Рейтинг: 5/5 (3)

Беременность – это период томительного ожидания рождения малыша, а также время волнений и переживаний, особенно у той женщины, которая готовится стать мамой впервые в жизни. Некоторые процессы, происходящие в ее организме, оказываются пугающими и неожиданными. Таким процессом является и внезапное выделение крови из половых органов во время беременности.
Кровотечения у беременных чаще всего происходят в первом триместре, и обычно это – нормальный процесс, который не должен вызывать тревоги у будущей мамы.
Ведь во время первого триместра идет полная перестройка организма женщины, и пока тело будущей мамы только готовится к предстоящему процессу родов, адаптируется под своего маленького «жителя» – будущего ребенка.
Но бывают и опасные виды кровотечений во время беременности, означающие начало развития патологий или выкидыш. Давайте разберемся, что может стать причиной выделения крови при беременности на ранних сроках.
Причины и симптомы кровотечений при беременности на ранних сроках
Кровотечения бывают как слабые, мажущие, так и довольно сильные и обильные, в первом триместре беременности они возникают у 20-30% женщин. У каждого типа кровотечений во время беременности есть свои причины возникновения и симптомы.
Имплантационное кровотечение в начале беременности. Симптомы – небольшое количество выделений с прожилками крови при беременности. Их причина – прикрепление плодного яйца к маточной стенке. Во время этого процесса может произойти повреждение кровеносных сосудов, что и является причиной появления выделений.
Как отличить месячные от имплантационного кровотечения во время беременности? Такое кровотечение иногда напоминает слабые месячные (длится 1-2 дня) и приходит в один с ними срок, что приводит к путанице в определении даты начала беременности. Обычно имплантационное кровотечение считается одним из первых признаков наступившей беременности.
Повреждение маточного зева. При сильной физической нагрузке, а также при неосторожном половом акте может произойти повреждение покровов маточного зева, что приводит к кровотечению. Оно безболезненное и проходит обычно в течение 4-6 часов. Повреждение маточного зева – это, пожалуй, самая частая причина возникновения кровотечений.
Пониженное содержание гормона беременности в организме. Бывает так, что яичники могут производить недостаточное количества прогестерона, тогда организм начинает «думать», что пора запускать процесс, приводящий к месячным. Начинается отслоение слизистой оболочки матки, она кровоточит, как при менструации.
При недостатке прогестерона прикрепление к стенке матки плодного яйца может проходить со значительными нарушениями, также и процесс формирования плаценты может проходить заторможено.
Интенсивность кровотечений может варьироваться от еле заметного до довольно обильного.
Подобные кровотечения чаще всего наблюдаются у женщин, лечившихся от бесплодия, а также имеющих нерегулярный цикл менструации.
Прорывное кровотечение. Причиной такого кровотечения при ранней беременности является так называемый гормональный прорыв из-за сильного изменения гормонального фона будущей мамы. Оно похоже на месячные, с чем часто и путается. Оно бывает как в первый месяц «положения», так и в течение 3-4 месяцев после возникновения беременности. Чаще всего не представляет опасности.
Выкидыш или угроза выкидыша. 50-60% всех кровотечений – это угроза невынашивания плода, то есть выкидыша. Первые признаки – боли, напоминающие схватки, и кровяные выделения из влагалища. В то же время зародыш все еще «цепляется за жизнь», то есть за стенки матки, но как будет проходить беременность, сможет ли женщина выносить этого ребенка – вопрос открытый. Причинами угрозы выкидыша чаще всего становятся различные инфекции, травмы, обезвоживание организма.
Иногда подобные симптомы – это признак уже свершившегося выкидыша. Боль в животе стихает, кровотечение прекращается, а на УЗИ уже не видно эмбриона. Причина выкидыша, как правило, та же – инфекция, травма, обезвоживание организма или прием некоторых лекарственных препаратов. Также распространенными причинами выкидыша являются неправильное развитие плода, различные генетические нарушения.
Если же выкидыш вроде бы произошел, а кровотечение не прекращается и сопровождается выделениями сгустков крови и тканей, это значит, что выкидыш неполный. Зародыш уже погиб, и шансов сохранить беременность в этом случае нет.
Внематочная беременность. Случается так, что оплодотворенная яйцеклетка, вместо того, чтобы прикрепиться к стенке внутри матки, остается в маточной трубе, где и начинает благополучно развиваться. Причиной внематочной беременности обычно являются спайки в яйцеводе, воспалительные процессы в яичниках и использование спиралей как средств контрацепции.
Развитие этой патологии опасно для здоровья, а порой и жизни женщины, потому что, развиваясь и увеличиваясь в размерах, плод может разорвать маточную трубу, что приводит к кровоизлияниям в брюшную полость. Признаками внематочной беременности являются боли в животе, чаще всего с одной стороны тела, мажущие кровяные выделения. Лечение осуществляется только оперативным путем.
Замершая беременность. Причина – отклонения в развитии эмбриона, чаще всего генетические. Особых симптомов замершей беременности может не иметь, за исключением мажущих выделений из половых органов и болей в животе. Естественно, ни о каких родах речи быть не может – плод погиб.
Отслойка плаценты. В этом случае кровотечения возникают по причине постепенного отслоения плаценты от стенки матки и скопления крови в промежутке между ними.
Отслаиваться плацента может по разным причинам: нарушения в сосудистой системе, болезни сердца и почек, ожирение, пороки развития матки и так далее. Иногда отслойка плаценты наблюдается у женщин, которые готовятся стать мамой уже не в первый раз.
Симптомы – кровотечения и боль. Отслойка плаценты может привести к потере ребенка.
Инфекции или эрозия. Если причина кровотечения – эрозия шейки матки, то можно особо не волноваться – она не влияет на течение беременности и ее исход. Обычно не доставляет каких-либо неудобств будущей маме, потому ее можно не лечить во время беременности.
Если причина кровотечения – инфекция, то лечиться придется в любом случае, потому что она может оказать сильное негативное влияние на развитие малыша, убить его или вызвать выкидыш.
