Декстрокардия – врожденная аномалия сердечно-сосудистой системы, разновидность дистопии, при которой сердце частично или полностью смещено вправо и занимает положение, зеркально симметричное нормальному.
Аналогичным образом расположены отделы сердца и все крупные сосуды. В некоторых случаях выявляется зеркальное расположение некоторых или всех внутренних органов. Согласно статистике декстрокардия встречается примерно у 0,01% населения.
Если аномальное расположение не сопровождается другими патологиями, декстрокардия может не проявляться и обнаруживается случайно, при обращениях к врачу по другим поводам.
Смещение сердца вправо может быть и следствием патологических процессов в грудной клетке: ателектаза легких, гидроторакса, опухолевых процессов. При вторичном механическом смещении говорят о патологической декстрапозиции сердца.
Причины
Закладка органов и систем организма происходит в первом триместре беременности. Сердечная трубка формируется на первых неделях развития эмбриона и по невыясненным причинам искривляется вправо.
Наиболее вероятной причиной аномального строения сердечно-сосудистой системы считают мутации генов ZIC3Shh, HAND, Pitxz, ACVR2. Существуют данные об аутосомно-рецессивном типе наследования аномалии.
Факторы риска развития аномалии не выяснены.
Виды
Все случаи декстрокардии подразделяют на три вида:
- Простая декстрокардия. Крайне редкий вариант, когда зеркально располагается только сердце и магистральные сосуды.
- Декстрокардия с зеркальным расположением части органов пищеварительной и дыхательной систем.
- Декстрокардия с полной транспозицией внутренних органов.
Опасность и осложнения
Аномальное расположение сердца при отсутствии сопутствующих патологий не представляет особой опасности для здоровья, не влияет на качество и продолжительность жизни. В таких случаях пациенты часто узнают о своих особенностях случайно, во время медицинского обследования по другому поводу.

Одним из наиболее значимых рисков для пациента с невыявленной и неосложненной декстрокардией и транспозицией органов является врачебная ошибка при постановке диагноза. Диагностика самых распространенных заболеваний внутренних органов затруднена в силу их необычного расположения и редкости подобных клинических случаев.
Сложности возникают при необходимости проведения полостных операций, особенно, если речь идет о необходимости операции по трансплантации асимметричных органов.
Как показывает практика, люди с дистопическим расположением сердца более склонны к заболеваниям органов дыхательной системы и прочим инфекционным заболеваниям.
В большинстве случаев дистопическое расположение сопровождается другими пороками развития, среди которых:
Аномальное расположение сердца может сочетаться с тяжелейшими патологиями развития органа, например, у пациентов обнаруживается двух- или трехкамерное сердце.
Опасность состояния больного зависит от вида сопутствующей патологии и степени ее тяжести. Часть сопутствующих пороков сердца проявляется сразу же, в первые часы жизни (так называемые «синие» пороки), некоторые («белые») могут выявляться позже, в силу бессимптомного течения в раннем возрасте.
Иногда правостороннее расположенное сердце сочетается с другими патологиями органов брюшной и плевральной полостей. Одна из наиболее частых сопутствующих патологий – гетеротаксический синдром. У пациентов с гетеротаксическим синдромом нередко отсутствует селезенка, в некоторых случаев обнаруживается несколько недоразвитых селезенок со значительными нарушениями функций.
В 25% случаев у пациентов с декстрокардией выявляется первичная цилиарная дискинезия (ПЦД) – редкая патология развития ресничного эпителия. Нормально функционирующие реснички влияют на процессы формирования внутренних органов и часто вызывают их транспозицию.
У половины пациентов с ПЦД диагностируется синдром Картагенера-Зиверта, неразрывно связанный с аномальным положением внутренних органов. У таких больных выявляются патологические нарушения анатомического строения верхних дыхательных путей, многочисленные бронхоэктазии.
Реснички на поверхности слизистых оболочек, выполняющие функции активного фильтра, могут отсутствовать полностью. Мужчины с этим заболеванием бесплодны, так как их сперматозоиды лишены жгутиков.
Данная патология всегда сочетается с полной или частичной транспозицией внутренних органов, что косвенным образом подтверждает гипотезу о наследственной природе декстрокардии.
Дистопическое расположение сердца часто встречается у детей с синдромом Патау – трисомией по 13 паре хромосом. Это хромосомное заболевание сопровождается множественными пороками развития, затрагивающими практически все системы органов, пациенты с синдромом Патау крайне редко доживают до школьного возраста.
Симптомы
Неосложненная декстрокардия в сочетании с полной транспозицией внутренних органов обычно не проявляется никаким образом и совершенно не беспокоит пациента. Такие случаи сравнительно редки, гораздо чаще декстрокардия сопровождается другими патологиями, которые могут проявииться как с первых секунд, так и в течение нескольких лет жизни.
Характерных внешних симптомов, вызванных дистопией сердца нет, но на него косвенно могут указывать:

- Желтушное окрашивание кожи и склер с момента рождения;
- Затруднения дыхания;
- Цианоз или бледность кожных покровов;
- Нарушения сердечного ритма.
У детей более старшего возраста помимо перечисленных симптомов могут наблюдаться:
- Повышенная восприимчивость к инфекционным заболеваниям легких и верхних дыхательных путей;
- Повышенная утомляемость, мышечная слабость;
- Отставание физического развития.
Когда обращаться к врачу
Осложненная декстрокардия выявляется еще в младенчестве и ребенка сразу ставят на диспансерный учет у кардиолога. При выявлении неосложненной декстрокардии в более старшем и зрелом возрасте поступают аналогичным образом.
Пациенту следует регулярно проходить профилактические осмотры у соответствующего специалиста.
Диагностика
Подозрение на декстрокардию может возникать при обычном внешнем осмотре. Верхушечный толчок сердца при пальпации обнаруживается справа, перкуссия показывает смещение сердечной тупости, при аускультации выявляется необычная локация сердечных тонов.
