Опубликовано: 22 июля 2016 в 07:49 
Геморрой – это сосудистое заболевание, возникающее из-за застоя крови в сосудах малого таза. Поэтому если у вас вылезла шишка, рано впадать в панику, нужно приступить к ее лечению.
Симптомы геморроя после родов

- жжение в области анального отверстия;
- боль при хождении в туалет;
- зуд заднего прохода;
- ощущение инородного предмета в области ануса;
- ощущения давления прямой кишки.
Как показывает медицинская практика, то это безобидные симптомы и при их проявлении нужно обратиться к доктору. В противном случае велика вероятность развития геморроидальных узлов, которое проявляется такими симптомами:
- кровотечение из заднего прохода;
- появление трещин в области ануса;
- острая боль во время посещения туалета.
Как правило, геморрой после родов протекает в острой форме. На такой вопрос, как, всегда ли после родов появляется геморрой, можно дать отрицательный ответ. Есть и такие женщины, которые не сталкиваются с этим заболеванием.
Может ли геморрой после родов пройти сам или нужно лечить?
Многие люди твердят, что лечить геморрой после родов не нужно, он пройдёт самостоятельно. Но на самом деле это миф, и само собой заболевание не пройдет. Медиками применяется две разновидности лечения: консервативная и оперативная. Первый тип лечения заключается в применении лекарственных препаратов, а другой тип в хирургическом вмешательстве. Хирургические операции необходимы, когда геморроидальные шишки достигают большого размера и не лечатся медикаментами.
Как правило, препаратов для лечения выделено немало, это могут быть:
Мази и свечи эффективны при первых стадиях болезни. Даже если у женщины небольшие узлы, они нуждаются в лечении. Также можно прибегнуть и к народной медицине в лечении (она является дополнительным направлением). Но нужно получить консультацию доктора перед использованием того или иного метода.
Если беременная вовремя не уделила внимания защите от данного заболевания, то необходимо обратиться к доктору для назначения лечения при первых симптомах болезни. Именно от его скорости и методов зависит, как быстро пройдет он.
Но если не принимать никаких терапевтических мер, то заболевание никогда не пройдет. Многих людей интересует такой вопрос: «Через сколько проходит геморрой после рождения ребенка?».
Ответ на него будет неоднозначным, длительность заболевания зависит от лечения. Если оно подобрано правильно, то на 2-3-и сутки его симптомы начнут отступать.
А примерно через неделю от болезни и не останется следа.
Однако известны и такие случаи, когда заболевание не проходило даже 2 года при постоянном лечении женщины. На самом деле нужно заниматься комплексным лечением, пересмотреть свой режим дня и рацион.
Но в большинстве случаев ответ на вопрос, сколько длится геморрой после родов, выглядит так – 7 дней при правильном лечении. Может ли заболевание пройти само? Нет, самостоятельно болезнь не пройдет, так только может показаться женщине, после того как отступят симптомы болезни.
Причины появления геморроя после родов

- сидячая работа;
- неправильное питание;
- наследственность.
- малоподвижный образ жизни.
Если после родов вылез геморроидальный узел, то, скорее всего, в процессе рождения ребенка была повреждена слизистая оболочка. Как показывает практика, то геморрой после вторых родов в большинстве случаев вылезает, если и при первых родах женщину мучила эта проблема.
Стоит отметить, что не всегда человек знает о развитии заболевания, оно ведь может протекать и бессимптомно. Как правило, люди начинают замечать его только, когда шишки вылезают наружу.
По мнению доктора Комаровского, геморрой после родов – это «нормальное» явление, которое легко поддается лечению, хоть и выглядит порой неизлечимо.
Методов лечения выделено несколько, но какие из них окажутся эффективными для конкретного случая, может решить только доктор.
На вопрос, почему после родов он остался или вновь себя проявил, врач отвечает однозначно – всему виной перестройка гормонального фона и процесс потуг во время рождения ребенка.
Профилактика разрывов и геморроя во время родов
Как известно, запор может стать причиной, по которой появляется геморрой. Поэтому для его предотвращения нужно соблюдать диету, богатую клетчаткой. Если у вас он вылез, то в рацион питания должны входить такие продукты:
- злаковые;
- чернослив;
- гречневая крупа;
- овсянка;
- кисломолочные продукты;
- ячневая каша и другие.
Этого рациона должна придерживаться даже женщина, которая не страдает от геморроя, так как эта еда никак не навредит малышу, а принесет только пользу. При этом воздержаться придется от следующих блюд:
- крепкий чай;
- соленые, копченые и жирные блюда;
- шоколад;
- продукты, обогащенные животными жирами;
- мучное;
- пряности;
- белый хлеб;
- кофе;
- слизистые супы.
