
Структура крови. Лейкоциты выделяются отсутствием цвета
Из-за бесцветной цитоплазмы, непостоянной формы и амебовидного движения лейкоциты называют белыми клетками (или амебами), «плавающими» в лимфе или плазме крови. Скорость лейкоцитов бывает в пределах 40 мкм/мин.
Важно! Взрослый человек по утрам в крови на голодный желудок имеет соотношение лейкоцитов в 1 мм — 6000-8000. Меняется их численность в течение суток в связи с другим функциональным состоянием. Резкое увеличение уровня в крови лейкоцитов — это лейкоцитоз, снижение концентрации — лейкопения.
Главные функции лейкоцитов
Селезенка, лимфоузлы, красный мозг в костях — это органы, где образуются лейкоциты. Химические элементы раздражают и заставляют лейкоциты покидать кровяное русло, проникать сквозь эндотелий капилляров, чтобы быстрее добраться до источника раздражения.
Это могут быть остатки жизнедеятельности микробов, распадающихся клеток, все, что можно назвать инородными телами или комплексами антигенов-антител. Белые клетки применяют положительный хемотаксис по отношению к раздражителям, т.е.
они обладают двигательной реакцией.

Характеристика лейкоцитов
Основной функциональной работой, за что отвечают лейкоциты, является транспортировка кислорода ко всем тканям на клеточном уровне и вывод из них углекислого газа, а также защита организма: специфическая и неспецифическая от внешних и внутренних патологических воздействий и процессов, от бактерий, вирусов и паразитов. При этом:
- формируется иммунитет: специфический и неспецифический;
- неспецифический иммунитет формируется при участии образующихся антитоксических веществ и интерферона;
- начинается выработка специфических антител.
Рекомендуем обратить внимание также на статью: «Газовый анализ крови»
Лейкоциты с помощью собственной цитоплазмы окружают и специальными ферментами переваривают инородное тело, что называется фагоцитозом.
Важно! Одним лейкоцитом переваривается 15-20 бактерий. Лейкоциты способны выделять важные защитные вещества, заживляющие раны и с фагоцитарной реакцией, а также антитела с антибактериальными и антитоксическими свойствами.

Кроме защитной функции лейкоцитов, существуют у них и другие важные функциональные обязанности. А именно:
- Транспортные. Амебообразные белые клетки адсорбируют из лизосомы протеазу с пептидазой, диастазой, липазой, дезоксирибронуклеазой и переносят эти ферменты на себе к проблемным местам.
- Синтетические. При недостатке в клетках активных веществ: гепарина, гистамина и прочих, белые клетки синтезируют недостающие для жизни и деятельности всех систем и органов биологические вещества.
- Гемостатические. Лейкоциты помогают крови быстро свернуться лейкоцитарными тромбопластинами, которые они выделяют.
- Санитарные. Белые клетки крови способствуют рассасыванию клеток в тканях, погибших во время травм, за счет тех ферментов, что переносят на себе из лизосом.
Прочитайте также статью «Значение параметров газового состава крови для организма» на нашем портале.

Гемостатическая и санитарная функция лейкоцитов
Сколько длится жизнь
Живут лейкоциты — 2-4 дня, и процессы их разрушения происходят в селезенке. Короткая продолжительность жизни лейкоцитов объясняется попаданием внутрь организма множества тел, принятых иммунитетом за чужеродные.
Фагоцитами они быстро поглощаются. Поэтому увеличиваются их размеры.
Это приводит к разрушению и освобождению вещества, вызывающего местное воспаление в сопровождении отека, повышенной температуры и гиперемии в пораженном участке.

Реакция воспаления
Эти вещества, что вызвали воспалительную реакцию, начинают привлекать к эпицентру действующие свежие лейкоциты. Они продолжают уничтожать вещества и поврежденные клетки, растут и также гибнут. Место, где скопились погибшие белые клетки, начинает гноиться. Тогда подключаются лизосомные ферменты, и включается лейкоцитарная санитарная функция.
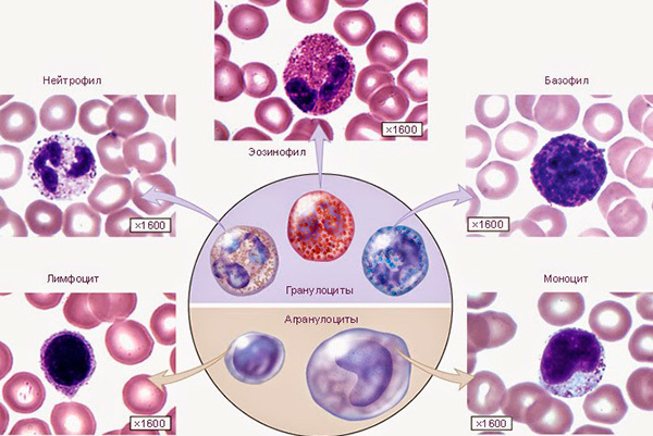
Строение лейкоцитов

Гранулоцитами называют белые клетки с зернистой протоплазмой, агранулоцитами — клетки без зернистости. Гранулоциты объединяют такие виды клеток, как базофилы, нейтрофилы и эозинофилы. Агранулоциты — объединяют лимфоциты и моноциты.
Клетки гранулоцитов

Базофилы
Меньше всего среди лейкоцитов — округлой формы базофилов (1%) с палочковидными или сегментовидными ядрами и гранулами темно-фиолетовых цветов в цитоплазме.
Гранулы или так называемую базофильную зернистость составляют регуляторные молекулы, белки и ферменты. Синтезирует базофилы мозг в костях, используя клетки базофильного миелобласта.
Полностью созревшие клетки попадают в кровь и продолжают жить около 2-х дней, далее оседают в клетках тканей и выводятся организма.
Важно! Базофилы гасят воспаления, снижают свертываемость крови и облегчают анафилактический шок.
Нейтрофилы
В крови на эти клетки приходится 70% от всех белых телец. В округлых нейтрофилах с фиолетово-коричневыми гранулами ядро цитоплазмы бывает в форме палочки или состоит из сегментов (3-5), что соединены утонченными тяжами. Миелобласт нейтрофильный костного мозга является источником нейтрофилов. Разрушение зрелой клетки после 2-х-недельной жизни происходит в селезенке или печени.
Цитоплазма нейтрофила содержит гранулы 250 видов, обладающие веществами и ферментами бактерицидными, регуляторными молекулами. С их помощью нейтрофилы выполняют свои функциональные обязанности по защите организма, используя фагоцитоз — захват бактерий или вирусов и перемещение внутрь себя для уничтожения этих болезнетворных агентов ферментами гранул.
Важно! Одной клеткой нейтрофила обезвреживается до 7 патогенных организмов при обезвреживании воспалительного процесса.
Эозинофилы
Они такие же округлые с сегментарной или палочковидной формой ядра. Клеточная цитоплазма наполнена ярко-оранжевыми крупными гранулами, одинаковых форм и размеров. Гранулы состоят из белков, фосфолипидов и ферментов.
