами и лимфоцитов. Уровень незрелых превышает количество зрелых патогенов.
- Выявляется отсутствие промежуточного звена лейкоцитов или минимальный объём.
- Главные клетки крови уменьшаются.
Хронический лейкоз определяется:
- Повышение значений лейкоцитов обусловлен зрелыми формами. Присутствуют в тканях печени, селезёнки и лимфоузлов. Бласты представлены в уменьшенном объёме.
- Остальные клетки характеризуются минимальным объёмом.
Анализ картины крови при лейкозе у взрослых и детей: показатели и признаки
Это грозное заболевание может быть обнаружено при помощи самого простого анализа крови из пальца. Ранняя диагностика дает возможность сохранить пациенту жизнь. Поэтому важно в профилактических целях проверять состав крови хотя бы раз в году.
Лейкоз или рак крови?
Нарушение процесса деления кровяных клеток, их дальнейшего функционирования может быть признаком ракового процесса в крови. Патология включает большую группу разновидностей болезни. Название «рак крови» является общим для всех.
Если онкология затрагивает область костного мозга, и он в результате продуцирует злокачественные клетки, то такое нарушение называют лейкоз.
Если процесс происходит вне тканей костного мозга, то такие патологии называют гематосаркома.
Подготовка перед забором
Состояние крови в виде количественного и качественного представительства клеток реагирует на повышенные нагрузки, воздействия, происходящие от диагностической аппаратуры, принятой недавно пищи, стрессов. Поэтому, чтобы определить лейкоз по анализу крови, перед анализом проводят несложную подготовку:
- Забор крови чаще делают с утра, перерыв между приёмами пищи должен быть от восьми часов и более. Для общего анализа допускается шесть часов. Воду можно пить.
- Если пациент принимает лекарства, желательно сделать перед процедурой перерыв в две недели. Если это условие выполнить сложно, необходимо хотя бы предупредить врача о том, какие принимаются препараты.
- В случае проведения других исследований приборами или при помощи инструментов, рекомендуется сделать перед проверкой крови паузу на пару дней.
- Не следует принимать жирную пищу за два дня до обследования.
- Перед процедурой провести в спокойном состоянии хотя бы тридцать минут.
- Курильщикам следует перед процедурой час не курить.
Способы диагностики
Самый распространённый и традиционный анализ крови, который называется общий или клинический способен определить лейкоз. Поэтому часто обнаруживается болезнь при прохождении профилактического обследования.
Биохимический анализ проводится, если есть подозрение на онкологию. Он помогает уточнить вид лейкоза и насколько далеко зашёл процесс.
Возникает, если анализ крови информирует о недостаточном количестве гемоглобина. Это же название подходит к случаям, когда нехватка эритроцитов.
Нарушение проявляется в самочувствии и внешним симптомам:
- упадок сил,
- выпадение волос,
- кожные покровы выглядят бледными,
- одышка,
- искажённое чувство вкуса,
- ногти принимают ложкообразную форму,
- в ушах звенящий звук,
- частые головокружения,
- раздражительность,
- сердцебиения, которые появляются при нагрузке, даже если она небольшая.
Изменение количества тромбоцитов

Нормальное число этих клеток 150 ÷350 тысяч в одном мкл.
Отклонение количества тромбоцитов от нормы в сторону увеличения называют тромбоцитоз. Если уменьшение числа тромбоцитов – тромбоцитопения. Опасно, когда число уменьшается до 20 тысяч в одном мкл, происходят кровотечения.
Тромбоцитопения может развиваться при гепатите, красной волчанке, остром лейкозе и и ряде других патологий. Тромбоцитоз сопутствует эритремии, раке поджелудочной железы, случается после операций.
Изменение количества лейкоцитов
Клетки, которые следят, чтобы в кровь не попадали вредоносные вирусы и бактерии называются лейкоциты.
https://www.youtube.com/watch?v=9L2fgTdUUSg
Их нормальное количество в литре: 4-9 х 109. Изменение их количественного присутствия в крови в сторону уменьшения – лейкопения, а если больше нормы – лейкоцитоз.
Отклонения в количестве лейкоцитов всегда бывает как следствие определённых патологий. Лимфоциты могут изменять своё количество за счёт всех разновидностей или части их.
Могут быть случаи, когда общее количество лейкоцитарных клеток не изменяется, а перемены происходят в соотношении разновидностей лейкоцитов. Делятся на две группы:
- агранулоциты:
- гранулоциты:
- эозинофилы,
- нейтрофилы,
- базофилы.
Общий анализ крови при лейкозе и его показатели
На то, что пациент болён лейкозом, говорят показатели:
- Увеличение СОЭ.
- Изменение в количественном присутствии лейкоцитов. Оно может быть заметно занижено, или значительно повышено – это зависит от формы и степени развития болезни. Лейкоцитоз обозначатся значительным увеличением клеток.Лейкопения может сигналить о том, что присутствует острая форма разновидности лейкоза — монобластный. Колебания в показаниях количества лейкоцитов характерно для этой патологии. Особенно наблюдается у больных детского возраста.
