На традиционных рентгенограммах специалист не имеет возможности визуализировать артерии, венозную сеть, лимфатическую сосудистую систему и капилляры, т. к. эти элементы не способны поглощать рентгеновские лучи, аналогично мягким тканям в их окружении.
- Поэтому для диагностики этих анатомических структур производится ангиография сосудов, сопровождающаяся вводом контрастного средства.
- Таким способом осуществляется диагностирование коронарных сосудов сердца или коронарография, исследуется сосудистая сеть головного мозга, шеи и прочие сосуды человеческого организма.
- Под традиционной ангиографией сосудов головного мозга подразумевают рентген головы после контрастирования сосудистой сетки мозга с применением контрастных средств.
- Подобный способ диагностики помогает поэтапно рассмотреть все фазы кровоснабжения мозга, установить дефекты сосудов головы их расположение, применим в выявлении новообразований.

- Процедура осуществляется методом пункции или катетеризации экстракраниальных и интракраниальных сосудов, внедрением лекарства и последующего вывода фотографий.
В числе используемых рентгеноконтрастных препаратов оказываются вещества с содержанием йода («Верографин», «Триомбраст», «Гипак» и пр.). Эти средства водорастворимы и вводятся параллельно.
Кровь в головной мозг попадает из следующих бассейнов — каротидного и вертебробазилярного (это сонная и позвоночная артерии).
Следовательно, одна из артерий наполняется контрастом. С большей вероятностью ею оказывается сонная артерия.
Разновидности исследования
Методика выполнения процедуры определяет два типа обследований:
- пункционное (контраст вливается точно в сосуд посредством пункционной иголки);
- катетеризационное (средство впрыскивается при помощи катетера, имеющего подведение к локальному сосудистому руслу).
МРТ
На основе площади обследуемой зоны сканирование головного мозга с контрастом может быть представлено:
- общей ангиографией (производится визуализация сосудов разных калибров);
- селективной ангиографией (подразумевается сканирование вертебробазилярного, каротидного бассейна);
- суперселективной методикой (исследуется сосуд, имеющий калибр, не соответствующий любому кровеносному бассейну).
Путь визуализации сосудистой системы определяет следующие разновидности сканирования:
- классическая ангиография — осуществление рентгенограмм с предварительным введением контраста в сосуды головы;
- КТ-ангиография — сканирование системы сосудов в головном мозге рентгенологическим методом с предварительным контрастированием и дальнейшим 3D-моделированием отображения системы кровоснабжения;
- МР-ангиография предусматривает осуществление обследования способом магнитно-резонансной томографии чаще без предварительного контрастирования.
Компьютерная томография (МСКТ)
МРТ
Обе методики исследования характеризуются высоким показателем точности и эффективности, однако, каждая из них имеет ряд особенностей, которые принимаются во внимание при выборе конкретной процедуры.
МРТ сосудов отличается небольшим списком ограничений и безопасна для здоровья, т. к. чаще проводится без контрастирования. Этот метод диагностирования применим как для обследования сосудистой сетки, так и для элементов мягкой ткани.
Однако при черепно-мозговой травме МРТ с ангиографией эффективной мерой назвать нельзя. При подобных обстоятельствах необходимо найти трещины в черепной кости, сосудистые разрывы и сбои в работоспособности пищеварительной системы. МРТ сосудов не подходит для диагностирования костной и жидкостной структуры.
Диагностирование сопровождается внедрением контрастного средства под кожу в венозную систему предплечья. Процедура окажется подходящим способом диагностирования в случаях выявления патологий костной ткани или при аневризме аорты.
В ходе процедуры доктор определяет протяжённость патологического участка, выявляет наличие тромбов и сгустков (при условии их визуализации), оценивает возможность осуществления операции.
МРА
КТ
Показания к проведению
Среди ключевых назначений к выполнению ангиографии головного мозга:
- предположение развития артериальной (артериовенозной) аневризмы сосудов локальной области;
- проявление симптомов артериовенозной мальформации;
- развитие стеноза или закупорки мозговых сосудов (выявляется присутствие атеросклеротических деформаций сосудов и потребность в дальнейшей операции);
- определение степени контакта кровеносной сетки мозга с новообразованием в целях планирования оперативного вмешательства;
- контроль расположения клипс на сосудах органа мышления.
Аневризмы сосудов головного мозга
Жалобы больного на головокружения, мигрени, наличие шума в голове не считаются непосредственными показаниями к сканированию.
Человека с подобной симптоматикой обследует невролог, который определяет, оправдано ли выполнение ангиографии в конкретном клиническом случае.
Лист противопоказаний
В таблице ниже представим перечень ограничений к проведению различных типов исследования:
| Рентгеновская КТ-ангиография | — острая инфекция — аллергия на контраст — сахарный диабет (2 тип) — период вынашивания ребёнка — миелома — болезни щитовидки- серьёзные почечные, печёночные недуги и болезни сердечно-сосудистой системы |
| МРТ с ангиопрограммой | — имплантированный кардиостимулятор, ортопедические и ортодонтические металлические импланты, клипсы сосудов — сердечная недостаточность- непереносимость замкнутого пространства |
В числе дополнительных противопоказаний в отношении обеих диагностических методик: вес сканируемого более 120 кг, психические заболевания (возможно применение наркоза), плохое самочувствие больного.
Подготовительный этап
До проведения церебральной ангиографии сосудов (рентгеновской, КТ или МРТ-диагностики) проводятся лабораторные исследования: общий анализ крови, урины, биохимический анализ биологической жидкости, установка группы крови, резус-фактора.
- Перед процедурой (за два дня) сканируемому требуется прервать использование лекарств, которые оказывают влияние на показатель свёртываемости крови.
- Перед обследованием, доктор делает визуальный осмотр больного и получает одобрение на диагностику.
- За несколько часов (6-8) перед выполнением ангиографии сосудов головного мозга и шеи сканируемому стоит отказаться от еды.
При наличии на участке ввода иглы волосяного покрова, его требуется сбрить. Накануне исследования человеку рекомендуется воспользоваться седативными препаратами.
Если планируется определение заболеваний сосудов главного органа центральной нервной системы с применением контраста, пациенту требуется пройти проверку на наличие аллергической реакции.
В процессе мероприятия человеку подкожно вводится незначительное количество лекарства, затем ведётся мониторинг за самочувствием пациента.
Если возникают нежелательные явления (в виде сыпи, тошноты, рвоты и др.), ангиографию отменяют. В подобном случае целесообразно использование МРТ артерий без контрастирования.
Если планируется МРТ в ангиорежиме без введения контраста, соблюдать диету накануне процедуры или отказываться от применения лекарств не нужно.
Единственное, что стоит сделать пациенту до обследования — это избавиться от металлических предметов и украшений.
Ход обследования
Мероприятие начинается с ввода контрастного лекарства (если нужно). Средство поступает в вену локтя или предплечья. Используется не более 100 мл препарата.