Для предотвращения появления болезни после родов придерживаться правильного питания будет недостаточно. Способы предотвращения заболевания заключаются в следующем:
- занятие физкультурой;
- прогулки на свежем воздухе;
- занятие плаванием;
- ежедневное подмывание теплой водой с мылом;
- отказ от туалетной бумаги, лучше заменить ее влажными салфетками;
- отказ от стягивающего белья.
Стоит отметить, что профилактика будет безрезультативной после родов, заниматься этим нужно задолго до зачатия. Как избежать геморроя, будет описано ниже.
Первое с чего нужно начать – это нормализовать свой стул, то есть правильно питаться. Опорожняться кишечник должен каждый день.
Для этого нужно каждое утро выпивать стакан теплой воды, а на протяжении дня употреблять продукты, которые обладают слабительным эффектом. Это могут бут:
- кефир;
- овощи;
- йогурт;
- фрукты.
Вообще на протяжении дня нужно пить как можно больше жидкости. Бывает и такое, что появляется геморрой через месяц после родов, если женщина не соблюдает рекомендации, описанные выше.
Упражнения при геморрое после родов

Одними из простых и эффективных являются занятия по методике Кегля, которые заключаются в сжатии и расслаблении мышц анального отверстия. Сначала нужно втянуть мышцу в себя, а спустя десять секунд расслабиться.
Для улучшения состояния нужно как можно больше двигаться. Если во время родов вылез геморрой, то нужно выполнять такие простые задания:
- Лечь на спину. Приподнять таз и остаться в таком положении несколько секунд. Опуститься. Отдохнуть. Выполнить 10-20 подходов.
- Стоя на четвереньках выгибать и сгибать спину (кошечка). Сделать 30-40 подходов.
- Лечь на спину, выполнить «Ножницы». Выполнить 20-30 подходов.
Важно! Нагрузки нужно постепенно увеличивать, с каждым днем прибавлять по 4-5 подходов.
Стоит запомнить, если у вас после родов появился геморрой, то визит к доктору затягивать не стоит, так как заболевание само не исчезает.
Многих интересует вопрос: «Через сколько проходит геморрой после родов?». Ответ на него был сформулирован выше, но не стоит забывать и об индивидуальных особенностях организма.
Точнее на этот вопрос сможет ответить доктор, наблюдающий за состоянием больного.
Через сколько проходит геморрой после родов?
Беременность и роды часто провоцируют у молодых мам обострение хронических заболеваний. Некоторые болезни могут быть прямым следствием «интересного положения» и родоразрешения.
Наиболее частой из них является геморрой. Он может развиться из-за давления плода на вены таза, из-за сложных родов или эпизиотомии, а также после запоров, часто мучающих женщин во время беременности. Именно поэтому многих молодых мам волнует вопрос, через сколько дней проходит геморрой после родов.
Симптомы послеродового геморроя
Симптоматика заболевания стандартна, какими бы причинами оно ни вызывалось. Обычно молодые мамочки жалуются на:
- Ощущение тяжести в прямой кишке, часто оно локализуется в области заднего прохода;
- Зуд и жжение в анальном отверстии;
- Свежая (алая) кровь в стуле;
- Боль и другие неприятные ощущения во время дефекации;
- Отёки в области заднего прохода;
- Дискомфорт и боль при длительном сидении.
Как лечат геморрой после родов, через сколько пройдет при правильной терапии
Самостоятельно заниматься лечением геморроя не стоит, назначать необходимые препараты и процедуры должен доктор проктолог. Чаще всего врачи выбирают средства в виде свечей, или кремов и мазей.
Они действуют местно и помогают уменьшить боль и отёк. При необходимости могут использоваться системные препараты, разрешённые при лактации, с противовоспалительным действием, а также укрепляющие сосудистые стенки.
Для нормализации стула применяют безопасные слабительные.
Одним из залогов успешного лечения геморроя является правильное питание.
Чтобы обеспечить нормальную перистальтику кишечника, необходимо употреблять блюда, богатые клетчаткой, каши, натуральные растительные масла и кисломолочную продукцию. Важно включить в рацион больше овощей, фруктов, а также сухофруктов и привести в порядок водный баланс.

При геморрое противопоказаны острые специи, так как они могут усиливать дискомфорт.
