Диагностировать заболевания сосудов к в медицинских центрах СПб можно с помощью методов аппаратного обследования — УЗИ, КТ и МРТ. Так, ультразвуковое исследование позволяет врачам хорошо визуализировать атеросклеротические бляшки, стенозные поражения сосудов по всей длине ноги или руки, шеи и определять степень кровотока, степень окклюзии. УЗИ дуплексное, триплексное сканирование сосудов помогает визуализировать состояние как артерии, так и вены.
Если говорить о компьютерной томографии сосудов, то визуализация сосудов на КТ требует контрастирования на базе йода. Это обязательное условия, так как без контраста специалисты просто не увидят сосудистое русло.
Преимущество компьютерной томографии сосудов заключается в том, что она хорошо визуализирует аневризмы, и за короткий промежуток времени диагност может просканировать большой участок головной мог и шею, ноги или руки, аорту в брюшном, грудном отделе.
А вот МРТ сосудов лучше показывает начальные стадии воспалительных и опухолевых сосудистых заболеваний.
| МРТ сосудов | КТ сосудов |
![]() |
![]() |
Что лучше УЗИ или МРТ сосудов
Каждый из методов аппаратной диагностики имеет свое приоритетное применение. УЗИ хорошо справляется с оценкой сосудов и диагностикой маленьких детей.
При ультразвуковом исследовании врач равномерно проводит датчиком вдоль артерии или вены, которую хочет исследовать, фиксируя наличие препятствий кровотоку или наличие патологических образований.
Ультразвук не требует длительной неподвижности от пациента, как МРТ сосудов, и не дает никакой лучевой нагрузки в отличие от КТ сосудистой системы. Но с его помощью трудно оценить сосуды головного и спинного мозга, и только в грубом приближении видны коронарные сосуды и аорта брюшной полости.
Мрт или кт сосудов — что дешевле?
Что лучше МРТ или КТ сосудов
На КТ и МРТ ангиографии будут хорошо отображены даже мелкие артерии и вены. Это более детальная и точная форма диагностики. По своей информативности МРТ и КТ сопоставимы.
Однако компьютерная томография, в отличие от магнитно-резонансной томографии, оказывает лучевую нагрузку до 10 мЗв и всегда требует контрастирования йодсодержащими препаратами, что делает процедуру противопоказанной для обследования маленьких детей, беременных и пациентов с почечной недостаточностью и болезнью щитовидной железы.
Зато КТ ангиография более быстрая форма сканирования. Томография сосудов на ней занимает всего 5-7 минут. МРТ сосудов в ангиорежиме длится около 20 минут.
В отличие от компьютерной томографии МР-диагностика не использует излучение, а с помощью магнитного поля и радиоволн показывает состояние сосудистого русла и кровотока. Поэтому с точки зрения безопасности, МРТ сосудов лучше, чем КТ.
Где сделать МРТ, КТ И УЗИ сосудов недорого в СПб — адреса клиник
Количество мест:
сегодня: 6 завтра: 4
Количество мест:
сегодня: 3 завтра: 1
НДЦ-Санкт-Петербург на улице Боровая 55
+7(812)6465102
Количество мест:
сегодня: 2 завтра: 6
Количество мест:
сегодня: 6 завтра: 1
Количество мест:
сегодня: 2 завтра: 2
Детская городская больница №1
+7(812)6465102
Количество мест:
сегодня: 3 завтра: 4
Количество мест:
сегодня: 1 завтра: 5
МРТ центр ЦМРТ на ул Ленской 19
+7(812)6465102
Количество мест:
сегодня: 6 завтра: 6
ФГБУ «НМИЦ им. В. А. Алмазова»
+7(812)6465102
Количество мест:
сегодня: 6 завтра: 3
Количество мест:
сегодня: 2 завтра: 2
Институт мозга человека РАН
+7(812)6465102
Количество мест:
сегодня: 5 завтра: 4
МРТ и КТ центр MEДСИ на ул Марата 6
+7(812)6465102
Количество мест:
сегодня: 2 завтра: 4
МРТ центр МАГНИТ на 6-ой Красноармейская 7
+7(812)6465102
Количество мест:
сегодня: 6 завтра: 2
Количество мест:
сегодня: 2 завтра: 1
МРТ Центр АМИ на 16-ой линия 81
+7(812)6465102
Количество мест:
сегодня: 1 завтра: 1
Центр МРТ на ул. Рентгена 5
+7(812)6465102
Количество мест:
сегодня: 1 завтра: 3
Количество мест:
сегодня: 6 завтра: 5
МРТ и КТ центр Скандинавия на ул. Народная 21
+7(812)6465102
Количество мест:
сегодня: 4 завтра: 5
Городская клиническая больница № 31
+7(812)6465102
Количество мест:
сегодня: 6 завтра: 1
Количество мест:
сегодня: 1 завтра: 1
НИИ онкологии им. Н.Н. Петрова
+7(812)6465102
Количество мест:
сегодня: 1 завтра: 6
