Содержание:
© Сазыкина Оксана Юрьевна, кардиолог, специально для СосудИнфо.ру (об авторах)
Кровеносные сосуды в организме человека являются важнейшим звеном в поддержании жизнедеятельности всех внутренних органов.
Именно по ним к клеткам организма притекает кровь с необходимыми энергетическими субстратами, которые принимают участие в необходимых биохимических процессах.
Но в связи со многими внешними и внутренними факторами просвет сосуда может быть облитерирован (закупорен) изнутри, вследствие чего соответствующие органы не получают должного питания, а клетки могут погибнуть, приводя к потере органом своих функций.
Рассмотрим по каким причинам и чем обычно “закупориваются” сосуды человека – артерии и вены.
Почему возникает закупорка сосудов?
Облитерация сосудистого просвета может возникнуть как в артериальном, так и в венозном русле. К механизмам, способствующие закупорке артерии или вены, относятся два основных: образование тромба и формирование атеросклеротической бляшки:

- Тромбы могут закупоривать сосуды обоих типов – вены и артерии, но изначально образуются преимущественно в венах.
- Атеросклеротические бляшки, в свою очередь, “растут” только на стенках артерий. Однако, как и тромбы при отрыве могут мигрировать по кровотоку.
- Во многих случаях, когда речь идет о закупорках сосудов “серьезных” локализаций (закупорка сосудов сердца, мозга), генез является смешанным – атеротромботическим. Атеросклеротическая бляшка не дает пройти “микротромбу” и субстрат атеротромбоза вырастает из двух компонентов как снежный ком.
- В относительно редких случаях закупорка сосудов может происходить по иным механизмам – жиром, тканями организма, микробами. Об этом – в отдельном материале.
К первой группе причин в большинстве случаев (кроме локального тромбоза вен ног) относятся тромбоэмболические состояния, то есть образование тромба в просвете сосуда и дальнейшая его миграция по кровотоку.
В основном тромбоэмболии подвержены система легочной артерии, коронарные артерии (собственные сосуды сердца), артерии головного мозга, вены нижних конечностей, а также артерии брызжейки в брюшной полости, кровоснабжающие тонкий и толстый отделы кишечника.
Чаще всего тромбы образуются в просвете глубоких и поверхностных вен голени и бедра, а при его нестабильной фиксации к стенке вены происходит отрыв тромба и дальнейшее его распространение к правым отделам сердца и в легочную артерию.
Если же тромб образуется в одной из левых камер сердца (пристеночный тромб), он может попасть в артерии головного мозга с развитием ишемического инсульта, в систему коронарных артерий с развитием острого инфаркта миокарда или в брызжеечные артерии с развитием мезентериального тромбоза.

а) закупорка сосуда тромбом и тромбоэмболия на примере вен ног
Ко второй группе причин относится атеросклероз – патологический процесс, характеризующийся образованием и фиксацией на внутренней стенке артерий бляшек, состоящих из ядра и покрышки. В ядре содержится избыточный холестерин, а на покрышке могут оседать микротромбы.
Кроме того, что бляшка уже сама по себе вызывает сужение сосуда изнутри, она может дестабилизироваться, при этом атеро-тромботические массы также будут разноситься по кровотоку, пока не облитерируют какую-либо артерию.
Чаще образованию бляшек подвержены артерии головного мозга, коронарные артерии, артерии нижних конечностей.

б) закупорка сосуда атеросклеротической бляшкой
Как проявляется закупорка сосудов?
Клиническая картина облитерации сосудистого просвета отличается большим разнообразием симптомов. В первую очередь, это зависит от того, развился ли процесс остро или протекает длительно. Кроме этого, немаловажную роль в клинике играет локализация облитерации.
Наиболее распространенная форма закупорки сосудов – тромбоз вен нижних конечностей.
Коварность тромботической закупорки вен ног – в том, что заболевание может протекать совершенно бессимтомно и быть незаметным спутником венозного застоя и недостаточности.
Картина острой формы также может быть красочной – пациент начинает ощущать боль, конечность изменяет цвет, развивается отек.

острая закупорка глубоких вен ног
А, например, при закупорке артерий нижних конечностей, обусловленной облитерирующим атеросклерозом, патогномоничным признаком является перемежающаяся хромота, когда в связи с нагрузкой (ходьба) возрастает потребность скелетных мышц голени в кислороде, а облитерированные артерии удовлетворить эту потребность не могут. Через некоторое количество шагов у пациента возникает тупая или острая боль в ногах, из-за чего он вынужден хромать и постоянно останавливаться.

закупорка артерий ног бляшкой при атеросклерозе
При облитерации просвета коронарных артерий сердца, клиническая картина будет зависеть от процента, на который просвет артерии перекрыт изнутри.
При закупорке сосудов сердца менее 50% у пациента будут отмечаться редкие приступы загрудинных болей по типу стенокардии, а при значительном стенозе (70-90% и более) вероятно развитие острого инфаркта миокарда с резкими загрудинными болями, купирующимися только введением наркотических анальгетиков, а также с общим тяжелым состоянием пациента. У части пациентов возможно развитие безболевой или атипичной формы острого инфаркта миокарда.

