- Несмотря на качественный и регулярный уход за ротовой полостью, время от времени в ней могут развиваться патологические процессы, связанные не только с зубами, но и дёснами.
- Одно из таких заболеваний сопровождается воспалением дёсенной ткани, преобразованием ее формы и структуры.
- Патология носит название гипертрофический гингивит и способна привести к тяжелым последствиям при отсутствии своевременного лечения.
Общие сведения
Гипертрофический гингивит представляет собой форму воспаления дёсенной ткани, которая сопровождается ее усиленным ростом.
Поражение локализуется в области основания и шейки зубов. Особенностью заболевания является проникновение отечности в глубокие слои мягкой ткани.
Процесс разрастания десневых сосочков зачастую сопровождается болезненностью и кровоточивостью. Может наблюдаться незначительное сдвижение зубов.
Причины возникновения

К местным причинам относятся различные нарушения в развитии зубочелюстной системы:
- чрезмерная скученность элементов зубного ряда в его фронтальной части;
- патологический прикус;
- образование камня вследствие недостаточно тщательной гигиены полости рта;
- короткая уздечка языка;
- травмирование дёсен в результате недостаточно правильного прилегания ортодонтической конструкции.
Среди общих причин, вызывающих образование гипертрофического гингивита, выделяют:
- длительный прием оральных контрацептивов, некоторых антибиотиков, иммуносупрессоров;
- нарушение гормонального фона организма;
- заболевания эндокринной системы;
- проблемы в функционировании щитовидной железы;
- лейкоз;
- дефицит витамина С;
- нарушения в деятельности нервной системы.
Классификация
В зависимости от области локализации отечности стоматологи выделяют два вида заболевания:
- Локализованный гипертрофический гингивит. Воспаление присутствует на незначительном участке дёсенной ткани и захватывает не более 5 зубов. Отсутствие своевременного лечения грозит развитием папиллита.
- Генерализованный гингивит. Охватывает весь зубочелюстной ряд и может распространяться на обе челюсти. Характеризуется ярко выраженной симптоматикой.
По уровню охвата зубов выделяют несколько степеней развития патологии:
- легкая степень характеризуется незначительным поднятием края десны с покрытием трети высоты косных органов;
- средняя степень предполагает куполообразное изменение формы десневых сосочков и накрытие зуба на половину высоты;
- тяжелая степень определяется как активное разрастание мягкой ткани с покрытием зубов на 2/3 их высоты.
Формы и симптомы

История болезни отечного гингивита характеризуется изменением как поверхностного, так и глубоких слоев дёсенной ткани. Локализация не ограничивается несколькими зубами – преобразование обычно затрагивает всю линию десны.
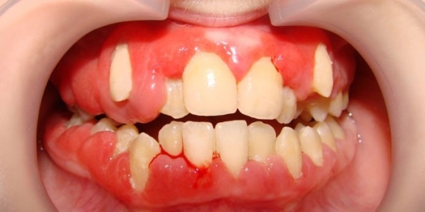
Отечность и разрастание мягкой ткани достигает покрытия 2/3 поверхности зуба. При этом десна приобретает насыщенный красный оттенок с более темной окантовкой.
Преобразование десны сопровождается ее болезненностью, особенно при пальпации. В некоторых случаях наблюдается отслоение эпителия и сильная кровоточивость.
Помимо этого, для отечного гингивита характерны следующие признаки:
- ощущение жжения в дёснах;
- синюшность слизистой оболочки дёсенной ткани;
- гиперемия десны;
- отечность десневых сосочков;
- появление глянцевого блеска в местах поражения.
Фиброзный гипертрофический гингивит характеризуется более легким протеканием. Изменению подвержена мягкая ткань в области 1—3 зубов.
Патология ограничивается небольшой степенью отечности десны в районе ее основания, при этом межзубные сосочки и края остаются неизмененными.
Заболеванию характерны такие симптомы:
- естественный либо более бледный, или серый цвет дёсен;
- отсутствие кровоточивости и болезненности при пальпации;
- незначительное преобразование десны и увеличение ее объема;
- увеличение плотности дёсенной ткани.
При хроническом протекании гипертрофического гингивита ярко выраженные симптомы заболевания отсутствуют, поэтому самостоятельно выявить наличие заболевания достаточно проблематично.
При легком течении болезни, признаки поражения дёсенной ткани не обнаруживаются. При тяжелом протекании может обнаруживаться покраснение слизистой оболочки и незначительное патологическое изменение сосочков.
Болезненность при этом, как правило, отсутствует. Нередко возникает периодическая кровоточивость дёсен, особенно при использовании зубной щетки с жесткой щетиной.
При переходе хронического гингивита в тяжелую стадию происходит более заметное отекание дёсенной ткани и усиленное образование зубного налета.
Стоит понимать, что в каждом конкретном случае симптоматика заболевания может меняться, и только стоматолог может правильно оценить форму и тяжесть его протекания.
Диагностика

В этот период стоматолог обследует ротовую полость пациента, диагностирует увеличение в объеме межзубных сосочков и края дёсен.
После этого, происходит выявление заболевания при помощи следующих анализов:
- индекс гигиены;
- пародонтальный индекс;
- индекс РМА;
- проба Шиллера-Писарева;
- гигиенический тест Федорова-Володиной.
Положительный результат перечисленных тестов означает наличие в полости рта воспалительного процесса.
Помимо этого, для выявления гипертрофического гингивита выполняют исследование дёсенной ткани, проводят биопсию и рентгенографию. В некоторых случаях для постановки диагноза может потребоваться консультация профильных специалистов, таких как эндокринолог, гематолог или педиатр.
Терапия
- Ключевое направление терапии гипертрофического гингивита – устранение фактора местного или общего воздействия, вызывающего заболевание.
- С этой целью производится коррекция элементов ортодонтической или ортопедической конструкции, пластика уздечки языка, реставрация зубов и иные необходимые мероприятия.
- Помимо этого, стоматологом осуществляется полная санация ротовой полости пациента и профессиональная чистка зубов.
- После устранения причины, вызвавшей заболевание, приступают к терапии, позволяющей восстановить дёсенную ткань и избавиться от ее воспаления.
Физиотерапевтические процедуры

