05.07.2018
Содержание статьи:
- Что такое пришеечный кариес?
- Особенности этого вида
- Причины возникновения пришеечного кариеса
- Есть ли у Вас пришеечный кариес – его симптомы
- Как лечить пришеечный кариес
- Что делать, если после лечения пришеечного кариеса болит зуб?
- Лечение в домашних условиях
- Профилактика
- Фото до и после лечения
Кариес – патологический процесс, прогрессирование которого приводит к разрушению твердых тканей зуба. Согласно данным ВОЗ, это самое распространенное заболевание на планете. От него страдает более 90% взрослых и порядка 80% детей. Начинаясь абсолютно незаметно и практически бессимптомно, патология может поражать любую часть зуба. Особую опасность представляет пришеечный кариес.
Что такое пришеечный кариес?
Визуально, зуб человека состоит из трех частей – коронка, шейка, корни.
- Коронка покрыта эмалью, возвышается над десной и мы ее видим.
- Шейка – часть зуба на уровне десны. В этом месте коронка переходит в корень, а зубная эмаль в цемент.
- Корень – расположенная в альвеолярной лунке часть зуба, которую мы не видим.
Таким образом, пришеечный кариес – это патологический процесс, возникающий на уровне шейки зуба. Он затрагивает нижнюю часть коронки и может распространяться под десну.
Особенности этого вида
Среди особенностей пришеечного кариеса выделяют три важных момента.
- Шейка – в этом месте эмаль плохо сформирована, слабо защищает дентин и переходит в цемент. По своей сути, это самое уязвимое место зуба. Возникающий в этом месте кариес приводит к быстропрогрессирующей деструкции твердых тканей и последующему образованию полости в дентине. Без лечения серьезных осложнений (пульпита и периодонтита) не избежать.
- Из-за плохо сформированной эмали, пришеечный кариес может распространяться вглубь твердых тканей и по всей поверхности шейки – вокруг нижней части коронки, тем самым охватывая зуб со всех сторон. В этом случае пришеечный кариес переходит в циркулярный кариес зубов, который может привести к обламыванию коронки зуба, если вовремя не проконсультироваться у стоматолога как его лечить.
- В отличие от патологического процесса, поражающего коронку зуба, пришеечный кариес может быть очень болезненным. Это объясняется близостью пульпы к внешнему краю шейки. Рыхло-волокнистая ткань пульпы пронизана большим количеством нервных окончаний и молниеносно реагирует на малейшие раздражители – холод, тепло, кислое, сладкое.
Особенности пришеечного кариеса у ребёнка
В большей части случаев пришеечный кариес поражает зубы взрослых пациентов, в возрасте 30 – 40 лет. В раннем возрасте патология встречается гораздо реже, но имеет осложненное течение и очень быстро переходит в циркулярный кариес, что чревато потерей молочного зуба и повреждением зачатков постоянных зубов.
Развитие пришеечного кариеса
В клинической картине патологии выделяют четыре основных стадии.
- Стадия пятна – на эмали зуба появляется деминерализованный участок, напоминающий меловое пятно. Болевые ощущения зачастую отсутствуют.
- Поверхностный пришеечный кариес – деминерализация эмали прогрессирует. Меловое пятно становится немного рыхлым, темнеет, меняет цвет и может реагировать на внешние раздражители. При этом патологический процесс пока не затрагивает эмалево-дентинное соединение и не распространяется вглубь зуба.
- Средний пришеечный кариес – патологический процесс поражает эмалево-дентинное соединение, проникает вглубь дентина, что сопровождается болезненными ощущениями не только на раздражители, но и в состоянии покоя.
- Глубокий пришеечный кариес – патологический процесс поражает дентин и доходит до околопульпарной области. Разрушение дентина сопровождается сильной болью и характерными симптомами.
Причины возникновения пришеечного кариеса
В настоящее время, в качестве основной причины возникновения любого кариеса, в том числе и пришеечного, рассматривают локальное изменения кислотно-щелочного баланса (pH) на поверхности эмали зуба, что приводит к ее деминерализации. Как правило, колебания pH в сторону повышения кислотности наблюдаются вследствие активной жизнедеятельности микроорганизмов, обитающих в зубном налете и под его отложениями.
Таким образом, главная причина развития пришеечного кариеса – зубной налет. Однако его наличие не всегда приводит к развитию патологии. Для появления кариеса необходимо влияние и других негативных факторов, которые выступают в роли спускового механизма патологии.
- Несбалансированное питание с преобладанием углеводов.
- Недостаточное слюноотделение.
- Нехватка фтора в организме.
- Употребление слишком мягкой пищи.
- Плохая гигиена полости рта.
- Частые стрессы.
- Курение.
- Изменение гормонального баланса организма, в том числе в период полового созревания и беременности.
- Длительный прием лекарственных препаратов.
Есть ли у Вас пришеечный кариес – его симптомы
Стоматологи рекомендуют осматривать полость рта и поверхность зубов ежедневно. Обнаружение следующих признаков, может свидетельствовать о развитии пришеечного кариеса.
- Зубная эмаль утратила естественный блеск, стала шероховатой.
- На эмали, в области шейки зуба, заметны какие-либо светлые или темные пятна.
- На шейке зуба обнаруживается скопления налета, зубного камня или налета курильщика.
- Повышенная чувствительность зубов к внешним раздражителям – холодное, горячее, кислое, сладкое, разгрызание продуктов питания, чистка щеткой и т.д.
- На поверхности зуба, в области шейки, обнаруживаются углубления, сколы.
- Устойчивый неприятный запах изо рта.
- Боль в зубе – ноющая, пульсирующая, кратковременная или длительная.