Эозинофильный миелобласт костного мозга — зона формирования клеток эозинофилов. Срок их жизни 8-15 суток, затем они выводятся через ткани во внешнюю среду. Фагоцитоз клетки используют в области кишечника, мочеполового тракта, слизистых оболочек, дыхательных путей. Они могут стать причиной проявления и развития аллергии.
Клетки агранулоцитов

Клетки гранулоцитов и агранулоцитов
Лимфоциты
Лимфобласт в костном мозге продуцирует округлой формы и разных размеров, с крупным круглым ядром лимфоциты. Они относятся к иммунокомпетентным клеткам, поэтому созревают по особому процессу.
Они отвечают за создание иммунитета с разнообразными иммунными реакциями. Если их окончательное созревание произошло в тимусе, тогда клетки называют Т-лимфоцитами, если в лимфоузлах или селезенке — В-лимфоцитами.
Размер первых (их 80%) меньше размера вторых клеток (их 20%).
Продолжительность жизни клеток — 90 дней. Они активно участвуют в реакциях иммунитета и защищают организм, используя одновременно также фагоцитоз. Ко всем болезнетворным вирусам и патологическим бактериям клетки проявляют неспецифическую резистентность — одинаковое воздействие.
В случае когда у ребенка в крови повышены лимфоциты, нужно ознакомиться более подробно с причинами этой патологии и сделать это можно в статье на нашем портале
Важно. В-лимфоциты могут уничтожать бактерии с помощью антител — специфических молекул, что сами и вырабатывают индивидуально для бактерий каждого вида. Резистентность В-лимфоцитов специфическая, направляется только против бактерий, обходя вирусы.
Моноциты
Крупная треугольная клетка с большим ядром не имеет зернистости. В голубой цитоплазме присутствуют множественные вакуоли — пустоты, придающие клетке вид пены. Ядро бывает сегментированным, а также бобовидной, округлой, палочковидной и лопастной формы.
Монобласт костного мозга продуцирует моноциты. Их жизнедеятельность в кровяном русле продолжается 48-96 часов. Затем частично клетки разрушаются, остальные перемещаются в ткани на дозревание, перерождаясь, становятся макрофагами — белыми или фагоцитарными клетками, что долго живут и защищают организм. Макрофаги могут блуждать или оставаться на месте и подавлять деление вирусов.
Примечание. Происходит продуцирование ферментов и молекул моноцитом для развития или торможения воспалений и ускорение процесса заживления царапин, уколов, ранок. Моноцитами ускоряется рост костной ткани и восстанавливаются волокна нервов.
Лейкоциты способствуют транспортировке кислорода и выводу из клеток углекислого газа, проводят специфическую и неспецифическую защиту организма от воздействия вирусов, бактерий и паразитов извне и изнутри, формируют иммунитет.
Рекомендуем изучить похожие материалы:
- 1. Система гемостаза: зачем сдавать анализ на свёртываемость крови
- 2. Как подобрать диету по группе крови: худеем вместе
- 3. Причины повышения или понижения нейтрофилов в анализе крови у детей?
- 4. Нормы содержания нейтрофилов в крови и какие функции они выполняют
- 5. Что значат повышенные эозинофилы в анализе крови у взрослых?
- 6. Правильное питание при повышенном уровне билирубина в крови
- 7. Что делать при повышенном уровне билирубина во время беременности?
Лейкоциты в анализе крови
Общий клинический анализ (ОКА) крови – один из самых распространенных методов первичной диагностики. Такое исследование определяет качественно-количественный состав биожидкости, что позволяет выявить малейшие нарушения микробиологических процессов в организме. Лейкоциты в анализе крови отражают качество работы иммунной системы и степень защищенности организма.
Назначение и параметры ОКА
Общий анализ крови проводят по образцу капиллярной (из пальца) биожидкости, взятой у пациента натощак. Гематологическое исследование назначают:
- по симптоматическим жалобам пациента для первичной диагностики предполагаемого заболевания;
- в рамках плановой диспансеризации, перинатального скрининга, профилактического осмотра и т. д.;
- для контроля проводимой терапии;
- перед госпитализацией и санаторно-курортным лечением;
- при оформлении медицинских документов для устройства на работу, в школу, дошкольное учреждение.
Направление на анализ выписывает врач (любой специализации) либо пациент может сдать кровь по собственной инициативе на платной основе. В бланке анализа исследуемые параметры крови пишутся латинскими буквами. Лейкоцитам соответствует обозначение WBC. Измерительная величина – количество клеток в одном литре крови, умноженное на 10 в 9 степени (10^9/л).
Ключевые параметры исследования
| Показатель | Аббр. | Величина | Показатель | Аббр. | Величина |
| скорость оседания эритроцитов (СОЭ) | ESR | мм/час | лейкоциты | WBC | 10^9/л |
| гемоглобин | НВ | г/л | лейкоцитарная формула (лейкограмма) | ||
| гематокрит | НСТ | % | нейтрофилы (палочкоядерные и сегментоядерные) | NEUT | % |
| эритроциты | RBC | 10^12/л | лимфоциты | LYM | % |
| тромбоциты | PLT | 10^9/л | моноциты | MON | % |
| ретикулоциты | RET | шт. в промилле | эозинофилы | EOS | % |
| базофилы | BAS | % |
ОКА не относится к специфическим исследованиям и не диагностирует конкретную патологию. В отличие от биохимического анализа, отражающего степень функциональности внутренних органов, его результаты указывают на состояние организма в целом.
Видовая классификация белых кровяных клеток
Лейкоциты – это белые (бесцветные) клетки крови, которые являются представителями форменных элементов клеточной части биожидкости, наряду с тромбоцитами и эритроцитами. Лейкоцитарные клетки подразделяются на две большие группы:
- гранулоциты (зернистые) – клетки, включающие моноциты и лимфоциты;
- агранулоциты (незернистые) – нейтрофилы (палочкоядерные и сегментоядерные), эозинофилы и базофилы.
Все бесцветные клетки крови наделены функцией защитного фагоцитоза – захвата и уничтожения (переваривания) патогенных микроорганизмов.
При проникновении в организм вирусов, бактерий, грибковых, простейших и гельминтных паразитов, лейкоциты мобилизуются, стремясь ликвидировать угрозу.
При этом их количество резко увеличивается, что для гематологического анализа является маркером воспалительного процесса, аллергической реакции и иных отклонений от нормы.
Справка! Совокупная оценка всех лейкоцитов в анализе крови называется лейкограммой или лейкоцитарной формулой.
Общие сведения о лейкоцитах
В зависимости от типа лейкоцитарных клеток, они отвечают за охрану организма от тех, или иных патогенов. По их ненормированному количеству в клиническом анализе крови врач может предположить наличие заболеваний.
Гранулоциты:
- Лимфоциты. Отвечают за реакцию иммунной системы на вторжение патогенов, в основном вирусов.
- Моноциты. Захватывают и поглощают бактерии и остатки мертвых клеток, очищая организм для восстановления.