Врачебные действия не доставляют человеку боли, некоторые сканируемые испытывают незначительное ощущение жара.
На следующем этапе сканируемый переодевается в одноразовую одежду и ложится на оборудованный стол, который в процессе обследования переместится в кольцевую часть аппарата. В ходе процедуры человек должен лежать неподвижно.
Введение контрастного вещества
Процесс диагностики не доставляет больному дискомфорта. В томограф поступает кислород, аппарат шумит, может появиться треск — пациенту при необходимости предлагают воспользоваться берушами или наушниками.
Если больному потребуется помощь, он всегда может связаться со специалистом посредством встроенного микрофона или кнопки внутри оборудования.
Обследование занимает в среднем около получаса. После того как стол оказался вне цилиндра, обследуемый может встать, одеться и покинуть помещение. Результаты исследования выдаются больному на руки.
Проводимое обследование не относится к традиционному оперативному вмешательству, это довольно тяжёлая процедура, оказывающая нагрузку на органы больного. Особенно актуально данное утверждение в отношении исследования с контрастированием.
Поэтому после диагностирования исследуемый находится под надзором специалистов для предупреждения нежелательных последствий.
В числе обязательных реабилитационных назначений — регулярный контроль температуры тела больного и осмотр области пункции.
Вероятные осложнения
Невзирая на относительную безопасность ангиографии, сканирование способно привести к ряду нежелательных реакций, в числе которых:
- появление аллергии на введённое контрастное средство, приводящей к анафилактическому шоку;
- формирование воспалительного процесса (невроза) тканей в окружении сосуда, развивающегося по причине проникновения в него контраста;
- развитие острой почечной недостаточности.
Аллергическая реакция — самая частая из редко проявляющихся нежелательных отклонений. Реакция на йодсодержащие лекарства появляется неожиданно и резко прогрессирует. В числе вероятных проявлений этой побочной реакции:
- отёчность;
- покраснение кожного покрова;
- зуд;
- низкое артериальное давление;
- вялость;
- обморок.
Предотвратить появление анафилактического шока поможет использование рентгеноконтрастных препаратов неионного типа.
Экстравазация — результат плохой техники прокола артериальной стенки. При подобных обстоятельствах артерия прокалывается насквозь — контрастное лекарство попадает в мягкие ткани вблизи артерии, провоцируя воспалительный процесс или реже некрозный синдром.
Острая почечная недостаточность проявляется при ранее диагностируемых сбоях в функционировании почечного аппарата. Такая побочная реакция проявляется при использовании контраста.
Поскольку выводом вспомогательного средства занимаются почки, органы претерпевают существенную нагрузку. Результатом подобного становится ишемия паренхимы и почечная дисфункция.
Чтобы уменьшить интенсивность нагрузки на орган выделения и ускорить процесс вывода из тела контраста, после диагностики больному рекомендуют много пить.
Оценка кондиции мочевыделительной системы — обязательная методика, предшествующая ангиографии сосудистой системы мозга.
Вопрос стоимости
Стоимость МРТ или КТ вен головного мозга разнится в соответствии со спецификой сканирования. Средняя цена КТ-исследования в России — 2500 рублей, МРТ-диагностики — 3000 рублей.
Ангиография сосудов головы и шеи является достоверным и довольно безопасным методом диагностики и выявляет множество локальных нежелательных процессов. Исходя из метода визуализации тканей, выделяют классическую, КТ и МР-диагностику.
В первых двух случаях непосредственному обследованию в обязательном порядке предшествует ввод контрастного лекарства, при МР-ангиографии контрастирование чаще исключается. Имеется ряд противопоказаний к каждому из видов диагностических процедур.
Обследование занимает около 30 минут. В числе вероятных осложнений: почечная недостаточность, воспалительный процесс (некроз) тканей, аллергическая реакция на контраст. Стоимость исследования определяется спецификой мероприятия.
Рекомендуем к просмотру видео
Мра сосудов головного мозга
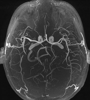
Магнитно-резонансная ангиография (МРА) сосудов головного мозга
Введение
MРA означает магнитно-резонансная ангиография. Мра сосудов головного мозга проводится для оценки нарушений в системе притока артериальной крови к головному мозгу.
Трехмерная (3D) времяпролетная ангиография time-of-flight (TOF) МRА является наиболее распространенным методом, используемым для оценки системы артериального кровоснабжения головного мозга.
МРА 3D TOF обеспечивает более высокий сигнал-шум (signal-to-noise) и короткое время обработки изображений. MРA головного мозга проста в выполнении и не требует контрастного усиления.
Времяпролетная ангиография (time-of-flight, TOF)
Это методика получения контрастности между неподвижными тканями и током крови, путем воздействия на величину намагниченности.
Величина намагниченности от движущихся спинов очень велика по сравнению с таковой от неподвижных спинов.
Это приводит к образованию высокого сигнала от перемещения спинов крови и сниженного сигнала от неподвижных спинов тканей.
Для работы с изображениями времяпролетная ангиография (TOF) использует продольный вектор намагниченности. 3D последовательность позволяет получать более тонкие срезы с меньшим размером воксела (0,6-1,0 мм).
Показания для Мра сосудов головного мозга:
- Аневризма, инсульт, вазоспазм, васкулит;
- Окклюзия и стеноз внутренней сонной артерии;
- Окклюзия и стеноз мозговой артерии;
- Окклюзия и стеноз базилярной артерии;
- Артериовенозная мальформация (АВМ);
- Атеросклероз сосудов
Противопоказания:
- Любой электрический, магнитный или механический активированный имплантат (например, кардиостимулятор, биостимулятор инсулиновой помпы, нейростимулятор, кохлеарный имплант, и слуховые аппараты);
- Внутричерепные (интракраниальные) аневризмальные клипсы (кроме титановых);
- Беременность (в случае если риск превышает пользу);
- Наличие ферромагнитных хирургических зажимов или скоб;
- Наличие металлического инородного тела глазу;
- Наличие в организме металлического шрапнеля, пули.
Подготовка пациента к МР-исследованию головного мозга
- Перед процедурой сканирования необходимо получить письменное согласие пациента на проведение исследования;
- Попросить пациента вытащить все металлические предметы, включая ключи, мелочь, колешек, пластиковые карты с магнитными полосами, ювелирные изделия, слуховые аппараты и шпильки;
- При необходимости обеспечить сопровождающего, для пациентов страдающих клаустрофобией (например, родственника или сотрудника);
- Предложить пациенту беруши, или наушники с музыкой для дополнительного комфорта;
- Необходимо разъяснить пациенту суть процедуры и порядок ее проведения;
- Предупредить пациента сохранять спокойствие во время процедуры;
- Отметить вес пациента.
Положение при проведении Мра сосудов головного мозга
- Лежа на спине головой вперед (по направлению к магниту);
- Расположите голову в головной катушке и иммобилизуйте ее подушками;
- Для дополнительного комфорта подложите под ноги пациента валики;
- Центр лазерного луча фокусируется над переносицей.