Что делать при кровотечении в первом триместре беременности
Если вы обнаружили у себя на белье кровянистые выделения, стоит принять все меры, чтобы их предотвратить:
- В первую очередь, не паниковать и обратиться к врачу. Гинеколог сможет точно поставить диагноз, используя различные методы исследований и в случае необходимости назначит необходимое лечение, направленное на спасение беременности. Тем более, что некоторые виды кровотечений несут опасность и самой будущей маме, и пренебрегать ими не стоит.
- При возникновении сильного кровотечения при беременности вызовите «Скорую помощь» и прилягте. Стоит избегать самостоятельных «путешествий» в больницу – лучше всего, если врач приедет на дом.
- После посещения врача обязательно соблюдайте все его рекомендации, по возможности берегите свои нервы и снизьте тяжелые физические нагрузки.
- Если вам предложат остаться в стационаре – прислушайтесь к этому дельному совету, если хотите сохранить беременность и свое здоровье.
Чтобы снизить риск возникновения кровотечений, а также риск развития патологий и нарушений в протекании беременности, стоит следовать нескольким профилактическим рекомендациям:

- Планируйте беременность. Чем тщательнее вы к ней подготовитесь – тем лучше. Пройдите полное обследование своего организма, вылечите воспаления и различные инфекционные заболевания половых путей.
- Чаще гуляйте на свежем воздухе, где-нибудь за городом. Красоты природы всегда действуют положительно на психо-эмоциональное состояние женщины, а чистый воздух полон кислорода, который необходим для правильного развития плода.
- Старайтесь создать вокруг себя положительный эмоциональный фон, будьте спокойны и чаще радуйтесь, даже мелочам.
- Откажитесь от вредных привычек – курения и алкоголя. Потребляйте как можно больше чистую воду.
- Избегайте принимать лекарственные препараты лишний раз, особенно сильнодействующие – они не всегда положительно воздействуют на наш организм.
Видео о кровотечении во время беременности
В следующем видео, которое вы можете посмотреть, лектор Нана Картлосовна Тетруашвили в рамках IV научно-практической конференции «Невынашивание беременности» подробно расскажет о всевозможных кровотечениях, а также их причинах.
Дорогие читательницы! После знакомства с нашей статьей о кровотечениях на ранних сроках беременности вы можете обсудить все возникшие у вас вопросы в х.
Делитесь своими историями и опытом, проблемами и путями их решения, помогайте друг другу, не стесняйтесь и задавайте вопросы.
Тем более, все в статье одним махом не опишешь, и опыт тех, кто уже оставил позади «кровоточащие ужасы», будет полезен всем будущим мамам.
Кровянистые выделения на ранних сроках беременности
Наверное, каждую будущую маму с первых же недель беременности начинают волновать выделения, которые не всегда требуют медикаментозного лечения и тем более не являются патологией, а некоторые из них даже можно считать нормальными для этого периода. Какая же разница между «нормальными» выделениями и теми, которые требуют лечения?
В первую очередь обратить внимание следует на их цвет и консистенцию.
Нормой для первых недель беременности считаются необильные, белесые, почти бесцветные выделения без запаха, которые начинают выделяться в результате работы гормонов, отвечающих за сохранение беременности (происходит прикрепление зародыша, формируется плацента и слизистая пробка, которая закрывает «вход» в матку, защищая этим эмбрион от инфекций). Выделения при этом скудные, но если они все же причиняют вам дискомфорт, можно воспользоваться гигиеническими ежедневными прокладками (категорически запрещается использование тампонов).
Часто беспокоят будущих мам творожистые выделения белого цвета, которые «сопровождаются» кисловатым запахом.
Сигнализируют они о вагинальном кандидозе или молочнице, для которого характерны зуд и жжение во влагалище.
Это заболевание, спровоцированное болезнетворными грибками, требует консультации врача и назначения им допустимых для беременной женщины лекарственных препаратов. При этом пройти курс лечения должен и ее супруг.
Выделения желтого цвета также характерны для первых недель беременности и в большинстве случаев они являются «сигналами» о воспалительном процессе.
Неприятный запах при этом появляется вследствие развития патогенной микрофлоры.
На ранних сроках беременности воспалительные процессы могут привести к самопроизвольному выкидышу, поскольку от них «страдает» слизистая матки, в которую «внедрен» зародыш.
Может беременная женщина заметить у себя выделения и более «необычных» цветов (от зеленоватого до ярко-желтого), которые появляются вследствие наличия в организме инфекций, передающихся половым путем.
Подобные инфекции опасны для ребенка и поэтому желательно их вылечить до беременности.
В противном же случае только врач, после взятия всех нужных анализов, может назначить подходящее лечение для обоих супругов.
Но больше всех настораживают будущих мам кровянистые выделения, которые часто наблюдаются на ранних сроках беременности. Часто они схожи с менструальными, могут быть красными или коричневыми, но далеко не так обильны.
В большинстве случаев это объясняется тем, что в этот период организм еще «помнит» дни, когда наступало менструальное кровотечение, поэтому возможно появление кровянистых выделений.
Это не опасно при условии, что вас при этом не беспокоят никакие боли.
Но может их вызвать и так называемая «имплантация плодного яйца» — это процесс, когда в стенку матки закрепляется плодное яйцо, что вызывает разрыхление слизистой матки и развитие новых сосудов. Такие вагинальные выделения чаще всего не обильны, имеют красный, бурый или коричневый цвет.
Иногда женщина может чувствовать незначительные спазмы, но в большинстве случаев процесс этот проходит безболезненно. То есть, если с момента зачатия прошла неделя и вы наблюдаете у себя подобные выделения, поводов для беспокойства нет.
Но обращение к врачу — условие обязательное, поскольку важно убедиться в безопасности плода, да и во многих случаях такие выделения могут быть «предвестниками» угрозы выкидыша.
Только специалист сможет определить точную причину кровянистых выделений при беременности, подарив вам при этом спокойствие, которое так необходимо при таком «интересном» положении, ведь одинаковые симптомы могут быть как показателями нормы, так и того, что беременность находится под угрозой.
Еще одной «известной» причиной появления кровянистых выделений на первых неделях беременности можно назвать эрозию шейки матки.
В это время приток крови к матке усиливается, что провоцирует кровотечение слизистой ее шейки, которую можно сравнить с воспаленной язвой.
Спровоцировать их появление может половой акт (возможно возникновение и без причины), они безболезненны и довольно быстро проходят сами по себе.
