Образование тромбов предоставляет жизненную угрозу. В некоторых случаях они имеют свойство кальцинироваться, и возникает флеболит. Причины развития могут быть индивидуальными. Только правильная терапия поможет избежать тяжелых последствий.
Что это за патология
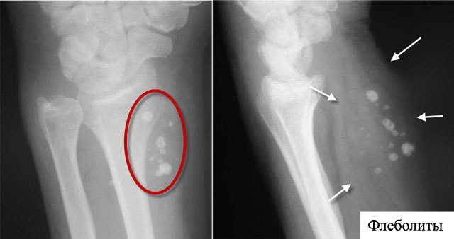
Флеболит это небольшие частички закальцинированных тромбов, которые образовываются в венах. На рентгеновских снимках проявляются в виде белых пятен.
Часто возникают в области таза, почках. Также они обнаруживаются в челюстно-лицевых отделах, и при варикозных расширениях.

Флеболиты сопровождаются выраженным поражением вен. Незакрепленные у стенок, они мигрируют в ближайшие сосуды.
Проявления патологии увеличиваются с возрастом пациента. Они могут выявится не только у пожилых людей, но и у младенцев. Поскольку отсутствуют выраженные симптомы, человек не подозревает об их наличии.
Виды и классификация
Определяют данные образования по локализации, количеству и размерам.
- Тазовые, надтазовые. При этом возникают флеболиты в малом тазу, брюшной полости.
- Фиксированные, свободные. В основном они прикрепляются к сосудистой стенке. Если они находятся в свободном состоянии, то могут перемещаться в ближайшую вену.
- Единичные, множественные. Чаще встречаются одиночные образования, не связанные с сосудистыми аномалиями. При варикозе и врожденной мальформации возникают множественные флеболиты.
- Определяя размер, выделяют мелкие, до 5 мм, средние до 10 мм, крупные до 1 см образования. По химическому составу определяют радиопрозрачные и рентгеноконтрастные конкременты.
Причины возникновения

Кальцивые образования в венах могут образовываться в детстве или быть врожденными. Предрасполагающие факторы к развитию флеболитов:
- аномальное строение вен, пороки их развития, которые приводят к нарушению кровообращения;
- варикозное расширение вен;
- повреждение стенок сосудов;
- запоры и напряжения (повышают риск повреждения тазовых вен);
- нарушение кровотока;
- тромбофлебиты;
- повышение внутриглазного давления;
- заболевания печени;
- наличие новообразований.
Определить причину сможет только врач после полноценного обследования.
Механизм развития болезни и локализация

Кальцифицированные тромбы имеют невыясненный механизм развития. Врачи предполагают, что их образование связано с гемодинамикой, изменением объема и тока крови, нарушение венозного давления.
Процесс развития возникает в начале внутрисосудистого тромбоза. При этом повреждается эпителий, нарушается коагуляция и фибринолиз.
Изначально формируется ядро флеболита, за счет осадка неактивных кристаллов. Затем кальцификацию подвергаются волокна соединительных тканей.
Камни внутри сосудов малого таза возникают при чрезмерной концентрации фосфатазы. За счет этого начинается накапливание кальция на тромбе. Образования имеют овальную, круглую форму. Диаметр зависит от хода вены.
Поверхность имеет белый или коричневый окрас. Оболочка многослойная, внутри находится ядро плотной консистенции.
Локализуется нарушение в почках, малом тазу, голове.
Возможные осложнения
Флебостаз предоставляет собой образование из множественных камней. В медицинской практике флеболиты могут вызывать опасность сравнимую с тромбозом. Повышается риск повторения окклюзии.
При варикозном расширении вен повышается вероятность рецидива развития тромбов. Если камни мигрируют и попадают в воротную вену – это опасное осложнение. Это может привести к эмболизации легких, которая имеет тяжелые последствия.

Проявления
В основном флеболиты не вызывают симптомов. Часто их обнаруживают только после рентгена или УЗИ. В зависимости от их локализации могут возникать такие признаки:
- устойчивая боль;
- образование сгустков крови;
- расширение вен, возникновение опухолей;
- запоры.
Клиническая картина не имеет характерных признаков. Выделяют признаки, которые должны настораживать пациента. Они зависят от того, где находятся флеболиты.
При поражении тазовых вен, с застоем крови изначально может появляться чувство тяжести и дискомфорт. Они могут усиливаться при длительном сидячем или стоячем положении. У женщин нарушается менструальный цикл.

Если камни увеличиваются в размере, то это будет вызывать болевые ощущения. Они способны отдавать в живот, поясницу, нижние конечности. Такие признаки наблюдаются при флеболитах в почках.
При поражении области головы, шеи, образования появляются в тканях щек. Могут сопровождаться болью, воспалением ближайших участков организма.
Диагностика
Отсутствие характерных признаков усложняет диагностику. При подозрении на наличие флеболитов, проводят такие методы обследования:
- УЗДС вен. Исследование дает возможность оценить анатомические особенности.
- Рентген. Снимок позволяет определить точную локализацию камней. Они имеют овальную форму, характерную концентрацию.
- КТ. Томография с контрастом позволяет четко увидеть расположение флеболита, его структуру, форму и размер.
- МРТ. Исследование мягких тканей проводят для точной диагностики окружающих мягких тканей, степень сосудистого поражения.

