При постановке любых диагнозов, связанных с образованиями в головном мозге, у родителей появляется много разных вопросов. Знать о проявлениях таких заболеваний у грудничков очень важно. Это поможет предотвратить опасные для жизни состояния в дальнейшем. Многих родителей интересует киста головного мозга у новорожденных и грудничков.
Кисты в головном мозге — это полостные образования. Не нужно путать их с опухолями, это совсем разные заболевания. Киста совсем не говорит о наличии у ребенка онкологической патологии. К развитию данного состояния могут приводить различные воздействия.
В некоторых случаях кисты в головном мозге не выявляются на протяжении всей жизни. Ребенок растет и даже не подозревает о том, что у него есть какие-то изменения. В других ситуациях кисты вызывают появление различных симптомов, которые приносят малышу дискомфорт и нарушают его самочувствие. Такие случаи требуют назначения лечения.
Как правило, киста по внешнему виду напоминает шар. Размеры образования могут быть разными. Контур кисты — правильный и ровный. В некоторых случаях при обследовании обнаруживают сразу несколько образований. Они могут быть расположены на значительном расстоянии друг от друга или соседствовать.
Обычно у каждого третьего из десяти родившихся малышей врачи выявляют кисты головного мозга. Они появляются в разных местах. В полости кисты находится жидкость. Небольшие размеры образования, как правило, не вызывают у ребенка никаких дискомфортных симптомов.
Если киста не располагается вблизи жизненно важных центров, то такое развитие заболевания не является опасным.
К появлению кистозных образований в головном мозге могут приводить различные факторы. В некоторых случаях они могут действовать вместе. Длительное или сильное воздействие разных причинных факторов способствует появлению в головном мозге различных полостных образований.
К наиболее частым причинам их появления относятся:
- Различные врожденные патологии. Обычно они развиваются еще в период внутриутробного развития. Патологии развития центральной нервной системы способствует развитию патологических изменений в головной мозге. Кисты в этом случае являются врожденными.
- Травмы, полученные во время родов. Слишком крупный плод, рождение двойни способствуют возникновению травматических повреждений головного мозга у новорожденных.
- Инфекции, возникающие у матери во время беременности. Многие вирусы и бактерии способны проникать через гематоэнцефалический барьер. Кисты головного мозга у новорожденных врачи часто регистрируют как следствие возникших во время беременности инфекционных заболеваний. Вирусный или бактериальный менингит часто является первопричиной формирования полостных образований.
- Кровоизлияния в головной мозг. Могут возникать в результате различных причин. Часто к развитию кровоизлияния приводят различные травмы и падения. Повреждения головного мозга способствуют образованию полости, заполненной жидкостью, которая потом становится кистой.
Воздействие различных причин приводит к появлению полостных образований в головном мозге. Они могут быть локализованы в различных его отделах. В настоящее время врачи выделяют несколько возможных локализаций кист головного мозга.
С учетом расположения все полостные образования можно разделить на несколько групп:
- Расположенные на уровне гипофиза. В норме этот раздел мозга отвечает за синтез необходимых для роста и развития гормонов элементов. При появлении в нем кисты у ребенка начинают появляться различные симптомы. Обычно без симптомов при этой клинической форме не обходится.
- Мозжечковые. Называется также лакунарной кистой. Данные виды полостных образований чаще всего образуются у мальчиков. Встречаются они довольно редко. При быстром течении заболевание может приводить к появлению различных двигательных нарушений.
Требуется обязательное проведение лечения, так как могут возникнуть серьезные осложнения – в виде паралича или пареза.
- Расположенные рядом с шишковидной железой. Этот орган называется эпифизом. Он выполняет в организме эндокринную функцию. Эпифиз хорошо кровоснабжается, особенно ночью. Нарушения в его работе приводят к нарушению оттока спинномозговой жидкости, что в конечном итоге способствует развитию кисты.
- Арахноидальные. Расположены в арахноидальной оболочке. В норме она покрывает головной мозг снаружи и предохраняет его от различных повреждений. Чаще всего данный вид кисты встречается в результате травмы или при воспалении мозговых оболочек из-за инфекционных заболеваний.
- Дермоидные. Выявляются крайне редко. Регистрируются у малышей в первый год жизни. Внутри киста имеет не жидкостный компонент, а остатки эмбриональных частиц. В некоторых случаях можно обнаружить зачатки зубов и костей, различные элементы потовых и сальных желез.
- Кисты сосудистых сплетений. Возникают еще в период внутриутробного развития. Чаще всего данные полостные образования регистрируются уже на 28 неделе беременности. После рождения могут остаться на всю жизнь. Обычно у ребенка нет никаких неблагоприятных симптомов, все протекает без каких-либо клинических изменений.
- Кисты промежуточного паруса. Расположены в складке мягкой мозговой оболочки, которая находится в зоне третьего желудочка головного мозга. Часто выявляются только с помощью магнитно-резонансной томографии.
- Псевдокисты. Внутри полости находится спинномозговая жидкость. Заболевание обычно протекает бессимптомно. У ребенка не изменяются самочувствие и поведение. В некоторых случаях есть несколько псевдокист, что является следствием поликистоза.
- Субарахноидальные. Располагаются в подпаутинном пространстве. Часто возникают после различных травматических повреждений головного мозга или после автомобильных аварий. Могут протекать с появлением неблагоприятных симптомов. При тяжелом течении заболевания и быстром росте образования проводится хирургическое лечение.
- Кисты в желудочке головного мозга. Располагаются в мозговых коллекторах спинномозговой жидкости. Чаще всего такие кисты формируются в зоне боковых желудочков. Быстрый рост образований приводит к появлению симптомов внутричерепной гипертензии.
- Субэпендимальные. Наиболее часто встречаемые у малышей грудного возраста кисты. Внутри образований находится спинномозговая жидкость. Полостное образование возникает из-за кровоизлияний под оболочку головного мозга и разрыва кровеносных сосудов. Обычно данное состояние возникает при родовых травмах. Могут быть различных размеров – от 5 мм до нескольких сантиметров.
- Ретроцеребеллярные. Образуются внутри головного мозга, а не снаружи, как многие виды кист. Формирование полости происходит в результате гибели серого вещества. К развитию данного вида кисты могут приводить различные провоцирующие причины: травмы, инфекционные патологии, кровоизлияния и другие. Такие полостные образования обычно протекают достаточно тяжело и требуют назначения лечения.
- Порэнцефалические. Данное состояние встречается в детской практике крайне редко. Характеризуется образованием нескольких полостных образований в головном мозге – различных размеров.
Проявление клинических признаков зависит от исходной локализации полостного образования. Если кист несколько, они находятся в разных отделах головного мозга, то у малыша могут появляться самые разные симптомы, которые существенно усложняют диагностику.
К самым распространенным клиническим проявлениям кистозных образований относятся:
- Появление головной боли. Она может быть разной по интенсивности: от легкой до нестерпимой. Болевой синдром обычно максимальный после пробуждения или активных игр. Выявить данный симптом у малышей грудного возраста — сложная задача. Стоит обращать внимание на поведение ребенка, которое значительно изменяется при появлении головной боли.
- Изменение состояния малыша. В некоторых случаях ребенок становится более заторможенным. У него нарастает сонливость, наблюдаются выраженные проблемы с засыпанием. У малышей ухудшается аппетит, они вяло прикладываются к груди. Иногда малыши полностью отказываются от грудных кормлений.
- Увеличение размеров головы. Этот признак проявляется не всегда. Обычно размеры головы увеличиваются при выраженных размерах кист. Если у ребенка выявлены такие отклонения, то требуется проведение дополнительного обследования на предмет исключения полостных образований в головном мозге.
- Сильная пульсация и выбухание родничка. Часто данный симптом является первым признаком наличия полостного образования в головном мозге, которое уже привело к появлению внутричерепной гипертензии.
- Двигательные нарушения и расстройства координации. Обычно данные неприятные клинические признаки появляются при наличии полостного образования в области мозжечка головного мозга.
- Расстройства зрения. Зачастую при рассматривании близко расположенных предметов у ребенка появляется двоение. Данное патологическое состояние возникает в результате сдавливания растущей кистой зрительного нерва.
- Нарушение полового развития. Возникает в результате наличия кисты в области эпифиза — шишковидной железы. Нарушение выработки гормонов приводит к выраженному отставанию ребенка от возрастных норм. В некоторых случаях происходит обратная ситуация — чрезмерно раннее половое созревание.
- Приступы эпилептических припадков. Данное состояние появляется при возникновении кисты в области мозговых оболочек. Для устранения неблагоприятных симптомов требуется назначение специального лечения, а в некоторых случаях — даже проведение хирургической операции.
Заподозрить наличие кисты в головном мозге у новорожденного ребенка достаточно сложно. Для установления диагноза требуется проведение дополнительных обследований. Проводятся данные исследования по рекомендации детского невролога. Если развитию кисты предшествовала травма или повреждение головного мозга, тогда следует идти за консультацией к нейрохирургу.
Для диагностики полостных образований используют:
- Ультразвуковое исследование головного мозга. В неврологии оно также называется нейросонографией. Этот метод достаточно безопасный и может применяться даже для малышей в первые месяцы жизни. От обследования нет никаких болезненных ощущений. Для определения диагноза достаточно 15-25 минут.
- Компьютерная томография (или КТ). Исследование дает высокую лучевую нагрузку. Выполнять его для скрининга кистозных образований не следует. Используется данный метод только в сложных клинических случаях, когда постановка диагноза затруднена. Исследование дает полную картину имеющихся в головном мозге аномалий и анатомических дефектов.
- Магнитно-резонансная томография (или МРТ). Отзывы после проведения данного исследования самые положительные. В большинстве случаев именно с помощью МРТ удалось установить наличие кистозных образований в головном мозге. Метод отличается высокой разрешающей способностью и позволяет успешно выявлять кисты даже самых маленьких размеров. В сложных диагностических случаях прибегают к предварительному введению контраста, позволяющего устанавливать диагноз более точно.
Обычно кисты протекают бессимптомно и не требуют вмешательства со стороны врачей. Однако в некоторых случаях при неблагоприятной локализации могут возникать осложнения и последствия от их наличия в головном мозге. Лечением таких состояний занимаются неврологи. При невозможности консервативного лечения прибегают к выполнению хирургических операций.
Наиболее частым осложнением полостных образований в головном мозге (особенно у новорожденных малышей) является отставание в физическом и психическом развитии в будущем. В некоторых случаях у ребенка возникают зрительные и моторные (двигательные) нарушения.
Одним из осложнений также является врожденное или приобретенное ухудшение слуха – из-за наличия кисты в головном мозге.
Тактику терапии составляет детский невролог – после выявления у ребенка признаков кистозных образований в головном мозге. Обычно малыши наблюдаются у таких докторов в течение всей последующей жизни. Регулярное проведение обследования позволяет контролировать рост и развитие кисты.
Лечить кистозные образования в головном мозге можно консервативно и с помощью хирургических операций. Выбор терапии остается за лечащим врачом. Грудничка оперировать сразу никто не будет. Сначала применяется выжидательная тактика.
Доктор оценивает самочувствие ребенка с помощью специальных диагностических методов. Если нарушений в поведении ребенка не отмечается, то необходимости в выполнении операции нет.
Обычно консервативная терапия сводится к назначению препаратов, оказывающих симптоматическое действие.
При повышенной внутричерепной гипертензии назначаются диуретические и сосудистые лекарства. Они помогают улучшить отток и циркуляцию спинномозговой жидкости – и тем самым приводят в норму повышенное внутричерепное давление.
Если киста возникла после бактериального менингита, то тогда требуется назначение антибактериальных препаратов. В некоторых случаях их назначают в виде уколов или капельниц. Лечение таких форм заболеваний обычно проводится в условиях стационара. После выздоровления от инфекции, как правило, существенно изменяется в размерах и образовавшаяся киста. Через некоторое время она может полностью рассасываться и исчезать.
При наличии у ребенка иммунодефицитного состояния применяются иммуностимулирующие лекарственные средства. Они назначаются курсом, чаще как внутримышечные инъекции. Обычно такое лечение сочетается с назначением поливитаминных комплексов. Комплексная терапия позволяет улучшить работу иммунной системы и приводит к выздоровлению.
При травматических повреждениях мозговых оболочек или после некоторых родовых травм врачи вынуждены прибегнуть к назначению хирургического лечения. Обычно операции проводятся в более старшем возрасте. Новорожденных и грудных малышей только наблюдают. Если течение заболевания стремительное, а неблагоприятные симптомы существенно нарушают самочувствие ребенка, то решение о необходимости проведения хирургического лечения может быть принято раньше.
О том, что такое киста головного мозга, вы узнаете в следующем видео.
Опасна ли киста сосудистого сплетения для новорожденного?
В подавляющем большинстве случаев киста сосудистого сплетения является случайной находкой, поскольку никак себя не проявляет. Чаще всего такая киста спонтанно исчезает к концу первого года жизни. При её обнаружении малыша нужно регулярно обследовать с интервалом в 3 месяца до достижения возраста 1 года.
Наличие кисты сосудистых сплетений у плода может служить доказательтвом того, что в период беременности, воздействовали факторы, ведущие к нарушению эмбриогенеза.
Причины
В процессе эмбриогенеза формирование сосудов предшествует образованию вещества головного мозга, формированию нейронов. Сосудистое сплетение находится в желудочках мозга, его назначение – продукция цереброспинальной жидкости или ликвора. Оно образуется из тканей мягкой мозговой оболочки, содержит сосуды и нервные окончания, передающие информацию.
Формируется сплетение так: стенка мозгового пузыря в месте будущего желудочка сохраняет однослойное строение, которое не дифференцируется в нервную ткань. Снаружи к ней примыкает богатая сосудами мягкая мозговая оболочка. Постепенно она прогибается и внедряется в выстилку мозгового пузыря. Они срастаются, образуя множество новых сосудов, из которых и формируется сплетение.
Сосудистые сплетения у плода образуются на сроке 18-19 недель. Именно в этот период, при проведении УЗИ могут быть обнаружены первые признаки кист, которые выглядят, как эхонегативные образования. Чаще всего в срок от 20 до 24 недель, когда идет активное формирование головного мозга, размер кисты уменьшается, и она полностью исчезает.
Развитие плода идет непрерывно, происходит постоянная дифференцировка органов и тканей. Но если что-то идет «не так», «дефицит строительного материала» замещается кистой. Замена временная – ребенок родится, и в течение первого года жизни необходимые структурные единицы у него возникнут.
Все, что нужно от родителей и врачей – контролировать процесс развития и создавать малышу оптимальные условия роста. Тревожиться нужно только в том случае, если киста увеличивается в размере, а не уменьшается.
Чем отличаются киста и псевдокиста?
Отечественные медики используют эти понятия как синонимы. Отличия на самом деле есть, но они морфологические, относятся к строению и мало влияют на исход.
Киста и псевдокиста – это полости, заполненные жидкостью, в головном мозге – ликвором. Внутри кисты есть выстилка из эпителия, а внутри псевдокисты – нет. Обнаружить это отличие можно только на высокоточном оборудовании с очень большим разрешением, которыми оснащены крупные медицинские центры. Упоминая кисту или псевдокисту, медики имеют в виду, что в головном мозге есть полостные образования.
Так, псевдокиста головного мозга у новорожденных не требует отдельного лечения – это маленький пузырек с жидкостью внутри. Таких детей должен наблюдать в динамике невролог.
Что такое субэпендимальная псевдокиста?
В головном мозге есть несколько желудочков. Это полости для циркуляции цереброспинальной жидкости. Ликвор в них собирается и омывает головной мозг. Эпендима – это тонкая мембрана, которая выстилает желудочки и спинномозговой канал изнутри. Клетки, образующие эпендиму, относятся к нейроглии или вспомогательным нервным клеткам, выполняющим опорную и трофическую функцию для нервной ткани.
Полость, образовавшаяся под эпендимой (приставка «суб» означает «под»), и есть субэпендимальная киста.
Давно известно, в каких местах головного мозга у новорожденного ребенка чаще всего обнаруживаются полости. Субэпендимальная псевдокиста образуется в боковых желудочках, а именно в их латеральных углах, а также в бороздке, разделяющей зрительный бугор (таламус) и хвостатые ядра (экстрапирамидные структуры). Именно эти образования и называют псевдокистами. Пузырьки, расположенные во всех других местах головного и спинного мозга, принято называть кистами.
Сигнал родителям
Статистика утверждает, что кисты сосудистого сплетения образуются в 1-2% случаев. Самопроизвольное их рассасывание происходит к 24-й неделе в 90% случаев. Размер их считается мелким до 5 мм.
Генетики относят эти образования к «мягким» маркерам аномалий хромосом. Это означает, что у ребенка может быть наследственная хромосомная аномалия развития, но не обязательно. Нужно более внимательное и тщательное исследование, с применением методов генно – молекулярной диагностики.
В случае обнаружения других отклонений в развитии желательно выполнить амниоцентез — пункционное получение околоплодных вод с последующим изучением хромосомного набора. Последствия хромосомных аномалий – неизлечимые наследственные болезни, и родители должны знать об этом.
Что делать, если киста обнаружена в грудном возрасте?
В основном, наблюдать, чтобы патология не мешала развитию ребенка. Поврежденный субэпендимальный участок говорит о том, что ребенок перенес внутриутробно несколько эпизодов гипоксии, или был инфицирован.
Также киста может заместить место кровоизлияния в стенку желудочка. Достаточно частая причина – вирус герпеса, он считается одной из причин образования мозговых кист. Причиной повреждения мозга бывают тяжелые роды. Главное – у грудничка не должен увеличиваться размер кисты и нарушаться развитие.
Следят за размерами кисты при помощи УЗИ, которое делают в 3, 6, 9 и 12 месяцев. Обычно к году, часто раньше, киста исчезает. Следить требуется также за сроками развития и общим состоянием ребенка. Малейшая задержка требует помощи и коррекции.
Тревогу должны вызвать следующие жалобы, свидетельствующие о повышении внутричерепного давления, особенно если они появились впервые:
- постоянный плач и крик;
- общая повышенная раздражительность;
- рвота;
- отказ от еды;
- судорожные приступы.
Такие состояния случаются редко, но информированность родителей – залог того, что малыш вырастет здоровым. Увеличение кисты сразу же меняет поведение ребенка.
Имеет ли значение сторона – справа или слева?
Практически нет. Киста правого сосудистого сплетения так же мало опасна, как и образование слева. В половине всех случаев диагностики кисты оказывались двусторонними. Особенно это касается образований, обнаруженных у плода.
Бывают моменты, когда ликвор уже вырабатывается, а рост желудочка просто «не успевает». Тогда ликвор оказывается заблокированным посреди сосудов, что может представлять собой кисту. Такие полости иногда сохраняются до взрослого состояния, ничем себя не выдавая.
Ликвор, контактируя с ворсинками сплетения, имеет возможность обмениваться веществами.
Бессимптомные кисты, тем более обнаруженные случайно, лечения не требуют. Никакого влияния на работу нервной системы, двигательную или психическую функцию они не оказывают.
Хориоидальная киста
Это единственное образование подобного рода, при котором требуется хирургическое лечение. Хориоидальное сплетение расположено под большим родничком, и киста его не дает родничку закрыться в положенный срок. В норме полное закрытие родничка должно произойти к концу первого года жизни. Это предельный срок, у многих малышей он закрывается к полугоду. Ребенка с нарушением срока закрытия родничка отправляют на УЗИ-исследование, где все и обнаруживается.
Хориоидальные кисты рассасываются самопроизвольно менее чем в половине случаев. Размер этой кисты всегда солидный, и младенец страдает от лишнего объема внутри черепной коробки.
Малыша при этом могут беспокоить:
- непроизвольные подергивания ручек и ножек;
- судорожные реакции на любое нарушение режима или простуду;
- постоянная сонливость или повышенная раздражительность;
- нарушения координации движений;
- головная боль;
- нарушения зрения.
Большой родничок выбухает, надавливание на него резко усиливает беспокойство ребенка или может вызвать судорожный припадок.
Удаление выполняют после полной тщательной ультразвуковой диагностики (нейросонографии), МРТ. Занимаются удалением детские нейрохирурги. Диагноз хориоидальной кисты – это не приговор. При своевременном обращении за помощью оперативное вмешательство позволяет полностью излечить малыша.
- Оцените эту статью:
Киста в голове у новорожденного ребенка: субэпендимальное образование сосудистого сплетения
Киста – это доброкачественное новообразование, которое представляет собой шарик, локализованный в определенном органе, заполненный жидкостью. Киста у новорожденного – это довольно распространенное явление, появляющееся на фоне еще не сформированного обмена вещества младенца. Новообразование часто наблюдается в различных частях головного мозга. Оно может быть локализовано как в левом полушарии, так и в любой другой части.
Особенности новообразований