- Случается анизоцитоз – лейкоцитные клетки присутствуют в крови разных размеров.
- Низкое присутствие тромбоцитов. Причём на начальной стадии возможно нормальное содержание. С развитием патологии усугубляется тромбоцитопения, и присутствие клеток опускается до 15 г/л.
- Пониженное количество эритроцитов. С развитием патологии значение количества эритроцитов может быть 1.5÷1.0 х 102 л. Эти элементы предназначены для обеспечения внутриклеточного дыхания. Они транспортируют кислород и утилизируют углекислый газ.
- Снижение присутствия до тридцати процентов наблюдается у ретикулоцитов. Эти клетки являются предшественниками эритроцитов.
- Анемия проявляется не сразу. На ранней стадии она может не наблюдаться. Позже появляются её признаки, которые со временем усугубляются.Показатель гемоглобина может опуститься до значения вдвое ниже нормы и даже до 20 г/л. Для специалиста это важная информация, особенно если причин для анемии (например, кровопотери) других нет.
- В составе крови отсутствуют разновидности лейкоцитов: базофилов, эозинофилов.
Анализ для разного возраста пациентов проводится по одинаковому принципу. Острый лейкоз у детей встречается чаще лимфобластный, а у взрослых миелобластный. Хронический лейкоз — болезнь в основном взрослого населения.
Биохимический

- показатели меньше нормы:
- альбумина,
- глюкозы,
- фибриногена;
- повышенная активность:
- уровня мочевины,
- АСТ,
- билирубина,
- ЛДГ,
- мочевой кислоты,
- гамма-глобулинов.
При остром лейкозе анализ помогает определить, к какому ростку кроветворения относятся бластные клетки.
Биохимический анализ с определением онкомаркеров добавит информации о заболевании. Исследование покажет, есть ли метастазы в других органах, поможет уточнить вид болезни и степень развития.
Так, острый лейкоз миелоидного вида может быть вызван поражением лейкемией клетки, которая относится к линии кроветворения:
- В-лимфоцитарной,
- или Т- лимфоцитарной.
Точность постановки диагноза влияет на правильный выбор лечебных мероприятий. Диагностика лейкоза по анализу крови у детей и взрослых не имеет значительных отличий.
Отличие острой лейкемии от хронической (по показателям)
Анализ состава крови при острой фазе лейкоза обнаруживает такие признаки:
- Повышенное содержание незрелых клеток лимфоцитов. Бластные клетки в зависимости от разновидности заболевших клеток могут быть представлены эритробластами, миелобластами, лимфобластами. Они составляют абсолютное большинство перед другими элементами.
- Для острой формы характерен лейкемический провал – превалирование в составе бластных клеток и почти полное отсутствие промежуточных форм лейкоцитов.
- Остальные виды клеток имеют заниженное количество.
Если у пациента хронический лейкоз, то наблюдаются такие показатели в анализе крови:
- Повышен уровень лейкоцитов за счёт зрелых зернистых форм. Эти элементы обнаруживаются в селезёнке, печени, крови, лимфоузлах. Бластные клетки если и присутствуют, то в незначительном количестве.
- Число других видов клеток занижено.
Как часто следует обследоваться?
Проверка крови на клинический анализ должна производиться не реже раза в год. Если есть опасения, что возможно проявление лейкоза, то рекомендуется сдавать анализ дважды в году.
Такое внимание к своему здоровью стоит проявлять людям:
- у которых есть онкологические больные среди родственников,
- персоналу, работающему с оборудованием, которое даёт ионизирующее излучение;
- если профессиональная деятельность создаёт необходимость контакта с вредными химическими веществами.
Расшифровка анализа крови при лейкозе
На данный момент частота встречаемости онкологических заболеваний достаточно быстро растет. Среди них значительную долю занимают опухоли кроветворной системы, или рак крови. На языке специалистов онкологов такие заболевания называются гемобластозами, особое место среди которых занимает лейкоз.
Заболевание очень серьезное, но мало кто знает, что первичная диагностика его проста, а многие сотрудники различных учреждений хотя бы раз в год ее проводят. Стандартный анализ крови при лейкозе показывает развернутую информацию о болезни.
Данное исследование поможет определить наличие заболевания, стадию, вид, методы лечения.
Заболевание, о котором многое расскажет анализ крови
Лейкоз (или лейкемия) представляет собой патологию, при которой происходит чрезмерный рост патологических клеток. При ней наблюдается повышение количества лейкоцитов, но эти клетки имеют ненормальное строение. Лейкозные клетки не проходят все стадии физиологического роста и развития, и в кровоток попадают недоразвитые лейкоциты.

По течению различают два вида:
- острый (при данном типе лейкоза в крови преобладают недифференцированные лейкоциты, прогнозы более неблагоприятные из-за злокачественного течения):
- хронический (при хроническом лейкозе в анализах наблюдаются более организованные типы лейкоцитов, прогноз более благоприятный, течение болезни носит доброкачественный характер).