Флеболог дополнительно назначает биопсию конкрементов. Это необходимо для установления достоверного анализа.
Кто в группе риска
Много факторов могут повышать риск развития определенного заболевания. Ситуация осложняется отсутствием выраженной симптоматики. В основном обнаружить наличие камней удается случайно, при диагностике других заболеваний.
Риск столкнуться с заболеванием Флеболит повышается в таких случаях:
- варикозное расширение вен;
- заболевания мочеполовой системы;
- нарушения со стороны сердечно-сосудистой системы;
- вредные привычки;
- чрезмерные физические нагрузки;
- врожденные пороки;
- генетическая предрасположенность к сосудистым заболеваниям;
- пожилой возраст.

Снизить риск тяжелых осложнений поможет своевременное обследование. Каждому человеку рекомендуется проводить полноценную диагностику 1-2 раза в год. Это необходимо делать даже при отсутствии выраженных признаков патологического процесса.
Снизить риск образования кальцифицированных камней поможет правильное питание, здоровый и активный образ жизни.
Материал подготовлен специально для сайта venaprof.ru под редакцией клинического фармаколога
Неделько К.В.
Флеболиты и кальцинаты в малом тазу у мужчин и женщин: причины, симптомы, лечение и прогноз
При обызвествлении органов или вен малого таза возможно возникновение флеболитов и кальцинатов, представляющих собой разновидности камней из кальциевых солей.
Флеболиты формируются в просвете крупных венозных сосудов в результате кальцификации и уплотнения тромбов – пристеночных кровяных сгустков.
Кальцинаты в малом тазу у женщин возникают вследствие перенесенных травм или наличия в органах малого таза инфекционных очагов, которые организм пытается обезопасить и отграничить от здоровых тканей, помещая их в известковые капсулы.
Чем опасны венозные камни в малом тазу
Появление кальцификатов в малом тазу является защитной реакцией организма, протекает без выраженных клинических симптомов и не требует лечения. Венозные камни размером от 3 до 12 мм находятся в полости вены, не перекрывая ее просвета и не нарушая кровотока. Для сосудов малого таза, бедра, голени характерно образование множественных кальциевых уплотнений.
Флеболиты больших размеров, перекрывающие просвет вены более чем на 75%, существенно снижают скорость движения крови, уменьшают ее приток к различным анатомическим структурам. Это приводит к развитию гипоксии, накоплению продуктов обмена веществ. Закупорка сосудов камнями на 90 % способно полностью лишить клетки кислорода и вызвать некроз тканей.
Большие флеболиты или кальцинаты, способные нанести вред организму, диагностируются редко. Тем не менее, выявление известковых камешков в малом тазу является показанием к более тщательному обследованию для исключения других тяжелых патологий.
Причины образования кальциевых камней малого таза у мужчин и женщин
Учитывая то, что флеболиты – это пропитанные кальциевыми солями тромбы, их первопричиной считаются тромбозы, тромбофлебиты. Образование кровяных сгустков на внутренних стенках сосудов вызывают следующие факторы:
- нарушения системы гемостаза, которая отвечает за процесс свертывания крови;
- наличие инфекционных или воспалительных заболеваний органов или тканей малого таза, вызывающих разрушение сосудистых стенок и запуск факторов свертывающей системы;
- нарушение скорости кровотока;
- гиподинамия приводит к застойным явлениям;
- тяжелые физические нагрузки;
- прием гормональных контрацептивных препаратов, имеющих в составе эстроген;
- варикозная болезнь;
- период беременности;
- отсутствие регулярной половой жизни, аноргазмия;
- наследственная предрасположенность, врожденные отклонения от нормы развития венозных стенок.
Согласно статистическим данным флеболитиазу более подвержены женщины. У них чаще, чем у мужчин наблюдается варикозное заболевание вен. Застой крови в сосудах, потерявших свою нормальную форму и эластичность, образуются тромбы.
Изменение локализации матки во время беременности также увеличивает риск развития варикоза вен малого таза или усугубляет его течение. К тому же, будущие мамы в данный период склонны к ускоренной активности свертывающей системы.
У представителей мужского пола заболеваемость чаще обусловлена трудовой деятельностью (сидячая или тяжелая работа), а также наличием воспаления органов мочеполовой системы (простатит, цистит).
Клинические проявления
Зачастую венозные камни присутствуют в организме человека годами без каких-либо неприятных симптомов. Заподозрить их наличие можно при развитии у пациента заболеваний, способствующих образованию кальцификатов. Наиболее вероятная причина флеболитиаза – венозный застой крови. Данное состояние у женщин проявляется следующими признаками:
- постоянные ноющие боли внизу живота, пояснице, ногах;
- сосудистые звездочки на бедрах;
- обильные, длительные менструальные кровотечения, нарушение цикла;
- изменение консистенции, объема влагалищного секрета;
- отечность половых органов.
Симптомами кальцинатов малого таза у мужчин является:
- уменьшенное количество простатического секрета, сниженный объем спермы, консистенция ее становится более жидкой;
- если кальцинат перекрывает уретру, наблюдается нарушение процесса мочеиспускания;
- при прекращении выделения простатической жидкости страдает эректильная функция.
Несмотря на то что наличие флеболитов не сопровождается ярко выраженными симптомами, данная патология требует пристального внимания. При этом необходимо выявить и устранить причины, вызвавшие развитие кальцификатов.
Методы диагностики флеболитов и кальцинатов
Кальциевые камни органов или вен малого таза наиболее часто обнаруживаются случайно на рентген-снимках в виде мелких камнеобразных уплотнений. Для определения точной локализации, а также размера образований проводят магнитно-резонансную или компьютерную томографию, позволяющую оценить их особенности в различных проекциях.
Дополнительно назначают ультразвуковое (трансабдоминальное, трасвагинальное) исследование органов малого таза, которое позволяет оценить, влияют ли флеболиты на их функционирование. Детализировать особенности кальцификатов в малом тазу также помогает гистерография, доплерография.
При отсутствии вероятных факторов развития данной патологии, а также для исключения гиперкальциемии проводят исследование биохимических показателей крови, определяют уровень кальция.
Способы терапии
Учитывая то, что флеболиты не вредят здоровью, их наличие не требует назначения специальных терапевтических мероприятий. Лечение множественных флеболитов в малом тазу у мужчин и женщин нацелено на борьбу с заболеваниями, вызывающими их образование. Обычно пациентам рекомендуется принимать венотоники, кроверазжижающие препараты, а также откорректировать двигательный и пищевой режим.
Лечебная физкультура при флеболитиазе состоит из упражнений, направленных на устранение венозного застоя, укрепление сосудистых стенок. Диета для людей, имеющих в малом тазу флеболиты или кальцинаты, включает продукты, повышающие тонус венозных сосудов и разжижающие кровь. Нежелательно употреблять в пищу овощи, фрукты, ягоды богатые крахмалистыми веществами, а также сдобную выпечку, жареные, жирные, копченые и острые блюда.
Людям, подвергающимся высоким физическим нагрузкам, а также женщинам в период беременности необходимо носить утягивающее белье или бандажи, равномерно распределяющие давление на вены малого таза и нижних конечностей. При необходимости приема гормональных контрацептивов следует предварительно проверить состояние свертывающей системы и периодически контролировать гормональный фон.
Вероятность избавиться от флеболитов в малом тазу способами народной медицины имеется лишь на начальных стадиях развития камней. Продолжительность терапии занимает 2-3 года. Применяют травяные отвары, ванны, медовые компрессы, помогающие бороться с варикозом вен, тромбофлебитом, воспалительными процессами.
Как предотвратить флеболитиаз
Риск развития венозных камней возрастает при выявлении у пациентов склонности к тромбообразованию. Учитывая это, профилактика образования флеболитов и кальцинатов включает следующие мероприятия:
- повышение тонуса венозных сосудов;
- устранение застойных явлений;
- своевременное лечение заболеваний органов малого таза;
- нормализация вязкости крови;
- регулирование процессов метаболизма.
Необходимо уделять должное внимание занятиям спортом, особенно полезно плавание и езда на велосипеде.
При первых признаках варикозного расширения вен следует проконсультироваться с флебологом, пройти обследование. Прогноз при выявлении флеболитиаза благоприятный. Венозные камни небольших размеров не требуют лечения. Людям с данной патологией рекомендуется следить за состоянием свертывающей системы, а также контролировать вязкость крови, уровень кальция и гормонов.
Флеболиты в малом тазу у мужчин — Все про холестерин