При этом заболевании очень важна интимная гигиена. После каждого акта дефекации область ануса необходимо обмывать. Можно делать это при помощи отваров лекарственных трав. Вместо обычной туалетной бумаги лучше использовать специальные салфетки с гамамелисом. Также необходимо носить воздухопроницаемое бельё. Отлично подойдут специальные послеродовые трусики.
При адекватном лечении уже на вторые-третьи сутки симптомы геморроя начинают уходить. Около недели потребуется, чтобы узлы пропали. На их месте можно будет обнаружить небольшие кожистые образования, напоминающие мешочки.
Если медикаментозная терапия не помогает, необходимо делать операцию, но и она не даёт стопроцентной гарантии излечения.
Сколько проходит геморрой после родов без лечения
Сам по себе геморрой никуда не пропадает. Иногда будущим мамам кажется, что они ничего не делали для лечения, но симптомы пропали. Действительно, после родов давление на вены пропадает, и геморрой может исчезнуть. Также часто после родов пропадают запоры, что также становится фактором, ускоряющим выздоровление.
А ещё многие женщины в период лактации начинают больше следить за своим питанием, вести более активный образ жизни, что также позитивно сказывается на состоянии здоровья. Именно поэтому говорить, что геморрой прошёл без лечения, не стоит. Просто в данной ситуации терапия была неосознанной.
Какие ещё проблемы могут беспокоить молодую маму после родов?
Геморрой — далеко не единственная неприятность, которая может доставлять дискомфорт молодой маме. Они омрачают радость материнства и отвлекают от забот о малыше. Поэтому женщинам так важно знать ответы на все волнующие их вопросы:
- Через сколько дней проходят выделения после родов? Обычно это случается через 6 недель. Но индивидуальные сроки могут сильно отличаться. На то, через сколько дней после родов проходит кровотечение, влияет состояние здоровья женщины, тяжесть родов и осложнения.
- Через сколько после родов проходят отеки? Это зависит от их причин. Обычно за неделю-вторую всё приходит в норму.
- Через сколько проходит полоска после родов? Зависит от баланса гормонов в организме. Как только он полностью вернётся добеременное состояние, нормализуется и выработка меланина. А именно от уровня меланина зависит, через сколько после родов проходит полоса и через сколько проходит пигментация после родов.
- Через сколько проходит боль после родов. Она уйдёт, как только заживут все повреждения — шрамы, растяжения и т.д. Зависит это от особенностей организма и наличия осложнений.
- Через сколько проходит гестоз после родов. Это зависит от тяжести заболевания и выбранных методов лечения. В большинстве случаев он проходит бесследно сразу после родоразрешения.
А ещё очень важно любые вопросы, даже самые простые, например, через сколько проходит кровь после родов, задавать врачу.
Поиск в сети интернет даёт много полезной информации, но очной консультации с доктором заменить не в силах.
Геморрой после родов: 4 основных метода лечения + полезные советы
Еще на этапе вынашивания ребенка появляются предпосылки для образования геморроидальных шишек. На фоне роста прогестерона – гормона беременности – понижается эластичность сосудистой стенки, кровоток замедляется. Кроме того, увеличивается вес будущей мамы и объем циркулирующей крови. Эти причины провоцируют начало болезни в последнем триместре.
Врачи выделяют следующие факторы, играющие существенную роль в развитии патологии:
- рацион с низким содержанием клетчатки;
- преобладание в питание крахмалистой и углеводной пищи;
- избыточная масса тела беременной;
- склонность к запорам;
- гормональные дисфункции с гиперсекрецией пролактина;
- малоподвижный, преимущественно сидячий образ жизни.
Когда начинается потужной период, резко возрастает давление в малом тазу. Сосуды прямой кишки сдавливаются, венозная кровь перестает оттекать. Именно в этот момент геморрой появляется или происходит нарастание размеров шишек, ухудшение течения.

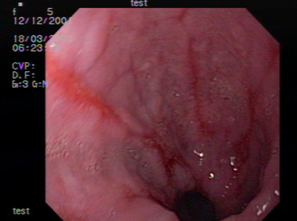
В зависимости от локализации шишки бывают внутренние и наружные. Наиболее тяжелый считается внутренний геморрой в послеродовом периоде. Заживает от одного до нескольких месяцев после родов. Дает такие осложнения, как присоединение инфекции, формирование свища. Акт дефекации у рожениц сопровождается резкой, сильной болью, которая может длиться еще несколько часов после опорожнения кишечника.
Внешний геморрой, который обнаруживается сразу после родов, протекает менее болезненно. Женщине доставляют хлопоты шишки и кровотечение, постоянные позывы.
