
ИФА на сифилис — доступный и высоко информативный тест
ИФА — это иммуноферментный анализ, применяющийся в качестве высокочувствительного теста в диагностике различных патологий, в том числе сифилиса. Позволяет выявить заболевание и максимально точно определить его стадию.
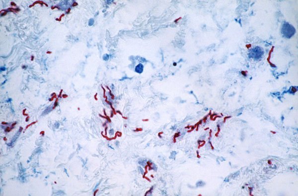
Сифилис зарождается при проникновении в организм бактерии Treponema pallidum (Трепонема бледная).
Через 2 — 4 недели на кожных покровах образуется твёрдый шанкр в локализации, где произошло внедрение, чаще всего характерная для сифилиса папула образуется на половых органах, что означает начальный этап первичного сифилиса.
По мере развития заболевания папулы преобразуются в язвы, а затем в большинстве случаев исчезают, что даёт пациенту ложную надежду на самоизлечение.
Но латентный период переходит в стадию вторичного сифилиса, при этом трепонемы распространяются уже по всему организму, проникая в ткани и органы. На коже и слизистых оболочках образуются множественные высыпания. При отсутствии лечения наступает следующий этап — третичный сифилис с формированием гумм и поражением ЦНС, сердца, костной ткани, ЖКТ, ротовой полости и других органов.

Выявление антител подтверждает инфицирование
ИФА определяет первичный, вторичный, третичный (чаще всего только на начальном этапе), врождённый, рецидивный и латентный сифилис. Суть метода заключается в обнаружении антител, которые организм вырабатывает в ответ на внедрение трепонемы.
На начальном этапе болезни образуются антитела класса М, через несколько недель к ним присоединяются иммуноглобулины класса G. Концентрация тех или иных антител меняется в зависимости от этапа развития сифилиса, что позволяет определить стадию болезни.
При выполнении ИФА используется истинная трепонема бледная либо её антигены, поэтому тест относится к трепонемным анализам.
В отличие от нетрепонемных тестов, в которых в качестве антигенов выступают аналоги трепонемы, ИФА обладает минимальным количеством ложных результатов.
Преимущества и недостатки метода

Любой метод исследования не лишен недостатков
Ранее в диагностике сифилиса применялись различные методы, такие как: РПГА (реакция пассивной гемагглютинации), RW (реакция Вассермана), МР (микрореакция преципитации), РСК (реакция связывания комплемента) и другие тесты.
Разнообразие анализов в качестве отборочных тестов и отсутствие единой системы нередко приводило к путанице, а в результате — к негативным последствиям, например, когда донор с ложноотрицательным результатом становился посредником в заражении реципиентов.
С 2006 года тестирование стало более стандартизированным, ИФА был признан одним из наиболее эффективных методов диагностики и используется в настоящее время в качестве проверочного теста при обнаружении положительного результата нетрепонемного анализа.

Нетрепонемные тесты являются скриннинговыми
Теперь нетрепонемные анализы используются для выявления возможного заражения сифилисом у всех групп населения, то есть являются скрининг-тестами. При сомнительном либо положительном результате назначается ИФА либо иной трепонемный анализ. ИФА стал одним из ведущих тестов на сифилис благодаря своим преимуществам:
- высокая чувствительность, позволяющая выявить антитела к трепонеме в очень низкой концентрации;
- высокая специфичность достигается за счёт использования антигенов трепонемы бледной;
- объективность результатов благодаря автоматическому учёту;
- лёгкость постановки реакции осуществляется благодаря полной комплектации наборов для диагностики;
- универсальность теста: может применяться для профилактического обследования населения, для диагностики всех стадий болезни и проверки сомнительных результатов.
Антитела к Treponema pallidum схожи на некоторые виды иммуноглобулинов, образующихся при иных видах инфекции, поэтому несмотря на специфичность ИФА ложноположительные результаты могут выявляться в небольшом количестве. Ещё один недостаток ИФА заключается в том, что по мере развития болезни число антител снижается, что может привести к ложноотрицательному результату.
Также результат ИФА не может выступать в качестве единого показателя для диагностики сифилиса, а используется в комплексе с иными исследованиями, что не позволяет назвать его точным маркером заболевания.
К минусам теста можно отнести и его относительную дороговизну.
Показания к проведению исследования

Период беременности — показание для проведения анализа
ИФА проводится как подтверждающий тест после нетрепонемного анализа, но может выступать и в качестве отборочного анализа. Назначается в следующих случаях:
- плановое тестирование при устройстве на некоторые виды работ;
- плановое выявление риска инфицирования;
- госпитализация, предоперационный период;
- донорство;
- беременность;
- обследование при симптомах сифилиса.
Заподозрить сифилис можно по специфичному признаку — образованию твёрдого шанкра, а также болевым ощущениям в суставах и костях, отёчности половых органов, повышению температуры тела до 38 °С, увеличению лимфоузлов. В качестве профилактики рекомендуется проходить исследование регулярно при активной сексуальной жизни со сменой партнёров.