Многие годы безуспешно боретесь с ХОЛЕСТЕРИНОМ?
Глава Института: «Вы будете поражены, насколько просто можно снизить холестерин просто принимая каждый день…
Читать далее »
Природа часто преподносит человеку самые разные загадки, среди которых и процесс камнеобразования. Мы давно привыкли к тому, что камни могут появиться в желчном пузыре или почках, но вот образование их в сосудах, которые заполнены постоянно движущейся кровью, кажется чем-то невозможным. Однако венозный (венный) камень – флеболит – такая же реальность, как и конкременты в других органах.
Флеболит представляет собой известковую структуру в просвете венозных сосудов. Эти образования сами по себе не представляют угрозы жизни и здоровью, не требуют лечения и выявляются случайно, при обследовании в связи с другой патологией.
НАШИ ЧИТАТЕЛИ РЕКОМЕНДУЮТ!
Для снижения холестерина наши читатели успешно используют Aterol. Видя, такую популярность этого средства мы решили предложить его и вашему вниманию.
Подробнее здесь…
Образованию камней в венах способствует застой венозной крови и снижение скорости кровотока, варикозная болезнь, тромбозы и тромбофлебиты. Особое значение имеют перенесенные тромбозы, когда кровяной сверток, фиксированный на стенке сосуда, не рассасывается, а пропитывается солями кальция (петрификация), уплотняется и превращается в камень.
Сформированные камни свободно лежат в просвете вены, не нарушая движение крови и не вызывая закупорку сосуда. Обычно размер их составляет около 3-5 мм, но возможно выявление флеболитов размером 10-12 мм в диаметре. Камни в венах могут быть множественными, достигая 200 и более, что особенно характерно для сосудов таза у женщин.
Внешне флеболиты напоминают гроздья винограда или одиночно расположенные округлые плотные структуры, а строение их может разниться в зависимости от размеров и особенностей формирования. Так, выделяют гомогенные и слоистые флеболиты.
Гомогенные венные камни образуются, если процессы склероза и отложения солей кальция происходят в тромбе последовательно и одновременно. Если эти процессы чередуются, то флеболит будет слоистым.
При крупных тромбах, которые поздно подверглись петрификации, внутренняя часть флеболита гомогенна, а снаружи соли кальция образуют подобие плотной капсулы.
Предрасполагающие факторы
Сегодня вопрос образования флеболитов не вызывает споров у специалистов. Венный камень – результат кальцификации тромба, а значит, и причины его возникновения сходны с таковыми при тромбозах.

