
Многие годы пытаетесь вылечить СУСТАВЫ?
Глава Института лечения суставов: «Вы будете поражены, насколько просто можно вылечить суставы принимая каждый день средство за 147 рублей…
Читать далее »
Истинная полицитемия является заболеванием с сугубо опухолевым генезом.
Основополагающим в этой болезни является то, что в красном костном мозге поражаются стволовые клетки, а вернее клетки-прародительницы форменных элементов крови (также их называют полипотентными стволовыми клетками).
Как результат, в организме резко возрастает количество эритроцитов и других форменных элементов (тромбоцитов и лейкоцитов). Но так как организм приспособлен к определенной норме их содержания в крови, то любое превышение лимитов повлечет за собой определенные нарушения в организме.
НАШИ ЧИТАТЕЛИ РЕКОМЕНДУЮТ!
Для лечения суставов наши читатели успешно используют Sustalaif. Видя, такую популярность этого средства мы решили предложить его и вашему вниманию.
Подробнее здесь…
Истинная полицитемия отличается довольно злокачественным течением и трудно поддается лечению. Это объясняется тем, что практически невозможно воздействовать на основную причину возникновения истинной полицитемии — мутировавшую стволовую клетку с высокой митотической активностью (способностью к делению).
Ярким и характерным признаком полицитемии будет плеторический синдром. Он обусловлен высоким содержанием эритроцитов в русле. Характеризуется этот синдром багрово-красной окраской кожи с сильным ее зудом.
У истинной полицитемии есть три основных стадии, которые расположены согласно активности процесса. Первая стадия — стадия разгара. В этой стадии будут формироваться первые изменения в костном мозге, и формироваться измененные участки кроветворения. Стадию разгара практически невозможно выявить клинически. Чаще всего на этой стадии диагноз истинной полицитемии ставится случайным образом, например при проведении исследований крови для диагностики другого заболевания.
После стадии разгара следует стадия клинических проявлений: здесь появятся все клинические признаки этого заболевания, синдром плеторы, кожный зуд, увеличение селезенки. После стадии клинических проявлений появится конечная стадия — анемическая. При ней будут выявлены все те же клинические признаки, плюс к ним добавятся диагностические симптомы «опустошения» костного мозга (благодаря постоянной гиперплазии костного мозга).
Важно отметить, что истинная полицитемия является грозным заболеванием благодаря своим осложнениям. Повышенное количество эритроцитов и тромбоцитов приведет к повышенному тромбообразованию и развитию тромботических поражений организма. Кроме того, повышается общее кровяное давление, что может привести к стойкой артериальной гипертензии и геморрагическим инсультам, с последующим внутричерепным кровоизлиянием и смертью.
Что такое полицитемия
Полицитемия (эритремия, болезнь Вакеза, истинная красная полицитемия) – это хроническое неопластическое миелопролиферативное клональное заболевание, при котором отмечается неконтролируемая пролиферация эритроидного, мегакариоцитарного, гранулацитарного ростков миелопоэза с преимущественной пролиферацией эритроидного ростка (панмиелоз), повышением концентрации эритроцитов, увеличением уровня гемоглобина, высоким содержанием тромбоцитов, лейкоцитов (панцитоз).
Наиболее часто заболевание встречается у мужчин в среднем и пожилом возрасте, но в целом, эритремия – это редкое заболевание.
Эритремия – рак или нет
Истинная полицитемия относится к группе хронических лейкозов, течение которого может быть, как доброкачественным, так и злокачественным. Так как поражается система крови, раком это заболевание назвать нельзя, так как рак – это злокачественное новообразование, которое развивается из эпителиальных тканей различных органов.
Тем не менее, эритремия – это опухолевый процесс с высокой дифференцировкой клеток, который поражает систему кроветворения человека.
Болезнь Вакеза – причины и факторы риска

В таких случаях определяются особые гены, которые несут ответственность за синтез эритроцитов и проявляют высокую чувствительность к эритропоэтину. Такое явление часто регистрируется у родственников и является семейным.
Еще одним вариантом генетической мутации есть то, что патологические гены начинают захватывать много кислорода, не отдавая его при этом в ткани.
Вторичная полицитемия – это результат патологических изменений при хронических длительных заболеваниях, которые стимулируют выработку эритропоэтина. К таким болезням и состояниям относятся:
- Эмфизема легких.
- Бронхиальная астма.
- Обструктивные бронхиты.
- Пороки сердца в стадии компенсации и декомпенсации.
- Тромбоэмболии любой локализации.
- Повышенное давление в легочной артерии.
- Нарушения ритма сердца.
- Сердечная недостаточность.
- Ишемическая болезнь сердца.
- Кисты почек.
- Почечная ишемия вследствие атеросклеротического поражения сосудов почек.
- Опухоли красного костного мозга.
- Почечно–клеточный рак.
- Карцинома печени.
- Опухолевые процессы в матке.
- Опухоли надпочечников.
- Курение.
- Ионизирующее излучение.
- Воздействие токсических и химических веществ.
- Некоторые лекарственные средства – хлорамфеникол, азатиоприн, метотрексат, циклофосфан.
Также существует ряд генетических заболеваний, при которых повышается риск развития полицитемии. Такие болезни не имеют никакого отношения к системе крови, но нестабильность генов приводит к тому, что клетки крови становятся более восприимчивыми к различным внешним и внутренним воздействиям, которые и могут вызвать развитие эритремии. Такими болезнями являются:
- Синдром Дауна.
- Синдром Кляйнфельтера.
- Синдром Блума.
- Синдром Марфана.
При полицитемии ведущим проявлением является повышение количества эритроцитов в плазме крови, но причины такого процесса напрямую зависят от типа эритремии:
- Абсолютный тип – в этом случае отмечается увеличение концентрации эритроцитов в русле крови вследствие усиленного их образования. Такое явление характерно для:
- Истинной полицитемии.
- Полицитемии в случае гипоксии.
- Обструкции легких.
- Гипоксия, возникающая при поражении почек, надпочечников.
- Относительный тип – при этом объем эритроцитов увеличивается за счет уменьшения объема плазмы. Показатели эритроцитов не изменяются при этом, но соотношение эритроциты/плазма изменяется и поэтому такое явление и называется относительным. Такой тип процесса возникает по причине возникновения следующих заболеваний:
- Сальмонеллез.
- Холера.
- Дизентерия, а также прочие инфекционные заболевания, которые сопровождаются выраженными рвотой и диареей.
- Ожоги.
- Воздействие высоких температур, что сопровождается усиленным потоотделением.
Помимо непосредственных причин развития болезни Вакеза, существуют еще и факторы риска, которые могут при определенных условиях запускать патологический процесс:
- Стрессовые ситуации, длительное нахождение в состояние стресса.
- Деятельность, связанная с постоянным воздействием углекислого газа, что приводит к изменениям газового состава крови.
- Проживание в высокогорье в течение длительного времени.
Как развивается болезнь
Патогенетические механизмы развития полицитемии основаны на мутациях полипотентной стволовой гемопоэтической клетки, с чего и начинается развитие патологического процесса:
- В гене Jak2 происходит точечная мутация V617F, что приводит к нарушению структуры самого гена.
- Вследствие этого значительно увеличивается активность тирозинкиназы, что трансформируется в усиленную пролиферацию зрелых клеток миелоидных ростков. При этом происходит полная блокада апоптоза (естественной гибели клеток).
- Помимо этого, к усиленному синтезу форменных элементов, в частности, эритроцитов, ведет повышенная чувствительность патологических клеток – предшественниц к эритропоэтину даже при его пониженных концентрациях. Более того, есть также второй вид клеток – предшественниц эритроцитов, которые ведут себя абсолютно независимо и автономно, их деление не зависит от эритропоэтина. Такая популяция является мутантной и это один из основных субстратов эритремии.
- Вследствие таких реакция происходит гиперплазия ростков кроветворения с значительным увеличением выработки костным мозгом эритроцитов в первую очередь, а также тромбоцитов и гранулоцитов. При этом развивается абсолютный эритроцитоз, нарушаются реологические свойства крови.
- Органы и ткани переполняются кровью, вязкость которой значительно повышается, что ведет к развитию тромбов внутри сосудов, изменениям в печени, селезенке различной степени выраженности (миелоидная метаплазия селезенки и печени), гипоксии и гиперволемии.
- На финальных стадиях отмечается истощение кроветворения, развивается миелофиброз.
Итогом всех патогенетических реакций становится возникновение двух видов клеток – предшественниц:
Так как процесс образования мутантных клеток неконтролируем, количество эритроцитов значительно превышает потребности организма в них. Это ведет к угнетению синтеза эритропоэтина в почках, что еще более усугубляет патологический процесс, так как эритропоэтин теряет свое влияние на нормальный эритропоэз, а на клетки опухоли он влияния не имеет.
Помимо этого, постоянный рост мутантных клеток ведет к вытеснению нормальных, что в определенный момент времени приводит к тому, что все эритроциты продуцируются из мутантных клеток – предшественниц.
Полицитемия — причины, признаки, симптомы и лечение
Полицитемия – хронический недуг, при котором наблюдается увеличение в крови количества красных телец или эритроцитов. Заболеванию подвержены люди среднего и старшего возраста — мужчины подвержены в несколько раз чаще, чем женщины. У более чем половины людей наблюдается возрастание числа тромбоцитов и лейкоцитов.
Возникновение болезни может быть обусловлено несколькими причинами, по которым разделяют её виды. Первичная или истинная полицитемия вызвана в основном генетическими аномалиями или опухолями костного мозга, а вторичной полицитемии способствуют внешние или внутренние факторы влияния.
Без должного лечения приводит к тяжёлым осложнениям, прогноз которых не всегда утешительный. Так, первичная форма, если своевременно не начать терапию, может привести к летальному исходу на протяжении нескольких лет прогрессирования, а исход вторичной зависит от причины её появления.
Основными симптомами заболевания считаются приступы сильного головокружения и шум в ушах, человеку кажется, что он теряет сознание. Для лечения используются кровопускания и химиотерапия.
Отличительная черта данного расстройства – оно не может самопроизвольно исчезнуть и полностью излечиться от него также невозможно. Человеку необходимо будет до конца жизни регулярно сдавать анализы крови и находиться под присмотром врачей.