Агранулоциты:
- Базофилы. Обеспечивают иммунный ответ на проникновение в организм аллергенов и паразитов.
- Эозинофилы. Отвечают за ликвидацию простейших, грибковых паразитов и гельминтов. Формируют антипаразитарный иммунитет.
- Нейтрофилы. Самая многочисленная группа лейкоцитов. Разделяются на сегментоядерные – полноценно зрелые клетки с фагоцитарной функцией к бактериям и вирусам. Палочкоядерные – незрелые (молодые) нейтрофилы, помогают сегментоядерным бороться с бактериальными инфекциями.
Повышенный уровень палочкоядерных определяется в анализе, как сдвиг лейкоцитарной формулы влево. Увеличение численности сегментоядерных сдвигает лейкограмму вправо. Подробные параметры гранулоцитов и агранулоцитов обязательно рассматриваются при отклонении от нормы общего количества лейкоцитов.
Нормальные значения лейкограммы
Показатели лейкоцитарных клеток дифференцируют по возрасту. У детей значения лейкоцитов выше, чем у взрослых, что обусловлено становление иммунной системы. Наибольшее количество гранулоцитов и агранулоцитов фиксируется у новорожденного ребенка.
Расшифровка детских показателей нормы лейкоцитов в крови
Нормальные показатели лейкограммы у взрослого человека
Состав крови и, соответственно, количество клеток лейкоцитарных фракций меняется у женщин в период вынашивания ребенка. В начале перинатального срока серьезных отклонений быть не должно.
Допустимая норма составляет 6,8-7,4 (*10^9/л). Во втором и третьем триместре выработка лейкоцитов увеличивается. Это объясняется сменой гормонального статуса и необходимостью защиты от вирусов, бактерий и паразитов двух организмов одновременно.
Нормативные показатели лейкоцитарных клеток для беременных женщин
Для объективной оценки белых кровяных клеток в ОКА важно правильно подготовиться к исследованию. Анализ сдается строго натощак. Накануне необходимо отменить спортивные тренировки, максимально сократить иные физические нагрузки. Повышенный лейкоцитарный уровень носит название лейкоцитоз, пониженный – лейкопения.
Причины отклонений показателей анализа
Количество лейкоцитов может незначительно изменяться под действием алиментарных факторов:
- Психоэмоциональное напряжение или эмоциогенный лейкоцитоз. В стрессовой ситуации иммунная система организма слабеет, и концентрация белых клеток крови падает.
- Интенсивная физическая активность – миогенный лейкоцитоз. После спортивных тренировок и иных физических нагрузок увеличивается количество всех форменных элементов крови.
- Прием пищи перед забором крови – пищевой лейкоцитоз. После еды количество лейкоцитов увеличивается естественным образом, как реакция организма на термообработанную пищу.
- Перегрев и обезвоживание – ангидремический лейкоцитоз. При посещении бани (сауны), длительном пребывании на солнце, работе в горячих цехах лейкоциты стремятся защитить организм от перегрева, поэтому их количество будет повышено.
- Адреналиновые инъекции. Реакцией организма на введение гормона является постадреналиновый лейкоцитоз.
- Никотиновая зависимость. Токсины, входящие в состав табачного дыма, снижают содержание белых клеток в крови.
- Реабилитационный период после хирургических вмешательств и вирусных инфекций. При ослабленной иммунной системе лейкоцитов в крови недостаточно.
- Несбалансированный рацион. Лейкопения развивается на фоне дефицита витаминов В-группы.
У женщин физиологический лейкоцитоз проявляется в предменструальный период. Организм подготавливается к естественной кровопотере и старается предотвратить воспалительные реакции. Во время менопаузы и в постклимактерический период количество белых клеток снижается на фоне изменения уровня гормонов и возрастного ослабления защитных сил организма.
Важно! Лейкоцитоз и лейкопения – это не заболевания, а клинический признак нарушений в организме.
Нефизиологическое повышение всех видов лейкоцитов (абсолютный лейкоцитоз) означает наличие острых или хронических воспалений. Основные причины абсолютного лейкоцитоза:
- дыхательная система: острый тонзиллит, ларингит, ангина, бронхит, пневмония, абсцесс легких и др.;
- пищеварительная система: кишечные инфекции, паразитарные инвазии, пищевые отравления и проч.;
- женская половая система: сальпингоофорит, бартолинит, вульвовагинит;
- инфекции, передающиеся половым путем в острой фазе болезни: уреплазмоз, трихомониаз, хламидиоз, гонорея;
- мочевыделительная система: уретрит, цистит, пиелонефрит, гломерулонефрит, уролитиаз и нефролитиаз, нефротуберкулез, нефроз.
Лейкоциты повышаются при травмах с обильной кровопотерей, переломах костей, гнойных ранах. Хронический абсолютный лейкоцитоз характерен для аутоиммунных патологий.
Патологические причины лейкопении
Если лейкоциты в крови понижены, это может быть клиническим признаком заболеваний вирусной природы, малокровия, эндокринных болезней. Основные причины:
- вирусные эпидемические болезни: ОРВИ, грипп;
- «детские» вирусные заболевания: краснуха, корь, ветрянка;
- цианокобаламино-дефицитная анемия (дефицит цианокобламина – витамина В12);
- отравление тяжелыми металлами;
- ВИЧ, СПИД, вирусные гепатиты А, В, С;
- сахарный диабет 1 типа;
- гипотиреоз (низкий уровень гормонов щитовидной железы);
- цитомегаловирусная инфекция (герпес 4 типа);
- заражение вирусом Эпштейн-Барр, (иначе, герпесовирус 5 типа или инфекционный мононуклеоз).
Хронически низкий уровень бесцветных клеток сопровождает злокачественные опухоли и истощение костного мозга (неспособность синтезировать новые клетки).
Разновидности лейкоцитоза и лейкопении
Увеличение концентрации отдельных видов лейкоцитарных клеток более конкретно указывает на возможное развитие той или иной патологии в организме.
Нейтрофилез и нейтропения
Нейтрофилез (нейтрофилия) – высокий уровень нейтрофильных лейкоцитов сопровождает локальные или генерализованные инфекции, спровоцированные различными видами бактерий:
Повышенное содержание лейкоцитов в крови
- инфицирование палочкой Коха (туберкулез легких, туберкулез почек);
- острое воспаление легких;
- инфекции кожи, ротоглотки, вызванные стрептококками и стрептококками;
- острые бактериальные кишечные инфекции;
- гнойные процессы в мышцах, костях, подкожной клетчатке, эпидермиса;
- аппендицит и перитонит.
Кроме того, высоким нейтрофильным лейкоцитозом характеризуются некротические состояния внутренних органов (инфаркт, панкреонекроз, распад раковой опухоли и др.). Хронически повышенные показатели палочкоядерных свидетельствуют о развитии онкологических патологий внутренних органов, крови, диабетического криза.