- Покраснение, припухлость десны в области шейки зуба.
В некоторых случая, на стадии среднего и глубокого пришеечного кариеса, могут наблюдаться симптомы общего недомогания, головная боль, бессонница и повышение температуры тела.
Диагностика заболевания
В ранней диагностике патологии особое внимание уделяется дифференциации пришеечного кариеса от внешне похожих дефектов зубного ряда — клиновидный дефект, налет курильщика, зубной камень, флюороз.
Для постановки точного диагноза и определения стадии кариозного процесса используют следующие методы диагностики.
- Визуальный осмотр с использование стоматологического зеркала или зонда.
- Рентгенограмма зубов.
- Термодиагностика.
- Кариес детектор – окрашивание пораженного участка эмали красителем.
В особо сложных случаях, для обнаружения скрытого патологического процесса используют транслюминесценцию – просвечивание внутренней (или внешней) стороны зуба ярким источником света.
Как лечить пришеечный кариес
Многие из нас, узнав получше об этом виде кариеса, задают вопрос — А можно ли его вылечить? Ответ прост — да, можно! Выбор метода лечения напрямую зависит от стадии развития пришеечного кариеса. Все манипуляции стоматолога выполняются под местной анестезией, поскольку близость десны и пульпы делает эту область очень чувствительной к внешним раздражителям.
Лечение пришеечного кариеса на стадии пятна
Ранее обнаружение патологического процесса позволяет вылечить кариес без серьезного оперативного вмешательства. На стадии пятна особе внимание уделяется реминерализации поврежденного участка эмали. Терапию проводят в несколько этапов.
- Снятие зубного налета.
- Быстрая обработка мелового пятна слабокислым раствором.
- Промывание пятна.
- Нанесение реминерализующих препаратов на основе глюконата кальция или фторида натрия.
Чтобы улучшить проникновение реминерализующих препаратов вглубь зубной эмали, может применяться электрофорез.
Лечение поверхностного, срединного и глубокого пришеечного кариеса
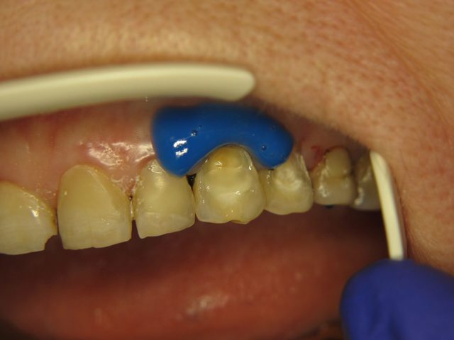
В случае, когда патологический процесс уже успел распространиться вглубь эмали или дентина, проводят препарирование пораженного участка с последующим замещением (пломбированием) утраченной ткани зуба. Стоматологическое вмешательство проходит в несколько этапов.
- Снятие зубного налета.
- Наложение изолирующей системы, облегчающей последующее проведение процедуры.
- Препарирование пораженного участка бормашиной.
- Антисептическая обработка образованной полости.
- Наложение лечебных прокладок на дно полости (по показаниям).
- Обработка полости фосфорной кислотой (при использование адгезивов первых поколений).
- Нанесение дентального адгезива.
- Пломбирование.
- Шлифовка и полировка пломбы.
Лечение пришеечного кариеса передних зубов может проводиться с применением специальной вкладки – микропротез из композитных материалов, керамики или металлокерамики. Его наложение надежно пломбирует кариозную полость, полностью восстанавливая анатомическую форму зуба и природный цвет эмали.
Что делать, если после лечения пришеечного кариеса болит зуб?
Наличие болезненности возможно в двух случаях – естественная реакция организма на проведенное вмешательство или неправильное лечение. В первом случае она проходит самостоятельно, спустя 2 – 3 дня.
Во втором – скорее всего стоматолог неправильно определил глубину патологического процесса и не удалил нервные окончания пульпы.
Или же поражению была подвергнута сама пульпа, что привело к развитию не выявленного пульпита.
Лечение в домашних условиях
Лечение пришеечного кариеса в домашних условиях возможно только на начальной стадии — мелового пятна.
И только после предварительной консультации стоматолога! Если состояние деминерализированного участка эмали не вызывает опасений, то специалист может назначить применение препаратов на основе фтора и кальция.
Например, «Фторлаком» обрабатывают пораженный участок согласно инструкции, водным раствором натрия фторида полощут полость рта, а глюконат кальция принимают перорально.
В период домашнего лечения обычную зубную пасту нужно заменить специальной – с высоким содержанием фтора и кальция. Например, использовать лечебно-профилактические средства «PresidentUnique» или «Ftorodent» для ежедневной гигиены полости рта. Также их можно наносить локально на пораженный участок эмали.
Профилактика
Учитывая причины развития патологии, профилактика пришеечного кариеса должна быть направлена на поддержание гигиены полости рта и укрепление зубной эмали. Для достижения этих целей целесообразно проведение следующих мероприятий.
- Регулярная гигиена полости рта, в том числе и после каждого приема пищи.
- Использование флоссов, зубных ёршиков, ополаскивателей для тщательного очищения межзубных промежутков.
- Регулярное снятие зубного камня и налета в стоматологии.
- Домашнее применение фторсодержащих зубных паст или фторирование зубов в стоматологии.
- Коррекция диеты в сторону ограничения потребления сахаросодержащих продуктов питания.
- Прием витаминно-минеральных комплексов с кальцием, витамином D и магнием.
- Запечатывание слепых ямок в области шейки зуба полимерами.
Чтобы предупредить развитие пришеечного кариеса рекомендуется проходить регулярный профилактический осмотр у стоматолога – не реже 1 – 2 раз в год. Своевременное выявление проблемы, поможет локализовать патологический процесс и избежать его осложнений.