Российский научный центр радиологии и хирургических технологий
+7(812)6465102
Количество мест:
сегодня: 5 завтра: 3
Количество мест:
сегодня: 2 завтра: 3
МРТ центр АЙ-КЛИНИК в Петергофе
+7(812)6465102
Количество мест:
сегодня: 3 завтра: 1
Количество мест:
сегодня: 1 завтра: 6
Количество мест:
сегодня: 1 завтра: 6
Нейрохирургический НИИ им. А.Л. Поленова
+7(812)6465102
Количество мест:
сегодня: 3 завтра: 3
МРТ и КТ центр ЭНЕРГО на проспекте Энгельса 33
+7(812)6465102
Количество мест:
сегодня: 5 завтра: 4
Количество мест:
сегодня: 3 завтра: 5
МРТ центр DMG-clinic на ул. Ленина 5
+7(812)6465102
Количество мест:
сегодня: 1 завтра: 6
МРТ и КТ центр ОНА на Серебристом бульваре 20
+7(812)6465102
Количество мест:
сегодня: 4 завтра: 4
Центр МРТ на Захарьевской 14
+7(812)6465102
Количество мест:
сегодня: 4 завтра: 2
Количество мест:
сегодня: 2 завтра: 5
КТ и МРТ центр Адмиралтейские верфи на Садовой ул 126
+7(812)6465102
Количество мест:
сегодня: 5 завтра: 6
+7(812)6465102
Количество мест:
сегодня: 5 завтра: 2
Городская Мариинская больница
+7(812)6465102
Количество мест:
сегодня: 1 завтра: 1
Количество мест:
сегодня: 2 завтра: 1
Детская городская больница Святой Ольги
+7(812)6465102
Количество мест:
сегодня: 2 завтра: 1
Количество мест:
сегодня: 5 завтра: 6
Количество мест:
сегодня: 2 завтра: 3
Детская клиническая больница
+7(812)6465102
Количество мест:
сегодня: 1 завтра: 6
Санкт-Петербургский НИИ фтизиопульмонологии
+7(812)6465102
Количество мест:
сегодня: 4 завтра: 3
МРТ и КТ центр СМТ на ул Римского-Корсакова 87
+7(812)6465102
Количество мест:
сегодня: 2 завтра: 5
РНИИ травматологии и ортопедии им. Вредена
+7(812)6465102
Количество мест:
сегодня: 3 завтра: 1
СЗГМУ им. И.И.Мечникова, Больница имени Петра Великого
+7(812)6465102
Количество мест:
сегодня: 1 завтра: 6
Центр комплексной диагностики ЛДЦ МИБС
+7(812)6465102
Количество мест:
сегодня: 3 завтра: 6
Центр МРТ на Дибуновской 45
+7(812)6465102
Количество мест:
сегодня: 1 завтра: 1
МРТ центр СИМЕД на ул Магнитогорская 51
+7(812)6465102
Количество мест:
сегодня: 3 завтра: 6
+7(812)6465102
Количество мест:
сегодня: 4 завтра: 1
Детская клиническая больница при СПбГПМУ
+7(812)6465102
Количество мест:
сегодня: 6 завтра: 4
Клиническая больница №122 имени Л. Г. Соколова
+7(812)6465102
Количество мест:
сегодня: 2 завтра: 4
Количество мест:
сегодня: 3 завтра: 1
Количество мест:
сегодня: 1 завтра: 6
Количество мест:
сегодня: 3 завтра: 1
+7(812)6465102
Количество мест:
сегодня: 2 завтра: 4
Количество мест:
сегодня: 4 завтра: 2
Военно-медицинская академия им. С. М. Кирова
+7(812)6465102
Количество мест:
сегодня: 1 завтра: 2
МРТ и КТ СМ-Клиника на Дунайском
+7(812)6465102
Количество мест:
сегодня: 4 завтра: 3
МРТ и КТ Скандинавия на Ильюшина
+7(812)6465102
Количество мест:
сегодня: 1 завтра: 3
Количество мест:
сегодня: 6 завтра: 2
Центр МРТ ЛДЦ МИБС на Глухарской
+7(812)6465102
Количество мест:
сегодня: 1 завтра: 5
Диагностический центр Д-мед в Стрельне
+7(812)6465102
Количество мест:
сегодня: 3 завтра: 6
Городская многопрофильная больница № 2
+7(812)6465102
Количество мест:
сегодня: 2 завтра: 5
Дорожная клиническая больница ОАО «РЖД»
+7(812)6465102
Количество мест:
сегодня: 2 завтра: 1
+7(812)6465102
Количество мест:
сегодня: 3 завтра: 2
НИИ СКОРОЙ ПОМОЩИ им. Джанелидзе
+7(812)6465102
Количество мест:
сегодня: 5 завтра: 4
Количество мест:
сегодня: 4 завтра: 4
+7(812)6465102
Количество мест:
сегодня: 2 завтра: 5
Детская городская больница №22
+7(812)6465102
Количество мест:
сегодня: 2 завтра: 6
Институт уха, горла, носа и речи в СПб
+7(812)6465102
Количество мест:
сегодня: 1 завтра: 5
ЛДЦ МИБС на Площади Восстания
+7(812)6465102
Количество мест:
сегодня: 1 завтра: 4
Количество мест:
сегодня: 4 завтра: 3
МРТ и КТ центр Ай клиник на ул. Тимуровская
+7(812)6465102
| МРТ сосудов мозга и головы |
МРТ сосудов мозга и головы — это комплексное обследование как вещества и оболочек головного мозга, так и его сосудистого русла. Такое комплексное исследование можно сделать в любом МРТ центре СПб и включает оно два сканирования, которые проходят друг за другом: МРТ головного мозга; МРТ сосудов головного мозга (она же МРТ ангиография сосудов головного мозга).