Предрасполагающими факторами к появлению флеболитов считают:
- Варикозное расширение вен с замедлением кровотока, венозной регургитацией, склонностью к тромбозам;
- Тромбофлебиты и тромбозы, когда кровяные свертки становятся матрицей для отложения извести;
- Наследственность;
- Поднятия тяжестей и малоподвижный образ жизни;
- Роды.
Как видно, к формированию камней в венах приводят также причины, которые способствуют венозному застою и варикозу.
Наиболее частой локализацией флеболитов являются сосуды нижних конечностей, полости таза, селезенки, гораздо реже эти образования возникают в венах рук, легких, печени. Своеобразной находкой в сосудистых опухолях (гемангиомах) также могут стать флеболиты.
Признаки флеболитов разной локализации
Флеболиты не проявляются какими бы то ни было симптомами, а жалобы пациентов обычно связаны с той патологией, которая привела к образованию таких камней.
Так, варикозное расширение вен таза может вызывать хроническую тупую боль, тяжесть в области таза, у женщин возможны маточные кровотечения.
При варикозной болезни нижних конечностей среди симптомов будут преобладать отечность, тяжесть, боли в ногах.
Флеболиты в малом тазу диагностируются чаще всего, а среди пациентов – преимущественно женщины. Хронически тазовые боли или наступившая беременность заставляют идти к врачу и обследоваться, а пациентка в большинстве случаев даже не подозревает о возможности образования камней в венах.
Способствуют появлению флеболитов, помимо выше перечисленных факторов, прием гормональных препаратов, изменение формы и положения матки в малом тазу при беременности или крупных опухолях, частые роды, воспалительные гинекологические заболевания.
Склонность к варикозной болезни с образованием камней у женщин обусловлена и некоторыми анатомическими особенностями – множеством венозных сплетений в малом тазу, которые сообщаются между собой.

Проблемы с мочевыделительной системой, почечная колика, воспалительный процесс могут стать поводом для обследования у уролога, который, обнаружив на рентгенограмме подозрительные тени в проекции малого таза, должен будет определить, где именно находятся камни. Нередки случаи диагностических ошибок и повторных исследований для дифференциальной диагностики флеболитов и конкрементов в мочевыводящих путях.
Венные камни у мужчин встречаются несколько реже, нежели у представительниц слабого пола, но их расположение не отличается от такового у женщин – нижние конечности, малый таз, селезеночная вена.
В венозных сплетениях малого таза флеболиты у мужчин появляются по причине варикозной болезни, связанной с сидячим образом жизни, наследственной предрасположенностью, а также при хронических воспалительных процессах мочеполовой сферы (простатит, цистит).

Кратко о диагностике и лечении
Узнав в флеболитах, не стоит сразу же мчаться на их поиск, даже есть есть подтвержденный диагноз варикоза сосудов ног или таза. Эти образования не несут вреда, поэтому и не требуют специальных диагностических мер. Обычно флеболиты обнаруживают случайно и ограничиваются в диагнозе лишь констатацией факта их существования.
Среди врачей различных специальностей наиболее часто с флеболитами сталкиваются рентгенологи.
По данным некоторых авторов, на четверти всех рентгенограмм малого таза, сделанных по разным причинам, обнаруживаются тени флеболитов.
Кроме того, замечено, что чем старше человек, тем большее число камней может быть выявлено и тем они крупнее. Около 2/3 всех жителей земли после 50 лет имеют флеболиты той или иной локализации.

Флеболиты в области таза требуют дополнительных обследований, ведь нужно исключить наличие конкрементов в мочеточнике и других отделах мочевыделительного тракта. Для дифференциальной диагностики в таких случаях проводят рентгеноконтрастное исследование путей мочевыведения.
Множественные флеболиты могут быть обнаружены в сосудистых опухолях (гемангиомах) при рентгенографии, в венах ног путем ультразвукового или рентгеновского исследования.
Конечно, узнав о наличии у себя флеболитов, любой пациент заинтересуется вопросами лечения этого состояния. Поскольку венные камни и болезнью-то не являются, то и лечение им не требуется.
С другой стороны, стоит задуматься о профилактике и борьбе с варикозом, который представляет собой куда более важную проблему, поэтому лицам с флеболитами подойдут рекомендации относительно активного образа жизни, занятий физкультурой и т. д. По необходимости рассматривается вопрос о назначении венотоников, ношении компрессионного белья.
Шаг 2: после оплаты задайте свой вопрос в форму ниже ↓ Шаг 3: Вы можете дополнительно отблагодарить специалиста еще одним платежом на произвольную сумму ↑
Флеболиты в малом тазу: что это такое, причины, симптомы, лечение, прогноз
Из статьи вы узнаете, что такое флеболиты, причины патологи, клинические проявления, особенности лечения и профилактики, прогноз.