- Острые лейкозы также подразделяются не несколько подтипов:
- недифференцированный,
- лимфобластный,
- миелобластный,
- монобластный,
- эритромиелобластный,
- мегакариобластный.
Причины белокровия
Единой причины возникновения лейкоза нет. Заболевание складывается на фоне действия нескольких вместе взятых причин, это так называемые онкогенные факторы.
Среди них значительное место занимают ионизирующее излучение, действие некоторых химических веществ, вирусы (ДНК-вирус Эпштейна – Барр).
Количество больных лейкозом возрастало после сильных техногенных катастроф, приводящих к атомным взрывам.
Наследственный характер заболевания ярко прослеживается при лейкемии у детей. При разговоре с родителями больного ребенка часто выясняется, что болезнь была и у кого-то из членов семьи.
Симптомы лейкоза
В самом начале болезни характерных симптомов может не быть. По мере развития лейкоза начинают проявляться нарушения общего состояния.
Беспокоят слабость, частые головные боли, повышение температуры тела без явной на то причины, усиленное потоотделение, иногда наблюдаются понижение массы тела, частые кровотечения, увеличение лимфатических узлов.
Быстрая утомляемость, отсутствие интереса к детским развлечениям особенно заметны при лейкозе крови у детей. Частые обострения респираторных инфекций являются одним из признаков лейкоза.
Все эти симптомы бывают и при многих других заболеваниях. Поэтому для безошибочной постановки диагноза необходимо проведение дополнительных способов обследования.
Лейкемии подвержены две возрастные группы. Первая и наиболее распространенная включает людей после 55 лет. Также дети в возрасте трех – четырех лет входят в группу риска возникновения лейкоза.
До анализа крови
До проведения анализов производится тщательный сбор жалоб и симптомов болезни. Выясняется наследственная предрасположенность, возможность воздействия причинных факторов и их длительность. Уточняется характер жалоб, их длительность у больного.

У многих возникает вопрос: можно ли по анализу крови на лейкоз поставить диагноз? Ответ очевиден. Именно общий анализ крови при лейкозе стоит на первом месте при составлении плана обследования. Также назначается биохимический анализ крови при лейкозе, который дает более широкое представление о нарушениях в организме.
Назначаются исследования на определение онкомаркеров. Для определения состояния некоторых органов, подвергшихся патогенному действию бластных клеток, проводят ультразвуковое, магнитно-резонансное исследования. Обязательно взятие анализов мочи, кала. Проведение пункции из спинномозгового канала внесет ясность о типе лейкоза.
Осуществление полного и всестороннего исследования даст точную оценку состояния больного.
Анализ крови при лейкемии
Анализ крови при лейкозе производится по общепринятой схеме. Забор биоматериала осуществляется натощак или через 8 часов после последнего употребления пищи. Пить воду не запрещается.
Накануне необходимо исключить из рациона жирную, острую, слишком сладкую пищу, алкоголь и наркотические препараты. Если пациент принимает какие-либо курсовые медикаменты, необходимо обсудить прием лекарств со своим лечащим врачом.
Врач скажет, какие из препаратов, возможно, придется временно отменить.
Взятие анализа крови на лейкоз в основном проводят утром. Непосредственно перед проведением медицинской манипуляции необходимо соблюдать спокойный режим для, не совершать сильных физических нагрузок, избегать эмоциональных стрессов.
Особенности проведения анализа крови на лейкоз у детей
Анализ крови при лейкозе у детей проводят по той же схеме, как и у взрослых. Единственным отличием является более длительная подготовка ребенка к анализу.
Поэтому для того, чтобы процедура прошла благополучнее и не стала травмой для психики маленького пациента, родителям следует серьезно подойти к подготовке своего ребенка.
Они должны попытаться объяснить, что это практически безболезненная манипуляция, а главное, рассказать о важности ее проведения для малыша. В результате исследования крови у детей чаще ставится диагноз острого лимфобластного лейкоза.
Анализ крови в норме
Для понимания показателей болезни необходимо обратиться к нормативам. Анализ крови у здорового человека выглядит так:
- эритроциты 3,7 – 4,7х1012 (у женщин), 4 – 5,1х1012 (у мужчин);
- гемоглобин 120 – 140 г/л (у женщин), 130 – 160 г/л (у мужчин);
- ретикулоциты 0,2 – 1,2 %;
- цветовой показатель 0,85 – 1,5;
- тромбоциты 180 – 320х109;
- скорость оседания эритроцитов 2 – 15 мм/ч (для женщин), 1 – 10 мм/ч (для мужчин);
- лейкоциты 4 – 9х109.
Все эти данные дает общий анализ крови. Он же укажет на первые лабораторные признаки лейкоза.
При подтверждении диагноза назначается биохимический анализ крови, который предоставит дополнительные данные о ее составе.
По нему можно определить уровень белковой составляющей, щелочной фосфатазы, альбумина, мочевины, креатинина, аланинаминотрансферазы, глюкозы, аспартатаминотрансферазы, альфа-амилазы, лактатдегидрогеназы.