- Парафинотерапия. На воспаленные дёсны наносится расплавленный парафин определенной температуры. Благодаря этой процедуре, уменьшается болезненность и отечность мягкой ткани, активизируются процессы ее восстановления. Курс парафинотерапии составляет около 20 процедур, длительностью полчаса каждая.
- Дарсонвализация. Процедура представляет собой воздействие на воспаленную ткань переменным током малой силы. Такая терапия показана при тяжелой степени гипертрофического гингивита, сопровождающейся чрезмерным разрастанием ткани. Переменный ток способствует нормализации обменных процессов в дёснах. Зачастую 5—7 процедур дарсонвализации оказывается достаточно.
- Лазеротерапия. Воздействие низкоинтенсивного лазера способствует улучшению состояния сосудов, активизирует процесс обмена веществ и активизирует регенерацию дёсенной ткани.
- Электрофорез. Воздействие тока в сочетании с лекарственным препаратом производит противовоспалительный эффект, улучшает трофику дёсен, активизирует кровообращение поврежденной ткани.
Полоскания полости рта
Антисептические растворы для полоскания ротовой полости используются в качестве вспомогательного средства устранения бактерий, являющихся основной причиной развития гингивита. Они оказывают противовоспалительное и регенерирующее воздействие.
Чаще всего для полоскания полости рта при гипертрофическом гингивите стоматологи назначают Мирамистин, Хлоргексидин, Коркосил, Элюгель и Фурацилин. Полоскания необходимо проводить трижды в день по 30—50 секунд. Не стоит осуществлять процедуру после нанесения лечебных гелей либо мазей.
Для устранения болезненности при невозможности своевременно попасть на прием к стоматологу, можно полоскать ротовую полость содовым раствором или растительными отварами, например, ромашкой, шалфеем, корой дуба.
При этом стоит понимать, что данные средства способны оказать кратковременное воздействие, но не устранить заболевание.
Медикаментозная терапия

Чаще всего используют такие препараты, как Амоксициллин, Метронидазол и Эритромицин. Использовать антибиотики необходимо только по предписанию лечащего врача, в указанной им дозировке.
Не менее эффективными являются местные противовоспалительные препараты. К ним относят мази, снимающие отечность и болезненность: Холисал, Солкосерил, Метрогил Дента. Аппликации с этими средствами рекомендовано делать не менее 3 раз на протяжении дня.
При недостаточной эффективности местного лечения стоматологи прибегают к инъекциям в дёсенную ткань под воздействием обезболивающих препаратов. Для этого используют глюкозу, стероидные гормоны, глюконат кальция.
О зависимости лечения гингивита от формы и вида патологии смотрите в видеоматериале.
Осложнения
- Несвоевременное лечение гипертрофического гингивита со временем может вызвать возникновение вторичной инфекции, что затруднит дальнейшую терапию.
- К первоначальному заболеванию также может присоединиться остеопороз межзубных перегородок участков челюсти, пораженных инфекцией.
- Отсутствие терапевтических мер на данном этапе способно привести к разрушению межзубной перегородки в верхней ее части.
Профилактика
Профилактика развития гипертрофического гингивита заключается в выполнении следующих действий:
- снижение риска механического повреждения дёсен;
- регулярный и качественный уход за полостью рта;
- прохождение своевременного стоматологического обследования и устранение имеющихся заболеваний;
- лечение общих заболеваний и поддержка иммунитета;
- прием лекарственных препаратов только после назначения лечащего врача.
Отзывы
По мнению стоматологов, длительность и эффективность лечения гипертрофического гингивита зависит от своевременности обращения пациента к врачу, и точности выполнения комплекса назначенных процедур.
Если вам приходилось сталкиваться с этим заболеванием, пишите в разделе комментариев о собственном опыте борьбы с патологией.
3 стадии гипертрофического гингивита
9 марта 2017 Последняя редакция: 14 декабря 2019 Болезни десен
Гипертрофический гингивит – не слишком распространенное стоматологическое заболевание.
Но тем не менее с его проявлениями сталкиваются от 3 до 5% пациентов, которые на протяжении длительного времени игнорировали наличие воспалительного процесса в десне и не делали ровным счетом ничего для того, чтобы его устранить.
Перерастая в хроническую форму, гингивит способен провоцировать пролиферативные процессы или, другими словами, способствовать делению и разрастанию клеток тканей пародонта. Из-за этого десна увеличивается в объемах настолько, что частично закрывает коронки зубов, препятствуя нормальному пережевыванию пищи и вызывая сильные боли.

Гингивит и пародонтит: причинно-следственные связи
Гипертрофический гингивит может проявлять себе как самостоятельное заболевание или возникать в период обострения пародонтита.
Несмотря на схожие симптомы (болезненность, кровоточивость десен), история болезни имеет совершенно другой сценарий: слизистая воспаляется, в ее клетках запускается механизм гипертрофии, объем пародонтальной ткани увеличивается.
Но! Целостность зубоэпителиального соединения не нарушается и никаких патологических изменений в костной ткани не происходит. Воспаление не проникает глубже верхнего слоя эпителия десен.
В то время как для пародонтита характерна куда более серьезная клиническая картина: воспалительный процесс сначала охватывает слизистую, а затем уходит глубже – поражает нижние слои пародонтальной ткани и добирается до кости.
Опасность гипертрофического гингивита (как и любого другого) в том, что он может перейти в пародонтит, который сложнее поддается лечению и приводит к тяжелым последствиям, вплоть до потери зубов.
Почему это происходит? Дело в том, что, когда пародонтальная ткань опухает и образуются ложные зубодесенные карманы, проблема растет, как снежный ком. Десны становятся очень чувствительными и реагируют острой болью и жжением на малейшее раздражение.
Полноценная чистка зубов в таком случае просто не возможна и количество бактерий в полости рта быстро увеличивается, с каждым днем усугубляя заболевание. Вот почему так важно вовремя обратиться за стоматологической помощью, чтобы очистить десна и зубы от налета.
Только так можно минимизировать бактериальный фактор и снизить вероятность возникновения пародонтита.
Что может спровоцировать хроническую гипертрофию десны?
Важно понимать, что разницы между понятием «гипертрофический гингивит» и «хронический гипертрофический гингивит» нет никакой.
Разрастание пародонтальных тканей не происходит в одночасье, это длительный процесс, последствия которого могут стать заметны через несколько месяцев, а могут никак не выдавать себя и на протяжении нескольких лет.
Именно из-за длительного течения, характерного для этого заболевания, оно всегда имеет хроническую форму.
Одной из причин возникновения гипертрофии считается запущенный гингивит. Его, в свою очередь, провоцируют болезнетворные бактерии, которые активно размножаются в зубном налете. Это значит, что регулярное игнорирование правил гигиены полости рта рано или поздно может аукнуться настолько серьезными последствиями, когда без оперативного вмешательства проблему уже не решить.
Тем не менее, какие бы угрозы не таили в себе задавненные отложения зубного налета, чаще всего хроническая гипертрофия десны возникает не из-за бактериального, а из-за механического воздействия. Ситуации, в которых есть риск серьезно травмировать десну, – не такая уж редкость. Проблему может спровоцировать:
- неправильно подобранный и, как следствие, неудобный зубной протез;
- ошибка во время установки брекетов;
- неаккуратное пломбирование и установка пломбы не подходящего размера, которая соприкасается со слизистой и раздражает ее;
- наличие больших отложений зубных камней;
- неправильный прикус.
Но главная опасность в том, что от гипертрофии не застрахованы даже те пациенты, которые имеют дело только с опытными стоматологами и тщательно соблюдают их предписания. Послужить пусковым курком и запустить необратимый процесс деления базальных клеток пародонтальной ткани могут и другие факторы, которые, на первый взгляд, не имеют никакого отношения к стоматологии.