Киста в голове у новорожденного может диагностироваться еще в утробе матери. Новообразования могут быть локализованы в разных частях головного мозга и различаться по размеру. Иногда наблюдается несколько уплотнений. Как правило, образованные внутриутробно, кисты проходят самостоятельно в девяти случаев из десяти и не требуют лечения.
Определенную опасность таит патология, диагностированная уже после рождения ребенка. Такое новообразование, например, киста желудочка, чревато сдавливанием определенных частей головного мозга у грудничка и нарушением его работы, что часто наблюдается при большом размере уплотнения. Болезнь нужно лечить, причем лечение начинается уже с первых дней жизни младенца.
Симптомами наличия кисты является:
- головная боль у младенца;
- нарушение реакции на раздражители;
- онемение и кратковременный паралич конечностей;
- расстройства зрения;
- беспокойство, бессонница у младенца.
Симптомы во многом зависят от локализации и размеров новообразования.
Как правило, киста выявляется с помощью ультразвукового обследования, которому подвергаются все новорожденные в первые часы жизни. Если выявлено новообразование, необходимо обратиться к невропатологу.
Специалист проводит детальное обследование, в результате которого определяется локализация и размеры уплотнения, а затем назначает лечение.
В дальнейшем ребенку необходимы регулярные обследования (каждые 4 недели), которые позволят вовремя заметить увеличение уплотнения в размерах и скорректировать лечение.
Симптомы и признаки доброкачественного новообразования у младенцев

Симптомы заболевания во многом зависят от того, где расположено уплотнение, и от его размеров. Также немаловажную роль играет характер кисты. Симптомы определяются дополнительными факторами осложнений из-за новообразования, к которым относят нагноение в месте расположения уплотнения, риск преобразования доброкачественной опухоли в злокачественную, а также наличие воспалительного процесса.
Следует отметить, что кисты незначительных размеров часто проходят бессимптомно. Высока вероятность полного рассасывания маленькой кисты без лечения. Тем не менее, обязательно необходимо провести детальное обследование (УЗИ, МРТ) и повторять его регулярно, так как образование может увеличиваться в размерах.
В некоторых случаях, даже небольшая киста провоцирует появление симптомов неврологического характера, к которым относят:
- расстройства сна младенца;
- тремор конечностей;
- увеличение родничка в размерах;
- спазмы мышц;
- судороги;
- нарушения психического развития;
- нарушения рефлексов.
Ситуация усугубляется при наличии воспалительного процесса или нагноения. В этом случае добавляются симптомы интоксикации организма и наблюдается повышение температуры тела.
Увеличение кисты в размерах приводит к механическому воздействию на головной мозг маленького пациента, в результате чего повышается риск развития серьезных осложнений, вплоть до инсульта.
Кисты небольшого размера успешно излечиваются медикаментозной терапией. Осложненная или множественная киста крупных размеров требует проведения хирургического вмешательства. При своевременном обнаружении проблемы и вовремя начатом лечении, болезнь успешно излечивается и проходит бесследно.
Причины появления новообразований

Киста образуется на фоне дегенерации мозговой ткани и ее последующего отмирания. Именно в этих участках формируется плотное шарообразное образование, заполненное жидкостью. Среди причин появления кисты головного мозга у младенцев:
- травма при прохождении через родовые пути либо при осложненных родах;
- патологии центральной нервной системы;
- болезни мозга воспалительного характера (энцефалит либо менингит);
- действие вируса герпеса;
- кислородное голодание мозга;
- недостаток питательных веществ, провоцирующий нарушения мозгового кровообращения.
Под действием некоторых негативных факторов возможно увеличение уже имеющийся кисты, либо ее разрастание. Как правило, это происходит на фоне повышенного внутричерепного давления у младенца. Также вызвать увеличение размеров новообразование может сотрясения мозга, травма головы либо присоединение инфекции.
Виды новообразований
В большинстве случаев, врачам приходится иметь дело с четырьмя типа доброкачественных опухолей в мозгу новорожденных:
- киста сосудистых сплетений;
- внутримозговая либо субэпендимальная киста;
- киста арахноидального типа;
- приобретенное вследствие травмы доброкачественное новообразование.
Первый тип развивается вследствие проникновения вируса герпеса в организм у новорожденных. Субэпендимальная либо внутримозговая киста у новорожденного развивается из-за недостатка кислорода и последующего отмирания тканей мозга.
Арахноидальные новообразования возникают между мозговых промежутков. При чрезмерном сдавливании ребенка при прохождении через родовые пути существует риск развития травматической кисты. Также этот вид новообразования может появится вследствие мозгового кровотечения или наоборот, недостатка кровоснабжения головного мозга.
Киста и вирусные заболевания

Наиболее распространенной является киста или новообразование сосудистого сплетения у новорожденного ребенка. Эта форма появляется вследствие действия вируса, например, герпеса. Болезнь может быть спровоцирована токсоплазмозом.
Часто заболевания формируется еще во время беременности, в первом триместре. Нервных окончаний в сосудистых сплетениях нет, однако они принимают непосредственное участие в кровоснабжении мозга. Как правило, при раннем развитии кисты она полностью рассасывается самостоятельно до момента родов.
Такой вид новообразования относится к безопасным. Кисты не влияют на умственные способности ребенка, а также не вызывают неврологических симптомов, дети впоследствии развиваются нормально.
Для определения патологии проводится внутриутробное ультразвуковое обследования плода. Чаще всего лечение не требуется и, по мере развития нервной системы у плода, новообразования рассасываются.
Редко, но киста такого типа встречается у новорожденных. Несмотря на безопасность самого новообразования, требуется детальное обследование и постоянный контроль размеров уплотнения. При увеличении кисты высок риск развития заболеваний, связанных с механическим сдавливанием участка мозга.
Как правило, прогноз благоприятный и при внутриутробном образовании уплотнений, и при диагностике кисты у новорожденных младенцев. Грамотное лечение позволяет полностью избавиться от болезни, она проходит бесследно в течении первых 6-10 месяцев жизни.
Внутримозговое новообразование

Субэпендимальная киста у новорожденного развивается вследствие кислородного голодания ткани мозга, которое провоцирует отмирание некоторых участков и развитие кисты на месте отмершей ткани.
Эта форма заболевания не несет угрозы умственной отсталости или деменции у ребенка. Однако патология вызывает ряд серьезных неврологических расстройств. В большинстве случаев внутримозговое образование рассасывается самостоятельно. Тем не менее, необходимо тщательное отслеживание любых изменений в размере опухоли до момента ее рассасывания.
Часто врачи назначают медикаментозное лечение. При своевременно начатой терапии, риска для здоровья и дальнейшей жизнедеятельности нет, патология полностью излечивается в течении нескольких месяцев.
Арахноидальное новообразование
Этот вид заболевания встречается не чаще, чем в 5% случаев образования кист у младенцев. Это заболевание делится на первичное образование (врожденная патология) и вторичное (из-за воспаления мозга).
Патология вызывает симптомы неврологического характера – мигрени, расстройства сна, раздражительность. Если болезнь спровоцирована воспалительным процессом, к симптомам добавляются признаки интоксикации организма – тошнота и рвота, возможно повышение температуры тела. Лечение, как правило, оперативное. Если вовремя не провести вмешательство, высок риск развития неврологических расстройств, которые накладывают отпечаток на всю дальнейшую жизнь малыша.
Диагностика патологии

Обследование проводит невропатолог. Для этого используются методы ультразвуковой диагностики. Если наличие доброкачественной опухоли подтверждается обследованием, ребенка направляют на консультацию к нейрохирургу, который определяет локализацию, размеры и тип новообразования. Чтобы получить точную картину, необходимо измерить артериальное давление младенца, а также проверить состояние кровеносных сосудов с помощью допплерографии.
Для определения причины образования уплотнения также исследуют кровь на предмет присоединения инфекции, воспаления или аутоиммунного отклика организма.
Как правило, первое обследование мозга делается внутриутробно. Затем обязательно назначается ультразвуковое обследование при достижении месячного возраста.
В обязательном порядке обследование мозга назначают недоношенным младенцам, а также при осложненных родах либо врожденных патологиях.
Возможные осложнения
Киста может увеличиваться в размерах, при этом не доставляя дискомфорта младенцу. В результате во время полового созревания из-за гормональной перестройки высок риск стремительного увеличения опухоли и развития опасных осложнений, вплоть до инсульта.
Если образование не лечить, возможны следующие осложнения:
- потеря зрения и слуха;
- проблемы вестибулярного аппарата;
- нарушенная координация движений;
- судорожный синдром;
- прогрессирующая умственная отсталость.
Своевременное выявление патологии и дальнейшее лечение позволяет избежать негативных последствий. Как правило, в 99% случаев удаление кисты либо медикаментозная терапия позволяют бесследно избавиться от образования.
Методы лечения