Подготовка к исследованию

В лихорадочный период стоит воздержаться от теста
Для минимизации риска получения ложного результата следует выполнять правила.
- Образец крови сдаётся на голодный желудок, в зависимости от лаборатории период голода должен составлять от 4 до 12 часов.
- В предыдущие сутки исключается алкоголь и жирная пища, курение ограничивается минимум за час до исследования.
- Накануне анализа пить можно только чистую воду, не допускается употребление соков, кофе, лекарственных препаратов.
- Все иные исследования и медицинские манипуляции проводятся после сдачи теста.
- Не следует сдавать анализ, если в предыдущие дни отмечалось лихорадочное состояние либо проводилась вакцинация.
- Женщинам не рекомендуется проходить тест в период менструации.
Расшифровка результатов

Положительный результат свидетельствует о наличии вируса
Положительный результат:
- наличие инфицирования трепонемой бледной;
- ложноположительный результат при наличии иных факторов;
- последствия вылеченного ранее сифилиса.
Отрицательный результат:
- отсутствие заражения;
- инкубационный (ранний первичный) период сифилиса;
- поздний период, в том числе поздние этапы развития третичного сифилиса.
Ложноположительный результат и его причины

Ложноположительный тест может быть при сахарном диабете
Treponema pallidum является спирохетой, содержащей 42 семейства генов, 17% из них аналогичны белкам иных видов бактерий, что провоцирует в небольшом количестве случаев положительный результат при наличии заражения другими микроорганизмами. Например, при ряде аутоиммунных заболеваний выявляются антифосфолипидные антитела, схожие с антителами при сифилисе.
На рубеже XXI века было установлено, что в данном случае разница между антителами заключается в факторе зависимости, при аутоиммунных болезнях антитела зависимы от p2-гликопротеина-1, при сифилисе — не зависимы. Но на сегодняшний день вопрос о возникновении ложноположительных реакций остаётся открытым, так как причина таких результатов не всегда ясна.
Некоторые ложные показатели являются хроническими и могут сопровождать человека на протяжении десятилетий.
По статистике чаще всего ложноположительные результаты проявляются в следующих случаях:
- гепатиты;
- лепра;
- инфаркт миокарда;
- интоксикация;
- заболевания соединительной ткани;
- аутоиммунные патологии;
- сахарный диабет;
- беременность;
- период менструации;
- поствакцинальный период.

Трепонема имеет сходство с другими возбудителями
Treponema pallidum является не единственным видом трепанем, к патогенным возбудителям относятся и другие спирохеты: Treponema pertenue (возбудитель явса), Treponema bejel (возбудитель беджеля), Treponema carateum (возбудитель пинты) и многие другие. При микроскопическом осмотре они мало отличаются от бледной трепонемы, а антитела против них схожи на иммуноглобулины при сифилисе.
Положительный результат может отражать наличие болезни в прошлом, так как иммуноглобулины класса G способны задерживаться в кровотоке годами.
Ложноотрицательный результат и его причины
В инкубационном периоде результат может быть отрицательным
На начальном этапе болезни ИФА показывает отрицательный результат, этот период является инкубационным, когда первичный сифилис ещё не наступил, и отсутствуют характерные признаки болезни.
Инкубационный период по сравнению с данными по инфицированию сифилисом середины XX века увеличился на 7 — 10 дней, в настоящее время составляет около 3 недель.
Это означает, что после проникновения трепонемы в организм, ложноотрицательный результат будет выявляться на протяжении 3-х, а иногда и более недель.
Третичный сифилис при отсутствии терапии обычно развивается через 3 — 5 лет с момента инфицирования, в некоторых случаях болезнь может проявиться через 10 — 15 лет на фоне бессимптомного протекания и перехода сифилиса из одной стадии в другую.
К этому времени число антител значительно снижается или они отсутствуют вовсе, что приводит к ложноотрицательному результату.
По некоторым данным на некорректный ложный итог могут повлиять различные инфекционные заболевания, сахарный диабет, приём некоторых антибиотиков.
Несоблюдение правил подготовки к анализу, например, употребление спиртного накануне исследования, может привести как к ложноположительному, так и ложноотрицательному результату.
Анализ крови методом ИФА и показатели диагностики
Диагностические методики современности дают возможность в условиях лаборатории выявить то или иное заболевание с помощью специальных анализов. К одним из таких стоит отнести иммуноферментный анализ крови, благодаря которому можно подтвердить предварительно поставленный диагноз.
Что такое иммуноферментный анализ крови
Иммуноферментный анализ ИФА является одним из самых эффективных и современных способов, позволяющих выявить болезни инфекционного плана, нарушения, связанные с иммунными и гормональными сбоями, а также онкологические процессы. Во время проведения анализа в крови можно обнаружить антитела, вырабатывающиеся при наличии в организме инфекции. Учитывая этот нюанс, обнаружить болезнь можно даже на самом раннем этапе её развития.