Редкие причины
- сахарный диабет и разного рода нарушения в работе эндокринной системы;
- наличие в организме злокачественных образований;
- инфекционные заболевания дыхательных путей;
- болезни желудочно-кишечного тракта;
- проблемы с сердечно-сосудистой и нервной системами;
- хронический авитаминоз.
Редко, но в стоматологической практике случались и такие случаи, когда гипертрофия слизистой возникала в следствие беременности. Дело в том, что в этот период женщины переживают резкое изменение гормонального фона.
Если в добавок ко всему организму приходится испытывать еще и острую нехватку полезных микроэлементов, то это может не самым лучшим образом отобразиться на состоянии ротовой полости вообще и на деснах в частности.
Стадии и симптомы гипертрофического гингивита
Существует две общепринятые классификации заболевания. Исходя из того, какие именно структурные изменения происходят в тканях пародонта, различают:
- гипертрофический гингивит отечной формы – цвет десен становится ярко-красным, они значительно увеличиваются в объеме, что особенно заметно в областях между зубами. В некоторых местах пародонтальные ткани разрастаются настолько, что частично или полностью скрывают под собой зубные коронки. Десна кровоточат и становятся очень чувствительными, любое механическое воздействие (будь то чистка зубов или прием пищи) вызывает боль;
- гипертрофический гингивит фибриозной формы – десна имеют здоровый бледно-розовый цвет, болезненные ощущения минимальны, но внешние изменения размера и формы десны заметны не вооруженным глазом.
Отечная и фибриозная форма гипертрофии – это две стороны одной медали. В первом случае мы имеем дело с расширением сосудов, просачиванием лимфы в соединительные волокна пародонтальной ткани и, как следствие, отеком десны.
Во втором случае соединительные волокна увеличиваются не за счет жидкости, а за счет деления собственных клеток.
То же самое происходит и в коллагеновых волокнах, но воспаление и отек при этом минимальные, поэтому и болей как таковых пациент не испытывает.
Вторая классификация разделяет гипертрофический гингивит на три стадии, в зависимости от того, как далеко зашла проблема и с каким объемом десны приходится иметь дело.

3 стадии болезни
- 1 стадия – десневые сосочки гипертрофированы пока только у основания, под разросшейся десной скрывается не более 1/3 высоты зубной коронки.
- 2 стадия – пародонтальная ткань продолжает расти, десневые сосочки увеличиваются и приобретают форму купола, десна закрывает половину зуба.
- 3 стадия – гиперплазия десны достигает своего пика, под пародонтом практически не видно зубов.
Кроме болей и кровоточивости, характерных для первой стадии заболевания, на втором этапе пациент может ощущать серьезный дискомфорт во время пищи. Десна начинает ему мешать не только нормально пережевывать еду, но и говорить.
На третьей стадии обостренные симптомы полностью меняют качество жизни человека, доставляя ему массу физических и моральных страданий. Десна постоянно кровоточит, на ней могут образовываться язвы и грануляции.
Несмотря на страшные прогнозы, реальная картина редко приобретает столь угрожающие формы. Однажды начавшийся гипертрофический гингивит может несколько лет оставаться на первой стадии и протекать практически бессимптомно.
Иногда десна могут становиться более чувствительными к внешним раздражителям в виде холодной, горячей и кислой пищи, кровоточить, но это лишь временные проявления, характерные для периодов обострения хронического заболевания.
То, как быстро гипертрофия будет прогрессировать и будет ли вообще, во многом зависит от состояния здоровья организма в целом.
Наиболее часто с третьей стадией гипертрофического гингивита сталкиваются пациенты с сильно ослабленным иммунитетом. Первым номером в группе риска значатся люди с положительным ВИЧ-статусом, вторым – онкобольные.
Чтобы избежать осложнений в виде абсцесса пародонта и не потерять зубы, им необходимо постоянное поддерживающее лечение.
Диагностика заболевания
Отличить гипертрофический гингивит от других воспалительных заболеваний десны не сложно. Для этого достаточно провести рентгенологическое исследование и убедиться, что структурные изменения не затронули костные ткани пародонта.
Так, на рентгеновском снимке больных пародонтитом или пародонтозом хорошо заметны деструктивные изменения в глубоких костных тканях, тогда как при гингивите воспалением поражены только верхние мягкие слои.
В редких случаях длительного течения гипертрофического гингивита на снимке можно увидеть остеопороз (истощение) костных межзубных перегородок.
Кроме рентгена, обследование пациента с подозрением на гипертрофический гингивит подразумевает проведение сопутствующих мероприятий:
- определение индекса гигиены – чтобы оценить количество налета зубного налета в полости рта;
- определение пародонтального индекса – помогает понять, какую площадь затронуло воспаление;
- подсчет папиллярно-маргинально-альвеолярного индекса – дает возможность судить о протяжности и тяжести гингивита;
- проба Шиллера-Писарева – определяет количество гликогена в пародонтальной ткани, которое значительно увеличивается при наличии воспалительного процесса.
Проводится также комплекс мероприятий дифференциальной диагностики, задача которых – исключить эпулис и фиброматоз десен.
В некоторых случаях может потребоваться биопсия с целью последующего морфологического исследования тканей десны, чтобы убедиться в отсутствии онкологического заболевания.
При наличии сопутствующих диагнозов, пациентам с гипертрофическим гингивитом необходимо будет пройти обследование у эндокринолога, гематолога, гинеколога и др.