Этиология
Причины возникновения заболевания зависят от его формы и могут обуславливаться различными факторами. Истинная полицитемия образуется при:
- наследственной предрасположенности к нарушениям производства эритроцитов;
- генетических сбоях;
- злокачественных новообразованиях в области костного мозга;
- воздействии гипоксии (кислородной недостаточности) на красные тельца в крови.
Вторичную полицитемию вызывают:
- обструктивная болезнь лёгких;
- гипертензия лёгких;
- хроническая сердечная недостаточность;
- недостаточное поступление к почкам крови и кислорода;
- климатические условия. Наиболее подвержены люди, проживающие в высокогорных областях;
- онкологические опухоли внутренних органов;
- различные инфекционные заболевания, вызывающие интоксикацию организма;
- вредные условия труда, например, в шахте или на высоте;
- проживание в загрязнённых городах или рядом с заводами;
- многолетнее злоупотребление никотином;
- нация. По статистике полицитемия проявляется у людей еврейского происхождения, это обусловлено генетикой.
Заболевание само по себе редкое, но ещё реже встречается полицитемия у новорождённых. Основной способ передачи недуга — через плаценту матери. Детское место не обеспечивает достаточного поступления кислорода к плоду (неполноценное обращение крови).
Разновидности
Как упоминалось выше, заболевание делится на несколько видов, которые напрямую зависят от причин возникновения:
- первичную или истинную полицитемию – вызванную патологиями крови;
- вторичную полицитемию, которая может называться относительной – обусловленная внешними и внутренними возбудителями.
Истинная полицитемия, в свою очередь, может протекать в нескольких стадиях:
- начальной, для которой характерным является незначительное проявление симптомов или полное их отсутствие. Может протекать на протяжении пяти лет;
- развёрнутой. Делится на две формы – без злокачественного влияния на селезёнку и с его наличием. Стадия длится одно или два десятилетия;
- тяжёлой – наблюдается анемия, образование раковых опухолей на внутренних органах, среди которых печень и селезёнка, злокачественные поражения крови.
Относительная полицитемия бывает:
- стрессовой – исходя из названия, становится понятно, что она возникает, когда на организм влияют продолжительные перенапряжения, неблагоприятные рабочие условия и нездоровый образ жизни;
- ложной – при которой уровень эритроцитов, тромбоцитов и лейкоцитов в крови находится в пределах нормы.
Прогноз истинной полицитемии считается неблагоприятным, продолжительность жизни с таким заболеванием не превышает двух лет, но шансы на долгую жизнь возрастают при использовании в лечении кровопусканий. В таком случае человек сможет прожить пятнадцать и более лет. Прогнозы вторичной полицитемии полностью зависят от протекания болезни, запустившей процесс возрастания количества красных телец в крови.
Симптомы
На начальной стадии полицитемия протекает практически без проявления признаков. Обнаруживается она обычно при случайном исследовании или во время профилактической сдачи анализов крови. Первые симптомы могут быть ошибочно приняты за обычную простуду или указывать на нормальное состояние у пожилых людей. К ним относят:
- снижение остроты зрения;
- сильные головокружения и приступы головной боли;
- шум в ушах;
- нарушение сна;
- холодные кончики пальцев конечностей.
В развёрнутой стадии могут наблюдаться следующие признаки:
- мигрень;
- боль в мышцах и костях;
- увеличение размеров селезёнки, немного реже изменяется объем печени;
- кровоточивость дёсен;
- непрекращающееся довольно продолжительное время кровотечение после удаления зуба;
- появление на коже синяков, природу которых человек не может объяснить.
Помимо этого, специфическими симптомами данного заболевания являются:
- сильный зуд кожных покровов, для которого характерно увеличение интенсивности после принятия ванн или душа;
- болезненные жжения кончиков пальцев рук и ног;
- проявление вен, которые ранее не были заметны;
- кожа шеи, кистей и лица принимает ярко-красный цвет;
- губы и язык приобретают синеватый оттенок;
- белки глаз наливаются кровью;
- общая слабость организма больного.
У новорождённых, особенно близнецов, симптомы полицитемии начинают выражаться через неделю после рождения. К ним относятся:
- покраснение кожи крохи. Ребёнок начинает плакать и кричать во время прикосновений;
- значительное снижение массы тела;
- в крови обнаруживается большое количество эритроцитов, лейкоцитов и тромбоцитов;
- увеличиваются объёмы печени и селезёнки.
Данные признаки могут повлечь за собой смерть малыша.
Осложнения
Последствием неэффективного или несвоевременного лечения могут стать:
- выделение в больших количествах мочевой кислоты. Урина становится концентрированной и приобретает неприятный запах;
- подагра;
- образование камней в почках;
- хроническая почечная колика;
- возникновение язв желудка и двенадцатипёрстной кишки;
- нарушение кровообращения, что приводит к трофическим язвам на коже;
- тромбоз вен;
- кровоизлияния в различных местах локализации, например, нос, десна, ЖКТ и т. д.
Инфаркты и инсульты считаются самыми распространёнными причинами смерти больных таким недугом.
Диагностика
Полицитемия очень часто обнаруживается случайным образом, во время исследования крови по совершенно другим причинам. При диагностике врачу необходимо:
- тщательно ознакомиться с историей болезни пациента и его ближайших родственников;
- провести полый осмотр больного;
- выяснить причину появления недуга.
Пациент, в свою очередь, должен пройти следующие обследования:
- анализ крови и мочи для лабораторных исследований;
- УЗИ почек и селезёнки;
- спинальную пункцию, которую проводят для взятия пробы костного мозга;
- УЗДГ вен и сосудов нижних и верхних конечностей, головы и шеи.

УЗДГ вен нижних конечностей
Дополнительно могут понадобиться консультации таких специалистов, как невролог, уролог, кардиолог и гастроэнтеролог.
Лечение
В лечении полицитемии необходимо с точностью определить, что стало возбудителем заболевания. Это выполняется для того, чтобы назначить правильные методы терапии. Так, истинная полицитемия нуждается в воздействии на новообразования в костном мозге, а вторичная – в ликвидации первопричины.
Лечение первичного заболевания довольно трудоёмкий процесс, включающий в себя влияние на опухоли и предотвращение их активности. В терапии лекарственными препаратами важную роль играет возраст пациента, потому что те вещества, которые помогут людям до пятидесяти лет, будут строго запрещены для лечения пациентов старше семидесяти.
При высоком содержании эритроцитов в крови наилучшим способом лечения является кровопускание — во время одной процедуры объем крови снижается примерно на 500 миллилитров. Более современным методом лечения полицитемии считается цитоферез. Процедура заключается в фильтрации крови. Для этого пациенту в вены обеих рук вставляют катетеры, через одну кровь поступает в аппарат, а после фильтрации очищенная кровь возвращается в другую вену. Данную процедуру необходимо проводить через день.
Для вторичной полицитемии лечение будет зависеть от основного заболевания и степени проявления его симптомов.
Профилактика
Большинство причин возникновения полицитемии невозможно предотвратить, но, несмотря на это, существует несколько профилактических мероприятий:
- полностью отказаться от курения;
- сменить место работы или проживания;
- своевременно лечить заболевания, которые могут вызвать данное расстройство;
- регулярно проходить профилактические осмотры в клинике и сдавать анализ крови.
Истинная полицитемия (болезнь Вакеза)
Что такое истинная полицитемия?
Истинная полицитемия (также называемая эритремия, первичная полицитемия, болезнь Вакеза) — это редкое хроническое заболевание, связанное с миелопролиферацией (т.е. перепроизводством клеток крови в костном мозге). При заболевание повышается перепроизводство эритроцитов (в основном), а также лейкоцитов и тромбоцитов.
Поскольку происходит чрезмерное перепроизводство эритроцитов в костном мозге, это приводит к аномально большому количеству циркулирующих эритроцитов (красных кровяных телец) в крови. Следовательно, кровь при болезни Вакеза сгущается и увеличивается в объеме, это состояние называется гипервязкостью. Густая кровь может не проходить через меньшие кровеносные сосуды должным образом.
У лиц с истинной полицитемией могут возникать различные симптомы, включая неспецифические симптомы, такие как головные боли, усталость, слабость, головокружение или зуд кожи; увеличение селезенки (спленомегалия); различные желудочно-кишечные проблемы; и риск образования тромбов, препятствующие притоку крови к жизненно важным органам. Более 90% людей с болезнью Вакеза имеют мутации гена JAK2. Точная роль, которую играет мутация в развитии истинной полицитемии, еще не известна.
Эритремия встречается с частотой около 2 случаев на каждые 100 000 человек. Средний возраст, в котором диагностируется истинная полицитемия, равен 60 годам; однако иногда заболевание также развивается у больных в возрасте до 40 лет. В возрастной группе старше 60 лет эритремией болеют больше мужчин, чем женщин, но в возрасте до 40 лет заболевание чаще развивается у женщин.
Признаки и симптомы

Истинная полицитемия может протекать бессимптомно в течение нескольких лет. Самые ранние симптомы обычно включают:
- слабость;
- утомляемость;
- головную боль;
- предобморочное состояние;
- одышку;
- ночные поты;
- зуд после душа или ванны.
У больных может наблюдаться нарушение зрения, а перед глазами появляются слепые пятна или вспышки света (глазная мигрень).
У пациентов может развиваться кровотечение из пищеварительного тракта или десен, а также более интенсивное, чем обычно, кровотечение после небольших порезов.
Кожа, особенно на лице, может краснеть. У человека может появляться зуд по всему телу, особенно после ванны или душа. У пациентов может наблюдаться покраснение и жжение кистей и стоп (эритромелалгия). Реже может ощущаться боль в костях.
Иногда первые симптомы вызваны появлением кровяного сгустка. Повышение числа эритроцитов при истинной полицитемии приводит к сгущению крови и повышению риска образования тромбов по сравнению с нормой.
Сгусток может сформироваться практически в любом кровеносном сосуде, включая сосуды, расположенные в руках, ногах (вызывая тромбоз глубоких вен), сердце (вызывая инфаркт миокарда), головном мозге (вызывая инсульт) и легких (вызывая тромбоэмболию легочной артерии).