| Вредно ли МРТ для здоровья |
Есть ли вред от МРТ — этот вопрос может возникнуть у пациента, когда ему рекомендуют сделать магнитно-резонансную томографию. Если вы получили направление на МРТ, это не означает, что у вас есть какое-то заболевание. Возможно, ваш врач просто хочет уточнить состояние вашего здоровья. И здесь важно, чтобы выбранная вами форма диагностики не ухудшила состояние вашего самочувствия.
| Какие контрастные вещества используют в МРТ |
МРТ с контрастным усилением входит в диагностический арсенал врачей с 1980-х годов. Первое сообщение об открытии явления магнитного резонанса произошло в сороковые годы прошлого века.
Но до того, как впервые были получены изображения, основанные на ядерно-магнитном резонансе, прошло почти тридцать лет.
Только в 1974 году был выдан первый патент на устройство и методику получения МРТ изображений.
Отличия методик УЗИ и МРТ
Ответить на вопрос что лучше МРТ или УЗИ, для этого предстоит проанализировать различия между процедурами, познакомиться с особенностями их проведения, оценить эффективность и целесообразность проведения каждой из диагностик.
Показания к назначению УЗИ и МРТ
С помощью ультразвукового исследования подтверждается факт наличия патологического или непатологического изменения в организме пациента, когда причина явления уже известна.
Обычно УЗИ назначается в процессе:
- диагностики беременности;
- выявления изменений в системе органов брюшной полости;
- обследования молочных желез;
- определения заболеваний мочеполовой системы;
- диагностики болезней опорно-двигательного аппарата;
- выявления нарушений в мягких тканях и мышечных волокнах;
- определения сердечно-сосудистых патологий.
Магнитно-резонансная томография назначается в случаях, когда подтвердить предполагаемый диагноз иными способами не удаётся. Метод МРТ применим при диагностике:
- новообразований, воспалительных процессов и прочих патологий головного мозга;
- заболеваний венозно-сосудистой системы;
- патологий опорно-двигательного аппарата.
УЗИ
МРТ
Противопоказания к процедурам
УЗИ относят к безопасным методам диагностики. Противопоказания к проведению исследования имеют рекомендательный характер.
Что касается МРТ, то весь перечень ограничений можно разделить на группы абсолютных и условных противопоказаний. Подробнее в таблице ниже:
| 1. Абсолютные — присутствие в теле металлических имплантатов, зажимов, скоб — зубные импланты, брекет-системы — имплантированные электронные устройства — почечная недостаточность и аллергия на контрастное вещество — болезни в стадии декомпенсации — 1 триместр беременности | — избыточный вес — нарушения целостности кожного покрова в области диагностики (раны, ожоги и пр.) |
| 2. Условные — невозможность оставаться в неподвижном положении — боязнь замкнутого пространства — эпилепсия- тяжёлые состояния пациента | — инфекционные процессы в острой форме — послеоперационный период при хирургическом вмешательстве на исследуемом участке |

Узи сосудистой системы головного мозга
Если говорить об ультразвуковом исследовании, то с уверенностью можно сказать, что речь идёт о довольно информативном методе оценки состояния кровотока в капиллярах, венах, артериях, которые снабжают кровью головной мозг. УЗИ головы проводят тремя способами:
- Ультразвуковая допплерография.
- Дуплексное сканирование.
- Трёхмерное или триплексное сканирование.
Эти методы диагностики помогают определить стадии нарушений кровообращения, предотвратить кислородное голодание, инсульты, инфаркты, проводить наблюдение за лицами, страдающими патологиями сосудов.

Если в качестве ключевого критерия выбора выступает уровень информативности, то магнитная томографии окажется предпочтительней, поскольку обеспечит детализированный результат.