Гипертрофический гингивит и его лечение
К лечению запущенной стадии гипертрофического гингивита часто-густо нужно привлекать целую команду специалистов, состоящую из стоматолога-терапевта, пародонтолога, гигиениста, а иногда и ортопеда. Тактика лечения зависит от того, с какой именно формой гингивита приходится бороться.
Методика лечения отечной формы гипертрофического гингивита
- Удаление зубных отложений (налета, камней) и, следовательно, очагов бактериального заражения.
- Обработка полости рта антисептическими препаратами.
- Пародонтологические аппликации – накладывание на десну медицинских пленок и марлевых полосок, пропитанных лекарственным раствором, а также антибактериальных и противовоспалительных гелей и паст.
- Травяные ванночки и полоскания.
- Физиотерапия.
В зависимости от площади и стадии поражения пациенту может назначаться:
- массаж десен – для стимуляции кровообращения в тканях пародонта;
- электрофорез – введение лекарственных препаратов в глубокие ткани десны через верхний слизистый слой с помощью тока;
- гальванизация и дарсонвализация – воздействие на десну электрическим током через мокрые накладки и газ;
- ультразвук – проникая в пародонтальные ткани, высокочастотные звуковые колебания активизируют биохимические процессы в клетках. Это позволяет снять воспаление, избавиться от рубцов и инфильтратов, провоцирующих отек;
- лазеротерапия – воздействуя низкоинтенсивным излучением светового диапазона на воспаленный участок, можно добиться оттока лимфы, снять воспаление, обезболить и продезинфицировать десну. К тому же лазер увеличивает восприимчивость к лекарственным препаратам, а значит помогает быстрее добиться эффекта от медикаментозного лечения.
Если местные противовоспалительные мероприятия не дадут должного результата, придется использовать инъекции и вводить растворы хлорида, глюконата кальция и этилового спирта непосредственно в десневые сосочки. Это так называемая склерозирующая терапия и надо сказать, что она весьма болезненна, поэтому инъекции врач делает только после укола местной анестезии. Чтобы снять отек и воспаление, часто назначаются гормональные мази и стероидные гормоны (также в виде инъекций).

Лечение фиброзного гингивита
Все вышеперечисленные методы, направленные главным образом на то, чтобы убрать отек ткани и остановить воспалительные процессы, в данном случае, скорее всего, окажутся бесполезными. Если речь заходит о фиброзной форме гингивита, лечение требует радикальных мер. Избавиться от разросшихся пародонтальных тканей можно двумя способами.
- Криодеструкция гипертрофированных сосочков.
Во время процедуры на пораженные ткани воздействуют с помощью критически низких температур. В результате жидкость, которая заполняет клетки и пространство между ними, замерзает и образует кристаллы льда, которые разрушают мембранные и клеточные структуры. - Гингивэктомия.
От разросшейся ткани избавляются методом иссечения. Пациента обезболивают, лишнюю десну удаляют, а края сшивают. Первые дни после операции пациенту следует быть предельно осторожным во время приема пищи и чистки зубов, а также регулярно полоскать полость рта антисептиком, чтобы не травмировать швы и не допустить инфицирования.
Важно понимать, что любая форма гипертрофического гингивита – это следствие, поэтому избавиться от него можно только устранив причину. Если воспаление спровоцировала некачественная пломба, ее нужно заменить и правильно отреставрировать зуб.
Если гипертрофия возникла вследствие гормонального дисбаланса или эндокринного заболевания, то первым делом необходимо заняться комплексным обследованием и лечением всего организма.
Часто гингивит исчезает бесследно сам по себе, как только устранены истинные причины воспаления.
Всем, кому приходилось или приходиться иметь дело с гипертрофическим гингивитом, нужно помнить, что это коварное заболевание, склонное к рецидиву. Поэтому особое внимание следует уделять его профилактике. И в этом контексте самостоятельный гигиенический уход за полостью рта дома – это хорошо, но недостаточно.
Нельзя пренебрегать регулярной профессиональной чисткой зубов и десен от камней и налета в стоматологическом кресле. Помните, что теперь малейший дискомфорт после установки пломбы или протеза – это повод быть тревогу. Правильно питайтесь, обедайте продуктами, богатыми кальцием, магнием, рутином и витамином Е.
Берегите свои десна и будьте здоровы!
Используемые источники:
- Colgate 32%, 27774 голоса27774 голоса 32%
Гипертрофический гингивит — причины, симптомы, диагностика и лечение
Гипертрофический гингивит – это патологическое состояние пародонта воспалительного характера, характеризующееся разрастанием слизистой десны и образованием ложных пародонтальных карманов, покрывающих коронковую часть зуба.
Как проявляет себя стоматологическая болезнь, и какие существуют методы лечения гипертрофического гингивита?
Причины гипертрофического гингивита. Этиология и патогенез