Рекомендуемые протоколы, параметры и планирование
Локалайзер
Первично при планировании последовательности должны быть выполнены снимки в 3 плоскостях. Выдержка снимков менее 25 сек, с получением Т1-взешенных изображений низкого разрешения.

Серия Т2 турбо спин-эхо, аксиальный срез
Планирование аксиальных срезов на сагиттальной плоскости; угловое расположение блока должно быть параллельно колену и валику мозолистого тела.
Эти срезы должны полностью покрывать головной мозг от темени до уровня большого затылочного отверстия. Проверьте расположение блока на 2-х других плоскостях.
Соответствующий угол должен быть получен в коронарной плоскости при наклонном положении головы (перпендикулярно линии, соединяющей третий желудочек и ствол головного мозга).

Параметры
| TR | TE | SLICE | FLIP | PHASE | MATRIX | FOV | GAP | NXA(AVRAGE) |
| 3000-4000 | 100-120 | 5мм | 130-150 | R˃L | 320X320 | 210-230 | 10% | 2 |
Времяпролетная ангиография 3D (time-of-flight, TOF)
Планирование аксиальных 3D – блоков на сагиттальной плоскости; угловое расположение блока должно быть параллельно колену и валику мозолистого тела. Эти срезы должны полностью покрывать Виллизиев Круг от уровня мозолистого тела до уровня большого затылочного отверстия.
Проверьте расположение блока на 2-х других плоскостях. Соответствующий угол должен быть получен в коронарной плоскости при наклонном положении головы (перпендикулярно линии, соединяющей третий желудочек и ствол головного мозга).
Применение полос насыщения над аксиальным блоком снизит артефакты от венозных сосудов на изображениях.

Методика переноса намагниченности (Magnetization Transfer Contrast (MTC) technique) широко используется в TOF Мра сосудов головного мозга как средство управления контрастом изображения.
При TOF МР ангиографии контрастность между нормальной неподвижной тканью и током крови обеспечивается посредством серии Т1 насыщения гидрофильных тканей, за счет повторяющихся импульсов возбуждения.
Дополнительная супрессия неподвижных гидрофильных тканей с использованием импульсов переноса намагниченности, обеспечивает визуализацию сосудов малых размеров.
Параметры
3D — time-of-flight (TOF)
| TR | TE | FLIP | NXA | SLICE | MATRIX | FOV | PHASE | GAP | MTC |
| 30-40 | 5-9 | 25 | 1 | 0,7 мм | 256X256 | 250 | R˃L | -33% | ON |
Проекция максимальной интенсивности (MIP)
MIP является наиболее часто используемым методом обработки записи МР исследований сосудов. MIP позволяет реконструировать проекции 2D-изображения с помощью 3D-данных, используя алгоритм трассировки лучей, который создает изображение белых пикселей, в качестве сигналов максимальной интенсивности исследуемой области.
MIP is the most commonly used post processing technique in MRI vascular studies. MIP reconstructs a 2D projection image from 3D data by a ray tracing algorithm, which produces an image of white pixels representing the highest intensity signal in that location within the examined volume.

- НАЖМИТЕ ПОСЛЕДОВАТЕЛЬНО НА ПУНКТЫ, ПРЕДСТАВЛЕННЫЕ НИЖЕ ДЛЯ ПРОВЕРКИ СКАНИРОВАНИЯ



Магнитно-резонансная ангиография (МРА) — что это, зачем проводят, показания, подготовка, риски
Магнитно-резонансная ангиография исследует состояние кровеносных сосудов: эластичность их стенок, образование тромбов, сужение вен вплоть до полной закупорки, обнаруживает внутренние кровотечения и инфекции на раннем этапе. МР-ангиография выявляет предпосылки для возникновения инфаркта или инсульта, позволяет вовремя начать лечение с тем, чтобы предупредить столь тяжелые заболевания.