Общая информация
Флеболиты (венозные камни) – это патологические включения в венозных сосудах, кальцифицированные тромбы. По сути, бессимптомная патология. Диагностируется подобная находка случайно, при осмотре пациента по поводу другого заболевания. Но иногда тромбы, пропитавшиеся кальцием, становятся причиной нарушения кровотока, приводят к застойным явлениям, провоцируют осложнения, болевой синдром.
Встречаются в половине случаев в малом тазу, но могут располагаться повсеместно. С возрастом частота таких включений увеличивается, что объясняется инволютивными изменениями в системе свертываемости крови и структурной дегенерации сосудистой стенки. Чаще формируются флеболиты малого таза у женщин, в остальных случаях гендерных различий нет.
Причины
Первопричин флеболитиаза достаточно много, особого внимания заслуживают кальцинированные тромбы в малом тазу. Триггерами патологии являются:
- Физиологические или генетические особенности системы свертывания крови: антифосфолипидный синдром, наследственные тромбофилии, опасные для жизни без своевременного медицинского вмешательства.
- Воспалительные изменения в органах малого таза, особенно часто встречающиеся у женщин репродуктивного возраста: сальпингиты, сальпингоофориты, эндометриты, метроэндометриты, разрушающие сосудистую стенку, запускающие тромбообразование.
- Сосудистые аномалии: мальформации, гемангиомы, венолимфатические пороки развития с множеством конкрементов.
- Сидячий образ жизни (работа программистов, бухгалтеров, секретарей, водителей, кассиров) – препятствие венооттоку ног и органов малого таза, способствующее густоте крови.
- Длительно существующий варикоз нижних конечностей и таза.
- Беременность – триггер гиперкоагуляции.
- Прием оральных контрацептивов, когда эстроген запускает каскад аномального свертывания крови, тромбообразования в легких, головном мозге, печени.
- Отсутствие половой жизни и аноргазмия – причины венозного застоя, а возникновение кальцификатов – процесс развития внутрисосудистых тромбов на фоне замедления венозного кровотока и повреждения эндотелия.
- Тромбофлебиты и посттромбофлебитический синдром, когда минерализация тромбов становится результатом хронического воспаления венозной стенки, протекающего в условиях локальной гиперкоагуляции.
- Повышение давления внутри тазовой области: потуги при дефекации, сильном кашле, подъеме тяжестей, во время родов с повреждением эндотелия и развитием застоя.
- Болезни печени с портальной гипертензией, стазом в системе воротной вены, варикозной деформацией сосудов стенки желудка, формированием кальцифицированных тромбов.
- Доброкачественные и злокачественные новообразования.
- Травмы вен.
- Дефекты клапанного аппарата.
- Гиподинамия, пассивный образ жизни, лишний вес.
- Дивертикулез кишечника.
Патогенез
Механизм пропитывания тромбов кальцием до конца не ясен. Флеболиты – результат замедления локального кровотока, лимфооттока, сосудистой дилатации. Начало патологии – краевой внутрисосудистый тромбоз с дефектами эндотелия, нарушением коагуляции и фибринолиза. Затем, фиброзирование, минерализация в качестве естественного заживления.
Пассивное осаждение кристаллов кальция формирует ядро камней, вторичной кальцификации подвергаются волокна соединительной ткани. Каждый повтор патологического процесса провоцирует рост наслоений с оформлением флеболитов малого таза или венозных конкрементов. Объясняется флеболитиаз высокой концентрацией фосфатазы в тканях вокруг мочевого пузыря с отложением фермента на поверхности тромба.
Флеболиты имеют форму овала с диаметром вены и многослойной оболочкой. По химическому составу в камнях присутствует кальций, магний, железо, у которых высокая рентгеноконтрастность. Поэтому тени флеболитов – основа рентегенодиагностики заболевания.
Классификация

Общепринятой классификации флеболитов нет. Кальцифицированные тромбы различают по локализации, количеству, размерам, степени контакта с эндотелием. Есть конкременты:
- Тазовые и надтазовые: у мужчин парапростатические, перивезикальные, у женщин – перивагинальные. В других местах флеболиты встречаются значительно реже.
- Фиксированные и свободные, способные мигрировать в нижнюю полую вену, создавая риск эмболии.
- Единичные и множественные.
- Мелкие (1–5 мм), средние (от 5 до 10 мм), крупные (более 1 см).
- По химическому составу: рентгеноконтрастные или радиопрозрачные.
Симптомы патологии
Флеболиты практически бессимптомны. Немногие клинические симптомы проявляются по-разному в соответствии с зоной локализации. В области малого таза – симптомы гинекологических или урологических патологий:

- спонтанное появление сосудистой сетки на ягодицах, бёдрах;
- боль во время половой близости;
- дискомфорт внизу живота при долгом стоянии на ногах;
- нарушение месячных, обильные выделения.
Опаснее – развитие симптомов варикоза нижних конечностей, спровоцированного конкрементами в качестве препятствий регионарного кровотока:
- тяжесть в ногах, синдром хронической усталости;
- отеки;
- судороги икроножных мышц;
- болевой синдром;
- эстетический дискомфорт в виде набухших вен;
- синдром продромы с температурой, недомоганием – редко.
Но самым опасным считается бесплодие на фоне варикоза малого таза.
Осложнения
Врачи считают флеболиты безвредными для человека, за исключением случаев риска рецидива окклюзии. Варикоз, осложненный флеболитиазом, усиливает вероятность повторного тромбирования. Миграция конкрементов в воротную вену способна стать триггером ТЭЛА с летальным исходом.
Диагностика
Поскольку классических симптомов флеболиты не имеют, их диагностика основывается на методах инструментального обследования. Алгоритм включает:
- Сбор анамнеза, физикальный осмотр.
- ОАК, ОАМ, биохимия.
- Анализ на свертываемость плазмы, протромбиновый индекс. коагулограмма.
- Исследование глазного дна.
- Кровь на гормоны.
- УЗДГ вен, которое дает возможность оценить анатомические и гемодинамические особенности пораженных сегментов: флеболиты определяются как эхогенные овальные очаги с мерцающим артефактом.
- Рентгенография определяет флеболиты в проекции малого таза в виде округлых теней с множеством слоев. Важным диагностическим признаком является наличие радиопрозрачного центра (симптом «хвоста кометы»).
- Компьютерная томография с контрастом визуализирует внутрисосудистые кальцификаты с множественными пустотами, ответвлениями.
- МРТ мягких тканей визуализирует состояние близлежащих тканей, степень сосудистого поражения (феномен «пустоты потока»).
- Биопсия с гистологическим анализом конкрементов.
- Экскреторная урография.
- Сиалография – рентгеноконтрастное или радионуклидное исследования больших слюнных желез.
Чтобы не перепутать флеболиты с конкрементами почек, мочевого пузыря, яичников, простаты нужно ориентироваться на их отличительные признаки:
- после наполнения мочевого пузыря флеболиты не меняют положение;
- не связаны с контрастированием почек или мочеточников;
- близко расположены к лобку.
Особенности терапии
Активного лечения флеболиты в малом тазу и конкременты других локализаций не требуют. Терапевтическая коррекция необходима при проявлении симптоматики. Для этого в клинической флебологии применяются следующие методы:
- Склеротерапия – исключение из общего кровотока деформированных вен с ответвлениями и мальформациями, с которыми непосредственно контактируют флеболиты, путем введения в вену специального вещества-склерозанта, склеивающего стенки вен с последующим отмиранием и запустеванием. Используется классическая склеротерапия и прецизионная — под контролем средств визуализации.
- Эндоваскулярная лазерная коагуляция в качестве монотерапии или в сочетании со склерозированием вен, хирургическим вмешательством (при множестве камней).
- Флебэктомия в классическом варианте или после предоперационной склеротерапии для уменьшения риска неконтролируемого кровотечения.
- Селективное удаление флеболитов – извлечение конкрементов из открытого доступа под контролем УЗИ, микроскопа или пальпации. Методика облегчает симптоматику, но самостоятельно, как правило, не выполняется: только в сочетании с иными способами коррекции.