В стоматологической практике гипертрофическое разрастание десен имеет второе название – гиперпластический гингивит. Болезнь встречается как у взрослых, так и у детей.
Гиперпластический гингивит сопровождается стремительным увеличением базальных клеток десневого эпителия. Провоцировать развитие патологии могут следующие факторы:
- активная жизнедеятельность патогенной и условно патогенной микрофлоры (при очень плохой гигиене полости рта);
- множественные зубные отложения (мягкий пигментированный налет, минерализованные камни);
- гормональные нарушения;
- выманивание плода;
- климакс;
- долгий прием оральных контрацептивов;
- долговременный прием препаратов, с содержанием дифенилгидантоина натрия;
- гиповитаминоз;
- болезни сердечно сосудистой системы;
- патологический прикус (глубокий, прогнатия, прогения);
- неправильная пломбировка кариозной полости с оставлением острого края пломбы;
- ошибки в проведении протезирования;
- термические, механические и химические повреждения.
Так как болезнь в 49% случаев возникает при беременности, специалисты называют гипертрофическое разрастание десен гингивитом беременных. Возникновение гипертрофического гингивита у детей встречается чаще всего в возрасте 12-16 лет в связи с гормональной перестройкой организма (юношеский гингивит).
Формы гипертрофического гингивита и клинические признаки
В стоматологии различают 2 формы гипертрофического гингивита: отечную и фиброзную.
| Отечная форма | Фиброзная форма |
| Кровоточивость десен во время еды и чистки зубов. Десна увеличивается в размерах, тем самым приносит эстетический дискомфорт. Коронковая часть зуба покрыта воспалительной десной на 1/3 своей высоты. |
На ранней стадии заболевания существенных признаков нет. При средней и тяжелой стадии болезни беспокоит косметический дефект десен. Коронка зуба покрыта десной на 1/2 – 2/3. |
По фото гипертрофического гингивита можно увидеть внешние различия форм воспалительного процесса.
Фиброзная форма
Фиброзная форма гипертрофического гингивита имеет второе название – «фиброзная гиперплазия десен». Болезнь проявляется разрастанием пародонта, при этом папиллярно-маргинальная зона десны при пальпации становится плотной.
Кровоточивость при данной форме гингивита отсутствуют, но течение заболевания и дальнейшее его лечение осложняют ложные пародонтальные карманы. При забивании остатков пищи в труднодоступные места появляются несчищаемый налет и минерализованные отложения, усугубляющие течение болезни.
Отечная форма гипертрофического гингивита
Отечная форма характеризуется отечностью папиллярно-маргинально-альвеолярной десны. Десна становится гиперемированной и в области десневых сосочков синюшной.
При обследовании ротовой полости наблюдаются:
- непроизвольная кровоточивость;
- увеличение пародонтальных карманов;
- множественные зубные отложения.
Как правило, индекс гигиены при отечной форме гипертрофического гингивита составляет 3,4–5 балла. Болезнь может протекать в генерализованном (распространенном) или локализованном (около 2-3 зубов) виде.

Степени тяжести гипертрофического гингивита
Хронический гипертрофический гингивит имеет 3 степени развития: легкую, среднюю и тяжелую.
| Легкая степень | Средняя степень | Тяжелая степень |
| Считается начальным этапом болезни. Поражается папиллярная область десны. Край пораженного пародонта покрывает коронку на 1/3 ее высоты. |
Папиллярно-маргинальная зона становится куполообразной формы. Наблюдаются: кровоточивость десен, болезненность при чистке зубов, неудовлетворительная гигиена рта. | Наблюдаются отчетливые изменения всей области пародонта. Помимо дискомфортных ощущений, пациенты жалуются на косметический дефект в виде увеличения десны до 2/3 части коронки. |
Легкая
Край десны и десневые сосочки утолщаются и становятся валиковой формы. Пародонтальные карманы кровоточат и наполняются гнойным содержимым. Внутри карманов обнаруживаются минерализованные камни, наблюдается неприятный запах изо рта.
Так же как и при отечной форме, пациенты жалуются на кровоточивость и болезненность десен.
Средняя
Рельеф десны деформируется, десневые сосочки увеличиваются в размерах, что приводит к перекрытию коронковой части зуба до половины ее высоты. Глубина пародонтального кармана достигает до 5 мм. Проведение гигиенических мероприятий становится практически невозможным из-за болезненности десен.

Тяжелая
При отсутствии лечения и несоблюдения правил гигиены болезнь переходит в тяжелую степень развития. Десна покрывает зуб до его режущего края. Гипертрофия пародонтальной ткани усложняет жевание и речь. На десневом крае наблюдаются множественные эрозии и язвы. В некоторых случаях эрозивный процесс сопровождается гноетечением.

Диагностика
Диагноз устанавливается стоматологом на основании диагностических данных. После сбора жалоб, анамнеза болезни и визуального осмотра красной каймы губ, врач проводит следующие исследования:
- Осмотр ротовой полости с тщательным обследованием пародонтальной ткани.
- Проведение индексов гигиены полости рта (Федорова-Володкиной, PMA, индекс зубной бляшки).
- Ортопантомография (для определения поражения периодонта, верхушек корня, надкостницы).
- Реопародонтография (определение кровоснабжения мягких тканей).
- Биопсия с пораженных тканей десны.
Лечение гипертрофического гингивита
Перед началом лечения гипертрофического гингивита необходимо выявить причину развития болезни. После определения причины доктор выбирает один из видов лечения:
- медикаментозное;
- хирургическое.
Перед любым методом лечения проводится профессиональная чистка ротовой полости, включающая:
- удаление наддесневых и поддесневых зубных камней;
- снятие пигментированного налета;
- полировка зубов с помощью абразивных паст;
- обработка ран и эрозий антисептическими средствами.
Так как залогом быстрого выздоровления является тщательный гигиенический уход за ротовой полостью, доктор обучает больного правильной технике зубов, использованию дополнительных предметов гигиены, а также дает рекомендации по домашнему уходу за воспаленными деснами.
Медикаментозное
При гипертрофическом гингивите пациентом назначается следующая терапия:
- Уколы в воспаленные сосочки и маргинальную часть десны 10% раствором хлорида кальция (проводится врачом-стоматологом).
- Склерозирующая терапия в виде инъекций и аппликаций.
- Полоскание ротовой полости противовоспалительными настоями трав (аптечная ромашка, шалфей, календула).
- Ротовые ванночки антисептическими препаратами (мирамистин, хлоргексидин).
- Проведение аппликаций регенерирующими и антисептическими гелями (метилпреднизолон).
- Использование лечебных зубных паст (Асепта).