Для подтверждения диагноза могут потребоваться дополнительные инструментальные исследования:

- Рентгенологичекое обследование;
- УЗИ сердца и сосудов;
- Электрокардиография;
- Магнитно-резонансная томография;
- Компьютерная томография.
- Ангиография и катетеризация сердца.
Выбор методов обследования зависит от вида и степени тяжести сопутствующих патологий.
Поскольку электрическая ось сердца при декстрокардии располагается зеркально относительно нормы, кривая ЭКГ выглядит зеркальным отражением нормальной. Электрокардиография является обязательным видом обследования при подозрении на любые нарушения со стороны сердца для дифференциальной диагностики врожденных и приобретенных патологий сердечно-сосудистой системы.
Лечение
При диагнозе «декстрокардия сердца», не осложненном сопутствующими болезнями и никаким образом не влияющем на общее состояние здоровья, лечения не требует.
Тактика лечения при наличии сопутствующих патологий направленная на их устранение и разрабатывается в зависимости от степени тяжести состояния пациента. Нередко единственно возможным способом облегчения состояния и спасения жизни пациента является хирургическое вмешательство.
При подготовке к операции проводится консервативное лечение для стабилизации состояния пациента. В рамках поддерживающей терапии назначают:
- Диуретики;
- Гипотензивные препараты;
- Препараты, поддерживающие сердечную мышцу.
Практически всегда пациентам назначается длительное лечение антибиотиками и лекарственные средства из группы пробиотиков для профилактики нарушений микрофлоры кишечника.
Общая схема может быть дополнена другими лекарственными средствами в зависимости от особенностей течения заболевания.
Прогноз и профилактика
При отсутствии сопутствующих заболеваний угрозы для здоровья и жизни пациента нет. Наличие осложнений со стороны других внутренних органов повышает риск развития сердечной недостаточности, острых инфекционных заболеваний, мужского бесплодия, мальторации кишечника.
В тяжелых случаях, сопровождающихся множественными врожденными патологиями, смертность пациентов в течение первого года жизни может превышать 90% (синдром Патау).
Действенных мер профилактики декстрокардии нет. В силу вероятно наследственного характера аномалии, супружеским парам у которых есть доказанные случаи декстрокардии среди родственников следует особенно тщательно следить за своим здоровьем в период планирования беременности. К общим рекомендациям относится соблюдение принципов здорового образа жизни.
Декстрокардия
Декстрокардия — это аномалия внутриутробного развития, при которой большая часть сердца расположена с правой стороны грудной клетки. Изолированная форма патологии протекает бессимптомно и выявляется во время профосмотров. При сочетании декстрокардии с другими пороками отмечаются цианоз или бледность кожи, слабость, судороги. Диагностика включает физикальный осмотр, ЭКГ, эхокардиографию, рентгенографию грудной клетки. При необходимости проводят инвазивные исследования — ангиокардиографию, катетеризацию сердца. Лечение неосложненной декстрокардии не требуется. При наличии угрожающих жизни аномалий назначают их оперативную коррекцию с последующей реабилитацией больных.

Термин «декстрокардия» образован из двух слов: латинского «dexter» (правый) и греческого «kardia» (сердце). Относится к редким аномалиям: частота встречаемости в разных регионах колеблется от 1:8000 до 1:25000 новорожденных.
В России распространенность декстрокардии составляет 3,3% от всех аномалий положения органа.
Декстрокардию следует отличать от декстрапозиции сердца — приобретенного патологического состояния, которое возникает при смещении органа (вследствие левостороннего гидроторакса, опухоли, правостороннего ателектаза).

Декстрокардия
Развитие заболевания связывают с генетическим дефектом, проявляющимся на этапе внутриутробного формирования органов плода. У страдающих декстрокардией выявлены специфические мутации генов HAND, ZIC3Shh, ACVR2, Pitxz. Наибольшее признание получила теория аутосомно-рецессивного наследования порока: аномальное положение сердца носит семейный характер, повторяется через 1-2 поколения.
Помимо семейной предрасположенности, в процессе мутаций генетического материала доказано участие тератогенных факторов. Экзогенные тератогены подразделяются на 3 основных группы по характеру воздействия:
- физические (ионизирующее излучение);
- химические (алкоголь, лекарственные препараты);
- биологические (бактериальные и вирусные инфекции).
Эндогенные причины включают гинекологические и экстрагенитальные заболевания беременной, тяжелые токсикозы.
В основе декстрокардии лежит нарушение процессов эмбриогенеза на ранних стадиях внутриутробного развития. В норме на 1-2 месяце беременности формирующаяся сердечная трубка начинает изгибаться влево.
При наличии типичных для декстрокардии мутаций происходит аномальное искривление этой трубки в правую сторону.
При этом нарушается дальнейшее формирование эмбриона, может изменяться позиция других висцеральных органов, чаще всего печени и селезенки.
С учетом особенностей закладки органа в эмбриональном периоде выделяют 3 варианта аномалии:
- правосформированное праворасположенное сердце (изолированная декстрокардия);
- левосформированное праворасположенное («зеркальная» форма);
- неопределенно сформированное праворасположенное.
Врачи-кардиологи при изучении вопроса аномалии положения сердца используют классификацию, которая учитывает локализацию других органов. Варианты декстрокардии:
- Простая инверсия сердца. Форма аномалии, при которой наблюдается зеркальное расположение сердца, однако анатомия других органов грудной и брюшной полостей не изменена. Встречается крайне редко.
- Частичная инверсия внутренних органов. При таком варианте декстрокардии аномально расположены сердце и ряд внутренних органов. Чаще вправо перемещены селезенка, печень.