Также среди известных причин может быть наличие полипов в цервикальном канале или децидуальных полипов (безвредных опухолей в матке или ее шейке). Также, как и в предыдущем случае, такие выделения незначительны и безболезненны.
Возможно их появление и при варикозном расширении кровеносных сосудов в наружных половых органах.
Но все же кровянистые выделения на ранних сроках беременности являются самыми опасными как для беременной женщины, ее здоровья, так и для ребенка и его жизни. Кроме того они могут «говорить» как о патологии шейки матки, так и об онкологических новообразованиях.
Если на первых неделях беременности вы наблюдаете у себя коричневые выделения (известные в народе как «мазня»), это может быть признаком как небольшого отслоения плодного яйца, так и замершей или внематочной беременности (часто так может начинаться выкидыш).
Еще более опасно появление болей внизу живота и обильных кровянистых выделений на 6-7 неделе беременности, что также может свидетельствовать о начавшемся выкидыше. В таких случаях беременную женщину госпитализируют и назначают лечение снижающими тонус матки кровоостанавливающими препаратами.
Обязательным является соблюдение постельного режима.
В любом случае, если на ранних сроках беременности у вас появились кровянистые выделения, лучше всего будет обратиться к врачу, который может назначить вам сдачу анализов крови и мочи с целью проверки уровня определенных гормонов.
Также может быть проведено трансвагинальное УЗИ, при котором специальный датчик аккуратно вводится во влагалище, благодаря чему можно увидеть как происходит прикрепление плаценты и развитие эмбриона.
Возможно направление будущей мамы на на сдачу анализа крови с целью определения уровня ХГЧ (пониженный является поводом для госпитализации).
- Помните, что на ранних сроках беременности вам нужно максимально беречь себя, поменьше нервничать, переживать, напрягаться, не делать резких движений… Если у вас появились необильные безболезненные кровянистые выделения, при возможности, старайтесь больше лежать.
- Желаем вам счастливой беременности!
- Специально для beremennost.net Анна Жирко
Причины и последствия кровянистых выделений на ранних сроках беременности
Отслеживать характер и продолжительность кровянистых выделений на ранних сроках беременности очень важно. Такая секреция хоть и считается нормальной на первых неделях вынашивания плода, но она же может быть и сигналом различных заболеваний и проблем с плодом.
Нужно отметить, что кровяные выделения на ранних сроках беременности встречаются в 75% случаев и чаще всего указывают на естественные процессы в организме женщины, которые протекают после зачатия.
Но также возможны ситуации, исход которых во многом будет зависеть от своевременного посещения врача.
Поэтому нужно выяснить, какие выделения на первых неделях беременности считаются нормой, а какие свидетельствуют о проблемах.
Основные причины кровянистых выделений
Не всегда кровяные выделения при беременности указывают на патологические процессы. Если брать срок с 2-х недель по 10-ю, то такая секреция не должна вызывать сильных переживаний. При условии, что кровянистые выделения при беременности обладают следующими характеристиками:
- однородная консистенция;
- незначительное количество (мажущие красные выделения);
- полное отсутствие характерного запаха;
- небольшая продолжительность (на втором или третьем дне заканчиваются);
- отсутствие неприятных ощущений (допускаются незначительные тянущие боли в животе, хотя это уже повод к посещению гинеколога).
Светло-оранжевые выделения
Розоватые
Мажущие
Однородные розовые
Естественные выделения с кровью могут появляться по следующим причинам:
- прикрепление плодного яйца (имплантационное кровотечение);
- гормональная перестройка;
- активное пополнение кровеносных сосудов половых органов.
Среди требующих внимание причин кровяных выделений в начале беременности можно выделить:
- незначительные повреждения из-за вагинального датчика или гинекологического зеркала;
- неудачное спринцевание;
- выделение после полового контакта;
- исчезающий близнец.
В этих случаях коричневые или незначительные красные бели могут появиться и на двенадцатой недели. Не нужно переживать, но лишний раз проконсультироваться с врачом не помешает.
Следствием кровянистых выделений в первом триместре беременности также могут выступать:
- нехватка прогестерона;
- гинекологические заболевания;
- проблемы с плодом;
- отслоение плаценты;
- предлежание плаценты;
- самопроизвольный аборт;
- отслаивание хориона;
- пузырный занос;
- эрозия шейки матки;
- папиломы.
В этом случае секреция может иметь запах, очень долго не прекращается и сопровождается сильными болями. Врачи советуют обращать внимание на дополнительные симптомы патологии.
Разнообразие секреции по цвету
Кровянистые выделения на 4 неделе беременности и до конца первого триместра в норме может иметь следующие варианты:
- прозрачная с несколькими каплями крови;
- коричневые выделения мажущего характера;
- розового цвета;
- алого цвета.
Выделения с каплей крови
Коричневые мажущие
Розоватые
Светло-красные
Если в первый триместр беременности такая секреция наблюдается единожды и не вызывает неприятных ощущений, то повода для переживаний нет.
Рассмотрим причины выделений красного цвета во время беременности более подробно, анализируя некоторые вопросы и комментарии женщин на форумах.
Кровянистые выделения при беременности без патологии
Во время беременности (особенно на первом месяце беременности) секреция с кровью может быть следствием естественных или относительно безопасных процессов, каждый из которых имеет свои особые симптомы.
Имплантационное кровотечение
Оля, 27 лет: «Здравствуйте! Предполагаю, что у меня беременность 2 или 3 недели, появились розовые выделения. Подскажите, такое бывает или это задержавшиеся на 2 недели месячные начинаются?»
Очень часто наличие кровянистых выделений на 3 неделе беременности женщины принимают за очередные месячные. Стоит отметить, что имплантация плодного яйца может произойти как раньше, так и позже, поэтому незначительные кровянистые прожилки также могут свидетельствовать об удачном зачатии.
В этот период коричневые или красные следы на белье появляются вследствие внедрения зародыша в слизистую оболочку матки. Получается, что именно незначительные повреждения кровеносных сосудов становятся причиной кровянистых выделений в первом триместре беременности. Это могут быть:
- слизистые бели с кровянистыми прожилками;
- небольшие капли крови на ежедневной прокладке;
- коричневые следы.
Смотрите по ссылке фото выделений при имплантации эмбриона в матку.