По сути, консервативная терапия – это коррекция симптомов, вызванных флеболитами в малом тазу или других регионах.
У женщин преобладает симптоматика гинекологических заболеваний, поэтому используется весь арсенал противовоспалительной, рассасывающей, антибактериальной терапии, которая коррелируется основной гинекологической патологией.
У мужчин преобладают урологические проблемы, поэтому лечение сосредоточено на уретритах, простатите разной этиологии, опухолевых процессах.
Консервативное лечение самих флеболитов предполагает прием следующих препаратов:
Чтобы уменьшить застойные явления в малом тазу рекомендуют индивидуальный комплекс ЛФК, использование контрастного душа. Необходима специальная диета с исключением «тяжелой» пищи, провоцирующей запоры, диспепсию и наполнением ежедневного меню свежими овощами, фруктами. Следует рассчитать и питьевой режим – не менее 1,5 л воды /сутки.
Если в нижней полой вене обнаружены патологические включения может потребоваться операция по имплантации кава-фильтра.
Кроме того, варикоз, спровоцированный флеболитами, предполагает использование компрессионного трикотажа или эластичных бинтов. Подбирается белье по размеру вместе с лечащим врачом. Это могут быть специальные чулки, носки, колготки.
Компрессионный трикотаж обладает высоким качеством, способен нормализовать давление в сосудах ног, венах малого таза. При его использовании кровь поступает в нижние отделы тела ровно и размеренно.
Плотность трикотажа определяется индивидуально.
Главное – отсутствие дискомфорта, поскольку носить такое белье пациенту предстоит в течение всего рабочего дня, во время больших физических нагрузок: подъем тяжестей, спортивные упражнения, беременность.
Прогноз и профилактика
Флеболиты – это своеобразное свидетельство развития незамеченного тромбоза в прошлом. Они чем-то напоминают легочный кальциноз при туберкулезной инфекции. Общее – длительность процесса. Много месяцев назад случился в организме пациента бессимптомный тромбоз.
Иммунные силы приложили усилия к тому, чтобы ограничить распространение патологического процесса, инкапсулировали тромб оболочкой из кальция, сохранив при этом просвет, а значит и проходимость вены.
Поэтому такие кальцинированные тромбы и не опасны, не нуждаются в особой терапии, имеют благоприятный прогноз.
Профилактика патологии зависит от стадии, на которой был обнаружен флеболит.
Если речь идет о самом начале минерализации тромбов, известна первопричина заболевания или провоцирующие факторы, то лечение начинают сразу и от конкрементов не остается следа.
При отсутствии точного знания триггера болезни больному предстоит длительное обследование перед назначением адекватной, то есть, эффективной терапии.
Пациентам с флеболитами нужно понимать, что их сосуды склонны к тромбозу. При обнаружении сгустков крови в малом тазу – тактика ведения пациента досконально известна и не несет угрозу жизни.
Но не стоит забывать о том, что около 2% минерализированных тромбов локализуются в головном мозге, например, а это уже опасно развитием инсульта.
Профилактикой кальцинирования тромбов считается правильное питание:
- не есть после 18-00;
- контролировать свой вес;
- отдавать предпочтение фруктам и овощам;
- исключить атерогенные продукты (жирную, сладкую пищу);
- пить достаточное количество воды;
- отказаться от вредных привычек;
- больше двигаться, ходить пешком;
- раз в год посещать врача (профосмотр или диспансеризация).
Главное – мотивация, а это сохранение качества жизни до глубокой старости, активное долголетие.
Последнее обновление: Декабрь 17, 2019
Флеболиты
Флеболиты – это патологические включения в венах, подвергшиеся кальцификации тромбы. Обычно возникают в области малого таза, реже могут обнаруживаться в других участках тела. Протекая бессимптомно, у большинства пациентов становятся случайной диагностической находкой, но в ряде случаев усиливают венозный застой, приводят к появлению болевого синдрома, провоцируют развитие осложнений. Образования выявляют методами инструментальной визуализации – с помощью обзорной рентгенографии, УЗДС, КТ и МРТ пораженных участков. Лечебная тактика предполагает выполнение склеротерапии, эндоваскулярной лазерной коагуляции, хирургической резекции.
Флеболиты (венозные камни) являются довольно распространенной проблемой.
В малом тазу они присутствуют у 38,9–48% людей в общей популяции, другие анатомические зоны (голова, шея, ротовая полость) вовлекаются лишь у 2% населения.
Заболеваемость увеличивается с возрастом: если у молодых пациентов частота патологии не превышает 50%, то после 70 лет она достигает 89%. Кальцинированные тромбы выявляются и у младенцев.
Распространенность патологии варьируется географически, причем самые высокие показатели наблюдаются в экономически развитых странах. Поражение вен малого таза чаще наблюдается у женщин, а для изменений в челюстно-лицевой области гендерных отличий не выявлено.