Что лежит в основе методики
В основе результатов ИФА анализа лежит получение химических реакций на ферменты, служащие особенными опознавательными знаками для распознания антител. Следовательно, во время иммунохимических реакций антитела начинают взаимодействовать с некоторыми антигенами. Всё это даёт основания утверждать, что ложные результаты при сдаче крови на ИФА минимальны.
Исследование позволяет определить количество иммунных клеток, их свойства, а также наличие необходимых антител
Положительным результат считается тогда, когда обнаруживается окрашивание раствора. Окрас сигнализирует о том, что антигены взаимодействуют с антителом. В случае когда ничего подобного не происходит, результат является отрицательным.
Топовая статья: ПЦР-анализ: что это и каковы его особенности
Положительные стороны ИФА
Учитывая, что в основе методики лежит способ получения иммунного ответа от человеческого организма, такой метод является непрямым методом диагностики.
Плюсы иммуноферментного анализа крови:
- Наличие разных модификаций анализа.
- Высокая точность и технологичность.
- Вероятность получения ошибочного анализа сводится практически к нулю.
- Применяется для диагностики заболеваний не только у взрослых, но и у детей.
- Универсальность. Забор анализа позволяет подтвердить наличие заболевания или наоборот опровергнуть опасения.
Какие заболевания можно выявить с помощью ИФА
Как уже говорилось выше, при помощи анализа можно выявить целый ряд нарушений, характерных для наличия того или другого недуга. Поэтому многие специалисты назначают большинству пациентов именно ИФА.
На сегодняшний день анализ крови с помощью вышеописанной методики даёт возможность обнаружить наличие многих инфекций, приведенных в таблице:
| Вирусные гепатиты | Это распространённые и опасные недуги печени, которые обычно вызваны вирусами. На сегодняшний день существует пять видов вирусов, которые могут привести к гепатиту. Их обозначают такими латинскими буквами: A, B, C, D, E. |
| Сифилис | Это венерическое заболевание, которое очень легко выявить методом ИФА. Очень важно обнаружить этот недуг как можно быстрее, чтобы он не сказался негативно на общем состоянии здоровья. |
| Цитомегаловирусная инфекция | Цитомегаловирус является возбудителем заболевания. Болезнь может передаваться от матери к ребёнку (внутри утробы), воздушно-капельным способом или при половом контакте с носителем. Поэтому обычно анализ крови на ИФА назначают всем будущим мамам. |
| ВИЧ | Вирус иммунодефицита – это то заболевание, которое прогрессирует очень медленно, но, несмотря на это, является крайне опасным. Причина заключается в том, что вирус постепенно атакует клетки иммунитета, в результате чего организм становится уязвимым к любым, даже к самым незначительным микробам и бактериям. |
| Хламидии | Благодаря иммуноферментному анализу можно не только подтвердить наличие инфекции, но и определить очень точно гормоны, антитела, антигены и многое другое, что позволяет качественно и эффективно провести лечение. Кроме этого, анализ даёт возможность максимально точно понять, когда произошло заражение и какие негативные последствия были вызваны в организме при наличии хламидий. |
| Герпес | Герпес может передаваться и воздушно-капельным путём, и во время незащищённого полового акта. Этот недуг опасен тем, что негативно сказывается на работе многих систем организма. Определить вирус можно качественным и количественным способами. Если используется первый метод, тогда удаётся выявить наличие антител, тип вируса, а также возможность существования предшествующих рецидивов. Что касается количественного, то он даёт возможность определить тип антител или, проще говоря, состояние иммунитета против вируса. |
Принимая во внимание тот факт, что выявление заболевания возможно даже на раннем этапе, недуг можно начать лечить сразу же, следовательно, появляется возможность забыть о нём достаточно быстро.
Как следует готовиться к сдаче анализа
Иммуноферментный анализ крови сдаётся из вены, а не из пальца, как думают некоторые. Дабы данные были верны, следует выполнить ряд несложных правил.
Проба крови для исследования берется из локтевой вены
А именно:
- За пару дней до сдачи анализа не поднимать тяжестей и не выполнять тяжёлую физическую работу.
- За сутки не употреблять алкоголь и не курить (нельзя даже находиться в накуренном помещении).
- Соблюдать максимальное спокойствие.
- Сдавать анализы можно не раньше, чем через 10 дней после того, как употреблялись какие-либо лекарственные средства.
Некоторые таблетки могут влиять на результат анализа, поэтому если отменить приём невозможно, об этом следует сказать доктору.
Топовая статья: Что лечит дерматовенеролог?
Некоторые специалисты рекомендуют также за пару дней до анализа сесть на лёгкую диету. Речь идёт о воздержании от копчёной, жареной и солёной пищи. Если кровь сдаётся, чтобы выявить наличие гепатита, то нельзя употреблять также цитрусовые в виде фруктов и в виде сока.
