Легкость и удобство в новом объеме.У постели пациента, в операционной или на спортивной площадке — всегда готов к использованию.
Механическая желтуха (МЖ) — патологический синдром, обусловленный нарушением оттока желчи из желчных протоков печени в двенадцатиперстную кишку (ДПК). Проблема диагностики и дифференциальной диагностики причин обтурации желчных путей не потеряла актуальности и в настоящее время.
Хирургические вмешательства у больных МЖ, выполняемые по экстренным показаниям, сопровождаются большим числом осложнений, а летальность достигает 15-30%, что в 4 раза выше, чем в тех случаях, когда МЖ удается ликвидировать до операции.
Декомпрессия билиарной системы является одной из главных целей и важнейшим компонентом лечебных мероприятий у этих пациентов [1-3].
Этиологические факторы механической желтухи
- Пороки развития: атрезии желчевыводящих путей; гипоплазия желчных ходов; врожденные кисты холедоха; дивертикулы ДПК, расположенные вблизи большого дуоденального сосочка (БДС).
- Доброкачественные заболевания желчных путей: желчнокаменная болезнь (ЖКБ), осложненная холедохолитиазом; вколоченные камни БДС; воспалительные стриктуры желчевыводящих путей; стеноз БДС.
- Воспалительные заболевания: острый холецистит с перипроцессом; склерозирующий холангит; псевдотуморозный панкреатит; паразитарные поражения печени в области ворот печени; воспалительные инфильтраты в области ворот печени; острый папиллит; увеличение лимфатических узлов печеночнодвенадцатиперстной связки.
- Опухоли: папилломатоз желчных ходов; рак печеночных и общего желчного протоков (ОЖП); объемные образования БДС; рак головки поджелудочной железы (ПЖ); метастазы и лимфомы в воротах печени.
- Структуры магистральных желчных протоков, развивающиеся в результате операционной травмы.
Инструментальная диагностика механической желтухи
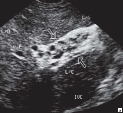
- Ультразвуковое исследование (УЗИ). Основным признаком МЖ при УЗИ является расширение внутрипеченочных желчных протоков (рис. 1). УЗИ позволяет не только выявить билиарную гипертензию, но и установить уровень блока. При высоком билиарном блоке (обтурация на уровне ворот печени) при УЗИ визуализируются расширенные внутрипеченочные протоки при нормальном диаметре ОЖП (до 6 мм), желчный пузырь чаще нормальных размеров или уменьшен, возможно выявление в воротах печени объемного образования.При низком билиарном блоке (обтурация на уровне холедоха, головки ПЖ, БДС) кроме расширенных внутрипеченочных протоков визуализируются расширенные внепеченочные протоки, желчный пузырь увеличен (рис. 2). Если низкий блок обусловлен индуративным панкреатитом, при УЗИ имеет место увеличение органа в размере, могут выявляться кальцинаты в ПЖ (рис. 3). При опухоли головки ПЖ на фоне билиарной гипертензии визуализируется объемное образование в ПЖ (рис. 4). Критериями гипертензии главного панкреатического протока служит его расширение более 2 мм в теле и более 3 мм в головке ПЖ.При ЖКБ, осложненной холедохолитиазом, выявляется увеличенный желчный пузырь с конкрементами, а также конкременты в холедохе (рис. 5).Диагностируют очаговые поражения печени: эхинококковые и альвеококковые кисты; увеличенные лимфоузлы; местатазы.
- Эндоскопическая ретроградная холангиопанкреатография (ЭРХПГ).
- Чрескожная чреспеченочная холангиография.ЭРХПГ и холангиография под контролем УЗИ [1-3] могут сопровождаться и последующим лечебным эффектом (установкой потерянного дренажа,папиллотомией, холангиостомией).
- Компьютерная томография — КТ и магнитно-резонансная томография (МРТ) печени и желчевыводящих путей.
Рис. 1. Ультразвуковая картина билиарной гипертензии при механической желтухе.
Рис. 2. Эхографическая картина низкого печеночного блока, обусловленного опухолью головки ПЖ.
а) Расширенные внутрипеченочные протоки.
б) Увеличенный желчный пузырь с густой взвесью (красная стрелка) и расширенный ОЖП (синяя стрелка).
Рис. 3. Эхографическая картина хронического псевдотуморозного панкреатита. Кальцинаты в паренхиме ПЖ.
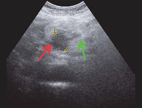
Рис. 4. Ультразвуковая картина опухоли головки ПЖ: образование в головке ПЖ (красная стрелка), расширенный панкреатический проток (зеленая стрелка).
Рис. 5. Ультразвуковая картина билиарной гипертензии при механической желтухе, обусловленной ЖКБ, осложненной холедохолитиазом, конкременты в желчном пузыре и ОЖП.
Дифференциальный диагноз механической желтухи
Дифференциальную диагностику механической желтухи, в первую очередь, нужно проводить с паренхиматозной желтухой.
Паренхиматозная желтуха возникает при гепатитах и циррозах печени, развивается постепенно. Основной отличительный ультразвуковой признак паренхиматозной желтухи от механической — отсутствие расширения внутри- и внепеченочных желчных протоков.
- Ультразвуковые признаки острого вирусного гепатита [4] включают увеличение размеров печени за счет обеих долей; в поздних стадиях возможно уменьшение размеров печени (симптом тающей льдинки); эхогенность паренхимы низкая (симптом темной печени); структура может быть однородной за счет выраженного отека паренхимы либо неоднородная (симптом выделяющихся сосудов); более выраженное обогащение сосудистого рисунка; уменьшение диаметра магистральных стволов печеночных вен; незначительное увеличение диаметра основного ствола воротной вены; снижение показателей скоростного и объемного кровотока по воротной вене; увеличение лимфоузлов в области гепатодуоденальной связки; спленомегалия (увеличение площади селезенки более 50 см²).
- Ультразвуковые признаки хронического гепатита [4] включают увеличение размеров печени; контур печени четкий и ровный; закругление краев и увеличение углов; структура органа диффузно неоднородна; эхогенность паренхимы повышена; обеднение сосудистого рисунка на периферии; основной ствол воротной вены не расширен.
- Ультразвуковые признаки цирроза печени [5-7] включают увеличение размеров печени на начальной стадии и уменьшение в терминальной; гипертрофию хвостатой доли печени; контуры становятся неровными, бугристыми; капсула четко не дифференцируется; структура паренхимы диффузно неоднородной со множественными участками повышенной эхогенности (очаги фиброза) и пониженной эхогенности (очаги регенерации); обеднение сосудистого рисунка на периферии.