- Тотальня инверсия внутренних органов. Декстрокардия, которая сопровождается обратным расположением всех органов грудной клетки и живота. Редкая аномалия, которая выявляется с частотой 1 случай на 15-20 тысяч населения.
Изолированная форма, которая не сочетается с другими сердечными аномалиями, не имеет клинических проявлений. Специфические жалобы обычно отсутствуют.
Состояние обнаруживается в детском или взрослом возрасте при проведении профилактических осмотров, обращении за врачебной помощью по другой причине.
Люди с декстрокардией чаще других страдают болезнями нижних дыхательных путей: трахеитами, бронхитами.
Клинические симптомы возникают при наличии других аномалий висцеральных органов или возникновении на фоне декстрокардии кардиальной патологии.
Пациенты ощущают постоянную слабость и повышенную утомляемость, не проходящую после сна. Их периодически беспокоят приступы учащенного сердцебиения, головокружения.
Кожные покровы становятся бледными, иногда возникает синеватый оттенок кожи вокруг рта, на пальцах рук.
Сочетание декстрокардии и врожденных сердечных пороков проявляется яркой клинической картиной уже в раннем детском возрасте. Для «белых» пороков характерна постоянная бледность кожи, при «синих» формах наблюдаются акроцианоз или тотальный цианоз. Появляются одышечно-цианотические приступы: ребенок становится беспокойным, кожа холодная, дыхание хриплое и прерывистое.
Неосложненная сердечными пороками декстрокардия не представляет серьезной опасности для жизни и здоровья.
При присоединении синдрома Картагенера развивается прогрессирующая дыхательная недостаточность, формируются обширные гнойно-воспалительные очаги в легочной паренхиме.
Сложности возникают при оказании неотложной реанимационной или хирургической помощи больным, поскольку зеркальная анатомия затрудняет постановку диагноза.
Если декстрокардия комбинируется с аномалиями формирования сердечных структур или магистральных сосудов, возможны серьезные осложнения.
Гемодинамические нарушения при «синих» пороках быстро прогрессируют в течение первых месяцев жизни ребенка. Хроническая гипоксия чревата необратимым повреждением мозга, снижением интеллекта, инвалидностью.
При отсутствии квалифицированной кардиохирургической помощи высок риск летального исхода.
Опытный терапевт-кардиолог может заподозрить декстрокардию уже на первичном приеме при физикальном исследовании. В ходе пальпации предсердечной области верхушечный толчок обнаруживается справа от грудины.
Перкуторно врач отмечает смещение границ сердечной тупости вправо, при аускультации выслушиваются изменения сердечных тонов.
При подозрении на декстрокардию назначают полное обследование, в которое включены следующие методы:
- ЭКГ. Электрокардиография является наиболее простым и информативным исследованием для подтверждения декстрокардии. На кардиограмме отмечаются отклонение электрической оси сердца вправо, отрицательные зубцы Р и Т, высокоамплитудные зубцы R в правых грудных отведениях.
- Рентгенография ОГК. На рентгенограмме визуализируется смещение сердечной тени вправо, при комбинированных аномалиях изменяются контуры магистральных сосудов. Чтобы подтвердить транспозицию проводится рентгенография органов брюшной полости.
- УЗИ сердца и сосудов. Эхокардиография выполняется для оценки функциональной способности аномально расположенного сердца. На ЭхоКГ видна структура сердечной стенки, скорость кровотока, фракция выброса.
- Дополнительные исследования. В качестве подготовки к хирургической коррекции пороков развития показаны ангиокардиография или катетеризация сердечных полостей. Для выявления сопутствующих патологий зеркально расположенных внутренних органов рекомендуют КТ брюшной полости.

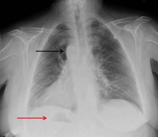
Рентгенография ОГП. Декстрокардия: дуга аорты (черная стрелка), правый желудочек (красная стрелка).
Аномальное расположение сердца без дополнительных заболеваний не сопровождается расстройствами гемодинамики и не требует лечения.
При развитии сердечно-сосудистых заболеваний терапию проводят так же, как и для больных с отсутствием декстрокардии.
При сочетании аномалии с синдромом Картагенера назначается симптоматическая терапия, предполагающая прием ингаляционных и топических назальных кортикостероидов, бета-адреномиметиков.
Хирургическое лечение
Оперативное вмешательство показано при сочетанных пороках развития сердца, транспозиции магистральных сосудов. Срок выполнения операции устанавливают с учетом вида порока и тяжести нарушений гемодинамики.
Если угрожающие жизни состояния отсутствуют, хирургическую коррекцию откладывают до 3-6-летнего возраста ребенка.
Когда декстрокардия сочетается с тяжелыми пороками (например, тетрадой Фалло), вмешательство проводят в максимально ранние сроки.
Реабилитация
В современной кардиологии применяют трехэтапную реабилитационную программу для пациентов, которые перенесли операцию по коррекции аномалий сердечно-сосудистой системы.
Медицинский этап занимает первые дни-недели после хирургического вмешательства. Затем приступают к физической и психофизиологической реабилитации, которая включает массаж, ЛФК, физиотерапию.
Заключительный этап — социально-трудовая реабилитация взрослых больных.
Изолированные формы декстрокардии не влияют на качество жизни, не повышают риск развития других заболеваний. Прогноз благоприятный.
Комбинированные пороки протекают более тяжело, но при проведении своевременного и комплексного лечения удается добиться полной медицинской и социальной реабилитации пациентов.
Профилактические мероприятия направлены на устранение тератогенных факторов, медико-генетическое консультирование беременных.
Декстрокардия: причины и симптомы, насколько опасна и нужно ли лечение
Пороки сердца представлены крупной группой отклонений. Многие не заметны в течение длительного периода. Симптоматика отсутствует. Пациент живет полноценно, не представляет о наличии проблемы.