Нарушения состава крови при лейкозе
Одним из основных изменений в анализах чаще являются подвижки числа лейкоцитов. Иногда количество этих клеточных элементов остается в норме, а меняется состав. Появляются две крайние формы лейкоцитов (молодые недифференцированные и зрелые). Промежуточных форм нет.
Для того, чтобы прочитать и понять результаты анализов, нужно сравнить показатели нормы с полученными после исследования. Нормальные значения обычно пишутся на каждом бланке анализов сбоку от результатов проведения.
Поэтому понять, в норме ли все показатели, может любой человек.
Изменения затрагивают все показатели крови:
- снижается уровень эритроцитов;
- уменьшается количество ретикулоцитов;
- высокая скорость оседания эритроцитов;
- падает количество тромбоцитов;
- количество лейкоцитов выходит за пределы физиологической нормы (может наблюдаться как снижение числа лейкоцитов при лейкозе до минимума или полного отсутствия, так и повышение уровня лейкоцитов до сотен тысяч);
- иногда наблюдается анизоцитоз (появление в крови эритроцитов патологических размеров, чаще крупнее нормы);
- повышается уровень мочевой кислоты, билирубина.
Анализ крови на лейкоз дает очень широкое представление о болезни, показывает всю картину проявлений патологии в организме. При этом проводится просто и доступен каждому.
При ежегодной диспансеризации он стоит на первых этапах диагностики.
Поэтому, отказываясь от плановых медицинских осмотров, предусмотренных многими предприятиями, человек повышает риск пропустить первые признаки лейкоза крови у взрослых.
При подтверждении болезни назначаются длительные курсы химиотерапии, проводится лечение дополнительных симптомов. Иногда требуется хирургическое лечение, заключающееся в пересадке костного мозга. Бороться с болезнью сегодня стало возможным. Успех лечения во многом зависит от ранней диагностики и внимательности каждого к своему здоровью.
Загрузка…
Анализ крови при лейкозе
Анализ крови при лейкозе — один из самых простых и доступных способов диагностировать болезнь и определить ее степень. Патологические изменения, которые происходят при этом заболевании, затрагивают различные типы кровяных клеток.
Существуют и дополнительные анализы, которые необходимо сдавать в ходе проведения терапии, но самые простые клинические и биохимические исследования крови также окажутся информативными.
Поскольку первые признаки лейкоза неспецифичны, а лечение наиболее эффективно на ранних сроках, врачи рекомендуют ежегодно сдавать анализы крови в целях профилактики.
Характеристика заболевания и патологические изменения
Лейкоз (лейкемию) также называют раком крови. Это злокачественное заболевание, которое поражает органы кроветворения. У здорового человека кровяные клетки образуются красным костным мозгом, а затем проходят несколько этапов дифференциации. В кровяное русло они поступают уже в зрелой форме, при этом выделяют несколько разновидностей:
- эритроциты (красные кровяные тельца) — их ролью является транспорт газов;
- тромбоциты — отвечают за процессы свертывания крови и регулируют ее вязкость;
- лейкоциты (белые клетки) — выполняют защитную функцию и подразделяются на несколько фракций: лимфоциты, моноциты и гранулоциты.
При лейкозе наблюдается злокачественное перерождение тканей костного мозга, в результате чего он не вырабатывает клетки-предшественники в достаточном количестве. Также в кровяном русле появляется повышенное количество аномальных форм различных элементов. По этой причине они не могут выполнять свои функции, и пациент страдает от различных проявлений дефицита нормальных здоровых клеток.
СПРАВКА! В зависимости от локализации пораженного участка, выделяют несколько типов лейкоза. Их можно определить в том числе по показателям крови.
Алгоритм взятия крови для анализа
Результаты анализов могут отличаться в зависимости от физиологического состояния пациента, его образа жизни и питания. Чтобы показатели получились максимально точными, перед взятием материала для исследования важно правильно подготовиться. Комплекс мер, рекомендуемый врачами, включает несколько пунктов:
- процедуру проводят с утра, при этом должно пройти не менее 8 часов после последнего приема пищи (для общего анализа допускается перерыв 6 часов), воду употреблять разрешается;
- обязательно уведомить врача о систематическом приеме любых препаратов, по возможности отказаться от них на 2 недели или более;
- за час перед анализом следует избегать физических нагрузок, а также не курить;
- в течение нескольких дней воздержаться от приема жирной пищи и алкогольных напитков.
Лейкоз может не проявляться клинически, особенно на ранних стадиях. Пациента беспокоят слабость, быстрая утомляемость, головные боли и головокружения. В некоторых случаях болезнь обнаруживается во время плановых осмотров.
Клинический анализ крови
Общий анализ крови при лейкозе — один из наиболее доступных способов диагностировать патологию и определить ее стадию.
Для него достаточно взять капиллярную кровь (из пальца), но если планируется одновременное выполнение биохимического анализа — материал для исследования берут из вены.
Далее жидкость изучают под микроскопом, одновременно подсчитывая количество различных видов форменных элементов, а также их аномальных форм.