После проведения назначенного курса лечения необходимо посетить стоматолога для динамического наблюдения.
Хирургическое
Хирургическое лечение показано в том случае, когда избавиться от болезни с помощью одной медикаментозной терапией невозможно. Как правило, гингивэктомия (удаление разросшихся тканей пародонта) проводится при фиброзной форме гипертрофического гингивита.
Под проводниковой анестезией стоматолог-хирург выполняет надрезы с оральной и щечной стороны. После иссечения ненужных тканей доктор накладывает на место раны лечебную повязку.
После операции назначается медикаментозная терапия. Чистка зубов должна быть щадящей, в первые 2 дня рекомендуется использовать мягкую зубную щетку.
Прогноз и профилактика
Гингивит беременных так же, как и гингивит у детей проходит самостоятельно во время нормализации гормонального фона. Смысла в каком-либо лечении в данном случае нет. Достаточно лишь проводить чистку зубов у стоматолога 1 раз в 6 месяцев, а также тщательно следить за гигиеной ротовой полости.
Чтобы уберечь себя от возникновения гипертрофического гингивита, необходимо укреплять свой организм необходимыми витаминами (в частности группы С) и минералами. Немаловажным этапом является своевременное лечение сопутствующих заболеваний и отказ от вредных привычек.
Последствия и осложнения гипертрофического гингивита
Если затягивать визит к стоматологу на долгое время, или вовсе начать самостоятельное лечение без наблюдения врача, можно вызвать развитие следующих осложнений:
- атрофия межзубных пространств;
- изменение прикуса;
- подвижность зубов с последующим их выпадением;
- присоединение дополнительной инфекции (периодонтит, кандидоз, стоматит);
- нарушение функций речи.
Чтобы уберечь себя от возникновения гипертрофического гингивита и не допустить развития осложнений, необходимо соблюдать профилактические рекомендации.
Для выявления стоматологической болезни на ранней стадии развития следует раз в год посещать стоматолога-терапевта. Необходимо помнить о том, что своевременное лечение – это залог успешного и быстрого выздоровления, поэтому самолечение и откладывание визита к врачу на долгое время недопустимы.
- Максимовский Ю.М., Митронин А.В. — Терапевтическая стоматология — М.: Гэотар—Медиа, 2012.
- Дмитриева Л.А. — Современные аспекты клинической пародонтологии, М., 2001.
- Барер Г.М. – Болезни пародонта. Учебник, М.: ГЭОТАР—Медиа, 2008.
- Кузьмина Э.М. с соавт. — Профилактика стоматологических заболеваний у беременных женщин и детей раннего возраста, М., ММСИ. 1999.
- Афанасьев В.В. — Хирургическая стоматология: учебник, М.: Гэотар— Медиа, 2011
Гипертрофический гингивит
Гипертрофический гингивит – воспалительные изменения тканей десны, сопровождающиеся их разрастанием (гипертрофией) с образованием ложных зубодесневых карманов, закрывающих зубную коронку. Клинические проявления гипертрофического гингивита характеризуются отечностью, жжением, гиперемией и кровоточивостью десен (при прикосновении, чистке зубов, во время еды), болевой реакцией на горячую, холодную или кислую пищу, неэстетичностью внешнего вида десны. Диагностика гипертрофического гингивита включает в себя осмотр и пальпацию десен, определение стоматологических индексов, проведение рентгенологического исследования. В лечении гипертрофического гингивита используется местная противовоспалительная терапия, склеротерапия, физиотерапия, диатермокоагуляция десневых сосочков, гингивэктомия.
Гипертрофический (гиперпластический) гингивит – форма хронического гингивита, протекающая с преобладанием пролиферативных процессов в тканях десны. В стоматологии гипертрофический гингивит диагностируется у 3-5% лиц, страдающих заболеваниями пародонта.
Развитию гипертрофического гингивита обычно предшествует длительно текущее катаральное воспаление тканей десны (катаральный гингивит). Гипертрофический гингивит может являться самостоятельным заболеванием или сопутствовать обострению генерализованного пародонтита.
При гипертрофическом гингивите, несмотря на существенное увеличение объема тканей десны, целостность зубоэпителиального прикрепления не нарушена, а патологические изменения в костной ткани альвеолы отсутствуют.