Далее возможны три сценария: резкая актуализация патологии и становление клинической картины, внезапная смерть, дальнейшее бессимптомное течение.
Один из вариантов аномалии представлен смещением мышечного органа относительно нормального анатомического положения.
Декстрокардия — это зеркальное расположение сердца. Закладывается еще не второй неделе внутриутробного развития, в результате эктопии (смещения) кардиальной трубки вправо.

Опасность представляет не само отклонение, а сопутствующие осложнения. Согласно статистике, лица с декстрокардией страдают другими пороками в 30% случаев.
Обнаруживаются они практически сразу после рождения, поскольку не увидеть смещение органа невозможно.
В отсутствии осложненного течения лечить патологию не требуется. Показано регулярное амбулаторное наблюдение, прохождение стандартных скрининговых мероприятий в рамках профилактических осмотров.
Механизм развития
До сих пор не решен вопрос, считать ли декстрокардию заболеванием. Все больше врачи склоняются к мнению, что неосложненный процесс патологическим не считается. Как формируется нарушение анатомического положения?
Условно выделяют два вида указанного состояния. Истинный, когда аномалия оказывается результатом влияния перинатальных факторов и ложный, она может быть приобретенной и всегда патологическая.
В первом случае основная роль отводится генетическому моменту, случайным погрешностям. Сердце закладывается на второй неделе гестации, представляет собой зачатки полноценного органа.
- При влиянии того или иного фактора, трубка смещается вправо и начинает развиваться уже с противоположной стороны.
- Формирование других органов происходит в соответствии с новой «конфигурацией».
- Варианта три:
- Изолированная декстрокардия — измененное расположение сердца и нормальное расположение остальных внутренних органов.
- Частично сочетанная — обратное расположение сердца и легких (левое легкое имеет три доли, а правое две).
- Полная — зеркальное расположение сердца и такая же транспозиция внутренних органов.

Если виной всему генетический дефект, развиваются и прочие пороки. В том числе не имеющие отношения к сердечным структурам.
Ложная форма — результат грубых нарушений. Их влияние происходит уже во втором-третьем триместре.
Известны случаи смещения органа в старшем возрасте. Классический вариант — опухоль легких, обычно злокачественная.
По мере роста она провоцирует смещение мышечной сердца в другую сторону, оттесняет его, вызывает компрессию тканей.
В такой ситуации врачи говорят о декстропозиции или ложном пороке. Речь о заболевании, а не об особенности развития.

Крупные неоплазии способны вызвать существенное смещение. Потому при аускультации (выслушивании тонов) сердце будет обнаружено с другой стороны.
Тот же эффект производит перенесенное воспалительное заболевание (редко), патологии легких, скопление жидкости в грудной клетке.
Возможные осложнения и опасности
В расчет нужно брать случаи неблагоприятно текущей декстрокардии. Вероятные последствия:
Смерть
Маловероятна, если грубых отклонений в работе сердечнососудистой или дыхательной систем не определено. Основные причины летального исхода — острая дисфункции органа и асфиксия (удушье).
Прогноз не даст ни один врач. Это может произойти в любой момент.
Дети с осложненным течением декстрокардии живут от года до 12-18 лет, исключительно редко дольше. Даже грамотное лечение не дает гарантии увеличения среднего показателя.
Частые пневмонии
Дети с рассматриваемой аномалией почти поголовно имеют в анамнезе синдром Картагенера. Это нарушение функциональной активности особого ресничного (мерцательного) эпителия, расположенного в дыхательных путях.
При проникновении чужеродных частиц, агентов ткани приходят в раздражении, стремясь вытолкнуть посторонние объекты. Начинается кашель.
У детей с дектрокардией и синдромом Картагенера рефлекс сильно ослаблен. Потому бактерии с пылью, частичками слюны оседают в легких, провоцируют постоянные воспалительные процессы, которые могут стать летальными.
Репродуктивная дисфункция
Представляет собой результат нарушения кровообращения в органах малого таза. Это следствие недостаточной сократительной способности миокарда.
Наполняемость пещеристых тел кровью слабая, потому качественной эрекции не наступает. Кроме того, ишемией страдают и яички. Сперматогенез становится невозможным, отсюда бесплодие.
Коррекция работы сердца приводит к улучшению репродуктивной функции, но полного восстановления у тяжелых пациентов добиться не удается.
Нарушения работы кишечника
Также связаны с недостаточной трофикой (кровоснабжением). На сей раз страдает пищеварительный тракт.
Субъективно процесс проявляется болями в животе неясного происхождения и локализации, метеоризмом, запорами, поносами. Периоды чередуются.
Септический шок
Развивается в результате генерализованного воспаления. Итог длительного течения инфекционного процесса, чаще все той же пневмонии.
Ослабевает иммунитет, сопротивляемость агрессивным факторам внешней среды падает.
Нарушение психического, умственного развития
Дети с декстрокардией в ментальном отношении созревают позже сверстников. Грубых дефектов не наблюдается, возможна полная компенсация с возрастом. Но это не аксиома.
Отставание в физическом развитии
Поскольку кровообращение всех тканей нарушено, отмечается гипоксия (кислородное голодание). Медленнее растут кости, происходит запоздалое увеличение мышечной массы. Пубертат по достижении 10-11 лет не начинается, половое развитие скудное.
В остальных 70% случаев (возможно меньше, данные различаются, единой статистики не представлено) правостороннее расположение сердца не сопровождается выраженными отклонениями в функциональной активности прочих органов, систем. Все остается в норме.
Причины зеркального расположения сердца
Точные составляющие развития дектрокардии не известны. Предполагается, что основное значение имеет генетический фактор.
Наследственность как неблагоприятный момент требует постоянного скрининга в процессе беременности. При наличии в роду хотя бы одного человека с указанной патологией (говоря условно), риск составляет 10-15%.
