Горб на спине – это серьезная патология, грозящая множеством осложнений для здоровья, вплоть до полной инвалидности.
Иногда он является следствием врожденных заболеваний позвоночника, и в таких случаях избавиться от дефекта можно лишь с помощью операции.
Но чаще горб формируется на фоне различных нарушений опорно-двигательной системы, и при своевременном лечении его удается полностью устранить. Как убрать горб на спине, и что делать для того, чтобы он не появился снова?

Как убрать горб на спине
Почему появляется горб
Чтобы избавиться от горба, прежде всего, нужно выяснить, почему он появился, и устранить все провоцирующие факторы. Существует две основные причины формирования горба на спине: патологические процессы в самом позвоночнике (вертеброгенные) и различные изменения окружающих мягких тканей.
К первому типу относятся:
- искривление позвоночника – кифоз, кифосколиоз;
Основной причиной формирования горба является патологический кифоз - болезнь Бехтерева;
- остеохондроз и его осложнения;
- травмы позвоночника и грудной клетки;
- туберкулез костей;
- компрессионные переломы позвонков при остеопорозе;
Компрессионные переломы позвонков тоже могут спровоцировать развитие горба - опухоли и метастазы в позвоночном столбе;
- перенесенный в детстве рахит в тяжелой форме;
- врожденные аномалии позвонков;
- нарушения осанки.
Нарушение осанки — первый шаг к формированию горба на спине
Цены на ортопедические корсеты и корректоры осанки
Вертеброгенный горб убрать достаточно сложно, и чем больше запущена болезнь, тем меньше шансы на успех. Легче всего патология поддается лечению в детском и подростковом возрасте, пока продолжается рост костей. После 25 лет выровнять позвоночник с помощью консервативных методик гораздо сложнее и времени на это требуется больше.
Ко второму типу относят дегенеративно-воспалительные процессы в подкожно-жировом слое и мышечных тканях. Как правило, это происходит по следующим причинам:
- чрезмерная физическая активность;
Избыточные физические нагрузки приводят к воспалительным процессам в мышечной ткани - доброкачественные новообразования;
- гормональные сбои;
- эндокринные заболевания;
- избыточный вес.
Избыточный вес тоже относится к провоцирующим факторам
Самостоятельно определить причину появления горба сложно, а потому и лечение правильно подобрать без специалиста вряд ли получится. Запускать же ситуацию никак нельзя, ведь прогрессирование болезни грозит серьезными последствиями.
Последствия возникновения горба
В первую очередь, горб на спине – это очень заметный дефект, из-за которого у человека развиваются различные комплексы, снижается самооценка, возникают проблемы с общением. Помимо этого, горб доставляет неудобства бытового характера, что тоже влияет на качество жизни.
Но хуже всего то, что такая патология оказывает воздействие на внутренние органы и системы, часто провоцируя необратимые изменения. Горб меняет форму туловища, вследствие чего смещаются и сдавливаются органы пищеварения, легкие, нарушается работа сердца.
Деформированные позвонки сдавливают кровеносные сосуды и нервные волокна, снижается чувствительность конечностей, возникают сбои в мочевыводящей системе. Из-за недостатка кровоснабжения и пониженной проходимости нервных импульсов также страдает головной мозг.

Изменения в позвоночном столбе вызывают болевой синдром, ухудшают кровоснабжение головного мозга
Проявляется это болями в спине и грудной клетке, головными болями, головокружением, нарушением сердечного ритма, проблемами с пищеварением и мочеполовой сферой.
Совет. Указанные симптомы появляются не сразу, а по мере роста горба и усиления воздействия на близлежащие органы. Но ждать, пока симптоматика приобретет выраженный характер, конечно же, нельзя, и обращаться за помощью необходимо как можно раньше.
Методы диагностики
Так как причин патологии довольно много, обследоваться нужно сразу у нескольких специалистов, основными из которых являются вертебролог и невролог.
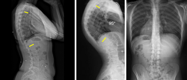
Тщательное обследование поможет установить точный диагноз и подобрать максимально эффективное лечение. После первичного осмотра обязательно назначают рентгенографию или более современные методики – КТ и МРТ.
Эти исследования позволяют выявить патологии позвоночного столба и прилегающих тканей, фиксируя малейшие отклонения от нормы.

На снимках отчетливо просматриваются малейшие изменения как в самом позвоночнике, так и в прилегающих тканях
Для выявления эндокринных, неврологических нарушений и оценки состояния сосудов применяют дополнительные виды аппаратной и лабораторной диагностики. По результатам исследований врач подбирает оптимальный вариант лечения для конкретного пациента.
Как убрать горб: эффективные способы
Избавиться от горба можно только с помощью комплексной терапии. Она включает лечебную гимнастику, физиотерапевтические процедуры, массаж, плавание, использование ортопедических корсетов.
Также хороший результат дает мануальная терапия, но лишь при условии ее выполнения опытным и квалифицированным специалистом.
Что касается лекарственных препаратов, то они используются преимущественно для устранения симптомов, сопровождающих основное заболевание – болей, воспаления, отеков. Сам же горб лекарствами убрать нельзя.