Длительно протекающая, но не критичная облитерация сосудов головного мозга приводит к развитию энцефалопатии. Обычно врач при подтвержденном атеросклерозе сонных артерий упоминает о наличии у пациента энцефалопатии атеросклеротического генеза.
Эта патология обычно возникает у пожилых лиц и проявляется сменой настроения, плаксивостью, обидчивостью, снижением памяти и когнитивных (мыслительных) процессов.
Длительно существующая закупорка сосудов головного мозга приводит к снижению интеллекта вплоть до старческой (сенильной) деменции.
Остро возникшая закупорка артерий головного мозга провоцирует развитие острого инсульта по ишемическому типу.
Опять же, в зависимости от локализации инсульта, у пациента наблюдаются симптомы различной степени выраженности – от легкого нарушения речи (дизартрии) и небольшой ассиметрии лица до тяжелейшей парализации конечностей (пара- и тетрапарезы), зачастую с нарушением глотательной и дыхательной функций.

Закупорка сосудов брызжейки тромбом является тяжелой хирургической патологией, требующей неотложного хирургического вмешательства, так как отсутствие кровоснабжения в брызжейке приводит к развитию некроза кишки с последующим перитонитом и сепсисом (заражением крови). Проявляется такой тромбоз острыми болями в животе, тошнотой, рвотой и быстрым присоединением перитонеальных симптомов (симптомов раздражения брюшины, свидетельствующих о развитии перитонита).
Как диагностируется закупорка сосудов?
В связи с тем, что закупорка сосуда любой локализации является потенциально опасным состоянием, требующим своевременного оказания помощи, врач любой специальности должен знать, с помощью каких методов диагностики можно подтвердить или исключить признаки облитерации сосуда.
Для того, чтобы визуализировать пораженный сосуд, применяется ультразвуковая диагностика, в частности, допплерографическое исследование и дуплексное сканирование.
Такие методы позволяют достоверно оценить пораженный участок артерии или вены, а также оценить проходимость сосуда для крови и степень нарушения кровотока.
УЗДГ используется для диагностики закупорки сосудов на ногах, а также в случае атеросклероза сонных артерий, питающих головной мозг.

В случае подозрения на закупорку сосудов сердца проводится коронароангиография (КАГ) с введением рентгено-контрастного вещества в просвет коронарных артерий и с последующим исследованием полученных снимков.
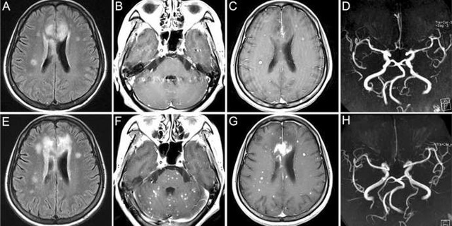
При развитии острой закупорки сосудов головного мозга используется МРТ или КТ головного мозга с целью визуализации развившегося инсульта.
Как лечить закупорку сосудов?

Тактика лечения закупорки сосудов зависит от вида и локализации поражения. Так, при тромбозе необходимо “растворить” тромб, для чего успешно применяются прямые антикоагулянты (гепарин) или тромболитики (стрептокиназа, альтеплаза и др).
Такая схема лечения показана при остром инфаркте миокарда, вызванном закупоркой сосудов сердца.
Терапия длительно существующего стеноза коронарных артерий заключается в применении препаратов нитроглицерина, который расширяет артерии, а также в постоянном приеме антиагрегантов – в частности препаратов на основе ацетилсалициловой кислоты для предупреждения повышенного тромбообразования (аспирин, тромбоАсс, ацекардол, аспирин-Кардио и др). Если развиваются осложнения, пациенту на длительный срок назначаются таблетированные формы непрямых антикоагулянтов (фарварин, фенилин, неодикумарин и др). Из современных препаратов наиболее распространены такие, как ксарелто и прадакса.