Методы лечения зависят от места локализации, типа и размеров новообразования.
При патологии сосудистых сплетений, которая диагностировалась еще внутриутробно, лечение не назначают. Необходимо лишь регулярно наблюдать за состоянием головного мозга младенца, однако киста, как правило, рассасывается самостоятельно.
При необходимости оперативного удаления используются два метода – радикальный либо паллиативный.
Под радикальным методом подразумевается трепанация черепа и полное удаление новообразования. Сама по себе операция травматична и сопряжена с серьезными рисками для здоровья младенца, поэтому практикуется лишь в исключительных случаях, когда другие методы не позволяют удалить либо вылечить кисту.
Под паллиативным лечением подразумевается шунтирование либо эндоскопия. Шунт вводят в пораженную область, а затем удаляют жидкость, заполняющую уплотнение. Метод не опасен как радикальное удаление, однако может стать причиной дополнительного инфицирования мозга и вызвать воспаление.
Эндоскопия проводится через небольшие отверстия в черепе (проколы). С помощью эндоскопа содержимое опухоли успешно удаляется, а затем ребенок быстро идет на поправку. Метод не вызывает осложнений, однако только при условии выполнения квалифицированным хирургом.
- Своевременное обращение к специалисту, внимательный контроль за состоянием образования и, при необходимости, хирургическое вмешательство, гарантируют полное излечение младенца без каких-либо патологий умственного либо неврологического характера в дальнейшем.
- Киста не несет непосредственный опасности для дальнейшей жизни ребенка, но только в том случае, если не пускать болезнь на самотек.
Киста сосудистого сплетения у новорожденного — нужно ли бояться?
Кисту сосудистого сплетения обнаруживают обычно в период вынашивания плода к концу второго триместра. Многие будущие мамы после получения результатов УЗИ по понятным причинам начинают волноваться о ребенке. Спешим успокоить: в случае диагностирования данной разновидности недуга беспокоиться нет причин.
Данного рода аномалия в голове — киста сосудистого сплетения у новорожденного — чаще всего не является опасной. Ее вред развитию и формированию малыша — нулевой.
Большинство таких опухолевых тел пропадает еще до момента рождения малыша, не успев достигнуть критической величины и нарушить целостность важнейших тканей.
Когда опасна киста сосудистого сплетения у новорожденного
Стоит сказать, что киста сосудистых сплетений головного мозга у новорожденных все же может при определенных условиях быть опасной. Медики длительное время проводили исследования, пытаясь понять насколько такие формирования могут оказаться патогенными для плода и грозить его жизни.
Изначально эти образования было очень сложно вовремя диагностировать, потому что большинство из них самоликвидируется до появляется малыша на свет. Однако, когда медицина научилась делать внутриматочные снимки плода, стало ясно, что такие кистозные тела как псевдокиста сосудистого сплетения у новорожденного все же могут в некоторых условиях причинять вред ребенку. Например, грозить выкидышем или другими не менее серьезными последствиями появления кист в мозге.
Главной причиной опасности доброкачественных опухолевых новообразований сосудистого сплетения является то, что они не всегда образуются по причине генетических патологий или гормональных нарушений.
В некоторых случаях опухоли кисты левого сосудистого сплетения у новорожденного появляются по причине воспалительных недугов, инфекций или вирусных заболеваний.
Если киста сосудистых сплетений у новорожденного была сформирована по одной или нескольким из вышеуказанных причин, она скорее всего будет расти в аномальных темпах и наносить вред тканям головного мозга ребенка. Разумеется, развитие кисты в головном мозге неминуемо повлияет на его умственное или физическое развитие.
Как выглядит аномалия
По сравнению с иными типами кист данной группы, киста сосудистого сплетения у новорожденного — не патология. Скорее, это именно аномалия, поскольку вреда от ее развития организму не приносится практически никогда.
Сосудистые сплетения по своей физиологической структуре, в свою очередь, являются первыми и наиболее важными образованиями тканей в организме. На шестом или седьмом месяце эти формирования начинают скапливаться в головном мозге и образовывать центральную нервную систему.
Нервных окончаний в данной части биологического материала нет. Однако, от правильного и слаженного формирования сосудистых сплетений зависит в будущем здоровье центральной нервной системы ребенка. Правильное образование сосудистых сплетений является определенным фундаментом и залогом того, что левое и правое полушария мозга ребенка будут сформированы правильно — без побочных патологий или соматических нарушений.
Именно в период формирования и последующего развития мозга ребенка в его тканях могут обнаружить тело псевдокисты левого сосудистого сплетения у новорожденного. И чаще всего оно формируется уже на последних этапах построения центральной системы, на 15-23 неделях вынашивания ребенка.
Согласно зарегистрированным наблюдениям, чаще всего опухоль кисты сосудистого сплетения справа у новорожденного самостоятельно проходит на 28-29 неделях беременности, на том этапе, когда головной мозг ребенка начинает формироваться в окончательном виде и полностью стабилизировать свои функции.
Точной причины появления кисты сосудистых сплетений медики до сих пор сказать не могут.
Существует теория о том, что такое аномальное тело в определенный период роста головного мозга может защищать отдельные его отделы с помощью ликвора от механических повреждений и внешних влияний.
Со временем этот ликвор и формирует капсулу опухоли, которая никак не вредит ребенку. Вреда киста сосудистого сплетения у новорожденного не приносит, даже если сама не рассасывается, а остается в голове на всю жизнь.
Необходимость лечения
Как уже говорилось, в том числе Комаровским, киста сосудистого сплетения у новорожденного в типичных условиях формирования не представляет никакой опасности для плода. Опасности нет, потому что опухоль формируется в наиболее безопасной зоне мозга — там, откуда не достает до жизненно важных участков мозга. Ввиду этого опухоли такого типа обычно не лечат.
ВАЖНО ЗНАТЬ!
Однако, ошибочно думать, что раз опухоль кисты сосудов головного мозга у новорожденных не принадлежит к группе опасных и не вредит здоровью ребенка, то ее можно оставить без внимания.
Такой вид доброкачественных заболеваний сегодня крайне плохо изучен. Поэтому сказать после первичного осмотра о том, опасна ли киста в сосудах головы новорожденного, крайне сложно и практически невозможно. Доктору понадобится сделать несколько анализов или даже пункций, когда малыш родится, чтобы убедиться в безвредности опухоли и ее придатков.
Нередко случается так, что кистозное тело появилось не из-за временных гормональных нарушений в тканях головного мозга, но по причине патологий или деформаций коры или серого вещества. Киста сосудистого сплетения слева у новорожденного на фоне этого может иметь патогенные примеси гноя или крови, что делает ее токсичной и опасной для здоровья и слаженного функционирования головного мозга. Как правило, малыши с такими опухолями приобретают целый набор отклонений.
Так, ребенок может страдать врожденными формами неврозов, проблемами с кровообращением. Возникают риски развития аневризмы или инсульта. Кисты патогенного характера тщательно диагностируются на протяжении первых месяцев жизни ребенка. Если же киста сосудистого сплетения у новорожденного грозит осложнениями, она устраняется оперативным путем.
Взаимосвязь с другими патологиями
Поскольку доброкачественная опухоль сосудистого сплетения крайне мало изучена и диагностирована, многие медики продолжают предлагать теории о ее появлении. Большинство медицинских сотрудников привыкли считать, что аномальное тело на тканях сосудистых сплетений плода образуется по причине генетических или гормональных сбоев. Альтернативной причиной называют врожденные особенности строения тканей головного мозга.
Однако, некоторая группа ученых полагает, что между появлением такого кистозного тела и врожденными патологиями существует некая связь. Такие заявления можно было делать по результатам обследований детей с дефектами головного мозга, в тканях которого также была обнаружена доброкачественная опухоль сосудистого сплетения.
По результатам экспериментов стало ясно, что доброкачественная сосудистая киста у новорожденного появляется, скорее, не как первоисточник деформаций и побочных патологий, но как следствие других более серьезных нарушений. Малыши с врожденными патологиями и заболеваниями головного мозга имеют больший риск страдать еще и от доброкачественной сосудистой кисты головного мозга у новорожденных, нежели те дети, побочных патологий и врожденных заболеваний у которых обнаружено не было.
Наиболее часто провоцирующими появление кисты патологиями головного мозга, как заявляют ученые, являются синдромы Дауна и Эдвардса. Максимально благоприятными для формирования опухоли сосудистой кисты у новорожденного в голове считаются врожденные патологии и генетические деформации хромосом, по причине чего ткани мозга начинают развиваться в аномальном темпе.
Последствия позднего обнаружения
Стоит сказать о том, что большинство описываемых доброкачественных опухолей находят в двух случаях:
- либо на поздних сроках беременности;
- либо после родов, когда опухоль кисты правого сосудистого сплетения у новорожденного не успела рассосаться и могла начать свое патогенное влияние.
В ситуации с таким недугом крайне важным является вовремя диагностировать и изучить тело кисты. Чтобы понять, насколько она патогенна, врачу предстоит высчитать ее размеры, диагностировать место прикрепления и понять, какой жидкостью наполнена капсула.
Опухоли величиной до нескольких миллиметров, как правило, легко переносятся и не вызывают никаких типичных симптомов кист мозга. Даже тогда, когда остаются в тканях головного мозга на всю жизнь.
Кисты же, которые крепятся к тканям головного мозга в более чувствительных местах одного из полушарий, а также такие, которые вырастают до средних или больших размеров и повреждают прилегающие участки, могут оказаться крайне опасными.
В этом случае есть риск возникновения патологий, против которых будет неэффективным даже полноценное лечение кисты сосудистого сплетения у новорожденного.
Словом, вовремя обращаться к врачу советуют непроста. Потерянное время может очень дорого стоить.
СОВЕТУЕМ ПОСМОТРЕТЬ:
ЗАПИШИТЕСЬ НА ПРИЕМ:
Кисты сосудистых сплетений: у плода, новорожденного, причины, последствия
Патология встречается во время вынашивания плода до 20 недель, и уже у взрослого ребёнка.
Сосудистые сплетения главного органа — мозга не связаны с деятельностью нервных отростков. Их основная функция — питательная, осуществляется она через спинномозговое вещество. Киста сосудистого сплетения у новорожденных формируется в мозговой ткани. Церебральное вещество быстро скапливается, заполняет сосудистые участки. Подобная патология встречается во время вынашивания плода до 20 недель, и уже у взрослого ребёнка. Влияет ли доброкачественная опухоль на дальнейшее развитие организма?
Особенность образования
Киста сосудистого сплетения у плода до 20 недель представляет собой округлую полость, заполненную прозрачной жидкостью. При проведении скрининга капсулу обнаруживают не позднее 2 триместра. К этому периоду она обычно полностью рассасывается, когда происходит стабилизация формирования нервной системы.
Представляет собой округлую полость, заполненную прозрачной жидкостью.
Обнаружение таких кист не вызывает тревогу у врачей. Практически все полости не имеют негативного влияния на внутриутробное развитие плода.
Механизм образования и причины
Выделяют несколько факторов, которые могут спровоцировать появление кист сосудистых сплетений у плода или младенца.
У плода
В результате интенсивного развития клеток и головных отделов мозга происходит активное накопление жидкости. Пузырьки с ликвором в сосудистой области иногда говорят о мутационной способности плода, но в редких случаях связываются с психическими отклонениями — синдромом Дауна или Эдвардса.
У новорожденных
А вот кисты, обнаруженные после рождения, говорят о внешних негативных воздействиях. Сплетения поражаются при наличии воспалительных процессов. Обычно под влиянием инфекции киста образуется в ворсинчатой ткани после 28 недель. Причиной этого выступает вирус герпеса беременной, ОРВИ, гипоксия из-за недостаточности кровотока, родовые травмы.
Осложнения и последствия
Киста с жидкостью представляет реальную угрозу, если стремительно развивается. Большие капсулы могут повлиять на работу мозга из-за сдавливания нервной ткани. При повышении ликвора до критической отметки у новорожденного проявляются различные симптомы со стороны нервной системы.
Постоянное срыгивание обильного характера.
При таких образованиях над ребёнком необходим постоянный контроль, отслеживание динамики мозгового пузыря. К выраженным признакам влияния кисты сосудистого сплетения является постоянное срыгивание обильного характера, повышенный или пониженный тонус мышц, изменение координации движения. Нарушение зрения проявляется косоглазием. Гидроцефалия сплетения вызывает судороги различной интенсивности.
Эти симптомы значительно ухудшают качество жизни, могут спровоцировать нарушение сна, аппетита, дальнейшего физического развития.
Виды кистозных образований
Существует несколько видов сосудистых кист. Они различаются по процессу формирования и локализации.
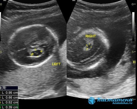
Слева
Определяется в левой доле мозга ещё до рождения ребёнка. Это одностороннее образование, не вызывающее заболевание нервной системы. В 95% случаев свидетельствует об активном скоплении ликвора. У младенцев псевдокисты левого сосудистого сплетения появляются на фоне сильных травм или гипоксии.
Справа
Правосторонняя патология отличается от левосторонней только расположением. Многочисленные наблюдения говорят о том, что нормализация сосудистого сплетения происходит в период до 22-24 недель беременности. Киста в правом сосудистом сплетении, имеющая нормальные размеры, не оказывает негативного влияния на нервную ткань.
Двусторонние псевдокисты
Требуют более тщательного наблюдения.
Такие образования уже имеют более сложный механизм развития, проявляются яркими признаками. Они требуют более тщательного наблюдения за развитием плода и новорожденного.
Различают три типа псевдокист, которые вызваны травмами плода или инфекциями беременной женщины — хориоидальная, субэпендимальная и арахноидальная. При их интенсивном росте может возникать угроза заболеваний нервной системы.
Диагностика
Первые нарушения развития определяются ещё во внутриутробном периоде. Женщина проходит обязательные исследования. Благодаря ранним скринингам выявляют кисты сосудистых сплетений. Уже от 16 недель их можно контролировать с помощью повторной диагностики.
Используют МРТ или компьютерную томографию.
В период после рождения наблюдение за кистой в правом или левом сосудистом сплетении у грудничка осуществляется с помощью ультразвукового исследования. Его применяют, если во время родов и после них имели место травмы и серьёзные инфекции. Обязательно проводят диагностику когда есть выраженные симптомы — нарушение сна, постоянная раздражительность.
При обнаружении псевдокситы невропатолог ставит ребёнка на учёт, назначает повторное исследование с установленным диагнозом. Это необходимо для выявления уменьшения полости или её роста.
Если киста не исчезает к более позднему периоду, а вызывает специфические симптомы, может назначаться более глубокое исследование. Для этого используют МРТ или компьютерную томографию.
Особенности лечения
В большинстве случаев при появлении ликворных пузырей в сосудистых сплетениях терапия не требуется. Кисты рассасываются самостоятельно, если они не спровоцированы травмами и инфекциями. В остальных случаях невропатолог сам определяет тактику лечения. Она может быть медикаментозной или хирургической.
Консервативная терапия
Лекарственные препараты назначают, когда образование в сплетении развивается медленно.
Лекарственные препараты назначают, когда образование в сплетении развивается медленно. Тогда используют препараты, которые устраняют причину её появления и способствуют усилению кровообращения. Это даёт повреждённому участку мозга достаточное питание и распределение ликвора.
Если аномальное развитие кисты связано с воспалительным вирусным или инфекционным процессом, обязательно назначают противомикробные препараты, противовирусные средства и иммуностимуляторы. Курс лечения продолжается до тех пор, пока не начнёт отслеживаться положительная динамика.
Операция
Хирургическое вмешательство обязательно назначают при крупных капсулах, которые быстро развиваются. Такое лечение предотвращает высокий риск осложнений симптомов, и может сохранить психическое развитие ребёнка на нормальном уровне. Перед проведением лечения родителей обязательно уведомляют о последствиях манипуляций.
- Шунтирование. Проводится с минимальным травматизмом для ребёнка через специальные трубки, по которым откачивается жидкость из кистозной полости. Минусом такой операции является высокая вероятность попадания инфекции через трубки. Параллельно проводят антибиотикотерапию, чтобы исключить развитие воспалительного процесса и поражения тканей головного мозга. Также после шунтирования есть вероятность рецидива, когда полость снова может заполниться ликвором.
- Трепанация. Крайне опасный метод лечения для ребёнка. Его назначают в критических ситуациях, когда другие методы не эффективны. После оперативного вмешательства наступает ряд последствий, о которых родители узнают заранее. В более позднем периоде у малыша могут наблюдаться различные неврологические патологии.
Профилактика
Нормальное внутриутробное развитие в большинстве случаев зависит от образа жизни беременной. Ей необходимо избегать множества негативных факторов. Они могут повлиять на развитие мозга будущего малыша. Большую опасность представляет курение и употребление крепких спиртных напитков. Эти привычки вызывают стойкую гипоксию на фоне недостаточного кислородного обеспечения.
Уже на раннем этапе необходимо встать на учёт к гинекологу и пройти обследование у узких специалистов. Необходимо беречься, избегать переохлаждений, которые могут привести к вирусным поражениям. Если факторов не удалось избежать, потребуется тщательное выполнение рекомендаций лечащего врача.
Киста сосудистого сплетения у новорожденного (левого и правого бокового желудочка): что такое, симптомы, причины, лечение
Одним из наиболее распространенных патологий в перинатальной практике считаются кисты сосудистых сплетений головного мозга у новорожденных. Само кистозное новообразование не представляет никакой угрозы здоровью грудничка. Опасность может заключаться в болезни, по причине которой было спровоцировано развитие опухоли.
Что такое
Киста — новообразование доброкачественного характера. Полость ее заполнена специфической жидкостью (ликвором). Имеет четкие границы. Стенки выстланы глиальной, арахноидальной или эпителиальной тканью.
В большинстве случаев новообразование не оказывает негативного воздействия на мозг и не опасно для здоровья и жизни младенца.
Когда происходит быстрый рост кистозного мешка, в результате чего оказывается давление на рядом расположенные ткани, нарушается мозговое кровообращение и функционирование нервных клеток.
Местом локализации кистозной опухоли чаще всего становится просвет сосудистых сплетений.
В период 14-22 недель беременности формирование кисты относится к нормальным состояниям, поскольку к моменту родов она обычно полностью рассасывается.
Виды
Подобные наросты у младенцев специалисты классифицируют на несколько разновидностей.
Хориоидальная
Это новообразование сосудистого сплетения, диагностирующееся в 3 и 4 желудочках. Заболевание может быть спровоцировано патологиями инфекционной природы происхождения, а также недостаточным количеством кислорода, поступающего в мозг ребенка в процессе родовой деятельности.
По мере прогрессирования болезни младенца будут беспокоить головные боли, судорожные состояния, тремор верхних или нижних конечностей.
Под оболочкой, которая выстилает полость мозга, образуются пузырьки небольших размеров. Внутри их содержится спинномозговая жидкость. Среди предрасполагающих факторов выделяют травмирование мелких сосудистых стенок во время родов.
Как правило, повреждениям подвергается от 2 до 3 капилляров. В результате такого состояния под оболочку начинает проникать небольшое количество кровяной жидкости.
Переработка гематом осуществляется специальными клетками, которые вместо крови наполняются ликвором. Это приводит к формированию кистозного мешка, который при отсутствии патологических отклонений с течением времени подвергается к самостоятельному рассасыванию.
По мнению большинства специалистов, такие новообразования не требуют проведения специальных терапевтических мероприятий. Кроме этого, практически в 100 процентах случаев наблюдается самоизлечение.
Перивентрикулярная
Формирование такой разновидности кист происходит на фоне поражения белого вещества мозга по причине образования некротических очагов, при аномальном развитии органа еще в утробе матери, а также при наличии инфекционных патологических процессов.
Заболевание сложно поддается лечению и в каждом случае подбирается в индивидуальном порядке. Для проведения терапии назначается медикаментозное лечение в сочетании с оперативным вмешательством. Такой тип кистозных опухолей редко может рассасываться самостоятельно.
Арахноидальная
Это довольно редкое аномальное состояние головного мозга. Диагностируется примерно в 3 процентах случаев.
Новообразования образуются внутри черепа, имеют тонкие стенки. Местом локализации становится пространство между поверхностью мозга и путинной оболочкой.
Арахноидальные кисти подразделяются на две группы:
- первичные – определяются во время беременности на последних неделях или в первые несколько часов после рождения;
- вторичные – развиваются на фоне проведенной операции или при наличии воспаления.
Чаще такие наросты диагностируются у мальчиков. Патология сопровождается болями головы, судорогами, подергиванием конечностей.
Причины
Основным провоцирующим фактором выступают дегенеративные изменения тканей и их дальнейшее отмирание. Именно в таких патологических участках начинают образовываться новообразования с жидкостью внутри.
Специалисты выделили ряд причин, способствующих формированию кистозных опухолей у младенцев:
- травмирование в процессе прохождения по родовым путям;
- заболевания ЦНС;
- поражение вирусом герпеса;
- воспалительные патологии мозга, среди которых может быть менингит или энцефалит;
- дефицит кислорода в органе;
- недостаточное количество питательных микроэлементов, что может спровоцировать нарушение кровообращения в мозге.
При негативном влиянии определенных факторов может уже сформировавшаяся киста может начать расти и распространяться на соседние ткани. В большинстве случаев такое состояние возникает при повышении внутричерепного давления.
Кроме этого, новообразования начинают увеличиваться при сотрясениях, травмировании черепной коробки или на фоне инфицирования.
Симптомы
В большинстве случаев имеющиеся кистозные полости, которые не рассосались самостоятельно, длительное время никак себя не проявляют.
Возможно только проявление поражения структур мозга при более позднем формировании новообразования, а также если формирование кисты было спровоцировано инфекционной болезнью или травмой.
При увеличении в размерах происходит сдавливание мозговых тканей. Также отмечается высокая выработка ликвора. Все это приводит к повышению внутричерепного давления, что сопровождается симптоматикой, характерной для гидроцефалии.
Процесс формирования кистозных опухолей характеризуется:
- тошнотой;
- частым срыгиванием;
- рвотой;
- гипотонусом или гипертонусом нижних и верхних конечностей;
- косоглазием;
- нарушением двигательной функции;
- судорогами.
Кроме этого, у ребенка отмечаются сильные головные боли и повышенная плаксивость. Новорожденный начинает плохо спать, становится капризным и апатичным.
Диагностика
По мнению большинства специалистов, кистозное образование сосудистого сплетения — это не болезнь. Однако на фоне такого состояния могут возникнуть другие патологические процессы.
Чтобы диагностировать наличие кист, поражающих область левого или правого бокового желудочка, проводится ряд инструментальных обследований.
Применяется в том случае, если риск появления трисомии значительно увеличивается.
Ультразвуковое исследование
Проводится в период внутриутробного формирования. Это дает возможность установить наличие кистозной опухоли на начальных этапах ее формирования.
Амниоцентез
Процедура отличается высокой информативностью. Проводят ее во время беременности до 22 недель. Методика исследует клетки эпителия у плода.
Назначается, когда ребенку исполнится год. С помощью данной манипуляции можно установить двухстороннее поражение сосудистых сплетений. Но стоит отметить, что процедура проводится до того момента, пока не начнет закрываться передний родничок.
Лечение
Выбор проведения терапевтических мероприятий зависит от нескольких факторов. В этом случае важно принимать во внимание тип кистозного образования, его размеры и место расположения.
Если заболевание диагностировано еще во внутриутробном развитии, терапия не требуется. В этом случае выбирается наблюдательная тактика, позволяющая постоянно проводить наблюдения за состоянием мозга у новорожденного. Как правило, при таких ситуациях происходит самостоятельное рассасывание новообразований.
Если возникает необходимость в удалении опухоли, то специалисты отдают предпочтение двум способам оперативного вмешательства.
Радикальный
В данном случае череп трепанируют и производят полное иссечение кисты. Операция относится к наиболее травматичным и представляет серьезную угрозу для здоровья грудничка.
Именно по этой причине применяется при крайне тяжелом состоянии, когда не наблюдается положительного результата от применения других способов лечения.
Паллиативный
Включает два метода терапии.
Шунтирование
Методика заключается во введении шунта в кистозную полость и удалении из нее содержимого. Такая процедура не опасна. Однако не исключает риски проникновения в головной мозг инфекции, на фоне чего могут начать развиваться воспалительные процессы.
Эндоскопия
В черепной коробке проделывают несколько небольших проколов. Извлечение опухолевого образования осуществляется при помощи эндоскопа. Такой вид хирургического вмешательства является менее травматичным, а восстановительный период не занимает много времени.
https://www.youtube.com/watch?v=c8dvuyulHck
После операции редко когда состояние младенца осложняется, но только при условии, что мероприятие осуществляется высококвалифицированным специалистом.
Может ли перерасти в рак
В некоторых ситуациях киста сосудистого сплетения ошибочно принимается за сосудистую опухоль. Однако, нужно сразу отметить, что это разные патологические процессы. В первом случае подобное состояние не опасно для новорожденного и не имеет предрасположенности к малигнизации.
Однако, в случае когда было диагностировано новообразование, которое постоянно растет, то необходимо обратиться за консультацией к врачу. Данный признак может свидетельствовать о развитии метастазирования.
Осложнения
Кистозные образования имеют предрасположенность к росту и распространению. При этом подобные состояния могут протекать без проявления характерных признаков. В результате это может привести к стремительной активизации опухоли и появления опасных последствий, что нередко заканчивается инсультом.
Увеличение кист наблюдается в период полового созревания, когда происходит гормональная перестройка организма.
При отсутствии лечения могут возникнуть такие осложнения, как:
- полное или частичное нарушение зрительной и слуховой функции;
- развитие судорожного синдрома;
- умственная отсталость;
- проблемы с двигательной активностью и вестибулярным аппаратом.
Только при вовремя обнаруженной патологии можно избежать таких последствий.
Прогноз
В целом исход болезни благоприятный. Кисты, как правило, формируются еще на этапе эмбрионального развития и к моменту рождения ребенка, рассасываются самостоятельно.
Если этого не произошло, то в зависимости от степени течения патологического процесса выбирается максимально эффективная тактика проведения лечения.
Как правило, при своевременном удалении растущей опухоли, можно достичь полного излечения.
Профилактика
В большинстве случаев выполнение профилактических мероприятий зависит от женщины, которая вынашивает ребенка. В период беременности нужно стараться не допускать, чтобы организм переохлаждался. Не рекомендуется посещать многолюдные места, где велика вероятность заболеть ветрянкой и другими болезнями инфекционного характера.
Чтобы не допустить формирования кистозных опухолей у новорожденного, важно вести здоровый образ жизни, не курить и не употреблять спиртные напитки, придерживаться правильного питания.
Киста сосудистых сплетений – патологическое состояние, которое не несет угрозы для жизни и здоровья грудничка. Однако, чтобы не допустить развития осложнений, важно своевременно выявить новообразование и принять необходимые меры по его устранению, если это понадобится.
Диагностика и лечение кисты сосудистого сплетения головного мозга у грудничков
Основной целью сплетений сосудов является выработка мозговой жидкости (ликвора), которая окружает спинной, а также головной мозг человека.
Киста сосудистого сплетения головного мозга у грудничков образуется задолго до рождения, еще на 24 – 26 неделях развития в материнской утробе, а затем самостоятельно исчезает.
Хотя эти полости не оказывают никакого вредного воздействия на детский организм ни до рождения ни после него, многие женщины тревожатся по этому поводу. Такие образования в сосудах мозга не влияют и на работу мозговых отделов.
Образование подобного полостного сплетения, расположенного в правом желудочке мозга, является односторонним. Если у ребенка есть генетические отклонения в структуре мозга, там возможны аномальные изменения. Их легко увидеть во время ультразвукового исследования.При расположении кисты в боковом сплетении наблюдается пониженное ХГЧ, что указывает на врожденную аномальную патологию.
Встречаются также билатеральные кистозные образования сплетений сосудов в мозговых тканях, которые являются двусторонними поражениями. Структура тканей и сосудов мозга не нарушается, но при этом киста затрагивает сплетения сосудов одного бокового желудочка или обоих.
Обычно новообразования проходят самостоятельно. Многочисленные наросты сосудистого сплетения встречаются как у взрослых, так и у детей.
Иногда такие сплетения появляются и позже после инфекционных патологий. Они диагностируются у новорожденных, и их необходимо отличать от кист сосудистых сплетений головного мозга у грудничков, которые развиваются в головном мозге и не являются следствием каких-либо патологических процессов.
Определение патологии
Киста сосудов головного мозга относится к скоплениям цереброспинальной жидкости, циркулирующей внутри их сплетения. Она продуцируется для питания мозговых клеток и тканей будущего человечка, а сплетения являются ранними признаками развития центральной нервной системы плода. В случае слишком быстрого развития мозга между сосудами появляется свободное пространство, заполняемое спинномозговой жидкостью.
И тогда появляется киста. Почему происходит это скопление жидкости в некоторых местах, никто из специалистов точно сказать не может. Да и разбираться в этом нет острой необходимости, потому как оно не влияет на здоровье малыша. Эти скопления при ультразвуковом исследовании похожи на кисту, потому их так и обозначают в заключениях.
Даже обнаруженные у новорожденных и грудничков такие кисты обычно не представляют опасности.