Для исследования обычно используется периферическая кровь, в некоторых случаях может понадобиться материал из вены
Нормальные показатели
Картина крови при клиническом анализе индивидуальна для каждого пациента, поэтому существуют широкие границы показателей нормы.
Чтобы получить максимально точную информацию, необходимо исследовать жидкость на разных участках предметного стекла. Далее проводится подсчет клеток, в результате чего можно определить их количество на единицу объема крови.
Для определения гемоглобина необходимо Нормальными показателями считаются следующие:
- эритроциты: 3,7–4,7*1012 (для женщин), 4—5,1*1012 (для мужчин);
- гемоглобин: 120–140 г/л (для женщин), 130 – 160 г/л (для мужчин);
- ретикулоциты: 0,2–1,2 %;
- тромбоциты: 180–320*109;
- СОЭ (скорость оседания эритроцитов): 2–15 мм/ч (для женщин), 1–10 мм/ч (для мужчин);
- лейкоциты: 4–9*109.
При подсчете форменных элементов учитывается также их размер и форма. У здорового человека допускается наличие небольшого количества аномальных эритроцитов, лейкоцитов либо тромбоцитов. Однако при белокровии их концентрация может даже превышать уровень нормальных форм, в результате чего пациент страдает от различных проявлений анемии.
Результаты при различных видах лейкоза
Выделяют несколько разновидностей лейкемии. Так, показатели крови при хронической форме будут отличаться от клинической картины острого лейкоза. Эти изменения зависят от степени поражения костного мозга и общего состояния пациента. Типичные результаты анализа могут включать следующие изменения:
Также прочитать:
Повышенное количество лейкоцитов в крови
- повышение скорости оседания эритроцитов;
- увеличение (лейкоцитоз) либо снижение (лейкопения) концентрации эритроцитов;
- анизоцитоз — появление аномальных форм лейкоцитов;
- снижение уровня эритроцитов и тромбоцитов;
- значительное уменьшение количества ретикулоцитов — предшественников эритроцитов;
- снижение либо полное отсутствие различных форм лейкоцитов, в том числе эозинофилов и базофилов.
Клинический анализ крови — только один из методов диагностики лейкоза. При подозрении на это заболевание могут понадобиться дополнительные анализы, в том числе пункция костного мозга.
Острые лейкозы
Острые формы лейкемии характеризуются значительным нарушением процессов кроветворения.
Один из типичных признаков — снижение концентрации гемоглобина (до 30—60 г/л), а также уменьшение количества эритроцитов, что в комплексе приводит к анемии.
Этот признак может не проявляться на начальных стадиях, а также выражен незначительно при лимфолейкозе. Также можно диагностировать значительное снижение числа тромбоцитов — у некоторых пациентов оно не достигает 20*109.
ВАЖНО! При острой форме наблюдается лейкемический провал — состояние, при котором в крови отсутствуют переходные формы клеточных элементов, а ее состав представлен незрелыми (бластными) формами.
Количество лейкоцитов может быть как снижено, так и повышено. Лейкопения (уменьшение числа этих клеток) составляет приблизительно половину всех случаев болезни и часто характерна для миелолейкоза.
При различных видах заболевания этот показатель может изменяться от 0,1—0,3*109 до 100—300*109. В капиллярной крови обнаруживается большое число незрелых (бластных) форм лейкоцитов.
У некоторых пациентов продукция нормальных клеток частично сохранена, но по мере прогрессирования болезни она постепенно утрачивается.
Хронический миелолейкоз
Эта разновидность редко обнаруживается на начальных стадиях. Вначале количество лейкоцитов увеличивается незначительно (в пределах 20—30*109), но со временем этот показатель возрастает до 200—300*109. Пациент в этот период жалуется на резкое ухудшение самочувствия. Также проявляются следующие признаки:
- повышение процентного содержания базофилов (до 20%);
- увеличение числа базофильных гранулоцитов;
- уровень гемоглобина и содержание эритроцитов без существенных отклонений;
- в фазе акселерации — быстрое повышение уровня лейкоцитов, снижение уровня эритроцитов и гемоглобина, тромбоцитоз;
- на терминальном этапе — снижение числа эритроцитов, тромбоцитов, лейкоцитов.
По мере развития болезни клиническая картина крови изменяется. Так, в терминальной стадии может проявляться бластный криз. При этом состоянии количество незрелых форм резко повышается и может достигать 20%. Самочувствие больного резко ухудшается, требуется экстренная терапия.
Результаты анализа могут отличаться в зависимости от формы и стадии лейкоза
Хронический лимфолейкоз
Характерный признак этой разновидности болезни — прогрессирующее повышение уровня лейкоцитов. Среди них преобладают лимфоциты, могут появляться незрелые формы. Также обнаруживаются тельца Гумпрехта и ридеровские формы. Концентрация остальных форменных элементов (эритроцитов, тромбоцитов) параллельно снижается.