Посредством МРТ головы и шейного отдела позвоночника специалисты визуализируют подробную «картинку» структурных элементов исследуемой области, определяют патологический очаг, его точную локализацию, форму, размерные характеристики.
Даже КТ не может сравниться с магнитной томографией в информативности при обследовании мягких тканей и сосудистой системы.
Подготовка к обследованиям
- Некоторые разновидности УЗИ предполагают проведение специальной подготовки.
- Если предстоит исследовать брюшную полость, пациенту стоит воздержаться от еды и питья или за несколько дней до процедуры соблюдать диету.
- В случае диагностики органов мочеполовой системы, наоборот, рекомендуется пить воду.
Одним из преимуществ МРТ является отсутствие предварительной подготовки.
Больному предстоит снять с себя металлические предметы и переодеться в одноразовую одежду.
Если же исследование проводится с использованием контраста, специалисты рекомендуют воздержаться от еды и питья за 6-8 часов до процедуры. По этой причине диагностику предпочтительнее проводить утром (натощак).

Ход проведения исследований: отличительные особенности
- Первичное отличие диагностического процесса в случае с УЗИ и МРТ состоит во времени исследования.
- Если предстоит провести УЗИ-диагностику, пациенту придётся подождать окончания процедуры в среднем 15 минут.
- В случае с МРТ, тело больного находится под действием магнитного поля на протяжении 30-90 минут (зависит от области сканирования и типа диагностики).
Второй существенный момент — условия пребывания больного.
При ультразвуковом исследовании обследуемый находится на кушетке в нужном положении.
- МРТ предполагает нахождение человека внутри магнитного тоннеля томографа, что увеличивает риск появления у пациента дискомфорта в ходе сканирования, особенно если речь идёт о страдающем клаустрофобией.
- В случае с УЗИ в процессе диагностики специалист применяет лубрикант для удобного перемещения датчика по телу больного.
- Магнитная томография в некоторых случаях не обходится без введения контраста (для подробного обследования) или наркоза (при исследовании маленьких детей, психически неуравновешенных).
УЗИ
МРТ
Стоимость медицинских услуг
Имеется существенная разница в стоимости процедур. УЗИ на порядок дешевле, поскольку для его проведения требуется относительно недорогое оборудование.
В случае с МРТ речь идёт о громоздких и дорогостоящих аппаратах — отсюда и высокая цена.
Что лучше выбрать
УЗИ-диагностика головного мозга или МРТ? В заключение имеет смысл дать сведения об преимущественных и непривлекательных сторонах каждой из методик.
Специалистам удалось обозначить следующие плюсы и минусы МРТ-диагностики:
| — получение чёткого результата в трёхмерном виде — отсутствие лучевой нагрузки на организм — получение изображений областей, недоступных при проведении УЗИ- обозначение природы опухоли без биопсии | — продолжительный период диагностики — необходимость сохранения пациентом неподвижности — необходимость введения наркоза в случае с детьми — невозможность диагностики беременных в 1 триместре — ограничение к проведению исследования лицам с металлическими предметами и устройствами, встроенными в тело- высокая цена |

В таблице ниже представлена аналогичная характеристика альтернативной процедуры — УЗИ:
| — полное отсутствие противопоказаний — проведение во время беременности — использование различных методик — небольшое, компактное оборудование для диагностики — непродолжительный период исследования- доступная цена | — невозможность демонстрации патологий костной ткани — необходимость проведения подготовительных мероприятий (при исследовании органов брюшной полости, мочеполовой системы) — влияние ожирения пациента на качество изображения- зависимость результата диагностики от опыта специалиста и качества применяемой аппаратуры |
УЗИ головы
Сказать конкретно, что точнее и лучше, нельзя. Обе методики отличаются высокой информативностью в своей области специализации, однако, не выступают взаимозаменяемыми.
- МРТ и УЗИ — аппаратные методики, одинаково успешно применяемые в медицинской практике.
- Ультразвуковое исследование назначается при необходимости подтверждения диагноза и получения общей «картинки» состояния обследуемых органов.
- В случае необходимости получения подробной информации, диагностировании очага поражения (опухоли или кисты), его характеристик и степени распространённости предпочтительнее окажется МРТ.
Видео
Разница между МРТ и ультразвуковым исследованием головного мозга
Ультразвуковое исследование и магнитно-резонансная томография — это два метода, которые используются в медицине для визуализационного исследования головного мозга. В одних случаях они взаимозаменяемы, в то время как в других преимущество отдается одному из них. Что лучше сделать, УЗИ или МРТ, пациент обсуждает с лечащим врачом.
Ключевое различие — принцип работы
Отличие двух методов состоит в физических принципах визуализации. УЗИ (или сонография) базируется на неодинаковой способности биологических тканей отражать ультразвук.
Для лучшего контакта с телом больного на кожу наносят специальный гель и водят по ней ультразвуковым датчиком, который излучает импульсы неслышимых высокочастотных волн и направляет их на нужную область организма.