Препараты при болях в спине
Лечебная гимнастика
ЛФК считается самой важной частью терапии вертеброгенного горба, поскольку именно упражнения оказывают наибольшее воздействие на позвоночник и мышечно-связочный аппарат. Лечебная гимнастика не имеет абсолютных противопоказаний, но ее не назначают в период обострения хронических болезней, при воспалительных процессах в организме, а также при выраженном болевом синдроме.
Таблица. Комплекс базовых упражнений для уменьшения горба на спине
Упражнение 1 |
Нужно сесть на коврик, ноги поставить перед собой и обхватить колени одной рукой. Спина и шея должны быть максимально выпрямлены. Далее сгибают в локте свободную руку и поднимают на уровень груди. Плавно отводят локоть назад, одновременно поворачивая и корпус вслед за рукой, затем возвращаются в исходное положение. Повторяют от 10 до 15 раз, все время удерживая руку параллельно полу. |
| Упражнение 2 | Поза прежняя. Согнутую руку отводят в сторону, после чего начинают плавно поднимать и опускать предплечье так, чтобы верхняя часть руки оставалась в одном положении. Корпус тоже не должен двигаться. Выполняют не меньше 10 раз, затем повторяют упражнение с другой рукой. |
| Упражнение 3 | Теперь нужно лечь на пол лицом вниз, руки отвести в стороны и согнуть в локтях. Одновременно поднимают обе руки так, чтобы локти оставались прижатыми к поверхности. Удерживают секунд 10-15 и плавно опускают на пол. Повторить не меньше 7 раз. |
| Упражнение 4 | Положение прежнее. Согнутые в локтях руки поднимают теперь полностью, стараясь сильнее свести лопатки вместе, и удерживают несколько секунд. Далее опускают локти на пол, продолжая удерживать ладони на весу. Снова поднимают руки, и так примерно 6-7 раз. |
| Упражнение 5 | Положение прежнее. Поднимают ладони над полом, затем отводят обе руки назад так, чтобы угол сгиба в локтях равнялся 90 градусам. Задерживают на 2-3 секунды, возвращают руки в исходное положение и опускают локти на пол. Ладони остаются на весу. Опять поднимают и отводят руки назад, стараясь прижать локти к телу. Повторить нужно не менее 7 раз. |
| Упражнение 6 | Нужно перевернуться на спину, левую руку отвести в сторону и вытянуть под углом 90 градусов к телу. Ноги сгибают в коленях и наклоняют в правую сторону так, чтобы достать пола. В области лопаток должно хорошо ощущаться напряжение мышц. Фиксируют положение на 10 секунд, после чего меняют руку и наклоняют ноги в левую сторону. |
| Упражнение 7 | Выполняют, сидя на стуле. Максимально выпрямляют спину и шею, одну руку заводят назад, за спинку стула. Прогибают позвоночник вперед, насколько это возможно, и задерживают позу на 15-20 секунд. Важно сохранять равномерное глубокое дыхание. |
Эти упражнения следует выполнять регулярно, не менее 3 раз в неделю на протяжении 2-3 месяцев, в зависимости от размеров горба. В процессе занятий нужно избегать резких движений и чрезмерного напряжения мышц, поскольку это приводит к появлению микротравм и усугубляет состояние.
Если вы хотите более подробно узнать, лучшие средства, как убрать вдовий горб в домашних условиях, а также рассмотреть альтернативные методы лечения, вы можете прочитать статью об этом на нашем портале.
Физиотерапия
Физиотерапевтическое лечение оказывает эффект и на вертеброгенный горб, и на горб, образованный мышцами и жировой тканью. Перечень процедур включает:
- лечение ультразвуком;
- лазерную терапию;
- электрофорез;
- магнитотерапию;
- инфракрасное прогревание.
Процедура магнитотерапии
В результате такого воздействия улучшается трофика тканей, нормализуется кровоток и нервная проводимость, снимаются отеки и воспаления. Уже после нескольких процедур дискомфорт в области горба заметно уменьшается, исчезают болевые спазмы, немного повышается подвижность.
Важно! Вид процедур, а также их частоту и продолжительность, специалист подбирает индивидуально, учитывая тяжесть деформации, общее состояние больного, наличие сопутствующих заболеваний и осложнений.
Физиотерапевтические аппараты
Массирование проблемного участка способствует выравниванию мышечного тонуса, нормализации кровотока и тканевого обмена.
Если горб появился из-за изменений в мышечной и жировой ткани, именно массаж помогает добиться нужного результата в короткие сроки, благодаря прямому воздействию на уплотнения под кожей.
Но и в случае вертеброгенного горба лечебный массаж будет совсем не лишним. В сочетании с гимнастикой и физиотерапией он оказывает благотворное воздействие на позвоночник и сокращает период лечения.
Убрать горб помогает лечебный массаж
Ношение корсета
Ортопедический корсет не может убрать горб, но может остановить прогрессирование болезни. Он показан в тех случаях, когда причиной горба являются патологии позвоночника, например, кифоз, остеохондроз, кифосколиоз.
Корсеты изготавливают по индивидуальным меркам, чтобы конструкция идеально охватывала корпус и не доставляла неудобств.
Чаще всего ношение таких корсетов назначают детям и подросткам, у взрослых же эффект от их использования значительно ниже.
Ортопедический корсет способствует выравниванию позвоночника и останавливает развитие деформаций
Если убрать горб указанными методами не получается, или более того, он продолжает увеличиваться, единственным решением является хирургическая операция. Современные малоинвазивные методики позволяют в большинстве случаев устранить дефект быстро и без осложнений.
Профилактические меры
При наличии факторов риска предупредить образование горба поможет соблюдение нескольких простых правил:
- необходимо постоянно помнить о своей осанке, стараться всегда держать спину прямо;
- больше времени уделять физической активности, но без чрезмерного напряжения мышц позвоночника;
Физическая активность очень важна для здоровья позвоночника - обязательно посещать бассейн хотя бы раз в неделю. Плавание хорошо развивает мышцы и снимает болевой синдром при патологиях двигательной системы;
- для сна рекомендуется подобрать умеренно жесткий матрац и невысокую подушку, лучше всего – ортопедическую;
Спать рекомендуется на жестком матрасе и невысокой подушке - включать в ежедневный рацион продукты с высоким содержанием витаминов и кальция.
Если вы хотите более подробно узнать, как правильно спать на ортопедической подушке, а также рассмотреть альтернативные методы лечения, вы можете прочитать статью об этом на нашем портале.
Но самое главное – это своевременно обращаться к врачу, если что-то беспокоит, и не пытаться решить проблему самостоятельно. Многие заболевания имеют схожие симптомы, но требуют разного лечения, и только специалист может точно определить причину и подобрать соответствующую терапию.
Ортопедические матрасы
Доктор Бубновский: Как убрать ВДОВИЙ ГОРБ
«Вдовий горб» — это гормонально зависимое отложение жировой ткани в шейно-воротниковой зоне. Оно начинается в период менопаузы: до этого под влиянием женских гормонов жир локализуется на бедрах и ягодицах. С уменьшением в крови эстрогенов и увеличением андрогенов отложение жира начинается по мужскому варианту — на животе и в холке.