Поэтому на третьей недели и раньше подобная секреция без дополнительных симптомов считается нормой. Но все же кровавые прожилки в белях не стоит оставлять без внимания при любых подозрениях.
После посещения гинеколога
В сети интернета достаточно популярны вопросы касательно выделений после осмотра гинеколога:
Анна, 30 лет: «Беременность 6 недель кровянистые выделения ранее не беспокоили, но после вчерашнего осмотра у гинеколога заметила на прокладке пару красных капель. Что делать? Это выкидыш?»
Кровяные выделения на 6 неделе беременности могут иногда возникать в результате микро травм. Естественно, что в подобном случае женщины начинают переживать, так как для имплантационного кровотечения уже поздно.
При беременности на 6 неделе, кровянистые выделения могут появиться из-за повреждения сосудов и капилляров вагинальным датчиком или гинекологическим зеркалом. Они не будут иметь систематического характера, поэтому сразу пропадут практически в этот же день.
Если же вы наблюдаете подобный секрет дольше пары часов или их интенсивность увеличивается, то явление скорей всего не связано с осмотром врача. В этом случае нужно незамедлительно обратиться за медицинской помощью.
После полового контакта
Кровянистые выделения на ранних сроках беременности после секса не считаются патологией, но в этом случае лучше отказаться от полового контакта и проконсультироваться с врачом, ведь нужно точно установить, причину их появления, а также есть ли угроза плоду.
Но в большинстве случаев такая секреция выступает следствием неосторожного сношения, поэтому есть смысл пересмотреть позы и придерживаться более спокойного ритма.
Полный ответ на вопрос: «Что означают выделения при беременности после секса?», вы найдете в одной из наших статей.
«Исчезающий близнец»
Врачи установили, что практически каждый восьмой человек имел в утробе матери близнеца, развитие которого остановилось в определенный момент. Отметим, что этот процесс очень характерен для искусственного оплодотворения. Вот что пишут женщины на форумах по этому поводу:
Зинаида, 36 лет: «Прошла процедуру ЭКО, потому что уже разуверилась стать матерью. Все было хорошо, но вскоре возникли кровянистые выделения на 12 неделе беременности. Отправилась на УЗИ – установили замирание одного из близнецов. Надеюсь, что со вторым ребенком все будет в порядке, а появление такой секреции не навредит вынашиванию.»
В таком случае советуем обратить на дополнительные симптомы, которые могут указывать на подобный процесс в организме:
- в нижней части живота возникают спастические боли;
- могут отмечаться судороги.
Подтвердить или опровергнуть такое состояние может только врач с помощью УЗИ. Что касается времени возникновения секреция, то кровянистые выделения на 10 неделе беременности, но не раньше, могут свидетельствовать об «исчезающем близнеце».
Подобное явление чаще всего проходит без последствия для здоровья женщины и будущего ребенка.
Возможные патологии при кровянистых выделениях на ранних сроках
К сожалению, кровянистые выделения в начале беременности могут быть опасны не только для плода, но и для матери. Именно поэтому врачи советуют при любых сомнениях и недомоганиях обращаться в больницу. Первый триместр беременности позволяет в большинстве случае исправить ситуацию, но только при своевременной диагностике.
Нехватка прогестерона
У некоторых пациенток врачи отмечают нехватку прогестерона, что ставит под сомнение нормальное вынашивание плода до срока.
Виктория, 22 года: «Беременность 5 недель, кровянистые выделения начали мазаться. Отправилась в больницу, где врач прописал Дюфастон. После приема препарата все прекратилось, но все равно страшно.»
Валентина, 31 год: «На 7 неделе беременности началась мазня. Мне удастся сохранить ребенка при помощи лишь уколов прогестерона?»
Кровянистые выделения на 5 — 12 неделе вполне могут быть вызваны нехваткой прогестерона, но самовольно принимать препараты нельзя, ведь неправильная доза может оказаться бесполезной или даже усугубить положение.
Алые незначительные выделения
Алые водянистые
Если выделения на 5 неделе беременности начали беспокоить, и отмечаются следы крови на ежедневке, то стоит немедленно обратиться к врачу, который пропишет такие препараты как: Дюфастон, Утрожестан, а также подберет оптимальную их дозировку.
Возможно будет назначено дополнительное лечение. В этом случае лучше не заниматься самолечением, но и если не обращать внимание на эту проблему, то ситуация может закончиться самопроизвольным абортом.
До использования перечисленных препаратов узнайте, какие могут быть выделения от Утрожестана при беременности в статье по ссылке.
Отслоение плаценты
Лариса, 35 лет: «8 недель беременности и кровянистые выделения возникли неожиданно, и они больше алые. В больнице сделала УЗИ. Диагноз – незначительная отслойка плаценты. Раньше болел живот, а теперь перестал. Из препаратов кололи только папаверин. Переживаю и не знаю, что будет дальше.»
Кровянистые выделения на 8 неделе беременности, особенно имеющие алый оттенок могут указывать на отслойку плаценты.
Выделения при отслоении плаценты
Алые
Вызывают этот негативный процесс стрессы, травмы, аллергии, высокое АД, а также вредные привычки.
Что касается интенсивности секреции, то все будет зависеть от площади и места отслоения.
Стоит отметить, что 7 неделя беременности является ранним сроком, на котором своевременная медицинская помощь сможет исправить ситуацию и сохранить ребенка.
Различные травмы
Ольга, 26 лет: «Была 7 неделя беременности, и я упала. В больницу не пошла, потому что никаких болей и кровотечения не было. Какая я была глупая, ведь пришлось потом почти весь срок лежать на сохранении.»
Такая ситуация может возникнуть на любом сроке вынашивания малыша, ведь во время беременности незначительный ушиб или удар может стать причиной повреждения кровеносных сосудов. В этом случае не помешает консультация врача, который обследует плод и даст рекомендации.
Предлежание плаценты
Светлана, 34 года: «У меня в сего лишь девятая неделя, но гинеколог поставил диагноз — предлежание плаценты. Разве к этому времени плацента уже сформировалась?»
Многие женщины думают, что предлежание плаценты может возникнуть только на позднем сроке. На самом деле, кровянистые выделения на 9 неделе беременности, да и на любом сроке, могут быть вызваны именно предлежанием плаценты.