- При закупорке вен нижних конечностей используются мази на основе гепарина (гепариновая мазь, гели лиотон и гепатромбин), венотоники в таблетках – например “Флебодиа”, а также эластическое бинтование бедер и голеней или ношение компрессионного трикотажа (чулки и гольфы).
- Облитерирующий атеросклероз нижних конечностей лечится с помощью вазодилатирующих (нифедипин, амлодипин) и гиполипидемических препаратов – статинов (аторвастатин, симвастатин и др).
В случае развития у пациента острой закупорки сосудов головного мозга тактика лечения заключается в терапии ишемического инсульта с помощью внутривенного введения соответствующих препаратов. Хроническая энцефалопатия атеросклеротической природы лечится с помощью курсового приема ноотропных и антигипоксических препаратов (пирацетам, актовегин, милдронат и др).
В ряде случаев пациенту с закупоркой сосудов может потребоваться хирургическое лечение – аорто-коронарное шунтирование (АКШ) и стентирование при стенокардии и инфаркте, удаление затромбированных вен нижних конечностей, установка кава-фильтра в просвете нижней полой вены с целью предупреждения миграции тромба по венозному руслу и др.
Возможны ли осложнения закупорки сосудов?
Облитерация сосуда любой локализации может нанести существенный вред здоровью человека, так как при отсутствии кровоснабжения развивается ишемия и гипоксия органа, вследствие чего клетки погибают – развивается некроз.
Подобные патологические процессы в нижних конечностях могут привести к ампутации конечности, а в сосудах сердца, головного мозга или брызжейки – к смерти пациента.
Но при своевременном выявлении эмболии и облитерации, а также при успешном лечении риск осложнений можно свести к минимуму, при этом качество жизни и ее продолжительность несомненно возрастут.
© 2012-2020 sosudinfo.ru
Источники
Вывести все публикации с меткой:
Перейти в раздел:
- Заболевания сосудов, патология с сосудистым фактором, методы диагностики, лечение и препараты
- Рекомендации читателям СосудИнфо дают профессиональные медики с высшим образованием и опытом профильной работы.
- На ваш вопрос ответит один из ведущих авторов сайта.
В данный момент на вопросы отвечает: А. Олеся Валерьевна, к.м.н., преподаватель медицинского вуза
Поблагодарить специалиста за помощь или поддержать проект СосудИнфо можно произвольным платежом по ссылке.
Закупорка сосудов головного мозга — причины патологии
Закупорка сосудов головного мозга – это патологический процесс, при котором нарушается кровоснабжение в мозге. При патологии диагностируются нарушения в работе разных органов и систем, поэтому при возникновении патологии рекомендовано своевременно проводить ее лечение.
Причины болезни
Эмболия сосудов головного мозга появляется у пациентов при воздействии ряда провоцирующих факторов:
- Питья воды в недостаточном количестве. Если питьевой режим нарушается, то вязкость крови увеличивается. Это приводит к нарушению нормального кровотока.
- Генетической предрасположенности. В группе риска находятся люди, родственники которых страдали заболеванием.

- Стрессовых ситуаций. При постоянном переживании положительных и отрицательных эмоций у пациентов возникает болезнь.
- Пагубных привычек. При воздействии на организм никотина, алкоголя и наркотических веществ кровь у человека сгущается, что приводит к увеличению риска тромбоза. При забитости сосудов наблюдается их вялость, потеря эластичности и образование бляшек.
- Преобладания в рационе продуктов, в состав которых входят жиры и углеводы в большом количестве. При неправильном питании в крови появляются шлаки, а на стенках сосудов – бляшки.
- Гиподинамии. При недостаточной физической активности, сидячем образе жизни нарушается циркуляция и свободный ток крови по сосудам.

Патологию диагностируют при разнообразных заболеваниях. В группе риска находятся люди, которые страдают варикозным расширением вен. Заболевание развивается у пациентов при тромбофлебите.
Недостаточность свертывающей функции крови становится причиной патологии. Причиной болезни становится атеросклероз.
Вероятность развития болезни увеличивается у людей при сахарном диабете или аутоиммунных изменениях сосудов.
При ожирении и нарушенном обмене веществ у пациентов диагностируют болезнь. В период беременности может наблюдаться повышение уровня свертываемости крови, что приводит к болезни. Она развивается, если в организме пациента высвобождается большое количество веществ, которое приводит к сгущению крови. Если человек принимает определенные медицинские препараты, то это приводит к патологии.

Закупорка сосудов головного мозга наблюдается при заболеваниях в организме человека и воздействии разнообразных провоцирующих факторов внешней среды.
Виды и симптомы болезни
При тромбоэмболии, которая поражает головной мозг, тромбы отрываются от места своего образования и закупоривают просвет сосудов. При патологии диагностируется возникновение кислородного голодания церебральных клеток. Эмболизация может быть артериальной и венозной.
Первая характеризуется стремительным развитием и перекрывает просвет в головном мозге. При отсутствии незамедлительного лечения у пациентов появляется ишемический инсульт. Венозная эмболия имеет постепенное развитие и закрывает просветы в венах.

Основным симптомом заболевания является головная боль, которая имеет давящий или распирающий характер. Болезненность невозможно купировать анальгетиками. Венозная форма заболевания сопровождается периодическими болями.
Патологический процесс сопровождается дополнительной симптоматикой: гипертензией, обмороками, нарушением сознания, дезориентацией в пространстве, сонливостью, потерей сознания.
При болезни у пациента диагностируется возникновение слабости и чрезмерной утомляемости даже при выполнении привычных дел. Если заболевание развивается в височной доле, то это сопровождается шумом в ушах и оглушенностью. При поражении лобной доле у больных нарушается речь.

При обследовании пациента диагностируют нарушения показателей артериального давления. Если у человека наблюдается артериальная форма болезни, то это приводит к его повышению, а если венозная – то снижение. Эмболия сосудов головного мозга сопровождается ухудшением зрительной функции.
Пациенты говорят о появлении двоения в глазах и нарушении зрительной функции. Симптомом заболевания является депрессивное состояние и появление чувства страха.