Диагностика патологии
Изменения обнаруживают при УЗИ или сонографии. По рекомендации всемирного общества здравоохранения, исследования эти делают всем детям до года. С помощью УЗИ определяют неврологические нарушения.
Сонографию назначают в случае, если в анамнезе были:
- родовая травма у малыша;
- инфекционное заболевание матери во время беременности;
- тяжелое протекание беременности;
- недоношенность плода;
- отклонения в размерах при рождении ребенка;
- выраженные нарушения в форме головки;
- порок в строении органов малыша.
Никаких признаков наличия кисты у грудничка не наблюдается. Отклонение это появляется и исчезает без симптомов. Оно не патологическое и в большей части случаев не влияет на мозговую активность ребенка.
Согласно исследованиям, такие кисты обнаруживаются не только у детей, которые отстают в развитии. В равной степени данные образования встречаются и у нормально развитых малышей.
Возможная опасность
Обнаруженные при обследовании признаки кисты должны обязательно насторожить врача, хотя это и неопасно. Но ее наличие все же увеличивает вероятность хромосомных отклонений.Если нарушения в клинических анализах отсутствуют, присутствие кисты не дает оснований на подозрение каких-то отклонений в мозговых тканях. Но в некоторых случаях для проверки отсутствия генетических изменений проводят анализ околоплодных вод матери.
Если же у плода наблюдается поражение головного мозга, то последствия могут быть достаточно серьезными, например, синдром Эдвардса или Дауна. Однако это влияние не доказано научными исследованиями.
Связь с другими отклонениями
В отдельных источниках иногда встречаются сведения о существовании некоторой связи между присутствием кисты и патологиями врожденного характера, которые обусловлены мутациями в генах. При этом локализация места образования не имеет значения, ведь эта кистозная полость не способна спровоцировать аномалию развития ребенка. Все как раз наоборот: именно аномалии или инфекции могут повлечь за собой развитие патологии.
К генетическим отклонениям, при которых наличие кисты обнаруживается чаще всего, относят трисомию 18, известную как синдром Эдвардса. Даже трисомия 21, называемая болезнью Дауна, не настолько сильно влияет на частоту появления кистозной полости в сосудах мозга.
В случае обнаружения других заболеваний плода главную роль здесь играет не киста, а отклонения, которые ее сопровождают. Это должны знать женщины, ждущие малышей. И не следует бояться такого диагноза.
Признаки наличия кисты
Кистозное образование может стать провоцирующим фактором нарушений в функционировании разных органов и деструкции их тканей. Объем кисты, а также предрасположенность ее к увеличению очень важные в данном случае показатели.
Киста сосудов мозга может расти по нескольким причинам:
- свободное пространство с растущим давлением жидкости внутри кисты;
- прогресс инфекции или воспаления;
- травмы мозга и ушибы головы при уже присутствующей кисте;
- присутствие кист в мозговых тканях.
При развитии организма ребенка, особенно в возрасте подростковых изменений, кисты, которые до сих пор вели себя спокойно, могут внезапно увеличиваться в размерах.
Симптомы
Крупные кистозные полости могут вызывать:
- ноющую или острую головную боль;
- нарушения работы органов слуха и зрения;
- двоение в глазах или нарушение четкости зрения;
- расстройство режима сна;
- шум в голове;
- нарушения координации движений;
- высокое черепное давление;
- ослабление мышечного тонуса;
- обмороки, судороги или тремор;
- частая отрыжка;
- усиленное пульсирование в области родничка;
- приступы эпилепсии;
- иногда онемение конечностей, вплоть до их временного паралича.
Каждый из этих признаков проявляется в зависимости от того, в каком месте локализуется кистозное образование. Например, нарост, располагающийся возле гипофиза, нередко приводит к дисфункции в эндокринных железах и половых органах. В тяжелых случаях происходит сдерживание развития малышей, причем не обязательно умственного. Может происходить и нарушение физического развития.
Отличие от других типов кист
Следует отличать эту патологию от кисты, образующейся в мозговом веществе. К появлению этих образований часто приводят инфекции, которые перенес плод. Для выявления кисты и ее устранения назначают ПЦР диагностику. Это делается, чтобы определить возбудителя инфекции. После проведенного исследования назначают лечение, а по его окончании обследование повторяется.
Кистозные образования головного мозга подразделяются на субэпендимальные и арахноидальные. Образования первого типа появляются при недостаточном питании мозга в области желудочков. Это влечет за собой отмирание тканей и появление пустых полостей.
Арахноидальные кисты развиваются внутри мозговой оболочки. Такая полость возникает в результате инфекции. Эта патология требует врачевания, а порой и хирургического вмешательства. Если подпбную кисту не удалить, она приведет к нарушению в работе двигательной системы, повредит зрительный и другие участки мозга.
Виды и время обследований
Для выявления дисфункции мозговых тканей всем малышам проводят нейросонографию. Такое исследование возможно выполнить до достижения ребенком годовалого возраста.
У старших детей большой родничок, как правило, уже закрыт, а он является как бы окном, через которое можно увидеть, в каком состоянии находится мозг. Можно также проводить УЗИ при достижении малышом возраста 3, 6 и 12 месяцев.
Особенно внимательно следует относиться к недоношенным детям, а также к родившимся с нарушениями веса. Нельзя упускать из виду новорожденных, которые получили травмы при родах или страдали гипоксией в утробе матери.
Чем и как лечат
Обычно обнаруженные сосудистые кистозные полости не нуждаются в назначении лечения. Образование кисты редко вызывает дегенеративные последствия и появление симптомов ее присутствия. Потому часто родители паникуют неоправданно.
Специфическую терапию кисты не проводят даже в том случае, когда размеры ее не меняются в течение долгого времени. Она не влияет на развитие малыша.
Но в случае резкого увеличения кисты и ее роста нужно уменьшить образование. Однако это очень редко бывает необходимо. Разрастаться киста начинает на 24-й неделе внутриутробного развития, а уже на 28-й – полностью исчезает.
Крайне редко кистозная полость сохраняется до рождения малыша.Множество кистозных полостей появляется чаще вследствие перенесенной инфекционной болезни. Потому терапия в этом случае должна быть направлена на лечение последствий инфекции.
Кисты здесь не играют главенствующей роли.
Чтобы снизить риск нарушений на генетическом уровне, после того, как обнаружена односторонняя киста, назначают обследование, а потом лечебные процедуры, которые призваны ликвидировать любые отклонения в развитии малыша.
Решать, нужно ли лечение данной полости, должен только невропатолог. Терапия кисты с помощью приема медикаментов должна быть направлена на устранение ликвородинамических дисфункций, способствовать снижению производства жидкости, улучшать внутричерепное кровообращение.
Лечение начинают с употребления «Циннаризина». Это лекарство благоприятно влияет на работу сердца и сосудов, помогает стабилизации организма и разрушает нежелательные наросты.
В случае нарушении кровообращения в сосудах мозга назначают «Кавинтон». Этот медикамент, как и «Циннаризин», хорошо переносится, не имеет побочных эффектов и реакций. Но тем не менее, принимать лекарственные средства можно, только посоветовавшись со специалистом.
Каких-либо специальных методов врачевания этих кистозных образований нет. Специалисты рекомендуют повторять ультразвуковое обследование по истечении каждых двух-трех месяцев, чтобы можно было пронаблюдать за развитием или постепенным исчезновением полости кисты сосудов внутри черепной коробки.
В случае установления диагноза киста субэпендимального типа возникает необходимость проводить МРТ-исследование или МР-диагностику не реже двух раз в течение года. Хотя образование кистозных разрастаний данного типа медики считают положительным процессом. Но все же возможны появления резкого повышенного давления внутри полости разросшейся кисты при каких-либо осложнениях.
Чтобы снизить риск генетических аномалий, после обнаружения односторонней кисты врач назначает обследование, а после него определяется терапевтический курс, который призван предотвратить любые отклонения в развитии детского организма. Нужно помнить, однако, что в девяти случаях из десяти обнаруженные кисты сосудистых сплетений головного мозга не несут угрозы для жизни, они не должны вызывать тревоги.
Киста сосудистого сплетения головного мозга у плода, ее причины, симптомы и следствия
После прохождения УЗИ беременные женщины иногда очень пугаются, получив заключение врача, гласящее, что обнаружена киста сосудистого сплетения головного мозга у плода. Это пугающее название созвучно другим, более серьезным проблемам, как, например, сосудистая киста. Такой результат УЗИ не несет угрозы и в 99,9% случаев киста не опасна плоду и его будущей жизни.
Что такое киста сосудистого сплетения головного мозга у плода

Описание патологии
Название «киста» для этого образования, скорее даже явления, не совсем оправданно. В этом случае под кистой понимается скопление жидкости, продуцируемой самим сосудистым сплетением. Оно представляет собой особое образование, возникающее на ранних этапах формирования плода еще в стадии эмбриона. Сосудистое сплетение служит базой для формирования нервной системы будущего человека, оно вырабатывает специальную жидкость, называемую ликвором, которая питает будущий головной мозг ребенка.
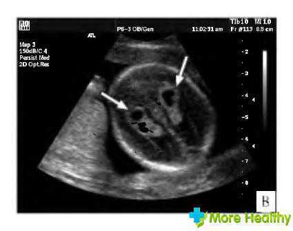
По неизвестным до сих пор причинам у некоторых эмбрионов возникает так называемая киста сосудистого сплетения головного мозга у плода. По факту это скопление жидкости в самом сплетении, которое выглядит на УЗИ как киста. Оно встречается с частотой от 1 до 3% всех случаев обследования беременных, иногда киста может быть односторонней или двусторонней, единичной или множественной.
В крайне малых количествах случаев обнаружения кисты сосудистого сплетения она может быть свидетельством наличия у плода неких аномалий, связанных с мутационными процессами на генетическом уровне.
Однако нужно отметить, что сам по себе факт наличия такой кисты не связан напрямую с генетическими аномалиями, она может появляться и у совершенно нормального, здорового плода. Обнаружение кисты не говорит о том, что будущий ребенок имеет наследственные заболевания, но генетические нарушения могут сопровождаться образованием подобных образований в сосудистом сплетении.
Следует сразу успокоить обеспокоенную будущую маму и родственников. Несмотря на пугающее название, такая киста не несет никакой угрозы для будущего ребенка.
Причины возникновения кисты сосудистого сплетения головного мозга у плода

Возможные причины появления кисты
Полностью причины образования кисты неизвестны, но есть предположения, что она возникает просто как результат чрезмерного продуцирования ликвора самим же сосудистым сплетением. Так как эта киста не имеет тенденции ни к росту, ни к перерождению в другие опухолевые формы, она не считается заболеванием и не является диагнозом.
На самом деле и кистой в прямом смысле она тоже не является, поэтому она не может ни лопнуть, ни нагноиться, ни давить на окружающие органы. Более того, киста сосудистого сплетения чаще всего диагностируется у плода до 20 недели жизни, а затем бесследно исчезает, не оставляя никаких последствий.
Лишь в редчайших случаях ребенок рождается с этой кистой, однако в подавляющем большинстве зарегистрированных фактов наличия новорожденных с кистой сосудистого сплетения она самостоятельно исчезает через 2 – месяца жизни малыша.
Есть ничтожно малый процент взрослых людей, у которых можно обнаружить одно или несколько подобных образований, которые не оказывают никакого влияния на состояние здоровья человека.
Киста может быть одиночной или парной (левой и правой), а также сопровождаться появлением нескольких подобных образований.
Она никак не сказывается на развитии ребенка и не влияет на его будущие умственные и физические возможности и способности.
Опасность могут представлять кисты, носящие очень похожее название, но никак не связанные с рассматриваемым состоянием. Они называются сосудистые кисты, и не имеют ничего общего с рассматриваемым нами состоянием.
Обнаружение и наблюдение кисты сосудистого сплетения головногомозга у плода
Даже если в момент рождения регистрируется киста, она никак себя не проявляет в дальнейшем и ребенок может считаться здоровым при отсутствии других заболеваний. Он развивается и растет точно так же, как и другие дети его возраста.
Сосудистые же кисты в основном связаны с инфекционными заболеваниями у матери и могут как самостоятельно исчезать, так и никак не проявлять себя до момента естественной смерти уже в пожилом возрасте. Однако кисты, появление которых спровоцировано вирусом, намного чаще дают негативные реакции – начинают расти, перерождаться или отрицательно влиять на состояние здоровья ребенка.
Но утверждать однозначно, что все вирусные кисты – сугубое зло и потенциальная опасность, неправильно. Большая их часть бесследно исчезает к году жизни ребенка. Но для полной безопасности такие кисты обязательно наблюдаются на УЗИ и при помощи других средств, при такой необходимости.
Периодичность наблюдения:
- Третий месяц после рождения
- Полгода
- Год жизни ребенка
Видео. УЗИ головного мозга в первый месяц жизни ребенка.
Читайте: Предполагаемая масса плода по формулам и данным УЗИ
Кисты патологического характера могут иметь и не вирусное происхождение. Их причиной может стать:
- Инсульт и микроинсульт
- Аневризма
- Родовые травмы
- Травмы иного происхождения
Если наличие сосудистой кисты подтверждается диагностикой в течение первого года жизни или же выявляется ее рост, изменение формы, консистенции и состояния, назначается специфическое лечение или оперативное вмешательство. Выводы врача строятся на основании данных анализов и жизненных показаний.
Возможные следствия кисты сосудистого сплетения головного мозга

Проявления патологии после рождения ребенка
Хочется лишний раз успокоить беременных женщин и молодых мам, детям которых поставлен диагноз киста сосудистого сплетения головного мозга у плода. Это безвредное и не перерождающееся образование, которое не несет угрозы здоровью и жизни малыша. Они не сказываются на его росте и развитии, не имеют и внешних симптомов и последствий.
Другое дело сосудистые кисты. Хотя и здесь не стоит паниковать, так как в большинстве случаев и эти образования благополучно рассасываются еще до того, как малышу исполнится год. К тому же они проявляются определенными симптомами, которые могут быть замечены как медперсоналом, так и самими родителями.
Последствия прогрессирования и развития сосудистых кист разного происхождения:
- Нарушения координации движения, большей частью незаметные и несущественные.
- Небольшие расстройства слуха и зрения.
- Гипертонус, наблюдаемый у новорожденного.
- Сдавливание головного мозга при росте кисты (очень редко).
- Эпилептические припадки (в редких случаях, при запущенном заболевании).
Даже при таких симптомах и последствиях наличия сосудистых кист они не являются приговором и большей частью успешно лечатся, в зависимости от причины их появления.
Очень важно при получении результатов УЗИ не впадать в панику и внимательно прочитать заключение врача.
Хоть названия кист очень схожи, они относятся к двум совершенно разным состояниям. Если сосудистая киста теоретически может представлять опасность, то киста сосудистого отдела головного мозга по факту как таковая псевдокиста, то есть образование, на экране монитора УЗИ имеющая вид такого дефекта.
Такая псевдокиста – один из вариантов физиологической нормы и не может нанести вреда малышу, к тому же она встречается очень редко. Будущая мама должна сохранять спокойствие ради благополучия своего ребенка.
Особенности кисты сосудистых сплетений у плода 20 недель
Киста в области сосудистого сплетения, расположенного в желудочковой системе в головном мозге у плода, обычно обнаруживается на 20 неделе беременности в ходе УЗИ-обследования. Обычно доброкачественное новообразование не представляет угрозы для жизни и здоровья малыша.
Более, чем в 90% случаев киста бесследно регрессирует на более поздних сроках гестации (до 28 недели). Редко новообразование остается неизменным, выявляется методом нейровизуализации у новорожденного ребенка и взрослого человека.
Даже в этом случае патология протекает бессимптомно, не влечет серьезных осложнений и болезней.
Определение патологии
Сосудистое сплетение – ворсинчатая структура, которая находится в желудочковой системе, вырабатывает и транспортирует цереброспинальную жидкость. Другая важная функция – регуляция состава ликвора, которую выполняют эпендимоциты (клетки эпителия, покрывающие ворсинчатую структуру). Реснички эпителиальной выстилки перемещают любые частицы, находящиеся в желудочковой системе, к отверстиям желудочков, обеспечивая циркуляцию цереброспинальной жидкости.
Ткань насыщена кровеносными сосудами и нервными окончаниями. Сосудистое сплетение образуется в четвертом желудочке на 4-5 неделе развития плода, в третьем желудочке – на 6-7 неделе, в боковых желудочках – на 7-9 неделе. Сосудистые сплетения третьего и боковых желудочков объединяются. Новообразования различной этиологии с локализацией в тканях сосудистого сплетения составляют до 0,6% в общей массе опухолей мозга. Киста этой локализации в мозге плода выявляется с частотой 3%.
Эхографическое ультразвуковое исследование показывает, что киста в головном мозге у плода на сроке 20 недель обычно представляет собой округлое (анэхогенное) образование, обладающее четкими контурами. Чаще локализуется в системе боковых желудочков. Кисты в зоне сосудистых сплетений в боковых желудочках, расположенных в головном мозге у плода, бывают справа и слева, односторонними и двухсторонними, единичными и множественными. Размеры существенно варьируются в пределах 1-15 мм в диаметре.
Патология выявляется у плода в период внутриутробного развития и у новорожденных младенцев. Нормальная беременность в 1-2% случаев сопровождается появлением КСС. В 20% случаев кисты двухсторонние. Кисты в области сосудистого сплетения обнаруживают слева или справа в желудочковой системе у здоровых новорожденных детей и взрослых. Статистика показывает, КСС в 3 раза чаще образуются в желудочковой системе плода у беременных женщин из группы высокого генетического риска.
Причины формирования кисты
Причины возникновения кисты в области сосудистых сплетений в головном мозге у плода связаны с развитием эмбриона. На 6 неделе гестации верхняя пластинка сосудистой оболочки, сформированная одним слоем эпендимальных клеток и покрытая сосудистой мезодермальной паренхимой, сильно выпячивается из-за интенсивной, ускоренной пролиферации.
Выпячивание происходит в направлении будущих, еще не сформированных боковых желудочков. Образовавшиеся ворсинки (внутрижелудочковые выпячивания) впоследствии формируют основу, из которой образуются сосудистые сплетения. В период 13-18 недели развития эмбриона происходит ускоренный рост ворсинок, что приводит к возникновению сетчато-трубчатых структур.

Свободное пространство между появившимися отделами занимает муцин – гликопротеид (секрет эпителиальных клеток). Пространство, наполненное секретом, воспринимается диагностическим оборудованием во время проведения эхографии, как эхонегативное образование – киста. Это основная причина появления кисты в зоне сосудистых сплетениях в головном мозге у плода.
КСС часто визуализируются при эхографическом обследовании в I-II триместре беременности. Обычно к концу срока гестации образование исчезает. У новорожденного в этом случае не наблюдается какая-либо неврологическая симптоматика. Ученые отмечают зависимость между возникновением КСС и хромосомными мутациями, выявленными у плода. Иногда киста является вспомогательным маркером, который указывает на развитие синдрома Эдвардса (трисомии 18).
Заболевание проявляется множественными нарушениями в психическом и физическом развитии младенца. Дети с синдромом Эдвардса рождаются с малой массой тела (обычно до 2,2 кг). У них наблюдаются отклонения в формировании лица, стоп, грудной клетки, часто диагностируются пороки сердца и аномалии крупных сосудов. Всегда выявляется гипоплазия (недоразвитие) мозолистого тела и мозжечка.
60% новорожденных с синдромом Эдвардса умирают в возрасте до 3 месяцев, чаще всего в результате остановки сердца или дыхания. Выжившие дети страдают олигофренией. Обнаруженная у плода КСС является поводом обратить внимание на другие признаки, которые могут указывать на наличие синдрома. Врач может порекомендовать дополнительную инвазивную диагностику беременным женщинам, которые находятся в группе риска – старше 45 лет, с диагнозом сахарный диабет.
Дополнительное инвазивное обследование назначают только в том случае, если у плода кроме КСС обнаружены другие пороки развития. Частота хромосомных аномалий при выявленной КСС составляет 5-6% случаев. При этом генные мутации не взаимосвязаны с количеством, размерами и локализацией (односторонние, двухсторонние) кистозных образований.
КСС у новорожденных может возникать как результат родовой травмы и последующего кровоизлияния в область сосудистого сплетения. Нередко патология развивается после перенесенных внутриутробных вирусных инфекций (парагриппозная, микст-респираторная), в этом случае никакое лечение не требуется, если КСС – единственное отклонение от нормы, а ребенок не болеет и чувствует себя хорошо.
Основные симптомы
Киста, которая появилась в области сосудистого сплетения в головном мозге у грудничка, обычно протекает бессимптомно, не доставляя малышу дискомфорт, не влияя на неврологический статус. Редко на фоне увеличения размеров кисты развивается обтурационная (вследствие сдавливания протоков) гидроцефалия. Состояние сопровождается симптомами:
- Боль в зоне головы.
- Тошнота, рвота.
- Застойные явления в области глазных дисков.
- Судорожный синдром (редко).
- Вялость, апатия, помрачение сознания.