Для обеих разновидностей болезни характерны типичные признаки у родивших женщин:
- жжение, неприятные ощущения в перианальной области;
- болезненность, появляющаяся с началом дефекации;
- кровянистые выделения от нескольких капель до 10 мл;
- выпадение геморроидальных узлов – размеры от 5 мм до 3 см;
- постоянное желание опорожнить кишечник;
- наличие признаков местного воспаления: покраснения, отечности;
- локальные трещины длиной от 2 мм до 2 см.
Особенности консервативного лечения
Период после родов особенный: женщина начинает кормить кроху молозивом и молоком. Элементы лекарств до 90 % случаев попадают в грудное молоко, что может быть небезопасно для новорожденного. Терапию подбирает врач индивидуально, учитывая тяжесть, осложнения, особенности состояния роженицы.
Основной акцент в лечении делается на нормализацию питания. Правильно составленный рацион полезен для выздоровления и роста младенца. Из лекарственных препаратов подбирают местные средства:
- мази;
- кремы;
- гели;
- свечи;
- растворы для сидячих ванночек.
Дополнительно роженице рекомендуют прогулки, ЛФК, комплекс упражнений на укрепление мышц тазового дна, пресса.
Мази

Не все мази разрешены к использованию в период кормления малыша грудью. К безопасным и наименее вредным относятся:
- «Релиф Адванс». В составе бензокаин и вытяжка из акульей печени. Снимает воспаление, ускоряет регенерацию. Мажут не чаще 3–4 раз в день.
- «Мазь Вишневского». Содержит ксероформ, деготь, касторовое масло. Кроме противовоспалительного эффекта, помогает справиться с грибками, бактериями.
- «Постеризан». Применяют в терапии наружных и внутренних узлов. Быстро устраняет боль, зуд, жжение.
«Троксевазин» содержит троксерутин, положительно воздействующий на тонус стенок, снижающий сосудистую проницаемость. Оказывает противовоспалительный и противотромботический эффект. На фоне применения шишки малых и средних размеров рассасываются. Терапия длится 2 недели. Наносят тонким слоем после опорожнения кишечника.
«Гепариновая мазь» устраняет воспалительные и отечные проявления. Основной механизм – разжижение крови, укрепление геморроидальных сосудов, предотвращение тромбообразования. Наносится 2–3 раза тонким слоем. Место нанесения промывают заранее. Продолжительность терапии – до 2 недель.
«Безорнил» – комплексный препарат с природными и синтетическими компонентами. Содержит борнеол, каламин, а также мускус, янтарь, жемчуг. Имеет анестезирующий, противовоспалительный и кровоостанавливающий эффект.
Свечи
В лечении геморроя традиционно назначают свечи. Они максимально быстро оказывают лечебное воздействие. Наиболее эффективные и безопасные для рожениц являются следующие препараты:
- «Постеризан»;
- облепиховое масло в форме суппозиториев;
- «Прополис ДН»;
- «Натальсид»;
- «Нео-Анузол»;
- «Анестезол»;
- «Прокто-Гливенол».
Выбрать правильный препарат поможет доктор. При назначении учитывается выраженность болезненности и местных признаков воспаления. Врач обращает внимание на кровотечение, присоединение инфекции.
Свечи «Релиф» снимают болезненность, улучшают кровоток и стимулируют скорейшее заживление. Устраняют воспалительные проявления, способствуют быстрому рассасыванию содержимого узлов. Не противопоказаны при грудном вскармливании. Активные компоненты: экстракт акульей печенки, фенилэрин. Вводят в прямую кишку после каждого акта дефекации.
«Гепатромбин Г» имеет три составляющих: гепарин рассасывает геморроидальные шишки и тромбы внутри них, преднизолон останавливает воспаление и устраняет отеки, полидоканол оказывает анестезирующий эффект. Назначают на 7 дней. Кратность установки – 1–2 раза в сутки.
«Натальсид» – один из самых безопасных средств для б
еременных. Быстро заживляет шишки, трещинки, устраняет болевые и воспалительные симптомы. Свечи вводятся 2 раза в сутки.
Облепиховые свечи сделаны на основе природного, обладающего высокой регенеративной способностью масла ягод облепихи. Терапия длится до 4 недель. Преимущества свечей: безопасность, быстрое заживление, нормализация свертываемости. За сутки ставят до 4 свечей.
«Прокто-Гливенол» разрешен при лактации. Основной компонент – трибенозид. Уменьшает местное воспаление, снимает отечность. Благодаря лидокаину в составе быстро купирует болезненность.