КАК ИЗБАВИТЬСЯ ОТ ХОЛКИ НА СПИНЕ
Холка – это также проблема женщин, имеющих избыточный вес в верхней части туловища. Возникает жировая подушка, она нарушает кровоток, а это приводит к нарушению мозгового кровообращения. С годами вырасти может горб.
В видео доктор Бубновский подскажет, как с ним бороться с холкой на шее ( вдовий горбик). Доктор покажет упражнение на тренажере и для домашних условий. Упражнения направлены на удалении грыжи (холки) без операций.
Кроме того, надо внести ряд корректив в свой образ жизни.
Во-первых, чтобы бороться с холкой, надо иметь хорошие плечевые суставы и крепкие мышцы плечевого пояса, как правило, холка – это результат недостаточной работы именно этих мышц.
И активно работать верхними конечностями. Именно такие упражнения помогут разогнать жир в холке.
Смысл – в раскручивании плечевых суставов в разных плоскостях с верхних и нижних блоков в количестве по 15–20 движений каждой рукой.
Силовые упражнения улучшают общий кровоток, микроциркуляцию и питание всех тканей и органов.
Плюс к этому – обязательный массаж после каждого занятия. Массаж жесткий, разбивающий жировые комки, улучшающий циркуляцию крови, разрушающий жировую капсулу, которая образуется в холке. Три-шесть месяцев такой работы – и холку убрать реально. Терпение, терпение и еще раз терпение.
- И, конечно, позаботиться о рациональном питании, обязательно включающем в себя достаточное потребление белков и углеводов (в виде овощей, круп и некоторых фруктов), большого количества воды.
- Массаж против холки
- «Вдовий горбик» — так именовали в народе область холки.
В месте, где позвоночный шейный отдел переходит в грудной отдел позвоночника, возникают застойные явления. Как правило, этому больше всего подвержены женщины.
Жировая клетчатка, которая откладывается в этой области шеи, уплотняет соединительную ткань, развивается видимый бугорок — «холка».
Холка часто начинает расти у женщин после 35 лет в области седьмого шейного позвонка.
Особенно заметна холка у женщин, имеющих лишний вес. Постепенно массивный и плотный валик переходит из области шеи в верхнюю зону спины.
- Подписывайтесь на наш аккаунт в INSTAGRAM!
- Нежелательное новообразование доставляет массу неприятностей – от комплексов по поводу горбатости до частых головных болей.
- Конечно, лучше принять своевременные меры и не допустить появления некрасивого горба, но если факт уже свершился, надо постараться исправить произошедшее и убрать холку.