В отличие от кист правого или левого сосудистого сплетения, которые обычно не вызывают у врачей опасений, у новорожденного могут появляться другие новообразования с локализацией в системе желудочков. В их числе интрааксиальные (расположенные в тканях мозгового вещества), паренхиматозные новообразования, которые выглядят как внутрижелудочковые из-за экзофитного (направленного в просвет полого органа) роста.
Отдельно стоит отметить хориоидальные ксантогранулемы с локализацией в сосудистом сплетении. Подобные новообразования встречаются крайне редко, могут появляться на фоне церебротендинального ксантоматоза – заболевания, которое возникает вследствие нарушения липидного обмена и характеризуется отложением в тканях триглицерида и холестерина. Патология проявляется прогрессирующими неврологическими симптомами:
- Мозжечковая атаксия, нарушение двигательной координации (после пубертатного периода).
- Зрительная дисфункция (птоз, экзофтальм).
- Судорожные приступы.
- Мышечная слабость.
- Дистония, повышенная спастичность в конечностях.
- Девиантное поведение, слабоумие (в старшем возрасте).
Опухоли данной локализации в 70% случаев выявляются у детей в возрасте до 2 лет. Папилломы с локализацией в сосудистом сплетении (хориоидпапилломы) чаще диагностируются у детей раннего возраста через несколько месяцев после рождения. Доля хориоидпапиллом составляет 12-14% в общей массе опухолей мозга, выявленных у новорожденных в первый год жизни.
Чаще (до 50% случаев) новообразования локализуются в зоне боковых желудочков. Обычно патология протекает бессимптомно. Нарушения развиваются на фоне разрастания папилломы, что провоцирует повышение значений внутричерепного давления и гидроцефалию.
Диагностика
Контрольное УЗИ-обследование проводят на 28 неделе – к этому времени обычно кисты исчезают. При наличии подозрений на хромосомную мутацию назначают пренатальное (до рождения малыша) кариотипирование. Кариограмма отражает полный набор хромосом плода. В ходе процедуры производится забор крови из пуповины (кордоцентез). Цитогенетический анализ позволяет получить информацию о хромосомном наборе эмбриона.

Процедура проводится после 21 недели гестации. Диагноз киста левого или правого сосудистого сплетения, обнаруженная в головном мозге у новорожденного, ставят на основании результатов нейросонографии. В ходе диагностического обследования патологию дифференцируют от папилломы, ксантогранулемы и других видов новообразований с расположением в сосудистом сплетении.
Возможные осложнения
Если киста, выявленная в сосудистом сплетении в головном мозге у новорожденного, не является признаком генной мутации, она не провоцирует неврологическую симптоматику и не вызывает нарушения в развитии ребенка. Обычно КСС не требует специального лечения. Если из-за разрастания кисты развивается гидроцефалия, проводят оперативное вмешательство. В случае обнаружения папилломы или ксантогранулемы с данной локализацией, показано хирургическое удаление новообразования.
КСС – новообразование в области желудочковой системы, которое в редких случаях (до 3%) может свидетельствовать о наличии хромосомной аномалии у плода. В большинстве случаев кисты этого вида безопасны для здоровья ребенка и самостоятельно регрессируют к 28 неделе гестации.
Кисты сосудистых сплетений
В большинстве случаев, сосудистая киста обнаруживается у детей, достигших возраст в полгода. Обусловлено тем, что киста сосудистого сплетения, со временем самопроизвольно исчезает и практически никак не проявляется, что, однако, не прекращает беспокойство родителей за здоровье малыша.
Что это такое
Есть несколько других названий данного вида кисты, например: хориодная или ворсинчатая сосудистая киста. Процент распространения очень мал у женщин с положительным течением беременности. Они исчезают еще в утробе матери, примерно на седьмом месяце вынашивания. Но даже при ее сохранении, киста сосудистого сплетения у новорожденного не доставляет никаких неприятностей.
Киста сосудистого сплетения у плода в большинстве случаев исчезает самостоятельно
Угроза осложнений отсутствует, человек прекрасно может прожить всю жизнь с патологией, даже не зная о существовании кисты сосудистого сплетения головного мозга.
Строение сосудистой кисты представляет собой структуру, состоящую из множеств сплетений, накапливающих в себе ликворную жидкость, которая питает нервную систему человека.
По сей день, причины сосудистой кисты у ребенка не изучены, так как это не представляет необходимости, ведь это доброкачественное образование ничем не вредит и чаще всего самостоятельно исчезает.
Врожденные заболевания
В литературе медицинской направленности, часто упоминается связь заболевания киста сосудистого сплетения у плода с другими врожденными заболеваниями, возникшими вследствие некоторой генетической мутации. Это утверждение вполне верно, но только важно помнить, что не киста сосудистого сплетения является причиной патологии, а наоборот. Данные заболевания сопровождаются возникновением сосудистых кист: трисомия или синдром Эдвардса, болезнь Дауна.
К тому же, большой роли в течении данных заболеваний киста не играет. Она имеет очень малую значимость во всех подобных случаях.
Из чего следует, что сосудистая киста справа и слева, одиночная или целая их группа, имеет одинаковые характеристики, такие как:
- Минимальная угроза для жизни и здоровья.
- Отсутствие влияния на сопутствующую болезнь.
- Незадействованость ни в одном из процессов организма, имеющем важную роль.
- Неспособность к увеличению размеров и перерождению.
Сосудистые кисты
Внимание родителей должно быть обращено на другой сосудистый вид кисты, имеющий схожее название – это сосудистая киста. Ее обнаруживают позднее кисты сосудистого сплетения из-за того, что для ее развития необходим уже сформированный головной мозг.
Спровоцирована она некоторой инфекцией, носителем которой является вынашивающая плод женщина. Скорее всего, такое влияние оказал герпес или цитомегаловирус, причем заражение ими может произойти и уже во время родов. Происходит постепенное отмирание нейронов мозга.
Киста головного мозга
Характер формирования
Характер формирования кисты сосудистого сплетения во многом все зависит от того, чем вызвана патология, где она размещается и какую площадь занимает. Чтобы узнать все это, сначала проводят ПЦР- диагностику, с целью выявить возможное наличие вируса, которое требует лечения, а в последствии — наблюдения.
Но чаще всего такое кистозное образование само собой устраняется, когда малышу исполняется год с рождения.
Киста рамолиционного типа также способна к самопроизвольному исчезновению до возраста двух лет. В альтернативном случае может принять другую форму, оставаясь все такой же безопасной для жизни. Это обуславливается ее особенностями генеза, который происходит вследствие сосудистых нарушений, но размещается в головном мозге.
Причины
Причины кисты сосудистого сплетения могут стать такие факторы, как:
- Инфекционные и вирусные заражения матери и ребенка;
- Инсульт головного мозга;
- Травмы, полученные при родах и после них;
- Редкий случай микроинсульта;
- Гематомы, образованные вследствие обширных повреждений сосудов;
- Аневризма аорты.
Помните, что задействованы в подобных процессах не все сосуды организма, а только артериальные, поскольку вены и капилляры не обладают необходимыми характеристиками.
Симптомы
Бывает, что киста сосудистого сплетения обнаруживается только после прекращения жизни больного. Но в целом, она влечет за собой только благоприятные или нейтральные последствия.
Из негативных, отмечаются такие симптомы кисты сосудистого сплетения:
- У новорожденных наблюдается гипертонус;
- Повышенное ощутимое артериальное давление в черепной коробке;
- Сбой в работе органов слуха и зрительной системы;
- Расстроенная координация.
Гипертонус — один из негативных симптомов кисты сосудистого сплетения
Самым серьезным осложнением являются потенциальные эпилептические припадки. Такие проявления встречаются только в тех случаях, когда киста оказывает давление на находящиеся поблизости ткани, тем самым нарушая их нормальные функции. Для этого ей необходимо иметь достаточно большие размеры, при этом располагаясь к определенным мозговым центрам.
Лечение
Чтобы провести лечение кисты сосудистого сплетения, так же, как и для кисты головного мозга, в большем числе случаев, нет нужды в какой-то определенной терапии. Однако лечение кисты сосудистого типа назначается тогда, когда провокатором патологии является инфекционное или вирусное заражение. Все мероприятия призваны уничтожить их в организме.
Когда же наблюдается эпилепсия, применяются препараты, способные минимизировать и облегчить ее приступы — противосудорожные средства. Иногда проводят операцию, с целью устранить очаг нервной системы, вызывающий припадок.
Часто, даже при невыраженной симптоматике, больного могут посещать частые головокружения, головные боли. В таком случае предусмотрена выписка медикаментов, улучшающих ток крови в головном мозге.
Киста сосудистого сплетения у новорожденных
Киста сосудистого сплетения у новорожденного чаще всего диагностируется в течение первого года жизни. Возможность ее обнаружения сохраняется также в период беременности. С этой целью производится УЗИ в период с 24 по 30 неделю.
Дополнительно следует отметить, что патология не представляет опасности для жизни ребенка в утробе матери. Чаще всего псевдокиста рассасывается сразу после родов. Однако необходимо заранее выявить причины ее образования.
Благодаря этому вероятность негативной патологии удастся свести к минимуму.
Особенности болезни
Кисты сосудистых сплетений относят к доброкачественным образованиям. Они характеризуются наличием четких контуров. Внутри находится небольшое количество жидкости. По статистическим данным такая патология встречается у 3% беременных. При этом вынашивание плода проходит в нормальном режиме.
Если образование рассасывается самостоятельно, то его относят к псевдокистам. Чаще всего сосудистые сплетения располагаются в головном мозге. К 28 неделе они исчезают без дополнительного вмешательства. Следует отметить, что в этот период у плода начинает активно формироваться нервная система. Даже если образование все еще видно во время УЗИ, то это никак негативным образом не сможет отразиться на формировании плода.
Для младенца существует критерий, согласно которому можно зафиксировать раннее формирование ЦНС – сплетения сосудов. Они характерны для левого и правого полушарий мозга. Сосуды в таком случае начинают снабжать головой мозг необходимым количеством крови. Он получает питание для дальнейшего роста и развития.
Киста, которая находится в районе кровеносного сплетения головного мозга, характеризуется следующими особенностями:
- Практически не причиняет вред здоровью крохи.
- Не усугубляет течение других патологий.
- Не влияет негативно ни на одну систему внутренних органов.
- Не характеризуется активным ростом или изменением размера.
Образование не может причинить серьезный вред жизни или здоровью грудничка. Киста даже не затрагивает жизненно важные части головного мозга. Однако при наличии некоторых сопутствующих патологий увеличивается риск существенного ухудшения общего состояния здоровья крохи.
Почему в головном мозге образуются кисты?
Точного объяснения данного проявления не существует. Ученые предполагают, что ситуация происходит на фоне генетической мутации определенной клетки.
Заболевание правого или левого сосудистого сплетения ничем не отличаются между собой. Киста не может привести к появлению аномалий. Дополнительно следует отметить, что образование – это следствие негативного воздействия и наличия патологий при внутриутробном развитии.
Современные методы диагностики позволяют выявить кисту в период между 14 и 22 неделями развития плода. Образование полностью безопасно для ребенка и не вызывает отклонений в умственном развитии. В будущем детки не будут ничем отличаться от своих одногодок.
Только в редких случаях образование можно обнаружить у новорожденных детей. В таком случае их ставят на учет. Врачу потребуется постоянно мониторить изменения в размере кисты. Патология проявляется в том случае, если женщина в период беременности перенесла тяжелое инфекционное заболевание. Такая картина наблюдается в случае герпеса или токсоплазмоза. Болезни служат толчком для образования уплотнений данного типа. Негативную роль также может сыграть токсикоз на позднем сроке.
Способы диагностики и главные признаки кисты
Отыскать уплотнение в мозгу у новорожденных помогает современное оборудование. Для этого активно используется УЗИ и нейросонография. ВОЗ настаивает на проведении обследования данного типа у всех детей в возрасте до одного года. Благодаря этому удастся свести к минимуму вероятность неврологических болезней в будущем.
Благодаря современному оборудованию удается выяснить основные характеристики кистозного образования
Нейросонография в обязательном порядке производится в следующих случаях:
- Во время родовой деятельности малыш получил серьезную травму.
- При вынашивании плода был повышен риск развития инфекции.
- Ребенок пострадал от кислородного голодания.
- У женщины беременность проходила очень тяжело.
- Мамочка страдает от заболеваний хронического характера.
- В период вынашивания плода женщина страдала от повышенной нагрузки на организм.
- У новорожденного были зафиксированы отклонения, которые часто являются сопутствующими для кист.
- У черепа была диагностирована аномалия.
По статистике киста левого и правого сосудистого сплетения может как отражаться на развитии малыша, так и быть полностью незаметной. Именно поэтому ребенок с образованиями должен стоять на учете у невролога.
Виды образования и их характеристика
Сетка из сосудов в головном мозге используется для выработки спинномозговой жидкости. Она необходима для обеспечения мозга питательными компонентами, которые используются для его функционирования. Кисты в свою очередь образуются в тот период времени, когда рост становится стремительным. В результате образуется небольшая полость.
Она заполняется специальной жидкостью. Именно поэтому наличие кист у новорожденных – это диагноз, который ставится им достаточно часто. Это специфическая особенность, нуждающаяся в постоянном наблюдении. Для лечащего врача важна динамика развития процесса. Как правило, патология без медицинского вмешательства устраняется до одного года.
Особенности кисты в левом сплетении
Новообразование слева возникает в том случае, если в период вынашивания плода женщина перенесла серьезное инфекционное заболевание. Патология может возникнуть также в случае тяжелого течения беременности. Киста имеет свойство располагаться близко к кровеносным сосудам. Образование уходит самостоятельно и не требует выполнения лечебных мероприятий. Оно не опасно и не может причинить вред организму крохи. Организм ребенка растет и развивается, поэтому кисты уходят в этот период.
Кистозное образование в правой части
Патология может быть обнаружена не только у зародыша, но также у новорожденного ребенка. Были зафиксированы случаи диагностирования недуга у взрослого человека. Киста никак не проявляется, поэтому человек даже не подозревает о ней. Образования не могут негативно отразиться на характере жизни человека. Его психосоматическое состояние остается нормальным.
Образование кист с двух сторон
Наличие таких образований также не может негативно отразиться на общем самочувствии человека. Однако ситуация может обостриться за счет дополнительного привлечения боковой части желудочка. Киста пройдет самостоятельно в период взросления ребенка. Двусторонние образования могут проявиться даже у взрослого человека. Чаще всего ситуация наблюдается в случае плохого течения беременности. Киста может также быть осложнением от других патологий.
Сосудистые сплетения можно обнаружить в правом боковом желудочке. Они обладают ярко выраженными краями. За счет кист нарушается функционирование ликвора. Со временем можно также обнаружить увеличение пространства между клетками.
Проверка малыша осуществляется сразу после его появления на свет
Осложнения и последствия болезни
При наличии эхопризнаков специалист должен внимательно обследовать женщину в период беременности. Киста не опасна для развития ребенка, но может привести к развитию хромосомных патологий.
Даже если все остальные анализы хорошие, то само по себе образование говорит о наличии негативных процессов в организме эмбриона. Необходимо полностью исключить вероятность аномалий в генетическом коде. Для этого назначается прохождение амниоцентеза. Анализ требует взять у женщины небольшое количество околоплодных вод.
Только в редких случаях врачам удается диагностировать синдромы Дауна или Эдвардса.
Однако расстраиваться не стоит, ведь чаще всего псевдокисты образуются у полностью здоровых детей.
Особенности проведения обследования
Киста в сосудах не считается явным признаком какой-либо патологии. Однако при ее наличии их риск возникновения возрастает в несколько раз.
Кистозное образование должно быть тщательно исследовано с помощью современных устройств и методов. На сегодняшний день в данной области большой популярностью пользуются следующие варианты диагностики:
Советуем почитать:Что такое нейросонография новорожденных
- Ультразвук помогает провести обследование крохи внутри утробы матери. Благодаря этому кисту удается выявить на ранней стадии ее развития.
- Если риск развития трисомии составляет 18, то целесообразно дополнительно организовать биопсию плаценты.
- Амниоцентез – процедура, которая производится до 22 недели вынашивания плода и обладает высокой степенью точности. Для анализа потребуется взять одну из клеток кожного покрова эмбриона.
- Если ребенку уже исполнился один год, то целесообразно провести нейросонографию. Благодаря ей удается выявить кисты в обоих полушариях головного мозга.
- МРТ не применяется у детей. Методика позволяет обнаружить неврологические отклонения, которые возникают на фоне кистозных образований.
Ключевые методы лечения
Чаще всего лечение кисты не производится, ведь организм вполне может справиться с ней самостоятельно. Однако есть ряд предписаний, согласно которым проведение лекарственной терапии является обязательным мероприятием. Благодаря этому удается добиться более быстрого рассасывания кисты.
Препарат Кавинтон используется для улучшения кровообращения
В неврологии большой популярностью пользуются следующие группы препаратов:
- При наличии нарушений в циркуляции крови в мозгу целесообразно использовать Кавинтон.
- Циннаризин – препарат, который оказывает плодотворное влияние на сердечно-сосудистую систему. Пройденный курс гарантированно избавит от патологических образований и приведет в норму работу внутренних органов.
Лекарственная терапия производится только в двух описанных выше случаях. Иначе киста должна отслеживаться с помощью ультразвука. Малышу следует проходить данное обследование не реже одного раза в три месяца. Лечебные мероприятия применяются в случае наличия активной динамики роста.
При наличии кистозного образования у грудничка нет опасности для здоровья или дальнейшего умственного развития. Чаще всего киста исчезнет сама, без применения лекарств. Родители должны взять под контроль их размер и регулярно проходить все необходимые обследования. При их наличии увеличивается риск генетических мутаций, поэтому врачи должны полностью исключить другие патологии, которые могут оказать на это негативное влияние.
Кисты сосудистых сплетений головного мозга у плода: причины, последствия
Второй плановый ультразвуковой скрининг при беременности направлен на выявление аномалий эмбрионального развития. Кисты сосудистых сплетений головного мозга у плода при отсутствии других пороков в развитии не считаются патологией и проходят самостоятельно.
Причины формирования кисты
В период эмбриогенеза у плода формируются мозговые пузыри, которые содержат в себе кровеносную сеть. Переплетенные между собой сосуды вырабатывают ликвор. Активная ликворопродукция (секреция) приводит к скоплению жидкости между сосудами и не считается патологическим образованием.
Ультразвук это визуализирует как темное пятно в желудочках мозга, от которого не отражается пучок волны (анэхогенное включение). Точные причины возникновения кист не известны, так как нет достаточных гистологических исследований.
Существуют лишь предположительные факторы, которые могут повлиять на секрецию ликвора:
- Инфекционные и воспалительные заболевания у женщин в первый триместр беременности;
- Внутриутробные травмы плода;
- Внутриутробная гипоксия плода – неправильное развитие сосудов в пуповине, патологии плаценты, неправильное предлежание плода.
Мнения в медицинском сообществе разошлись и некоторые ученые считают, что кисты, сосудистых сплетений в период эмбрионального развития это одна из стадий формирования мозга. Другая часть врачей склоняется к мнению, что анэхогенное включение в мозге указывает на признак хромосомных аномалий у плода.
При выявлении кисты диагносты обращают внимание и на другие патологические признаки, для исключения синдрома трисомии 18 (Эдвардса) – редкое и тяжелое хромосомное заболевание.
Основные симптомы
Кисты в мозге у грудничков могут быть диагностированы в период новорожденности. Небольшое скопление ликвора между сосудов, которое не исчезло самостоятельно в период гестации, обычно протекает бессимптомно. Структуры головного мозга не подвергаются давлению, и оценка неврологического статуса находится в нормативных пределах.
Киста сосудистых сплетений, возникшая на фоне травмы (тяжелые роды) постепенно прогрессирует. Увеличение кистозной капсулы нарушает отток и циркуляцию ликвора.
Сосудистые сплетения головного мозга у новорожденных с патологической полостью начинают оказывать давление на участки мозга, что приводит к возникновению гидроцефального синдрома.
Патологическая симптоматика:
- Напряженность родничка, выбухание;
- Мышечный тонус;
- Повышенная возбудимость (постоянно плачет, так как испытывает головные боли, сон нарушен);
- Рвота, отказ от питания;
- Судорожный синдром;
- Запрокидывание головы, глазные яблоки направлены вверх (или косоглазие).
Рост черепного давления приводит к нарастанию симптоматики и ухудшению общего состояния.
Последствия
Кисты сосудистого сплетения головного мозга у плода не несут угрозы для жизни. За анэхогенным включением в мозге наблюдают и проводят периодический ультразвуковой мониторинг.
Киста самостоятельно рассасывается к концу третьего триместра беременности или в период новорожденности (28 дней после рождения). Если полость с жидкостью имеет тенденцию к росту, то применяют хирургическое лечение.
Приобретенная или врожденная гидроцефалия без лечения имеет тяжелые последствия. Мозг постепенно утрачивает свою функциональность, поскольку ткани подвергаются некротическим изменениям. Запущенная форма водянки дополняется осложнениями со стороны всех систем организма, что приводит к неизбежному летальному исходу.
КСС у новорожденного как признак мутагенеза (синдром Эдвардса) в большинстве случаев приводит к смерти до достижения 3 месяцев. Выжившие дети страдают тяжелыми формами умственных расстройств (олигофрения), которым присваивается 1 группа инвалидности.
Диагностика
Киста без признаков хромосомных аномалий при ультразвуковом сканировании не несет угрозу для плода. Беременной женщине назначают дополнительные УЗ скрининги, для мониторинга количества жидкости.
При подозрении на генные мутации проводят повторный биометрический скрининг плода. Обнаружение одного из признаков хромосомной аномалии в сочетании с кистой имеет вероятность порока не более 5 – 8%.
Отклонение от нормативов по все параметрам указывает почти на 100% вероятность рождения младенца с тяжелой хромосомной аномалией (синдром Эдвардса, Патау).
Для точной постановки диагноза назначают забор крови из пуповины для дальнейшего цитогенетического исследования. Если анализ подтверждает наличие мутагена, то женщина вправе прервать беременность по медицинским показаниям на любом сроке.
В первые сутки после рождения новорожденным проводят нейросонографию. Если киста не рассосалась, то продолжают наблюдение. Для этого ребенок ставится на учет к невропатологу.
Сосудистое сплетение с ликворным пузырем склонное к росту, требует прохождения дополнительных исследований:

Кисты сосудистого сплетения (псевдокисты) при отсутствии провоцирующих факторов (инфекции, травмы) и изменений в мозговых структурах не несут угрозу. Полость с жидкостью постепенно уменьшается в размерах и полностью исчезает.
Лечение
Кисты сосудистых сплетений боковых желудочков головного мозга диагностированные в период внутриутробного развития не требуют лечения. Если пузырь сохраняется у ребенка после рождения длительное время и не нарушает функциональность мозга, то терапевтические меры также не применяют.
Консервативный или хирургический метод лечения необходим при прогрессирующем росте кистозного пузыря.
Терапевтический метод лечения, направлен на снятие патологической симптоматики и коррекцию ликворопродукции. Если рост кисты связан с воспалительным или инфекционным процессом, то лечение в первую очередь направлено на устранение причины.
Лечение проводят курсом, который включает в себя комплексную терапию, динамика отслеживается при помощи УЗИ.
При неэффективности консервативных методов или стремительном увеличении пузыря с жидкостью, показан инструментальный метод лечения (шунтирование, эндоскопия).
Псевдокисты сосудистого сплетения головного мозга у плода не перерождаются. Образование чаще бесследно проходит и не отражается на психофизическом развитии ребенка.
Киста сосудистого сплетения у плода, новорожденного, ребенка, взрослого — лечение, симптомы — Сосуды Мед

Обычно кисты сосудистых сплетений у плода выявляют на 18–22 неделях беременности при проведении планового ультразвукового исследования.
Многие будущие мамы, услышав такой диагноз, сильно пугаются и принимают его за патологию головного мозга. Однако наличие такой кисты у плода в подавляющем большинстве случаев не представляет никакой опасности.
Рассмотрим, что представляет собой киста головного мозга у плода, по каким причинам она формируется и какое лечение необходимо в таких случаях.
Что такое киста сосудистого сплетения головного мозга?
Сосудистые сплетения являются одной из первых структур головного мозга, которые формируются у плода. Они представляют собой сеть мелких сосудов, которые вырабатывают жидкость, питающую головной и спинной мозг. Если внутри сосудистых сплетений скапливается слишком большое количество мозговой жидкости, на сосудах образуется мелкий пузырек, который при УЗИ диагностируется как киста.
Подобного рода кисты могут быть единичными или множественными, односторонними или двусторонними.
Точные причины их образования в настоящее время не установлены, но считается, что спровоцировать развитие кисты у плода могут такие факторы, как острые инфекционные и вирусные заболевания у матери или неправильное положение плода, которое приводит к нарушению кровотока. Но некоторые специалисты считают, что формирование таких кист у плода является всего лишь одним из этапов внутриутробного развития.
Чем опасна киста сосудистых сплетений у плода?
Статистические данные указывают, что примерно в 90% случаев кисты сосудистых сплетений самопроизвольно рассасываются к 26–28 неделе беременности. Но даже если этого не происходит, киста не несет никакой опасности для нормального развития плода.
Важно не путать этот вид кистозных образований с другими типами кист, которые могут образовываться в процессе внутриутробного развития (сосудистыми и рамолиционными).
Они формируются на более поздних сроках беременности и требуют более тщательного обследования.
В отдельных, достаточно редких случаях кисты сосудистых сплетений могут являться одним из признаков серьезного порока развития: синдрома Эдвардса или синдрома Дауна.
Но следует знать, что одно лишь выявление кисты мозга у плода не может служить достаточным аргументом, позволяющим предполагать столь опасные аномалии.
При этих патологиях у плода обнаруживаются множественные пороки развития, которые выявляются при УЗИ, а для постановки точного диагноза нельзя опираться на такие косвенные признаки, как киста мозга у плода, для этого необходимы дополнительные исследования (биохимический скрининг, амниоцентез).
Лечение кисты у плода
Как уже было сказано, чаще всего кисты сосудистых сплетений исчезают самостоятельно и не требуют какого-либо специфического лечения. Иногда киста может и не рассосаться, но это никак не отражается на умственном или физическом развитии ребенка.
После обнаружения кисты врачи обычно не делают каких-либо назначений, но если есть повод предполагать, что развитие новообразований в головном мозге могло быть спровоцировано инфекцией или вирусом, женщина сдает анализы. Если результат положительный, проводится лечение, а на 28 неделе делают повторное УЗИ.
В некоторых случаях при наличии кисты сосудистых сплетений у новорожденного ребенка врач может назначить курс медикаментозной терапии. Она заключается в приеме препаратов, способствующих рассасыванию кисты: средств, устраняющих ликвородинамические нарушения, снижающих выработку спинномозговой жидкости и улучшающих мозговое кровообращение.
Источник:
Кисты сосудистых сплетений у плода на УЗИ