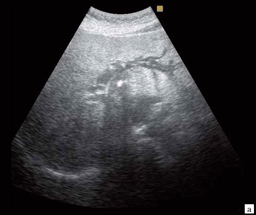
При развитии портальной гипертензии [5, 7, 8] выявляются типичные эхографические признаки: увеличение диаметра портальной вены со снижением линейной скорости кровотока; изменение просвета портальной вены при глубоком вдохе не более 10%; увеличение диаметра селезеночной (свыше 8 мм), верхней и нижней брыжеечных вен; увеличение диаметра внепеченочной части воротной вены свыше 15 мм; гепатофугальное направление кровотока; выявление различных порто-портальных и порто-кавальных коллатералей (рис. 6); спленомегалия; асцит.
Рис. 6. Эхограмма портальных коллатералей воротной вены.
а) В-режим. Отсутствие типичного трубчатого анэхогенного ствола воротной вены с гиперэхогенными стенками. Ствол воротной вены виден как неоднородной структуры образование с множеством эхогенных, параллельно идущих стенкам сосуда перегородок (стрелка). Наличие гиперэхогенных участков в паравенозной области воротной вены.
б) Режим ЦДК. Выраженные крупные коллатерали в проекции воротной вены.
При паренхиматозной желтухе желательна гистологическая верификация диагноза. С этой целью рекомендовано выполнение пункционно-аспирационной биопсии (ПАБ) печени под контролем УЗИ.
Клиническое наблюдение
Пациентка Л., 73 лет, поступила в стационар с жалобами на пожелтение кожных покровов.
При УЗИ брюшной полости: расширены внутрипеченочные протоки (сегментарные до 6 мм, долевые до 10 мм). ОЖП 14-15 мм. Желчный пузырь 120 30 мм, стенка 3 мм, конкрементов не выявлено. ПЖ нормальных размеров, контуры ровные, четкие.
Структура диффузно неоднородная, повышенной эхогенности. Панкреатический проток расширен до 5 мм. Заключение: ультразвуковая картина низкого печеночного блока с билиарной гипертензией, блок на уровне БДС, терминального отдела ОЖП (рис.
7).
Рис. 7. Эхографическая картина опухоли БДС.
а) Увеличенный желчный пузырь с густой взвесью внутри (красная стрелка) и расширенный ОЖП (синяя стрелка).
б) Расширение внутрипечоночных протоков (синяя стрелка).
в) Расширение панкреатического протока (зеленая стрелка).
Мультиспиральная КТ с болюсным контрастированием: внутри- и внепеченочные желчные протоки расширены (долевые до 9 мм, общий печеночный проток (ОПП) 14 мм, интрапанкреатическая часть холедоха 12 мм). Вирсунгов проток расширен на всем протяжении до 6 мм. В проекции БДС визуализируется мягкотканое образование до 11 мм, накапливает контраст. Заключение: опухоль БДС с низким печеночным блоком.
Проведенные ЭРХПГ с эндоскопической папиллосфинктеротомией (ЭПСТ) установили: БДС значительно увеличен в размере, напряжен, в области устья инфильтрация слизистой, бесструктурные мелкобугристые разрастания, контактная ранимость, катетеризация боковым папиллотомом безуспешна.
Выполнено рассечение продольной складки торцевым папиллотомом с формированием супрапапиллярной фистулы. При ЭРХПГ контрастируется расширенный холедох, прерывающийся на уровне интрапанкреатического отдела, без эвакуации контраста. В фистулу по проводнику установлен «потерянный» дренаж холедоха (7 см), получен отток контраста в кишку.
Заключение: эндоскопическая картина опухоли БДС. Состояние после ЭРХПГ, ЭПСТ. Установка «потерянного» дренажа холедоха.
Таким образом, был установлен диагноз: папиллярная аденома БДС. Острый холецистит. Паравезикальный абсцесс. Механическая желтуха.
Выводы
- Методы лучевой диагностики оказывают существенную помощь в диагностике и дифференциальной диагностике МЖ.
- Решающая роль в диагностике и дифференциальной диагностике МЖ первичного звена принадлежит УЗИ.
- На втором этапе исследования в зависимости от уровня блока показаны ЭРХПГ (возможно, в сочетании с ЭПСТ), КТ, МРТ, чрескожная чреспеченочная холангиография под контролем УЗИ.
- Малоинвазивные эндоскопические и чрескожные чреспеченочные декомпрессионные вмешательства представляют собой эффективный способ восстановления желчеоттока при обструкции билиарной системы. Эти методики позволяют достаточно быстро и эффективно ликвидировать желтуху и холангит, дают возможность проводить хирургические вмешательства в наиболее благоприятных условиях, в плановом порядке, а у больных пожилого возраста с тяжелой сопутствующей патологией могут служить альтернативой хирургическому лечению.
Литература
- Tannapfel A., Wittekind C. (2004). Gallbladder and bile duct carcinoma. Biology and pathology. Internist 45: 33-41.
- Valle J., Wasan H. et al. (2010). Cisplatin plus gemcitabine versus gemcitabine alone for billiary tract cancer. N Engl J Med 362: 1273-1281.
- Wiedmann M.W., Mossner J.
(2010). Molecular targeted therapy of biliary tract cancer — results of the first clinical studies. Curr Drug Targets 11: 834-850.
- Балашов А.Т. Возможность использования ультразвукового исследования при определении степени тяжести острого вирусного гепатита (обзор литературы) // Медицинская визуализация.
2007, N 1. С. 32-37.
- Михайлов М.К. Эхография в диагностике цирроза. М.: МЕДпресс-информ. 2003.
- Шипов О.Ю., Сюткин В.Е., Матюхина А.П., Иваников И.О.
Особенности ультразвуковой картины у больных циррозом печени с разной степенью активности алкогольного гепатита // Медицинский журнал «SonoAce-Ultrasound». 2007. N 16. С. 46-51.
- Annet L., Materne R., Danse E. et al.
Hepatic flow parameters measured with MR imaging and Doppler US: Correlations with degree of cirrhosis and portal hypertension // Radiology. 2003. V. 229. P. 409-414.
- Васильев В.А., Лисаченко Н.А., Цеханович К.Б.
Возможности ультразвуковой допплерографии портальной системы в диагностике вирусных гепатитов // Материалы III научно-практической конференции с международным участием. Петрозаводск. 2004. С. 82-83.
Легкость и удобство в новом объеме.У постели пациента, в операционной или на спортивной площадке — всегда готов к использованию.