Главное отличие – это систематические кровотечения, которые сначала могут быть безболезненными.
В первом триместре кровотечения слабо выражены, но именно в это время нужно предпринимать действия, чтобы исключить угрозу жизни, как матери, так и ребенка.
Самопроизвольный аборт
Отторжение зародыша может быть вызвано стрессами, инфекциями, травмами и т. д. Также самопроизвольный аборт может возникнуть, если организм посчитает зародыш недееспособным, особенно при наличии генетических отклонений.
Выделения слизистые с кровью
Алые
Кровь может появляться в незначительном количестве без дополнительных ощущений, а иногда может открыться сильное кровотечение. Если обратиться к доктору при первой мажущей секреции, то вероятность сохранить плод очень высока. На позднем же этапе этого процесса, сделать практически ничего нельзя.
Отслаивание хориона
Именно из хориона во время второго триместра формируется плацента. Хорион обеспечивает связь между мамой и ее ребенком, поэтому его отслойка угрожает плоду. Этот процесс может сопровождаться небольшим количеством секреции коричневого цвета.
«Пузырный занос»
Очень редкая патология, которая сопровождается разрастанием плацентарной ткани. Женщина может ничего не ощущать, пока не прекратиться развитие плода.
Вскоре возникает обильная секреция красного цвета. Сохранить плод в таком случае нельзя. Считается, что это отклонение носит генетический характер. Как правило, проявляется с 11 недели беременности.
Эрозия шейки матки и полипы
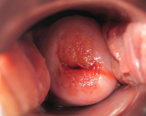
Усиленный приток крови к матке может вызвать повреждение сосудов. В итоге возникает незначительное кровотечение, которое может появляться без причин или после секса. Если этот процесс быстро и самопроизвольно прекратился, то это может быть эрозия шейки матки, которая обостряется именно во время вынашивания плода.
Все о данной патологии и о выделениях при эрозии во время беременности, читайте перейдя по ссылке.
Еще причиной могут выступать полипы цервикального канала и децидуальные полипы. Эти наросты чаще всего сами отпадают, но если назначено удаление, то врач прописывает еще и сопутствующее лечение.
Если вы планируете беременность или уже находитесь в положении, не помешает ознакомиться со всеми причинами красной секреции. Женщине очень сложно самой связать выделения при беременности на ранних сроках с определенным нарушением, поэтому сохраняя спокойствие, необходимо при первых же недомоганиях обратиться в больницу. Помните, что самолечение опасно для вашего здоровья.
Кровотечение при беременности на ранних сроках: причины кровянистых выделений
Около 70% беременных сталкиваются с кровянистыми влагалищными выделениями, и лишь у 12% из них происходит выкидыш. В остальных случаях женщины благополучно донашивают и рожают здорового малыша. Почему случаются кровотечения, как выглядят выделения и опасно ли такое состояние? Нужно ли обращаться к доктору, если кровь пошла внезапно, но незначительно, и пациентка чувствует себя хорошо?
Какие выделения из влагалища считаются нормальными во время беременности?
На разных сроках нормальными являются выделения (по неделям):
- 1–3 – слизистое отделяемое с красными прожилками или желтые, коричневые выделения, продолжающиеся несколько суток;
- 4–густой белый секрет, возможны красноватые вкрапления;
- 5–12 – прозрачное или белое отделяемое, которое иногда может иметь легкий кислый запах;
- 13–25 – жидкий прозрачный секрет, количество которого, по сравнению с 1-м триместром, увеличено;
- 26–36 – обильное белое отделяемое с кислым запахом;
- 37–40 – умеренный объем секрета с белесым цветом;
- перед родами – слизь с кровяными прожилками.
Кровяные выделения, которые появляются с 4–6 недели и идут до конца 12-й недели беременности, могут быть:
- прозрачными с 2–3 каплями крови;
- розовыми;
- коричневыми;
- алыми.
Если они идут один раз и не сопровождаются болезненными ощущениями, то беспокоиться не о чем. Однако идеальный вариант – светлые, практически прозрачные выделения. Они свидетельствуют о нормальной работе половых органов, смене эпителиального слоя матки и отсутствии признаков наличия патологических микроорганизмов.
Причины появления крови в выделениях на ранних сроках вынашивания
Кровянистые выделения при беременности можно условно разделить на два вида:
- физиологические, возникающие из-за изменения соотношения гормонов;
- патологические, свидетельствующие об аномальном течении беременности.
Кровотечение при имплантации плодного яйца
Одна из частых причин появления кровянистого секрета на ранних сроках беременности – внедрение плодного яйца в матку. Имплантационное кровотечение свойственно для первой – начала второй недели после оплодотворения. Отделяемое розового, коричневого или прозрачного цвета с ярко-алыми прожилками является следствием повреждения мелких кровеносных сосудов из-за внедрения зародыша.
Часто появление имплантационного кровотечения женщины принимают за начало месячных, но оно длится значительно меньше – от 1 часа до 2–3 суток и характеризуется незначительными выделениями. Наличие подобного отделяемого без сопутствующих болей в животе считается нормой.
Имплантационное кровотечение может произойти раньше или позже указанного срока, но не раньше недели после зачатия. Кровь никогда не бывает темного цвета.
Микроповреждения слизистых оболочек после полового акта или осмотра гинеколога
Кровянистое отделяемое у беременных после секса появляется достаточно часто.
Шейка матки в силу происходящих изменений в организме приобретает рыхлую структуру, становится отечной и восприимчивой к любому давлению, из-за чего во время коитуса на ней появляются микроповреждения.
Эти травмы не являются серьезными и не причинят вреда плоду. Их появление не является поводом для прекращения интимных отношений, но последующие половые контакты должны исключать резкие движения.
Кровь может пойти и при гинекологическом осмотре. На 4–5 неделе многие женщины, подозревая беременность, впервые идут к врачу и он случайно может травмировать шейку матки зеркалом. Такие повреждения не угрожают развитию малыша.
Аналогичная ситуация иногда наблюдается после проведения трансвагинального УЗИ. Выделения возникают вследствие гиперчувствительности детородных органов, длятся не дольше 2 суток и не повторяются.
Менструация на фоне нормально развивающейся беременности
Во время беременности у крайне незначительного количества пациенток могут идти месячные. В народе это явление называется «омыванием плода», в медицине – прорывным кровотечением.