Специалисты рекомендуют за пару дней до анализа сесть на лёгкую диету
В случае когда необходимо выявить нарушение гормонального фона, на общий анализ может повлиять месячный цикл женщин. В этом случае доктор сам назначает дату, когда сдача анализа будет наиболее оптимальной.
Ниже будет представлена таблица, в которой указаны изменения нормального уровня лютеинизирующего полового гормона, исходя из дня менструального цикла.
| 1-12 день | 12-14 мЕд/л |
| 12-14 день | 24-150 мЕд/л |
| С 15 дня до начала нового цикла | 2-17 мЕд/л |
Топовая статья: Что можно выявить используя мазок у женщин?
Анализ даёт возможность выявить разные виды антител в организме, которые показывают себя на каждом этапе развития болезни. Когда недуг только дал о себе знать, активно вырабатываются антитела класса IgM. Если их удалось обнаружить, значит, возникло какое-то заболевание.
После выработки IgM начинается производство IgG свидетельствующее о том, что человек либо является носителем инфекции, либо он недавно переболел чем-то инфекционным. Обычно выявить IgG можно после 3-4 недель, отсчитывая от начала развития IgM, но некоторые антитела могут находиться в организме годами.
Есть ещё такой класс антител, как IgA, который свидетельствует о наличии в организме хронической инфекции. При его обнаружении начинается незамедлительное лечение, а после этого ещё раз сдаётся анализ крови ИФА, дабы убедиться, что лечение принесло свои плоды.
Немного иначе ситуация обстоит с детьми в возрасте до полутора лет, в организме которых на первых этапах жизни для обеспечения надёжной защиты от вирусов в большом числе присутствуют антитела IgG. Поэтому при проверке малышей основное внимание уделяют классу IgM.
Ниже представлена таблица, в которой указаны комбинации наличия или отсутствия инфекции.
Таблица расшифровок норм анализа крови ИФА на наличие (отсутствие) инфекций
| – | – | – | Иммунитет к инфекции отсутствует |
| – | + | – | Имеется поствацинальный (специфическая невосприимчивость к инфекционному заболеванию, появляющаяся в результате вакцинации) или постинфекционный иммунитет |
| + | -/+ | -/+ | Острая инфекция |
| + | + | + | Обострение хронической инфекции |
| – | +/- | +/- | Наличие хронической инфекции |
Делая выводы, можно сказать, что когда в организме обнаруживаются антитела определённого вида, тогда в таблице рядом со значением стоит знак «+».
Ифа анализ крови: что такое, почему положительный, расшифровка теста
Иммуноферментный анализ крови – одно из важнейших исследований, проводимых для оценки способности организма человека противостоять атаке болезнетворных микроорганизмов. Оно позволяет понять, насколько хорошо иммунная система справляется с инфекционными процессами. Это, в свою очередь, дает возможность скорректировать схему лечения, если таковое проводится.
И это еще далеко не все особенности данного теста, поэтому давайте подробно рассмотрим вопросы, что такое ИФА анализ, кому он показан, как он выполняется, и о чем могут говорить полученные данные.
к оглавлению ↑
Что это за исследование
Итак, что это такое – ИФА анализ? Расшифровывается данная аббревиатура как «иммуноферментный анализ». Проводится он в том случае, если необходимо определить наличие антител к разного рода антигенам.
Антигенами называются болезнетворные агенты, способствующие развитию различных патологий. Антитела – вещества, которые необходимы для уничтожения чужеродных клеток.
Иммуноанализ крови направлен на определение уровней иммуноглобулинов, которые могут объединяться в иммунокомплексы. Они активно вырабатываются иммунной системой в ответ на внедрение в организм антигенов.
Примечание. Для борьбы с каждым отдельным видом антигена вырабатываются свои специфические антитела. Именно это помогает выявить болезнь, и даже ее стадию, с помощью иммуноферментного исследования крови.
При проникновении чужеродного антигена в организм человека антитела «связываются» с ним, после чего нейтрализуют его воздействие. Происходит это за счет ферментативного лизиса и реакций фагоцитоза. Благодаря такому процессу антигены выводятся из крови.
к оглавлению ↑
Когда назначается тест?
Разобравшись в том, что такое иммуноферментный анализ, разберемся в ситуациях, при которых показано его проведение. Так, исследование необходимо при:
- онкологических заболеваниях;
- вирусных гепатитах;
- герпетических высыпаниях на коже или слизистых оболочках;
- сальмонеллезе;
- кори;
- энцефалите;
- сифилисе;
- дизентерии;
- атопических дерматитах или нетипичных проявлениях аллергических реакций.
Помимо этого, метод ИФА применяется для определения и выявления возбудителей:
- заболеваний, передающихся половым путем;
- цитомегаловирусной инфекции;
- гельминтозов.
Иммуноферментный анализ – это исследование, помогающее определить природу эндокринных заболеваний, а также выявить наличие иммунодефицита и бесплодия у мужчин и женщин. С его помощью составляются прогнозы дальнейшего течения инфарктов, инсультов, неврологических и почечных заболеваний.