Портальная гипертензия
Портальная гипертензия – синдром, развивающийся вследствие нарушения кровотока и повышения кровяного давления в бассейне воротной вены. Портальная гипертензия характеризуется явлениями диспепсии, варикозным расширением вен пищевода и желудка, спленомегалией, асцитом, желудочно-кишечными кровотечениями. В диагностике портальной гипертензии ведущее место занимают рентгеновские методы (рентгенография пищевода и желудка, кавография, портография, мезентерикография, спленопортография, целиакография), чрескожная спленоманометрия, ЭГДС, УЗИ и др. Радикальное лечение портальной гипертензии – оперативное (наложение портокавального анастомоза, селективного спленоренального анастомоза, мезентерико-кавального анастомоза).
K76.6 Портальная гипертензия


Под портальной гипертензией (портальной гипертонией) понимается патологический симптомокомплекс, обусловленный повышением гидростатического давления в русле воротной вены и связанный с нарушением венозного кровотока различной этиологии и локализации (на уровне капилляров или крупных вен портального бассейна, печеночных вен, нижней полой вены). Портальная гипертензия может осложнять течение многих заболеваний в гастроэнтерологии, сосудистой хирургии, кардиологии, гематологии.
Этиологические факторы, приводящие к развитию портальной гипертензии, многообразны. Ведущей причиной выступает массивное повреждение печеночной паренхимы вследствие заболеваний печени:
Определенную роль играет токсическое поражение печени при отравлениях гепатотропными ядами (лекарствами, грибами и др.). К развитию портальной гипертензии может приводить заболевания сосудистого генеза:
В некоторых случаях развитие портальной гипертензии может быть связано с критическими состояниями при операциях, травмах, обширных ожогах, ДВС-синдроме, сепсисе.
Непосредственными разрешающими факторами, дающими толчок к развитию клинической картины портальной гипертензии, нередко выступают инфекции, желудочно-кишечные кровотечения, массивная терапия транквилизаторами, диуретиками, злоупотребление алкоголем, избыток животных белков в пище, операции.

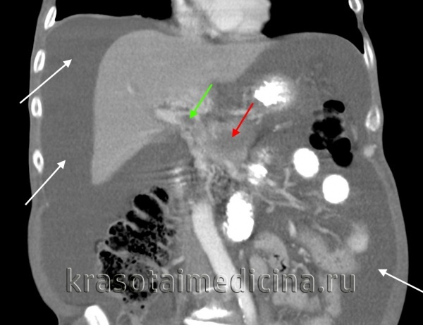
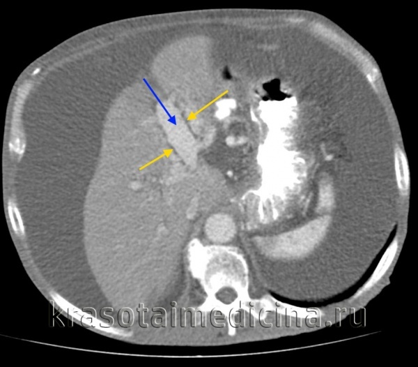
КТ ОБП. Портальная гипертензия на фоне обструкции воротной вены опухолью поджелудочной железы (красная стрелка). Опухолевый тромб (зеленая стрелка) в воротной вене. Асцит (белая стрелка).
Основными патогенетическими механизмами портальной гипертензии выступают наличие препятствия для оттока портальной крови, увеличение объема портального кровотока, повышенное сопротивление ветвей воротной и печеночных вен, отток портальной крови через систему коллатералей (потртокавальных анастомозов) в центральные вены.
В клиническом течении портальной гипертензии может быть выделено 4 стадии:
- начальная (функциональная)
- умеренная (компенсированная) – умеренная спленомегалия, незначительное расширение вен пищевода, асцит отсутствует
- выраженная (декомпенсированная) – выраженные геморрагический, отечно-асцитический синдромы, спленомегалия
- портальная гипертензия, осложненная кровотечением из варикозно-расширенных вен пищевода, желудка, прямой кишки, спонтанным перитонитом, печеночной недостаточностью.
В зависимости от распространенности зоны повышенного кровяного давления в портальном русле различают тотальную (охватывающую всю сосудистую сеть портальной системы) и сегментарную портальную гипертензию (ограниченную с нарушением кровотока по селезеночной вене с сохранением нормального кровотока и давления в воротной и брыжеечных венах).
По локализации венозного блока выделяют предпеченочную, внутрипеченочную, постпеченочную и смешанную портальную гипертензию. Различные формы портальной гипертензии имеют свои причины возникновения.
- Развитие предпеченочной портальной гипертензии (3-4 %) связано с нарушением кровотока в портальной и селезеночных венах вследствие их тромбоза, стеноза, сдавления и т. д.
- В структуре внутрипеченочной портальной гипертензии (85-90 %) различают пресинусоидальный, синусоидальный и постсинусоидальный блок. В первом случае препятствие на пути внутрипеченочного кровотока возникает перед капиллярами-синусоидами (встречается при саркоидозе, шистосомозе, альвеококкозе, циррозе, поликистозе, опухолях, узелковой трансформации печени); во втором – в самих печеночных синусоидах (причины — опухоли, гепатиты, цирроз печени); в третьем – за пределами печеночных синусоидов (развивается при алкогольной болезни печени, фиброзе, циррозе, веноокклюзионной болезни печени).
- Постпеченочная портальная гипертензия (10-12%) бывает обусловлена синдромом Бадда-Киари, констриктивным перикардитом, тромбозом и сдавлением нижней полой вены и др. причинами. При смешанной форме портальной гипертензии имеет место нарушение кровотока, как во внепеченочных венах, так и в самой печени, например, при циррозе печени и тромбозе воротной вены.

КТ ОБП. Этот же пациент, расширенный левый долевой ствол воротной вены (синяя стрелка) с периваскулярным отеком (желтая стрелка).
Наиболее ранними клиническими проявлениями портальной гипертензии служат диспепсические симптомы: метеоризм, неустойчивый стул, чувство переполнения желудка, тошнота, ухудшение аппетита, боли в эпигастрии, правом подреберье, подвздошных областях. Отмечается появление слабости и быстрой утомляемости, похудание, развитие желтухи.
Иногда первым признаком портальной гипертензии становится спленомегалия, выраженность которой зависит от уровня обструкции и величины давления в портальной системе.
При этом размеры селезенки становятся меньше после желудочно-кишечных кровотечений и снижения давления в бассейне портальной вены.