Уровень сегментоядерных возрастает при почечной декомпенсации, истощении ресурсов кроветворительных органов, в частности, костного мозга. Нейтропения (снижение уровня нейтрофилов) характерна для следующих патологических состояний:
- интенсивная деструкция нейтрофильных лейкоцитов;
- инфекции: паразитарные (глисты), вирусные, бактериальные, зоонозные (бруцеллез, брюшной тиф);
- клинико-гематологический синдром – агранулоцитоз.
Нейтрофилов недостаточно после курсовой химиотерапии и радиоактивного облучения (лучевая болезнь).
Лимфоцитоз и лимфопения
Лимфоцитоз (лимфоцитофилия) – повышенное содержание лимфоцитов сопровождает травмы мягких тканей и костей, ожоги, инфицирование различными вирусами, состояние после спленэктомии (хирургическое удаление селезенки), дефицит цианокобаламина, лимфолейкоз. Низкие лимфоциты или лимфопения характерна для лимфогранулематоза (болезнь Ходжкина).
Моноцитоз и моноцитопения
Высокая концентрация моноцитов (моноцитоз) фиксируется при инфекционных заболеваниях:
- герпесовирус 5 типа;
- туберкулез почек и легких;
- зоонозные инфекции;
- глистные инвазии;
- сифилис.
Моноцитоз развивается на фоне саркоидоза (легочная патология), онкогематологических заболеваний (рак крови и лимфосистемы). Моноцитопения (низкий уровень) определяется при наличии стафилококковых и стрептококковых инфекций.
Эозинофилия и эозинопения
Эозинофильные лейкоциты реагируют на проникновение аллергенов и паразитов. Эозинофилия (высокий уровень клеток) сопровождает:
- ускоренные аллергические реакции (анафилактический шок, отек Квинке и т.д.);
- глистные инвазии (аскаридоз, энтеробиоз, лямблиоз и др.);
- бронхиальную астму;
- эозинофильный гастрит.
Мало эозинофилов в крови (эозинопения) бывает при острых или хронических гнойных процессах.
Базофилия и базопения
Базофильный лейкоцитоз показывает наличие онкогематологических заболеваний, лучевой болезни, острого течения аутоиммунных патологий. Базопения (снижение базофильных лейкоцитов низкое) диагностической ценности не имеет.
Итоги
Лейкоциты в анализе крови – клинико-гематологический показатель, по которому можно выявить воспалительные процессы различной этиологии (происхождения), предположить наличие онкологических болезней лимфосистемы и крови. Нормальный уровень лейкоцитарных клеток для взрослых соответствует значениям 4-9 (*10^9/л). Детские показатели градируются по возрасту.
Лейкоциты в крови

Лейкоциты в крови – это составные части главной биологической жидкости человеческого организма. Они делятся на несколько подвидов, каждый из которых выполняет свою специфическую функцию. Основной задачей белых кровяных телец является защита внутренних органов и систем от различных инфекций.
Концентрация таких веществ имеет собственную норму, которая отличается в зависимости от возрастной категории и половой принадлежности. Допустимые показатели могут как повышаться, так и понижаться. Такие отклонения возникают на фоне либо патологических, либо физиологических причин.
Если лейкоциты в анализе отличаются от допустимых показателей, то это в любом случае отразится на самочувствии человека. Например, могут появиться: головокружение, головные боли, усталость, разбитость, возрастание температуры и проблемы со сном.
Норма лейкоцитов в крови подсчитывается во время расшифровки общеклинического анализа биологической жидкости. Однако для поиска фактора, спровоцировавшего какое-либо отклонение от нормы, необходимо комплексное обследование.
Тактика нормализации концентрации таких составных частей главной биологической жидкости составляется в индивидуальном порядке для каждого человека, но в целом основывается на том, чтобы избавиться от болезни-провокатора. Лейкоциты в крови всегда должны быть в норме.
Лейкоциты в крови – это группа клеток, которая отвечает за устойчивость человеческого организма к различным болезнетворным бактериям, вирусам, гельминтам, паразитам и иным патологическим микроорганизмам.
Также они борются не только с инфекционными агентами, но и с любым чужеродным объектом:
- злокачественные или доброкачественные новообразования любой локализации;
- пересаженный донорский орган;
- инородный предмет, который может случайно попасть в организм.
Место образования лейкоцитов – стволовые клетки крови, которые локализуются в красном костном мозге. Чтобы полноценно выполнять свою работу, они проходят большое количество преобразований, в ходе которых меняется их строение и функции.
Помимо крови, они также находятся в таких жидкостях, как:
- моча;
- ликвор;
- плевральный выпот;
- каловые массы;
- желудочный сок.
- Однако их концентрация в таких случаях будет значительно ниже, например, для анализа урины допустимыми являются от 4 до 6 лейкоцитов, а в спинномозговой жидкости должно присутствовать не более 8 белых кровяных телец.
- Возрастание или снижение таких составных частей крови в любой из вышеуказанных структур наиболее часто указывает на протекание какого-либо заболевания.
- Помимо основной задачи, функции лейкоцитов включают в себя:
- выделение специфических веществ для борьбы с различными опухолями;
- поглощение и переваривание болезнетворного агента;
- купирование кровоизлияний;
- ускорение заживления ран.
Как было указано выше, белые кровяные клетки имеют несколько подтипов.
Таким образом, существуют следующие виды лейкоцитов:
- нейтрофилы – направлены на уничтожение бактериальной инфекции;
- лимфоциты – отвечают за иммунную систему и иммунную память;
- моноциты – поглощают и переваривают частицы чужеродных клеток;
- эозинофилы – борются с разносчиками аллергенов;
- базофилы – оказывают помощь другим частицам в обнаружении посторонних агентов, однако, все свои «обязанности» они выполняют вне кровеносного русла – во внутренних органах.
Из этого следует, что подвиды лейкоцитов выполняют собственную миссию.
Все типы таких веществ, помимо функций, отличаются по следующим показателям:
- размеры;
- форма ядра;
- путь развития.
Также стоит отметить про особенности строения каждой разновидности белых кровяных клеток. Например, нейтрофилы, эозинофилы, базофилы и моноциты рождаются из миелобластов, предшественником которых является миелопоэз. Происходит это под влиянием клетки-стимулятора в костном мозге.
Продолжительность жизни лейкоцитов составляет в среднем 2-4 суток, а разрушаются они зачастую в печени, селезенке и очагах воспалительных процессов. Исключением являются лишь лимфоциты, часть которых живет в человеческом организме от самого рождения и до смерти.
У нейтрофилов, эозинофилов и базофилов весь жизненный цикл проходит в костном мозге, отчего в крови их незрелые клетки в норме полностью отсутствуют. Моноциты продолжают свое существование в селезенке, печени и костной системе, где перерождаются в макрофаги и дендроциты. У лимфоцитов больший срок «жизни» проходит в селезенке, лимфоузлах и вилочковой железе.
Свое общее название – белые кровяные клетки – лейкоциты получили потому, что в отличие от эритроцитов, они бесцветные.
Из всего вышесказанного следует, что если лейкоциты в крови будут отсутствовать, человеческий организм попросту не сможет функционировать.