Регулярное наблюдение в процессе вынашивания плода позволят обнаружить аномалию. После рождения за ребенком тщательно смотрят. При осложненном течении симптомы появляются практически сразу или на второй день.
В неонатологии известны случаи гибели маленьких пациентов через несколько часов после появления на свет.
Другой весомый фактор — негативное влияние на организм матери в период беременности. Какие моменты требуют особого контроля:
Курение
Потребление табачной продукции должно быть исключено хотя бы за 2-3 месяца до зачатия. Тем более нельзя проявлять слабостей в момент вынашивания плода.
В первый триместр ткани и клетки эмбриона наиболее чувствительны к недостаточному питанию. Смолы, никотин, кадмиевые соединения вызывают интоксикацию, отравление и падение трофики зачатков органов.
Декстралгия — возможный вариант, один из многих. Повезет или нет — зависит от способности тела матери очищать кровь от вредных веществ.
Потребление спиртного
Сказывается идентичным образом. Этанол провоцирует падение скорости кровотока. Снижение поступления кислорода к эмбриону. От алкоголя отказываются полностью. Ничего полезного в таких напитках нет, это миф и рекламный ход.
Экология
Речь идет о примесях в воздухе и качестве воды в месте проживания. Огромную роль играет избыток солей кальция, магния, так же йода в жидкости и продуктах питания.
Климатические условия имеют меньшее значение. Статистика показывает, что встречаемость декстрокардии примерно одинакова в жарких и холодных регионах. Географической или расовой, национальной обусловленности нет.
Радиационный фон
Чем выше уровень ионизирующего излучения, тем существеннее риски. Проблема кроется в образовании свободных радикалов, окислении клеточных стенок и становлении спонтанных мутаций.
Дети в регионах с высоким уровнем радиации чаще рождаются с пороками сердца и сосудов, отклонениями в развитии. Декстрокардия также возможна.
Герпетическая инфекция
Штамм не имеет большого значения. 1 — простой, 2 — генитальный. Они провоцируют патологические процессы сравнительно редко.
Вирус Эпштейна-Барр или пятого типа куда опаснее, как и Варицелла-Зостер (вызывает ветряную оспу). Вирусные агенты обладают высокой мутагенной активностью. Потому лечение всех подобных состояний начинается задолго до беременности. Еще на этапе планирования гестации.
Внимание:
Не лишним будет сдать анализ на кариотип и проконсультироваться у генетика для исключения несовместимости партнеров-будущих родителей.
Поражение пиогенной флорой
В основном золотистым стафилококком. Он резистентен (устойчив) к антибиотикам и препаратам вообще. Продукты его жизнедеятельности обладают мутагенным потенциалом и вырабатываются постоянно.
Полного излечения не наступает, но есть хорошие шансы перевести агента в латентное, подавленное состояние.
Курация проводится до беременности, за несколько месяцев. В период гестации прием препаратов противопоказан, не считая крайних случаев.
Неправильное питание
Обилие в рационе жареной, копченой пищи недопустимо. Блюда подобного способа приготовления имеют в составе канцерогенные вещества. В основном это продукты термической обработки растительных жиров.
Не спасет даже приготовление собственными руками. Не говоря о сомнительного качества покупных изделиях.
Соль потребляют в количестве до 7 г, больше — провоцирует избыток жидкости в организме, повышение объема крови, нарушение работы сердца и почек. Следовательно, ишемию эмбриона, а в будущем плода.
Рацион должен быть сбалансированным. Белок, минимум жиров и быстроусвояемых углеводов. Обсудить особенности меню лучше с профильным специалистом.
Бесконтрольный прием медикаментов
Антибиотиков, гормональных средств (синтетических заместителей Прогестерона, того же Дюфастона который врачи в России и странах бывшего Союза назначают без оглядки на показания и состояния беременной).
Не менее опасны противовирусные и фунгициды. Тем более противогельминтные медикаменты. Психотропы (нейролептики, транквилизаторы, антидепрессанты).
При наличии оснований для приема показана консультация с лечащим специалистом. В ряде случаев требуется пересмотр терапии для обеспечения безопасного течения беременности.
Возможно и случайное совпадение. Однако ничего просто так не происходит. Речь идет о сложном сочетании факторов, которое невозможно выявить.
Декстропозиция сердца истинной формой аномалии не считается. Она крайне редко бывает врожденной. Факторы становления — опухоли, нарушения развития легких, скопление жидкости в грудной клетке.
Симптомы
Вне осложненного течения проявлений нет вообще. В случае подключения сторонних пороков возникают признаки сердечной недостаточности. Они развиваются по-нарастающей, не в один момент.
Примерный перечень:
- Бледность кожных покровов. Дермальные слои становятся сизыми, сквозь просвечивают сосуды. Ребенок похож на восковую фигуру.
- Цианоз носогубного треугольника. Посинение области вокруг рта, губ.
- Капризность. Ребенок становится беспокойным, отказывается от еды. Возможно частое срыгивание фонтаном. Вероятен обратный момент. Вялость, длительный период сна, короткий — бодрствования.
Ребенок не способен рассказать о собственном состоянии. Потому основная роль отводится объективным диагностическим мероприятиям.
Взрослые пациенты, дети старших лет жалуются на ухудшение самочувствия:
- Боли в грудной клетке. Жгучие, давящие. Средней интенсивности. Проявляют себя эпизодически, непостоянно.
- Одышка. На фоне минимальной физической активности. А затем и вовсе в покое.
- Снижение переносимости механических нагрузок. Так называемой толерантности.
- Асцит, скопление жидкости в брюшной полости.
- Боли в правом подреберье. Страдает печень.
- Пожелтение кожных покровов. В результате выброса билирубина в кровь. Это тревожный признак.
По мере прогрессирования возможны церебральные симптомы. Головная боль средней интенсивности. Вертиго, пациент не может сориентироваться в пространстве. Это временное явление. Оно указывает на ишемию мозжечка. В дальнейшем регулярные обмороки.