- Эффективное средство борьбы с «загривком» — массаж, который может проводиться как с помощью профессионала, так и самостоятельно, путём разминания этой области руками.
- И чем раньше женщина начнёт массировать эту область, тем меньше холка будет развиваться в будущем.
- Область 7 шейного позвонка очень важна для красоты шеи и всего тела.
- Очень часто с возрастом у женщин там появляется некрасивый выступающий жировой холмик, именуемый в народе «холкой» или «загривком», который очень портит весь внешний вид.
- Возьмите на пальцы немного жирного крема или оливкового масла и 5 минут помассируйте область загривка, хорошо разминая жировую складку щипковыми движениями.
- Наклонить шею немного вперед.
- Сложить ладони в «замочек» и круговыми спиралевидными движениями, немного надавливая, массировать заднюю область шеи, захватывая зону 7-го шейного позвонка.
- Движения должны быть плавные по часовой стрелке.
- Продолжительность самомассажа произвольная, все зависит от того, насколько вам хватит терпения и сил (все же руки находятся в положении вверх, и они достаточно быстро устают).
- Если вы будете массировать холку несколько раз в день, то результат наступит быстрее: вы заметите, что уже через неделю ваш горбик станет мягче, а еще через какое-то время исчезнет совсем.
- Это замечательно движение прекрасно массирует, снимает напряжение, растягивает и освобождает эту зону.
- Повторить движение 5-10 раз.
- Следующий прием очень хорошо расслабляет зону заднего шейного отдела, внутренней части плеч, холки и верхней части спины (все зависит от места приложения к стене и рук с внешней стороны.
- После пристеночной коррекции все массажно-корректирующие и тонизирующие приемы дадут намного более глубокий результат.

- Пристеночная коррекция холки — это упражнение направленно на одновременное воздействия на зоны холки, и верхней зоны декольте, с тем, чтобы одновременно работать и с горизонтальными морщинами его тканей, которые хорошо устраняются растягиванием на сопротивление.
- Сам прием выполняется у стены.
- 1 шаг. Стоим у стены, прислонившись всеми выступающими точками.
- 2 шаг. Делаем шаг вперед одной ногой и опираемся на стену зоной чуть выше между лопаток, согнув вторую ногу, чтобы создать возможность наклона назад. Приклеились к стене зоной между лопаток.
- 3 шаг. Ставим руки на зону декольте посередине грудины под ключицами.
- 4.шаг. Сползаем аккуратно на пару сантиметров вниз по стене, задирая прислоненное место спины кверху. Одновременно поднимаем массивчик на декольте и держим 30 секунд со спиной вместе.
- 5 шаг. Не «отлипая от стены», одновременно вытягивая зону декольте вверх. Выпрямляемся
Результат: уменьшается массив «холки» и растягиваются мягкие ткани в зоне ключиц, плохо доступных для воздействия. Удобство упражнения в одновременном также использовании обоих упражнений.
- Для выполнения этого упражнения требуется максимальная аккуратность и осторожность, выражаемая в необходимости держать голову строго прямо и минимальной амплитуде движения при первых тестовых подходах.
- Для большей эффективности в дальнейшей упражнение рекомендуется выполнять по нескольку раз кряду.
- Проработка зон холки и декольте в горизонтальных плоскостях проводится по-отдельности: ткани сдвигаются на 30 секунд в вертикальную складку, а затем корректируются-растягиваются-раскачиваются-выглаживаются.
- Можно корректировать ткани и без всяких 30 секунд, просто растягивая их в стороны, при этом делая одной рукой глубокое выглаживание, другой — одновременное раскачивания для создания динамики.
- Все корректирующие движения производить сверху вниз, но ни в кое случае не наоборот.
- Эффективное дополнение к «пристеночной коррекции холки», которое описано выше.
- К стене прислоняем выступающий мягкий комок — саму холку и проводим описанный прием.