Норма лейкоцитов в крови различается по двум параметрам – половая принадлежность и возрастная категория. Обнаружить общее количество таких частиц можно во время общего анализа крови, но для выявления концентрации того или иного подвида требуется расширенное изучение биологического материала.
Лейкоциты в норме должны составлять:
- нейтрофилы – 55%;
- лимфоциты – 35%;
- моноциты – 5%;
- базофилы – 1%;
- эозинофилы – 2.5%.
В целом лейкоциты в крови норма составляет:
| Возрастная категория | Допустимые значения (х 10^9/л) |
| Груднички | 7-32 |
| Дети до года | 6-18.5 |
| 1-2 года | 5-17 |
| 2-6 лет | 5-16.5 |
| 6-15 лет | 4.5-13.5 |
| Подростки (16-21 год) |
Функции лейкоцитов – за что отвечают?
- Изучая защитные механизмы человеческого организма, невозможно не упомянуть функции лейкоцитов – важнейшего подразделения армии под названием «иммунитет».
- Лейкоциты – это лимфоциты, миелоциты, палочкоядерные клетки, эозинофилы и другие разновидности клеток.
- У каждой группы свои задачи, но все они подчиняются единой миссии – защите организма от чужеродных воздействий.
Роль лейкоцитов в организме
Человеческий иммунитет представляет собой сложный комплекс, и лейкоциты – один из важнейших его элементов. Наряду с тромбоцитами и эритроцитами лейкоциты входят в состав форменных элементов крови.
- Они рождаются в костном мозге и циркулируют в кровотоке, который служит для них транспортной сетью, надежно и без проволочек доставляющей в нужные участки тела.
- Видео:
Лейкоциты можно сравнить с полицейскими отрядами, а кровоток – с улицами мегаполиса. Полиция выполняет плановое патрулирование организма, собирая мертвые клетки и ткани, и в любой момент готова отреагировать на непредвиденные ситуации – инфекции.
Для этого все виды лейкоцитов имеют важную отличительную способность проникать сквозь стенки кровеносных сосудов и попадать в те участки человеческого тела, которым угрожает инфекция.
Каждому человеку приходилось наблюдать гной – массово погибшие лейкоциты. При малейшем порезе ткани лишенные защитного кожного покрова оказываются беззащитны перед патогенными микроорганизмами.
Лейкоциты устремляются к поврежденному месту и начинают поглощать бактерии, сильно увеличиваясь в размере и от этого разрушаясь.
Гибель собратьев становится для других лейкоцитов сигналом, что нужна подмога, и они направляются к пораженному участку, где поглощают мертвые клетки и оставшиеся бактерии. Человек при этом видит покраснение, отек, гной и быстро затягивающийся порез.
Название лейкоцитов в переводе с древнегреческого языка означает «белые клетки» в противовес красным клеткам – эритроцитам. С развитием цитологии оказалось, что белые клетки в организме не так однородны, как красные и отличаются сегментированием ядер.
По этому признаку лейкоциты делятся на две группы:
- гранулоциты, которым большие, поделенные на сегменты ядра придают заметный под микроскопом зернистый вид. Эти лейкоциты делятся на нейтрофилы, эозинофилы и базофилы в зависимости от способности к окрашиванию;
- агранулоциты (лимфоциты и моноциты) имеют обычное ядро без сегментов, поэтому под микроскопом в их цитоплазме не видно специфических зерен.
Различные виды лейкоцитов предназначены для нейтрализации разных угроз для организма, поэтому для диагностических целей важно не просто знать число лейкоцитов и степень его отклонения от нормы, но и каких именно разновидностей слишком много (лейкоцитоз) или недостаточно (лейкопения).
READ Процесс агрегации тромбоцитов — что это такое?
Лейкоцитарная формула
- Представление о количественных и качественных показателях лейкоцитов дает общий (клинический) анализ крови (ОАК).
- Исследование лейкоцитов при ОАК позволяет оценить общую готовность иммунитета противостоять угрозам и определить, кто эту угрозу вызвал и каковы его основные свойства.
- В бланке ОАК обязательно присутствует так называемая лейкоцитарная формула, которая указывает процентное соотношение различных видов лейкоцитов.
| Виды лейкоцитов | Содержание (%) |
| Лимфоциты | 19 – 37 |
| Моноциты | 3 – 11 |
| Нейтрофилы палочкоядерные | 1 – 6 |
| Нейтрофилы сегментоядерные | 47 – 72 |
| Базофилы | 0 – 1 |
| Эозинофилы | 0,5 – 5 |
Лейкоцитарная формула в бланке анализа включает девять разновидностей лейкоцитов. Изменения в их соотношении дают врачу косвенную информацию, с какой угрозой столкнулся организм.
- Например, основная функция эозинофилов – лейкоцитов, гранулы которых способны окрашиваться в красный цвет ксантеновым красителем эозином, – борьба с аллергенами.
- В лейкоцитарной формуле общего анализа крови аллергиков отразится увеличение доли эозинофилов.
- Человеческий организм часто отвечает аллергической реакцией на жизнедеятельность гельминтов, поэтому увеличение числа эозинофилов может показать высокий уровень гельминтизации организма.
- Специалист, который проводит ОАК, руководствуется инструкцией, предписывающей строгий порядок стандартных действий.
Для начала отмеряется точная порция крови, в которой под микроскопом подсчитывается общее число лейкоцитов. Получившееся количество пересчитывают на литр крови.
У детей количество лейкоцитов существенно превышает взрослые нормы, поскольку в этом возрасте немаловажной функцией лейкоцитов является формирование иммунитета.
Цифры, которые для взрослого могут являться признаком серьезной инфекции, в случае с ребенком подтверждают активность защитных сил организма.
Лейкоцитоз сопровождает острые фазы инфекционных процессов, особенно бактериальных и гнойных, может развиваться при кислородном голодании и в силу целого ряда других причин. К дефициту лейкоцитов, лейкопении, могут приводить десятки причин.
- Среди них инфекции вирусного характера (и некоторые бактериальные), отравляющие вещества, способные угнетать костный мозг, воздействие высоких доз радиации и так далее.
- Количество лейкоцитов позволяет понять, что в организме что-то не так, но для диагноза важно знать дисбаланс каких лейкоцитов имеет место.
- Видео:
- Строение и функции лейкоцитов одного типа способствуют их эффективной борьбе с вирусами, других – с бактериями.
- Обнаружив большое количество лейкоцитов против бактерий, врач может сделать вывод о бактериальной инфекции и назначить антибиотики.
- Высокое количество лейкоцитов, эффективных против вирусов, даст врачу информацию, что антибиотики бессильны и нужен иной подход к лечению.
Четыре возраста нейтрофилов
Нейтрофилы относятся к зернистым лейкоцитам, гранулоцитам. Гранулы – это вооружение лейкоцитов-полицейских: они содержат разнообразные ферменты против бактерий и вирусов.
READ Функции и норма базофилов в крови
Нейтрофилы особенно эффективны против бактерий и грибков, поэтому чем их больше в лейкоцитарной формуле, тем выше вероятность, что организм столкнулся с инфекцией, вызванной бактериями.