Гипертрофический гингивит
В развитии гипертрофического гингивита могут принимать участие местные и общие факторы.
В числе локальных причин наибольшее значение принадлежит нарушениям прикуса (глубокий прикус, открытый прикус), аномалиям отдельных зубов (скученность, сверхкомплектные зубы, скручивание); зубным отложениям (зубному налету и зубному камню); низкому прикреплению уздечки; механической травме десны неправильно установленными пломбами, нерационально подобранными зубными протезами; неудовлетворительной гигиене полости рта при ношении ортодонтических аппаратов и т. д.
В ряду общих факторов, способствующих развитию гипертрофического гингивита, ведущая роль отводится изменениям гормонального статуса, поэтому заболевание нередко развивается в период полового созревания, беременности, климакса.
Иногда в качестве самостоятельных форм в пародонтологии выделяют юношеский гипертрофический гингивит и гипертрофический гингивит беременных.
Среди прочих причин гипертрофического гингивита следует отметить эндокринные заболевания (сахарный диабет, патологию щитовидной железы), прием некоторых групп лекарственных препаратов (антиэпилептических средств, блокаторов кальциевых каналов, иммуносупрессивных средств, оральных контрацептивов и др.), гиповитаминозы, лейкоз.
По распространенности патологических изменений различают локализованный (в области 1-5 зубов) и генерализованный гипертрофический гингивит. Иногда локализованные поверхностные формы гипертрофического гингивита выделяются в отдельное заболевание — папиллит.
В зависимости от типа гиперпластических процессов гипертрофический гингивит может протекать в отечной (воспалительной) и фиброзной (гранулирующей) форме.
Морфологические изменения при отечной форме гипертрофического гингивита включают отек соединительнотканных волокон десневых сосочков, расширение сосудов, лимфоплазмоцитарную инфильтрацию тканей десны.
При фиброзной форме гипертрофического гингивита микроскопически обнаруживается пролиферация соединительнотканных волокон десневых сосочков, утолщение коллагеновых волокон, явления паракератоза при минимальной выраженности отека и воспалительной инфильтрации.
С учетом разрастания тканей десны выделяют три степени гипертрофического гингивита:
- легкую – гипертрофия десневых сосочков у основания; разросшийся край десны прикрывает коронку зуба на 1/3;
- среднюю – прогрессирующее увеличение и куполообразное изменение формы десневых сосочков; разросшаяся десна наполовину закрывает зубные коронки;
- тяжелую — ярко выраженная гиперплазия десневых сосочков и края десны, которая закрывает собой зубную коронку более чем на 1/2 высоты.
Отечная форма гипертрофического гингивита характеризуется жжением, болезненностью и кровоточивостью десен при чистке зубов и приеме пищи, гипертрофией межзубных сосочков, ярко-красным цветом десны.
При стоматологическом осмотре обнаруживается увеличение и отечность десневых сосочков, их гиперемия с синюшным оттенком, глянцевый блеск, кровоточивость при зондировании; наличие зубных отложений. Типично образование ложных зубодесневых карманов, содержащих детрит.
Целостность зубодесневого соединения при гипертрофическом гингивите не нарушена.
При фиброзном гипертрофическом гингивите на первый план выступают жалобы на массивность десен, их плотность на ощупь, неудовлетворительный эстетический вид. Разросшаяся десна может мешать пережевыванию пищи. Десны бледно-розового цвета, безболезненные, имеют неровную, бугристую поверхность, при контакте не кровоточат. Осмотр выявляет присутствие мягких и твердых поддесневых отложений.
В план обследования пациента с гипертрофическим гингивитом входит определение индекса гигиены, пародонтального индекса, папиллярно–маргинально–альвеолярного индекса (РМА), проведение пробы Шиллера-Писарева, при необходимости – биопсия и морфологическое исследование тканей десны. При проведении рентгенографии (внутриротовой, панорамной, ортопантомографии), как правило, изменений не обнаруживается либо (при длительном течении гипертрофического гингивита) выявляются остеопороз верхушек межзубных перегородок.
В рамках дифференциальной диагностики исключатся фиброматоз десен, эпулис, разрастание десен при пародонтите. Пациенты с гипертрофическим гингивитом и сопутствующими заболеваниями должны быть проконсультированы врачами-специалистами соответствующего профиля: гинекологом, эндокринологом, гематологом и др.
Пациентам с гипертрофическим гингивитом требуется помощь стоматолога-терапевта, гигиениста, пародонтолога, ортопеда.
Терапия отечной формы гипертрофического гингивита включает удаление зубных отложений, обработку слизистой оболочки полости рта антисептиками, пародонтологические аппликации, ротовые ванночки и полоскания отварами трав, физиотерапию (электрофорез, гальванизацию, дарсонвализацию, ультразвук, лазеротерапию), массаж десен.
При неэффективности местных противовоспалительных мероприятий проводится склерозирующая терапия – инъекционное введение в десневые сосочки растворов хлорида или глюконата кальция, глюкозы, этилового спирта под местной анестезией.
С целью уменьшения отечности и воспаления при гипертрофическом гингивите производится втирание в десневые сосочки гормональных мазей, инъекции стероидных гормонов.
В лечении фиброзного гипертрофического гингивита консервативные методы, как правило, оказываются неэффективными.
В этом случае на первый план выходят криодеструкция или диатермокоагуляция гипертрофированных сосочков и гингивэктомия — хирургическое иссечение разросшегося участка десны.
Местное лечение гипертрофического гингивита также должно включать устранение травмирующих факторов: замену пломб, реставрацию зубов, устранение дефектов протезов, пришлифовывание окклюзионных поверхностей, ортодонтическое лечение, пластику уздечек губ и языка и пр. Критериями излеченности гипертрофического гингивита служит исчезновение внешних изменений вида десны и субъективных ощущений, нормализация стоматологических индексов, отсутствие ложных зубодесневых карманов.
При ювенильном гипертрофическом гингивите и гингивите беременных имеет смысл ограничиться консервативным лечением, поскольку после нормализации гормонального фона и родов гиперплазия десен уменьшается или исчезает полностью. Гипертрофический гингивит склонен к рецидивированию, поэтому важным является устранение всех провоцирующих местных и общих факторов.
Профилактика гипертрофического гингивита сводится к исключению хронического механического травмирования десны, регулярному проведению профессиональной гигиены полости рта, правильному гигиеническому уходу за зубами и деснами, решению стоматологических проблем пациента. Крайне важным является терапия эндокринных заболеваний, рациональный подбор лекарственных препаратов.
Гипертрофический гингивит: причины, симптомы и лечение отечной формы гингивита
Дата обновления: 2019-05-14
Гипертрофический гингивит — это заболевание воспалительного характера с хроническим течением, проявляющееся патологическим разрастанием (гипертрофией) тканей десны и образованием из них зубодесневых выпячиваний, закрывающих коронку зуба.
Симптомами данного заболевания будут:
- гиперэмия, отечность, жжение и геморрагии из десен;
- гиперчувствительность к холодной, горячей, кислой пище;
- эстетический дефект десны.
Часто гипертрофированная десна выступает механическим препятствием при пережевывании пищи, что способствует ее травмированию, проникновению в поврежденные участки патогенных микроорганизмов и усугублению воспалительного процесса.
Диагностика гипертрофического гингивита осуществляется посредством осмотра, пальпаторного исследования десен пациента, определения стоматологических индексов, а также исходя из результатов дополнительных исследований (рентгенографии и КТ зубочелюстной системы).
Лечебная тактика включает в себя применение противовоспалительных средств местного действия, физиотерапевтических процедур, склеротерапии, диатермакоагуляции сосочков десны и хирургического иссечения гипертрофированных тканей (гингивэктомии).
Согласно статистическим данным детская категория населения страдает данным заболевание чаще всех, особенно дети и подростки в допубертатный и пубертатный период (от начала и до полного полового созревания), поскольку явление гипертрофического гингивита нередко связанно с гормональным развитием.
Гипертрофический гингивит является одной из форм гингивита (воспаления тканей десны) и встречается реже в сравнении с другими формами (катаральной, атрофической, язвенно-некротической).