Сгустки крови также могут закупоривать кровеносные сосуды, которые отводят кровь от печени (синдром Бадда-Киари), особенно у молодых женщин.
У некоторых больных увеличивается количество тромбоцитов (клеткоподобных частиц в крови, помогающих организму формировать сгустки крови [тромбоцитемия]). Казалось бы, повышение числа тромбоцитов должно вызывать чрезмерное свертывание крови, однако на самом деле очень высокое число тромбоцитов при истинной полицитемии может привести к кровотечению, вызванному поражением других компонентов системы свертывания крови в организме.
Иногда может развиваться дефицит железа.
Может происходить увеличение размеров печени и селезенки, поскольку оба этих органа начинают вырабатывать клетки крови. Из-за увеличения печени и селезенки может появляться ощущение переполнения желудка. Если сгусток крови появляется в кровеносных сосудах печени или селезенки, вызывая гибель участков этих органов, у человека может возникать внезапная резко усиливающаяся боль.
Избыток эритроцитов может привести к развитию язвы желудка, подагры и камней в почках. В редких случаях болезнь Вакеза прогрессирует в лейкоз.
Причины
Истинная полицитемия вызвана злокачественным изменением генетического материала (ДНК) в пределах одной клетки костного мозга (клональное расстройство). Костный мозг — это мягкий, губчатый материал, который находится внутри кости, где происходит образование большинства клеток крови. Основная причина, по которой происходит это злокачественное изменение, неизвестна.
Это изменение приобретается в том смысле, что оно происходит после зачатия и не наследуется. Исследователи определили, что примерно у 90 процентов людей с истинной полицитемией есть вариации в гене JAK2. Гены предоставляют инструкции для создания белков, которые играют важную роль во многих функциях организма. Когда происходит мутация гена, белковый продукт может стать дефектным. В зависимости от функций конкретного белка это может повлиять на многие системы органов организма.
Кроме того, у некоторых пациентов с болезнью Вакеза были обнаружены дополнительные мутации в гене кальретикулина (CALR) и в других генах. Эти мутации приводят к устойчивой активации киназы JAK2, которая вызывает избыточную выработку эритроцитов.
В некоторых случаях селезенка и печень также начинают вырабатывать клетки крови. В конечном итоге у небольшой доли пациентов в костном мозге развивается миелофиброз с рубцовой тканью, и снижается его способность к выработке клеток крови.
Эпидемиология
Ежегодная заболеваемость оценивается примерно в 1/36 000-1/100 000, а распространенность — в 1/3300. Болезнь Вакеза встречается в любом возрасте, но чаще всего в возрасте 40-60 лет.
Диагностика
Истинную полицитемию можно обнаружить при проведении общего анализа крови в связи с другим заболеванием еще до возникновения каких-либо симптомов. Наблюдается чрезмерное повышение эритроцитов, уровня белка, отвечающего за транспорт кислорода в эритроцитах (гемоглобина), а также процентного содержания эритроцитов в общем объеме крови (гематокрит). Количество тромбоцитов и лейкоцитов также может быть повышенным.
Врачи могут рассматривать вероятность истинной полицитемии при существенном повышении гематокрита. Тем не менее, диагноз не может базироваться только на результатах гематокрита.
Обнаружив повышенный уровень эритроцитов (полицитемию) в организме пациента, врачи должны определить тип заболевания — истинная полицитемия или полицитемия, вызванная каким-то другим состоянием (вторичный эритроцитоз).
Иногда отличить истинную полицитемию от вторичного эритроцитоза помогает медицинский анамнез и осмотр, но обычно требуются дополнительные исследования.
Также может измеряться уровень содержащегося в крови эритропоэтина — гормона, который воздействует на костный мозг, стимулируя выработку эритроцитов. При истинной полицитемии уровень эритропоэтина, как правило, оказывается чрезвычайно низким, а при вторичном эритроцитозе часто (но не всегда) остается в норме или повышается.
Пациенту назначают тест на наличие мутаций гена JAK2. Если указанные мутации не обнаружены, исследуются мутации CALR.
Лечение
При лечении большинство больных с истинной полицитемией живут десятки лет. У около 15% пациентов развивается миелофиброз, а у небольшой доли может развиться острый лейкоз.
Лечение не устраняет истинную полицитемию, но может сдерживать течение заболевания и снизить вероятность возникновения осложнений, таких как формирование сгустков крови. Лечение нацелено на понижение количества эритроцитов.
В большинстве случаев кровь выводится из организма в ходе процедуры под названием флеботомия, аналогично как при заборе донорской крови. Около полулитра крови извлекается каждые два дня до тех пор, пока гематокрит не достигнет нормального уровня.
Затем кровь извлекается, к примеру, один раз в 1-3 месяца (по мере необходимости) для поддержания гематокрита на нормальном уровне.
Аспирин может помочь облегчить симптомы, связанные с высоким числом тромбоцитов, такие как мигрени, которые влияют на зрение, а также жгучую боль и покраснение кистей и стоп. Однако не доказано, что аспирин снижает риск образования тромбов в случае истинной полицитемии, при этом он не приносит пользы людям, у которых симптомы отсутствуют.
Пациентам, у которых после флеботомии симптомы сохраняются, могут требоваться другие виды лечения. Таким больным можно назначать руксолитиниб — препарат, ингибирующий активность JAK2, или другие препараты, включая пэгилированный интерферон альфа-2b, анагрелид или гидроксимочевину.
Трансплантация костного мозга является единственным средством для излечения истинной полицитемии, но рекомендуется только при развитии осложнений истинной полицитемии — миелофиброза и недостаточности костного мозга. Трансплантация костного мозга обычно назначается при развитии признаков миелофиброза в костном мозге.
Другие лекарственные препараты могут помогать контролировать выраженность некоторых из симптомов. Например, антигистаминные препараты, селективные ингибиторы обратного захвата серотонина (СИОЗС) или светотерапия ПУФА помогают облегчить зуд.
Прогноз
Долгосрочная перспектива для лиц, страдающих от болезни Вакеза, может зависеть от реакции на лечение.
Наиболее опасным симптомом истинной полицитемии является вероятность тромботического события, которое может привести к сердечному приступу или инсульту.
Существует также небольшая вероятность того, что истинная полицитемия может привести к развитию лейкемии. Однако при правильном лечении эти симптомы не оказывают существенного влияния на ожидаемую продолжительность жизни человека с болезнью Вакеза.
Другим осложнением, которое может повлиять на прогноз, является неприятный зуд, который может возникнуть как часть заболевания. Однако многие люди могут контролировать зуд с помощью лекарств, перечисленных выше.
Истинная полицитемия: что это такое, симптомы, лечение, лечится или нет
Сегодня мы поговорим о таком заболевании крови, как истинная полицитемия. Данная болезнь представляет собой патологию, при которой в циркулирующей крови повышенной количество красных кровяных телец.
Полицитемия несет большую, порой необратимую опасность для жизни и здоровья человека, поэтому важно распознать заболевание по первым его признакам для своевременной медицинской помощи и компетентного лечения.
Обычно данный синдром характерен для людей в возрасте после 50 лет, при чем более часто диагностируется у представителей мужского пола. Рассмотрим подробнее болезнь во всех ее аспектах: этиологию, виды, диагностику и основные способы излечения полицитемии.
Общие сведения о заболевании
В современной медицине полицитемия имеет несколько названий, например, болезнь Вакеза, также иногда ее называют эритроцитозом.
Патология относится к разделу хронических лейкозов и представляет активное увеличение концентрации в крови эритроцитов, лейкоцитов и тромбоцитов, чаще всего специалисты данное заболевание относят к редкому типу лейкемии.
Медицинская статистика говорит, что истинная полицитемия ежегодно диагностируется только в 5 случаях на 1 млн. пациентов, обычно развитие патологии характерно для пожилых мужчин (от 50 до 65 лет).

К самым опасным осложнениям заболевания относят риск развития тромбозов и геморрагических инсультов, а также перехода полицитемии в острую стадии миелобластного лейкоза или в хроническую стадию миелолейкоза. Такое заболевание характеризуется рядом причин, которые мы рассмотрим ниже. Все причины эритремии делят на два вида: первичные и вторичные.
Причины заболевания
В современной медицине к первопричинам данной патологии относят следующие:
- генетическая предрасположенность к повышенному производству эритроцитов;
- сбои на генетическом уровне;
- онкозаболевания костного мозга;
- кислородная недостаточность также влияет на повышенное производство клеток крови.
Чаще всего эритремия имеет опухолевый фактор, характеризующийся поражением стволовых клеток, вырабатываемых в красном костном мозге. Результатом разрушения указанных клеток является увеличение уровня эритроцитов, что напрямую ведет к нарушению работы всего организма.
Заболевание имеет злокачественный характер, тяжело диагностируется и длительно лечится, и не всегда с положительным эффектом, сложная терапия обуславливается тем, что никакие методы лечения не могут влиять на стволовую клетку, подвергшуюся мутации, которая имеет высокую способность к своему делению.
Истинная полицитемия характеризуется наличием плеторы, это обуславливается тем, что в сосудистом русле повышена концентрация эритроцитов.
У пациентов с полицитемией наблюдается багрово-красная кожа, часто больные жалуются на кожный зуд.
Ко вторичным причинам заболевания специалисты относят такие факторы, как:
- патологии легких обструктивного характера;
- легочная гипертензия;
- сердечная недостаточность в хронической форме;
- нет достаточного питания почек кислородом;
- резкая смена климата, также развитие этого синдрома характерно для населения, проживающего в высокогорных районах;
- различные инфекции, ведущие к высокой интоксикации организма;
- вредные условия работы, особенно это касается работ, проводимых на высоте;
- также заболеванием страдают люди, проживающие в экологически грязных районах, либо в непосредственной близости с производствами;
- чрезмерное курение;
- специалисты выявили, высокий риск развития полицитемии характерен людям с еврейскими корнями, это обусловлено генетической особенностью функции красного костного мозга;
- ночное апноэ;
- синдромы гиповентиляции ведет к полицитемии.