Фото до и после лечения
Пришеечный кариес – причины возникновения, лечение, стадии, фото – Доктор Зуб
Кариес – одно из наиболее часто встречающихся заболеваний в стоматологии. Патология может локализоваться на любом участке зуба и приводить к поражению всех его слоев.
Пришеечный (прикорневой или придесневой) кариес развивается в области корня, у самой десны. Без соответствующего лечения заболевание стремительно прогрессирует, приводит к перелому зуба и его последующему удалению.
Самостоятельно выявить пришеечный кариес на начальных этапах довольно трудно. Диагностика заболевания осложняется наличием пигментированных зубных осложнений. Люди не обращают внимания на темный налет у самых десен, считая его лишь эстетической проблемой. Между тем, твердые отложения являются причиной развития деминерализации тканей эмали и кариозного процесса в шеечной области зубов.

Причины возникновения заболевания:
- систематическое нарушение гигиены ротовой области;
- авитаминоз;
- вредные привычки (курение, злоупотребление алкогольными напитками);
- заболевания ЖКТ (гастрит с повышенной секрецией, рефлюкс эзофагит и др.);
- наследственная предрасположенность;
- гипоплазия эмали зубов;
- ночные кормления детей смесью и кашей из бутылочки;
- низкое содержание в воде фтора;
- прием лекарственных препаратов, негативно воздействующих на эмаль зубов;
- злоупотребление сладостями и газированными напитками;
- возрастные изменения (после 40 лет, риск развития пришеечного кариеса существенно увеличивается).
Развитию кариеса способствуют гормональные изменения в организме, происходящие во время пубертатного, климактерического возраста, беременности и кормления грудью. Предотвратить заболевание возможно при соблюдении строгих правил гигиены рта и систематическом наблюдении стоматолога.
Симптомы заболевания
Кариес характеризуется упорным течением. При отсутствии лечения, от момента возникновения первичных симптомов до времени полного разрушения зуба в среднем проходит от 6 до 12 месяцев. В области основания зуба эмаль более тонкая и быстро поддается деминерализации. Это правило в основном касается детей, беременных женщин, лиц пожилого возраста, больных эндокринными заболеваниями.
Строение зуба и разность в толщине эмали хорошо видны на фото:

Пришеечный кариес имеет стремительное течение. Осложнениями заболевания являются: пульпит, периодонтит, обламывание коронки зуба. При своевременном визите к врачу, возможность сохранения зубной единицы – высокая, при позднем посещении – низкая.
Симптомы пришеечного кариеса:
- Визуальные изменения. В зависимости от стадии патологии, у основания зуба выявляются меловидные пятна, шероховатость эмали, пигментированный налет, изъязвление и потемнение тканей, образование полостей.
- Боль. В связи с тонкостью эмали в пришеечной области и близкого расположения нервного волокна, патология сопровождается неприятными ощущениями практически с самого момента формирования. Болезненность проявляется во время приема острой, кислой, сладкой, горячей и холодной пищи. При поражении нервного пучка зуба, развивается пульпит – заболевание, сопровождающееся острой зубной болью!
- Образование сколов тканей зуба и обламывание коронки – являются финальной неблагоприятной стадией кариозного процесса. Избавится от заболевания, при значительных изменениях тканей возможно, однако потребуются существенные денежные вложения и время.
Важную информацию о пришеечном кариесе можно узнать из видео:
Выявление первичного кариозного процесса осуществляется во время осмотра стоматологом. Чтобы сократить риски осложнений, необходимо посещать врача каждые 6-7 месяцев. При развитии патологического процесса на передних зубах, пациенты обнаруживают заболевание самостоятельно.
Этапы развития патологии
Несмотря на то, что кариозное поражение у основания зубов развивается стремительно, оно имеет хорошо очерченные стадии, которые можно обнаружить при внимательном визуальном рассмотрении.
Патологический процесс развивается в области соприкосновения зуба и десны. В данном месте при низком уровне гигиены, в большинстве случаев располагается твердый пигментированный зубной налет.
Именно он является причиной позднего выявления заболевания.
Формы пришеечного кариеса:
- Появление меловидных пятен (начальная стадия). Патология связана с нарушением баланса микроэлементов в эмали (потери кальция и фтора). В области поражения появляется шероховатость, на поверхности зуба обнаруживаются белые вкрапления;
- Поверхностный кариес. Поражается эмаль, появляются первичные неприятные ощущения при приеме пищи и воздействии воздухом. Визуально наблюдаются шероховатость эмали, ее пигментация;
- Средний кариес. Патология сопровождается усилением болевых симптомов. Неприятные ощущения появляются при контакте с раздражителями и полностью исчезают спустя несколько секунд (минут), после его устранения. При визуальном рассмотрении, у основания зуба, имеется потемнение, рыхлость тканей, патологическая полость. В связи с особенностями строения зуба, при развитии пришеечного кариозного процесса средней степени проводят обязательное лечение корневых каналов!
- Глубокий процесс сопровождается высокой степенью поражения тканей эмали и дентина и проникновением инфекции в нервное волокно корневых каналов. Патология имеет четкие симптомы: сильная зубная боль, без участия раздражителей, наличие глубокой темной полости, сколы тканей зуба. Довольно часто, при наличии множественно пораженных зубов, пациенты не могут точно определить источник боли из-за тенденции к иррадиации.
При циркулярном кариесе патологический процесс охватывает всю область шейки зуба и приводит к возникновению обламывания коронки.