Выделения появляются в день, когда раньше начиналась менструация. Помимо отделяемого пациентка жалуется и на другие симптомы месячных: боли в спине и животе.
Кровавый секрет довольно обильный, менструация длится несколько дней.
Обычно гормоны, выделяемые во время беременности, препятствуют появлению месячных. Однако иногда происходит сбой, и их концентрация в организме слишком мала для того, чтобы остановить налаженный месячный цикл. Обычно кровотечения к 3 месяцу прекращаются. В редких случаях «омывание плода» возможно даже на поздней стадии беременности.
Медики настороженно относятся к подобным аномалиям и тщательно следят за состоянием пациентки на протяжении всей беременности. У женщин с такой особенностью роды зачастую проходят в срок, а детки появляются на свет здоровыми, поэтому поводов для тревоги нет.
Гинекологические заболевания, не связанные с гестацией
Беременность не оберегает от гинекологических проблем, многие из хронических болезней, наоборот, обостряются в этот период, а другие обнаруживаются впервые. Снижение иммунитета и изменение количества продуцируемых гормонов приводят к возникновению различных патологий:
- Эрозия шейки матки. Образовавшиеся на слизистой оболочке язвочки делают ее очень чувствительной. Капилляры органа переполняются кровью, красные пятна на белье могут появляться как после полового акта, так и при сидении с поджатыми ногами. Выделения выходят единожды после повреждения эпителия, лечение назначается уже после родов. Такое состояние не представляет угрозы.
- Варикоз. Поскольку беременность повышает нагрузку на вены влагалища, болезнь может затронуть область половых губ. Промежность болит, нарушается секреция смазки, половой контакт становится болезненным. Выделения с кровянистыми включениями могут обнаруживаться после секса или беспричинно. Болезнь незначительно осложняет течение беременности, но не опасна.
- Полип или киста. Кровь выделяется в небольшом количестве, боль отсутствует. Новообразование не представляет угрозы для плода, но если оно было сильно повреждено, может произойти инфицирование. Полип постепенно может отслоиться самостоятельно, кисту лечат после родов.
- Венерическая болезнь. Активизация трихомонад или других микроорганизмов приводит к появлению влагалищного отделяемого со специфическим запахом и кровянистыми вкраплениями. Заболевание сопровождается зудом в промежности и увеличением показателей термометра, повышает вероятность выкидыша.
Патологии беременности (замирание, прерывание, отслойка плаценты и др.)
Если у женщины открылось маточное кровотечение, оно может представлять серьезную угрозу для нее и малыша. Причинами появления кровянистого отделяемого при беременности являются следующие состояния:
- Прерывание беременности. Возможно в любом периоде в силу разных причин – от несовместимых с дальнейшим развитием и внеутробной жизнью патологий плода до инфекционного заболевания матери. Характеризуется внезапными болезненными ощущениями, кровотечением.
- Замершая беременность. Часто наблюдается на сроке 6–7 недель. Болит живот, исчезает токсикоз и болезненность груди. Патология характеризуется внутриутробной гибелью плода и может быть выявлена во время УЗИ, при пальпации матки или по анализу на содержание ХГЧ в плазме на сроке до 28 недель. Боль и кровавое отделяемое появляются не сразу, а спустя несколько дней. Иногда матке удается самостоятельно отторгнуть замерший плод, но чаще требуется чистка. Оттягивание посещения врача может привести к сепсису. При замершей беременности на 15% увеличиваются риски невынашивания плода при повторном зачатии.
- Предлежание плаценты. При ее близком расположении к маточному зеву мышцы не способны ее удержать, что приводит к отрыву небольших участков плаценты. Кровь идет как при месячных. Состояние возникает у 2% женщин и проявляется после 20-й недели после зачатия.
- Отслоение плаценты. Явление диагностируется у 1 из 200 пациенток. Процесс сопровождается отхождением сгустков крови и схваткообразными болями в животе. Даже при частичной отслойке есть угроза для жизни ребенка.
- Надрыв пуповины. Редкое явление, при котором возможна гибель плода. Если он способен выжить вне утробы, врачи проводят экстренное кесарево сечение.
- Пузырный занос – патология, сопровождающаяся аномальным ростом и увеличением объема тканей плаценты (подробнее в статье: пузырный занос: патологическая анатомия заболевания). У женщины возникает кровотечение на ранних сроках беременности (до 11-й недели). Патология редкая, причина ее возникновения кроется в генетических факторах. Сохранить беременность нельзя.
Беременность вне матки
Внематочная беременность диагностируется на ранних сроках и возникает вследствие того, что плодное яйцо крепится в фаллопиевой трубе (наиболее часто), яичнике, шейке или вообще в брюшной полости, а в не матке, как это должно происходить в норме.
Влагалищное кровотечение появляется на 6-й неделе гестации, когда маточная труба растягивается до предела. Параллельно женщину беспокоят тошнота и боль в животе.
Дискомфорт может прекратиться при разрыве трубы, но через пару часов пациентка будет чувствовать себя во много раз хуже.
Беременность вне матки может вызвать внутреннее кровотечение, поэтому ее важно вовремя диагностировать и назначить терапию. Иногда подобная патология приводит к бесплодию.
Причины сильного кровотечения и вероятность сохранения беременности
ЧИТАЕМ ТАКЖЕ: причины кровотечения из носа при беременности
Сильная кровопотеря может быть спровоцирована следующими причинами:
- инфекционные болезни;
- миома матки;
- отслоение плаценты;
- разрыв матки (очень редкая аномалия, возникающая при пузырном заносе или после предыдущего родоразрешения путем кесарева сечения);
- разрыв фаллопиевой трубы;
- нехватка гормонов;
- самопроизвольный аборт.
Чаще всего при своевременной госпитализации пациентки врачи могут сохранить беременность. При высоком риске невынашивания плода ее кладут в стационар. Врачи всегда стремятся к сохранению жизни малыша, но если стоит выбор, его делают в пользу здоровья и жизни матери. Однако согласие женщины (или ее родственников, когда будущая мать находится в бессознательном состоянии) обязательно.