Спленомегалия может сочетаться с гиперспленизмом – синдромом, характеризующимся анемией, тромбоцитопенией, лейкопенией и развивающимся в результате повышенного разрушения и частичного депонирования в селезенке форменных элементов крови.
Асцит при портальной гипертензии отличается упорным течением и резистентностью к проводимой терапии. При этом отмечается увеличение объемов живота, отеки лодыжек, при осмотре живота видна сеть расширенных вен передней брюшной стенке в виде «головы медузы».
Характерными и опасными проявлениями портальной гипертензии являются кровотечения из варикозно измененных вен пищевода, желудка, прямой кишки. Желудочно-кишечные кровотечения развиваются внезапно, имеют обильный характер, склонны к рецидивам, быстро приводят к развитию постгеморрагической анемии.
При кровотечении из пищевода и желудка появляется кровавая рвота, мелена; при геморроидальном кровотечении – выделение алой крови из прямой кишки. Кровотечения при портальной гипертензии могут провоцироваться ранениями слизистой, увеличением внутрибрюшного давления, снижением свертываемости крови и т.
д.
Выявить портальную гипертензию позволяет тщательное изучение анамнеза и клинической картины, а также проведение совокупности инструментальных исследований. При осмотре больного обращают внимание на наличие признаков коллатерального кровообращения: расширения вен брюшной стенки, наличия извитых сосудов около пупка, асцита, геморроя, околопупочной грыжи и др.
- Лабораторный комплекс. Объем лабораторной диагностики при портальной гипертензии включает исследование клинического анализа крови и мочи, коагулограммы, биохимических показателей, АТ к вирусам гепатита, сывороточных иммуноглобулинов (IgA , IgM , IgG).
- Рентгенография. В комплексе рентгеновской диагностики используется кавография, портография, ангиография мезентериальных сосудов, спленопортография, целиакография. Данные исследования позволяют выявить уровень блокировки портального кровотока, оценить возможности наложения сосудистых анастомозов. Состояние печеночного кровотока может быть оценено в ходе статической сцинтиграфии печени.
- Сонография. УЗИ брюшной полости необходимо для выявления спленомегалии, гепатомегалии, асцита. С помощью допплерометрии сосудов печени производится оценка размеров воротной, селезеночной и верхней брыжеечной вен, расширение которых позволяет судить о наличии портальной гипертензии.
- Функциональные исследования. С целью регистрации давления в портальной системе прибегают к проведению чрескожной спленоманометрии. При портальной гипертензии давление в селезеночной вене может достигать 500 мм вод. ст., тогда как в норме оно составляет не более 120 мм вод. ст.
Обследование пациентов с портальной гипертензией предусматривает обязательное проведение эзофагоскопии, ФГДС, ректороманоскопии, позволяющих обнаружить варикозное расширение вен ЖКТ.
Иногда вместо эндоскопии проводится рентгенография пищевода и желудка.
К биопсии печени и диагностической лапароскопии прибегают в случае необходимости получения морфологических результатов, подтверждающих заболевание, приведшее к портальной гипертензии.

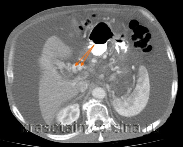
КТ ОБП. Этот же пациент, варикозно расширенные вены как проявление синдрома портальной гипертензии (коричневая стрелка).
Терапевтические методы лечения портальной гипертензии могут быть применимы только на стадии функциональных изменений внутрипеченочной гемодинамики. В терапии портальной гипертензии используется:
- Фармакотерапия: нитраты (нитроглицерин, изосорбид), β-адреноблокаторы (атенолол, пропранолол), ингибиторы АПФ (эналаприл, фозиноприл), гликозаминогликаны (сулодексид) и др.
- Эндоскопические манипуляции. При остро развившихся кровотечениях из варикозно-расширенных вен пищевода или желудка прибегают к их эндоскопическому лигированию или склерозированию. При неэффективности консервативных вмешательств показано прошивание варикозно-измененных вен через слизистую оболочку.
- Оперативное лечение. Основными показаниями к хирургическому лечению портальной гипертензии служат желудочно-кишечные кровотечения, асцит, гиперспленизм. Операция заключается в наложении сосудистого портокавального анастомоза, позволяющего создать обходное соустье между воротной веной или ее притоками (верхней брыжеечной, селезеночной венами) и нижней полой веной или почечной веной. В зависимости от формы портальной гипертензии могут быть выполнены операции прямого портокавального шунтирования, мезентерикокавального шунтирования, селективного спленоренального шунтирования, трансъюгулярного внутрипечёночного портосистемного шунтирования, редукции селезеночного артериального кровотока, спленэктомия.
- Паллиативные вмешательства. Паллиативными мерами при декомпенсированной или осложненной портальной гипертензии, могут являться дренирование брюшной полости, лапароцентез.
Прогноз при портальной гипертензии, обусловлен характером и течением основного заболевания.
При внутрипеченочной форме портальной гипертензии исход, в большинстве случаев, неблагоприятный: гибель пациентов наступает от массивного желудочно-кишечного кровотечения и печеночной недостаточности.
Внепеченочная портальная гипертензия имеет более доброкачественное течение. Наложение сосудистых портокавальных анастомозов может продлить жизнь иногда на 10—15 лет.
Билиарная гипертензия печени
Источниками болевых ощущений внутри брюшной полости могут стать разные факторы. Одним из часто встречающихся заболеваний в данной области является синдром биллиарной гипертензии.
Обращаясь в поликлинику, больного, скорее всего, положат на стационарное лечение, ведь данное заболевание изначально может вызывать слабовыраженную симптоматику, на которую больные какое-то время не обращают внимания, позволяя болезни переходить в осложненные формы.
Чтобы обезопасить себя от такого заболевания, нужно знать, что такое биллиарная гипертензия, как она выражается, и как ее побороть.
Билиарная гипертензия – заболевание, которое развивается вследствие неправильной функциональности желчных протоков и их сфинктеров. Нарушается отток желчи, провоцируя повышение давления внутри желчевыводящих путей и затрудненный поток крови внутри систем и органов.
Гипертензия желчных протоков представляет собой стабильный синдром, во время которого у человека повышается сосудистое давление внутри желчевыводящих путей до показателей 160/140 мм. рт. столба.
Если человек начинает употреблять гипотензивные средства, не назначенные врачом, то эти попытки становятся малоэффективными.
Следовательно, больной вынужден обратиться к специалисту для выявления причин затруднения желчного оттока.