Волосатоклеточный лейкоз
Это особая форма заболевания, при которой анемия диагностируется на раннем этапе. Типичным признаком становится обнаружение в крови аномальных видов лейкоцитов. Они имеют гомогенное молодое ядро, цитоплазму без зернистости. На ней находятся ворсинки, которые видны в световой микроскоп. Для постановки диагноза необходимо исследовать материал методом фазово-световой микроскопии.
Биохимический анализ крови
Биохимические исследования крови проводятся для анализа активности ферментов, в результате чего можно определить поражения различных органов и систем. У пациентов с лейкозом обнаруживается повышение активности билирубина, АЛТ и АСТ, мочевины, ЛДГ и глобулинов.
Одновременно происходит снижение количества альбуминов, глюкозы и фибриногена, который отвечает за процессы свертывания крови. Более информативным будет биохимический анализ с использованием онкомаркеров — они позволяют определить наличие метастазов в отдаленных органах.
Подведем итоги
Лейкоз — это опасное злокачественное заболевание, которое поражает органы кроветворения. Клинического анализа достаточно, чтобы поставить предварительный диагноз и контролировать эффективность терапии.
В периферической крови присутствуют все форменные элементы, необходимые для подсчета и постановки диагноза.
Дополнительно проводится биохимический анализ крови, может понадобиться исследование костномозгового пунктата.
Изменение показателей анализа крови при лейкозе
Рак крови или лейкоз
Рак крови врачи-онкологи называют гемобластозом. Понятие гемобластоз включает в себя группу опухолевых болезней кроветворной ткани. В случае, когда злокачественные клетки появляются в костном мозге, гемобластозы называются лейкозами. Если же злокачественные клетки развиваются вне костного мозга, говорят о гематосаркомах.
Лейкозами называют несколько видов заболеваний, при которых определенный тип кроветворных клеток перерождается в злокачественные клетки. Злокачественные клетки активно размножаются и замещают нормальные клетки крови и костного мозга.
Вид лейкоза зависит от того, какие именно кроветворные клетки превратились в злокачественные. Так, миелолейкоз развивается при нарушении нормального созревания лейкоцитов гранулоцитарных, лимфолейкоз – при дефекте продуцирования лимфоцитов.
Специалисты различают острые лейкозы и хронические лейкозы.
- Острые лейкозы характеризуются неконтролируемым ростом незрелых (молодых) клеток крови.
- Для хронического лейкоза характерно увеличение количества более зрелых клеток крови в лимфатических узлах, крови, печени, селезенке.
Чаще всего лейкоз появляется у детей 3-4 лет и у взрослых людей 60-69 лет.
Анализ крови при лейкозе
- Резкое понижение уровня гемоглобина в крови (анемия). Врача должно насторожить такое уменьшение данного показателя, если у пациента не было кровопотерь (операции, кровотечения). При этом анемия может отсутствовать в начальный период лейкоза. Но в развернутую фазу заболевания гемоглобин значительно понижается. Кроме того, сильно пониженный гемоглобин характерен при остром лейкозе.
- Снижение уровня эритроцитов (красные клетки крови, которые переносят кислород и углекислый газ) в крови. При этом количество эритроцитов уменьшается до 1,0-1,5×1012/л при норме 3,6-5,0×1012/л.
- Снижение содержания ретикулоцитов (в процессе кроветворения предшественников эритроцитов).
- Изменение количества лимфоцитов (белых клеток крови, которые ответственны за иммунитет организма). При этом число лейкоцитов может увеличиваться или уменьшаться. Особенно характерно такое колебание количества лейкоцитов у детей. Повышение или снижение уровня лейкоцитов в крови зависит от вида лейкоза и стадии заболевания.
- Лейкемический провал – наличие в крови преимущественно самых молодых клеток и незначительного числа зрелых форм (сегментоядерных и палочкоядерных нейтрофилов, моноцитов, лимфоцитов). Переходные клетки отсутствуют или же находятся в очень незначительном количестве. Такое состояние характерно для анализа крови при остром лейкозе.
- Уменьшение количества тромбоцитов (клетки, которые отвечают за свертываемость крови). Такое состояние называется тромбоцитопенией. Уровень тромбоцитов в крови снижается до 20×109/л при норме 180-320×109/л.
- Отсутствие в крови эозинофилов и базофилов, которые являются видами лейкоцитов.
- В общем анализе крови при лейкозе увеличивается значение СОЭ – скорости оседания эритроцитов.
- Наличие анизоцитоза – разный размер лейкоцитов в крови.
Анализы крови при лейкозе
Своевременная диагностика раковых заболеваний значительно повышает эффективность их лечения и улучшает прогноз для пациентов. Одним из методов такой диагностики являются анализы. Их правильная расшифровка позволяет определить, какие патологические процессы протекают в организме.
Чаще всего проводится комплексное обследование, включающее анализы крови, мочи, кала, суставной жидкости и других тканей. По анализу крови легче всего определить лейкоз или рак крови. Это злокачественное заболевание кроветворной системы, которое выражается в увеличении количества незрелых лейкоцитов – белых кровяных телец. Из-за этого болезнь еще иногда называют белокровием.
Эффективность лечения этой патологии повышается, если вовремя провести анализы и начать лечение.