Все эти факторы приводят к тому, что гемоглобин наделяется способностью активно присоединять к себе кислород, при этом практически нет отдачи его тканям внутренних органов, что, соответственно, приводит к активному производству красных кровяных клеток.
Стоит отметить, что некоторые онкологические заболевания также могут провоцировать развитие эритремии, например опухоли следующих органов влияют на производство эритроцитов:
- печени;
- почек;
- надпочечников;
- матки.
Некоторые кисты почек и обструкция этого органа может увеличить секрецию клеток крови, что ведет к развитию полицитемии. Иногда встречается полицитемия у новорожденных детей, данное заболевание передается через материнскую плаценту, происходит недостаточное поступление кислорода к плоду, вследствие чего и развивается патология. Далее рассмотрим течение полицитемии, ее симптомы и лечение, какие есть осложнения полицитемической болезни?
Симптоматика полицитемии
Данное заболевание опасно тем, что истинная полицитемия на начальной стадии протекает практически бессимптомно, у пациента нет каких-либо жалоб на ухудшение здоровья. Чаще всего патологию выявляют при исследовании крови, иногда первые «звонки» полицитемии связывают с простудными заболеваниями или просто с общим снижением работоспособности у людей пожилого возраста.
К основным признакам эритроцитозов относят:
- резкое падение остроты зрения;
- частые мигрени;
- головокружение;
- шум в ушах;
- проблемы со сном;
- «ледяные» пальцы рук.
Когда патология входит в развернутую стадию, то при полицитемии могут наблюдаться:
- мышечные и костные боли;
- на УЗИ часто диагностируются увеличение селезенки, или изменение контуров печени;
- кровоточивость десен;
- например, при удалении зуба может долго не останавливаться кровь;
- пациенты часто обнаруживают у себя на теле новые синяки, происхождение которых они не могут объяснить.
Также врачи выделяют специфические симптомы указанного заболевания:
- сильный кожный зуд, который увеличивается после принятия водных процедур;
- ощущение жжения кончиков пальцев;
- появление сосудистых «звездочек»;
- кожа лица, шеи и грудной клетки может приобретать багрово-красный оттенок;
- губы и язык, наоборот, могут иметь синеватый оттенок;
- глазные белки имеют склонность к покраснению;
- пациент постоянно чувствует слабость.
Если говорить о заболевании, поражающих новорожденных, то полицитемия развивается через несколько дней после рождения. Чаще всего патология диагностируется у близнецов, к основным признакам относятся:
- кожа малыша приобретает красный цвет;
- при прикосновении к кожному покрову ребенок испытывает неприятные ощущения, поэтому начинает плакать;
- кроха рождается маловесным;
- при исследовании крови обнаруживается повышенный уровень лейкоцитов, тромбоцитов и эритроцитов;
- на УЗИ наблюдаются изменение размеров печени и селезенки.
Стоит отметить, что при несвоевременной диагностики полицитемии, можно пропустить развитие заболевания, а отсутствие терапии может привести к летальному исходу новорожденного.
Диагностика заболевания
Как упоминалось выше, чаще всего истинная полицитемия обнаруживается при профилактической сдаче крови на анализ. Специалисты ставят диагноз эритроцитоз, если при исследовании крови показатели показывают уровень выше нормы:
- уровень гемоглобина повышен до 240 г/л;
- уровень эритроцитов повышен до 7,5х1012/л;
- уровень лейкоцитов повышен до 12х109/л;
- уровень тромбоцитов повышен до 400х109/л.
Для исследования функции красного костного мозга используют процедуру трепанобиопсии, ведь именно нарушение выработки стволовых клеток провоцируют развитие полицитемии.
Чтобы исключить другие заболевания специалисты могут использовать такие исследования, как УЗИ, анализ мочи, ФГДС, УЗДГ и прочее. Также пациенту назначают консультации с узкими специалистами: неврологом, кардиологом, урологом и т.д.
Если пациенту диагностирована полицитемия каково лечение данного заболевания, рассмотрим основные способы.
Лечение эритроцитоза
Данное заболевание относятся к тем видам патологии, которые лечатся миелосупрессивными препаратами. Также лечение истинной полицитемии производится методами кровопускания, данный вид терапии может назначаться пациентам, которые не достигли 45-летнего возраста. Суть процедуры заключается в том, что у больного берут до 500 мл крови в день, пожилым людям с полицитемией также производят флеботомию, только забор крови происходит не более 250 мл в день.
Если у больного с данным заболеванием наблюдается сильный кожный зуд и гиперметаболический синдром, тогда специалисты назначают миелосупрессивный метод терапии истинной полицитемии. В него включаются следующие препараты:
- радиоактивный фосфор;
- анагрелид;
- интерферон;
- гидроксимочевина.
В случае ремиссии при полицитемии больному назначаются повторные анализы крови не чаще раза в 14 дней, потом исследование проводится раз в месяц. Когда уровень эритроцитов приходит в норму, то препараты начинают постепенно отменять, происходит чередование медикаментозной терапии с отдыхом от лекарств, при этом строго наблюдается течение заболевания.
Но стоит отметить, что применение миелосупрессивных препаратов при полицитемии может привести к развитии лейкоза, поэтому их назначение специалисты производят после длительных детальных исследований. Иногда встречаются такие побочные эффекты, как кожные язвы, нарушение работы ЖКТ, лихорадка, если такое происходит, то медикаменты сразу же отменяются.
Также больной ежедневно должен принимать Аспирин, чтобы снизить риск развития тромбоза, который часто осложняет течение указанного заболевания.
Еще пациенту с полицитемией показана такая процедура, как эритроцитофорез, который заключается в том, что аппарат выкачивает у больного кровь, при этом одновременно удаляя из нее лишние эритроциты. После, чтобы восстановить прежний объем пациенту вливают физраствор, данная процедура является современным видом кровопускания, но проводится она не чаще раза в 2-3 года. Лечение полицитемии не застрахует больного от возможный осложений, которые могут развиться на фоне данной патологии.
Осложнения при полицитемии
Специалисты отмечают следующие осложнения, которые сопутствуют развитию истинной полицитемии:
- моча может приобретать резкий и неприятный запах;
- часто больных полицитемией мучает подагра;
- при полицетемии могут образовываться камни в почках;
- почечные колики переходят в хроническую стадию;
- нередко эритроцитоз сопровождает язва желудка или 12-перстной кишки;
- нарушение функции кровообращения могут привести к образованию кожных язв;
- часто данное заболевание провоцирует тромбоз;
- кровоточивость десен, частые носовые кровотечения.
Профилактические меры
Развитие такого заболевания, как полицитемия можно предотвратить, необходимо придерживаться следующих профилактических мер:
- полностью отказаться от вредных привычек, в особенности от курения сигарет, именно никотин наносит вред организму и провоцирует данное заболевание;
- если район неблагоприятен для проживания, то лучше сменить место жительства;
- тоже самое касается и работы;
- регулярно сдавать профилактические анализы крови, которые и могут показать наличие у пациента полицитемии;
- необходимо ответственно отнестись к своему питанию, лучше ограничить потребление мяса, включить в свой рацион те продукты, которые стимулируют функцию кроветворения, отдавать предпочтение кисломолочным и растительным продуктам.
Помните, что своевременная диагностика и грамотная терапия полицитемии могут предотвратить развитие осложнений при указанном заболевании, но, к сожалению, при данной болезни нет гарантии полного излечения.
Болезнь полицитемия, или многокровие

Перепроизводство красных клеток крови является самым драматичным при полицитемии, но производство белых кровяных клеток и тромбоцитов также в большинстве случаев повышено
Истинная полицитемия является редким, хроническим заболеванием с участием перепроизводства в костном мозге клеток крови (миелопролиферации).
Перепроизводство красных клеток крови является самым драматичным, но производство белых кровяных клеток и тромбоцитов также в большинстве случаев повышено. Избыточное производство красных клеток крови в костном мозге приводит к аномально высокому числу циркулирующих эритроцитов в крови. Следовательно, кровь густеет и увеличивается в объеме; это состояние называется гипервязкостью крови.
Полицитемия – это увеличение числа эритроцитов в крови. При полицитемии повышены уровни гемоглобина и количество красных клеток крови (эритроцитов), также повышен гематокрит (процентное соотношение эритроцитов к плазме крови).
Повышенное количество эритроцитов легко может быть обнаружено при проведении полного анализа крови. Уровень гемоглобина выше 16,5 г/дл у женщин и более 18,5 г/дл у мужчин свидетельствует о полицитемии.
С точки зрения гематокрита, свидетельствуют о полицитемии значения выше 48 у женщин и выше 52 у мужчин.
Производство эритроцитов (эритропоэз) происходит в костном мозге и регулируется серией определенных шагов. Одним из важных ферментов, регулирующих этот процесс, является эритропоэтин. Большинство эритропоэтина вырабатывается в почках, а меньшая часть – в печени.
Полицитемия может быть вызвана внутренними проблемами при производстве красных клеток крови. Она называется первичной полицитемией. Если полицитемия возникает из-за другой основной медицинской проблемы, ее называют вторичной полицитемией. В большинстве случаев полицитемия является вторичной и обусловлена другим заболеванием. Первичная полицитемия бывает относительно редко. Примерно у 1-5% новорожденных может быть диагностирована полицитемия (неонатальная полицитемия).
Первичные причины полицитемии
Истинная полицитемия вызвана мутациями в двух генах: JAK2 и Epor.
Истинная полицитемия связана с генетической мутацией в гене JAK2, которая повышает чувствительность клеток костного мозга к эритропоэтину. В результате этого увеличивается производство красных клеток крови. Уровни других типов клеток крови (лейкоцитов и тромбоцитов) также часто увеличены при этом состоянии.
Первичная семейная и врожденная полицитемия является состоянием, связанным с мутацией в гене Epor, которая вызывает увеличение производства красных клеток крови в ответ на эритропоэтин.
Вторичные причины полицитемии
Вторичная полицитемия развивается из-за высоких уровней циркулирующего эритропоэтина. Основными причинами повышения эритропоэтина являются: хроническая гипоксия (низкий уровень кислорода в крови в течение длительного периода времени), плохая доставка кислорода из-за неправильной структуры красных клеток крови и опухоли.