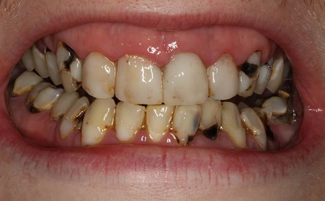
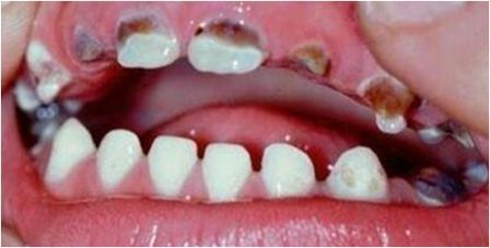
Развитие пришеечного кариеса у детей происходит в связи с нарушением правил кормления. Употребление смеси, соков или молочной каши из бутылочки в ночное время приводит к быстрому поражению всех зубов. Фото циркулярного (бутылочного, кефирного) кариеса у детей:
Лечение патологии
Методика лечения зависит от фазы развития кариозного процесса. Наиболее благоприятным вариантом является наличие начального кариеса. Патология в стадии меловых пятен поддается терапии без использования бормашины.
С помощью насыщения эмали кальцием и фтором, зубная ткань возвращает свою сопротивляемость и заболевание отступает. Реминерализация осуществляется с помощью специальных стоматологических гелей, кремов, ополаскивателей и паст. Лечение проводится врачом в стоматологии и в домашних условиях.
Для восстановления баланса микроэлементов и минералов в эмали людям необходимо придерживаться полноценного питания.
При развитии поверхностного, среднего и глубокого кариеса, лечение осуществляют с помощью бормашины.
Тактика врача включает в себя следующие этапы:
- обезболивание;
- подбор цвета пломбировочной массы;
- тщательное устранение кариозных тканей;
- проведение антисептической обработки;
- восстановление целостности зуба пломбировочным материалом;
- коррекция пломбы по прикусу и ее итоговая обработка (шлифовка, полировка).
Лечение кариеса у области основания зуба имеет свои особенности. В связи с близким расположением патологического очага к десне, стоматологу трудно соблюсти условие сухости рабочей поверхности.
При наличии влаги в пломбируемой полости, существует большой риск выпадения пломбы в будущем.
Повысить качество работы помогают особые знания и умения врача, а также специальные приспособления – слюноотсос и кофердам.
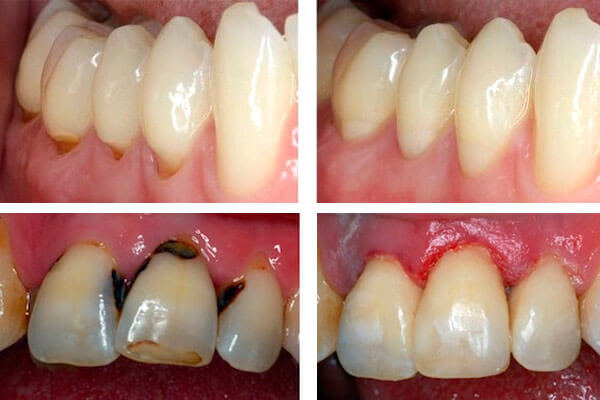
Фото до и после лечения пришеечного кариеса:
Вопрос-ответ
Как лечить пришеечный кариес на передних зубах?
При лечении зубов в зоне улыбки необходимо добиться высокой эстетичности результата. Для реставрации используют специальные материалы (композиты, цементы), которые позволяют добиться точной идентичности природным зубам. Цена лечения кариеса зависит от уровня клиники, наличия современного оборудования и материалов.
Чтобы вылечить зуб при глобальном поражении необходимо: полностью устранить кариозные ткани, пролечить корневые каналы, восстановить зуб при помощи вкладки (или штифта) и пломбировочного материала, покрыть защитной коронкой.
Как избежать развития пришеечного кариеса?
Профилактика направлена на устранение причин заболевания. Необходимо соблюдать четкие гигиенические требования при чистке зубов (пользоваться зубной нитью с фтором, ополаскивателями, фторированными зубными пастами, ирригатором), отказаться от вредных привычек и продуктов питания, систематически проводить гигиеническую чистку полости рта у стоматолога.
С чем можно спутать пришеечный кариес?
Люди путают заболевание с клиновидным дефектом и твердым пигментированным зубным налетом. При обнаружении образований на поверхности зуба, в любом его участке, необходимо обратиться к стоматологу!
Какие зубы поражает пришеечный кариес?
Патология может развиться на резце, клыке, жевательном зубе. Иногда патология поражает одновременно несколько единиц. Наименее часто встречается пришеечный кариес на зубах мудрости.
Пришеечный кариес — от чего появляется и как его лечить?

При возникновении определённых, не самых, на первый взгляд, стоматологических проблем, многие люди оттягивают визит к врачу до последнего. Понятно, что для некоторых сам факт нахождения в кабинете стоматолога уже является поступком сродни подвигу, но имеются и другие причины. Так, одной из болезней, о которой в сети имеется множество противоречивой информации, является пришеечный кариес, в частности, что его можно излечить и без вмешательства врача при помощи различных доступных в домашних условиях средств. На начальных стадиях применение реминерализирующей пасты, например, действительно может помочь, но говорить о полноценном избавлении от проблемы без участия стоматолога всё-таки не приходится.
Особенности пришеечного кариеса и характерная клиническая картина
Как и другие формы этой болезни, пришеечный кариес вызывается к жизни деятельностью вредоносных бактерий, которые перерабатывают углеводы в органические кислоты. Некачественный уход за гигиеной ротовой полости становится главной причиной образования кариеса, который начинает быстро прогрессировать, если не начать для борьбы с ним своевременное лечение.