При эмболии сосудов головного мозга диагностируется развитие менингиальных симптомов в виде ригидности мышц. У пациентов наблюдают учащение сердцебиения и сердечную аритмию. При патологии могут появляться судороги. Она проявляется гипертермией и эпилептическими состояниями.
Существует множество симптомов заболевания. При возникновении одного или нескольких признаков человек должен обратиться за помощью к доктору для проведения диагностики и назначения действенной схемы лечения.
Диагностические мероприятия
При подозрении на закупорку сосудов оценки анамнеза и симптоматики недостаточно. Поэтому рекомендуется применять инструментальные методы:
- Компьютерная томография. Это рентгенологическое обследование, с применением которого обследуются структурные элементы головного мозга. Метод обнаруживает место локализации и размеры патологии.
- Ангиография. Это рентгенологический осмотр, который обеспечивает возможность оценки качества наполнения сосудов кровью. Метод определяет время и последовательность наполнения сосудистой системы кровью, места, в которых изменен ток крови на фоне сужения или закупорки канала просвета.

- Магниторезонансная томография. Является полномасштабным анализом структуры мозговых тканей и сосудов. Метод исследования определяет отклонения от нормы, которые становятся причиной аномальных изменений.
- Ультразвуковое исследование. Пациентам рекомендовано проведение дуплексного сканирования шейных и внутримозговых каналов. Для изучения движения крови в крупных каналах рекомендовано проведение доплерографии.
С применением эхотомографии обследуются глубинные внутренние ткани. Осмотреть ток крови во внутричерепных сосудах позволяет транскраниальная доплерография.
- Нейросонографии. С использованием этого метода оценивается состояние мозга и его структура у маленьких детей до закрытия большого родничка на голове. Через него проводится исследование сосудистой сети с применением ультразвукового аппарата.

- Реоэнцефалографии. Дает возможность анализа состояния сосудистой сетки. Оценивается уровень эластичности, наполненности и проходимости сосудов.
- Электроэнцефалографии. Дает возможность проверки функциональной стороны системы кровообращения в мозговых структурах.
Диагностика болезни должна быть комплексной, что положительно отобразится на результативности лечения.
Особенности лечения
О том, что делать при патологии, принимает решение только доктор. Он определяет методы терапии заболевания. На начальных стадиях лечения патологии рекомендовано применение медикаментозной терапии. Пациентам рекомендован прием:
- Статинов. Лечение заболевания проводится Мевакосом, Мефакором.
- Сосудорасширяющих препаратов. При патологии рекомендовано использование Кавинтона и Актовегина.
- Симвастатинов. Терапия заболевания проводится с применением Акталипида, Зокора, Левомира, Вазилила.
- Фибратов. При закупорке сосудов рекомендуется прием Клофибрата, Атромида, Атромидина.

- Смол. С помощью лекарств обеспечивается анионный обмен. Для терапии рекомендовано применение Церебролизина, левоцитина.
- Транквилизаторов. Пациентам назначаются лекарства при тревожности. Ее купирование проводится Диазепамом и Фенозепамом.
- Антидепрессантов. Если у больного протекает энцефалопатия или хроническая ишемия мозга, то это требует приема Амитриптилина.

Для улучшения состояния больного рекомендован прием антиоксидантов – витаминов А, С, Е, селена, микроэлементов, поливитаминных комплексов. Если у человека причиной заболевания является сахарный диабет или гипертония, то ему необходимо использовать препараты для их лечения.
При неэффективности медикаментозной терапии в запущенных случаях рекомендовано применение хирургических методик. Высокоэффективной является каротидная эндартэректомия. В ходе операции рассекается патологически измененный сосуд и проводится удавление холестериновой бляшки.
Для того чтобы восстановить сосудистую стенку накладываются швы. Проведение оперативного вмешательства осуществляется хирургом с применением местной анестезии. По истечению одного дня после удаления бляшки пациента выписывают.
Для лечения заболевания используют современный метод – ангиопластику. Это оперативное вмешательство заключается во введении специальной трубочки в сосуд, с помощью которого обеспечивается расширение закупоренного участка. Если у пациента диагностируется закупорка сосудов, то проводят их стентирование.
При операции между стенками сосудов и бляшкой проводится фиксация каркаса, материалом изготовления которого является тонкая проволока. Применение этих методов осуществляется в крайне редких случаях, что объясняется наличием осложнений.
Лечение патологического состояния требует применения диетотерапии. Пациентам категорически запрещается употреблять маринованные и копченые продукты. От сладостей, какао и шоколада также необходимо отказаться. Потребление соли должно проводиться в минимальных количествах. Для приготовления еды рекомендовано использовапние растительного масла.
Рацион питания человека должен разрабатываться на основе грейпфрутов и морской капусты. Полезные будут баклажаны, которые готовятся на пару. Перед употреблением овощей с них рекомендовано снять кожицу. Рекомендовано употребление яблок, фейхои, крыжовника.
Правильное питание приведет к снижению артериального давления и уровня холестерина в крови. Для очищения сосудов рекомендуется утром после пробуждения пить горячую воду в количестве одного стакана.
Закупорка сосудов в головном мозге является серьезной патологией, которая приводит к нежелательным последствиям. При появлении симптомов болезни пациенту назначается лечение с применением диетотерапии, медикаментозного лечения и хирургических методов. Выбор определенной методики лечения зависит от степени тяжести патологии.
Закупорка сосудов: Основные причины и симптомы
Закупорка сосудов или эмболия является опасным заболеванием, которое может привести к тяжелым последствиям для здоровья и жизни больного.