Некоторые из общих условий, которые могут привести к повышению эритропоэтина вследствие хронической гипоксии или плохой подачи кислорода, включают: 1) хроническая обструктивная болезнь легких (ХОБЛ, эмфизема, хронический бронхит); 2) легочная гипертензия; 3) гиповентиляции синдром; 4) застойная сердечная недостаточность; 5) обструктивное апноэ сна; 6) плохой приток крови к почкам; 7) жизнь на больших высотах.
2,3-БПГ дефицитное состояние, при котором молекула гемоглобина в красных клетках крови имеет аномальную структуру. В этом состоянии гемоглобин имеет более высокое сродство к захвату кислорода и меньше высвобождает его для тканей организма. Это приводит к большему производству эритроцитов, поскольку организм эту аномалию воспринимает как недостаточный уровень кислорода. Итогом является большее число циркулирующих эритроцитов.
Некоторые опухоли вызывают секрецию избыточного количества эритропоэтина, что приводит к полицитемии. Общие эритропоэтин-рилизинг опухоли: рак печени (гепатоцеллюлярная карцинома), рак почки (почечно-клеточный рак), аденома надпочечников или аденокарцинома, рак матки. К увеличению секреции эритропоэтина могут привести и такие доброкачественные состояния, как киста в почках и почечная обструкция.
Хроническое воздействие оксида углерода может привести к полицитемии. Гемоглобин имеет более высокое сродство к окиси углерода, чем кислород. Поэтому, когда молекулы окиси углерода присоединяются к гемоглобину, может возникнуть полицитемия, позволяющая компенсировать плохую доставку кислорода к существующим молекулам гемоглобина. Подобный сценарий может также происходить с диоксидом углерода вследствие долгосрочного курения.
Причиной полицитемии новорожденных (неонатальной полицитемии) часто является передача материнской крови из плаценты или переливание крови. Длительная плохая доставка кислорода к плоду (внутриутробная гипоксия) в связи с недостаточностью плаценты также может привести к полицитемии новорожденных.
Относительная полицитемия
Относительная полицитемия описывает условия, при которых объем эритроцитов является высоким из-за повышенной концентрации в крови эритроцитов в результате обезвоживания. В этих ситуациях (рвота, диарея, чрезмерная потливость) количество красных клеток крови находится в пределах нормы, но из-за потери жидкости, влияющей на плазму крови, концентрация эритроцитов повышена.
Полицитемия вследствие стресса
Эритроцитоз вследствие стресса также известен как синдром псевдополицитемии, который проявляется у тучных мужчин среднего возраста, принимающих мочегонные препараты для лечения гипертензии. Зачастую эти же люди являются курильщиками сигарет.
Факторы риска полицитемии
Основными факторами риска полицитемии являются: хроническая гипоксия; долгосрочное курение сигарет; семейная и генетическая предрасположенность; жизнь на больших высотах; длительное воздействие оксида углерода (туннельные рабочие, обслуживающий персонал гаража, жители сильно загрязненных городов); ашкенази еврейского происхождения (возможно увеличение частоты полицитемии вследствие генетической предрасположенности).
Симптомы полицитемии
Симптомы полицитемии могут варьировать в широких пределах. У некоторых людей с полицитемией вообще отсутствуют симптомы заболевания. При средней полицитемии большинство симптомов связано с базовым состоянием, которое ответственно за полицитемию.
Симптомы полицитемии могут быть расплывчатыми и довольно общими.
Некоторые из важных признаков включают в себя: 1) слабость, 2) кровотечение, образование тромбов (что может привести к инфаркту, инсульту, эмболии легких), 3) боль в суставах, 4) головная боль, 5) зуд (также зуд после принятия душа или ванны), 6) усталость, 7) головокружение, 8) боли в животе.
Когда обращаться к врачу?
Люди с первичной полицитемией должны быть осведомлены о некоторых потенциально серьезных осложнениях, которые могут произойти. Формирование тромбов (инфаркт, инсульт, сгустки крови в легких или ногах) и неконтролируемое кровотечение (носовое кровотечение, желудочно-кишечное кровотечение), как правило, требуют незамедлительного медицинского внимания со стороны лечащего врача.
Пациенты с первичной полицитемией должны находиться под наблюдением врача-гематолога. Заболевания, приводящие к вторичной полицитемии, может лечить терапевт или врачи других специализаций. Например, людей с хронической болезнью легких должен регулярно наблюдать врач-пульмонолог, а пациентов с хронической болезнью сердца – кардиолог.
Анализ крови при полицитемии
Диагностировать полицитемию очень легко по обычному анализу крови. При оценке пациента с полицитемией необходимо полное медицинское обследование. Особенно важно обследовать легкие и сердце. Увеличенная селезенка (спленомегалия) является характерной особенностью при полицитемии. Поэтому очень важно оценить увеличение селезенки.
Для оценки причины полицитемии важно провести полный анализ крови, определить профиль свертывания крови и метаболические панели. Другие типичные исследования, позволяющие определить возможные причины полицитемии, включают: рентген грудной клетки, электрокардиограмму, эхокардиографию, анализ гемоглобина и измерение окиси углерода.
При истинной полицитемии, как правило, другие клетки крови также представлены аномально высоким числом лейкоцитов (лейкоцитоз) и тромбоцитов (тромбоцитоз). В некоторых случаях необходимо исследовать продукцию клеток крови в костном мозге, для этого проводят аспирацию, или биопсию костного мозга. Руководящие принципы также рекомендуют проверить на мутацию гена JAK2 в качестве диагностического критерия истинной полицитемии.
Проверка уровня эритропоэтина не требуется, но в некоторых случаях этот анализ может предоставить полезную информацию. В начальной стадии полицитемии, уровень эритропоэтина обычно низкий, но при секретирующей эритропоэтин опухоли уровень этого фермента может быть повышен.
Результаты должны интерпретироваться, поскольку уровень эритропоэтина может быть высоким в ответ на хроническую гипоксию (если это основная причина полицитемии).
Лечение полицитемии
Лечение вторичной полицитемии зависит от ее причины. Дополнительный кислород может быть необходим для людей с хронической гипоксии. Другие методы лечения могут быть направлены на лечение причины полицитемии (например, соответствующее лечение сердечной недостаточности или хронического заболевания легких).
Лица с первичной полицитемией могут предпринять некоторые меры для лечения в домашних условиях, чтобы контролировать симптомы и избежать возможных осложнений. Важно употреблять достаточное количество жидкости, чтобы избежать дальнейшей концентрации крови и обезвоживания организма.
Нет никаких ограничений в физической активности. Если у человека увеличена селезенка, следует избегать контактных видов спорта, чтобы предотвратить травму селезенки и ее разрыв.
Лучше всего избегать препаратов железа, поскольку их применение может способствовать перепроизводству красных клеток крови.
Основой терапией для полицитемии остается кровопускание (донорство крови). Цель кровопускания заключается в сохранении гематокрита около 45% у мужчин и 42% у женщин. Первоначально может понадобиться проведение кровопускания каждые 2-3 дня с удалением от 250 до 500 мл крови каждый раз. После того, как цель будет достигнута, кровопускание может быть выполнено не так часто.
Широко рекомендуемым для лечения полицитемии препаратом является гидроксимочевина. Этот препарат особенно рекомендуется людям, подверженным риску образования сгустков крови.
Особенно этот препарат рекомендуется лицам старше 70 лет с повышенным уровнем тромбоцитов (тромбоцитоз; больше 1,5 млн), с высоким риском сердечно-сосудистых заболеваний. Гидроксимочевина также рекомендуется пациентам, которые не в состоянии перенести кровопускание.
Гидроксимочевина может снизить все повышенные показатели крови (лейкоциты, эритроциты и тромбоциты), в то время как кровопускание снижает только гематокрит.
Аспирин также применяют в лечении полицитемия, чтобы снизить риск образования тромбов. Однако, этот препарат не следует применять людям с любой историей кровотечения. Аспирин, как правило, применяют в сочетании с кровопусканием.
Осложнения при полицитемии
Частый мониторинг рекомендуется в начале лечения с кровопусканием до приемлемого гематокрита. Некоторые из осложнений первичной полицитемии, как указано ниже, часто требуют постоянного наблюдения врача.
Эти осложнения включают в себя: 1) сгусток крови (тромбоз) вызывает сердечный приступ, тромбы в ногах или легких, тромбы в артериях.
Эти события считаются основными причинами смерти при полицитемии; 2) тяжелая потеря крови или кровоизлияние; 3) трансформация в рак крови (например, лейкоз, миелофиброз).
Профилактика полицитемии
Многие причины вторичной полицитемии не могут быть предотвращены. Тем не менее, существуют некоторые потенциальные профилактические меры: 1) прекращение курения; 2) избегать длительного воздействия окиси углерода; 3) своевременное лечение хронических заболеваний легких, болезни сердца или апноэ сна.
Первичной полицитемии из-за мутации генов, как правило, не избежать.
Прогнозы при полицитемии. Прогноз для первичной полицитемии без лечения, как правило, плохой; с ожидаемой продолжительностью жизни около 2 лет. Тем не менее, благодаря даже одному кровопусканию многие пациенты могут вести нормальную жизнь и иметь нормальную продолжительность жизни. Перспективы для вторичной полицитемии во многом зависят от основной причины заболевания.
Полицитемия – что это за болезнь, лечение, симптомы и диагностика на МЕД Zoon
Полицитемия – редкая хроническая болезнь, при которой у человека в крови повышается содержание:
- эритроцитов (красных кровяных телец);
- лейкоцитов (белых телец);
- тромбоцитов (элементов, отвечающих за остановку кровотечения).
Другие названия этой патологии – болезнь Вакеза, эритремия.