МР-ангиография помогает выявить заболевания сосудов
Что такое ангиография
Термин ангиография произошел от двух греческих слов: греч. ἀγγεῖον (ангийон)— сосуд, ваза и γράφειν (графейн) — писать, пишут. Таким образом, ангиография, – это воспроизведенное на экране монитора или на пленке изображение сосудов, получаемое следующими способами:
- рентгенографическим;
- рентгеноскопическим;
- компьютерной томографией;
- МРТ;
Из всех упомянутых методов исследования сосудов МРТ-ангиография является самой безопасной и информативно-обобщающей. Учитывая, что кровеносные сосуды пронизывают человека от головы до кончиков пальцев, ангиография делится на несколько разделов:
- церебральная МРТ-ангиография исследует сосуды головы и головного мозга;
- флуоресцентная МРА изучает микрососуды глаз и применяется в офтальмологии;

Исследование аорты проводится методом аортографии
- аортография обследует состояние аорты со всеми ее разветвлениями;
- портография наблюдает и фиксирует состояние воротной вены и сосудов, пронизывающих печень.
- флебография и периферическая МР-ангиография обследуют сосуды нижних и верхних конечностей.
Кроме этого, рассматриваются магнитно-резонансная ангиография интракраниальных артерий, располагающихся в головном мозге, и экстракраниальных сосудов, то есть располагающихся между головой и сердцем. МРТ-ангиография сосудов шеи и груди показывает состояние экстракраниальных сосудов.
Магнитно-резонансная холангиография не имеет отношения к кровеносным сосудам. Она исследует желчные и печеночные протоки, имеющие почти такую же структуру, что и кровеносные, поэтому является частью МРА.
Суть процедуры заключается в следующем. Под действием мощного магнита, образующего силовое поле, спины элементарных частиц в ядрах водорода изменяют свое состояние и размещаются по длине оси магнитного поля, которое совместно с РЧ-импульсами заставляет протоны вращаться относительно новых осей.
Силовое поле действует не постоянно и протоны возвращаются в исходное положение. Но во время нового вращения выделяется и поглощается энергия, формируются новые магнитные поля внутри атомов водорода.
Эти изменения регистрируются сканером МР-томографа и показывают отдельные срезы органов, кровеносных сосудов, тканей.

Аппарат МРТ делает подробные снимки сосудистой системы
На изображениях, представленных в черно-белых тонах, уплотнения, твердые образования высвечиваются белыми тонами, жидкости – черными. Таким образом, чем темнее структура ткани, тем водянистее, жиже его структура. По изменениям оттенков на органах и тканях, специалист судит о состоянии исследуемого органа.
МР-ангиография может проводиться без контрастных веществ, но препараты на основе Гадолиния улучшают качество изображения, показывают мельчайшие детали.
Какие патологии выявляет МР-ангиография
С помощью магнитно-резонансной ангиографии специалисты обнаруживают следующие патологии:
- нарушения развития сосудов, врожденные отклонения и травматические дефекты кровяных сосудов;
- врожденные заболевания сердца;
- истончение и растяжение стенок вен, приводящие к аневризме, то есть расширению стенок сосудов;
- сужение и спазмы сосудов;
- недостаток гемодинамики, свидетельствующий о внутричерепной гипертонии;

Процедура может выявить спазмы сосудов
- воспалительные процессы стенок сосудов (васкулиты);
- нарушения проходимости вен, служащие причиной тромбозов и атеросклерозов;
- изменение местоположения сосудов, образовавшиеся изгибы могут свидетельствовать о новообразованиях в рассматриваемом органе;
- деформации в структуре и строении сонной артерии.
МР-ангиография сосудов головного мозга и других вен выполняется с применением контрастных веществ или без них. На снимках видны не только патологические отклонения некоторых сосудов, но и их выраженность. Нередко для получения полной картины заболевания проводится МРТ головного мозга с ангиографией.
При каких жалобах назначается МР-ангиография
На проблемы, связанные с кровеносными сосудами, указывают следующие жалобы и симптомы:
- Головная боль и головокружения.
- Слабость, ведущая к частым потерям сознания.
- Онемение конечностей, служащее признаком того, что в них нарушено кровообращение.

Исследование показано при травмах головы
- Гематомы, появляющиеся сами по себе, говорят о внутренних разрывах мелких сосудов и внутренних кровоизлияниях.
- Снижение слуха и резкая потеря зрения.
- Травма головы.
- Последствия инсульта.
- Сахарный диабет и подозрение на нарушения в сосудах, вызванные увеличенным сахаром в крови.
Эти проблемы являются показанием к проведению МР-ангиографии. МРТ в режиме ангиографии проводится также перед хирургическим вмешательством или после него.
Как правильно подготовиться
Для проведения МР-ангиографии особая подготовка не требуется. В день проведения процедуры рекомендуется воздержаться от приема каких-либо лекарств, способных влиять на состояние кровеносных сосудов. Если магнитно-резонансная томография будет выполняться с использованием контрастов в первый раз, возможно проведение теста на применяемые вещества.

После МРТ с контрастом надо много пить
Возможно, потом врач порекомендует пить больше жидкостей после ангиографии, чтобы ускорить вывод контрастных препаратов.
Как проводится процедура
В зависимости от ожидаемых результатов, применяются следующие виды ангиографии:
- Времяпролетная МР-ангиография использует «градиентное эхо» с коротким временем переход спина с верхнего уровня на нижний (спин-релаксации). Изображения срезов формируются поперек кровотока. Высокий сигнал указывает на поступление крови в срез векторов. Подавляемые РЧ-возбуждениями, статичные спины подвергаются неполной спиновой релаксации и дают меньший сигнал. Таким образом, времяпролетная ангиография показывает дефицит кровотока в отдельных участках сосудов. Данный метод применяется в исследовании шейных и мозговых артерий.
- Фазово-контрастная МР-ангиография выполняется в 4 раза медленнее, чем времяпролетная. Она диагностирует скорость кровотока.
- 4D-ангиография разделяет артериальный кровоток от венозного и фиксирует такие патологии гемодинамики, как мальформации и свищи в сосудах.