Общая характеристика болезни
Лейкоз – это рак крови. Эту патологию называют еще белокровием или лейкемией. Ведь особенностью заболевания является то, что нарушается работа кроветворной системы, особенно функционирование красных кровяных телец.
Костный мозг производит большое количество незрелых лейкоцитов, которые не могут выполнять свои обычные функции. Причем они не гибнут через некоторое время, как обычные лейкоциты, а продолжают циркулировать в крови.
В результате этого кровь теряет свои функции и нормальная жизнедеятельность организма нарушается.
Симптомы лейкоза не являются специфическими, они могут присутствовать при разных других заболеваниях. Поэтому самым показательным способом диагностики этой патологии являются анализы крови. Их рекомендуется делать регулярно, особенно при появлении таких признаков:
- сильная слабость, снижение работоспособности;
- повышение температуры тела;
- неожиданное снижение веса;
- потеря аппетита;
- частое появление кровоизлияний под кожей;
- повышенная кровоточивость слизистых, кровотечения из носа;
- появление синяков;
- частые инфекционные заболевания;
- одышка;
- увеличение лимфоузлов.
Такое состояние должно стать поводом для обращения к врачу и полного обследования. Клинический анализ крови при этом поможет выявить заболевание на начальном этапе. Ведь эта патология вызывает серьезные изменения качественного и количественного состава кровяных телец.
Лейкоз бывает острым и хроническим. Обе формы патологии могут быть диагностированы не только у взрослого человека, но и у ребенка. При остром течении заболевания быстро происходит метастазирование, патология распространяется за пределы костного мозга. Это приводит к поражению всех внутренних органов, особенно печени и почек.
Частые носовые кровотечения должны стать поводом для обследования
У взрослых чаще всего встречается миелобластный острый лейкоз. Это злокачественная опухоль миелоидного ростка крови. Риск развития этой патологии повышается с возрастом, хотя встречается она нечасто. Миелолейкоз без лечения быстро приводит к смерти больного, поэтому так важно вовремя провести диагностику.
Детей чаще всего поражает острый лимфобластный лейкоз. Это самая распространенная разновидность заболевания. Лимфолейкоз характеризуется увеличением числа незрелых лейкоцитов или лимфобластов. При острой форме патологии быстро развивается поражение всех органов из-за того, что нарушаются функции кровяных телец.
Хронический лейкоз развивается медленно и часто бессимптомно. Больной при этом ощущает недомогание, слабость.
Внимание: специфических симптомов при лейкозе не наблюдается, только анализы помогают выявить заболевание на начальной стадии.
Это позволяет улучшить прогноз выздоровления. Поэтому даже при незначительном ухудшении самочувствия рекомендуется пройти обследование и сделать анализы крови.
Как по анализу определить лейкоз
Анализ крови при лейкозе – это основной метод диагностики. Есть характерные признаки картины крови, которые присущи только этому заболеванию. Прежде всего, это так называемый «лейкемический провал».
Этот показатель представляет собой наличие в крови только молодых лейкоцитов и зрелых клеток.
При этом отсутствуют переходные формы белых кровяных телец, которые наиболее важны для здоровья и крепкого иммунитета.
Анализы показывают значительные изменения в картине крови, как при острой стадии, так и при хронической. Они важны также для контроля эффективности проводимого лечения.
Расшифровка результатов и постановка диагноза производится врачом в зависимости от возраста и общего состояния здоровья больного. Обычно анализируются разные показатели. Изменения их могут наблюдаться при многих других патологиях, но наличие 2-3 признаков уже указывает на лейкоз.
Обычно это анемия, уменьшение количества эритроцитов и тромбоцитов, повышение СОЭ, анизоцитоз и отсутствие базофилов.
Анализ крови при лейкозе у детей обнаруживает те же изменения, что и у взрослых. Только нормы содержания форменных элементов различаются в зависимости от возраста. Обычно у детей встречается острая форма лейкоза, при которой показатели в анализах очень сильно выходят за границы нормы. Заболевают малыши обычно в 3-4 года, и патология у них проявляется в острой форме.
Чаще всего для диагностики этого заболевания проводится общий клинический анализ крови. Он позволяет оценить уровень лейкоцитов и других форменных элементов. Кроме того, назначается биохимический анализ. Он необходим для оценки состояния внутренних органов. Анализы крови при лейкемии проводятся также во время лечения. Это помогает контролировать эффективность терапии.
Во время ремиссии показатели крови значительно улучшаются и почти приближаются к норме. Но для того, чтобы сделать выводы о том, что лейкоз не развивается, нужны еще анализы костного мозга и другие обследования. При ремиссии в плазме сильно уменьшается количество бластных клеток, которых при острой форме заболевания может быть до 80%.
Общий анализ
Основным методом диагностики лейкоза является общий анализ крови. Он позволяет оценить количество всех форменных элементов и сравнить их с нормой. Основным диагностическим признаком заболевания является лейкемический провал. Он характеризуется отсутствием переходных форм белых кровяных клеток, при этом зрелых лейкоцитов очень мало.