Он же принимает сигналы, отраженные от внутренних органов, жидкостей и тканей, и регистрирует малейшую разницу в интенсивности. Эхосигналы измеряются аппаратом, который создает на мониторе изображение в реальном времени.
Врач видит структуру и движение исследуемого органа, а также кровь, текущую по сосудам. Один или несколько кадров подвижного изображения запоминаются в виде фотоснимков. При необходимости сохраняются короткие кинопетли. Продолжительность такой процедуры составляет всего несколько минут. Результат не зависит от двигательной активности обследуемого.
При проведении магнитно-резонансной томографии решающую роль играют присутствующие повсюду в организме атомы водорода. Под воздействием магнитного поля, которое в 20 000 раз мощнее земного, их протоны выстраиваются в определенном направлении. Затем частицы приводятся в движение с помощью радиосигналов. Когда они возвращаются в исходное положение, то выбрасывают накопленную энергию. Производимые МР-сигналы зависят от химического окружения протонов (ликвор, кровь и т. д.) и преобразуются компьютером в объемные послойные изображения в градациях серого.
Сеанс занимает 15–45 минут. Важно, чтобы больной лежал неподвижно, так как от этого зависит качество полученных снимков. Нередко медикам приходится прибегать к седативным средствам. Для увеличения контрастности тканей пациенту вводят специальный препарат.
Сравнение диагностической ценности
Как УЗИ головного мозга, так и МРТ используются для оценки состояния сосудов, снабжающих мозг. Исследуются структура сонных артерий и внутренний слой кровеносных сосудов, чтобы вовремя обнаружить обызвествление и атеросклеротические бляшки и начать лечение. Для обследования самого мозга применяются нейросонография (у грудных детей) и транскраниальная сонография.
Нейросонография
Ультразвуковое исследование головы позволяет получить изображение мозга и ликвора.
Так как волны плохо проходят сквозь кость, этот метод обычно используют для выявления патологий на ранней стадии у младенцев, череп которых еще не полностью сформирован.
Акустическими окнами у новорожденных служат роднички, то есть мягкие, не окостеневшие участки. Врач приставляет датчик, например, к переднему родничку и водит им вправо и влево, вперед и назад, чтобы как можно точнее визуализировать структуры мозга.
Ультразвук давно применяется для обследования младенцев, родившихся преждевременно. Процедуру проводят, чтобы проверить, нет ли кровотечения или повреждений мозговой ткани. Необходимость в последующих сеансах зависит от результата исследования.
У грудных детей сонография позволяет диагностировать почти все мозговые заболевания.
Ученые из Университета Джона Хопкинса в Балтиморе доказали, что для маленьких пациентов это более щадящая и дешевая альтернатива томографии.
Но только при условии, что врачи используют высокотехнологичные устройства, которые формируют двух- и трехмерные изображения. Многое зависит от квалификации специалиста.
У взрослых с помощью ультразвукового обследования головы врачи определяют местонахождение и оценивают размеры опухоли во время операции, чтобы облегчить ее безопасное удаление.
Транскраниальная сонография
Транскраниальное доплеровское исследование (ТДИ) заключается в оценке скорости кровотока по сосудам внутри черепной коробки. Используется для оценки риска инсульта у взрослых и детей с серповидно-клеточной анемией и выявления патологий, влияющих на мозговое кровообращение, таких как стеноз или вазоспазм. Согласно ученым, ТДИ подходит для диагностики болезни Паркинсона.
Главный недостаток метода в том, что возможность его применения зависит от качества ультразвуковых окон, то есть мест на черепе, через которые проникают волны. У некоторых людей они вовсе отсутствуют. Кроме того, чтобы получить качественное изображение, необходим аппарат экспертного класса.
Магнитно-резонансная томография
У МРТ в отличие от УЗИ возможностей больше. На изображениях мозга, полученных с ее помощью, видны мельчайшие детали. Диагностировать можно:
- опухоль,
- воспаление мозговой оболочки (менингит),
- кровоизлияние,
- изменение сосудов (сужение, выпячивание)
- болезнь Паркинсона,
- слабоумие.
- Синдром Корсакова-Вернике.
С помощью этого метода, ориентируясь на характерные детали, врачи определяют также, идет ли речь об аутоиммунном или воспалительном заболевании, злокачественной или доброкачественной опухоли. Иногда процедура проводится после инсульта, но выбором номер один здесь является компьютерная томография.
Для обследования грудных детей метод не подходит, так как они не могут лежать спокойно. Применять успокаивающие препараты и средства для наркоза не рекомендуется, поскольку в редких случаях возможны осложнения.
Комбинирование методов
При необходимости УЗИ и МРТ можно делать в один день. Бразильские ученые пошли еще дальше.