- Затем берем мягкие ткани «холки» и фиксируем в защипе

- Держа защип, мягкими малоамплитудными толчками выходим из приседа: стенкой тянем холку вниз, а защипом вверх, разбивая бугорок.
Зашипы производим выше или ниже, по всему участку заднего шейного отдела. Толки делаем очень и очень маленькие, соблюдая осторожность — стена большая и сила в ней тоже.
- Уточняем что корректирующий массаж с помощью двойного щипка возможен лишь на сухую кожу и сухими конечно же руками, чтобы была сцепка с тканями.
- После приема выровняться, сделать паузу и легонько повращать головой в разные стороны, круговыми движениями, наклонами.
- Понаблюдать за собой после проведения приема и можно повторять его в течение дня несколько раз, используя очень эффективный и наиболее осторожный режим коротких и частых подходов.
Для коррекции-вытягивания тканей зоны заднего шейного и заднебокового отделов и убирания холки необходимо предварительное размягчение тканей. Для этой целей хороши различные массажные приемы, типа раскачивания, сдвигания и других, не лишне будет и посещение опытного массажиста, который сможет вам в этом также помочь.
- Движения при самомассаже:
- интенсивные круговые движения;
- легкое пощипывание и похлапывание;
- движения, которые словно «продавливают» проблемное место.
Ещё пару слов на эту тему. Если у кого-то валяются деревянные массажёры без дела — подключайте и их к этой программе. Массируйте спину по 20-30 мин. в день, как хватает сил в купе с диетой и холка покинет своё насиженное место.
В домашних условиях для устранения жирового горба на шее можно использовать аппликатор Кузнецова или аппликатор Ляпко (в основе лежит методика иглорефлексотерапии). Перед применением аппликаторов рекомендуется посоветоваться с врачом.
Электромассажеры с прогревающим эффектом в данной области шеи рекомендуется применять аккуратно, контролируя свои ощущения. Если появилась боль, процедуру стоит прекратить.
Не ждите мгновенного результата, «холка» сначала станет мягче, и только потом начнет постепенно уменьшаться, пока совсем не исчезнет. На это потребуется время.
- Помните, что массаж и «волшебные комплексы» упражнений с потрясающими результатами не подействуют до тех пор, пока вы не соберете в кулак свою волю, чтобы начать регулярно выполнять упражнения и массаж, придерживаясь основ правильного питания, образа жизни.
- Помните, что только вы сами способны себе помочь избавиться от недостатков фигуры.
- Не теряйте времени, результаты того стоят.
- Даже самые упорные «подушки» станут мягкими и исчезнут, если в течение двух недель подряд вы будете их «мучить».
- И во время следующей критической проверки вы обнаружите, что изгиб вашей шеи стал значительно красивее.
- Если «холки» у вас пока не намечается, не лишне проводить профилактику – на всякий случай.

- Рекомендуется перед началом массажной процедуры принять теплую ванну (это размягчит жировую ткань, и массажные манипуляции будут более эффективными).
- В ванну рекомендуется добавлять пищевую соду (200 грамм соды развести в литре воды комнатной температуры, затем вылить раствор в ванну с водой; время процедуры – 15 минут).
- Содовая ванна может дать эффект похудения.
Можно принимать ванну с настоем ромашки (100 гр. травы залить горячей водой, настаивать полчаса, затем вылить процеженный раствор в ванну с водой).
Также перед процедурой массажа в области шеи на жировой горб можно делать теплый компресс (махровое полотенце намочить горячей водой, наложить на проблемное место, держать 15-20 минут).
Компресс можно делать на основе настоя ромашки, шалфея, крапивы или сбора целебных трав.
Для этих целей также подойдет содовый раствор, которым пропитывается полотенце. Раствор готовится просто: в одном литре горячей воды растворить пять столовых ложек соды.
- Массаж проблемной зоны при устранении жирового горба на шее эффективнее всего комбинировать с занятиями физкультурой, делая при этом акцент на упражнения в области шеи.
- Для начала можно начинать занятия с самых простых упражнений: наклоны головой назад-вперед, вправо-влево.
- Также можно использовать такое упражнение: круговые повороты головой.
- Если движения шеей затруднены, то упражнение стоит делать крайне аккуратно или отказаться от него до тех пор, пока в результате других методов не будет восстановлена подвижность шеи.

- Еще одно эффективное простое упражнение, не требующее особой подготовки: рисовать подбородком воображаемые геометрические фигуры.
- Исходное положение:
Стоя, руки держим на поясе, подбородок поднять вверх и начать им «рисовать» в воздухе фигуры. Эффект от таких упражнений заключается в том, что уплотняется скелетная мускулатура.
Несмотря на то, что жировой горб на шее не считается заболеванием (исключение – горб, появившийся в результате болезни Бехтерева), а является скорее косметическим дефектом, к нему также применимо правило: легче заниматься его профилактикой, чем лечением.
Для профилактики появления жирового валика на шее можно использовать следующие способы:
- Выбирайте правильные подушки и матрасы: подушка не должна быть слишком мягкой и объемной; выбирайте ортопедические матрасы средней жесткости.
- Так как появление жирового нароста на шее провоцирует лишний вес, то рекомендуется следить за массой своего тела.
- Следите за гормональным фоном своего организма (эта рекомендация особенно актуальна для женщин, находящихся в периоде менопаузы).
- Занятия физкультурой улучшают осанку, в том числе и предотвращают появление жирового нароста в области шеи.
- Делайте профилактические курсы массажа, во время которых стоит уделять внимание воротниковой зоны.
- Контролируйте свою осанку. опубликовано econet.ru.
Задайте вопрос по теме статьи здесь
P.S. И помните, всего лишь изменяя свое сознание — мы вместе изменяем мир! © econet
Каким образом можно убрать горб на спине?