Проводится ИФА анализ и в профилактических целях. Обязательно его выполняют при беременности, а также пациентам, ранее перенесшим вышеописанные заболевания. Лица, входящие в группу риска развития ранее упомянутых болезней тоже регулярно сдают кровь на ИФА.
к оглавлению ↑
Особенности проведения теста и расшифровка
В большинстве случаев для иммуноферментного исследования берется кровь больного. Но при определенных обстоятельствах может осуществляться забор тканей с поверхности стекловидного тела. У беременных женщин ИФА диагностика может проводиться посредством изучения состава околоплодных вод.
Забор крови выполняется с использованием шприца, при этом материал для исследования берут, как правило, из вены, походящей на внутренней стороне локтевого сгиба. Пациент при этом должен находиться в расслабленном состоянии, в положении сидя.
Важно! Результаты теста, его и расшифровка данных зависит от методики проведения диагностической манипуляции, и используемого при этом оборудования. Как правило, каждая лаборатория указывает на бланке нормы показателей иммуноглобулинов.
к оглавлению ↑
Особенности подготовки
Анализ крови на ИФА требует выполнения определенных подготовительных процедур:
- отказа от завтрака в день теста;
- прекращения приема препаратов, разжижающих кровь, и других фармакологических средств, способных повлиять на результаты (после предварительной консультации у лечащего врача);
- воздержания от курения в день исследования;
- отказа от употребления спиртного за день до забора крови;
- исключения приема наркотических веществ (в том числе, и медпрепаратов, которые их содержат).
Соблюдение таких правил подготовки к иммунохимическому анализу крови исключает возможность искажения данных.
к оглавлению ↑
Трактовка данных
Результаты исследования выдаются пациенту на руки, после чего он проходит повторную консультацию у специалиста. Расшифровка данных ИФА может быть положительной или отрицательной. При этом в расчет также принимаются цифры, обозначающие уровень иммуноглобулинов (если таковые были обнаружены).
Если ИФА отрицательный, это может говорить об отсутствии патологических процессов, либо о начальной фазе их развития. Также «минусовый» результат исследования наблюдается при выздоровлении пациента после пройденного курса терапии. Но подобные данные можно получить только по истечении определенного промежутка времени (1 – 2 месяцев).
Если иммуноглобулины IgA и IgM в крови отсутствуют, а анализ ИФ показал положительный результат на IgG, это может свидетельствовать о том, что у пациента сформировался стойкий иммунитет к определенному виду антигенов. Подобное происходит при иммунизации.
При высокой концентрации IgM на фоне отсутствия IgG и IgA речь может идти о воспалительном процессе, протекающем в острой фазе.
Что означает, если ИФА положительный для всех видов иммуноглобулинов? В подобных случаях речь может идти о рецидиве инфекционной патологии. При этом возникновение антител фиксируется только при острой фазе хронической болезни.
При переходе заболевания в фазу затухания показатели IgM будут отрицательными. А вот ИФА на IgG и IgA будет положительным.
к оглавлению ↑
Плюсы и минусы теста
Исследование крови методом ИФА имеет свои сильные и слабые стороны. К плюсам можно отнести:
- относительно невысокую стоимость;
- точность;
- возможность регулярного проведения с целью оценки эффективности проводимого лечения;
- быстроту выполнения;
- использование высокоточных и высокоинформативных технологий для получения достоверных результатов;
- возможность проведения множественных исследований в области одного и того же очага патологического процесса;
- абсолютную безболезненность;
- отсутствие любых рисков для здоровья пациента;
- относительную простоту исследования.
Исследование крови ИФА, благодаря вышеописанным преимуществам, приобрело широкую распространенность, и играет немаловажную роль в диагностике различных заболеваний.
к оглавлению ↑
Недостатки
Существенным минусом ИФА крови является вероятность получения ложноположительных или ложноотрицательных результатов. Но это связано в большинстве случаев не с самим методом исследования, а с человеческим фактором.
Еще один нюанс, способный повлиять на конечные данные, — применяемые в ходе теста медикаментозные препараты. При их неправильном использовании, либо же в случае брака, расшифровка анализов ИФА будет недостоверной. Следовательно, исследование придется проводить повторно.
Важно! Повлиять на данные теста может нарушение обменных процессов в организме пациента. Помимо этого, на результатах может сказаться и наличие сразу нескольких очагов инфекционных (хронических!) заболеваний.
к оглавлению ↑
Роль ИФА при диагностике паразитарных патологий
Что такое ИФА анализ крови в паразитологии? Это один из самых точных и информативных методов диагностики. Определяется наличие паразитов в организме человека специфическим ИГ Е. При подтверждении диагноза его уровень в крови будет значительно повышен.
Анализ крови методом ИФА проводится для выявления:
- аскаридоза;
- описторхоза – острого или хронического;
- лямблиоза;
- токсоплазмоза.
Также при проведении исследования в организме пациента могут быть обнаружены острицы или амебы. Диагноз «лейшманиоз» и «трихинеллез» тоже нередко ставятся больным на основании данных анализа крови ИФА.