Содержание
Известны две формы этой болезни:
| Истинная полицитемия. Возникает из-за патологических изменений в крови | По диагнозу | Первичная полицитемия. Развивается как самостоятельная патология. |
| Вторичная полицитемия. Наступает на фоне других заболеваний – образования опухолей, лёгочной недостаточности, гидронефроза (расширения почечной лоханки и почечных чашечек). | ||
| По стадии | Начальная полицитемия: симптомы фактически незаметны или вовсе отсутствуют. Может продолжаться несколько лет. | |
| Развёрнутая полицитемия. Может поразить селезёнку. Продолжается более 10 лет. | ||
| Тяжёлая полицитемия. Возникают онкологические опухоли на различных органах, злокачественные патологии крови. | ||
| Относительная полицитемия | Стрессовая полицитемия. Её причиной становятся чрезмерная нагрузка, нездоровый режим сна и питания, слишком напряжённая работа. | |
| Ложная полицитемия. При этом диагнозе количество кровяных телец находится в норме. |
Причины
К сожалению, со стопроцентной уверенностью сказать, что именно вызывает этот недуг, медикам до сих пор не удаётся. Общепринятая версия – заболевание вызывает мутацию одного из мозговых ферментов. По этой причине кровяные клетки начинают интенсивно делиться. Отсюда – их чрезмерное количество (в особенности это относится к эритроцитам). Замечено, что предрасположенность к болезни Вакеза может быть генетической: диагноз «полицитемия» часто ставится близким родственникам.
Есть также мнение, что к развитию заболевания могут привести:
- чрезмерное рентгеновское облучение;
- перенесённый туберкулёз или кишечная инфекция;
- плохие рабочие условия – например, частый контакт с лакокрасочными веществами на производстве.
Симптомы (признаки)
Зачастую данная болезнь никак себя не проявляет. Это может длиться годами. Порой она выявляется при обследовании на совершенно другое заболевание. В этом случае можно сказать, что пациенту повезло (особенно если стадия полицитемии не запущенная).
Но бывает и так, что заболевание сопровождается цепочкой симптомов. Органы человека, страдающего болезнью Вакеза, чрезмерно наполняются кровью. Отсюда – целый ряд признаков.
Для больного полицитемией характерно:
- расширение вен, заметное невооружённым глазом – например, вены на руках выглядят вздутыми;
- покраснение глаз;
- багровый оттенок кожи (ярко заметен на лице, шее);
- давящая боль в груди, особенно после поднятия тяжестей;
- резкие боли в конечностях, кончиках пальцев (при приёме медикаментов, разжижающих кровь, боль стихает);
- ощущение, что кожа тела чешется (симптом возникает из-за усиленного кровообращения и расширения кожных капилляров);
- слишком большой размер печени и селезёнки в сравнении с нормой (симптом возникает вследствие сильной концентрации эритроцитов). Увеличение этих органов, в свою очередь, провоцирует чувство тяжести в животе. Неприятные ощущения в левой части живота – признак увеличенной селезёнки, тяжесть в правой части живота – сигнал об увеличении размера печени;
- тромбоз в крупных сосудах, особенно – в ножных венах;
- тромбоз мелких сосудов слизистой оболочки кишечника, способный спровоцировать язвенную болезнь 12-перстной кишки;
- иногда – кровоточивость дёсен;
- плохое общее состояние организма: повышенное давление, быстрая утомляемость, мигрень, чувство шума в ушах, затруднённое дыхание.
Обратите внимание: такие явные сигналы болезни, как покраснение лица, проявляются не всегда. Затрудняет диагностику и тот факт, что симптомы полицитемии схожи с признаками других заболеваний. Поэтому многим просто не приходит в голову обследоваться на полицитемию. А ведь её может выявить простой анализ крови.
Диагностика
Болезнь Вакеза выявляется в современных медицинских лабораториях.
Для её диагностики проводят:
- Общее исследование крови пациента. В пользу диагноза «полицитемия» скажет:
- большое скопление красных кровяных телец, при этом они могут увеличиваться в размерах;
- повышенное содержание тромбоцитов (чем выше их число, тем тяжелее заболевание);
- повышенный уровень гемоглобина;
- высокое гематокритное число (соотношение красной крови и плазмы).
- Анализ крови пациента на биохимию. О полицитемии будет свидетельствовать:
- повышенное содержание щелочной фосфатазы – фермента, отвечающего за фосфорно-кальциевый обмен;
- накопление мочевой кислоты – побочного продукта метаболических процессов.
- Радиологическая диагностика (определяет уровень циркулирующих эритроцитов).
- Цитологический анализ (изучение костного мозга на клеточном уровне).
- Гистологическая диагностика красного костного мозга (исследование материала из подвздошной кости).
Дополнительно доктор может попросить пациента пройти УЗИ внутренних органов. Делается это для установления размеров печени и селезёнки.
Лечение
Как только диагноз поставлен, пациент направляется в отделение гематологического профиля. Какую тактику борьбы с болезнью изберёт врач? Это зависит от стадии заболевания.
Как правило, полицитемия лечится:
- Кровопусканием. Этот древний метод помогает быстро понизить число эритроцитов. Уровень гемоглобина в крови тоже снижается. Кровь забирается каждую неделю в количестве от 200 до 300 миллилитров (в зависимости от конституции тела и состояния больного). Иногда стандартное кровопускание заменяется эритроцитоферезом – процедурой, состоящей из трёх этапов:
- забор крови;
- отделение красной крови от плазмы;
- возвращение плазмы в организм.
- Применением цитостатиков – лекарств, тормозящих процесс клеточного деления.
- Внутримышечным введением интерферона – препарата, укрепляющего иммунную систему. У этого медикамента есть ещё один эффект – он усиливает действие цитостатиков.
- Приёмом антиагрегантов – препаратов, не дающих образовываться тромбам (метод не подходит для язвенников – в их случае есть риск внутреннего кровотечения).
Осложнения
Люди, страдающие полицитемией, нередко слышат такие диагнозы, как язва желудка или 12-перстной кишки. Если болезнь Вакеза лечится ненадлежащим образом или вовсе остаётся без внимания, могут наступить и такие осложнения:
- подагра – расстройство обмена веществ, при котором в суставах откладываются соли мочевой кислоты;
- мочекаменная болезнь;
- тромбообразование в венах;
- расстройства кровообращения;
- кровоизлияния.
Последствия
У человека, страдающего полицитемией, могут возникать обильные кровотечения во время операций, даже небольших (скажем, бывает трудно остановить кровь после удаления зуба). Порой из-за тромбоза глазных сосудов наступает ухудшение зрения. Также возможны инфаркты внутренних органов, к которым не поступает кровоток. Пострадать может как сердце, так и печень, почки или селезёнка.
Профилактика
Хотя большинство факторов, вызывающих полицитемию, предотвратить невозможно, всё же в силах каждого – соблюдать ряд правил:
- не употреблять табак и алкоголь;
- следить за режимом дня: не бодрствовать ночью, перенести физические и умственные нагрузки на утреннее и дневное время;
- сбалансированно питаться;
- регулярно проводить анализ крови – как общий, так и биохимический.
Прогноз
Если речь идёт об истинной полицитемии, прогноз врача будет зависеть от степени развития болезни. К сожалению, без своевременной терапии около 1/3 больных погибает в течение 5 лет от начала заболевания. Если же проведено эффективное лечение, есть реальный шанс продлить жизнь на десятки лет.
Обратите внимание: болезнь Вакеза не стоит пытаться вылечить самостоятельно. Во-первых, это совершенно бесполезно, во-вторых – теряется драгоценное время. Тактику борьбы с полицитемией должен разработать опытный врач, изучивший организм больного и степень тяжести заболевания.
Питание
Лечение полицитемии требует строгой диеты, как и в случае с аневризмой аорты. Первое и главное правило: необходимо отказаться от мяса. Жирная мясная пища, богатая холестерином, не разжижает, а наоборот сгущает кровь. Вот почему больной полицитемией должен как можно скорее перейти на вегетарианское меню.
В «зелёном списке» такие продукты:
- молоко и его производные – ряженка, кефир, йогурт, нежирный творог;
- помидоры;
- болгарский перец любого цвета;
- тыква;
- сельдерей;
- огурцы, кабачки, корнишоны;
- орехи;
- пророщенные зёрна;
- морская капуста;
- фасоль;
- льняное масло;
- дыня;
- апельсин, лимон, помело, грейпфрут;
- черника, земляника;
- вишня;
- корень имбиря (добавляется в салаты и супы).
Особое внимание доктора советуют уделить режиму питья. Рекомендуется пить много воды – не менее 1,5 литров в день. Однако нужно стараться делать это небольшими порциями – по нескольку глотков каждые 15-20 минут.
Полицитемия
Полицитемия – хроническое заболевание, при котором костный мозг вырабатывает избыточное количество эритроцитов. У многих пациентов также увеличивается количество тромбоцитов и лейкоцитов в крови. В результате кровь становится более густой, вязкой, нарушается кровоток в мелких сосудах и увеличивается вероятность образования тромбов – кровяных сгустков, которые закупоривают просвет сосудов и нарушают кровоснабжение органов.
Истинная полицитемия встречается достаточно редко и развивается медленно. Чаще всего она возникает у людей старше 40-50 лет, однако наблюдаются единичные случаи у более молодых людей и даже у детей. На начальных этапах она протекает бессимптомно, поэтому часто диагностируется случайно, во время обследования, связанного с другим заболеванием.
При отсутствии соответствующего лечения полицитемия может угрожать жизни. Однако современные подходы к терапии позволяют достичь очень хороших результатов: пациенты избавляются от большинства негативных проявлений болезни.
- Синонимы русские
- Истинная полицитемия, полицитемия вера, первичная полицитемия, эритремия, болезнь Вакеза, болезнь Ослера – Вакеза.
- Синонимы английские
- Erythremia, Osler-Vaquez Disease, primarypolycythemia, splenomegalicpolycythemia, polycythemiarubravera, erythrocytosismegalosplenica, cryptogenicpolycythemia.
- Симптомы
- Слабость.
- Одышка.
- Головные боли.
- Частые кровотечения.
- Тяжесть в животе.
- Боли в мышцах и суставах.
- Покраснение кожи.
- Зуд, особенно после принятия теплого душа или ванны.
Общая информация о заболевании
Все клетки крови образуются в костном мозге из единой стволовой клетки крови. Она дает начало лимфоидной стволовой клетке и миелоидной стволовой клетке. Из лимфоидной стволовой клетки образуются лимфоциты, из миелоидной – остальные виды лейкоцитов, тромбоциты и эритроциты. Зрелые эритроциты – это двояковогнутые клетки, не имеющие ядра.