Они разработали новый метод выявления патологий у еще не рожденных детей: используя снимки томографа и данные ультразвукового исследования, специалисты создали объемную модель плода, для рассматривания которой нужны особые очки. Возможно, в будущем он будет применяться для диагностики болезней головы.
Обзор противопоказаний
Оба метода неинвазивные и безопасные для организма, поэтому количество сеансов не ограничивается. Однако, минус магнитно-резонансной томографии — в наличии абсолютных и относительных противопоказаний, среди которых:
- присутствие в теле осколков магнитовосприимчивых металлов или имплантатов из них;
- наличие кардиостимулятора, дефибриллятора, кохлеарного имплантата или другого медицинского прибора;
- первый триместр беременности;
- клаустрофобия;
- психические заболевания.
Другой недостаток МРТ — необходимость использования контрастирующих средств, на которые встречаются аллергия и непереносимость.
УЗИ не имеет побочных действий и хорошо переносится большинством пациентов. У некоторых возникают лишь неприятные ощущения, связанные с давлением датчика на кожу, нанесением прохладного геля или пульсирующими звуками.

Стоимость диагностики
Судя по расценкам диагностических центров, магнитно-резонансная томография обходится значительно дороже ультразвукового обследования. Это связано с большой разницей в стоимости самих аппаратов и их эксплуатации. Из-за высокой цены на томографы приобрести их в состоянии не все клиники. Особенно дорого обходится пациентам МРТ головного мозга с контрастом.
Подведение итогов
УЗИ имеет ряд преимуществ перед томографией: оно не имеет противопоказаний, не требует применения успокоительных средств, занимает мало времени, дешевле обходится и доступно в большинстве медицинских учреждений.
Однако, по сравнению с МРТ, которое позволяет получить качественное изображение любой части мозга, его возможности сильно ограничены. Выбрать МРТ или УЗИ — зависит от показаний. Иногда врач назначает и то, и другое.
Что лучше — УЗИ сосудов головного мозга или МРТ?
Вопрос: «Что лучше — Узи сосудов головного мозга или МРТ» в основном возникает у родителей, которым приходится выбирать наилучший метод обследования для своих детей. Но такой же выбор может возникнуть и у взрослых, которые хотят получить наилучшее лечение.
Для того чтобы определить, что лучше, следует получить общее представление о том, как проходит каждое из таких обследований и для каких именно целей оно предназначено.
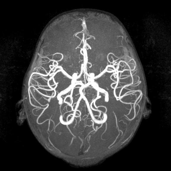
сосудистая система мозга головы на снимке тамографа
Этот метод обследования использует свойство ультразвука отражаться от мягких и твердых тканей, в результате чего получается точное изображение. Чаще всего такая диагностика проводится в следующих случаях:
- Дети с не заросшими родничками.
- Открытые швы.
Черепная кость, достаточно прочная и толстая, поэтому в других случаях обследование значительно осложняется, результаты могут быть неточными и приблизительными.
При обнаружении патологии в таком случае потребуется дополнительное обследование, скорее всего томография.
Наиболее точный метод диагностики с помощью ультразвука называется нейросонография.
Его чаще всего используют для того чтобы получить общее представление о размерах отдельных частей головного мозга, присутствия определенных отклонений и онкологических новообразований.
Решая, что выбрать УЗИ сосудов или МРТ головного мозга следует знать о положительных сторонах такой диагностики. А именно:
- Возможность обследования детей с дефицитом внимания. Такая диагностика проводится быстрее, чем МРТ, для получения результатов нет необходимости долго неподвижно лежать.
- Стоимость.
Такое обследование стоит меньше, а проходит быстрее.
Выбирая, что лучше УЗИ или МРТ головного мозга следует принять во внимание результативность выбираемого метода, а также точность получаемых результатов.Основана на методе получения высокоточного изображения с помощью магнитного поля и радиоволн.
Результаты обрабатываются с помощью компьютера. Поэтому при расшифровке практически исключены ошибки. Томография рекомендована следующим категориям пациентов:
- Подозрения на аномалии в структуре головного мозга.
- Подтверждения или опровержения появившихся изменений в структуре после травм.
- Инфекционные процессы или определенные заболевания вызывающие воспаление коры мозга.
- Подозрение на онкологические заболевания.
- Тревожные симптомы. Обмороки, головокружения, внутричерепное давление, потеря зрения и слуха.
анатомия сосудистой системы головы
Выбирая, что сделать УЗИ сосудов и коры головного мозга или МРТ, необходимо учитывать, что необходимо в первую очередь прислушаться к мнению врача. Именно он может порекомендовать, тот метод диагностики, который может наилучшим образом прояснить картину и выявить возможные патологии.
Томография полностью безвредна для пациента и показывает полную и точную клиническую картину. Однако способ его проведения может оказаться неприемлемым для некоторых пациентов. А именно:
- Страдающим клаустрофобией. Снизить симптомы тревоги и боязнь замкнутого пространства можно с помощью родственников, которые во время проведения манипуляций могут находиться рядом с пациентом, держать его за руку, успокаивать и т.д.