Причинами того, что происходит закупорка сосудов, могут быть самые разные механизмы.
Чаще всего такие явления происходят у пациентов пожилого возраста, хотя, по данным медицинских исследований, закупорка сосудов начинает «омолаживаться» и встречается у молодых людей, ведущих малоактивный образ жизни, длительное время проводящих в сидячем положении.
Когда человек не двигается, кровь не может циркулировать по организму в правильном режиме, происходит нарушение кровообращения, что приводит к развитию заболевания сосудов головного мозга, сердца, нижних конечностей, появляется атеросклероз.
Причины и симптомы закупорки сосудов
Зачастую, причиной того, что происходит закупорка сосудов, бывает и генетическая предрасположенность.
В зависимости от того, какие механизмы были задействованы, различают экзогенную закупорку, когда она происходит из-за попадания бактерий и паразитов, воздуха, газа или инородных тел. Присутствует и эндогенная закупорка, когда в сосудах скапливается жир, образуется тромб, развивается кессонная болезнь, разливаются околоплодные воды.
Подписывайтесь на наш аккаунт в INSTAGRAM!
Закупорка многих сосудов головного мозга происходит чаще всего из-за образования холестериновых бляшек, которые постепенно увеличиваются и перекрывают просвет в сосудах.
Это нарушает поток крови к головному мозгу, вредит самим сосудам, которые теряют свою эластичность и прочность, развивается тромб.
В результате таких явлений может развиться инсульт или кровоизлияние.
ВАЖНО! Основная причина, которая и провоцирует появление тромбов и прочих проблем с сосудами головного мозга — это неправильное питание, с большим количеством жирной пищи, алкоголя и сигарет.
Наличие жирных некачественных продуктов питания провоцирует образование в организме излишков вредного холестерина, который в свою очередь, вызывает появление атеросклероза.
Последний является причиной частых инсультов и мозговых кровоизлияний. Холестериновая бляшка нарушает стенку сосуда, артерии, приводит к сужению вены.
В дальнейшем могут развиваться и иные заболевания, которые потребуют хирургической операции.
Симптомами закупорки сосудов головного мозга могут служить:
- потеря речи или неясная речь больного,
- сильная головная боль и головокружение.
Когда к тканям головного мозга не поступает в необходимом количестве кровь, обогащенная кислородом, это приводит к отмиранию его клеток и тканей, изменяется вся структура мозга и его функциональность. В зависимости от того, на каком участке мозга локализуется поражение сосудов, развивается потеря чувствительности тканей и конечностей, снижается зрение и слух.

Терапия эмболии головного мозга предполагает срочное операционное вмешательство.
Закупорка сердечных сосудов может происходить вне зависимости от возраста человека. Современная медицина может пояснить некоторые механизмы развития данной патологии, хотя назвать все причины заболеваний пока еще нельзя.
Закупорка кровеносных сосудов
Основные причины закупорки сердечных сосудов — это постоянные стрессы, малоактивный образ жизни, вредные привычки, неправильное питание. Когда вследствие таких негативных факторов в организме начинает скапливаться вредный холестерин, он поражает не только сосуды головного мозга, но сердечную и прочие системы в организме.
Еще один фактор воздействия на сосуды сердца — это сахарный диабет, который наносит вред сосудам, их эластичности и прочности.
Атеросклероз сосудов ног возникает в результате нарушения обменных процессов липидов, когда на стенках сосудов нижних конечностей, скапливается большое количество холестериновых бляшек.
Когда данное явление развивается, просветы сосудов сужаются, нарушается кровоток, уменьшается подача к тканям организма кислорода и полезных веществ.
На фоне атеросклероза нижних конечностей, развивается и более тяжелое заболевание — ишемическая болезнь сердца.
Основными симптомами закупорки сосудов ног являются боли в икроножных мышцах при обычном темпе ходьбы, усиление таких ощущений при подъеме пешком по лестнице или при длительных прогулках. Иногда возникает хромота, развивается сухая гангрена в самых пораженных атеросклерозом местах ног.
Проявляет себя закупорка сосудов ног и таким заболеванием, как эндартериит, при котором развивается омертвление тканей из-за нарушения и недостаточности кровообращения.
Основными признаками этого заболевания, являются повышенная утомляемость ног, судороги, острые приступы ломоты и периодически возникающая хромота.
Варикозное расширение вен — одно из самых распространенных сегодня заболеваний, которое развивается на фоне закупорки сосудов.
Когда заболевание развивается, усиливается, вены теряют свою эластичность, внутри них появляются плотные образования, видимые невооруженным глазом и прощупывающиеся пальцами. Патология может развиваться очень и очень медленно, в течение нескольких лет.
За этот период, происходит накопление и усиление симптомов: вены расширяются и это уже видно при визуальном осмотре, в ногах появляется тяжесть и повышенная усталость, ощущается жжение, появляются судороги, отечность.
После диагностирования врач назначает терапию, исходя из заболевания, индивидуальных особенностей организма пациента. Нередко назначают прием Алирокумаба или препарата Пентосан Полисульфат SP 54.