На раннем этапе гестации важно остановить кровотечение и предотвратить выкидыш. Для этого назначаются:
- средства для повышения секреции прогестерона (Утрожестан и Дюфастон);
- витамины (Е, В6);
- успокоительные препараты (настойка валерианы);
- кровоостанавливающие медикаменты (Дицинон);
- спазмолитики (Но-Шпа).
При появлении первых положительных результатов лечения женщине показан покой, постельный режим и прекращение интимной жизни до момента родов. Препараты часто назначаются длительным курсом, их нужно принимать даже при отсутствии кровотечения. Преодолев порог 12-й недели гестации, можно успокоиться – риск прерывания беременности значительно снижается.
Терапия при предлежании плаценты зависит от количества выделений. Если крови немного и время родов близко, проводится прокол плодного пузыря. При обильном отделяемом показано кесарево сечение, даже если плод не доношен. Оперативное родоразрешение требуется и при кровопотере на фоне отслоения плаценты.
Если кровь идет вследствие беременности вне матки, замершего плода или выкидыша, то нельзя питать иллюзий – ребенка в этих ситуациях сохранить невозможно. Лечение оперативное: женщине проводят удаление эмбриона (или фаллопиевой трубы) или выскабливание матки соответственно.
При каких симптомах нужно немедленно обратиться к врачу?
Нужно помнить, что на начальной стадии вынашивания малыша продуцируется тот же секрет, что и раньше, – выделения прозрачные, белые или желтые.
Если женщина отмечает любое резкое изменение их характера, стоит сообщить об этом врачу. Чем быстрее будет оказана помощь, тем благоприятнее прогноз.
Женщина не должна самостоятельно делать компрессы, пить таблетки или отвары – это приведет к непредсказуемым последствиям.
Срочная помощь понадобится в следующих ситуациях:
- выделение ярко-алой крови;
- обильное кровотечение;
- выход кровяных сгустков;
- сильная боль;
- холодный пот;
- потеря сознания;
- судороги;
- боль в животе и пояснице.
При кровотечении можно пользоваться только прокладками. В ожидании приезда врачей женщина должна лечь и приподнять ноги. Медикаменты лучше не употреблять, чтобы не «смазать» симптоматику.
Кровянистые выделения на ранних сроках беременности
В случае, когда будущая мама еще не в курсе своего интересного положения, кровянистые выделения на ранних сроках беременности часто воспринимаются ею за наступившие месячные. Если же беременность планировалась и ожидалась, такие бели непременно вызывают беспокойство.
Однако настоящий страх и тревогу, провоцируют примеси крови на более поздних сроках.
Чтобы поберечь психологическое состояние будущей матери, но не пропустить по-настоящему опасные сигналы, важно рассмотреть, существуют ли естественные причины подобного явления и понять что конкретно должно насторожить.
Какие могут быть выделения при беременности в норме
Сами по себе выделения при беременности — вещь абсолютно нормальная и ожидаемая. Все дело во главенствующем в организме в этот период гормоне прогестероне.
Подготовка к беременности
Он входит в обязательный набор гормонов, корректирующих менструальный цикл и в месте с эстрогеном делит в этом процессе основную роль.
Эстроген господствует в первую половину цикла — до овуляции, а прогестерон — во вторую.
Каждый гормон имеет специфическое влияние на секрет, вырабатываемый шейкой матки в течение цикла:
- В первой половине, он слизистый и более прозрачный, но не очень обильный.
- Во время овуляции окрас меняется на оттенок белого или бежевого, с вязкой и тягучей консистенцией.
- Начиная с середины цикла, под влиянием нового гормона (прогестерона), количество выделений растет, а структура становится более густой и кремообразной.
- Непосредственно перед наступлением менструации, по причине упадка уровня прогестерона, объем влагалищного секрета становится совсем незначительным.
Прогестерон вырабатывает желтое тело, образованного после овуляции в одном из яичников. Основная задача всего этого процесса — подготовить организм к возможному зачатию. Если оно не происходит, желтое тело погибает, а уровень прогестерона стремительно падает. Именно тогда начинаются месячные.
Беременность наступила
Если оплодотворение яйцеклетки состоялось, происходит обратное действие. Желтое тело продолжает функционировать и вырабатывать прогестерон еще в течение нескольких месяцев, поддерживая развитие эмбриона до образования плаценты.
Это становиться возможным благодаря другому гормону — хорионическому гонадотропину человека (ХГЧ). Он образуется уже в первые часы беременности, и препятствует гибели желтого тела и прекращению производства им прогестерона.
Естественно, что ввиду возрастающего количества гормона, количество выделений не уменьшается, как перед месячными, а становится больше.
После гибели желтого тела, тот же гормональный набор продолжает вырабатывать плацентарная оболочка. По этой причине первый и второй триместры беременности, сопровождаются обильными влагалищными выделениями. И только в третьем триместре здоровой нормой считают, когда выделяется незначительное количество секреции.
В норме внешний вид выделений не отличается от обычного. Он либо прозрачный, либо приобретает белесный оттенок и похож на вязкую слизь.
Нормальные выделения при беременности
Кровянистые оттенки в варианты абсолютной нормы не входят. Однако далеко не всегда они свидетельствуют о наличии осложнений и угрозы плоду. Особенно это касается кровяных выделений при беременности на ранних сроках.
Физиологические причины мазни при беременности
К физиологическим причинам крови во влагалищном секрете при беременности относят:
Имплантация яйцеклетки в слизистую матки
В течении первых двух недель после зачатия должно произойти прикрепление плодного яйца к эндометрию матки. В небольших количествах, коричневые либо кровянистые выделения при беременности на ранних сроках без сильной боли могут выделиться вследствие этого процесса.
Причиной тому могут стать хрупкие кровеносные сосуды, которые травмируются при внедрении. Также стоит отметить, что этот процесс достаточно стрессовый для организма и помимо нетипичного окраса секреции, может сопровождаться небольшим недомоганием, иногда болит низ живота.
Половой акт
Ввиду гормональной перестройки организма, слизистая влагалища может быть более хрупкой, чем обычно. При особо страстных занятиях сексом в этот период существует вероятной ее травматизации. В результате, естественно может появится кровь.