Ангиография с контрастом беременным не рекомендована
Если предполагается проведение МРТ-ангиографии с применением контрастов, то необходимо предупредить врача о таких заболеваниях, как почечная, печеночная недостаточность, бронхиальная астма.
Беременным женщинам нежелательно проведение процедуры с контрастными веществами.
Процедура занимает от 10 до 60 минут и проводится в МР-томографе. Важно, чтобы пациент во время процедуры был неподвижен. Допускается применение седативных препаратов с целью снижения нервной возбудимости. Для снижения шума больному предлагаются наушники. Для улучшения кровотока иногда пациенту дают антикоагулянты, лекарственные препараты, разжижающие кровь.
Когда противопоказана МРА
Противопоказания к МР-ангиографии практически те же, что и к МР-томографии органов. Исключается наличие металлосодержащих имплантатов, кардиостимуляторов и иных электронных устройств. Нежелательно проведение МРА беременным в первом триместре. Нельзя проводить МРА больным с тяжелыми психическими отклонениями.
Этот ролик подробно рассказывает об особенностях проведения МРТ-ангиографии:
Какие могут быть последствия
К часто встречающимся негативным результатам ангиографии можно отнести отеки и гематомы, образующиеся в местах введения контраста или установки сосудистых катетеров. Они же нередко становятся причиной травмы сосудов.
Реже встречается аллергия на контрасты. Для ее устранения рекомендуется прием антигистаминных препаратов. Антикоагулянты могут стать причиной кровотечений. В этих местах рекомендуется наложить повязку.
В единичных случаях возникает сердечная недостаточность, если нарушаются правила проведения диагностики. После ангиографии рекомендуется в этот день постельный режим. Несколько дней не допускаются занятия спортом, тяжелым физическим трудом, и особенно, поднятие тяжестей.
Помогла статья? Оцените её (No Ratings Yet) Загрузка…
Мра артерий и вен головного мозга
Начнем с того, что это диагностическое исследование абсолютно безвредно, если, конечно, не проводится с применением контрастного вещества, которое вводится во время исследования внутривенно.
Но к МРА с контрастом УЖЕ должны быть веские причины и, как правило, необходимость такого исследования решает невролог.
Я же проходил диагностику по собственной инициативе, чтобы явиться на прием к неврологу (в очередной раз) с вескими доводами, что в моих головокружениях и прочих неприятностях с головой виновата отнюдь не депрессия или мифическая ВСД (хотя в данном случае нужны уточнения), а вполне реальные, видимые на снимках причины. В общем, я прошел в очередной раз МРТ (для того, чтобы посмотреть динамику роста или увеличения числа так называемых единичных очагов глиоза) и заодно прошел томографию ГМ в сосудистом режиме. Т.е. сделал исследование артерий и вен головного мозга или МРА.
Магнитно-резонансная ангиография (МРА) широко применяется в исследованиях магистральных артерий в экстра- и интракраниальном отделах. МРА достаточно информативна для визуализации сонных, позвоночных и внутримозговых артерий.
Сопоставления диагностических возможностей МРА и традиционных методов исследования ультразвуковой допплерографии (УЗД) и рентгеновской контрастной ангиографии (РКА) свидетельствуют о достаточной информативности методики и преимуществе методики МРА для выявления стенозирующих и окклюзивных процессов в артериях.
Она дает возможность, не применяя контрастного усиления, без риска для пациента визуализировать большинство сосудистых поражений головного мозга и магистральных сосудов головы в экстракраниальном отделе.
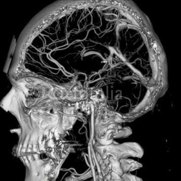
На МР-ангиограммах сосуды визуализируются как трубчатые структуры с повышенной интенсивностью сигнала на фоне низкоинтенсивных прилегающих тканей. Сигнал от кровотока в них однородный, определяется четкостью контуров артерий, вен и венозных пазух.
MP-ангиография, проведенная на уровне артериального круга мозга, позволяет визуализировать внутренние сонные и средние мозговые артерии, проксимальные отделы передних мозговых артерий, основную и задние мозговые артерии. Передние и задние соединительные артерии, а также дистальные отделы мозговых артерий не определяются из-за малого их диаметра.
МРА позволяет обнаружить патологические изменения магистральных сосудов головного мозга: извитость с петлеобразованием и обеднение периферического сосудистого рисунка передней, средней и задней мозговых артерий (ПМА, СМА, ЗМА) с обеих сторон. При тромбозе на МРА определяется «обрыв» сосуда и не визуализируются ветви сосудов, расположенные дистальнее окклюзии.
При стенозе артерии выявляют равномерное или неравномерное сужение сосуда в определенном сегменте, в то же время при гипоплазии артерии в основном обнаруживают равномерное сужение сосуда на всем протяжении.
Как я и предполагал с моими сосудами в голове было не все гладко. Достаточно посмотреть заключения по исследованиям:


- В этот же день я сделал дуплексное сканирование брахиоцефальных артерий для полноты картины:
Ангиография сосудов головного мозга и шеи: как проводится и что показывает
Сложно увидеть сосуды, если просто сделать рентгеновский снимок. Особенность ангиографии в том, что вводится специальное контрастное вещество, с помощью которого при рентгенографическом обзоре удается на снимках рассмотреть изменения. Методика помогает выявлять:
- опухоли;
- патологии артерий и вен;
- фазы мозгового кровообращения;
- заболевания тканей.
При выполнении ангиографии сосудов головного мозга контрастные вещества подают в сонную или позвоночную артерии. Препараты содержат в составе йод. Следует с осторожностью использовать их пациентам, имеющим на него аллергию. Необходимо внимательно отнестись к нефротоксичности – поражающему действию препарата на почки. Для осмотра применяют контрастные вещества:
- Верографин;
- Кардиотраст;
- Урографин;
- Гипак;
- Трийодтраст.
https://www.youtube.com/watch?v=upload
Изучение сосудов головного мозга с помощью ангиографии может иметь небольшие осложнения. К ним относят:
- болезненные ощущения в месте установки катетера;
- аллергические реакции на контрастные препараты;
- отечность, вызванную повреждением артерии при проколе;
- нарушение работы почек при выведении контраста;
- сердечную недостаточность;
- попадание контрастного вещества в окружающие ткани;
- инсульт – в редком случае.
Через два дня после проведения ангиографического исследования вен, сосудов и артерий головного мозга пациент почувствует себя уверенно, если будет придерживаться определенных правил. В течение первых суток необходимо:
- выдержать постельный режим;
- не снимать повязку;
- исключить физические нагрузки;
- не принимать водные процедуры;
- пить больше жидкости;
- не курить;
- воздержаться от секса;
- не садиться за руль.
Показания к назначению исследования
Ангиография головного мозга используется с целью определения патологий, диагностики заболеваний, планирования операций. Назначают это метод в случае:
- подозрений на опухоль;
- частой потери сознания;
- тромбоза венозного синуса;
- стеноза (сужения) сосудов;
- эмболии мозговых артерий;
- церебрального атеросклероза;
- сосудистых аневризм;
- затяжной головной боли;
- частого головокружения.
ПОДРОБНОСТИ: Улучшение кровообращения головного мозга
Ангиография имеет противопоказания, зависящие от способа проведения. Есть ограничения одинаковые для всех методов:
- беременность;
- психические расстройства;
- лактация;
- патологии щитовидки;
- недостаточность почек;
- аллергия на йод;
- сердечная недостаточность;
- сахарный диабет;
- плохая свертываемость крови;
- ожирение (пациент не помещается в аппарат).
Противопоказанием для классического метода и компьютерной томографии является запрет на рентгеновское облучение. Магнитно-резонансная ангиография может иметь ограничения, связанные с использованием магнитного поля. Сюда относят:
- имплант-водитель сердечного ритма;
- клаустрофобию;
- электронные импланты уха;
- металлические детали в организме – пластины, суставы.
Производится обследование в условиях клиники. После подготовки и подачи контрастного вещества пациента кладут на стол и специальным оборудованием производят сканирование головного мозга.
Полученное изображение помогает точно установить диагноз, чтобы лечащий врач назначил терапию или операцию.
После обследования сосудов шеи и головного мозга больной несколько часов остается в больнице, затем выписывается.
Способы проведения обследования
При проведении ангиографии контрастное вещество подают через пункционную иглу или подводят катетер к нужному сосудистому руслу. Затем начинают обследование. По локализации контрастирования различают ангиографию:
- общую – контраст через катетер подается в грудную или брюшную аорту;
- селективную – вещество вводится в церебральные сосуды;
- суперселективную – контраст посредством катетера подводят к самым тонким ветвям сосудистого русла.
Существует несколько способов выполнения ангиографии сосудов головного мозга, которые отличаются методикой визуализации.
Каждый имеет свои особенности, назначается специалистами в соответствии с показаниями у пациента и требуемым объемом информации.
Для обследования используют классический способ – проводят рентген головного мозга после введения контраста, по серии снимков выявляют патологии.
Современные методики ангиографии более информативны:
- компьютерная томография сосудов головного мозга позволяет сделать серию снимков с контрастным веществом на компьютерном томографе, с последующей 3D-визуализацией того, как будет выглядеть общая картина;
- магнитно-резонансная томография допускает проводить осмотр без контрастирования, но в особых случаях возможно его использование.
При выполнении компьютерной томографии в вену локтевого сгиба руки вводится контрастное вещество. Это удобно – отсутствует хирургическое вмешательство, как при пункции. Затем производится послойная съемка головного мозга, снимки при помощи специальных программ обрабатываются в объемные изображения, на которых четко видны сосуды.
МР-ангиография
МРА сосудов головного мозга выполняется, когда у больного есть аллергия на йод в контрастных веществах или противопоказано рентгеновское облучение. Магнитно-резонансный томограф использует в работе магнитное поле.