Сосудистые сплетения – это сеть мелких сосудов в только начинающем формироваться мозге плода. Это сложная структура, не имеющая нервных клеток, но необходимая для развития обоих полушарий мозга и их разделения. Киста же представляет собой мелкий пузырек на сосуде.
Киста сосудистого сплетения у новорожденного (грудничка): диагностика, лечение
В перинатальной практике часто диагностируется киста сосудистого сплетения у новорожденного. Чаще всего не само кистозное образование оказывает негативное воздействие на организм ребенка, а заболевания, спровоцировавшие его появление. Поэтому важно вовремя пройти диагностику и установить причину возникновения патологии. С учетом локализации новообразований, их размеров и строения врач назначает лечение, которое поможет избавиться от кист или остановить их рост.
Что такое киста сосудистого сплетения
Киста – это пузырь, наполненный жидкостью (ликвором), с четко очерченными границами. Стенки пузыря могут состоять из арахноидальной ткани, глиальных или эпидермальных клеток. Чаще всего кистозные образования бывают доброкачественными, и не оказывают на головной мозг негативного влияния. Нарушение мозгового кровообращения и патологическая работа нервных клеток возможны в том случае, если кистозный мешок быстро растет, сдавливая близлежащие ткани.
Пузырь с жидкостью может образоваться в просветах сосудистых сплетений в головном мозге плода. Формирование новообразований в период от 14 до 22 недели беременности считается нормальным.
Механизм образования кист и причины их возникновения
Кистозные образования могут формироваться у плода еще в утробе матери, а также возникать уже после рождения ребенка.
У плода
кисты сосудистых сплетений головного мозга у плода выявляются до седьмого месяца беременности. сосудистые сплетения – парная система, образующаяся в желудочках головного мозга плода. она предваряет развитие нервной системы. пара сосудистых сплетений указывает на то, что у ребенка в последующем сформируется левое и право полушарие головного мозга. сами сосудистые сплетения не имеют нервных клеток, они только вырабатывают спинно-мозговую жидкость, питающую головной мозг.
цереброспинальная жидкость может скапливаться между сплетениями, формируясь в пузырьки. скопление ликвора не влияет на развитие плода, не оказывает негативного влияния на организм. если кистозный мешок не спадает, а остается в полости головы, он никак симптоматически не проявляется, у взрослого человека новообразование может быть обнаружено только на снимках мрт, кт.
в 90% случае киста головного мозга у плода не наносит никакого вреда организму и рассасывается самостоятельно к 28 неделе беременности.
некоторые генетики считают, что появление кистозного образования ворсинчатых сплетений указывает на то, что плод подвержен генетическим мутациям. само новообразование не является причиной этих мутация, а лишь указывает на возможное развитие генетического дефекта. специалисты выделяют наиболее распространенные патологии, которые могут быть диагностированы у младенца – синдром эдвардса и болезнь дауна.
именно сбой деления хромосом (не расхождение 18 пары, наличие лишней хромосомы), приводит к тому, что в сосудистых сплетениях плода образуются пузырьки с ликвором.
у младенца
киста сосудистого сплетения у новорожденного, как правило, развивается под воздействием различных инфекционных заболеваний. кистозные образования в ворсинчатых сплетениях могут образовываться и после 28 недели беременности под влиянием негативных факторов. к ним относят:
- вирус герпеса, который поразил организм матери.
- острые инфекционные заболевания.
- нарушение кровотока.
- длительная гипоксия плода.
- травма в родах.
часто такие кисты не влияют на работу головного мозга. лечение назначается только в том случае, если кистозный пузырь растет, провоцируя нарушение работы мозга.
виды кист и их расположение в организме новорожденного
В организме ребенка могут диагностироваться следующие виды кист:
Хориоидальная
Хориоидальная киста не что иное, как один из видов новообразований сосудистого или хориоидного сплетения 3-4 желудочков у новорожденного ребенка. Развитие патологии провоцируется инфекционными заболеваниями, кислородным голоданием ребенка в родах.
При росте новообразования у новорожденного отмечаются головные боли, подергивания конечностей, судороги.
Характер развития патологии такой: под оболочкой, выстилающей полости головного мозга, могут образовываться маленькие пустоты, пузырьки, заполненные спинно-мозговой жидкостью. Возможная причина возникновения – повреждение стенок мелких сосудов, которое развивается при прохождении младенца по родовым путям. Чаще всего повреждается не более 2-3 капилляров. При этом в небольшом количестве под оболочку изливается кровь.
Гематомы перерабатываются специальными клетками, а кровь замещается ликвором. В результате появляются кистозные мешки, которые при нормальном развитии ребенка с течение времени спадают и рассасываются.
Считается, что субэпендимальная киста у новорожденного не требует специального лечения. Более того, учитывая почти 100% динамику самоизлечения, неврологи даже не считают необходимым таким пациентам повторно обследоваться.
Арахноидальная
Врожденная арахноидальная киста головного мозга – пузырь из паутинных оболочек, заполненный церебральной жидкостью. Новообразование возникает между верхней твердой и нижней мягкой оболочками. Провоцирующие факторы: инфекционные болезни у матери, осложненное течение беременности, травматичные роды.
Когда арахноидальный кистозный мешок не растет, его нахождение в полости головы не приносит ребенку неприятных ощущений. При увеличении новообразование начинает давить на мозговые оболочки. У больного отмечаются:
- Головная боль.
- Срыгивания, рвота.
- Потеря аппетита.
- Вялость.
- Беспокойный сон.
- Судороги, подергивания конечностей.
Лечение при этом предусматривает устранение симптомов, а также предупреждение отека мозговых тканей, нормализацию оттока спинно-мозговой жидкости.
Возникновение кистозных образований возможно и на других органах младенца. Специалистами диагностируются следующие виды:
- Перивентикулярная киста головного мозга у плода.
- Семенного канатика.
- Почечная.
- Подъязычная а.
- Яичника.
Лечение, если оно необходимо, проводится только под контролем врача, так как только специалист может поставить точный диагноз и подобрать необходимые препараты.
Признаки роста кисты у новорожденного
Если в тканях головного мозга младенца есть кистозное образование сосудистых сплетений, ранее не рассосавшееся, чаще всего оно не проявляется никакими симптомами. У младенца могут появиться признаки поражения мозговых структур, если кистозный мешок появился позднее, и возникновение его спровоцировано инфекцией или травмой.
Большая киста давить на ткани мозга. Кроме того, из-за особенностей строения хориоидальное кистозное образование провоцирует повышенное продуцирование ликвора. Таким образом, у ребенка растет давление внутри головы, возникают признаки гидроцефалии.
Симптомы, которые провоцирует растущая сосудистая киста головного мозга у новорожденных:
- Гипертонус, гипотонус конечностей.
- Тошнота, обильное срыгивание, рвота.
- Неспособность координировать движения.
- Косоглазие.
- Судорожные припадки.
Больного малыша при этом мучает головная боль, он часто протяжно кричит. У младенца нарушается сон, он может быть капризным, плаксивым и вместе с тем вялым, апатичным.
Диагностика
Первичная диагностика проводится еще внутриутробно – при первых УЗИ. Врач может указать на появление кистозных образований в сосудистых сплетениях, продолжив дальнейшее наблюдение патологии только в том случае, если кистозный мешок не спадет самостоятельно после 28 недели беременности.
Новорожденным проводят нейросонографию – ультразвуковое исследование через не заросший родничок. Процедура во многих роддомах является обязательной, именно при этом исследовании специалист может отметить появление новообразования и порекомендовать пройти повторное обследование через 3, 6 месяцев, чтобы установить, растет ли киста или остается неизменной.
Врач может сообщиться, что у ребенка есть одностороннее образование – на правом или левом желудочке. Также на УЗИ можно увидеть двустороннее образование, когда кисты сосудистых сплетений головного мозга затрагивают и левый и правый желудочки.
Другие виды обследования, такие как магнитно-резонансная томография и компьютерная томография, детям до года не проводятся, так как необходимость в них возникает только при возникновении ярко выраженных симптомов поражения головного мозга.
Особенности лечения
Так как прогноз при кистозном образовании сосудистых сплетений в основном положительный, чаще всего никакого лечения ребенку не назначают. Медикаментозная терапия показана маленьким пациентам только в том случае, если киста в полости черепа стремительно растет, провоцируя повышение внутричерепного давления, нарушение мозгового кровообращения, передачу нервных импульсов.
Чаще всего причина патологического роста кистозного мешка в инфекционном заболевании, поэтому медикаментозно в первую очередь устраняется инфекция. Для этих целей показан прием противовирусных, антибактериальных препаратов.
Для лечения кисты сосудистых сплетений боковых желудочков головного мозга у плода прием противовирусных препаратов может быть показан беременной женщине для предотвращения роста кистозного образования. Перед этим обязательно проводится анализ, позволяющий определить, есть ли у беременной инфекционное заболевание.
Лечение новорожденному, у которого растет кистозное новообразование, назначает врач. Невропатолог при этом ориентируется на симптомы, данные анализов и УЗИ.
- При сильных головных болях выписываются препараты, нормализующие мозговое кровообращение (Кавинтон, Магне В6).
- Для снижения внутричерепного давления – мочегонные средства.
- Если младенца мучают судорожные припадки, ему необходимо принимать противосудорожные препараты (Депакин Хроно).
- Если нарушен сон, отмечается повышенная возбудимость, ребенку могут выписать успокоительное (Глицин).
Хирургическое вмешательство проводится только при тяжелых патологиях – разрыве кисты, нагноении, прорастании в другие ткани.
Возможная профилактика
В основном профилактические меры по предотвращению развития патологии зависят от беременной женщины. Ей необходимо не допускать общего переохлаждения организма, одеваться по погоде, отказаться от посещения мест большого скопления людей, где можно заразиться ветрянкой или другим инфекционным заболеванием.
Чтобы избежать возникновения кисты сосудистых сплетений головного мозга у новорожденного, будущая мама должна придерживаться здорового образа жизни, правильно питаться и повышать иммунитет. Все остальное зависит от природы.
Киста сосудистого сплетения головного мозга — киста сосудистого сплетения
Смотрите также
- Киста сосудистого сплетения головного мозга Здравствуйте.
На втором скрининге у малыша нашли несколько кист сосудистого сплетения головного мозга. Сказали, что это не патология и не стоит волноваться. Лечения не назначали, рекомендаций не давали никаких. Я почитала в интернете, нашла информацию… - Кисты сосудистых сплетений головного мозга На 19 нелеле обнаружилась бяка.
Заключение: в сосудистых сплетениях головного мозга плода лоцируются жидкостные образования неправильной формы. В левом 8×5мм, в правом 6мм. Врач говорит, рассосётся, но мне всё равно страшно. - киста сосудистого сплетения головного мозга плода Дд! Срок у меня 22 нед. В первую беременность и в эту сдавала только скрининг биоценоза, нормофлору, микроорганизмы, микоплазмы, кандида и всякие там герпес, хламидии и т.д. Это все был мазок, а сейчас по узи…
- Киста сосудистого сплетения головного мозга Девочки подскажите, у кого с деток была киста сосудистого сплетения. У моей дочки есть справа 6 мм. Мозг не затронут, ничего не увеличено по нейросонограмме (делали в 1 мес и 3,5 мес.) Дала только гиппертонус…
- Киста сосудистого сплетения головного мозга- вопрос… Девочки, прошу вашей помощи. На узи в 18 недель у моей малышки обнаружили кисту в сосудистом сплетении головного мозга. Врач узи- очень опытная и я ей доверяю- сказала что такие кисты на моем сроке далеко…
- эхопризнаки кист сосудистых сплетений головного мозга всем доброго времени суток! была на УЗИ, нам 24 недели, соответствуем срокам, развиваемся хорошо, НО…. врач обнаружила жидкостное включение в обоих полушариях головного мозга — заключение — эхопризнаки кист сосудистых сплетений головного мозга, хоть врач и…
- эхопризнаки кист сосудистых сплетений головного мозга всем доброго времени суток! была на УЗИ, нам 24 недели, соответствуем срокам, развиваемся хорошо, НО…. врач обнаружила жидкостное включение в обоих полушариях головного мозга — заключение — эхопризнаки кист сосудистых сплетений головного мозга, хоть врач…
- 2 скрининг — Киста сосудистого сплетения головного мозга! В 19нед сделала 2 скрининговое УЗИ у самого лучшего специалиста нашего города (платно). Им была выявлена киста 3,7х3,5 сосудистого сплетения в левом полушарии мозга.
Сегодня в 19 нед 4дня была на УЗИ в ЖК ,… - Пентаксим и киста сосудистого сплетения головного мозга! Подскажите можно ли делать пентаксим с кистой?
Невролог отвод не дает.
А про кисту советует забыть!
Как быть?
Обратиться другому неврологу? Что вообще делать с этим диагнозом? - 2 УЗИ и киста сосудистого сплетения головного мозга Сходили на 2 скрининг, врач очень понравилась, все подробно показывала и объясняла,пол несколько раз подтвердила без сомнений и показала писюн,мошонку))убедилась что не пуповина, вроде все у нас хорошо и она ни в коем случае не…
Киста сосудистого сплетения у новорожденного комаровский
Киста – это патологическое образование в организме, имеющее чётко очерченные стенки и наполненное содержимым. Сосудистая киста головного мозга – это пузырь, наполненный жидкостью. Такой пузырь может «поселиться» в любом отделе черепа. Часто бывает так, что кисту находят при других обследованиях, изначально не связанных с мозгом, так как сама по себе она практически не тревожит человека.
В других случаях сосудистая киста головного мозга сопровождается такой симптоматикой как ощущение давления внутри головы, незначительные нарушения слуха и зрения, нарушения координации движений, эпилепсия. Причины, по которым может возникать сосудистая киста головного мозга, разнообразны.
К ним относятся инфекция в организме, некоторые аутоиммунные заболевания, механические повреждения, в том числе и сотрясение мозга, нарушенное кровообращение и ранее перенесённые микроинсульты. Врач должен назначить лечение, учитывая индивидуальные особенноси пациента, а также размеры и локализацию кисты. Иногда это медикаментозное лечение, при случаях незначительных размеров и вялотекущей динамики развития кисты.
Если ситуация критическая может иметь место хирургическое вмешательство. При нормальном поведении сосудистая киста головного мозга не нуждается в терапии и рассасывается самостоятельно.
Киста сосудистого сплетения
Сосудистые плетения не имеют нервных клеток, и их функция заключается в питании головного мозга, посредством спинномозговой жидкости, которую эти сплетения и производят. В отдельных случаях, при очень быстром развитии мозга малыша всё свободное пространство между сосудистыми сплетениями заполняется этой самой жидкостью.
Это и называют киста сосудистого сплетения. Киста сосудистого сплетения совершенно не влияет на мозг и его функции. Кроме такого такую патологию можно встретить как у некоторых детей старшего возраста, так и у некоторых взрослых.
Как самостоятельное образование кисты сосудистых сплетений не опасны, но в сочетании с некоторыми другими патологиями могут влиять на здоровье и развитие человека. Потому при выявлении врачом кисты сосудистого сплетения стоит провести дополнительное обследование, чтобы исключить патогенное сотрудничество с негативными маркерами.
Однако в большинстве случае киста сосудистого сплетения не даёт реальных поводов для беспокойства. При отсутствии каких-либо изменений в других системах организма, прогноз вполне благоприятный.
Киста сосудистого сплетения головного мозга
Киста сосудистого сплетения головного мозга – это достаточно распространённый диагноз в наше время. Следует знать, что это совершенно не опасный для человека диагноз. Чаще всего кисты сосудистых сплетений головного мозга обнаруживают у плода во время беременности или у совершенно маленьких деток сразу с первых дней жизни.
Такая статистика существует потому что во время беременности женщины и в первые пол года-год после рождения делают больше всего полноценных обследований. Учитывая то, что киста сосудистого сплетения головного мозга совершенно никак не даёт знать о себе и не имеет никакой негативной симптоматики, многие люди не знают , что у них есть подобное заболевание.
Хотя на самом деле кисты сосудистых сплетений головного мозга диагностируются достаточно часто как у деток старшего возраста, так и у взрослых людей.
Киста сосудистого сплетения головного мозга не имеет никакого влияния на работу мозга, не вызывает никаких отклонений в развитии и не нуждается в терапевтической или хирургической коррекции. Причиной таких образований могут быть осложнения при вынашивании пода или при родах. А также перенесённое матерью инфекционное заболевание незадолго до наступления беременности или непосредственно во время беременности.
Кисты сосудистых сплетений у плода
Сосудистые сплетения – являются первой системой организма, которая начинает развиваться уже на шестой неделе после зачатия. В сосудистых сплетениях нет нервных клеток, но они играют важную роль в дальнейшем образовании нервных клеток мозга. Это достаточно сложные образования и наличие двух сосудистых сплетений говорит о том, что в дальнейшем две половины мозга будут адекватно развиваться.
Кисты сосудистых сплетений у плода – это круглые полости, заполненные жидкостью, расположенные в области мозга в районе сосудистых сплетений. Такие образования чаще всего обнаруживаются у плода в периоде между 14й и 22й неделями. Статистика показывает, что уже к 28й неделе кисты постепенно саморассасываются и исчезают, так как к этому времени уже начинает своё развиватие мозг ребёнка и его функциональные показатели стабилизируются.
На сегодняшний день кисты сосудистых сплетений у плода в медицинском мире относят к «мягким маркерам». Это патологии, при отдельном рассмотрении абсолютно безвредны и не влияют на функции организма, но могут быть связаны с повышением возможности развития других заболеваний или нарушений функциональных систем организма. Кисты сосудистых сплетений совершенно не имеют влияния на развитие плода и его самочувствие.
Многие матери проявляют излишнее беспокойство, если УЗИ показывает присутствие кист сосудистых сплетений у плода, но квалифицированные врачи разъясняют, что это не страшно и нет поводов для беспокойства.
Кисты сосудистых сплетений у новорожденного
Кисты сосудистых сплетений у новорожденного в часто начинают формироваться ещё в момент внутриутробного развития. Согласно статистике, кисты сосудистых сплетений появляются на ранних сроках развития эмбриона и к более поздним срокам исчезают.
Причиной того, что кисты сосудистых сплетений у новорожденного появились в более поздние периоды жизни, может быть перенесённая матерью во время беременности инфекция. Довольно часто причиной появления кист может быть обычный герпес. Также на возможность развития кисты сосудистых сплетений влияет то, как протекала беременность и как прошли роды.
Обычно к первому году жизни малыша кисты проходит бесследно. Для исключения риска развития каких-либо параллельных болезней других органов, при наличии диагноза «киста сосудистых сплетений» у новорожденного следует обследоваться повторно в три месяца, в шесть месяцев и в один год.
Если к тому времени киста не пройдёт самостоятельно, лечащий врач решит, как правильно поступить, исходя из результатов исследований и индивидуального развития ребёнка.
Кисты левого сосудистого сплетения
Сосудистые сплетения головного мозга являются одними из самых первых органов, которые закладываются в организме человека. Сосудистые сплетения принимают участие в непосредственном процессе производства спинномозговой жидкости, которая в дальнейшем даёт питание мозгу и отвечает за его нормальное развитие. Кисты сосудистых сплетений – это достаточно распространённый диагноз, особенно при внутриутробном развитии и у грудничков до года.
Кисты левого сосудистого сплетения возникают из-за перенесённых матерью инфекционных заболеваний или проблемного вынащивания ребёнка. Киста сосудистого сплетения имеет тенденцию к образованию на любом внутричерепном участке в свободном пространстве рядом с сосудистыми сплетениями. Кисты левого сосудистого сплетения не опасны для жизни, и не требуют совершенно никакого лечения.
По большей части известных случаев они исчезают сами по мере роста и стабилизации органов человека.
Многие люди очень переживают, услышав от врача этот на первый взгляд угрожающий диагноз «кисты левого сосудистого сплетения», но на самом деле все доктора утверждают, что этот диагноз не опасен и не поводов для тревоги. Такая патология не вызывает абсолютно никаких отклонений в развитии и не требует медицинской помощи, терапевтического курса или медицинского вмешательства.
Киста сосудистого сплетения слева
Киста сосудистого сплетения иногда может быть найдена у ребёнка в те периоды жизни, когда делается больше всего обследований. Как правило, это период внутриутробного развития и первый год жизни человека. Киста сосудистого сплетения слева не является страшным диагнозом и поводом для преждевременного беспокойства. В организме человека один из первых органов развиваются сосудистые сплетения.
Нормальное развитие этих систем говорит о том, что в дальнейшем имеет место нормальное развитие полушарий мозга. Кисты сосудистого сплетения является так называемым «побочным эффектом» быстрого роста и развития мозга. Из-за достаточно динамичного роста свободное пространство между сосудистыми сплетениями заполняется образованиями с жидкостью внутри. Эти образования.
Которые, собственно, и есть кисты сосудистого сплетения, исчезают по мере того, как развиваются все органы и мозг и организм начинает нормально функционировать.
Киста сосудистого сплетения слева не требует терапевтического вмешательства, проводятся только контрольные обследования, для возможности наблюдать динамику кисты.
Киста правого сосудистого сплетения
Сосудистые сплетения головного мозга являются одними из самых первых органов, которые закладываются в организме человека. Сосудистые сплетения принимают участие в непосредственном производстве спинномозговой жидкости, которая в дальнейшем обеспечивает питание мозга и отвечает за его нормальное развитие.
Кисты сосудистых сплетений, пожалуй, самый распространённый диагноз, особенно при внутриутробном развитии и у грудничков до года. Киста правого сосудистого сплетения возникает из-за перенесённых матерью инфекционных заболеваний или проблемного вынашивания. Киста сосудистого сплетения можетпоявиться и развиваться на любом внутричерепном участке в свободном пространстве граничащим с сосудистыми сплетениями.
Киста правого сосудистого сплетения не опасна для жизни, и кроме того, не требует специального лечения. По большей части случаев она рассасываются самостоятельно по мере роста и стабилизирования функциональности органов человека.
Многие люди очень переживают, услышав от врача, что при исследовании обнаружена киста правого сосудистого сплетения, но на самом деле все доктора утверждают, что этот диагноз не опасен и не поводов для тревоги. Такая патология не вызывает никаких отклонений в развитии и не требует медицинской помощи, терапевтического курса или медицинского вмешательства.
Киста сосудистого сплетения справа
Киста сосудистого сплетения может быть выявлена с помощью УЗИ ещё до рождения ребёнка при внутриутробном развитии. Иногда случается так, что жидкость, которую вырабатывают сосудистые сплетения, оказывается заблокированной среди, собственно, самих сплетений и тогда образуется специальная полость, в которой она содержится. Это и есть киста.
Киста сосудистого сплетения справа может быть диагностирована как у новорожденного, так и у ребёнка младшего или старшего грудного возраста. Но кисты сосудистых сплетений также могут быть и у взрослых людей. Так как эта патология никак не проявляет себя и не влечёт за собой никакой негативной симптоматики, часто взрослые люди просто не догадываются о её наличии.
Киста сосудистого сплетения справа абсолютно безвредна и не влияет на психомоторную деятельность человека. Кроме того организм здорового человека самостоятельно справляется с этими кистами и потому в течение некоторого времени они проходят самостоятельно. Это говорит о том, что киста сосудистого сплетения не требует хирургического вмешательства и в большей части случае не требует даже терапевтического курса.
Диагноз «киста сосудистого сплетения справа» не должен вызывать паники или неумеренного беспокойства. Для того чтобы избежать волнений стоит регулярно делать УЗИ, наблюдая за динамикой кисты.
Кисты сосудистых сплетений у ребенка
Функция сосудистых сплетений в организме человека заключается в том, что эта система производит цереброспинальную жидкость, а также концентрирует уровень сахара в организме. Кисты сосудистых сплетений у ребёнка явление не редкое, но достаточно безопасное.
Как правило, кисты сосудистых сплетений обнаруживают у новорожденных детей и младенцев грудного возраста, вплоть до одного года. По статистике у 50% наблюдаемых детей эти кисты двусторонние. В 97% случае кисты сосудистых сплетений саморазрешались за достаточно короткий период времени. В отдельных случаях.
После диагностики, врачи назначают медикаментозную коррекцию, которая позволяет организму максимально быстро прийти в норму и разрушить кисты сосудистых сплетений у ребёнка.
Также специалисты советуют контролировать динамику кисты сосудистых сплетений посредством регулярных нейросонограмм. Наличие кисты сосудистых сплетений не влияет на развитие и функционирование мозга и организма ребёнка.
Двусторонние кисты сосудистых сплетений
Двусторонние кисты сосудистых сплетений составляют половину всех случаев диагностирования кисты. Такие кисты могут быть обнаружены при ультразвуковом исследовании у людей любого возраста, начиная с внутриутробного развития. Важно помнить, что наличие кист не оказывает никакого влияния на функции головного мозга и на общее состояние систем и органов организма.
Также двусторонние кисты сосудистых сплетений не требуют лечения и, в большей части случаев, организм справляется с этим отклонением самостоятельно, постепенно разрушая кисту и восстанавливая нормальные показатели.
Для полной уверенности в безопасности ситуации и для исключения наличия хромосомных патологий врачи после постановки диагноза «двусторонние кисты сосудистых сплетений» рекомендуют обратиться к специалисту-генетику. Также иногда врачи назначают коррекционные фармакологические средства, которые помогают организму справиться с кистой.
При наличии двусторонней кисты сосудистых сплетений следует проводить ультразвуковое исследование каждые три месяца, чтобы наблюдать за динамикой кистозных образований и исключить параллельные патологии. Наличие двусторонней кисты сосудистых сплетений не является поводом для паники.