- Пациенты, которые не могут оставаться в неподвижности. Болезни и нарушения в развитии могут провоцировать неудержимые судороги или нежелание оставаться на одном месте. В некоторых случаях рекомендовано проведение манипуляций после введения пациенту общей анестезии.
Определиться с выбором, что именно УЗИ головного мозга или МРТ стоит выбрать, можно, если сравнить эти два метода относительно: точности, удобства, необходимости в проведении дополнительных анализов и стоимости.
- Точность результатов. Томография позволяет получить послойное точное изображение головного мозга. Это позволяет с точностью до 95% определить наличие опухолей или других патологий. Узи, как правило, не может похвастаться подобными результатами.
- Удобство. Узи проходит быстрее, нет необходимости сохранять неподвижность, поэтому его часто рекомендуют маленьким детям.
- Необходимость в проведении дополнительных анализов. Томография показывает точную картину, не нуждающуюся в дополнении, при обследовании ультразвуком, часто приходится назначать проведение дополнительных методов диагностики для уточнения результата.
- Стоимость. Если сравнить какую стоимость имеет УЗИ головного мозга и томография, становится очевидным преимущество первого метода. Но отсутствие в необходимости в проведении дополнительных платных исследований делает МРТ предпочтительным методом.
МРТ, КТ, УЗИ, ЭЭГ головного мозга – что лучше, чем отличаются методы диагностики головы
Выбирая вид диагностического обследования, нужно всегда прислушиваться к позиции лечащего врача. Специалист сможет дать точную рекомендацию, основанную на результатах предварительного исследования или истории болезни пациента, определиться с методом диагностики, который способен максимально точно обнаружить вероятные заболевания.
Чтобы сказать – что лучше узи сосудов головного мозга или МРТ нужно знать результативность планируемого способа обследования, степень качества получаемых изображений.
Чем отличается МРТ головы, ЭЭГ и УЗИ
Главные отличия УЗИ, МРТ и ЭЭГ заключаются в принципах влияния на человеческий организм, способе функционирования оборудования.
МРТ прекрасно показала себя при всестороннем исследовании внутримозговых нарушений, обнаружении всевозможных новообразований головы пациента.
Когда делают МРТ шейного отдела позвоночника или головы устанавливается специальная катушка, позволяющая усилить эффективность изображения.
Часто при обследовании применяется ультразвуковая методика под названием нейросонография, которая с высокой точностью определяет размеры отдельных участков головы, наличие различных аномалий, раковых образований.
ЭЭГ (электроэнцефалография) фиксирует биоэлектрическую активность головного мозга, которая обрабатывается устройством, отображается в форме волновых колебаний на бумажной ленте или записывается отдельным файлом на компьютере.
Проводят ЭЭГ при помощи аппарата под названием электроэнцефалограф. По области головы распределяют специальные электроды, регистрирующие электрические сигналы от клеток мозга и перерабатывающие их в электрический колебательный процесс.
Результатом электроэнцефалографии является получение снимка, который отображается на бумаге, выглядит, как волны с различной амплитудой.ЭЭГ не способна определить вид и место органического нарушения, но готова предоставить данные о наличии патологии и выявить участок головного мозга , который ее содержит.
Сравнивая с МРТ, способ дает возможность обнаружить нарушения психического типа в деятельности мозга.
Для правильного ответа на вопрос: что сделать УЗИ сосудов и коры головного мозга или МРТ нужно ориентироваться в положительных моментах обоих методов обследования.
УЗИ делает возможным исследовать детей с недостатком внимания. Проведение осуществляется скоротечно. Во время сканирования нет надобности продолжительное время лежать в неподвижном состоянии. Правильная подготовка к МРТ головного мозга позволяет предотвратить осложнения.
МРТ обследование служит одним из лучших способов для диагностики патологий головного мозга органического типа, эффективнее способно обнаружить раковые образования при первоначальных этапах развития, правильно назначить методику лечения.
При сравнении с ультразвуковым исследованием, МРТ энцефалография имеет один важный отличительный признак. УЗИ головного мозга или МРТ предполагают диагностику анатомических нарушений, а ЭЭГ направлена больше на обследование функционального состояния головного мозга. МРТ и ЭЭГ ставят перед собой совершенно разные задачи.
Особенности ультразвукового обследования сосудов головного мозга
Трехмерное ультразвуковое обследование позволяет создать сопоставимое по информативности с фотографическим отображение сосудов для дальнейшего анализа состояния верификации структурных нарушений. Имеется один минус, который не позволит врачу добиться получения данных о функциональном состоянии кровоснабжения.