Флеболиты
Возникновение кальцификатов – процесс закономерного развития внутрисосудистых тромбов на фоне замедления венозного кровотока и эндотелиального повреждения. Среди наиболее распространенных причин, связанных с образованием флеболитов, отмечают следующие:
- Сосудистые аномалии. Во многих случаях кальцифицированные включения ассоциированы с врожденными сосудистыми мальформациями, гемангиомами, венолимфатическими пороками развития. Такие конкременты обычно имеют множественный характер.
- Варикозное расширение вен. Является значимой причиной флеболитов. Развитие патологии обусловлено перенапряжением, расширением и повреждением стенки сосуда, накоплением и организацией тромботических масс.
- Тромбофлебиты. Организация и минерализация пристеночного сгустка являются одним из исходов хронического воспаления венозной стенки, протекающего в условиях локальных коагуляционных расстройств. Флеболиты выявляют у большого числа пациентов с посттромбофлебитическим синдромом.
- Повышение внутритазового давления. Натуживание при запорах, сильном кашле, подъеме тяжестей, во время родов влечет за собой повышение тазово-абдоминального и венозного давления. При этом повреждается интима сосуда, наблюдается застой крови.
- Болезни печени. Флеболиты брюшной полости выявляются у пациентов с печеночной патологией, сопровождающейся портальной гипертензией. Стаз в системе воротной вены запускает варикозную трансформацию сосудов стенки желудка и брыжейки с петрификацией тромбов.
- Новообразования. У молодых людей возникновение флеболитов нередко связано с доброкачественными опухолями. Но есть и более серьезные причины – рак желудка и кишечника, гепатоцеллюлярная карцинома.
Из других факторов, способствующих возникновению венозных камней, описывают воспалительные заболевания окружающих структур, травмы, дефекты клапанного аппарата. Определенная роль в развитии тазовых конкрементов отводится диете с низким содержанием пищевых волокон, гиподинамии, дивертикулезу кишечника.
Флеболиты представляют собой кальцифицированные тромбы, механизм развития которых до конца не выяснен.
Предполагается роль замедления локальной гемодинамики, обусловленного изменением характеристик объема и потока крови, неравномерным распределением венозного давления, сосудистой дилатацией.
Процесс начинается с краевого внутрисосудистого тромбоза, опосредованного повреждением эндотелия, расстройством локальных механизмов коагуляции и фибринолиза.
Микротромбы проходят организацию (фиброзирование) и минерализацию (обызвествление), которые являются этапами естественного заживления.
Сначала путем пассивного осаждения кристаллов образуется ядро конкремента, затем вторичной кальцификации подвергаются концентрически расположенные волокна соединительной ткани. Повторение этого процесса вызывает эффект наслоения с ростом флеболита.
Образование внутрисосудистых камней малого таза объясняют повышенной концентрацией фосфатазы в тканях вокруг мочевого пузыря, что завершается отложением кальция на поверхности тромба.
Морфологически внутрисосудистые кальцинаты имеют округлую или овальную форму. Наибольшим диаметром они ориентируются по ходу вены.
Поверхность флеболита окрашена оттенками от белого до желто-коричневого, является многослойной органической оболочкой, внутри которой находится плотное минеральное «ядро».
Химический состав представлен кальцием, магнием, железом в форме карбонатов и фосфатов. Небольшие образования (диаметром до 4 мм) менее кальцифицированы, чем крупные, у которых рентгеноконтрастность повышена.
Общепринятой классификации флеболитов не существует. Конкременты можно систематизировать по локализации, степени прикрепления к стенке сосуда, количеству, размерам. Различают следующие виды минерализованных тромбов:
- Тазовые и надтазовые. У мужчин обычно поражаются парапростатические, перивезикальные вены, у женщин – перивагинальное сплетение. В брюшной полости и шейно-лицевой зоне внутрисосудистые камни встречаются значительно реже.
- Фиксированные и свободные. Чаще всего флеболиты прикрепляются к сосудистой стенке при организации и васкуляризации. Находящиеся в свободном состоянии конкременты могут мигрировать в нижнюю полую вену, создавая опасность эмболизации.
- Единичные и множественные. Чаще встречаются множественные камни, расположенные внутри варикозных расширений или врожденных мальформаций. Но случаи единичных образований без связи с сосудистыми аномалиями также описаны.
Исходя из размеров, камни могут быть мелкими (1–5 мм), среднего диаметра (от 5 до 10 мм), крупными (более 1 см). С учетом химического состава встречаются рентгеноконтрастные (наиболее часто) либо радиопрозрачные конкременты.
Большинство венозных кальцинатов протекает бессимптомно, являясь случайной находкой при прохождении пациентами рентгеновских или ультразвуковых исследований, назначенных по иному поводу.
В зависимости от размеров и локализации некоторые флеболиты становятся источником ряда неприятных явлений.
Но клиническая картина не имеет характерных особенностей, а потому петрифицированные включения могут имитировать симптоматику других заболеваний.
Поражение тазовых вен с варикозным расширением стенки и застоем крови сначала сопровождается чувством тяжести, дискомфортом в зоне мочевого пузыря и половых органов, усиливающимися при длительном сидении или стоянии.