При этом, следует отдельно отметить, что пришеечный кариес многими специалистами классифицируется как очень опасная и агрессивная форма болезни, что объясняется такими факторами:
- В области возникновения заболевания эмаль характеризуется довольно слабой минерализацией, и толщины защитных тканей явно недостаточно для эффективного противодействия бактериям. Следствием становится процесс активного разрушения дентина и эмали в пришеечной области, и если не предпринять своевременных действий, то появляется угроза осложнений в виде периодонтита, пульпита и тому подобных заболеваний.
- Дефекты пришеечной области обладают способностью весьма быстро распространяться, проявляя себя у коронки и у десны, а также переходя в охватывающий зуб по кругу циркулярный кариес. В итоге, если игнорировать лечение, возникает реальная угроза потери части коронки или даже всего зуба.
Характерной особенностью этой формы болезни является поражение ею так называемой зоны улыбки, соответственно, кроме неприятных физических ощущений человек испытывает также неприятности и эстетического свойства.
На заметку: Симптоматика болезни довольно разнообразна, но имеет общее правило — боль имеет непродолжительный характер и сразу стихает после того, как проводится удаление раздражителя.
На стадии пятна заметить эту болезнь можно визуально, поскольку в пришеечной зоне наблюдается изменение цвета эмали. Кроме того, нередко даёт о себе знать реакция на различные химические вещества, поэтому диагностировать кариес несложно и, соответственно, принять меры.
Если всё сделать вовремя, то можно избавиться от проблемы консервативным лечением, не используя бормашину. Затягивание же приведёт к переходу поверхностной формы в среднюю и потом в глубокую, когда боль проявляется от температурных перепадов, химического и механического воздействия.
Однако, если устранить причину, боли быстро проходят и проблема устраняется.
Особенности пломбирования придесневых каналов у стоматолога

- Санация ротовой полости, очищение от налёта и камня.
- Нанесение препаратов в течение нескольких посещений, обычно достаточно два-три визита.
- Использование назначенных средств в домашних условиях в соответствии с инструкцией врача.
Процедура же лечения придесневой области с использованием механических средств сопряжена с определёнными трудностями, в частности:
- пломбирование выполнять неудобно из-за расположения области дефекта;
- в рабочее поле попадает влага, а также кровь от воспалённого края десны.
Причины возникновения
Выяснить ответ на вопрос — от чего появляется кариес — довольно просто: изначальная причина заключена в деятельности вредоносных бактерий, поскольку выделяемые ими кислоты разрушают зубную эмаль, вымывая из неё кальций. Такое положение дел возникает в результате двух основных факторов:
- Плохого состояния ротовой полости.
- Специфических особенностей эмали шейки зуба.
Нужно помнить, что областью поражения пришеечным кариесом является место у основания десны, куда добраться при лечении довольно сложно. Именно поэтому важность профилактики невозможно переоценить, кроме того, при появлении малейших симптомов заболевания следует сразу же нанести визит стоматологу.
Симптомы на разных стадиях

Перерастание пятна в отверстие проходит через несколько стадий, в частности:
- Поверхность зуба темнеет, становится более тусклой.
- Переход в поверхностную стадию, когда начинается разрушение эмали и появляется реакция на температуру.
- Средняя стадия, когда процесс разрушения усугубляется и доходит до глубокого поражения.
- Появление «дупла», когда процесс достигает нервных окончаний.
Современные пломбировочные материалы
Расположение в придеснёвой области проблемной зоны означает, что поставить качественную пломбу довольно сложно, здесь нельзя ограничиваться только уровнем квалификации врача, крайне важно, правильно подобрать нужные пломбировочные материалы.
Превосходным решением, применяемым в современной стоматологии, будут стеклоиономерные цементы, которые отличаются хорошей устойчивостью к влаге, прочностью и разнообразием цветовых решений.
Композитные материалы более совершенны с точки зрения эстетики, хотя и уступают в некоторых других параметрах. В последнее время популярность набирают комбинированные материалы, включающие в себя лучшие качества каждого из названных выше видов.
В частности, выполненная из такого гибридного материала пломба выглядит лучше, дольше держится и отличается превосходной прочностью.
Пришеечный кариес у детей
Группой риска для подобного заболевания являются взрослые, начиная с возраста 30 лет, к тому же имеющие предрасположенность к образованию зубных тканей.
Однако, такой вид патологии встречается и у детей, обычно он является циркулярным и распространяется по всей прикорневой шейке зуба.
Результатом становится так называемый «ползучий» кариес, последствием чего будет необходимость удаления зуба.
Диагностика
Учитывая, что дефекты проявляются на тех участках зуба, которые хорошо видны, диагностирование этого заболевания не вызывает никаких сложностей. Обычный осмотр в зеркале, выполняемый самим пациентом, позволяет обнаружить изменения на эмали, применение специальных веществ в стоматологической клинике даёт возможность безошибочно и достоверно определить кариес.
Непрофессиональный взгляд на ротовую полость может породить путаницу между пришеечным кариесом и клиновидным эффектом, который также проявляется в прикорневой части.
В результате пациенты считают, что лечение должно проходить аналогично борьбе с кариесом, но это заблуждение.
Главная опасность тут состоит в том, что клиновидный эффект может развиваться очень долго, в течение многих лет, а вот пришеечный кариес разрушит зуб за весьма короткое время.
Лечение

Сразу следует оговорить тот момент, что область шейки зуба относится к числу очень чувствительных зон, поэтому анестезия является обязательной. Если стадия болезни такова, что ни народные средства, ни реминарализация уже не окажут какого-либо эффекта, то лечение должно осуществляться так:
- Очистка зубов от отложений.