Выполнение ультразвукового обследования необходимо при жалобах на появление симптомов, говорящих о сосудистых нарушениях области головного мозга. К основным признакам можно отнести учащение болей, беспричинные головокружения, немощь, которая может доходить до потери сознания.
Еще одним немаловажным аспектом при ответе на вопрос что лучше МРТ или УЗИ головного мозга является ценовой фактор. УЗИ очень сильно уступает по цене магнитно-резонансному сканированию.
Разница между КТ и МРТ головы
Чем отличается КТ от МРТ головного мозга ? Для четкого понимания отличий, необходимо рассмотреть их отдельно друг от друга.
Обследование основывается на получении данных путем применения сильного магнитного поля по принципу ядерно-магнитного резонанса. Влияние поля способствует переориентированию водородных частиц внутри исследуемой области тела человека. МРТ аппарат посылает электромагнитные сигналы, фиксирует перемены функционирования атомов, совершая обработку информации, отображая ее в форме 3D-изображений.
Компьютерное исследование заключается в особенности рентгеновского излучения проникать сквозь определенные структурные участки тела человека в разной степени, зависящей от их плотности.
Классический рентген основывается на похожем принципе функционирования, но компьютерный аппарат воздействует с большей рентгеновской нагрузкой и кардинально различается методом создания и обработки информации.
Во время обследования на требуемую область головы пациента направляется пучок рентгеновских лучей, которые попадают в ткани разной плотности. Процесс визуализируется посредством создания снимков послойного характера.
Полученная информация проходит обработку на компьютерной технике с использованием специального ПО и выдается в форме трехмерных изображений, проявляющих максимально детально необходимую область.
Отличие КТ от МРТ головного мозга оказывается понятным после подробного анализа методики их работы. Компьютерное исследование нежелательно использовать для одного человека постоянно с частыми повторениями, причиной чему является воздействие лучевой нагрузки на организм пациента.
С обратной стороны, люди, боящиеся замкнутого пространства, намного проще пройдут сеанс КТ, потому что длительность сканирования тканей/органов составляет 10 секунд.
При полной диагностике во время МРТ длительность занимает около 20 минут нахождения в неподвижности, что служит причиной введения анестезии, когда исследуемыми объектами являются пациенты детского возраста.
Магнитно-резонансная или компьютерная томография мозга лучше
Уровень затемнения и осветления областей является результатом активности импульсов, проходящих под влиянием магнитного поля от обследуемых участков мозга при выполнении МРТ. Водород служит главным элементом, изменяющим радиочастотный сигнал под воздействием сильного магнитного поля.
Число водородных частиц внутри ткани предопределяет мощность импульса, который фиксирует градиентная катушка. Вода, в составе которой находится два атома водорода, отображает сигнал на картинке светлыми тонами. Костная ткань, напротив, не имеет внутри себя атомов водорода, поэтому дает незначительный сигнал.
Области, не имеющие водородных частиц в своем составе, выглядят на снимках темными.
Дать ответ по вопросу МРТ или КТ головного мозга – что лучше, однозначно трудно. Выбрать правильно метод обследования, способен не пациент, а специалист.
Магнитно-резонансный аппарат выдаст изображения, которые наиболее эффективно высветят поражения мягких тканей головного мозга. Ошибки при МРТ головного мозга обуславливает подвижность человека во время сканирования.
Высокую информативность МРТ имеет во время ишемического инсульта, нарушениях нервных волокон, патологиях внутреннего уха.
Компьютерная томография назначается при наличии дефектов твердых частей черепа.
МРТ и КТ имеют свои плюсы и минусы, поэтому каждый из них, по-своему, незаменим при проведении диагностики болезней области головы.
Что лучше для исследования головного мозга ЭЭГ или УЗИ
При выборе УЗИ или ЭЭГ следует обратить внимание на заболевания и патологии, которые может выявить каждый из указанных способов обследования.
Основные болезни, нарушения, выявляемые ЭЭГ:
- Дефекты, говорящие о сбое системы кровоснабжения;
- Изменения структуры сосудов;
- Заболевания нервной системы.
- Патологии психического характера;
- Обнаружение раковых образований и иных органических поражений;
- Что способно выявить УЗИ диагностика?
- Комплексные нарушения сосудистой системы головы;
- Наличие предрасположенности к серьезным заболеваниям.
ЭЭГ и ультразвуковое исследование имеют свои недостатки.
К минусам, возможным при выполнении УЗИ, относятся:
- Обычно требуется выполнение дополнительных процедур для уточнения результата;
- Недостаточная четкость получаемого изображения;
- Оценить функциональное состояние не представляется возможным.
Недостатки при проведении ЭЭГ:
- Низкий уровень диагностики поражений органического типа;
- Получение качественного результата во время электроэнцефалографии зависит от эмоционального состояния пациента.
Основное отличие вышеописанных диагностических процедур заключается в визуализации уникальных анатомических областей, необходимых для решения поставленных задач.