Как правило, билиарная гипертензия появляется вследствие возникновения патологических процессов в области желчного пузыря или иных факторов, препятствующих полноценной функциональности желчных протоков.
Заболевание возникает от следующих факторов:
- От появления опухолей, локализующихся в желчевыводящих путях, вследствие чего отток желчи нарушается. Аналогичным образом данные отклонения провоцируют новообразования близлежащих органов, передавливающие протоки, осуществляющие вывод желчи.
- Вследствие калькулезного холецистита либо желчекаменной болезни. Это образование твердых камней (нерастворимых) в гепатобилиарной системе. В результате появляется желтуха механического происхождения.
- При попадании червей-паразитов в желчные протоки. Обустроившись в желчевыводящих путях человека, гельминты начинают отравлять токсинами организм и размножаться. Вследствие этого они закрывают собой просвет сосудов или органов, отвечающих за отток желчи.
- При обнаружении биллиарной гипертензии в детском возрасте, нужно исследовать желчевыводящие протоки на наличие аномального развития, характеризующегося сужением венозного просвета или измененной формой.
Разновидности билиарной гипертензии
Диагностируя больного, врачи устанавливают конкретную разновидность билиардной гипертензии, характеризующуюся степенью сложности и наличием осложнений. Благодаря этим данным специалист может подобрать наиболее эффективное лечение и сохранить жизнь человека.
Билиарная гипертензия характеризуется распространенностью повышенного давления. Этот фактор содержит в себе 2 возможных варианта протекания болезни: сегментарный или тотальный.
- Тотальная гипертензия подразумевает собой поражение полностью всех сосудов портальной системы.
- Сегментарная характеризуется нарушением кровотока в селезеночной вене. Однако при таком течении заболевания давление в воротной вене остается нормальным.
Определяющаяся по расположению венозного блока:
- Внутрипеченочная гипертензия – результат блокировки кровотока внутри печеночной портальной вены.
- Предпеченочная – появляется вследствие затрудненного венозного кровотока в сосудах, подающих кровь в печень.
- Постпеченочная – происходит вследствие затруднения движения крови из печени в полую вену (нижнюю).
- Смешанная. При этом могут наблюдаться несколько видов билиарной гипертензии, усложняющих состояние больного и назначение терапии.
По степени тяжести:
- Начальная стадия – определяется незначительным нарушением функциональности желчных протоков.
- Умеренная – при этом сбой и рабочая функциональность желчных протоков компенсируется.
- Выраженная – при этом появляется скопление жидкости в брюшной полости, что приводит к увеличению размеров данной области.
- Осложненная – провоцирует возникновение почечной недостаточности или внутреннего кровотечения.
Исследовав все эти факторы, врач принимается за назначение оптимальной терапии, позволяющей облегчить состояние больного и снизить подверженность пациента к появлению осложнений.
Симптомы
Билиарная гипертензия вызывает целый ряд признаков. Если идет речь о желтухе, то одним из видимых симптомов является желтый цвет лица и глазных склер больного.
На начальной стадии заболевания можно не обратить внимания на появившуюся симптоматику, ведь она слабо выражена. Однако иногда и на первых этапах болезни могут возникать следующие признаки болезни:
- Вздутие живота.
- Рвота и тошнота.
- Общая слабость.
- Регулярные отрыжки.
- Снижение аппетита или нежелание принимать пищу.
- Неприятный привкус во рту, возможно извращение вкуса (появление горечи во рту).
- Боли в эпигастральной области и зоне правостороннего подреберья.
- Метеоризм (повышенное газообразование).
- Видоизменение испражнений. Фекалии становятся подозрительно светлыми или прозрачными, вследствие недостатка желчи.
- Моча приобретает темный оттенок.
- Метеоризм появляется вследствие ненормального переваривания пищи, связанного недостатком желчи.
- Передние брюшные вены становятся расширенными.
Для назначения неотложной терапии потребуется провести тщательную диагностику, при которой специалисты могут обнаружить жидкость в брюшной полости, увеличенные размеры селезенки и остальные факторы, подтверждающие наличие заболевания. В противном случае органы человека могут отказать в функционировании.
При обнаружении билиарной гипертензии на запущенной стадии (с осложнениями), кроме вышеописанной симптоматики могут появиться кровопотеки, появившиеся вследствие повреждения вен пищеварительной системы и прямой кишки, тяжелая недостаточность почек. Очень часто данным отклонениям сопутствует лейкопения, тромбоцитопения и критический недостаток железа в организме. Такая неприятность появляется из-за разрушения кровяных телец, частички которых оседают в селезенке.
Если больной отказывается от лечения или не хочет посещать клинику, то он может навлечь на себя еще большую опасность. При холангите – гнойниковом воспалительном процессе желчевыводящих путей, обнаруживают микробы, вызывающие инфекцию.
Также вследствие нарушенного оттока желчи, печеночные клетки постепенно отмирают, а на их месте появляется фиброзная ткань, провоцирующая билиарный цирроз. Также может появиться абсцесс печени, при котором внутри печени образуется полость, наполненная гноем.
Если человек вовремя обратиться за помощью к врачу, то можно избежать вышеописанных проблем и понести меньшие затраты на лечение. Рекомендуется ежегодно всей семьей проходить обследование организма, чтобы предупредить тяжелые формы множества заболеваний, в том числе и биллиарную гипертензию.
Диагностика
Чтобы установить причину, вызывающую билиарную гипертензию или подтвердить диагноз, потребуются инструментальные методы обследования пациента. Наиболее информативными из них являются:
- УЗИ.
- Компьютерная томография.
- Рентгеноконтрастные методики исследования.
- Биопсия.
- Лапароскопия.
При обнаружении заболевания с дистальным уровнем блокировки желчевыводящих протоков, появляется расширение гепатикохоледоха. Если не принимать никаких мер, то со временем протоки, расположенные внутри почек, расширяются, увеличивая диаметр желчного пузыря. Проток, размером свыше 10 мм., появляется вследствие появления опухоли (свыше 50% случаев).
Компьютерная томография также позволяет визуализировать органы, не вмешиваясь в целостность человеческого тела. Результаты исследования позволяют оценить размеры появившихся опухолей и новообразований, их локализацию и разрастание на близлежащие органы и структуры.
Рентгеноконтрастные исследования подразумевают собой введение в организм контрастирующего вещества, просветляющего затемненные участки внутренних органов. Как следствие, на рентгеновском снимке хорошо отображаются поврежденные зоны, давая возможность оценить способность желчных протоков нормально функционировать.