Классификация гипертрофического гингивита
В зависимости от клинико-структурных изменений выделены следующие формы гипертрофических изменений десен:
- отечная форма. Характеризуется кровоточивостью и болезненностью десен, визуально десна приобретают ярко красную окраску, сосочки между зубов увеличиваются и перекрывают зубные коронки. Кровоточивость десен имеет спонтанный характер и нередко проявляется в ночное время;
- фиброзная форма. При данной форме гипертрофического гингивита отсутствуют болезненные проявления и цвет десен остается нормальным, основным изменением будет патологическое разрастание десны. Патологические изменения могут локализироваться на небольшом участке десны или иметь обширный характер.
Исходя из степени воспалительного процесса, существует такая классификация гипертрофических гингивитов:
- 1 степень (легкая). Происходит увеличение десневых сосочков у основания, а также усиленно разрастается край десны;
- 2 степень (средняя). Период активных гипертрофических изменений десневых сосочков и края десны, сосочки деформируются и приобретают куполообразную форму, их гипертрофированные края на половину прикрывают коронки зубов;
- 3 степень (тяжелая). Отмечаются ярко выраженные гиперпластические изменения десневых сосочков и самой десны, гипертрофированные ткани покрывают практически всю зубную коронку, в некоторых случаях — до поверхности смыкания зубов. Болезненные геморрагии и грануляции покрывают поверхность гипертрофированных сосочков десны.
Прогноз и профилактика гипертрофического гингивита
- Некоторые формы гипертрофического гингивита не требуют специального лечения и проходят самостоятельно или достаточно консервативной терапии (ювенильный гипертрофический гингивит, а также гипертрофический гингивит беременных), обычно после нормализации гормонального баланса данное заболевание проходит самостоятельно.
- Гипертрофическому воспалению десен свойственна склонность к рецидивам, поэтому пациентам, даже после излечения, рекомендованы регулярные осмотры стоматолога.
- Для профилактики гипертрофического гингивита необходимо проходить регулярную профессиональную чистку полости рта, а также самостоятельно осуществлять гигиенические процедуры и своевременно лечить эндокринные патологии.
Данному заболеванию свойственно наличие активного роста базальных клеток, которые входят в состав эпителия десен.
Запустить процесс гипертрофического разрастания тканей десен могут различные явления, к числу которых относятся низкое прикрепление уздечки, врожденные аномалии прикуса, наличие некачественных пломб, зубных протезов или зубных отложений.
Также существует ряд этиологических факторов, которые могут способствовать гипертрофическим изменениям десны:
- хронические заболевания эндокринной и нервной систем;
- поступление недостаточного количества витамина С в организм;
- длительный прием медикаментов, в том числе гормональных препаратов и антибиотиков;
- гормональный дисбаланс (в подростковом возрасте, при беременности);
- различные травмы десны.
Симптоматика данного заболевания зависит непосредственно от формы гипертрофических процессов.
Симптомы отечной формы гипертрофического гингивита
Клиническим проявлением отечной формы данного заболевания является гипертрофия межзубных сосочков, болезненность, жжение и геморрагия десен, усиливающиеся во время чистки зубов, при этом слизистая оболочка десны приобретает ярко-красный цвет.
При стоматологическом осмотре визуализируется увеличение размеров и отечность десневых сосочков, их глянцевый блеск, гиперемия с синюшным оттенком, при зондировании отмечается геморрагия. Достаточно часто при осмотре выявляются зубные отложения.
Помимо этого, характерным признаком данной формы гипертрофического гингивита является наличие ложных зубодесневых карманов, которые содержат детрит. Поверхность зубодесневых соединений остается целостной.
Симптомы фиброзной формы гипертрофического гингивита
При фиброзной форме гипертрофического воспаления десневых структур основным показателем будет патологическое разрастание десны, ее уплотненность и не эстетичность.
Гипертрофические изменения десны могут выступать помехой для нормального пережевывания пищи. Поверхность десен имеет бледно-розовый цвет, неровную, местами бугристую, поверхность, десна не кровоточат и не болят.
В процессе осмотра выявляются твердые и мягкие поддесневые отложения.
Если гипертрофический гингивит протекает вместе с сопутствующими заболеваниями крови, в частности с лейкозом, выраженность болевого синдрома усиливается в разы.
Боль может появляться даже при незначительном касании к разросшейся десне, а в некоторых случаях она присутствует и в состоянии покоя.
При этом любые механические воздействия могут запустить процесс увеличения сосочков и вызвать геморрагию.
Обнаружили симптомы данного заболевания? Звоните Наши специалисты проконсультируют Вас!
Постановка данного диагноза осуществляется на основании определения стоматологических индексов (пародонтального индекса, индекса гигиены, папиллярно-маргинально-альвеолярного индекса (РМА)), а также по результатам пробы Шиллера-Писарева, а в некоторых случаях показано морфологическое исследование, биообразцы для проведения которого забираются посредством биопсии.
С целью исключения других патологических процессов в зубочелюстной системе, а также выявления осложнений, пациентам показаны дополнительные исследования (ортопантомография, панорамная рентгенография и пр.).
В большинстве случаев, при рентгенографическом и томографическом исследованиях не определяются никакие изменения костных структур, но иногда при длительно текущем гипертрофическом воспалении десен возможно развитие осложнений в виде остепороза верхушек перегородок между зубами, который можно диагностировать только по результатам данных обследований.
В комплекс диагностических мероприятий при данном заболевании входит дифференциальная диагностика. Суть дифференциальной диагностики заключается в исключении других заболеваний с похожей симптоматикой (парадонтит, парадонтоз и пр.
), а также отличие гипертрофической формы гингивита от его других форм (язвенно-некротической, атрофической, катаральной).
Для выявления парадонтита и парадонтоза выполняются топографические исследования, а с целью уточнения формы гингивита, как правило, достаточно осмотра и зондирования.
Для комплексного обследования и определения причины гипертрофических изменений десны, пациенты направляются на консультацию к другим специалистам — к эндокринологу, гематологу и пр.
Тактика лечения гипертрофического гингивита выносит на первый план установление и устранение причины заболевания. Параллельно с лечением основной причины осуществляется стоматологическое лечение, в проведении которого участвуют такие специалисты, как пародонтолог, стоматолог-терапевт, гигиенист, ортопед.
Лечение отечного гипертрофического гингивита
В случае отечного гипертрофического гингивита показана обработка полости рта антисептическими растворами, удаление зубных отложений, полоскание рта травами, обладающими противовоспалительными свойствами, применение пародонтологических аппликаций, массаж десен, а также физиотерапевтическое лечение (дарсонвализация, электрофорез, гальванизация, лазеротерапия, ультразвук).
В случае неэффективности местного лечения, рекомендовано применить склерозирование, методика которого подразумевает инъекционное введение различных склерозирующих веществ (хлорида и глюконата кальция, этилового спирта и пр.), в предварительно обезболенную гипертрофированную десну.
Для минимизации отечности разросшейся десны в нее втирают гормональные мази и выполняют инъекции стероидных гормонов.
Лечение фиброзного гипертрофического гингивита
При фиброзной форме данного заболевания целесообразно применение диатермокоагуляции или криодеструкции гипертрофированных сосочков, а в некоторых случаях хирургического иссечения патологически измененных тканей десны (гингивэктомии).
О положительном результате лечения можно говорить в случае, если нормализируется структура и эстетический вид десны, отсутствуют клинические проявления воспаления и ложные зубные карманы, а также нормализируются стоматологические индексы.
Данная статья размещена исключительно с целью ознакомления в познавательных целях и не является научным материалом или профессиональным медицинским советом. За диагностикой и лечением обратитесь к врачу.
Остались вопросы?
Введите ваши данные, и наши специалисты свяжутся с Вами, и бесплатно проконсультируют по волнующим вас вопросам.