Такое исследование может давать некоторые погрешности в результатах. Однако его точность при изучении образца крови на обнаружение паразитов составляет почти 90%.
Расшифровка иммунологического анализа крови в паразитологии идентична таковой при других заболеваниях. Положительный результат говорит о наличии патологического процесса, отрицательный – об его отсутствии или начальной стадии развития.
Имейте в виду! Личинки и взрослые особи гельминтов и других паразитов могут обитать не только на стенках органов желудочно-кишечного тракта, что позволяет обнаружить их с помощью исследования кала.
Вместе с циркулирующей кровью они способны перемещаться по организму, оседая в почках, сердце, печени, легких, селезенке, и даже головном мозгу. В этом случае выявить их будет крайне проблематично, поскольку яиц глистов в кале зараженного человека попросту не будет.
И только с помощью анализа крови на ИФА можно определить их наличие, и принять меры для предотвращения их распространения на здоровые внутренние органы.
к оглавлению ↑
Подводим итог
Конечно, самостоятельно разобраться в данных теста очень трудно, поскольку во время этого процесса должны учитываться многочисленные факторы. Вредные привычки, наличие сопутствующих заболеваний, применение определенных групп медикаментозных препаратов – все это играет важную роль, и может повлиять на результаты, что и берется в расчет врачами при расшифровке результатов ИФА.
Однако, «осведомлен, значит, вооружен», поэтому каждому человеку важно знать особенности проведения и трактовки данных тех лабораторных исследований, которые ему назначает лечащий врач. И метод ИФА не является исключением!
Ифа на гепатит с: положительный, отрицательный, расшифровка результатов анализа

Иммуноферментный анализ – это метод диагностики вирусных заболеваний. ИФА на гепатит С показывает реакцию иммунной системы на действие патогенных микроорганизмов. Для процедуры используют венозную кровь и ищут в ней антитела к вирусу гепатита. Иммуноферментный анализ недорогой, выполняется быстро, но требует подтверждения повторным ИФА или более дорогим ПЦР.
Сущность и достоверность метода
Метод основан на способности антител (клеток иммунной системы) образовывать комплексы с частицами вируса гепатита (антигенами). Для определения этих комплексов пользуются специальными маркерными ферментами. Анализ дает возможность выявить количество антител к вирусу в первые 6-12 недель болезни.
Подготовка к ИФА включает:
- исключение физических нагрузок за сутки до исследования;
- запрет на употребление алкогольных напитков, табачных изделий и жирной пищи;
- временное прекращение приема лекарственных препаратов и оральных контрацептивов.
Кровь для иммуноферментного анализа на гепатит берут утром натощак. Достоверность данного метода повышается при повторном проведении ИФА спустя 2 недели после процедуры.
Результат анализа показывает:
- уровень эффективности работы иммунной системы при борьбе с вирусом;
- стадию заболевания;
- течение – острый или хронический гепатит.
Женщинам в период беременности необходимо сдать кровь на ИФА минимум два раза:
- на ранних сроках (4-5 недель);
- перед родами;
Преимущества ИФА заключаются в:
- доступной стоимости анализа для всего населения;
- полной автоматизации процесса, исключающей ошибку человека;
- быстром получении результата анализа;
- возможности выявить инфекционное заболевание на ранних этапах;
Показания к ИФА на гепатит С
Гепатит С – опасное вирусное заболевание, которое передается через кровь и разрушает клетки печени.
Показания к анализу крови на ВГС:
- наличие ВИЧ-инфекции;
- симптомы острого гепатита: рвота, вялость, чувство горечи во рту, отсутствие аппетита, желтушный цвет кожных покровов и др.;
- хронический гепатит;
- наличие в биохимическом анализе крови повышенного билирубина и изменение коэффициента де Ритиса (указывают на нарушения работы печени);
- принадлежность к группе риска (врачи, медсестры, наркозависимые);
- наркотическая и алкогольная зависимость.
Проверку на гепатит С обязаны проходить военные, сотрудники правоохранительных органов, работники общепита и социальных служб.
Какие антитела обнаруживает тест
Анализ на гепатит С, проведенный методом ИФА, способен обнаружить антитела двух типов:
IgM – иммуноглобулин, имеющий самую крупную молекулярную массу и неспособный проникать через плацентарный барьер. Антитела класса IgM вырабатываются в организме первыми – спустя 6 недель после заражения.
Через полгода уровень иммуноглобулинов типа М снижается и остается таким до следующего рецидива болезни (при хроническом гепатите).
Иммуноглобулины M являются основой первичного иммунного ответа зараженного организма.
IgG – основной иммуноглобулин сыворотки крови, является вторичным иммунным ответом. Обеспечивает иммунитет ребенка, рожденного от инфицированной матери. Иммуноглобулины G вырабатываются спустя 3 месяца после возникновения заболевания, достигают максимальной концентрации на пятом месяце и остаются в этом количестве на протяжении многих лет.