Биопсия – редкий способ исследования. При этом врачам приходится забирать небольшой кусочек патологической ткани из организма. Процедура выполняется под наблюдением специалистов, с использованием УЗИ-оборудования. Результаты исследования полученной ткани позволяют определить добро- или злокачественность новообразования.
Если вышеописанные способы не помогли получить достаточно сведений о причинах возникновения заболевания, то выполняется лапароскопия, представляющая собой оперативное вмешательство.
При этом врачи могут рассмотреть поврежденные участки и одновременно провести лечение, взять забор биоматериалов для дальнейшего исследования.
Отталкиваясь от выявленного патологического заболевания, выполняются повторное хирургическое лечение.
Лечение
Избавление от билиарной гипертензии выполняется исключительно после полного обследования и установления всех факторов заболевания: локализации и стадии болезни, причин ее появления. Тогда решается вопрос о применении консервативного или хирургического лечения.
Консервативное лечение выполняется в случае стабильно нормального самочувствия человека. Врач назначает медикаменты, способствующие восстановлению кровотока внутри желчных протоков. Также данная лечебная методика применяется для подготовки больного к оперативному вмешательству.
В этом случае применяются:
- АПФ ингибиторы.
- Нитраты.
- Гликозаминогликаны.
- Бета-адреноблокаторы.
Чаще всего, при билиарной гипертензии врачи назначают пациентам один или несколько препаратов из этого списка:
- «Нитросорбит».
- «Эднит».
- «Нитроглицерин».
- «Анаприлин».
- «Сулодексид».
- «Атенолол».
- «Моноприл».
Данные медикаменты хорошо помогают при выявлении умеренной или начальной стадии заболевания, однако не следует заниматься самолечением, не установив точный диагноз у врача. Неправильно подобранными средствами можно еще больше навредить печени, или полностью вывести ее из строя.
Оперативное вмешательство (хирургическое) требуется для удаления новообразований, передавливающих внутрижелчную вену и провоцирующую билиарную гипертензию.
Если источником появления билиарной гипертензии является желчекаменная болезнь, то потребуется хирургическим путем удалить желчный пузырь, вместе с расположенными внутри камнями.
В этом случае у больного нет времени на размышления, и операция проводится в течение нескольких дней.
При выявлении злокачественной опухоли, специалисты проводят консервативное лечение, радио- и химиотерапию, а затем приступают к удалению новообразования. Такой подход к лечению позволяет избавиться от метастазирования в крови и уменьшить размер новообразования.
При обнаружении полипы (доброкачественной опухоли), провоцирующей билиарную гипертензию, ее удаляют, отрезают небольшой кусочек и отправляют его на исследование, чтобы оценить возможность перерождения опухоли. Подобные новообразования могут из доброкачественных трансформироваться в злокачественные.
- Временное восстановление функциональности желчных протоков, применяя чрескожную и эндоскопическую методику.
- Проводят операцию, снижающую риск появления осложнений, вызывающих фатальные последствия. Данное мероприятие выполняется тогда, когда все симптомы заболевания прошли.
При обнаружении проблем с билиарной гипертензией (врожденного характера) у ребенка, то выполняется хирургическое вмешательство, с целью установить специальный расширяющий материал в зауженный канал. Это позволяет нормализовать отток желчи и устранить заболевание.
Чем раньше больной обратился к врачу и обнаружил гипертензию, тем легче протекает оперативное вмешательство.
Рекомендуется обращать внимание даже на малейшие боли, дискомфортные ощущения в области брюшной полости, чтобы своевременно вылечить заболевание щадящим путем, ограждая себя от возникновения осложнений.
Гипертензия желчных протоков (билиарная гипертензия) может привести к смерти, поэтому требуется тщательно следить за своим здоровьем: реагировать на поведение организма и обращаться к врачу, правильно питаться (чтобы не перегружать печень), избавиться от вредных привычек и употреблять медикаменты исключительно по назначению врача. Неверно подобранные лекарства бессильны против возникающих у вас симптомов, но они заставляют печень работать в усиленном режиме и способствуют блокировке желчного оттока.
Билиарная гипертензия
Билиарная гипертензия – это последствия нарушения оттока желчи, вызванного заболеваниями желчевыводящей системы человека. При этом повышается давление желчной жидкости в выводящих протоках печени, желчного пузыря, а также растет кровяное давление в воротных венах.
Типы билиарной гипертензии
- Условно заболевание характеризуется тремя факторами.
- Распространенностью повышенного давления в венах: нормальный кровоток может быть затруднен в вене селезенки, но при этом в воротной (портальной) вене останется без изменений (сегментарная гипертензия), или имеет место тотальная гипертензия.
- По стадии развития может быть:
- Начальная – характеризуется функциональными нарушениями, без специальных исследований не выявляется.
- Умеренная – происходит компенсация сбоев.
- Выраженная – нарушения проявляются в виде асцита (накопление жидкости в брюшной полости с увеличением живота) и отеков.
- Осложненная – возникают кровотечения и развивается печеночная недостаточность (энцефалопатия).
По расположению нарушающего кровоток блока:
- Предпеченочная (затруднен кровоток по вене до печени).
- Внутрипеченочная (блокируется кровоток по портальной вене внутри печени).
- Постпеченочная (медленное продвижение крови из печени в нижнюю полую вену).
- Смешанная.
Как правило, блоком является опухоль, чаще всего злокачественная. Может локализоваться в головке поджелудочной железы, печени, желчном пузыре.
Симптомы развития
- На первой стадии обычно беспокоит только периодическое вздутие живота и тяжесть в правом подреберье.
- На второй добавляются боли и тяжесть в эпигастрии, чувство раннего насыщения и переполнения желудка, увеличение печени и селезенки.
- При выраженной стадии, кроме асцита и отечности, возникают такие признаки:
- неустойчивый стул (часто светлого цвета или бесцветный из-за недостатка желчи);
- потемнение мочи;
- повышенное газообразование, особенно после жирной пищи (без достаточного количества желчи процесс нормального переваривания невозможен);
- рвота;
- расширение вен передней брюшной стенки;
- кожный зуд;
- пожелтение глазных склер и кожных покровов.
Кожный зуд возникает, так как желчные кислоты, в излишнем количестве попадающие в кровь, раздражают нервные окончания
Особую опасность представляют осложнения. Разрушение кровяных телец и задержка их в селезенке приводят к анемии и лейкопении. Начинаются кровотечения из-за повреждений увеличенных вен прямой кишки, желудка и пищевода. Причем характер всегда носят внезапный и обильный.