Кроме того, состояние крови по общему анализу при остром лейкозе имеет другие особенности, которые позволяют врачу сделать вывод о наличии заболевания.
Повышенный уровень лимфоцитов в крови у женщин
- Анемия, или снижение количества гемоглобина при лейкозе, наблюдается всегда. При хронической форме он понижается постепенно, на начальных стадиях этого почти не заметно. При острой форме лейкоза анемия развивается резко. Обычно его уровень в 2 или даже больше раз ниже нормы.
- Уменьшается количество красных кровяных телец. Кроме того, нарушается функциональность и качество эритроцитов.
- Увеличивается или уменьшается количество белых кровяных телец. Лейкоциты обеспечивают иммунную защиту организма, а при этом заболевании их количество колеблется. Особенно такое состояние выражено у детей. Кроме того, некоторые виды лейкоцитов вообще отсутствуют – это эозинофилы, нейтрофилы и базофилы.
- Развивается тромбоцитопения, которая выражается в снижении количества тромбоцитов. При этом ухудшается свертываемость крови, из-за чего часто появляются синяки на коже.
- Сильно увеличивается скорость оседания эритроцитов.
- Наблюдается анизоцитоз. Это состояние, при котором размеры кровяных клеток разные, что нарушает их функциональность.
Эти показатели сильно отличаются от тех, что должны быть в норме у человека. Обычно на бланке анализа есть таблица, которая позволяет определить уровень отклонений.
Важно: при подозрении на лейкоз участковый врач направит пациента к онкологу, который проведет более тщательное обследование.
Сравнивая результаты с нормальными показателями, можно сделать выводы о наличии лейкоза.
Обычно при лейкозе уровень гемоглобина падает до 85 единиц и даже ниже, иногда до 20 г/л. СОЭ повышается до 20-30, количество эритроцитов падает до 1-1,5, а тромбоцитов – до 20 единиц.
Биохимия
Изучая показатели анализа крови при лейкозе, можно определить его стадию и разновидность. Но только с помощью общего анализа это сделать сложно. Поэтому обязательно проводится биохимический анализ. Он позволяет оценить состояние внутренних органов и наличие метастазов.
На патологические процессы указывают значительные отклонения от нормы некоторых химических соединений.
Прежде всего, это белки, участвующие в свертываемости крови и в поддержании ее нормального состояния, а также глюкоза. Их количество сильно уменьшается. Увеличивается активность аспартатаминотрансферазы.
Кроме того, при лимфолейкозе повышается содержание мочевины, билирубина, некоторых ферментов, гамма-глобулинов и кислот.
Иногда больным также проводят цитохимический и иммунологический анализы крови. Они позволяют определить тип бластных клеток, что необходимо для назначения адекватной терапии. Иммунологический анализ, кроме этого, помогает выяснить разновидность лейкоза и позволяет выявить различные генетические отклонения, которые имеются у более чем 90% больных.
Особенности диагностики разных форм
В основном диагностика этой патологии происходит по общему анализу. Изменения картины крови указывают на нарушение процессов кровеобразования. Большинство из них общие для всех форм и стадий лейкоза. Но при разных его разновидностях могут наблюдаться некоторые особенности.
Кроме лейкемического провала, тромбоцитопении и анемии при миелобластном лейкозе обязательно в крови обнаруживается большое количество миелобластов – незрелых клеток, которые обычно находятся в костном мозге. При хронической форме этой разновидности патологии увеличивается количество лейкоцитов, эозинофилов и базофилов.
При лимфобластном лейкозе кроме общих признаков сильно увеличивается количество лимфоцитов и лимфобластов. А при хронической форме в крови обнаруживаются все переходные формы лимфоцитов, появляющиеся в процессе лимфопоэза. Обычно этот процесс должен протекать в костном мозге.
Как подготовиться к анализу
Чтобы по анализу крови точно определить наличие патологии, нужно проводить его правильно. Для больного важна тщательная подготовка к процедуре.
Важно: различные показатели меняются из-за физических нагрузок, стрессов, особенностей питания.
Поэтому, чтобы получить достоверные результаты, нужно соблюдать несколько правил:
- кровь сдается обязательно утром;
- анализ делается натощак, от последнего приема пищи должно пройти не менее 8 часов;
- желательно за 2 недели до анализа прекратить пить лекарственные препараты, если же это невозможно, нужно предупредить врача об этом;
- в течение 2-3 дней перед процедурой соблюдать диету, особенно важно не употреблять жирную пищу;
- за час до анализа нельзя курить;
- нужно успокоиться и расслабиться перед самой процедурой, желательно посидеть некоторое время, так как физическая нагрузка тоже меняет показатели.
Выводы
Анализы крови позволяют диагностировать лейкоз на начальных стадиях. Изменения показателей довольно специфичны при этой патологии, но все равно применяется комплексный подход, а расшифровкой результатов должен заниматься врач. Обнаружив хотя бы два признака лейкоза в анализах, медицинский работник обязательно назначает больному более тщательное обследование.