В периоде острого вирусного гепатита есть две стадии. На первой происходит активация и выделение IgM, на второй – IgG. В острой фазе болезни IgM и IgG образуются к нуклеокапсидному белку вируса Core. При латентном (скрытом) течении вырабатываются IgG к белку core и неструктурному белку NS.
Способы проведения
Диагностика гепатита включает два способа проведения ИФА – прямой и непрямой.
Прямой
Прямой метод ИФА на антитела к гепатиту С основан на образовании комплексов антиген-антитело.
Стадии проведения:
- В специальную таблицу с лунками заносят биологический материал пациента (кровь) и оставляют на 30 минут. Важные элементы приклеиваются ко дну лунок.
- Добавляют специальные меченые антитела. Они прикрепляются к антителам исследуемой крови (если такие есть). Здесь выжидают несколько часов.
- Содержимое лунок сливают и промывают от лишних веществ.
- В каждую лунку добавляют ферменты, которые распознают добавленные ранее антитела. Ферменты связаны со специальным маркером.
- При положительной реакции маркерное вещество становится окрашенным.
Эта методика включает несколько простых шагов и обеспечивает достоверный результат.
Непрямой
Непрямой метод ИФА отличается тем, что в системе участвуют не два, а три компонента.
Он включает два варианта:
- Конкурирующий: в исследуемую систему добавляют антигены, кровь пациента, в которой предполагается наличие иммуноглобулинов, и антитела, помеченные ферментом. Две группы антител вступают в борьбу за образование комплексов с антигеном. Положительной реакция считается при максимальном количестве антител первой группы и минимальном – второй группы.
- Сэндвич-ИФА: в лунки заносят антитела к исследуемому антигену, после чего добавляют кровь и новые антитела. Исследуемый антиген оказывается между двумя молекулами иммуноглобулинов. Этот «сэндвич» виден визуально или при подсвечивании специальным спектром.
Расшифровка анализа
Существует четыре варианта расшифровки анализа:
- Положительный результат. В исследуемом материале обнаружены IgM и IgG к вирусу гепатита – означает, что человек заражен давно (более 3 месяцев назад). Если обнаружены только IgM, то инфекция попала в кровь месяц назад, если только IgG – произошло выздоровление или хронизация гепатита.
- Отрицательный результат. Иммуноглобулинов в исследуемой крови не обнаружено. Человек полностью здоров.
- Ложноположительный результат. ИФА всегда нужно проверять полимеразной цепной реакцией (выявляет сам вирус в крови или печеночной ткани). Если ПЦР дает отрицательный результат, то ИФА следует провести заново.
- Сомнительный результат. Если прошло очень мало времени после рискованной ситуации, ИФА может не выявить наличия антител. Для подтверждения результата необходимо провести повторный анализ через две недели.
Ложноположительный и ложноотрицательный результаты ИФА могут возникнуть вследствие ошибки в лаборатории или неправильной подготовке к анализу. У беременных ложные результаты встречаются чаще, чем у остальных людей.
Почему ИФА положительный, а ПЦР отрицательная
Полимеразная цепная реакция (ПЦР) – дополнительный метод диагностики вирусных заболеваний. Выявляет РНК вируса, то есть его генетическую информацию, применяется для подтверждения диагноза. В некоторых случаях ПЦР дает отрицательный результат при положительном показателе ИФА.
Почему так происходит:
- Выздоровление: ПЦР реагирует только на РНК вируса гепатита, а ИФА может дать положительный результат и после выздоровления, ведь он выявляет клетки иммунной системы, которые сохраняются в крови на несколько лет.
- Разный исследуемый материал: при заборе из разной локализации может возникнуть несоответствие результатов. Так, для ПЦР берут не только кровь, но и кусочек ткани печени.
- Разные тестовые системы.
Что покажет ИФА после лечения гепатита
После пройденной терапии против гепатита С необходимо еще раз сдать кровь на ИФА.
Иммуноглобулины G сохраняются в организме несколько лет после выздоровления, поэтому повторный анализ на гепатит может быть положительным. В этом случае необходимо дополнительно сдать кровь на ПЦР. Отрицательный результат ПЦР на гепатит будет свидетельством того, что человек здоров, а положительный – подтвердит ИФА и укажет на некачественное лечение.
Отрицательный результат повторного ИФА является подтверждением выздоровления.
ИФА относится к лабораторным методам высокой точности и позволяет выявить заболевание на ранних сроках. При первых симптомах гепатита нужно срочно обратиться к врачу, который назначит необходимые анализы для подтверждения диагноза.
Если у вас так же обнаружен РНК гепатита С в крови (вирусная нагрузка), рекомендуем ознакомиться с материалом по расшифровке анализов при гепатите С.
Анализ ИФА — норма, расшифровка
Когда назначают анализ сдавать анализ ИФА на сифилис. Методы лабораторной диагностики. Результаты анализа — как определить норму и отклонения. Стоимость иммуноферментного анализа.