Возможно гнойное воспаление желчевыводящих путей – холангит. Образуется при попадании в застоявшуюся желчь микробов.
Из-за отсутствия нормального оттока желчи нарушаются функции печени, погибают ее клетки, на их месте образуется фиброзная ткань. Далее процесс перетекает в билиарный цирроз. Также вероятно развитие печеночного абсцесса, при котором в печени образуется заполненная гноем полость.
Выявление болезни при первых признаках существенно облегчит лечение и поможет избежать осложнений.
Причины возникновения и диагностика
Билиарная гипертензия провоцируется следующими причинами:
- Доброкачественные или злокачественные образования. Разрастаясь, они приводят к сдавлению органов и протоков. Две трети опухолевых заболеваний желчных протоков приходится на опухоль Клатскина, локализующуюся на уровне конфлюенса – точке слияния долевых желчных протоков справа и слева в единое русло. Также часто встречается опухоль поджелудочной железы, которая давит на желчевыводящие пути, в итоге пережимая их.
- Желчекаменная болезнь и холецистит. Вследствие этих заболеваний образуются твердые частицы – конкременты, которые буквально засоряют желчевыводящие протоки. Из-за высокой концентрации билирубина в крови развивается механическая желтуха.
- Наличие паразитов в протоках. В основном это лямблии и кошачья двуустка, вызывающая описторхоз. Всасываясь в стенки желчевыводящих протоков, паразиты приводят к их механическому повреждению и закупорке. Иногда болезнь протекает почти без выраженных симптомов. Но чаще обострения напоминают холецистит, причем повышенная температура тела может держаться 1-3 недели.
- Врожденное патологическое строение печеночных протоков.
Кошачьи двуустки, которые попали в организм, дадут знать о своем существовании только спустя три месяца, потому что именно тогда начинают откладывать свои яйца
Опасность в том, что вялотекущая желчная гипертензия обычно долгое время никак себя не проявляет. Человек может периодически чувствовать слабость, расстройство пищеварительной системы, но не воспринимает это как грозный признак. Если подобные явления повторяются регулярно, без причин снижается вес, то пришло время обратиться за консультацией в больницу.
Первичная диагностика проводится врачом (терапевтом или гастроэнтерологом) на основании жалоб пациента. Прямым методом измерить давление в желчных протоках невозможно. Поэтому исследуется желчевыводящая система с помощью УЗИ, рентгена, КТ и МРТ с контрастированием.
По УЗИ обычно диагностируется до 90% случаев билиарной гипертензии
- Обращается внимание на расширение протоков, а также увеличение печени, селезенки и желчного пузыря, выявляется наличие механических препятствий для оттока желчи.
- Производится забор крови для биохимического исследования и для проверки реакции на соответствующие онкомаркеры.
- Если вышеупомянутые методы исследования оказались недостаточно информативны, то применяется диагностическая лапароскопия.
Лечение
Также можете прочитать:
АСТ в крови ребенка
В зависимости от характера и стадии заболевания применяют консервативные и хирургические методы. Консервативное медикаментозное лечение применяется в тех случаях, если состояние больного не критическое, причина гипертензии не опухоль. А также для подготовки организма пациента к хирургическому вмешательству.
Если закупорка вызвана желчекаменной болезнью, то удаляется весь желчный пузырь вместе с камнями. Иногда случается ущемление камня опухолью, тогда необходима срочная операция для спасения жизни больного.
В случае злокачественности образования, препятствующего оттоку желчи, операция выполняется в совокупности с химио- или радиотерапией. Это необходимо для того, чтобы уменьшить размер опухоли, а также уничтожить возможные метастазы в крови. Перед проведением химиотерапии проводится медикаментозная подготовка больного с целью максимально защитить органы от пагубного воздействия.
Если причиной гипертензии является доброкачественная на вид опухоль типа полипа, то после удаления ее часть направляется на гистологическое исследование для выявления возможности перерождения. Поскольку любые образования в данной области имеют высокую предрасположенность к злокачественной трансформации.
При механической желтухе лечение проводится в два этапа: сначала проводится временное освобождение желчевыводящих протоков для восстановления оттока желчи. При этом часто используется эндоскопический и чрескожный метод.
Чрескожное дренирование — хирургическое вмешательство с целью введения катетера в различные полостные образования человеческого организма
Когда симптомы механической желтухи устраняются, делают плановую радикальную операцию. При такой схеме значительно снижается вероятность осложнений и смертности.
Если патология носит врожденный характер, то применяют протезирование – в зауженный канал вводят специальный расширяющий материал, тем самым восстанавливая отток желчи.
Прогноз после операции зависит от своевременности и адекватности проведенного вмешательства.
Билиарная гипертензия печени: симптомы, признаки на УЗИ и лечение синдрома
- Кардиолог высшей категории Светлана Владиславова
- 39240
- Дата обновления: Март 2020
Регуляция оттока желчи осуществляется особыми протоками и сфинктерами, которые представляют собой билиарную систему. Нарушение оттока желчи вследствие каких-либо патологий этой системы приводит к изменению кровотока. Это заболевание, известное как билиарная гипертензия, характеризуется повышением давления в сосудах желчевыводящих путей.
Билиарная гипертензия: особенности заболевания
Билиарная гипертензия не может сравниваться с артериальной гипертензией, так как заболевание локализовано в билиарной системе и проявляется нарушением работы органов брюшной полости.
Билиарная гипертензия является прямым следствием застоя желчи, в результате которого нарушается кровоток этой системы.
Желчная гипертензия развивается из-за повышения давления в портальной вене, которое в нормальных условиях не превышает 10 мм.рт.ст.
Через эту крупную вену осуществляется поступление крови в печень, при этом ¾ кровоснабжения печени проходит через портальную вену. Изменение артериального давления в этой вене также нередко называют портальной гипертензией.
Билиарная гипертензия – это повышение давления крови в портальной вене на 20% от нормы и выше. Таким образом диагноз ставится в случае, если давление в портальной вене превышает 12 мм.рт.ст.

Расположение воротной (портальной) вены
По тяжести нарушений, билиарная гипертензия делится на сегментарную и тотальную. Сегментарной называется гипертензия, при которой происходит нарушение кровотока в селезеночной вене. Под тотальной гипертензией понимают нарушение кровообращения по всей билиарной системе.
По характеру течения заболевания выделяют:
- начальную или стадию компенсации, на которой диагностируются функциональные нарушения;
- умеренную форму болезни (стадия субкомпенсации) с появлением выраженных симптомов нарушения работы печени;
- выраженную гипертензию (стадия декомпенсации), которая характеризуется острой симптоматикой и тяжелыми нарушениями работы билиарной системы.