Исследование проводится безболезненно. МР-ангиография сосудов головного мозга дает очень точную диагностику, в результате исследования выдается трехмерное изображение, проводится проверка состояния сосудов и капилляров.
ПОДРОБНОСТИ: Википедия камень бяньши
Другие методы
Один из самых прогрессивных методов исследования – МСКТ: мультиспиральная компьютерная томография сосудов головного мозга. Его отличает высокая скорость проведения сканирования. Трубка вращается по спирали вокруг больного при постепенном перемещении стола. Трехмерные изображения характеризуются высокой четкостью.
https://www.youtube.com/watch?v=ytpressru
Ангиографическое исследование сосудов головного мозга проводят в клиниках, где имеется соответствующее оборудование, медицинских центрах. Стоимость процедур в Москве и на периферии не имеет больших отличий. Разбежка цен составляет:
- МРТ артерий – 3500-4600 р.;
- КТ-ангиография – 3200-8000 р.;
- МРТ мозга, артерий и венозных синусов – 7200-11000 р.
Церебральная ангиография сосудов головного мозга: показания и отзывы
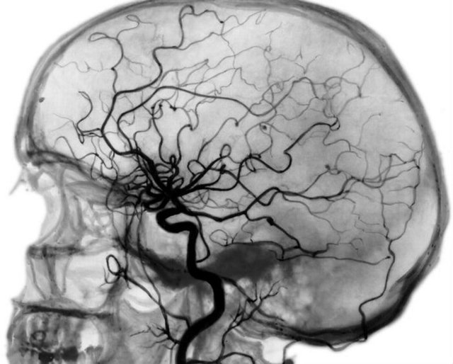
Церебральная ангиография — это рентгенологический метод визуализации сосудов головного мозга, который заключается в окрашивании сосудистого русла введенным предварительно контрастом.
Метод визуализации сосудов с помощью контрастного вещества известен медицине уже около века. Еще в 1927 году невролог из Португалии начал использовать этот метод, а в Россию он пришел в 1954 году.
Методика проведения
Для того чтобы рентгенолог увидел сосуды головного мозга, в одну из мозговых артерий проводится инъекция рентгенконтрастного вещества на основе йода («Трийодтраст», «Ультравист»). Инъекция возможна как в сосуд головного мозга, так и посредством катетера через артерию на периферии, например, бедренную.
Далее делают два рентгеновских снимка, в прямой и боковой проекции. После чего врач-рентгенолог пишет свое заключение.
Перед проведением обследования врач должен получить письменное согласие пациента. После постановки катетера в периферическую вену, необходимого для мгновенного введения лекарств, проводят премедикацию пациента.
Ему вводят обезболивающие, транквилизатор для достижения максимального комфорта пациента и снятия болевых ощущений. Пациент подключается к специальным приборам для контроля его жизненных функций (концентрации кислорода в крови, давления, частоты сердечных сокращений).
Далее кожа обрабатывается антисептиком для предотвращения инфекционного заражения, и вводится контраст в сонную или позвоночную артерии при прямой ангиографии, в бедренную — при непрямой ангиографии.
Если проводится непрямая ангиография, в бедренную артерию также вставляется катетер, который проталкивают по сосудам в необходимую артерию головного мозга. Данная процедура полностью безболезненна, так как внутренняя сосудистая стенка не имеет рецепторов.
Когда катетер подошел к необходимому месту, в него вводят контраст объемом 9-10 мл, предварительно подогрев его до температуры тела. Иногда несколько минут после введения контраста пациента беспокоит ощущение жара, появление неприятного привкуса металла во рту. Но эти ощущения быстро проходят.
После того как контраст введен, делается два рентгеновских снимка головного мозга — в боковой и прямой проекциях. Снимки оценивает врач-рентгенолог. Если все еще остаются неясности, возможно повторное введение контраста и проведение еще двух снимков.
В конце катетер удаляют, на место его введения накладывают стерильную повязку, а пациент находится под наблюдением в течение суток.
Особенности КТ-ангиографии
Существует несколько классификация данного вида обследования. Его подразделяют в зависимости от способа введения препарата, а также от количества сосудов, которые включены в обследование.
Различают следующие виды данного обследования в зависимости от способа инъекции ренгенсодержащего вещества:
- пункционная или прямая — контраст вводится непосредственно в сосуд головного мозга с помощью прокола;
- катетеризационная или непрямая — контраст вводится с помощью катетера через бедренную артерию.
В зависимости от обширности сосудов, которые поддаются визуализации, выделяют следующие типы ангиографии:
- общая ангиография — видна вся сосудистая сеть головного мозга;
- селективная церебральная ангиография головного мозга — обследованию поддается один из бассейнов (всего в головном мозге существует два бассейна кровоснабжения: вертебробазилярный и каротидный);
- суперселективная ангиография — визуализируются отдельные сосуды небольшого калибра в одном из бассейнов. Ее используют не только как метод диагностики, но и лечения, при котором сразу же после визуализации места нахождения тромба или эмбола в сосуде его удаляют.
Так как метод ангиографии используется уже более столетия, он постоянно совершенствуется. Более современным и качественным методом визуализации сосудов головного мозга является церебральная КТ-ангиография.
- Проводится не при помощи рентгеновского аппарата, а с помощью томографа. Также основан на прохождении рентгеновских лучей через тело человека, он делает сразу большое количество снимков послойно, что дает возможность более точно визуализировать сосуды и окружающие их ткани.
- Изображение получается трехмерным, что позволяет рассмотреть сосуд со всех сторон.
- Инъекция контраста проводится в вену, а не артерию.
- Нет необходимости оставлять пациента под наблюдением после процедуры.
КТ-ангиография является более эффективным и безопасным методом визуализации сосудов.