- Общими рекомендациями при лечении закупорки сосудов будет активный образ жизни, изменение рациона питания и отказ от вредных привычек.
- В самых тяжелых случаях проводится операционное вмешательство и при помощи разных медицинских методик, сосуды очищаются от скопления холестериновых бляшек.
Как почистить кровеносные сосуды народными средствами эффективно — рецепты и профилактика
Сегодня существует масса рекомендаций о том, как почистить кровеносные сосуды народными средствами и методами официальной медицины. Конечно, в том случае когда заболевание запущено и находится в острой фазе, никакие народные и домашние методы уже не помогут и следует срочно обращаться к врачам.
Но в качестве профилактических мероприятий, восстановления состояния сосудов и предотвращения развития патологий вы можете следовать советам, как почистить кровеносные сосуды народными средствами в домашних условиях.
Подписывайтесь на наш канал VIBER!
- Прежде всего, вам следует изменить свой рацион питания и максимально возможно снизить количество жирных продуктов и блюд, которые повышают уровень холестерина в крови.
- Уменьшается и количество потребляемой соли, сахара, острых и копченых продуктов питания.
- Увеличивайте объемы потребления свежих овощей и фруктов, злаковых, благодаря которым, очищаются сосуды, выводятся токсины и шлаки из организма, повышается уровень иммунитета и защиты, происходит чистка любого органа.
Если вы страдаете излишним весом, эта патология также негативно сказывается на состоянии сосудов. Обратитесь к профессиональному диетологу, который разработает для вас индивидуальное питание, благодаря которому, вы улучшите самочувствие и избавитесь от лишних килограммов, вернете эластичность сосудам.