В каких случаях назначают анализ на сифилис ифа
Как правило, постоянно при обращении в поликлинику, доктора назначают сдавать разные анализы. Это позволяет им определить инфекции и заболевания, которыми страдает человек. ИФА или так называемый иммуноферментный анализ, это прекрасный способ оценить иммунную систему организма, и выявить по наличию антител инфицирование и стадию болезни.
Учитывая, что большое количество паразитов проникают в человеческий организм, сдавать анализы и проверять свой его желательно каждому человеку, чтобы в один прекрасный день не получить положительный результат на инфекцию.
Анализ позволяет выявлять вещества и паразитов, которые чужды человеческому организму – антигенны, и выявление иммуноглобинов. Это не только позволяет определить заболевание, но диагностировать стадию. Результаты анализа ИФА выдаются как количественно, так и качественно.
Итак, кому назначают сдавать данный анализ и что такое иммуноферментный анализ? Доктора выписывают этот анализ, если у человека проявляются следующие заболевания:
- Сыпь на теле – аллергические реакции.
- Вирусы – герпес, цитомегалавирус.
- Болезни, передаваемые половым путем – сифилис, трихомонада.
- Патология, связанная с онкологическим заболеванием.
- Нейросифилис.
Кроме перечисленных заболеваний, анализ назначается для определения уровня гормона в крови. По результатам проводится оценка качества терапии. Что такое сифилис знает наверно каждый человек, но не представляет его масштабы, и сколько человек инфицированных ходят рядом с нами.
В настоящее время сифилис – это самое распространенное заболевание. Это трепонома, которая поражает организм человека. И в результате затрагиваются все внутренние органы заболевшего.
Проникновение паразитов в организм, вызывает инфицирование человека. Этим венерическим заболеванием можно заразиться не только половым путем, но и бытовым методом, стоит это помнить, и соблюдать простые правила профилактики.
Это очень опасная инфекция, и частенько бывает, что она может долгое время себя не проявлять. Поэтому человек может быть носителем и распространителем большое время, не зная, что он болен.
Метод лабораторной диагностики
Медицина не стоит на месте, современные анализы, стали существенно отличаться от старых методов исследования организма. Хотя они прекрасно выполняли свою роль, но порой приходилось ждать результаты неделями и месяцами. Это естественно не было благоприятно для инфицированного человека. Что такое ожидание результата, прошел на себе больной человек.
Классические анализы – выявления сифилиса методом Вассермана, методом Кана стали сдавать свои позиции и на смену пришли такие тесты как ИФА.
Это самый современный метод обнаружения инфицирования у человека. Результат расшифровывается с помощью компьютера. Это позволяет более точно определять положительный результат или отрицательный анализ.
Анализы при климаксе: особенности
Во время проведения расшифровки производится поиск антител к конкретным заболеваниям. И в результате проведения анализа, можно было выявить заражение, когда результат был положительным. Используя ИФА для выявления сифилиса подразумевается трёхклассное применение иммуноглобулинов:
- G, M, A – для диагностики имеют самое важное значение.
- Они вырабатываются в инфицированном человека строго в определенной последовательности.
- Быстро определяют стадию инфицирования.
Результаты ИФА – норма и положительный анализ
Если говорит об анализе ИФА на сифилис, то в этом случае сложно сказать, что есть норма или отклонение. Результат, как правило бывают или отрицательный, или положительный. Кроме этого существуют титры, определяющие количество антител в крови.
Существует много тонкостей при расшифровке анализа, если он показал положительный результат, анализ все равно придется пересдавать несколько раз, чтобы исключить метод ложноположительной реакции.
Как уж писалось тонкостей при расшифровке анализа очень много, и определить результат сможет только лечащий врач. Приведём примеры в таблице, какие могут быть показаны результаты на иммуноферментный анализ:
| — IgA | — IgM | — IgG | Расшифровка |
| + | – | – | Инфицирование на раннем сроке. |
| + | + | – | Инфицирование меньше месяца. |
| + | + | + | Заражение сифилисом больше месяца. |
| – | – | + | Сифилис успешно пролечен. |
Не стоит отчаиваться, если анализ показал положительный результат. Как правило, проводят дополнительные анализы и тесты, различными способами, для более точного установления диагноза.
Стоимость иммуноферментного анализа
Как правило, стоимость данного анализа напрямую зависит от самого анализа и выявление конкретной инфкекции. Определение маркеров на инфицирование различных видов стоит от 200 до 350 рублей. И проводится такой анализ в течение двух суток.
ИФА наиболее популярный и современный метод диагностирования организма. Метод показал свою эффективность в выявлении инфицирования, и определения точного срока заражения.
Учитывая ценовую политику можно сказать, что анализ доступен каждому человеку с любым бюджетом. Он позволяет лечащему врачу получить полную картину инфицирования человека. Он показал себя в деле и не разочаровал докторов. В то же время получив анализ, лечащий врач мог реагировать оперативно, назначая своевременно лечение.