Внимание:
При вовлечении в патологический процесс мозга, прогнозы резко ухудшаются. Дальнейшее течение и исход зависят от проводимой терапии.
Диагностика
Выявление нарушения показано сразу после рождения. При аускультации обнаруживается аномалия, сердце справа. В отсутствии осложнений 1 и 2 тона четкие.
Чтобы подтвердить или опровергнуть патологическое проводится объективное инструментальное исследование.
- При наличии возможности пожаловаться на состояние — оцениваются симптомы. Вне — смотрят на объективные признаки, вроде цианоза, бледности кожных покровов.
- Измерение показателей давления, частоты сердечных сокращений. Отклонение трактуются в пользу наличия патологии.
- Электрокардиография. ЭКГ при декстрокардии в норме. В некоторых случаях возникают признаки аритмии по типу мерцания желудочков или интенсификации работы синусового узла.
- Эхокардиография (ЭХОКГ). Показывает органические дефекты со стороны тканей. Визуализация позволяет выявить все нарушения.
- МРТ в спорных случаях. Обычно назначается томография грудной клетке взрослым пациентам. Чтобы обнаружить декстропозицию органа, опухоли анатомической области.
В дальнейшем показано проведение регулярных обследований. Раз в 3-6 месяцев. В отсутствии выраженных нарушений частота профилактических осмотров снижается. Констатируют вариант физиологической нормы.
Также учитывается скорость, адекватность физического, психического развития ребенка. Дыхательная деятельность и работа пищеварительного тракта могут нарушаться позже.
Максимальная вероятность тяжелых осложнений отмечается до 2-х лет жизни.
Лечение
Как таковое не требуется. При декстропозиции показано проведение оперативной терапии основного заболевания: тотальное иссечение опухоли, дренирование грудной клетки, удаление жидкости, восстановлении анатомической целостности легких.
Собственно врожденное зеркальное расположение мышечного органа без симптомов коррекции не предполагает.
Сердечная недостаточность лечится препаратами на основе гликозидов, антиаритмических. Нужна высокая квалификация специалиста. Потому как многие медикаменты противопоказаны детям младшего возраста.
В обязательном порядке корректируют нарушения дыхания, работы печени и пищеварительного тракта вообще. Используются кардиопротекторы для восстановления обменных процессов в миокарде, гепатопротекторы.
В подавляющем числе случаев специальное лечение не нужно. Показаны регулярные осмотры на предмет динамики.
Прогноз
В 70% ситуаций, даже свыше — благоприятен. Многие пациенты живут до глубокой старости без каких-либо ограничений. Это полностью здоровые люди с незначительным отклонением анатомического плана.
В оставшихся ситуациях при грамотном лечении летальность составляет 10-15% от общего количества людей.
Основные моменты, ухудшающие прогноз: отягощенная семейная история, наличие церебральной симптоматики, аритмии по типу фибрилляции, групповой экстрасистолии.
В заключение
Декстрокардия — врожденная аномалия, заключается в зеркальном расположении сердца. В основном числе случаев не представляет опасности, не провоцирует осложнений.
При наличии симптоматики показано специфическое комплексное лечение. Прогноз благоприятен. Точную информацию может дать ведущий специалист.
Сердце с правой стороны: опасно ли такое расположение?
Когда сердце находится с правой стороны, врачи говорят о развитии декстрокардии. Данное нарушение является врожденным и часто сопровождается другими патологиями данного органа. Как распознать болезнь, и несет ли она опасность для жизни и здоровья человека?
Что это такое?
Декстрокардия — неверное расположение органов, возникшее еще при внутриутробном развитии плода. Многие путают данную патологию с декстропозицией сердца, при которой также происходит его смещение, но причиной этому является болезнь соседнего органа. Например, сердце может сместиться из-за крупного новообразования в желудке.
Причины аномального положения
Возникновение декстрокардии у плода чаще всего бывает обусловлено генетическими мутациями у родителей. Это приводит к тому, что внутриутробное развитие нарушается. Почему возникают генетические отклонения, ученые выяснить еще не смогли. Но то, что аномальное расположение связано со сбоем в процессе формирования органов эмбриона, — это факт.
Разновидности нарушения
Декстрокардия сердца разделяется на 3 типа:
- Простая. Возникает довольно редко, заключается в смещении в правую сторону только сердца и его сосудов.
- Зеркальная. Характеризуется неправильным расположением части органов пищеварения и дыхания.
- Полная транспозиция. При ней все органы грудной клетки располагаются неверно.
Также есть такая разновидность декстрокардии, как декстроверсия. Она характеризуется тем, что верхушка сердца повернута в правую сторону. При этом анатомическое строение органа не страдает.

Опасность неправильного расположения
Сама по себе декстрокардия не представляет угрозы для пациента. Люди так же живут с правым сердцем, их здоровье ничем не хуже, чем у людей с обычным расположением органа. Только несвоевременное выявление данного нарушения способно привести к ошибке доктора при оперативном вмешательстве в экстренных случаях, когда предварительно не выполняется обследование больного.
Опасность для человека возникает тогда, когда декстрокардия сопровождается другими заболеваниями сердца. Наличие дополнительных врожденных пороков может привести к крайне неблагоприятным последствиям.
Кардиологи выделяют несколько пороков сердца, которые могут возникать вместе с декстрокардией. К ним относятся следующие заболевания:
- Дефект эндокарда.
- Стеноз артерии легкого.
- Отверстие в межжелудочковой перегородке.
Также самой распространенной патологией, сопровождающей декстрокардию, является синдром Картагенера-Зиверта. При нем всегда наблюдается неправильное расположение органов, нарушение строения дыхательных путей. Больные мужского пола с таким синдромом часто страдают бесплодием.