Гинекологический осмотр
Примерно на втором месяце, не редки случаи когда в результате обычного осмотра травмируется слизистая влагалища. Причиной тому могут послужить предметы для осмотра либо проведение вагинального УЗИ. Такие выделения обычно очень скудные и не длятся более суток. В противном случае, это повод обращения за медицинской помощью.
Цветная беременность
Второе название этого явления — омовения плода. Это не патология, а скорее физиологическая аномалия. Если обычно о своем интересном положении будущая мама начинает подозревать при задержке, то в таком случае она может не подозревать о зачатии, а принимать красные выделения при беременности за нерегулярные месячные.
Причины такого явления до конца не изучены. Одна из основных теорий заключается в том, что параллельно с беременностью в яичниках продолжают формироваться яйцеклетки. В большинстве случаев такое состояние не несет никакой опасности для жизни матери и будущего ребенка. Однако его необходимо точно диагностировать, дабы убедиться в отсутствии патологического кровотечения.
Патологические причины кровянистых выделений
Чаще всего патологические кровяные бели у беременных возникают по следующим причинам:
- Гормональный дисбаланс;
- Гинекологические заболевания;
- Воспалительные процессы;
- Сильные стрессы;
- Травмы и ушибы;
- Наличие вредных привычек у беременной женщины.
Любые кровянистые бели могут являться как патологией, так и иметь естественные причины. Отличить эти процессы самостоятельно необычайно сложно. Поэтому при их появлении не нужно рассчитывать на чудо, а лучше немедленно посетите гинеколога.
Иногда такие выделения могут принимать более темные или коричневые оттенки, в других случаях сохранять алый либо красноватый окрас.
К ненормальным белям можно отнести как явное кровотечение, так и мажущие выделения и даже появление нескольких капель крови.
В каких то случаях они сопровождаются болями, сильными резями в животе, наличием запаха, но могут и появляться бессимптомно. Отличия цвета и других симптомов носят слишком размытый характер для самостоятельной диагностики.
Чтобы избежать подобных ситуаций, с наступлением беременности, ответственная будущая мать должна регулярно наблюдаться у врача. Только специалист способен выявить точные причины и успокоить все ваши страхи.
Гормональный дисбаланс
Причинами многих осложнений, сопровождающихся кровянистыми выделениями в начале беременности и на более поздних сроках могут стать ответственные за этот процесс гормоны. Недостаток прогестерона и низкий уровень ХГЧ говорят об неутешительных для плода осложнениях. К ним можно отнести такие патологии:
Внематочная беременность
Если в норме яйцеклетка должна прикрепится в матке, при внематочной беременности этого не происходит.
Плодное яйцо может остаться на пол пути, в маточных трубах, либо имплантироваться в другой орган — яичник или шейку матки. В положенный для имплантации период у женщины появятся выделения с кровью.
Затем, когда эмбрион подрастет, он попросту разорвет орган в котором находиться, что вызовет сильнейшее кровотечение и боль.
По этой причине кровь в период имплантации эмбриона игнорировать нельзя и необходимо как можно скорее посетить гинеколога. Нужно проверить не началась ли внематочная беременность.
Самопроизвольный аборт
При беременности на ранних сроках, наличие обильных кровянистых выделений с болью внизу живота основной признак начала выкидыша. Дефицит прогестерона и низкий уровень ХГЧ обычно являются причинами самопроизвольного прерывания беременности на первом триместре, на втором же причинами чаще выступают патологические заболевания матки.
Замершая беременность
Явление характерное для ранних сроков беременности. Если при здоровой беременности организм всячески пытается поддерживать жизнедеятельность эмбриона, то при такой патологии наоборот отторгает его. Если возникает дефицит необходимых гормонов, это лишает плод возможности развиваться, в результате чего, он попросту замирает и погибает.
Патологии детородных органов
Также, часто виновниками появления нехарактерных выделений становятся патологии основных половых органов, ответственных за благополучное зачатие и течение беременности — яйцеклетки, матки и плаценты.
Распространенными патологиями у беременных женщин являются:
Пузырный занос
Развивается при оплодотворении дефектной яйцеклетки. Вместо эмбриона, в виде пузырей разрастаются патологические ткани хориона. Уровень ХГЧ возрастает и присутствуют обычные симптомы беременности.
Однако сильнее обычного, женщину беспокоят тошнота и высокое давление, часто наблюдаются кровяные бели.
При такой лже-беременности, необходимо как можно скорее выявить патологию и удалить занос, иначе он рискует превратиться в опухоль.
Эрозия шейки матки
При эрозивном повреждении слизистой матки, мажущие выделения с кровью явление частое. Особенно его заметно после полового акта.
Такие бели и болевой синдром носят непостоянный характер, для них характерно когда боль и кровь внезапно началась и так же внезапно прошла.
При вынашивании ребенка, опасность данной патологии в высоком риске проникновения инфекций и развития воспалительных процессов.
Миома матки
Наличие доброкачественной опухоли не редко мешает самому зачатию. Однако если оно состоялось, отслеживать состояние мамы и малыша необходимо постоянно. Миома может стать причиной выкидыша, преждевременных родов и спровоцировать предлежание плаценты.
Отслойка плаценты
Отделение жизненно необходимой для плода оболочки от стенки матки имеет две формы — легкую и тяжелую.
При легкой наблюдается маленькое количество алых выделений при беременности и общее состояние матери может совсем не отличаться от обычного.
Для тяжелого отслоения характерно обильное кровотечение и развитие болевого синдрома. При данной патологии женщина нуждается в госпитализации.
Кровавые бели с болью или без нее, не являются здоровой нормой для периода вынашивания ребенка. Нередко кровянистые выделения являются признаком серьезных осложнений беременности.
Разница между естественными физиологическими причинами и различными осложнениями размыта. Поэтому при появлении любого аномального секрета беременной женщине будет лучше обратиться к врачу.
Как отмечалось выше, существует ряд серьезных осложнений связанных данным симптомом, требующих незамедлительной медицинской помощи. Некоторые из таких осложнений требуют соблюдения терапии и рекомендаций, для других требуется госпитализация и может быть назначено сохранение вплоть до родов.
Не стоит рисковать своим здоровьем и жизнью малыша. Даже если, когда женщина заметила появления крови, для этого есть объяснимые причины, посетить врача будет не лишним. Ответственное отношение на протяжении 9 месяцев подарит вам счастье материнства на всю жизнь.