Лордоз и кифоз
14.12.2016
14.3 тыс.
9.6 тыс.
6 мин.
Как убрать горб на спине? Вопрос достаточно актуальный, ведь это относительно распространенное явление, которое становится зачастую причиной развития комплексов, связанных с недовольством своим внешним видом как у мужчин, так и у женщин. Абсолютно все, у кого наблюдается такая патология, задаются вопросом, как от этого избавиться. Прежде чем ответить на такой вопрос, следует разобраться в причинах появления такого дефекта.
Горб на спине не только никого не делает красивым, но и приносит множество неудобств, нарушая работу многих органов и систем организма. Сам по себе горб — последствие деформации грудной клетки из-за искривления позвоночника или нарушения его целостности по причине травмирования.
Наличие горба у человека приводит не только к деформации туловища, но и к нарушению нормальной работы системы кровообращения, повышению нагрузки на сердце и легкие.
Новообразование сдавливает кровеносную артерию позвоночника, которая снабжает кровью большую часть мозга, что приводит к нарушениям, лишающим человека возможности нормальной жизнедеятельности.
Врачи давно заметили связь между наступлением климактерического периода у женщин и появления горба на спине.
Причиной этому становится переизбыток стероидных гормонов, которые накапливаются в организме и приводят к увеличению жировых отложений на всех участках тела женщины, но большей частью в области шеи, вызываемый отсутствием половой жизни.
Половые гормоны человека, как мужские, так и женские, отвечают за строение человеческого тела. Нарушение их работы и баланса в организме приводит к образованию жировых отложений у мужчин в области живота и плечевого пояса, а у женщин в области груди и ягодиц, но особенно в области шеи.
В народе такое отложение еще называют «вдовий горб» — в старину, в средние века, в пожилом возрасте женщины часто становились вдовами, оставаясь без мужей. «Вдовий» горб встречается не только у женщин, но и у мужчин, просто у них он менее заметен и меньше по размерам.

У мужчин такой горб образуется в возрасте после 25 лет и может быть обусловлен употреблением стероидов или сильным ожирением. Так как появление горба достаточно редко встречается у молодых людей, то считалось, что недуг настигает только вдов. Действительно, зачастую горб образуется у женщин старше 45 лет вместе с жировыми отложениями в области бедер, спины и живота.
Скопление жировых клеток в области шеи и возрастные солевые отложения позвоночного столба и являются причиной появления данного неприятного выпячивания. В таком случае горб не рассматривается как патологическое заболевание позвоночника, а просто как излишнее жировое образование.
Солевые отложения характерны, в основном, для женщин более старшего возраста, так как они ведут малоподвижный образ жизни.
Горб — это скопление жировой ткани в области седьмого шейного позвонка. Его легко обнаружить, так как обычно этот позвонок легко прощупывается, а жировые отложения не позволяют это сделать. Одной из распространенных причин появления горба может стать искривление позвоночника.
С развитием данной патологии может столкнуться любой человек, но чаще всего она возникает опять же у женщин старше 45 лет. Это обусловлено малоподвижным образом жизни, сидячей работой, при которой увеличена нагрузка на шею и весь позвоночник.
Такой горб еще называют в народе «бухгалтерским», избавиться от него можно, только изменив образ своей жизни и некоторые привычки: во время сна следует спать на жестком матрасе, не используя слишком мягких постельных принадлежностей.
Не стоит спать на слишком высокой подушке — высота ее не должна быть выше 10 см. Рекомендуется проводить физиотерапевтические процедуры и массаж, а также чаще посещать бассейн.

Кроме жировых и солевых отложений или же искривления позвоночника, горб может появиться и по следующим причинам:
- 1. Наследственность или генетическая предрасположенность создают большую вероятность появления горба у человека, если в его роду были такие случаи.
- 2. Шейный остеохондроз вызывает отложение солей, хруст в суставах и позвонках, ноющие, неприятные боли в спине и ногах. Со временем скопление солей провоцирует деформацию верхнего отдела позвоночника и горб на спине заметно растет.
- 3. Перенапряжение шейного отдела позвоночника тоже вызывает патологическое отложение жировых клеток на спине. Такое перенапряжение встречается у людей, постоянно сидящих за столом в неудобной позе: за компьютером, за документацией, у врачей во время проведения операции и операторов станков на производстве.
- 4. Остеопороз — заболевание, связанное с недостатком кальция в костной ткани человеческого тела. При поражении шейного отдела позвоночника возникают костные деформации, способствующие образованию горба.