- Изолирование рабочей области кофердамом.
- Удаление поражённых тканей с применением охлаждения водно-воздушного характера.
- Формирование очищенной области под пломбу.
- Установка пломбы и её коррекция.
Лечение пришеечного кариеса в домашних условиях: миф или реальность?
Вылечить пришеечный кариес самостоятельно можно лишь на стадии пятна, в этом плане он ничем не отличается от иных форм данного заболевания. С этой целью допустимо применять средства, содержащие повышенную концентрацию кальция и фторидов, благодаря которым можно укрепить защиту эмали. При этом необходимо принимать во внимание такие аспекты:
- У каждого человека характеристики пришеечной формы болезни могут быть разные (степень, область и глубина поражения, структура эмали и ряд иных моментов). Течение болезни может также сопровождаться различными осложняющимися факторами, например, плохой гигиеной, возрастными проблемами с зубами или общим уровнем состояния здоровья. Исходя из этого, следует вывод, что правильно самому подобрать нужные средства не просто, лучше это делать с помощью специалиста.
- Набор препаратов для лечения этого заболевания в домашних условиях или его профилактики весьма широк, что, опять же, порождает проблему правильного и обоснованного выбора. Если переборщить, например, с препаратами, имеющими высокий уровень концентрации фтора, то можно не только не решить проблему кариеса, но ещё и нанести вред, как зубам, так и всему организму.
- Избавиться от проблемы можно только на стадии пятна, позднее без профессионального вмешательства уже никак не обойтись. Самому же диагностировать стадию развития кариеса очень сложно, следовательно, существует риск просто не заметить вовремя степень поражения заболеванием и запустить его до глубокой формы.
Необходимо понимать, что даже профессионал не ограничивается только визуальным осмотром или зондированием, применяются также различные способы исследования, позволяющие с точностью определить масштаб проблемы и степень распространения болезни.
Лечение народными средствами

- Луковая шелуха. На примерно 500 мл воды берётся три чайных ложки шелухи, которая заливается кипятком, процеживается через марлю и потом полощется после еды несколько раз в день.
- Пихтовое масло. Тампон из ваты смачивается в масле и прикладывается к участку поражения.
- Шалфей. Кипятком заливается одна столовая ложка шалфея и после настойки получившийся раствор применяют для примочек и полоскания.
- Аир. Половина стакана корней аира измельчаются и заливаются водкой (500 мл). Настойка оставляется на неделю, после чего она используется для ежедневного полоскания перед сном.
Опасность народных средств заключается в том, что они, во-первых, могут помочь только на начальной стадии заболевания, и, во-вторых, создают риск маскировки серьёзных проблем, поскольку они способны снять болевые ощущения и при более поздних стадиях. Но квалифицированная помощь и окончательное устранение проблемы возможны только при помощи стоматолога.
Профилактика — лучшая защита от пришеечного кариеса
Общеизвестно, что лучше позаботиться о своевременной профилактики болезни, чем потом искать ответ на вопрос как вылечить её. Пришеечный кариес не является исключением, тем более, что механизм предотвращения болезни известен уже достаточно давно и он предполагает:
- ограничение потребления сладкого;
- снижение потребление сладкого в промежутках между приёмом пищи и отказ от него в ночное время;
- чередование твёрдой пищи с овощами, что позволит зубам очищаться естественным путём;
- чистка зубов после каждого приёма пищи;
- использование правильной методики чистки;
- применение зубных нитей для гигиены рта;
- использование препаратов с повышенным содержанием фтора.
Цена
Этот важнейший для каждого пациента параметр рассчитывается индивидуально. При самом благоприятном и наименее проблемном случае пациенту придётся раскошелиться на сумму в районе 300 рублей.
Если же говорить о более поздних стадиях развития болезни и уж тем более с появлением осложнений, то цена может колебаться в пределах полутора-четырёх тысяч рублей.
Конкретные цифры назвать сложно, слишком много факторов играют роль в вопросах ценообразования.
Видео по теме
Пришеечный кариес
Пришеечный кариес – кариозный процесс с локализацией в придесневой области, то есть в области шейки зуба. В зависимости от стадии пришеечный кариес может проявляться потемнением эмали зуба в околодесневой области; повышенной чувствительностью зуба на температурные, химические и механические раздражители; образованием кариозной полости различной глубины, болевым синдромом. Пришеечный кариес диагностируется в ходе стоматологического осмотра и рентгенографии зуба. Лечение пришеечного кариеса проводится с учетом стадии кариозного поражения зуба и не отличается от такового при других видах кариеса.
Пришеечный кариес – разновидность кариеса, характеризующаяся деструкцией твердых тканей на границе коронки и корня зуба, рядом с десной.
Согласно классификации, принятой в стоматологии, в зависимости от локализации выделяют фиссурный, пришеечный (цервикальный), контактный (апроксимальный) и кольцевой (циркулярный) кариес. Пришеечным кариесом могут поражаться губные, щечные, язычные поверхности боковых и фронтальных зубов.
Пришеечный кариес чаще возникает у людей в возрасте 30-60 лет. Пришеечный кариес относится к числу наиболее опасных типов кариеса, поражающих зуб в наиболее уязвимом месте и способствующих его к быстрому разрушению.

Пришеечный кариес
В целом кариес пришеечной области развивается вследствие тех же причин и механизмов, что и кариозные процессы других локализаций. Вместе с тем, возникновению пришеечного кариеса благоприятствуют особые условия, имеющиеся в придесневой области.
В первую очередь, это труднодоступность данной зоны для качественного гигиенического ухода, а, следовательно, повышенное скопление зубного налета и образование зубного камня в пришеечной области.