Однако нейтрофилы могут быть разными, о чем можно узнать все из того же бланка ОАК. Сегментоядерные нейтрофилы – взрослые, полноценные лейкоциты-защитники.
- Миелоциты – нейтрофилы-дети, еще не способные ни с кем бороться и ни от чего защищать, а метамиелоциты – подростки, толку от которых немногим больше.
- Палочкоядерные нейтрофилы – уже почти зрелые воины, которые не так эффективны, как сегментоядерные нейтрофилы, но уже способны выполнять определенные защитные функции.
- В норме патрулированием организма занимаются сегментоядерные нейтрофилы (47 – 72 % от общего числа лейкоцитов), а доля палочкоядерного молодняка составляет лишь 1 – 6 %.

При серьезных бактериальных атаках количество молодняка существенно возрастает, а если защитные силы совсем слабнут, в крови появляются метамиелоциты и даже миелоциты как свидетельство близости к капитуляции.
В крови здоровых и не тяжело больных людей двух последних разновидностей лейкоцитов быть не должно.
Во врачебных кругах до сих пор используется выражение «сдвиг лейкоцитарной формулы влево». Оно относится к тем временам, когда разновидности нейтрофилов в бланке ОАК печатались не сверху вниз, а слева направо.
Сдвигом влево называли при этом увеличение цифр, отражающих присутствие в крови молодых нейтрофилов.
Другие разновидности лейкоцитов
- Эозинофилы вооружены ферментами, но предназначены они в основном для нейтрализации иммунных комплексов, состоящих из антигенов и антител.
- Количество этих лейкоцитов в крови здорового человека не превышает 4 %, но возрастает при аллергических реакциях и гельминтозах, при некоторых болезнях кишечника и кожи.
- В начале тяжелых, в особенности бактериальных инфекционных заболеваний, увеличивается общее количество лейкоцитов и нейтрофилов, число же эозинофилов практически сводится к нулю.

Выздоровление характеризуется снижением уровня нейтрофилов и повышенным количеством эозинофилов, что не может не радовать.
Базофилы – экзотические лейкоциты, их в крови взрослых и детей менее 1 %. Ученые до сих пор пытаются выяснить, какую функцию выполняют в организме базофилы.
В соответствии со своим имиджем, число этих лейкоцитов превышает норму при ряде редких заболеваниях. Врач не встревожится, вообще не обнаружив этих лейкоцитов в крови.
Подобно нейтрофилам, существуют разные разновидности лимфоцитов, но разницу между ними определить сложно, даже вооружившись микроскопом.
Лимфоциты – активные участники местного и общего иммунитетов, функции лимфоцитов состоят в разрушении антигенов и создании антител, на них ложится выполнение многих других задач.
READ Результат анализа крови — нейтрофилы понижены
Это самые распространенные лейкоциты в крови у детей. Лимфоцитоз – обязательный атрибут большинства детских инфекций, особенно вирусных.
- Моноциты – лейкоциты из разряда фагоцитов – санитарного отряда, который отыскивает и поглощает бактерии, мертвые клетки организма, различные инородные частицы.
- Фагоцитоз необходим, например, для поглощения мертвых эритроцитов – красных кровяных телец, самых многочисленных клеток в человеческом организме, составляющих четверть от общего числа всех клеток.
- Видео:
- Фагоциты циркулируют в крови немногим более суток, а затем, окончательно созрев и превратившись в макрофаги, они мигрируют в ткани, где в течение 6 – 8 недель поглощают то, что там находиться не должно.
Моноцитоз – увеличение числа моноцитов в крови – характерен для ряда затяжных инфекций, отличающихся вялым течением. Среди них бактериальная инфекция, туберкулез, и вирусная – инфекционный мононуклеоз.
Лечить пациента или анализы?
В представлении многих людей иммунная система организма включается и начинает активно работать лишь в тех случаях, когда они плохо себя чувствуют, а если ничего не беспокоит, то иммунитет пребывает в режиме ожидания. Но защитные силы организма каждый день, практически ежесекундно нейтрализуют различные угрозы.
В человеческий организм с вдыхаемым воздухом или едой попадает множество вирусов, бактерий, грибков и других микроорганизмов, с которыми защитные силы организма расправляются быстро и эффективно.
Самочувствие ухудшается лишь в тех довольно редких случаях, когда иммунитет не справляется.
- Вполне возможна и нередко встречается ситуация, когда ОАК или ОАМ (общий анализ мочи), выполняемый в профилактических целях, показывают лейкоцитоз, в частности увеличение доли палочкоядерных нейтрофилов.
- Пациенты и даже некоторые малограмотные врачи могут отреагировать на такие результаты лечением, но это в корне неверный подход, в конечном итоге ослабляющий защитные силы организма.
- В современной медицине отмечается тенденция следования за клинической картиной, а не результатами анализов.
- Видео:
- Любые «-озы» и «-пении» на фоне хорошего самочувствия – повод для наблюдения, максимум – для дополнительных обследований (в основном для самоуспокоения), но не для лечения.
- Если врач назначает лечение на основании повышения-понижения чего бы то ни было в анализах и не интересуется симптомами, то доверия не заслуживает ни он, ни его рекомендации.
- Главная задача анализов – уточнить клиническую картину, но не заменить ее.
Вы здесь:
2608 0
Показатели лейкоцитов в крови: что значит их повышение или понижение
Благодаря слаженной работе всех систем, наш организм защищен, как настоящая крепость. Лейкоциты — это бесстрашные солдаты, которые первыми дают отпор вредоносным микроорганизмам, пытающимся проникнуть в «крепость». Как узнать, все ли в порядке с нашими «стойкими рыцарями»? Достаточно ли их в организме, чтобы уберечь нас от болезней?
В этой статье мы поговорим о том, что такое лейкоциты и выясним, как интерпретировать результаты анализа на лейкоциты в крови.
Роль лейкоцитов в крови
С английского языка слово «лейкоцит» переводится как «белая кровяная клетка» (White Blood Cells, WBC). Однако, на самом деле, это не совсем так.
Под микроскопом видно, что клетки имеют разные оттенки: розоватый, синеватый, фиолетовый. Они различаются по форме и функциям, но всех их объединяет наличие ядра.
Лейкоциты образуются в костном мозге и лимфатических узлах, имеют округлую или неправильную форму. Их размер составляет от 6 до 20 мкм.
Главная функция лейкоцитов сводится к защите организма и обеспечению его иммунитета. Защитные свойства клеток основываются на их способности перемещаться сквозь стенки капилляров и проникать в межклеточное пространство. Там происходит поглощение и переваривание чужеродных частиц — фагоцитоз.
Интересный факт Явление фагоцитоза открыл русский ученый Илья Мечников. За это в 1908 году он был удостоен Нобелевской премии.
Механизм действия защитных клеток — фагоцитов — похож на надувание воздушного шарика. Клетка поглощает вредоносные микроорганизмы, раздуваясь при этом, как шар.