МР-ангиография — еще более информативна, чем КТ. Она позволяет увидеть мягкие ткани, которые плохо визуализируются на КТ. Проводится с помощью магнитно-резонансного томографа и не является рентгенологическим методом, в отличии от других методов ангиографии. Это позволяет избежать нагрузки облучением.
Еще одно его преимущество — хорошая визуализация даже без использования контраста, из-за чего МР-ангиографию без контрастирования можно применять для аллергиков.
Основное противопоказание к использованию — наличие в теле каких-либо металлических предметов (искусственных водителей ритма, протезов, имплантов, металлических клипс на сосудах).
Возможно, селективная церебральная ангиография головного мозга уже стала обыденной и рутинной для докторов. Возможно, она уступает по эффективности КТ и МРТ ангиографии. Однако, являясь более доступной по цене и не требуя специальной высокотехнологичной аппаратуры, она и спустя 100 лет активно используется для диагностики заболеваний головного мозга.
Противопоказания
Для обследования головного мозга при помощи церебральной ангиографии необходимо направление врача. Этот метод диагностики не проводится лишь по желанию пациента.
Основными показаниями являются:
- подозрение на наличие аневризмы головного мозга (мешковидного выпирания стенки артерии);
- определение степени сужения просвета сосуда атеросклеротическими бляшками (сужение более 75% значительно усугубляет кровообращение в головном мозге, является показанием к оперативному вмешательству);
- контроль местонахождения клипс, предварительно установленных на сосуды;
- диагностика артериовенозной мальформации (патологических соединений между артериями и венами; обычно врожденные);
- подозрение на наличие опухолей, при этом на ангиограмме визуализируется изменение нормального сосудистого рисунка в месте локализации опухоли;
- визуализация артерий головного мозга при объемных процессах в нем (опухолях, кистах) с целью установить размещение сосудов относительно друг друга;
- подозрение на наличие ангиомы головного мозга (доброкачественной опухоли, образованной сосудистой стенкой);
- отсутствие информации при использовании других методов нейровизуализации (КТ, МРТ), но при наличии жалоб пациента и симптомов болезни.
Проведение как непрямой, так и прямой церебральной ангиографии имеет ряд противопоказаний:
- Аллергия на йод и йодсодержащие вещества. При таком состоянии можно заменить контраст на гадолиниевый. Если же присутствует аллергия на другие компоненты контраста, необходимо полностью отказаться от данного метода обследования.
- Почечная и печеночная недостаточность в стадии декомпенсации. Эти состояния приводят к нарушению выведения контраста из организма.
- Тяжелые хронические заболевания.
- Острые воспалительные заболевания, так как возможно усугубление симптомов инфекции.
- Возраст до двух лет, так как облучение нарушает рост и развитие ребенка.
- Период беременности и кормления грудью, поскольку рентгеновское облучение пагубно влияет на плод.
- Психические заболевания в период обострения.
- Нарушение свертываемости крови (гемофилия, тромбоцитопеническая пурпура), что повышает возможность кровотечения после введения контраста.
Подготовка к обследованию
Так как метод обследования относится к рентгенологическим с введением контрастного вещества, нужно тщательно подготовиться к проведению церебральной ангиографии. Подготовка включает следующие действия:
- Максимум за 5 дней до обследования сдать общий анализ крови и мочи (для определения состояния почек и исключения наличия инфекционных заболеваний), коагулограмму (для определения свертывающей функции крови).
- Сделать электрокардиографию и фонокардиографию (для исключения сердечных заболеваний).
- Не употреблять алкоголь в течение минимум двух недель до обследования.
- Не принимать препараты, влияющие на свертывание крови, минимум неделю до проведения ангиографии.
- За 1-2 дня до обследования выполнить аллергическую пробу с контрастом, что осуществляется введением пациенту 0,1 мл препарата и дальнейшим наблюдением за реакцией на коже. Если на коже не появляются покраснение, сыпь, зуд, значит проба отрицательная, проведение ангиографии возможно.
- Ничего не есть за 8 часов до обследования и в течение последних 4 часов ничего не пить.
- Возможен прием транквилизаторов или растительных седативных препаратов при значительном беспокойстве. Однако, следует помнить, что прием этих лекарств возможен только по назначению врача!
- Если есть необходимость — побрить место введения контраста.
- Снять все украшения и прочие металлические предметы до проведения ангиографии.
- Непосредственно перед прохождением обследования медицинский персонал должен разъяснить пациенту методику проведения, цели и возможные риски данного метода обследования.
Возможные осложнения
Нежелательные реакции и осложнения при проведении церебральной ангиографии сосудов головного мозга происходят не часто, до 3% случаев. Однако такие реакции могут быть, и о них необходимо проинформировать пациента. Среди основных возможных осложнений выделяют следующие состояния:
- аллергические реакции: от легких — покраснения кожного покрова, зуда, высыпаний, до тяжелых — отека Квинке и анафилактического шока;
- развитие инсульта головного мозга из-за спазма артерий;
- приступ судорог;
- кровотечение в месте прокола;
- попадание контраста в окружающие сосуд мягкие ткани, что может привести к их воспалению;
- тошнота и рвота.
Магнитно-резонансная томография (МРТ) — отзыв
Прошлым летом я решила для себя пройти обследование — МРТ головного мозга. Врачи меня не направляли. Причиной моего решения сделать МРТ послужило сомнение в правильности поставленного мне диагноза двумя неврологами.
МРТ во многих городах делают в частных клиниках, принимают всех желающих, направление от врача спрашивают, но оно не обязательно.
Как проходит процедура? Особой подготовки пациента не требуется, если обследование без контраста. Именно такое проводят всем желающим, без направления врача.
Перед процедурой я заполнила специальный бланк. где указала свои данные и свои жалобы со стороны здоровья, касающиеся головы. Заплатила сразу деньги в кассу.В стоимость входит обследование, резюме врача + запись на диск. Плёнка выдаётся за отдельную плату.
Перед процедурой просят снять с себя все металлические вещи: часы, украшения, джинсы с металлическими пуговицами и другое, разуться. Выдают бахилы. одноразовый халат.
Вы заходите в кабинет. Видите огромный аппарат, но его не стоит бояться. Я проходила обследование на томографе закрытого типа. Это когда Вас завозят словно в специальный туннель. Если проводится МРТ головы, она фиксируется специальным шлемом сверху. Главное условие- не шевелится, головой не крутить, не поворачивать её.
Глаза открывать и закрывать можно. От шума можно использовать беруши. Я их купила в аптеке сама. Они существенно снижают уровень шума. Шумит, стучит, пилит и тикает аппарат громко. Выдаёт разные по интенсивности звуки- то барабанная дробь, то как тиканье часов, то более громкие звуки, то по- тише, то на время замолкает.
Без беруш мне было бы это перетерпеть намного сложнее!
В руку Вам дают специальную грушу- на неё можно нажимать в случае, если почувствуете себя плохо. Тогда процедуру сразу прекращают, но деньги в таком случае назад не отдают.
Процедура МРТ головного мозга, а я ещё захотела ангиографию сосудов, длится около 30-40 минут. Так мне сказали. Лежала я действительно, долго. Особо двигаться мне не хотелось, ничего не чесалось, головой не крутила. Легла и замерла, только глаза открывала и закрывала.
Перед процедурой я выпила таблетку гидазепама, чтобы быть спокойнее и не бояться. Так как у меня был страх, и не замкнутого пространства, а сильного шума.
- Аппарат во время исследования слегка качает, это нормально.
- Заключение вместе с диском мне вынесли примерно через минут 40, после обследования.
- В результате было написано, что патологии не выявлено, всё в пределах возрастной нормы.
А врачи в гос. поликлинике дальше пишут мне тот же диагноз. Только одна умная, толковая врач опровергла его, чем меня успокоила.
Заплатила я за это обследование летом 800 гривен. Вот, некуда было мне деньги потратить! А ведь в Европпе Вам никто просто так, без направления врачей дорогое исследование делать не станет.
Немного жалко потраченных денег, но с другой стороны, учитывая «профессионализм» гос. врача из поликлиники, лучше убедиться в правильности их диагнозов. Иногда из-за отсутствия грамотного врача вот таким дорогим способом…