В некоторых случаях наблюдается развитие неправильного расположения сердца вместе с заболеваниями органов брюшной полости. Нередко у пациентов встречается такая сопутствующая болезнь, как гетеротаксический синдром. В этом случае у пациентов нет селезенки или она является недоразвитой.
Симптоматика
Если сердце с правой стороны является единственным нарушением, не сопровождающимся никакими пороками этого органа, то клинических проявлений не наблюдается. Человек так же, как и все, живет обычной жизнью и даже не подозревает, что обладает неверным расположением сердца.
Чаще всего декстрокардия сопровождается другими сердечными пороками. Одни выявляются сразу после рождения, другие — по истечении некоторого времени. Каждая патология сердца имеет свои симптомы, но заподозрить нарушение работы сердца можно по следующим признакам:
- Желтоватый или синюшный цвет кожных покровов.
- Трудности с дыханием.
- Бледность кожи.
- Болезненность в грудине.
- Сбой ритмичности сердца.
- Слабость, быстрая утомляемость.
- Отставание в физическом развитии.
При появлении таких признаков необходимо обязательно обратиться к врачу и пройти обследование сердца.

Диагностика положения сердца
Благодаря современным методам диагностики выявить аномальное расположение сердца у малыша удается еще при беременности. Когда ребенок появляется на свет, проводят более тщательное обследование, чтобы проверить, нет ли сопутствующих декстрокардии пороков.
Обнаружить патологии можно с помощью таких методов:
- Электрокардиограмма. С помощью ЭКГ при декстрокардии можно выявить нарушения в работе сердца, оценить его ритмичность.
- Эхокардиография. При УЗИ удается детально рассмотреть структуру органа, проверить кровообращение в нем.
- Ультразвуковое исследование брюшной полости. Оно необходимо для оценки расположения органов.
- Магнитно-резонансная томография. Ее применяют как дополнительную диагностику, если есть подозрение на развитие сопутствующих пороков.
Даже при обычном прослушивании сердца стетоскопом врач может заметить, что сердцебиение происходит с правой стороны.
Лечебные методы
Лечение зависит от того, сопровождается ли декстрокардия другими сердечными патологиями. Если нет, то терапия не требуется. Пациент может вести полноценную активную жизнь. Только при решении заниматься спортом рекомендуется пройти ЭКГ.
Если же неверное расположение сердца возникло наряду с другими заболеваниями, тактика лечения будет зависеть от конкретного диагноза. Обычно сердечные пороки устраняются с помощью оперативного вмешательства, в процессе которого убирают имеющиеся дефекты.
Перед проведением операции пациента обязательно подготавливают, назначая прием медикаментов. Для поддержания состояния больного применяют диуретики, средства против гипотензии, препараты, поддерживающие миокард.
Отдельное внимание уделяется антибактериальному лечению. Его проводят как до оперативного вмешательства, так и в период реабилитации организма после него. Но принимать антибиотики в течение долгого времени не рекомендуется, так как они негативно отражаются на состоянии органов.
Любые медикаменты назначаются исключительно лечащим доктором с учетом результатов исследования пациента. Конкретный перечень лекарств зависит от типа болезни и тяжести ее течения.

Прогноз и способы предупреждения болезни
Если сопутствующие нарушения при неверном расположении сердца отсутствуют, то прогноз положительный. Никакой угрозы для здоровья и жизни человека нет. Если же выявлены осложнения, исход может быть неблагоприятным. Точный прогноз зависит от конкретного сердечного порока, тяжести его развития, возраста и общего состояния больного.
Декстрокардия — генетическая патология, поэтому обезопасить себя от нее практически невозможно. Но для того, чтобы у новорожденного не образовались сопутствующие пороки сердца, беременной женщине стоит особо внимательно относиться к своему организму.
В период вынашивания ребенка требуется соблюдать все правила здорового образа жизни, а именно:
- Воздержаться от курения и употребления алкоголя.
- Избегать стрессов и депрессивных состояний.
- Не допускать воздействия вредных веществ и облучения на организм.
- Не принимать медикаменты без разрешения врача.
Будущей маме следует регулярно посещать гинеколога и не пропускать плановые обследования, позволяющие проверить течение беременности и полноценность внутриутробного развития плода.
Таким образом, декстрокардия — патология, не представляющая опасности для жизни и здоровья человека, если не сопровождается другими пороками сердца. Но при наличии осложнений следует немедленно приступать к проведению терапии.
Когда сердце справа: как жить людям с зеркальным органом?
Аномальное расположение сердца в правой половине грудной клетки названо декстрокардией. Это заболевание относится к врожденным патологиям развития и часто сочетается с другими отклонениями строения внутренних органов.
При отсутствии признаков нарушения сердечной деятельности пациенты с аномальной диспозицией сердца и сосудов не нуждаются в лечении, их продолжительность жизни и состояние здоровья не отличаются от других людей. При одновременном наличии пороков клапанов показано оперативное лечение.
Причины аномального положения
При исследовании набора генов у пациентов с правосторонней локализацией сердца обнаружены мутации в некоторых участках хромосом, которые возникают в первом триместре беременности.
Они могут передаться по наследству или проявиться первично под влиянием повреждающих факторов.
Сердечная трубка, из которой в дальнейшем образуется сердце, у плода отклоняется в правую сторону, что и приводит к формированию зеркального расположения органа.
Чаще всего одновременно обратное расположение занимают и другие структуры грудной и брюшной полости. В зависимости от сочетания аномалий развития формируются такие варианты:
- обратное расположение аорты и легочной артерии,
- легочной стеноз,
- дефект перегородки между желудочками,
- тетрада Фалло,
- двух или трехкамерное сердце,
- неразвитая или отсутствующая селезенка,
- патология реснитчатого эпителия бронхов,
- бесплодие.