Увеличение диаметра камней провоцирует боли соответствующей локализации, отдающие в живот, пояснично-крестцовую область, нижние конечности. Они часто схожи с таковыми при почечной колике.
У женщин могут наблюдаться расстройства менструального цикла.
Поражая область головы и шеи, минерализованные тромбы часто выявляются в тканях щеки, существенно реже вовлекаются губы.
Такие флеболиты становятся маркером венозных мальформаций, особенно с наличием артериального шунта, но могут встречаться и в зонах, ранее подвергшихся травмированию.
Большинство конкрементов клинически интактны, но некоторые способствуют появлению таких симптомов, как боль, отек или воспаление окружающих тканей. Сосудистые включения челюстно-лицевой зоны часто бывают овальными, множественными, переменных размеров.
Многими специалистами флеболиты считаются безвредными внутрисосудистыми образованиями. Однако распространены случаи, когда они ассоциируются с тромбозом, указывая на риск рецидива окклюзии.
Варикозное расширение венозной стенки, усугубляющееся при наличии камней, лишь усиливает вероятность повторного тромбирования.
Мигрирующие обызвествления, попавшие в воротную вену, способны стать источником легочной эмболизации с достаточно серьезными последствиями, вплоть до летального исхода.
Поскольку типичных клинических признаков флеболиты не имеют, определяющее значение в их диагностике отводится методам инструментальной визуализации венозной системы. При подозрении на внутрисосудистые включения информативны:
- УЗДС вен. Позволяет оценить анатомические особенности, гемодинамический профиль пораженных сегментов. Флеболиты определяются в виде округлых эхогенных очагов с задним акустическим затенением, мерцающим (цветным) артефактом.
- Рентгенография малого таза. На обзорных снимках рентгеноконтрастные флеболиты видны как овальные структуры с концентрическими кольцами («расслоениями»). Важными диагностическими признаками тазовых камней принято считать наличие радиопрозрачного центра, симптом «хвоста кометы».
- КТ пораженных зон. Компьютерная томография с контрастным усилением четко визуализирует внутрисосудистые петрификаты. Содержащие их венозные мальформации отличаются множественными пустотами, питающими и дренирующими ветвями.
- Магнитно-резонансная томография. МРТ мягких тканей дает точное представление о состоянии окружающих тканей и степени сосудистого поражения. Кальцинаты проявляются небольшими очагами низкой интенсивности (феномен «пустоты потока»).
Кроме визуальных исследований, помочь специалисту-флебологу в постановке окончательного диагноза способна биопсия с гистологическим анализом конкрементов (иммуногистохимией, рентгеновской микродифракцией).
Дифференцировать флеболиты приходится с камнями мочеточника, аппендиколитами, сиалолитами, в чем помогают экскреторная урография, сиалография.
Также следует исключать кальцифицированные атеросклеротические бляшки и лимфоузлы, милиарные кожные остеомы.
Поскольку основная масса конкрементов развивается бессимптомно, активного лечения они не требуют. Терапевтическая коррекция необходима в ситуациях, когда флеболиты проявляются клинически, становятся причиной гемодинамических расстройств, создают риск осложнений. Для решения этих проблем в клинической флебологии применяются следующие методы:
- Склеротерапия. Исключить из кровотока мальформации и варикозные расширения, с которыми связано большинство флеболитов, позволяет инъекционное введение в просвет сосудов жидких или пенообразных веществ-склерозантов. Для достижения полного и стабильного результата необходимо выполнить несколько процедур. Наиболее распространена прецизионная склеротерапия под контролем средств визуализации.
- Эндоваскулярная лазерная коагуляция. В устранении конкрементов подтверждена эффективность эндоваскулярной терапии лазерным излучением, проводимой через венозный катетер. Малоинвазивная перкутанная методика часто сочетается с инъекциями склерозанта, что обеспечивает более быстрый терапевтический ответ. При множественных камнях лазерную коагуляцию комбинируют с хирургическими техниками.
- Флебэктомия. Обычно показана при поражении поверхностных вен или объемных мальформациях в тазу. Для облегчения удаления измененных участков и снижения риска кровотечения выполняется после предоперационной склеротерапии.
- Селективное удаление флеболитов. В различных анатомических зонах конкременты извлекаются из открытого доступа под ультразвуковым, микроскопическим или мануальным контролем. Методика позволяет облегчить симптомы, но обычно выполняется в сочетании с другими вариантами лечебной коррекции.
Консервативная терапия может включать прием антикоагулянтов (низкомолекулярных гепаринов), нестероидных противовоспалительных средств. Для уменьшения застойных явлений в тазовой области рекомендуют упражнения лечебной физкультуры, восходящий контрастный душ. Наличие свободных включений в нижней полой вене требует имплантации кава-фильтра.
В большинстве случаев прогноз при внутрисосудистых кальцинатах благоприятный.
Учитывая бессимптомное течение, отсутствие значимых гемодинамических и коагуляционных нарушений, для многих пациентов флеболиты являются лишь рентгенологическим феноменом, не нуждающимся в лечении.
Но вероятность осложнений требует более внимательного отношения к проблеме с периодическим обследованием у врача, терапией сопутствующей патологии. Превентивное значение имеют борьба с гиподинамией, рациональная организация физической активности, здоровое питание.