Иногда к образованию горба на спине приводит такое заболевание, которое называется миогелез. Это уплотнение скелетной мускулатуры, особенно в области шейного отдела позвоночника, вследствие чрезмерных физических нагрузок и перенапряжения при занятиях в тренажерном зале.
Такие нагрузки на мускулатуру скелета превышают резервные возможности мышц, возникают микротравмы волокон, которые преобразуются в рубцы. При появлении таких симптомов занятия в тренажерном зале следует прекратить или значительно уменьшить нагрузку.
Часто горб образуется из-за атрофии костной ткани, надрыва межпозвоночных дисков, последствий травм и перелома шейных позвонков, а также по причине развития на позвоночнике опухолей и новообразований.
Для точного установления причины появления патологии необходимо пройти диагностические процедуры: МРТ или КТ позвоночника, сдать лабораторные анализы.
Только после проведения комплексной диагностики можно назначать индивидуальные методы лечения, физиотерапевтические процедуры и массаж.
Очень эффективным считается лечение по методике народной медицины, особенно в комплексе с лечением, назначенным врачом.
При выборе методов лечения учитываются все особенности: возраст пациента, причина возникновения патологии и общее состояние здоровья человека. Применяется метод консервативного лечения. Он хорош только для замедления прогрессирования заболевания, ставшего причиной появления горба.
Такое лечение используют в комплексе с активными занятиями спортом, плаванием в бассейне. Оно может включать ношение специального ортопедического корсета, помогающего облегчить нагрузку на позвоночный столб и поддерживающего правильное его положение. Это не поможет избавиться от образования, но сможет приостановить процесс его развития.
Данный метод лечения успешно применяется для лечения детей.

В случае, когда консервативное лечение не приносит ожидаемых результатов, применяется операционное хирургическое вмешательство.
Чаще всего такие операции проводятся при врожденных патологиях позвоночника или в случае быстрого прогрессирования заболевания, не восприимчивого к примененной медикаментозной терапии.
Исправить образование горба оперативным методом можно практически с полным успехом.
Современная медицина в своем арсенале методов борьбы с подобного рода образованиями имеет методику ударно-волновой терапии. Данная методика заключается в воздействии на жировые отложения, разрушая жировые клетки с помощью ультразвуковых волн высокой частоты. Курс такого лечения проводится в 5-7 сеансов с недельными перерывами.
Но данная терапия не всегда дает возможность справиться с достаточно большим новообразованием, для полной эффективности метод УВТ сочетают с курсом массажа, позволяющего увеличить кровоснабжение в проблемной зоне, нормализовать обмен веществ в организме и «разогнать» жировые отложения, а также с лечебной физкультурой и мануальной терапией.
Одним из главных условий успешного лечения горба на спине является соблюдение специальной диеты с исключением из рациона продуктов, содержащих много жиров. Хорошо подходят в качестве антижировой терапии зеленый чай и грейпфрут, продукты с высоким уровнем веществ, сжигающих липиды в организме человека.

Не стоит самостоятельно пытаться избавиться от образовавшегося нароста исключительно народными средствами.
Так можно потерять драгоценное время и повысить риск развития патологических осложнений, ухудшив тем самым общее состояние организма.
Такие средства эффективно помогают лишь в комплексе с подобранной врачом-специалистом терапией. Некоторые рецепты народной медицины достаточно просты и доступны каждому человеку.
Избавиться от горба в домашних условиях поможет мазь из 100 мл водки и растворенного в ней порошка горчицы, масла камфоры и отдельно взбитого сырого яичного белка. Все ингредиенты тщательно перемешивают до однородного состояния и наносят, втирая, на проблемную область. Желательно такую мазь наносить вечером перед сном.