Из-за низкого уровня квалификации некоторых специалистов, иногда при постановке подобного диагноза сразу же предлагают провести хирургическую операцию по удалению, но большинство специалистов в области медицины настаивают на том, что киста сосудистых сплетений не требует никаких вмешательств.
Мелкие кисты сосудистых сплетений
Часто мамочек беспокоит вопрос может ли их ребёнок быть здоровым при наличии у него кист сосудистых сплетений. Ответ на этот вопрос почти однозначен – конечно, может! Важно понимать, что мелкие кисты сосудистых сплетений никак не влияют на развитие мозга и соответственно не влияют на психическое развитие человека.
К сожалению, на сегодняшний день полноценно не известна природа происхождения кист сосудистых сплетений. По некоторым медицинским наблюдениям на частоту появления кист влияют определённые виды хромосомных патологий.
Практика показывает, что кисты сосудистых сплетений могут встречаться как у абсолютно здоровых людей, так и у людей, которые имеют определённые отклонения от нормы в состоянии здоровья. Мелкие кисты сосудистых сплетений не являются отдельным заболеванием. Также как и не являются признаками какого-либо заболевания.
Существует предположение, что такие образования возникают в результате внутриутробного инфицирования плода ещё на стадии развития. Для полного исключения любых вариантов патологических отклонений необходима консультация врача-генетика, который с помощью специальной современной программы сможет подсчитать степень риска.
Субэпендимальная киста у новорожденного ребенка: причины, симптомы, лечение
Киста головного мозга – страшный диагноз для людей, которые только что стали родителями. Киста в головном мозге – это объемное образование внутри органа, представляющее собой шаровидную полость, наполненную жидкостью, которая локализуется в месте отмерших нервных тканей.
Патология может возникнуть в любой области органа, быть единичной или множественной. Также нужно отметить, что киста – это не опухолевидное образование!
Главный провоцирующие фактор – врожденные патологии развития ЦНС и травмы в период новорожденности. У малышей грудного возраста они возникают из-за:
- нарушения мозгового кровообращения, в результате чего начинается некроз тканей;
- из-за разнообразных травм, воспалений, например, менингита, энцефалита, а также кровоизлияний в головной мозг.
Перечисленные причины приводят к тому, что начинается дегенерация ткани, ее некроз, формируется полость, которая со временем наполняется жидкостью и сдавливается ткани, локализующиеся рядом. В итоге возникает конкретная неврологическая симптоматика, происходит задержка роста и развития грудничка.
У новорожденных и детей старшего возраста выделяют три главных типа патологии: арахноидальная, субэпендимальная и киста сосудистых сплетений.
- Арахноидальная представляет собой ту же полость, которая может иметь различный размер и форму, локализоваться в любом из отделов органа. Спровоцировать ее появление может кровоизлияние, травма, воспалительное заболевание. Характерная особенность этого вида патологии – стремительный рост. Увеличение в размере приводит к сдавливанию близлежащих тканей. Без надлежащего лечения наступают тяжелые последствия;
- Субэпендимальная – тяжелая форма патологии, требующая регулярного контроля в динамике. Возникает таковая из-за плохого кровообращения в месте локализации желудочков органа. Ее появление приводит к некрозу тканей и тяжелой ишемии. На месте погибших клеток формируется кистозная полость. Больные дети нуждаются в ежегодном проведении магниторезонансной томографии. Только таким образом врачи могут следить за увеличением размеров образования;
- Киста сосудистых сплетений формируется еще во внутриутробном периоде. Главным провоцирующим фактором является герпес-вирусная инфекция. Если заболевание выявлено в период беременности, прогноз благоприятный, так как с течением времени такое образование рассасывается. При более позднем формировании прогноз менее благоприятный, есть высокий риск развития тяжелых последствий.
Симптоматика зависит от места локализации новообразования в головном мозге. К примеру, когда таковая расположена в затылочной области, поражается зрительный центр, соответственно, возникают различные нарушения зрения: двоение в глазах, снижение остроты зрения, «туман» перед глазами. При появлении патологии в тканях мозжечка наблюдается:
- нарушение походки;
- координации;
- головокружение.
Когда киста мозга локализуется в турецком седле, в месте расположения гипофиза, то могут возникнуть нарушения в эндокринной системе: как правило, это задержки в половом и физическом развитии.
Вне зависимости от места локализации образования у ребенка могут возникать:
- судороги;
- нарушения слуха;
- парезы/параличи рук и ног.
Увеличение образования в размере приводит к росту внутричерепного давления, потому что объем черепной коробки не изменяется, а количество ткани растет. Повышение ВЧД всегда сопровождается:
- головной болью;
- головокружением;
- чувством пульсации и распирания головы;
- тошнотой;
- рвотой;
- повышенной сонливостью и вялостью.
В тяжелом случае прогрессирования заболевания происходит расхождение костей, не зарастают роднички у новорожденных, в результате чего происходит задержка в развитии.
- Основной метод выявления заболевания у малышей первого года жизни – ультразвуковое исследование, или нейросонография. Очень важно, чтобы патологию диагностировали как можно раньше. У новорожденных сделать это проще всего, так как роднички не заросшие, кости черепа не сомкнуты.
- Скрининговое исследование рекомендуется проводить недоношенным деткам, а также новорожденным после тяжелой беременности или осложненных родов, когда констатировалась гипоксия плода.
- Такие исследования, как магниторезонансная и компьютерная томография, позволяют получить самую точную информацию о месте локализации, форме и размерах кистозной полости.
Устранить патологию можно только хирургическим путем. Оперативные вмешательства в данной ситуации разделяют на два типа: радикальные и паллиативные.
- В первом случае проводится трепанация черепа, затем полное удаление кисты, включая ее содержимое и стенки. Хирургическое вмешательство проводится открытым способом, соответственно, сопровождается высокой травматичностью.
- К паллиативным методам относится шунтирование и эндоскопия. Шунтирование – это удаление содержимого образования посредством специальной шунтирующей системы. Данный метод относится к малотравматичным, если сравнивать с радикальным вмешательством, однако имеет несколько недостатков. К примеру, существует риск инфицирования, так как шунт пребывает в мозге довольно длительное время. Кроме того, киста головного мозга не удаляется полностью, изымается только ее содержимое.
Эндоскопия предполагает использование такого прибора, как эндоскоп, который вводят через проколы в черепе. Этот вариант является малотравматичным и самым безопасным из всех вышеперечисленных.
Опасность субэпендимальной кисты определяют по ее разновидности. Стоит отметить, что у младенцев таковые очень часто рассасываются самостоятельно спустя некоторое время. Если они не увеличиваются, то опасности не представляют. Рекомендуется периодический УЗИ-контроль за патологией, чтобы вовремя выявить наличие осложнений и принять радикальные меры.
Довольно часто встречаются у новорожденных кисты сосудистых сплетений головного мозга.
В сосудистых сплетениях образуется ликвор, питающий нервные клетки на начальной стадии развития эмбриона.
Особенность такой патологии слева или справа заключается в том, что часть мозговой жидкости, размещаясь в сосудистом сплетении, попадает в замкнутый круг, что и ведет к образованию патологии. Обнаружить таковые можно с помощью УЗИ.
Кисты сосудистых сплетений в головном мозге свидетельствуют о том, что беременность осложнена, однако это вовсе не значит, что малыш родится больным.
Исход заболевания зависит от нескольких факторов: времени выявления патологии, его размеров, отсутствия роста. Если заболевание выявлено рано, имеет малый размер и не прогрессирует, то прогноз благоприятный. Когда образование быстро растет, сдавливает здоровые ткани, нарушается отток ликвора, то возникают тяжелые осложнения. Прогноз в такой ситуации зависит от своевременности хирургического вмешательства.
Здоровья вам и вашему малышу!
Материалы, размещённые на данной странице, носят информационный характер и предназначены для образовательных целей. Посетители сайта не должны использовать их в качестве медицинских рекомендаций. Определение диагноза и выбор методики лечения остаётся исключительной прерогативой вашего лечащего врача.
Киста сосудистого сплетения у новорожденного (грудничка): диагностика, лечение, последствия
Залогом правильной работы всех жизнедеятельных систем и органов ребенка является полноценно сформированная центральная нервная система.
Любой сбой в период ее внутриутробного развития может спровоцировать появление аномальных процессов, в том числе формирование опухолей и кист головного мозга.
Киста сосудистых сплетений является одним из наиболее распространенных доброкачественных образований, возникающих в тканях мозга, как в период внутриутробного развития, так и сразу после рождения малыша.
Сосудистая киста – это полое образование, наполненное цереброспинальной жидкостью. Локализируется она в месте сплетений сосудов головного мозга.
В большинстве случаев киста этого типа формируется у плода в период внутриутробного формирования нервной системы.
При слишком быстром ее развитии в местах сплетения сосудов образовываются свободные полости, в которых задерживается циркулирующая ликворная жидкость. В результате скопления этой жидкости образовывается врожденная киста сосудистых сплетений.
Немного иной механизм формирования приобретенной кисты у новорожденного. Под воздействием патологических факторов происходит отмирание нервных клеток в местах сосудистых сплетений. Образовавшиеся после некроза мозговых клеток полости заполняются спинномозговой жидкостью, формируя тем самым кистозную капсулу.
Киста сосудистых сплетений не опасна для новорожденных, если она не сдавливает окружающие ее мозговые ткани и не растет. В противном случае, неокрепшая нервная система малыша может подвергнуться патологическому воздействию и сформироваться с отклонениями.
Симптомы и признаки кисты
Чаще всего небольшие кисты сосудистого сплетения, диагностированные у новорожденных, не имеют симптомов. Выявляются они случайно при прохождении инструментального обследования структур мозга.
Противоположная ситуация складывается с крупными кистозными формированиями, отличающимися тенденцией к росту. Сдавливание нервных тканей может проявиться у новорожденного в виде следующих симптомов:
- обильное срыгивание, рвота «фонтаном» после еды;
- снижение или повышение мышечного тонуса;
- тремор конечностей, судороги;
- набухание и сильная пульсация родничка;
- увеличение головы в размере (признак гидроцефалии);
- нарушение сна;
- частый монотонный плач, вызванный головными болями;
- косоглазие;
- нескоординированные движения конечностями.
При появлении описанных симптомов малыша следует незамедлительно показать детскому специалисту.
Кисты сосудистого сплетения головного мозга
Разновидности кист
В зависимости от локализации киста сосудистых сплетений бывает нескольких видов:
- Хориоидальная киста – полое образование, располагающееся в сосудистом сплетении 3-го и 4-го желудочка мозга. В большинстве случаев возникает у новорожденного в результате перенесенных инфекционных заболеваний или кислородного голодания, полученного в процессе родовой деятельности. Рост хориоидальной кисты отмечается появлением сильных болей головы, тремора конечностей и мышечных судорог.
- Субэпиндемальная киста – формируется под мягкой оболочкой мозга в результате повреждения капилляров, полученного при затрудненном прохождении плода через родовые пути. При надрыве капилляров кровь изливается в ткани мозга, образовывая маленькие гематомы. Со временем скопившаяся кровь замещается ликворной жидкостью, образовывая тем самым кистозное образование. Субэпиндемальная киста имеет благоприятный прогноз, так как по мере взросления ребенка рассасывается без вмешательства медиков.
- Арахноидальная киста – локализируется в арахноидальном пространстве между твердой и мягкой оболочкой мозга. Причинами возникновения кисты этого типа являются тяжелые роды, протекающая с осложнениями беременность, а также инфекционные заболевания, перенесенные малышом в утробе. Маленькие кисты, не меняющиеся в размере, не воздействуют негативно на нервную систему и не доставляют новорожденному неприятных ощущений. При росте арахноидальная киста начинает сдавливать оболочки мозга, при этом у новорожденного появляется головная боль, которую он выражает громким плачем, обильные срыгивания, снижение аппетита, нарушение сна, вялость, слабость, судороги и тремор конечностей.
При подозрении на кисту сосудистого сплетения следует определить ее вид и место локализации, чтобы понимать, какие методы ее лечения рассматривать. Для этого необходимо пройти с ребенком обследование.
Киста головного мозга у плода на УЗИ
Причины возникновения
Сосудистая киста может носить как врожденный, так и приобретенный характер. В первом случае причиной ее формирования могут стать такие факторы:
- генетические аномалии (синдром Дауна или Эдвардса);
- перенесенные в утробе матери инфекции и вирусы, угнетающе воздействующие на развитие центральной нервной системы плода;
- употребление во время беременности запрещенных медикаментозных препаратов.
- Причинами формирования приобретенной сосудистой кисты у новорожденного являются:
- сложная родовая деятельность, повлекшая за собой кислородное голодание мозга у малыша;
- родовые травмы, вызванные затрудненным прохождением плода по родовым путям или неквалифицированными действиями медицинского персонала;
- травмы головы, полученные ребенком в результате падения или ударов;
- вирус герпеса;
- менингит, туберкулез, энцефалит и прочие инфекции, поражающие ткани мозга;
- нарушение кровоснабжения мозга, вызванное сосудистыми патологиями или острым дефицитом питательных веществ;
- нарушение циркуляции цереброспинальной жидкости, омывающей все структуры мозга.
При подверженности младенца описанным факторам и патологиям необходимо сделать диагностику головного мозга, чтобы оценить состояние его структур и тканей.
Диагностика
МРТ диагностика кисты сосудистых сплетений
Врожденные кисты сосудистого сплетения диагностируются впервые в период внутриутробного развития плода. Состояние развивающихся структур мозга оценивается доктором при прохождении беременной женщиной планового УЗИ. В случае обнаружения кистозного образования у еще не родившегося малыша ей назначается наблюдение за состоянием плода в динамике.
Одним из самых распространенных методов диагностики, с помощью которого можно выявить кисту сосудистого сплетения у младенца после рождения, является нейросонография. Состояние структур и тканей мозга оценивается путем ультразвукового исследования через открытый большой родничок. Процедура диагностики безопасна и безболезненна, ее проведение не вызывает у малыша дискомфорта.
При наличии кисты в тканях мозга у новорожденного может потребоваться идентификация ее доброкачественности. Для этого производится забор венозной крови на онко-маркеры.
В более редких случаях для визуализации кисты сосудистого сплетения ребенку назначается МРТ. Исследование можно проводить детям с рождения, однако для этого ребенку необходимо вводить наркоз. Это позволит зафиксировать его в неподвижном положении и получить достоверный результат.
Компьютерную томографию в качестве вспомогательного метода диагностики делать младенцам запрещено, так как во время исследования ребенок получает высокую дозу излучения.
Способы лечения
При выявлении кисты небольших размеров у новорожденного доктор обычно назначает повторное исследование через 6 месяцев для отслеживания динамики ее роста. Образования, не увеличивающиеся в размере, не подлежат лечению при условии отсутствия патологической симптоматики.
Если у новорожденного диагностировано крупное по величине кистозное образование, наблюдение показывает, что небольшая опухоль неуклонно растет и сдавливает нервные ткани, в полости капсулы скапливается гной или она разрывается, то родителям рекомендуется проведение неотложной хирургической операции. Удаление кисты может быть проведено несколькими способами:
- шунтирование – предполагает отведение жидкости из кистозной капсулы в свободные полости (например, брюшную или субарахноидальную) с помощью специального шунта;
- эндоскопия – жидкость откачивается наружу через введенный в полость кисты эндоскоп;
- открытая операция с трепанацией черепа – выполняется в случае неэффективности или невозможности проведения описанных выше вмешательств.
- Для снятия проявляющейся симптоматики ребенку назначается медикаментозная терапия, включающая в себя следующие группы препаратов:
- мочегонные средства – при признаках внутричерепной гипертензии;
- препараты, улучшающие кровоснабжение мозга – при сильных головных болях и признаках кислородного голодания мозга;
- седативные средства – при повышенной возбудимости нервной системы малыша и нарушении сна;
- противосудорожные препараты – при появлении судорожных припадков.
Лечение кисты сосудистых сплетений у новорожденных должно осуществляться только под контролем детского врача.
Последствия
Кисты сосудистого сплетения имеют наиболее благоприятный прогноз по сравнению с другими новообразованиями головного мозга. В 90% случаев они не угрожают состоянию здоровья малыша, так как не затрагивают близлежащие мозговые ткани и не имеют тенденции к росту. Кисту этого типа сложно распознать без прохождения соответствующего обследования – люди с рождения и на протяжении всей жизни могут не подозревать о ее наличии.
- Тем не менее, крупные кистозные формирования или образования, увеличивающиеся в размерах, могут сыграть негативную роль в развитии нервной системы новорожденного и привести к неприятным последствиям. К числу неврологических патологий, которые могут возникнуть у малыша по мере взросления, относят:
- Чтобы исключить развитие этих последствий, следует при подозрении на кисту головного мозга и регулярном проявлении характерной для нее симптоматики показать новорожденного детскому неврологу или нейрохирургу.
Иван Дроздов, невролог
Информация на сайте создается для тех, кому необходим квалифицированный специалист, не нарушая привычный ритм собственной жизни.
Особенности кисты сосудистых сплетений головного мозга
Кистой называют доброкачественную полую капсулу шарообразной формы, наполненную прозрачным секретом, которая образуется не только в организме взрослого человека, но и у грудничка, поражая его сосудистую систему.
Отличительная особенность опухоли состоит в том, что киста сосудистого сплетения у новорожденного развивается бессимптомно и рассасывается самостоятельно в течение первого года его жизни.
Несмотря на то, что доброкачественная капсула не несет угрозы для жизни малыша, её появление нередко обусловлено развитием в организме опасных патологий.
Что это такое
Сосудистая киста представляет собой пузырь, заполненный ликвором, структура которого состоит преимущественно из арахноидальной ткани и в меньшей степени – из эпидермальных и глиальных клеток. Образование полой капсулы в системе сосудистых сплетений эмбриона во втором триместре считается естественным явлением и характеризуется отсутствием негативного воздействия на процесс внутриутробного развития.
Несмотря на то, что киста не оказывает негативное воздействие на работу головного мозга, при наличии сопутствующих заболеваний она начинает резко увеличиваться в объеме, сдавливая соседние ткани. Данное явление приводит к нарушению местного кровообращения, вследствие чего головной мозг испытывает нехватку в питательных элементах и провоцирует расстройство нервной системы.
Причины и механизм формирования
Доброкачественные опухоли могут образоваться как у плода в процессе эмбрионального развития, так и у новорожденного малыша.
У плода
Сосудистым сплетением называют парную систему головного мозга, которая стимулирует процесс формирования левого и правого полушарий, а также стабилизирует работу нервной системы. Не менее важная функция парной системы состоит в синтезе цереброспинального вещества, с помощью которого осуществляется подпитка головных желудочков.
Нарушение выработки цереброспинальной жидкости предшествует скоплению её в межсосудистом пространстве и дальнейшему формированию прозрачных пузырьков. В том случае, если образовавшиеся кистозные капсулы не выпадают из головного мозга, а остаются в его пределах, патология считается безопасной для эмбрионального развития.
Киста сосудистого сплетения головного мозга у плода свидетельствует о наличии генетической мутации, которая характеризуется нарушением хромосомного деления. Наиболее распространенными заболеваниями, которые провоцируют формирование опухолей во время эмбрионального развития, относят синдром Дауна и болезнь Эдвардса.
У младенца
Киста головного мозга у новорожденных образуется как результат поражения мозговых клеток и последующего их некроза. К основным причинам, провоцирующим развитие некротического процесса, относят:
- кислородное голодание;
- расстройство мозгового кровообращения, обусловленное дефицитом питательных компонентов;
- воспаление, спровоцированное менингитом или энцефалитом;
- травма головы механического характера, приобретенная малышом в процессе передвижения по родовым путям;
- неврологическое расстройство;
- воздействие вируса герпеса.
Повышение внутричерепного давления, поражение детского организма инфекцией, а также сотрясение головного мозга активизируют рост доброкачественной опухоли и повышают риск её разрастания.
Виды и расположение
В зависимости от области поражения головного мозга, выделяют три разновидности полых капсул:
- Хориоидальная полая капсула развивается в третьем и четвертом головных желудочках новорожденного малыша как результат кислородного голодания либо поражения детского организма инфекцией. Если новообразование хориоидального типа начинает увеличиваться в объеме, у грудничка отмечаются постоянные судороги и сильные головные боли.
- Субэпендимальная опухоль образуется под слизистой тканью, из которой формируются полости головного мозга, в результате повреждения мелких капилляров во время родов. Поражение кровеносных сосудов предшествует образованию гематомы: в последующем присутствующая в капсуле кровянистая жидкость замещается ликвором, что свидетельствует о формировании кистозного мешка. Новообразование субэпендимального типа не требует проведения лечебной терапии: доброкачественная капсула рассасывается самостоятельно.
- Арахноидальная киста формируется в промежуточной полости мозга, отделяющей внешний твердый слой от внутренней мягкой паренхимы. К основным причинам, провоцирующим развитие опухоли, относят осложненное инфекционными и воспалительными процессами течение беременности, а также сложные роды. Отличительная особенность арахноидальной капсулы состоит в её возможности стремительно увеличиваться в диаметре.
Поскольку арахноидальная опухоль предшествует развитию у малыша неприятной симптоматики – головной боли, рвоты, судороги, тошноты – её показано лечить. Основная задача лечения данного вида кистозных полостей направлена на нормализацию оттока цереброспинальной жидкости.
Осложнения и последствия
Нередко киста сосудистых сплетений развивается бессимптомно на протяжении многих лет и проявляется специфической симптоматикой в процессе полового созревания, характеризующегося изменением уровня гормонов. Пребывая под воздействием гормональной перестройки, полая капсула увеличивается в диаметре, что становится причиной снижения остроты слуха и зрения, а также расстройством двигательной координации.
Еще одно возможное осложнение – развитие судорожного синдрома, который в последующем принимает постоянный характер и способствует нарушению функционирования вестибулярного аппарата. Дальнейшее увеличение кисты предшествует возникновению умственной отсталости и повышает риск проявления инфарктного состояния.
Методы диагностики
Первичная диагностика основывается на проведении ультразвукового исследования беременной девушке. Посредством УЗИ врач одновременно выполняет две задачи: оценивает состояние внутренних органов будущей мамы и её малыша. Если в процессе исследования ультразвуком в мозге эмбриона была обнаружена полая капсула, доктор принимает решение о проведении тщательного наблюдения за беременной девушкой.
Проведение вторичной диагностики грудничкам применяется нейросонография. Данная процедура основывается на выполнении ультразвукового исследования внутренних органов новорожденного с помощью не заросшего родничка. Если в ходе диагностики врач обнаружил в головном мозге опухоль, через полгода маленькому пациенту проводят повторное обследование, чтобы исключить вероятность роста кисты.
С целью определения причины формирования доброкачественного образования у малыша, врач изымает кровь для проведения лабораторной диагностики. Использовать в качестве вспомогательного способа диагностики компьютерную томографию категорически запрещено.
Способы лечения
Заболевание сосудистых сплетений, выявленное внутриутробно, не предполагает проведение лечебной терапии. В большинстве случаев сосудистая киста рассасывается самопроизвольно: для того чтобы исключить риск развития осложнений, врач регулярно отслеживает изменения в головном мозге эмбриона с помощью УЗИ.
Стремительный рост кисты является причиной проявления неприятных симптомов. С целью улучшения самочувствия малыша невропатолог назначает прием таких медикаментозных средств:
- лекарственные средства, стимулирующие мозговой кровоток – Магне В6 и Кавинтон;
- препараты, нормализующие внутричерепное давление;
- противосудорожное средство Депакин Хроно;
- успокоительный препарат Глицин.
Если резкое увеличение кистозного мешка обусловлено развитием инфекционного процесса, грудничку прописывают также антибактериальные и противовирусные препараты.
Лечение хирургическим способом проводится, если полая капсула накапливает гной, разрывается или распространяется на близлежащие ткани. Радикальным методом оперирования считается трепанация черепа: применять данную процедуру с целью резекции опухоли целесообразно при неэффективности паллиативного оперирования.
Паллиативная операция проводится в двух вариациях – посредством шунтирования или эндоскопии. Первый вид операции предполагает ввод в пораженную зону специального шунта и удаление с помощью него скопившейся цереброспинальной жидкости. Второй вид операции основывается на формировании в черепе небольшого прокола, посредством которого врач вводит эндоскоп и откачивает вязкий ликвор.
Профилактика
Для того чтобы снизить риск образования сосудистой кисты у малыша, на протяжении беременности девушке нужно соблюдать простые правила:
- Сбалансированно питаться: обеспечивать плод полезными витаминами и минералами.
- Придерживаться активного образа жизни: регулярно совершать пешие прогулки, посещать бассейн, выполнять специальную гимнастику.
- Укреплять иммунную систему посредством регулярного приема витаминных комплексов.
- Предотвращать риск переохлаждения: подбирать одежду в соответствии с погодными условиями.
Поскольку доброкачественное образование развивается бессимптомно, беременная девушка должна регулярно посещать УЗИ, чтобы врач имел возможность своевременно обнаружить патологию.