Как эффективно почистить кровеносные сосуды народными средствами примеры рецептов:
- При помощи чеснока. Этот овощ является очень эффективным помощником при чистке сосудов. Необходимо взять около 150 г очищенного чеснока, измельчить его и залить спиртом или водкой (150 мл). Этот состав поместить в стеклянную емкость, плотно ее закрыть и оставить в темном месте на 10 дней. После окончания этого срока, процедите состав через марлю и храните свое народное средство в холодильнике. Принимать следует по 20 капель настоя, разбавленных в половине стакана воды за 20 минут до еды, трижды в день. Курс лечения — 1 месяц.
- Шиповник также эффективен в борьбе с закупоркой сосудов. Достаточно залить кипятком 2 ст.л. сухих плодов шиповника, настоять в течение 6 часов в термосе и употреблять этот напиток по 1 л в день в течение 1 месяца.
- Грецкий орех и настойка их этого полезного продукта способствуют очищению сосудов и укреплению их стенок. Для настойки следует взять 1 стакан перегородок ореха, залить их стаканом водки и настаивать состав в течение 2 недель в темном месте. Трижды в день в течение 2 недель, разводите 50 мл воды 20 капель настойки и употребляйте, независимо от приема пищи.
- Помочь в вопросе о том, как почистить быстро и эффективно кровеносные сосуды народными средствами, вам поможет целебный состав: апельсин, лимон и мед. Необходимо взять по 2 штуки цитрусовых, очистите их и нарежьте небольшими кусочками и измельчите при помощи блендера. В массе добавьте 2 ст.л. меда, все тщательно смешайте, поместите в стеклянную емкость и закройте плотно крышкой. Поставьте банку в холодильник и через сутки можете употреблять по 1 ст.л. состава, 3 раза в день до приема пищи.
- Помогает и еще один вкусный и полезный рецепт. Вам потребуется лимонный сок, оливковое масло и мед. Все ингредиенты возьмите в равных пропорциях, хорошо перемешайте и принимайте утром натощак по 1 ч.л.
- Не менее эффективны при очистке сосудов и свежие соки: сельдерея, моркови, томатный и гранатовый сок.
Наравне с полезными продуктами питания и рецептами народной и официальной медицины, вы должны вести активный образ жизни, совершать длительные пешие прогулки, заниматься спортом и применять умеренные физические нагрузки. Благодаря таким действиям, вы восстановите кровоток, который будет препятствовать скоплению вредного холестерина, появлению излишнего веса, поможет длительное время сохранять свою сердечно — сосудистую систему в здоровом состоянии.опубликовано econet.ru.
Задайте вопрос по теме статьи здесь
P.S. И помните, всего лишь изменяя свое потребление — мы вместе изменяем мир! © econet
Препараты для лечения закупорки вен
Лечение предусматривает использование различных препаратов. Существует несколько групп медикаментов, которые могут иметь схожее действие. Лекарственные средства используют для разжижения тромбов, укрепления стенок сосудов, снижение болей, отечности, воспаления.
Причина эмболии образование тромбов в артериях и венах. Тромбы в артериях, образующиеся в зоне микротравм стенок (атеросклероз), состоят из тромбоцитов. Венозная кровь подвержена тромбозу вследствие застоя крови.
Закупорке сосудов содействуют:
- заболевания эндокринной системы;
- злокачественные новообразования;
- инфекционные заболевания;
- изменение кровяного состава;
- ошибки медперсонала при инъекциях;
- беременность, роды, аборты;
- диеты, обезвоживание;
- изменения гормонального фона.
Признаки закупорки в зависимости от сосуда и места локализации:
- При тромботическом закупоривании вен нижних конечностей заболевание проходит бессимптомно. Когда уровень застоя крови становится критическим, наблюдается острая боль, отеки ног, ощущение холода в ногах, уплотнение мышц. Закупорка сосудов на ногах приводит к болезненности при ходьбе. Эмболия артерий нижних конечностей проявляется хромотой. Мышцы голени нуждаются в кислороде.
- Первые признаки закупорки сосудов сердца – боли в области груди. При зарастании коронарных артерий сердца пациента беспокоят загрудинные боли. Если процент обтурации выше 70, то высок риск инфаркта миокарда.
- Закупоривание магистральных сосудов головного мозга ведет к энцефалопатии. Недуг беспокоит пожилых людей и характеризуется постоянной сменой настроения, плаксивостью, тревожностью. Чем больше степень непроходимости, тем выше вероятность нарушения мозгового кровообращения, инсульта.
Для диагностики облитерации сосудов врач назначит УЗИ. Для обследования состояния закупорки сосудов сердца – коронароангиографию, головного мозга – МРТ и КТ.
Обнаружение заболевания на первых этапах делает прогноз благоприятным. Если болезнь диагностирована на поздних стадиях — лечение длительное, пациент вынужден пожизненно принимать лекарственные препараты. Состояние приносит осложнения: кислородное голодание, ишемический инсульт, инфаркт.
Лечение медикаментозными средствами:
- при окклюзии вен нижних конечностей назначаются препараты на основе гепарина (Гепариновая мазь, Леотон гель), венотоники. Пользоваться эластичными бинтами, ношение компрессионных чулок;
- для удаления тромба, назначают антикоагулянты и тромболитики (Гепарин);
- суженные коронарные артерии, требуют применения Нитроглицерина и антиагрегантов (Аспирин, Ацекардол);
- при энцефалопатии используют антигипоксические препараты (Пирацетам, Актовегин);
- при атеросклерозе назначают комплекс лечения, включающий статины, мембраностабилизаторы, вазодилатирующие лекарственные средства (Фенилин, Прадакса).
Перечисленные медикаменты принимать по назначению врача.