Приготовленную мазь из листьев агавы американской, внутреннего свиного сала, листьев и цветков каштана, камфорного масла, скипидара и водки следует настаивать в течение 9 дней в темном месте, взбалтывая ее по несколько раз в день. Затем мазь намазывают на кусок черного хлеба и прикладывают его к больному месту до появления жжения. Процедуру повторяют до полного размягчения жирового отложения.
Можно приготовить настойку из листьев и цветков лесной земляники, цветков ромашки, травы зверобоя, почек березы и бессмертника на спирту. Такую настойку следует принимать по одной столовой ложке за полчаса до еды несколько раз в день.
Как избавиться от горба на спине?
Для того чтоб начать лечение вам необходимо узнать причину появления горба и в следствии выбрать нужный способ.
Перечислим основные причины появление горба известные в медицине.
- Гормональные изменения.
- Болезнь позвоночника: миогелоз, остеохондроз.
- Ожирение.
- Климакс.
- Следствие гормональных болезней.
Почему такое происходит?
Причины, почему появился горб очевидны, неправильный образ жизни!
Что делать?
Найти причину, почему вырос горб.
Ученые в сфере медицины предполагают, что причины появления горба кроются в изменении гормонального фона, который происходит у женщин после 45 лет.
Если женщина живет сама, то у нее вырабатываются стероидные гормоны, которые отлагаются на проблемных зонах и деформируют область позвоночника солевыми отложениями, вследствие чего растет горб. Например, причиной гормонального изменения, может быть плохая работа надпочечников, которые отвечают за белково-жировой обмен или патологии головного мозга.
Если не избавиться от горба, то эта патология может перерасти в рак. Будьте внимательны к своему здоровью!
Как избавиться от горба на спине? Найти способ лечение по вашей причине.
Способы лечения горба
- Способы, как убрать горб на спине, в зависимости от болезни позвоночника.
- Первый способ, следствие от причины миогелоз, который возникает в основном из-за неправильного распределения физических нагрузок, вверху растет горб, при деформации позвоночника.
- Исправить положение поможет:
- таблетки: в основном противовоспалительные;
- мануальная терапия, костоправ;
- массаж и физиопроцедуры.
Только в комплексном лечении, возможны улучшения.
Наряду с медикаментозным лечением, можно применять и народные средства:
- компрессы на спину (выбирайте травы с противовоспалительным эффектом) хорошо поможет полынь;
- теплые ванны тоже с добавлением травы полыни;
- глиняно-солевые компрессы, для компрессов употребляйте голубую глину.
Второй способ, следствие от причины остеохондроз:
- подбор правильного матраса поможет исправить положение, если вырос горб;
- массаж в комплексе — 10 процедур;
- медикаменты для восстановления тонуса мышечной ткани в спине;
- исправить осанку поможет посещение бассейна;
- из препаратов применяются: Диклофенак и Терафлекс.
- Способы в зависимости, от причины гормонального изменения, подбираются индивидуально, но необходимо медикаментозно—терапевтическое лечение в основном гормонами и в отдельных случаях необходимо хирургическое вмешательство.
- Способы в зависимости, от климакса у женщин, горб появляется в области поясницы, вследствие менопаузы.
- Решения как убрать горб, очень просты.
- Не употреблять в пищу жиры, особенно мутагенные.
- Пить витамины и минералы.
- Употреблять молочную пищу.
- Заняться легким спортом, советуем, йогу и цигун.
- Йога и цигун дают расслабление, которое необходимо для восстановления области спины.
- Для всех причин может быть способ ударно-волновая терапия, это метод воздействия на зону горба ультразвуком.
- В комплексе с физиотерапией ультразвук дает превосходный результат.
- Для поясничного горба существует метод дарсонвализации, воздействие током, жировые клетки очень быстро уничтожаются под воздействием этого метода.
Полезные упражнения
Упражнения исполняйте по 15 — 20 раз иначе они не принесут долгожданного результата и не помогут убрать со спины нарост. Возьмите за правило регулярно делать упражнения, уделяя 12 минут времени своему здоровью.
Упражнение 1
Положение стоя, ноги на ширине плеч, плечи расправить и отвести назад, свести лопатки. Постоять в несколько минут, затем поочередно поднимайте плечо то одно то другое вверх, подбородок не отпускать. Это упражнение похоже на танцевальное движение из джаз-фанка, его часто использовал на сцене Майкл Джексон.
Упражнение 2
Круговые движения плечами. Со смещением вправо и влево.
- Упражнение 3
- Встаньте на четвереньки и поочередно поднимайте прямую ногу и руку противоположные друг другу.
- Упражнение 4
- Асана Кобра, упражнение выполняется лежа на животе вы поднимаете свой корпус руками при этом живот и ноги остаются лежать и замираете на минуту.
Применяются также асаны кошки, это когда на четвереньках выгибаю спину. Эти две асаны помогают убрать напряжение,расслабить мышцы спины.
Массаж
- Действенным способом является — массаж, для него вам потребуются средства, которые вы можете или купить или сделать сами:
- Для лучшего разогрева используйте масла: касторовое, персиковое или миндальное, как основу, из эфирных масел подойдут кедровое и можжевеловое они являются мочегонными и широко применяются в косметических средствах для улучшения циркуляции обмена веществ в тканях.
- Используйте смесь миндального масла и меда, мед хорошо расщепляет подкожный жир, выводит воду из организма.
- Массаж нужно делать хотя бы через день.
Компрессы
Компрессы широко используют для лечения и профилактики патологии:
Для компрессов вам понадобятся травяные настойки. Их можно приобрести в аптеке, и они стоят недорого, например, настойка из полыни. Она не только уберет боль в спине, она пролечит образование и поможет убрать горб. Спиртовые настойки прикладываются на 12 минут не больше, смачивается бинт или хлопчатобумажную ткань в настое и завязывают чем-то теплым.
Можно также использовать обычный мед. Сначала втирается мед, затем заматываете пищевой пленкой, затем укутываете шерстяным чем-то и кладете грелку. Вам от компресса должно стать тепло вы должны хорошенько пропотеть. Поэтому при наложении компресса обязательно рядом положите грелку и час полежите в постели.
Профилактика
Чтоб на спине не было никаких образований в виде горба: подберите себе правильное спальное место, постель должна быть не слишком мягкой и с ортопедическим эффектом, подушки невысокие, чтоб в первую очередь не давать вашему скелету напрягаться и болеть вашей спине.
При работе, где приходиться много сидеть, организуйте правильное рабочее место: глубина стула должна быть от 2/3 длины вашего бедра, стопы должны стоять на полу полностью, а не свисать со стула. Полезно ходить по комнате и занимайтесь полезной гимнастикой во время работы, например, приседаниями.
Упражнение 1