Выраженная билиарная гипертензия – это очень опасное заболевание. Она может привести к развитию тяжелых осложнений, среди который внутренние кровотечения и нарушения работы печени. Выраженная билиарная гипертензия также опасна развитием острой печеночной недостаточности.
Причины развития заболевания
Гипертония печени, гипертензия желчного пузыря или билиарная гипертензия – все это названия одного и того же заболевания. Врачам известно множество причин развития синдрома билиарной гипертензии – от недостатка витаминов до хронических заболеваний органов пищеварительной системы.
Главным фактором, приводящим к нарушению кровотока в билиарной системе, является застой желчи. Таким образом, желчная гипертензия может выступать следствием хронического декомпенсированного холецистита и других заболеваний печени и желчного пузыря.
Гипертензия, характеризующаяся изменением давления крови вследствие застоя желчи в путях желчных протоков, может быть вызвана:
- вирусным гепатитом;
- тяжелой интоксикацией печени;
- длительной терапией некоторыми препаратами;
- обструкцией желчных путей;
- хроническим венозным застоем в печени.
Заболевания желчевыводящих путей и поджелудочной железы, включая обструкцию желчных путей, приводят к нарушению оттока этого фермента, повышенной нагрузке на печень, изменению нормального кровотока билиарной системы и развитию гипертензии.
Заболевание может выступать следствием опухолевых новообразований в желчных протоках, желчнокаменной болезни.
Тяжелые интоксикации печени вследствие приема алкоголя, наркотических веществ или некоторых препаратов, включая глюкокортикостероиды, также могут выступать причиной гипертензии.
Препараты, негативно влияющие на функцию печени – это антидепрессанты, цитостатики, глюкокортикостероиды, бета-адреноблокаторы. Длительная терапия этими лекарственными средствами приводит к нарушению работы печени, повышению давления крови в портальной вене и развитию билиарной гипертензии.

Многие медикаменты негативно воздействуют на печень
Известны случаи, когда билиарная гипертензия развивалась после перенесенных паразитарных инвазий.
Также к факторам риска развития этой формы гипертензии относятся тяжелые эндокринные и неврологические нарушения, хронические заболевания желудочно-кишечного тракта – гастрит, язвенная болезнь, дуоденит.
Следует отметить, что в большинстве случае организм самостоятельно справляется с проблемами билиарной системы, однако при наличии предрасполагающих факторов, перечисленных выше, собственных компенсаторных возможностей недостаточно, поэтому появляются симптомы билиарной гипертензии.
Симптоматика билиарной гипертензии
Заболевание развивается медленно и длительное время протекает без каких-либо специфических симптомов. Появление тяжелых симптомов и признаков билиарной гипертензии свидетельствует о недостатке компенсаторных возможностей организма и появляется на стадии субкомпенсации.
Специфические симптомы заболевания:
- желтуха;
- зуд эпидермиса и слизистых оболочек;
- лихорадка;
- асцит;
- болевой синдром в правом подреберье;
- эпигастральные боли.
На начальных стадиях развития болезни отмечается повышенный метеоризм и нарушения пищеварения. Может присутствовать боль в области селезенки, пациенты часто жалуются на расстройства стула.
По мере прогрессирования болезни, начиная со второй стадии заболевания, к симптомам присоединяются признаки нарушения работы печени. Это характеризуется желтушностью эпидермиса, слизистых оболочек рта и глазных яблок. Этот симптом указывает на выраженные нарушения оттока желчи.
Повышение давления в портальной вене приводит к скоплению жидкости в брюшной полости. Это явление называется асцитом.
Выраженная билиарная гипертензия сопровождается симптомами общего характера – лихорадкой, постоянной утомляемостью, диспепсическими расстройствами. Со временем происходит увеличение размеров селезенки и печени, варикозное расширение вен передней стенки живота, желудка и прямой кишки.

Поражение печени внешне проявляется в пожелтении глаз и кожи
Диагностика заболевания
Билиарная гипертензия имеет тенденцию к быстрому прогрессированию. Тяжелые формы заболевания лечатся только хирургическими методами. Своевременное обращение к врачу и точная диагностика патологии помогут предотвратить развитие опасных осложнений.
Для постановки диагноза необходимые следующие лабораторные и аппаратные исследования:
- общий и биохимический анализ крови;
- анализ мочи;
- ультразвуковое исследование органов брюшной полости;
- МРТ и КТ органов брюшной полости.
При подозрениях на билиарную гипертензию обязательно назначается магнитно-резонансная томография и КТ органов брюшной полости. Это позволяет исключить опухолевые новообразования как одну из вероятных причин нарушения оттока желчи и повышения давления в портальной вене.
Перечисленный комплекс исследований позволяет оценить степень увеличения органов брюшной полости, выявить варикозное расширение вен и сопутствующие нарушения.
Магнитно-резонансное исследование и ультразвуковое (УЗИ) позволяют исключить наличие конкрементов, которые могут вызывать билиарную гипертензию.
Методы лечения
На начальной стадии заболевания, когда наблюдаются функциональные нарушения работы органов брюшной полости из-за повышения давления в портальной вене, практикуют медикаментозную терапию.
Лечение билиарной гипертензии составляют из препаратов следующих групп:
- бета-адреноблокаторы;
- нитраты;
- ингибиторы АПФ;
- гликоаминогликаны.
Дополнительно назначают симптоматическую терапию, в зависимости от причин развития болезни. Устранение первопричины гипертензии, которой может выступать холецистит, гепатит, аутоиммунные нарушения или интоксикация, позволяет остановить прогрессирование заболевания.
Для нормализации кровотока назначают бета-адреноблокаторы (Анаприлин, Атенолол). Ингибиторы АПФ подбираются индивидуально для каждого пациента, учитывая степень функциональных нарушений работы печени. Во время лечения обязательно следует принимать гепатопротекторы.
Хирургическое лечение практикуется при наличии механических препятствий для кровообращения в печени. Его назначают при асците и внутреннем кровотечении на фоне билиарной гипертензии. При наличии полипов, конкрементов или других новообразований в желчных протоках обязательно показано удаление.
Прогноз зависит от того, как быстро начато лечение. Начальная стадия билиарной гипертензии достаточно успешно лечится медикаментами.
Специфической профилактики билиарной гипертензии не существует. Так как заболевание часто развивается на фоне патологий печени, желчного пузыря и желчевыводящих путей, своевременное лечение этих нарушений является наиболее эффективной профилактической мерой.