Основная функция эритроцитов заключается в переносе кислорода от легких к тканям и углекислого газа от тканей к легким. Эта функция осуществляется за счет гемоглобина, который занимает большую часть эритроцита и придает этой клетке характерный красный цвет.
Помимо дыхательной функции, эритроциты участвуют в поддержании кислотно-щелочного равновесия, а также переносят на своей поверхности аминокислоты, жиры, белки и токсины. Эритроциты существуют 120 дней, а затем разрушаются в печени и селезенке.
Эритропоэз (формирование эритроцитов) – сложный многоступенчатый процесс, основным регулятором которого является белок эритропоэтин. Он вырабатывается в почках и частично в печени, причем количество его увеличивается при снижении уровня кислорода в крови (гиипоксии). В норме при гипоксии увеличивается количество эритропоэтина, который активизирует формирование эритроцитов в костном мозге.
Однако при истинной полицитемии уровень эритропоэтина не только не увеличивается, но даже может быть снижен. Усиление образования эритроцитов связано с повышением чувствительности клеток костного мозга к эритропоэтину.
Причины подобных изменений окончательно не выяснены, однако известно, что при истинной полицитемии наблюдаются нарушения в гене янус-киназы-2 и гене EpoR, которые несут информацию о количестве рецепторов к эритропоэтину и их чувствительности.
Таким образом, при полицитемии образуется избыточное количество эритроцитов, объем крови увеличивается, она становится более густой. Нарушается ток крови в мелких сосудах. В результате повышается артериальное давление, возникают частые кровотечения, в частности кровоточивость десен.
Из-за нарушения циркуляции крови кончики пальцев, носа, слизистые оболочки приобретают синюшно-красный оттенок. Ухудшается снабжение тканей кислородом, что отрицательно сказывается на работе всего организма. Изменение вязкости крови увеличивает вероятность тромбоза – закупорки сосудов сгустками крови, что приводит к нарушению работы органов и тканей.
Это может проявляться сердечным приступом, инсультом. Печень и селезенка увеличиваются, в них появляются очаги кроветворения.
Наряду с истинной, первичной полицитемией, причина которой неизвестна, выделяют вторичную полицитемию, при которой увеличение продукции эритроцитов вызвано повышенным уровнем эритропоэтина в ответ на недостаток кислорода в тканях, например, при хроническом бронхите или пороке сердца. В этом случае полицитемия является лишь следствием и исчезает при лечении основного заболевания.
Кто в группе риска?
- Мужчины.
- Люди старше 40 лет.
- Представители европеоидной расы.
- Пациенты, у родственников которых была полицитемия.
Диагностика
Лабораторная диагностика
- Общий анализ крови (без лейкоцитарной формулы и СОЭ)
- Эритроциты. Их уровень обычно значительно повышен.
- Лейкоциты. Их концентрация может быть повышена преимущественно за счет нейтрофилов.
- Тромбоциты. Уровень тромбоцитов также может быть повышен.
- Гемоглобин – белок, который входит в состав эритроцитов и участвует в переносе кислорода. При полицитемии обычно повышен.
- Гематокрит. Это соотношение объема эритроцитов и общего объема крови. При полицитемии обычно повышен.
- Ретикулоциты – незрелые эритроциты. Они попадают в кровь из костного мозга и в течение 2-3 дней созревают, превращаясь в зрелые эритроциты. При полицитемии может наблюдаться их ищбыток, что указывает на их ускоренное формирование в костном мозге.
- Эритропоэтин. При истинной полицитемии обычно сильно понижен.
- Витамин В12. Играет важную роль в синтезе нуклеиновых кислот (соединений, участвующих в хранении и передаче наследственной информации), необходимых для образования эритроцитов. Повышение его уровня при полицитемии указывает на интенсивность формирования эритроцитов.
- Основные электролиты крови – натрий, калий, кальций,
Полицитемия
Полицитемия – это болезнь, характеризующаяся увеличением количества красных кровяных телец в крови. Заболевание является редкой формой лейкемии. Данная болезнь может быть как первично обусловленной, так и вторично возникшей в результате воздействия определённых первопричин. И первичная и вторичная полицитемии являются достаточно грозными заболеваниями, которые могут привести к серьёзным последствиям и хроническим осложнениям.
Полицитемия является процессом увеличения количества красных кровяных телец в крови.
При полицитемии уровень гемоглобина (HGB), гематокрита (HCT) или красных кровяных клеток (эритроцитов) может быть превышен по сравнению с нормальным уровнем при исследовании общего анализа крови (CBC).
Уровень гемоглобина более, чем 16,5 г/дл (граммов на децилитр) у женщин, и более чем 18,5 г/дл у мужчин — предлагает полицитемию. Что касается уровня гематокрита – значение, превышающее показатель 48 у женщин и 52 у мужчин, свидетельствует о полицитемии.
Производство красных кровяных телец (эритропоэз) происходит в костном мозге и регулируется рядом последовательных процессов. Одним из важнейших ферментов, регулирующих данный процесс, называется эритропоэтин (ЭПО). Большинство ЭПО производится почками, а меньшая часть образуется в печени.
Полицитемия может быть следствием внутренних проблем с производством красных кровяных клеток. Такое состояние называется первичной полицитемией. Если полицитемия обусловлена другой проблемой, данное состояние именуется как вторичная полицитемия. В абсолютном большинстве случаев полицитемия является вторичной и обусловлена другими заболеваниями.
Первичная полицитемия – относительно редкое состояние.
Первичные причины полицитемии
При первичной полицитемии, врожденные или приобретенные нарушения с производством красных кровяных телец приводят к полицитемии. Два основных состояния, которые принадлежат с этой категорией, — это полицитемии вера (PV или полицитемии красная вера PRV) и первичная семейная врожденная полицитемия (PFCP).
- Полицитемия вера (PV) связана с генетической мутацией в гене JAK2, который, как полагают, повышает чувствительность клеток костного мозга к ЭПО, в результате чего увеличивается производство красных кровяных телец. При этом состоянии часто увеличен уровень других типов клеток крови (белых клеток крови и тромбоцитов).
- Первичная семейная и врожденная полицитемия (PFCP) является состоянием, связанным с мутацией в гене EPOR, и вызывает увеличение производства красных кровяных клеток в ответ на ЭПО.
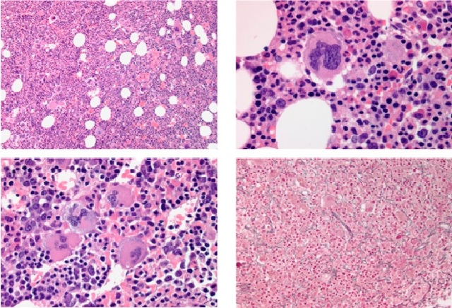
Истинная полицитемия является заболеванием с сугубо опухолевым генезом.
Основополагающим в этой болезни является то, что в красном костном мозге поражаются стволовые клетки, а вернее клетки-прародительницы форменных элементов крови (также их называют полипотентными стволовыми клетками).
Как результат, в организме резко возрастает количество эритроцитов и других форменных элементов (тромбоцитов и лейкоцитов). Но так как организм приспособлен к определенной норме их содержания в крови, то любое превышение лимитов повлечет за собой определенные нарушения в организме.
Истинная полицитемия отличается довольно злокачественным течением и трудно поддается лечению.
Это объясняется тем, что практически невозможно воздействовать на основную причину возникновения истинной полицитемии – мутировавшую стволовую клетку с высокой митотической активностью (способностью к делению).
Ярким и характерным признаком полицитемии будет плеторический синдром. Он обусловлен высоким содержанием эритроцитов в русле. Характеризуется этот синдром багрово-красной окраской кожи с сильным ее зудом.
Истинная полицитемия в своем развитии проходит 3 стадии: начальную, развернутую и терминальную:
- I стадия (начальная, малосимптомная) – длится около 5 лет; протекает бессимптомно или с минимально выраженными клиническими проявлениями. Характеризуется умеренной гиперволемией, небольшим эритроцитозом; размеры селезенки в норме.
-
II стадия (эритремическая, развернутая) подразделяется на две подстадии:
- IIА – без миелоидной трансформации селезенки. Отмечается эритроцитоз, тромбоцитоз, иногда – панцитоз; по данным миелограммы – гиперплазия всех ростков кроветворения, выраженный мегакариоцитоз. Длительность развернутой стадии эритремии 10-20 лет.
- IIВ – с наличием миелоидной метаплазии селезенки. Выражены гиперволемия, гепато- и спленомегалия; в периферической крови – панцитоз.
- III стадия (анемическая, постэритремическая, терминальная). Характерны анемия, тромбоцитопения, лейкопения, миелоидная трансформация печени и селезенки, вторичный миелофиброз. Возможны исходы полицитемии в другие гемобластозы.
Вторичные причины полицитемии
- В отличие от первичной полицитемии, при которой перепроизводство красных клеток крови возникает в результате повышенной чувствительности или реакции на ЭПО (часто на более низкий, чем нормальный уровень ЭПО), при вторичной полицитемии избыточное количество красных кровяных клеток образуется из-за высокого уровня циркулирующих в кровяном русле ЭПО.
- Основными причинами более высокого, чем в норме, уровня ЭПО, являются хроническая гипоксия (недостаточный уровень кислорода в крови в течение длительного срока), недостаточное поступление кислорода из-за аномальной структуры красных клеток крови, и опухоли, которые продуцируют чрезмерно высокое количество ЭПО.
- Ряд распространенных условий, которые могут привести к повышению уровня эритропоэтина из-за хронической гипоксии или плохого снабжения кислородом, включают в себя:
- Хроническую обструктивную болезнь легких (ХОБЛ, эмфизема легких, хронический бронхит),
- Легочную гипертензию,
- Синдром гиповентиляции,
- Застойную сердечную недостаточность,
- Апноэ обструктивного сна,
- Недостаточный приток крови к почкам,
- Проживание в высокогорных областях.