Но не в силах больше вбирать в себя чужеродные элементы, частица лопается как шарик, слишком сильно заполненный воздухом. При разрушении фагоцитов высвобождаются вещества, вызывающие в организме воспалительные процессы.
К очагу поражения тут же устремляются другие лейкоциты. Пытаясь восстановить линию обороны, они гибнут в большом количестве.
Как мы уже отметили, лейкоциты имеют различные функции. И если одни принимают непосредственное участие в «сражении» с бактериями и вирусами, то другие «работают в тылу», разрабатывая для «армии» «оружие», или же трудятся в «разведке».
Виды лейкоцитов крови и нормы их содержания у женщин, мужчин и детей
В начале XX века немецкий биолог Пауль Эрлих открыл разные виды лейкоцитов: нейтрофилы, лимфоциты, моноциты, эозинофилы, базофилы. Он разделил их на две группы: гранулоциты и агранулоциты.
Вещества первой группы (к ним относятся нейтрофилы, базофилы и эозинофилы) имеют зернистую структуру, крупное ядро и особые гранулы в цитоплазме. Вторая группа — незернистые лейкоциты (моноциты и лимфоциты) — не содержат гранул в цитоплазме.
Давайте детально рассмотрим каждый вид.
Нейтрофилы
По форме бывают сегментоядерными и палочкоядерными. Первый подтип получил свое название благодаря перетяжкам-сегментам в ядре зрелых клеток. В незрелых клетках ядро удлиняется и становится похожим на палочку — отсюда название второго подтипа. Сегментоядерные нейтрофилы по количеству преобладают над палочкоядерными.
По соотношению тех и других судят об интенсивности кроветворения. Когда происходит большая потеря крови, организм требует больше этих клеток. Нейтрофилы не успевают полностью созреть в костном мозге и потому в кровоток поступают незрелыми. Главной функцией нейтрофилов считается фагоцитоз. Размеры нейтрофилов составляют 12 мкм.
Продолжительность их жизни — не более 8 дней.
Лимфоциты
Выделяют 3 группы лимфоцитов. Клетки трех групп схожи внешне, но отличаются друг от друга по функциям. Так, В-клетки распознают чужеродные структуры, вырабатывая при этом антитела. Т-киллеры стимулируют выработку антител, отвечают за иммунитет.
А NK-лимфоциты являются клетками, обеспечивающими врожденный иммунитет, снижающими риск развития опухолевых заболеваний. В совокупности все они являются главными составляющими иммунной системы человека. Большая часть лимфоцитов находится в состоянии покоя, эти клетки циркулируют в крови, контролируя попадание в организм антигена.
Как только антиген распознается — лимфоциты активируются, увеличиваются в размерах и готовят иммунный ответ.
Моноциты
Эти клетки способны быстро передвигаться благодаря выростам цитоплазмы — псевдоподиям.
Моноциты достигают места воспалительного процесса, где выделяют активные вещества — эндогенные пирогенны, интерлейкин-1 и другие, осуществляющие противовирусную защиту.
Выходя из кровяного потока, моноциты становятся макрофагами, то есть поглощают микроорганизмы. В этом состоит их функция. За счет крупного размера (около 15 мкм) моноциты способны поглощать большие чужеродные частицы.
Эозинофилы
Они борются с чужеродными объектами, вызывающими аллергию. Их количество в крови незначительно, но при возникновении заболевания, особенно аллергического характера, оно увеличивается. Являются микрофагами, то есть способны поглощать небольшие вредоносные частички.
Базофилы
В состав цитоплазмы этих клеток входят гистамин и пероксидаза — «распознаватели» воспаления, которые вызывают немедленную аллергическую реакцию.
Их называют еще «клетками-разведчиками», потому что они помогают другим лейкоцитам обнаружить вредоносные частицы. Базофилы могут передвигаться, но эта способность сильно ограничена.
Помимо перечисленных функций базофилы регулируют свертываемость крови.
Для нормальной жизнедеятельности человека необходимо, чтобы содержание лейкоцитов в крови не выходило за пределы нормы. Выявить их количество позволяет общий анализ крови. Референсные значение лейкоцитов в крови зависят от возраста человека:
- в первые дни жизни у новорожденных количество лейкоцитов варьируется от 9 до 30х10 9 клеток/л;
- от 1 до 2 недель — 8,5–15х10 9 клеток/л;
- от 1 месяца до полугода — 8–12х10 9 клеток/л;
- от полугода до 2 лет — 6,6–11,2х10 9 клеток/л;
- от 2 до 4 лет — 5,5–15,5х10 9 клеток/л;
- от 4 до 6 лет — 5–14,5х10 9 клеток/л;
- от 6 до 10 лет — 4,5–13,5х10 9 клеток/л;
- от 10 до 16 лет — 4,5–13х10 9 клеток/л;
- от 16 лет — 4–10х10 9 клеток/л.
При отсутствии патологий и заболеваний количество лейкоцитов колеблется в зависимости от состояния организма и времени суток.
Процентное соотношение видов лейкоцитов называется лейкоцитарной формулой . Чтобы поставить правильный диагноз и назначить лечение, врач изучает количество лейкоцитов в крови и данную формулу.
Каждый вид клеток выполняет свою определенную функцию, поэтому значительное изменение общего их количества и отклонение от нормы говорит о том, что в организме произошел сбой.
К примеру, количество палочкоядерных нейтрофилов в крови должно быть около 1–6%, а сегментарных — 47–72%, лимфоцитов — 19–37%, моноциты должны составлять 3–11% от общего числа лейкоцитов, а эозинофилы и базофилы и того меньше — 0–1% и 0,5–5% соответственно.
Что такое гной? Когда клетки активно борются с проникнувшей в организм чужеродной микрофлорой, они гибнут в большом количестве. «Кладбище» лейкоцитов — и есть гной. Он остается на месте воспаления, как убитые солдаты остаются на поле брани после сражения.
При исследовании крови детей врачи иногда пользуются таким понятием, как «лейкоцитарный перекрест». Что это такое? У взрослого человека показатель лейкоцитов хоть и меняется, но не значительно, тогда как у детей происходят очень сильные колебания по причине становления детского иммунитета.
Особенно «скачет» количество лимфоцитов и нейтрофилов. Если изобразить их показания в виде кривых, то пересечение будет наблюдаться на 3–5 день жизни ребенка и между 3 и 6 годами. Перекрест нельзя отнести к отклонению, поэтому родители могут выдохнуть спокойно и не переживать за свое чадо.
Повышенные лейкоциты в крови. В чем причина?
По уровню содержания лейкоцитов в крови можно судить о состоянии иммунитета. Когда этих клеток слишком много, говорят о таком состоянии, как лейкоцитоз.
Отметим, что его можно встретить и у совершенно здоровых людей. Так, некоторые продукты способны значительно повысить уровень лейкоцитов в крови.
К ним относят: каши, овощи, фрукты, кисломолочную продукцию, морепродукты, настойки на основе подорожника, пустырника и донника.