Отсутствие эффекта от медикаментозной терапии приводит к операции.
Методы хирургии:
- Коронарное шунтирование – кровоток в сосудах сердца восстанавливается путем обхождения сужения установкой сосудистого протеза.
- Стентирование – установка каркаса с целью расширения стенированных сосудов.
- Хирургическое удаление фрагментов пораженных участков.
- Установка фильтра, запрещающего движение оторванного тромба.
Народные средства для лечения:
- Приготовить настойку чеснока. Водка (спирт) и чеснок в соотношении 1:1, настоять 10 дней. Принимать по 20 капель (предварительно разбавить в стакане воды) 3 раза в день, перед приемом пищи. Курс лечения – 30 дней;
- Сделать отвар: 2 ст. л. шиповника заварить в 1 ложку воды. Употребить в течение дня;
- Настойка из перегородок грецкого ореха: приготовить 1 стакан сырья и 1 стакан водки. Настоять в течение недели, не допуская воздействия солнечных лучей. Принимать 3 раза в день по 20 капель (разбавлять в стакане воды);
- Принимать свежевыжатые соки сельдерея, граната, томата.
Приведенные домашние средства помогут почистить сосуды, но не вылечат заболевания. Лечение должно осуществляться при условии предварительной консультации с врачом.
- несбалансированное питание с преобладанием жирной пищи, фастфуда опасно образованием холестериновых бляшек;
- малоподвижный образ жизни способствует застою крови;
- чрезмерное употребление алкоголя, сигарет влияет на эластичность тканей;
- излишний вес приводит к дополнительной нагрузке системы кровообращения;
- стрессы;
- генетическая предрасположенность;
- сахарный диабет;
- прием противозачаточных средств;
- нарушения обмена липидов.
Закупорка кровеносных сосудов: особенности течения и лечения болезни
Заболевания сердечно-сосудистой системы по-прежнему занимают одно из лидирующих мест среди недугов, приводящих к летальному исходу или инвалидности человека.
Снижение проходимости кровеносных сосудов негативно отражается на качестве работы не только отдельных органов, но и всего организма.
Одним из наиболее опасных проявлений, которые могут возникнуть в сердечно-сосудистой системе, является закупорка сосудов головного мозга, нижних конечностей и сердца.
Что это такое?
Закупорка (или окклюзия) — это резкое возникновение непроходимости сосудов, которое является следствием протекающих в тканях патологических процессов. Как правило, причинами для начала развития недуга, становится появление тромба или же травматическое воздействие. В критические моменты, когда пациенту требуется срочное оперативное вмешательство, именно причина возникновения болезни будет главенствующим критерием при определении стратегии действий медработников. Ослабление или прекращение кровообращения на каком-либо участке кровеносной системы приводит к ишемии (кислородному голоданию) тканей органов и началу процессов некротического характера (речь идет об отмирании клеток и омертвении тканей). Поэтому в случае полной закупорки вены или артерии экстренное оказание медицинской помощи является крайней необходимостью.
Cимптомы закупорки сосудов
Если сосуд проходим менее, чем на половину, человек начинает ощущать явный дискомфорт. Симптомы проявления недуга будут зависеть от того, на каком участке кровеносной системы будет расположен закупоренный фрагмент.
- Закупорка сосудов сердца. В случае повреждения коронарных сосудов сердца начинается развитие ишемической болезни (ИБС). На начальном этапе о ней свидетельствуют приступы стенокардии, продолжительность которых не превышает 10 минут.
- Закупорка сосудов ног. При наличии подобных отклонений больной ощущает боль и дискомфорт в ногах. Помимо этого пациенты нередко жалуются на постоянную холодность ног и бледность или синюшность тканевых покровов.
- Закупорка мозговых сосудов. В данном случае интенсивность приступа будет зависеть от того, насколько перерыта внутренняя полость. У больного могут возникать периодичные или постоянные головные боли, сопровождающиеся повышением артериального давления. Также может возникать головокружение, рвота, тошнота или неясность сознания.
Получить бесплатную консультациюКонсультация по услуге ни к чему Вас не обязывает
Последствия заболевания
Снижение проходимости может иметь самые нелицеприятные последствия для пациента. Следствия развивающегося недуга могут быть самыми разнообразными и опять-таки будут зависеть от места расположения поврежденного сосуда.
Так, на начальной стадии *закупорка сосудов конечностей* чревата только появлением болевых и тянущих ощущений в ногах. Длительная непроходимость влечет за собой образование трофических язв и полный некроз тканей. При подобном диагнозе больному показана ампутация конечности. В противном случае у него может развиться гангрена.
Длительная ишемия сердечных сосудов нередко становится причиной развития инфаркта миокарда. Обширность поражения тканей в данном случае будет зависеть от объема пораженного непроходимостью участка.
Долгая закупорка сосудов головного мозга является не менее опасной. Поднявшееся давление, головная боль, вызванные ишемией тканей мозга, нередко свидетельствуют о начале развития ишемической атаки, завершающим этапом которой может стать инсульт.
Диагностика
Больной, жалобы которого свидетельствуют о предположительном наличии плохой проходимости, для подтверждения или опровержения диагноза должен будет пройти ряд обследований общего и частного характера. Наряду с лабораторным исследованием крови и прочими стандартными манипуляциями, пациенту также может быть назначена МРТ сердца и сосудов, имеющих отношение к пораженной заболеванием области. Полученное трехмерное изображение позволит определить степень проходимости сосудов и выявить наличие бляшек или же травматических повреждений вен и артерий.
МРТ сосудов головного мозга позволит доктору получить полное представление о состоянии тканей мозга и своевременно принять меры, исключив летальный исход или наступление постоянной инвалидности.
Лечение закупорки сосудов
Колоссальное значение при наличии закупорки имеет раннее выявление недуга. При наличии лишь первичных симптомов возможно устранение заболевания при помощи медикаментозных препаратов. Интенсивность и продолжительность курса определит доктор, руководствуясь состоянием, возрастом пациента, а также скоростью развития болезни.
На поздних этапах медикаментозная терапия практически не дает результатов и может применяться лишь для облегчения симптомов.
В большинстве случаев на поздних стадиях пациенту необходимо хирургическое вмешательство. Больному проводят прочистку внутренних полостей сосудов или удаление пораженных участков кровеносной системы.
В особо запущенных случаях специалисты могут прибегнуть к ампутации конечностей.
Чтобы не довести свой организм до крайности, рекомендуется в течение жизни проводить профилактику болезни: правильно питаться, отказаться от переедания и вредных привычек, подвергать организм регулярным физическим нагрузкам и стараться избегать лишних стрессов.
Записаться на приёмЗапишитесь на приём и получите качественное обследование в нашем центре