2,3-BPG недостаточностью является состояние, при котором молекулы гемоглобина в красных кровяных клетках имеют аномальную структуру. При этом состоянии гемоглобин приобретает более высокую способность присоединения молекул кислорода и низкую способность высвобождения кислорода в тканях организма. Это приводит к производству более высокого количества красных кровяных клеток — как реакция на то, что ткани организма воспринимают как недостаточный уровень кислорода. Результатом является большее количество циркулирующих эритроцитов.
Некоторые опухоли имеют тенденцию выделять чрезмерно высокое количество ЭПО, что приводит к полицитемии. Распространенными опухолями, высвобождающими ЭПО, являются:
- Рак печени (гепатоцеллюлярная карцинома),
- Рак почки (почечно-клеточный рак),
- Аденома надпочечников или аденокарцинома,
- Рак матки.
Также существуют более мягкие состояния, которые могут привести к увеличению секреции ЭПО, — такие как кисты почек и почечная обструкция. К полицитемии может привести хроническое воздействие окиси углерода. Гемоглобин имеет более высокую способность к присоединению молекул окиси углерода, чем молекул кислорода.
Поэтому когда молекулы моноксида углерода присоединяются к гемоглобину, в качестве реакции может возникнуть эритроцитоз (повышение уровня эритроцитов и гемоглобина) – как компенсация на недостаток доставки кислорода существующими молекулами гемоглобина.
Подобная ситуация может произойти и с диоксидом углерода при продолжительном курении сигарет.
Полицитемия у новорожденных (неонатальная полицитемия) часто возникает при передаче материнской крови из плаценты или при переливании крови. Продолжительная недостаточность транспортировки кислорода плоду (внутриутробная гипоксия) из-за недостаточности плаценты также может привести к полицитемии новорожденных.
Относительная полицитемия
Относительная полицитемия характеризуется состоянием, при котором объем красных кровяных клеток становится повышенным из-за увеличения концентрации в крови эритроцитов в результате обезвоживания. В таких ситуациях (рвота, понос, повышенная потливость) количество эритроцитов в крови находится в норме, но из-за потери жидкости, связанной с кровью (плазмы), уровень эритроцитов в крови может показаться повышен.
Стрессовая полицитемия
Это состояние, которое можно обнаружить у мужчин среднего возраста, тяжело работающих, с высоким уровнем тревожности. Заболевание развивается из-за низкого объема плазмы, хотя объем эритроцитов может быть нормальным. Другое название для этого условия — полицитемия факторов риска.
Некоторые из факторов риска для полицитемии:
- Хроническая гипоксия;
- Долгосрочное курение;
- Семейная история и генетическая предрасположенность;
- Проживание в высокогорных областях;
- Долгосрочное воздействие окиси углерода (работа в шахтах, обслуживающий персонал гаража, жители наиболее загрязненных городов),
- Ашкенази еврейского происхождения (может быть увеличена частота полицитемии из-за генетической предрасположенности).
Симптомы полицитемии
Симптомы полицитемии могут варьироваться в широких пределах. У некоторых людей с полицитемией может не быть никаких симптомов вообще. При вторичной полицитемии большинство симптомов связано с основным заболеванием, ответственным за полицитемию.
Симптомы полицитемии могут быть расплывчатыми и носить весьма общий характер. Некоторые важные симптомы:
- Легкое образование синяков;
- Легко возникающие кровотечения;
- Кровяные сгустки (потенциально приводящие к сердечным приступам, инсультам, образованию тромбов в легких [легочная эмболия]);
- Боли в суставах и костях (боль в бедре или боль в ребрах);
- Головная боль;
- Зуд;
- Зуд после принятия душа или ванны;
- Утомляемость;
- Головокружение;
- Боли в животе.
Когда обращаться за медицинской помощью
Людям с первичной полицитемией необходимо знать некоторые потенциально серьезные осложнения, которые могут у них возникнуть.
Образование сгустков крови (инфаркты, инсульты, тромбы в легких [легочная эмболия] или ног [тромбоз глубоких вен]) и неконтролируемые кровотечения (носовые кровотечения, желудочно-кишечные кровотечения) обычно требуют незамедлительного медицинского внимания со стороны лечащего врача или отделения неотложной помощи.
Пациенты с первичной полицитемией, как правило, должны позаботиться о первичной медико-санитарной помощи, консультациях терапевтов, семейных врачей, врачей-гематологов (врачи, которые специализируются на заболеваниях крови).
Условиями, приводящими к вторичной полицитемии, можно управлять с помощью врачей первичного звена и терапевтов в дополнение к специалистам. Например, люди с хроническими заболеваниями легких могут регулярно посещать своего специалиста (пульмонолога) и лица с хроническими заболеваниями сердца могут регулярно проходить осмотр у кардиолога.
Анализы и тесты
В большинстве случаев полицитемия может быть обнаружена случайно при рутинном исследовании образцов крови, которое назначил врач в связи с другими медицинскими причинами. Дальнейшие исследования могут быть необходимы, чтобы найти причины полицитемии.
При обследовании пациентов с полицитемией, подробная история болезни, физическое обследование, история семьи, социальная и профессиональная истории очень важны. При медицинском осмотре особое внимание может быть уделено сердцу и обследованию легких. Увеличение селезенки (спленомегалия) является одной из характерных особенностей полицитемии, поэтому проводится тщательное обследование брюшной полости, чтобы не пропустить увеличения селезенки, что имеет большое значение.
Плановые анализы крови, включая клинический анализ крови (CBC), анализ на сворачиваемость крови и на ее метаболический состав являются основными компонентами лабораторные тестов при оценке причин полицитемии. Другие типичные тесты, которые помогут определить возможные причины полицитемии, включают в себя рентгенографию грудной клетки, электрокардиограмму (ЭКГ), эхокардиографию, анализ на гемоглобин и измерение уровня окиси углерода.
При полицитемии, как правило, другие клетки крови также поражаются, например, обнаруживается аномально высокое количество лейкоцитов (лейкоцитоз) и тромбоцитов (тромбоцитоз). Иногда необходимо провести исследование костного мозга (аспирация костного мозга или биопсия), чтобы исследовать производство клеток крови в костном мозге. Руководящие принципы рекомендуют также проверку на мутацию гена JAK2 в качестве диагностического критерия для полицитемии.
Проверка ЭПО уровня не является обязательным, но иногда это может предоставить полезную информацию. При первичной полицитемии уровень ЭПО, как правило, низкий, тогда как при ЭПО-выделяющих опухолях уровень может быть выше, чем обычно. Результаты должны интерпретироваться осторожно, так как уровень ЭПО может быть соответствующе высоким в ответ на хроническую гипоксию, если это является основной причиной полицитемии.
Лечение полицитемии
Лечение вторичной полицитемии зависит от ее причины. Дополнительный кислород может быть предоставлен пациентам с хронической гипоксией. Другие методы лечения могут быть направлены на лечение причины полицитемии (например, соответствующее лечение сердечной недостаточности или хронических заболеваний легких).
Лечение первичной полицитемии играет важную роль в улучшении результатов болезни.
Лечение в домашних условиях
Для лиц с первичной полицитемией могут быть приняты некоторые простые меры в домашних условиях для контроля потенциальных симптомов и для того, чтобы избежать возможных осложнений.
- Важно поддерживать достаточный водный баланс организма, чтобы избежать еще большего обезвоживания и повышения концентрации крови. В общем, не существует никаких ограничений в физической активности.
- Если у человека увеличена селезенка, следует избегать контактных видов спорта, чтобы предотвратить повреждение селезенки и ее разрыв.
- Лучше всего избегать потребления продуктов, содержащих железо, так как это может способствовать повышению уровня красных клеток крови.
Лечение и терапия
Основой терапией при полицитемии остается кровопускание. Целью кровопускания является сохранение гематокрита около 45% у мужчин и 42% у женщин. Первоначально может быть необходимым делать кровопускания каждые 2 — 3 дня и удалять от 250 до 500 миллилитров крови при каждой процедуре. Как только цель будет достигнута, кровопускание может выполняться реже, для поддержания достигнутого уровня.
Обычно рекомендуемым препаратом для лечения полицитемии является гидроксимочевина (гидреа). Этот препарат особенно рекомендуется людям, подверженным риску образования тромбов. В возрасте пациентов старше 70, имеющих одновременно повышенное количество тромбоцитов (тромбоцитоз) и сердечно-сосудистые заболевания, использование гидроксимочевины делает более результаты более благоприятными. Гидроксимочевина рекомендуется также пациентам, которые не переносят кровопускания.
Аспирин также используется в лечении полицитемии, чтобы снизить риск свертывания крови (образования тромбов). Его использования, как правило, следует избегать тем людям, у которых были любые кровотечения в истории. Аспирин, как правило, применяется в сочетании с кровопусканиями.
Последующие действия
В начале лечения кровопусканием рекомендуется тщательный и регулярный контроль, до достижения приемлемого уровня гематокрита. После этого кровопускания можно проводить по мере необходимости для поддержания соответствующего уровня гематокрита, основываясь на реакции каждого пациента на эту терапию.
Некоторые из осложнений первичной полицитемии, как указано ниже, часто требуют более пристального наблюдения и мониторинга. Эти осложнения включают в себя:
- Образование сгустков крови (тромбоз), которые вызывают сердечные приступы, инсульты, тромбы в ногах и легких, или тромбы в артериях. Эти события считаются основными причинами смерти от полицитемии.
- Тяжелые потери крови или кровотечения.
- Трансформация полицитемии в рак крови (например, лейкоз, миелофиброз).
Профилактика
Многие из причин вторичной полицитемии невозможно предотвратить. Тем не менее, существуют некоторые потенциальные профилактические меры:
- Отказ от курения;
- Избегание длительного воздействия окиси углерода;
- Надлежащее управление такими заболеваниями, как хронические заболевания легких, болезни сердца или обструктивное апноэ сна.
Первичная полицитемия вследствие мутации генов, как правило, не предотвратима.
Прогноз
Перспективы развития первичной полицитемии без лечения, как правило, неблагоприятные, с продолжительностью жизни около 2 лет. Тем не менее, прогнозы значительно улучшаются и увеличивают более чем на 15 лет ожидаемую продолжительность жизни, при использовании кровопусканий Прогнозы вторичной полицитемии во многом зависят от основного заболевания.