Существует два типа лейкоцитоза:
- физиологический — возникающий при значительных эмоциональных и физических нагрузках, после принятия особой пищи или горячей ванны, при беременности, перед менструацией;
- патологический — связанный с аллергией, онкологическими заболеваниями, вирусными инфекциями, болезнями, сопровождающимися некрозом клеток, воспалительными и гнойными процессами и т.д. Особо он выражен при сепсисе.
Симптомами лейкоцитоза могут стать:
- затрудненное дыхание;
- снижение зрения;
- повышение температуры;
- потливость;
- потеря аппетита и резкое похудение;
- болезненные ощущения в области живота;
- головокружение и потеря сознания.
Первым пунктом в лечении лейкоцитоза является посещение врача и выяснение причин этого отклонения. Специалист назначает обследование, а уже затем определяет необходимую терапию. Это могут быть медикаменты, направленные на снятие воспалительных процессов, антибиотики для предотвращения сепсиса и т.д.
Причины пониженных лейкоцитов
Низкое количество этих клеток называется лейкопенией. Лейкопения означает снижение иммунных функций организма. Если в краткие сроки не вылечить лейкопению, последствия могут быть очень серьезными, вплоть до летального исхода. Как и в случае с лейкоцитозом, это состояние имеет два вида — физиологическое и патологическое.
Причинами лейкопении могут быть:
- лейкоз;
- опухолевые поражения мозга;
- увеличение селезенки;
- инфекционные заболевания (корь, краснуха, грипп, вирусный гепатит);
- лучевая болезнь;
- нехватка веществ для образования новых клеток (витамины В1, В9, В12);стресс;
- прием некоторых медикаментов.
К внешним симптомам лейкопении относят: озноб, учащенный пульс, головные боли, увеличение миндалин.
Определив причину отклонения, можно переходить к лечению. Гематолог обязательно прописывает в числе прочего диету и прием витаминов В1, В9 и В12, а также железосодержащие препараты.
Лейкоциты играют важную роль в защите организма от проникновения вирусов и бактерий, поэтому отклонения их концентрации от нормы снижают иммунные функции организма и отражаются на нашем состоянии в целом. Содержание каждого вида лейкоцитов способно указать специалисту на наличие того или иного заболевания.
Лейкоциты: их роль и значение в диагностике
Лейкоциты (от греч.
leukos — белый и kytos — клетка) представляют собой неокрашенные клетки крови, выполняющие специализированные функции, и являются, наравне с гемоглобином, самым часто определяемым параметром.
Лейкоциты образуются в костном мозге и в лимфатических узлах. В крови человека определяется несколько видов лейкоцитов — нейтрофилы, эозинофилы, базофилы, лимфоциты, моноциты (зрелые формы).
Лейкоциты различаются между собой по биохимическому метаболизму, грануляции цитоплазмы, структуре ядра — это позволяет различать их после окраски в мазках крови или при подсчете в гематологических анализаторах.
Считается, что основной функцией лейкоцитов является защитная функция.
Обладая высокой фагоцитарной активностью (способностью захватывать и переваривать чужеродные вещества), лейкоциты участвуют в клеточном иммунитете.
Деятельность лейкоцитов
Таким образом, лейкоциты представляют собой гетерогенную группу, где каждый вид выполняет присущую для него функцию.
Поэтому данное исследование считается высокоинформативным и наиболее часто используется в лабораторной практике не только при развившемся заболевании, но применяется при массовых обследованиях населения. Исследуемый состав лейкоцитов называют лейкоцитограммой или лейкоцитарной формулой.
Исследование общего количества лейкоцитов и их видов в общей клинической практике необходимо при профилактических осмотрах, используется в дифференциальной диагностике различных заболеваний, входит в состав необходимых исследований перед началом операционных вмешательств.
По общему количеству лейкоцитов и его отдельных видов (наряду с другими биохимическими показателями и состоянию человека) можно судить о стадии болезни, о начале или затухании воспалительных процессов, оценивать правильность проводимой терапии.
Следует различать несколько состояний, при которых наблюдается изменение количества лейкоцитов. Понижение количества лейкоцитов в крови — лейкопения. Повышение количества лейкоцитов в крови — лейкоцитоз. При этом различают лейкоцитоз, развивающийся в результате различных заболеваниях и лейкоцитоз физиологический.
Лейкоцитоз
Лейкоцитоз может быть вызван увеличением лейкоцитов всех видов, а также одного из видов лейкоцитов.
Чаще лейкоцитоз возникает при развитии инфекционных заболеваний — бактериальных инфекциях, вирусных заболеваниях, при инфекционном мононуклеозе, кори, вирусных гепатитах, различных воспалительных состояниях, аллергических реакциях, интоксикации, острой кровопотере, при некрозе (травме) тканей, при ряде злокачественных новообразований, лимфоме, опухоли периферической крови и костного мозга.
При интерпретации данных следует учитывать, что повышение количества лейкоцитов или их снижение может быть следствием действия различных лекарственных веществ. Например, под действием стероидных гормонов и при интоксикации лекарственными препаратами может происходить некоторое увеличение лейкоцитов периферической крови.
Наиболее выраженное увеличение лейкоцитов периферической крови наблюдается при хроническом миелолейкозе (в норме количество лейкоцитов у взрослого человека равно 4,4–8,8×109 л).
При сравнении анализов следует также учитывать, что большинство лабораторий используют в своей практике гематологические анализаторы и нормы лейкоцитов в бланках могут составлять для взрослого человека: 4,5–11,0×109 л.
Физиологический лейкоцитоз возможен после физической нагрузки, после приема пищи (поэтому проведение исследований нужно делать натощак в состоянии покоя), при развитии стрессовых ситуаций, действии электрошока, боли, менструации, холодовом воздействии, при рвоте, анестезии, во время родов, под действием солнечного света ультрафиолетовых лучей. Количество лейкоцитов может меняться у человека в течение дня, но, как правило, не выходит за пределы нормальных значений. Чтобы не сделать ложные заключения, эти состояния должны быть учтены врачом при оценке результатов общего анализа крови.
Лейкопения
Понижение содержания лейкоцитов — лейкопения — наступает при снижении всех видов лейкоцитов или вследствие снижения лимфоцитов, нейтрофилов.
Резкое снижение наблюдается при апластической анемии, аплазии и гипоплазии костного мозга, ионизирующем облучении, при действии на костный мозг химических агентов и лекарств (сульфаниламиды, ряд антибиотиков, противоэпилептические средства, нестероидные противовоспалительные препараты).
Снижение количества лейкоцитов происходит при таких серьезных заболеваниях как:
Выше указывалось, что лейкоциты периферической крови человека представляют собой довольно разнородную группу клеток, которая в совокупности образует защитную систему организма.
Указанные изменения количества лейкоцитов описываются здесь как бы для всех лейкоцитов в целом. Однако для каждого вида лейкоцитов (эозинофилов, базофилов, нейтрофилов, моноцитов, лимфоцитов) существуют определенные особенности.
Эти особенности должны учитываться при вынесении диагноза.
Михаил Голубев, доктор медицинских наук, специалист по лабораторной диагностике