Прослеживается прямая связь между пришеечным кариесом и гингивитом.
Кроме этого, в области шейки зуба толщина эмали составляет всего 0,1 мм, тогда как в области бугров — 1,7 мм, а в области фиссур — 0,6-0,7 мм. Тонкий слой эмали относительно легко повреждается при чистке зубов абразивными пастами, зубными порошками, жесткими щетками.
Среди прочих факторов, развитию пришеечного кариеса могут способствовать частое употребление в пищу кислых продуктов и прием лекарственных препаратов, повышающих пористость эмали, беременность. При поражении пришеечным кариесом одновременно нескольких зубов, скорее всего, следует думать об эндокринной дисфункции (сахарном диабете, заболеваниях щитовидной железы).
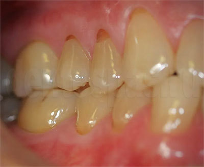
В своем развитии пришеечный кариес проходит те же стадии, что и любое другое кариозное поражение: стадию пятна, поверхностного, среднего и глубокого кариеса. В начальной стадии эмаль в области шейки зуба теряет блеск и становится матовой; на ней появляется светлое (меловидное) либо пигментированное пятно с гладкой поверхностью; клинические проявления отсутствуют.
В дальнейшем поверхность пятна становится шероховатой, что свидетельствует о начавшемся разрушении эмали; субъективные ощущения характеризуются кратковременной болезненной реакцией на химические, механические и температурные раздражители. Это свидетельствует о переходе пришеечного кариеса в следующую клинико-морфологическую стадию — поверхностную.
Слабость эмали в области шейки зуба способствует достаточно быстрому прогрессированию пришеечного кариеса в стадию среднего и глубокого кариеса, которые клинически проявляются образованием кариозной полости, застреванием пищи, болевой реакцией при разговоре, приеме пищи, чистке зубов. Глубокий кариес может сопровождаться значительным разрушением зуба и осложняться развитием пульпита. Пришеечный кариес обычно локализуется на губной или щечной поверхности зубов; иногда поражение охватывает всю прикорневую шейку зуба по типу циркулярного кариеса.
Опытный стоматолог может распознать пришеечный кариес еще на стадии меловидного пятна. Как и в других случаях, проводится осмотр полости рта, зондирование, оценка гигиенического индекса. Дополнительные методы диагностики пришеечного кариеса могут включать термопробу, витальное окрашивание, электроодонтодиагностику, трансиллюминацию, рентгенографию зуба, радиовизиографическое обследование.
В процессе диагностики пришеечный кариес следует отличать от клиновидного дефекта, эрозии эмали, флюороза. Если у пациента обнаруживается несколько зубов, пораженных пришеечным кариесом, его следует направить на консультацию к эндокринологу для исключения патологии эндокринной системы.
Методы лечения пришеечного кариеса зависят от стадии обращения к специалисту. На ранних этапах (стадии пятна) целесообразно проведение реминерализирующей терапии – курса аппликаций фторсодержащих препаратов, глубокого фторирования эмали.
При образовании полости процесс лечения пришеечного кариеса должен включать следующие основные этапы: местную анестезию, удаление зубных отложений, препарирование дефекта и обработку полости, наложение лечебной и изолирующей прокладки (при лечении среднего и глубокого кариеса), постановку пломбы световой полимеризации, шлифовку и полировку пломбы.
Прогноз и профилактика пришеечного кариеса
Следует помнить, что пришеечный кариес прогрессирует очень быстро, поэтому при обнаружении малейших изменений в области шейки зуба следует обратиться к стоматологу.
В неосложненных стадиях с помощью современных методов лечения удается полностью восстановить эстетику и функциональное предназначение зуба. Осложнениями глубокого пришеечного кариеса часто служат также пульпиты, периодонтиты, гингивиты.
Запущенный пришеечный кариес может привести к разрушению и потере зуба, для восстановления которого потребуется протезирование или дентальная имплантация.
Профилактика пришеечного кариеса включает в себя регулярный и тщательный уход за зубами с помощью индивидуально подобранных средств (зубных паст, ополаскивателей, зубной нити), соблюдение правильной техники чистки зубов, профессиональную гигиену полости рта, предупреждение заболеваний десен и эндокринных нарушений.
Пришеечный кариес — причины, лечение, чем опасен, профилактика
Дорогие друзья, по распоряжению мэра города Москвы С.С.Собянина мы закрыты на карантин.
На время закрытия стоматологии, мы вводим онлайн консультации специалистов. Если Вас что-то беспокоит, и Вам срочно нужна консультация, напишите нам и мы свяжем Вас с врачом-стоматологом.
Цервикальный или пришеечный кариес — поражение зубной эмали, а затем тканей дентина, которое развивается в прикорневой части, у края десны. Такое поражение формируется постепенно. Эмаль теряет глянец, становится белесой, теряет твердость. Без лечения этот участок темнеет, начинает разрушаться, поражается дентин, появляются полости.
- стадия белого пятна: на поверхности эмали у десневого края появляется небольшое белое пятно. Может быть незаметным (обнаруживается только на осмотре стоматолога), болезненность или другие симптомы отсутствуют;
- поверхностное поражение — белое пятно начинает темнеть, увеличивается в размерах, структура твердых тканей меняется, может появляться чувствительность или боль при контакте с холодным или горячим, сладким или кислым;
- средняя стадия — формируется небольшая полость, ее дно может выходить к дентину. Болезненность усиливается, может появляться при надавливании на зуб. В полости могут застревать частицы еды;
- глубокое поражение — глубина полости увеличивается, боль усиливается, может быть постоянной, резкой и острой под действием любого раздражителя. Без лечения переходит в пульпит.