Наиболее тяжелой формой, при которой диагностируют правостороннюю локализацию сердца, считается синдром Патау. У таких детей пороки развития имеются практически во всех органах, поэтому случаи достижения ими школьного возраста встречаются редко.
Рекомендуем прочитать статью о приобретенных пороках сердца. Из нее вы узнаете о классификации пороков миокарда, причинах их возникновения у взрослых и детей, проведении диагностики и лечения.
А здесь подробнее о проведении биопсии сердца.
Виды изменений
Если имеется только смещение сердца, то подобную патологию называют простой или изолированой. Ее частота возникновения крайне низкая. При зеркальной декстрокардии меняют положение органы, расположенные в грудной клетке. Полная транспозиция затрагивает все структуры организма.
От декстрокардии нужно отличать приобретенное заболевание – декстропозицию сердца. Патологические процессы в грудной полости могут привести к перемещению сердца вправо, а именно:
- ателектаз (сжимание стенок) легких,
- накопление жидкости,
- опухоль,
- увеличение печени и селезенки,
- удаление правого легкого.
Переполнение желудка и кишечника пищей и газами может временно сдвинуть сердце в правую сторону. Если после лечения фактор, который вызвал перемещение органа, ликвидирован, то нормальное расположение восстанавливается.
При истинной декстрокардии сердце никогда не может сместиться в левую сторону.
Чем опасно такое расположение
При несвоевременной диагностике декстрокардии могут быть врачебные ошибки при проведении хирургических вмешательств, особенно в случае необходимости экстренной помощи.
При современной доступности медицинских услуг такие ситуации являются редкими.
Изолированная патология не представляет угрозы для пациента и бывает случайной находкой при прохождении диспансерного обследования.
При сочетанных пороках развития аномалия расположения сердца ухудшает внутрисердечный и системный кровоток, оперативное лечение также затруднено. Смещение органов при зеркальной и полной транспозиции нарушает процессы пищеварения и дыхания, такие пациенты имеют повышенную склонность к инфекционным болезням.
Симптомы декстрокардии
О существовании правостороннего расположения сердца пациент может не догадываться, так как нет специфических проявлений. У таких людей могут родиться абсолютно здоровые дети, но все же риск аномалий развития выше, чем у остальных.
Если декстрокардия является частью патологического расположения органов, то ее симптомы можно выявить после рождения ребенка:
- длительная желтуха новорожденных,
- замедленный рост и развитие,
- бледность или цианоз кожи,
- учащенное дыхание и пульс.
Зеркальное расположение сердца (декстрокардия)
Младенцы капризные, быстро утомляются при кормлении, с трудом набирают вес, часто болеют простудными заболеваниями. При осмотре верхушечный толчок сердца обнаруживается с правой стороны от грудины, границы смещены, печень находится под левой реберной дугой, а желудок и селезенка справа.
При прослушивании сердца и легких отмечается необычная локализация тонов и дыхательных шумов.
Смотрите на видео о пороках сердца и их видах:
Диагностика положения сердца
Подтвердить предположение врача об аномальном расположении органов можно при помощи инструментальных методов исследования:
- рентгенография помогает определить степень перемещения сердца и соседних органов;
- ЭКГ имеет зеркальное направление зубцов, вольтаж снижен, комплексы QRS увеличены в отведениях V1–V3 и понижены в V4–V6;
- УЗИ помогает оценить структуру сердца, наличие пороков клапанов и магистральных сосудов, при исследовании брюшной полости можно оценить правильность расположения в ней основных органов;
- КТ и МРТ назначают для детальной диагностики и необходимости операции.
Лечение при аномалии
Выбор метода лечения зависит от наличия недостаточности сердечной деятельности. Бессимптомные случаи не нуждаются в терапии, им рекомендуется поддерживать достаточную физическую активность. Перед тем, как принять решение о возможности занятий профессиональным спортом, нужно пройти полное обследование, в том числе и ЭГК с нагрузочными пробами.
Если декстрокардия обнаружена совместно с другими пороками развития сердца, вызывающими недостаточность кровообращения, то показано оперативное устранение дефекта. Во время предоперационной подготовки назначают кардиотонические и общеукрепляющие препараты, ход хирургического вмешательства и послеоперационный реабилитационный период не имеют существенных отличий.
Прогноз
Пациенты с декстрокардией, которая себя не проявляет, могут не беспокоиться о своем здоровье при соблюдении рекомендаций относительно питания, отказа от вредных привычек и поддержания физической активности. Риск нарушения работы сердца у них такой же, как и остальных людей. В таких случаях патология считается всего лишь анатомическим дефектом.
При множественных отклонениях в строении и формировании органов прогноз будет зависеть от вида порока развития и своевременности его лечения, возможностей для радикальной операции.
Как жить людям с зеркальным органом
Сама по себе декстрокардия не требует ограничений физических нагрузок или профессиональной деятельности. При прохождении любого вида диагностических и лечебных процедур нужно обязательно предупредить врача или медицинский персонал об этой особенности, так как для получения правильного результата нужна особая методика.
Если в семье имелись случаи декстрокардии среди близких родственников, то перед тем, как планировать беременность, женщина должна пройти консультацию у медицинского генетика, так как эта патология повышает риск аномалий развития внутренних органов у ребенка.
Рекомендуем прочитать статью о комбинированном пороке сердца. Из нее вы узнаете о заболевании, причинах его развития и симптомах, методах лечения патологии и прогнозе для больных.
А здесь подробнее о врожденных пороках сердца.
Сердце, находящееся в правой половине грудной клетки, может не приводить к нарушению деятельности сердечно-сосудистой системы, если эта патология изолированная и врожденная.
Причинами такой аномалии является генетический дефект. При отсутствии симптомов декстрокардия не представляет опасности для здоровья.
В случае сочетанных поражений клапанов или крупных сосудов рекомендуется оперативное лечение.