Причины появления пришеечного кариеса
Цервикальный кариес появляется чаще других кариозных поражений. Эмаль на участке у десневого края имеет небольшую толщину, ее разрушение происходит быстрее. Очистка пришеечной области часто недостаточно качественная, и на пришеечной поверхности быстрее скапливается налет и зубной камень.
Пришеечный кариес будет появляться чаще, если:
- техника чистки зубов неправильная — движения зубной щеткой не вертикальные, а горизонтальные;
- пациент принимает антибиотики, антигистаминные и другие препараты, влияющие на состояние зубной эмали, делающие ее пористой;
- рацион не сбалансирован: при частом употреблении кислых продуктов, употреблении фруктовых соков, газированных или алкогольных напитков, сладких продуктов, высокоуглеводной еды;
- у пациента есть эндокринные заболевания;
- в рационе есть дефицит витаминов, минеральных веществ.
Мы перезвоним в течение 30 секунд или позвоните по номеру +7 (495) 373-10-25
Нажимая кнопку «Отправить», вы автоматически выражаете согласие на обработку своих персональных данных и принимаете условия Пользовательского соглашения.
Порядок лечения
План лечения определяется стадией поражения:
- если на эмали — только белое пятно, достаточно снятия зубного налета, реминерализации. Дополнительно может выполняться пародонтологическая чистка;
- если уже сформировано темное пятно, выполняется шлифовка, пораженные ткани удаляются, проводится реставрация или ремотерапия;
- при сформированной полости ее обрабатывают, удаляют пораженные ткани, выполняют пломбирование;
- при большой глубине полости и воспалении может требоваться удаление пораженной пульпы, лечение корневых каналов, пломбирование.
Лечение глубокого пришеечного кариеса осложняется расположением пораженного участка: в зону обработки попадает кровь, слюна. На стадии белого пятна убрать его можно без анестезии. Если эмаль уже потемнела или начала разрушаться, до начала лечения врач выполняет обезболивание.
Чем опасен пришеечный кариес?
Развивается быстрее. Из-за небольшой толщины эмали ее пораженный участок быстрее темнеет и начинает разрушаться. Если в прикорневой части коронок скапливается налет, зубной камень, лучше обратиться к стоматологу как можно быстрее — кариес может сформироваться всего за несколько недель.
Приводит к потере зубов. Без лечения зуб разрушается у основания, становится хрупким, может сломаться даже под небольшой нагрузкой. Такие переломы могут уходить под край десны, и в этом случае зуб придется удалять.
Источник инфекции во рту. Может провоцировать кариес на других зубах, повышать риск появления проблем с ЖКТ, сердечно-сосудистой, дыхательной, иммунной системой и т.п.
Заболевания десен. При цервикальном кариесе пораженный участок расположен у края десны или уходит под него. Это провоцирует размножение бактерий в пародонтальном кармане, воспаление, появление гингивита и других заболеваний десен.
Профилактика пришеечного кариеса
Самостоятельная гигиена. Для чистки зубов лучше использовать зубную щетку и пасту, рекомендованные стоматологом. Движения должны быть правильными — направленными от десны к верхнему краю зуба, «выметающими».
Если очистить пришеечную область не удается, дополнительно используют зубную нить. Ею пользуются с осторожностью, чтобы не травмировать край десны.
Возможно периодическое использование ирригатора — это устройство для домашней чистки зубов, которое убирает налет струей воды под давлением и заодно выполняет массаж десен.
Профессиональная гигиена. Раз в полгода выполняется чистка зубов в кабинете у стоматолога. Врачи клиники «Дентоспас» рекомендуют проводить ее, даже если зубной камень образуется медленнее. При чистке с поверхности зубов снимается налет и зубной камень.
Она полируется, становится более гладкой, что упрощает самостоятельную гигиену (на ней скапливается меньше отложений). После чистки врач осматривает зубы, контролирует их состояние.
При проведении процедуры может выполняться очистка пародонтальных карманов, если под краем десны скапливается налет, отложения.
Массаж десен. Выполняется периодически, его можно делать самостоятельно. Массаж улучшает циркуляцию крови в тканях десны, их питание, защищает от образования глубоких пародонтальных карманов и скопления отложений в них. Если глубина пародонтальных карманов нормальная, и отложений в них нет, это снижает риск появления пришеечного кариеса.
Контроль рациона. Питание должно быть сбалансированным, богатым витаминами, минеральными веществами. В рацион стоит включать больше твердых овощей, фруктов, меньше углеводной еды, сладкого, кислого. Если эмаль ослаблена, не стоит употреблять сладкие, кислые, газированные напитки, холодные и горячие напитки или продукты вместе.
Ремотерапия. Выполняется регулярно, ее можно совмещать с профессиональной гигиеной, профилактическими осмотрами у стоматолога. Это — нанесение фторирующих, защитных составов на поверхность эмали для ее укрепления. Регулярная реминерализация снижает риск разрушения эмали, улучшает состояние твердых тканей зуба.
Клиника «Дентоспас» рекомендует посещать стоматолога каждые полгода или чаще, если зубной камень на эмали формируется быстро. Пришеечный кариес — частое и опасное заболевание, которое легче всего лечится на ранних стадиях, при своевременном выявлении.
Телефон для консультации: +7 (495) 373-10-25 Записаться на бесплатный прием Мы перезвоним в течение 30 секунд или позвоните по номеру +7 (495) 373-10-25
Нажимая кнопку «Отправить», вы автоматически выражаете согласие на обработку своих персональных данных ООО «АлкоСпас» и принимаете условия Пользовательского соглашения.