«Ихтиоловые свечи» дезинфицируют и обезболивают. Используются в комплексной терапии с мазями при выраженных воспалительных проявлениях. Кратность установки – 2 раза в сутки (утром и вечером).
«Гепазолон» – действенный местный препарат. Используется, даже если уже образовались тромбы. Является комбинированным, содержит гепарин, преднизолон и анестетик лидокаин. Лечение длится от 1 до 2 недель.
Рецепты народной медицины

В домашних условиях можно приготовить:
- Медовые свечи. Мед заливают в формочку от свечи и оставляют в морозилке до замерзания.
- Картофельные свечи. Из очищенного картофеля выстругивают свечу длиной 4–5 см и диаметром 0,4–0,5 см.
- Холодные компрессы. Лед из морозилки оборачивают полиэтиленом, сверху – пару слоев хлопковой ткани. Накладывают на болезненное место на 1–2 минуты.
- Ванночки с марганцовкой. Марганец разводят в 3–5 л воды до слабо-розовой окраски.
- Ледяные свечи из травяных настоев. Охлажденные отвары целебных растений (ромашки, дуба) наливают в форму. Убирают в морозилку.
Прежде чем применять народные средства, следует проконсультироваться с врачом. Есть ряд противопоказаний:
- повышенная индивидуальная чувствительность;
- геморрой с осложнениями;
- ранний послеродовый период;
- ущемления и тромбозы;
- выраженное кровотечение.
Отвары и настои для внутреннего применения не применяют при лактации. Алкалоиды, сапонины, гликозиды могут попадать в кровь и в грудное молоко. Для младенца это опасно.
Малоинвазивные методики
Для лечения рожениц на ранних стадиях назначают малоинвазивные техники. Они показаны при отсутствии осложнений. Способствуют более быстрому выздоровлению, чем при обычном консервативном подходе.
Какие малоинвазивные методы применяют:
- Коагуляция инфракрасная. Безопасный способ для кормящей мамы. На ножку шишки действуют инфракрасным излучением через коагулятор. Процесс длится 5–10 минут. За одну процедуру прижигают один узел. Не проводят при локализации шишки возле зубчатой линии.
- Радиоволновая методика. Не имеет противопоказаний для кормящих мам. Для иссечения шишек применяют радио-нож. Расширенные вены удаляют аппаратом Сургитрона. Риск кровотечений и рубцеваний равняется нулю.
- Лазерное иссечение. Проводится под местной анестезией. Вмешательство длится до 10 минут. После процедуры пациента выписывают через пару часов.
- Склеротерапия. Для склерозирования ножки применяют химический склерозант. На начальных стадиях дает положительный результат в 90% случаев. При второй степени эффект в 60% случаев.
- Легирование – утягивание резинкой ножки узла до полного усыхания. Проводят латексными кольцами на I–III стадии недуга. За один сеанс лигируют одну ножку. Повторные процедуры проводят через две недели.
Малоинвазивные методики имеют противопоказания к проведению: ущемление, тромбоз, тяжелая стадия, неспецифический колит, проктиты и парапроктиты.
Хирургическое лечение проводят при неэффективной консервативной терапии. Как правило, это тяжелые крайние случаи, так как операция негативно влияет на лактацию.
Показания к классической геморроидэктомии:
- непрекращающиеся массивные кровотечения из узлов;
- IV стадия недуга;
- ухудшение в виде увеличения размеров шишек;
- резкий некупирующийся болевой синдром;
- выраженное инфицирование и локальное воспаление;
- нарастающая анемия;
- выпадение вен при каждом опорожнении.
Во время вмешательства прошивают ножку узла, удаляют наружные и внутренние шишки.
На момент оперативного лечения младенца на 2 недели переводят на искусственные смеси. Препараты для наркоза вызывают осложнения у грудничков.
Диета и здоровый образ жизни

Правильное питание – это то, чего следует обязательно придерживаться при терапии. Диету назначают с повышенным содержанием свежих овощей и фруктов. Но учитывают, что женщина кормит младенца.
Что включают в меню:
- каши: овсяную, гречневую, пшенную;
- салаты из моркови, отварной свеклы, с добавлением масел (оливкового, льняного);
- запеченные фрукты и овощи: тыкву, яблоки, айву;
- нежирные мясные и овощные супы;
- мясо диетических видов: крольчатину, индюшатину, телятину;
- кисломолочные продукты;
- напитки: компоты, морковно-яблочный сок, зеленый чай, негазированная минералка;
- клетчатку изо льна, овса, амаранта для добавления в первые и вторые блюда.
Нельзя есть капусту, редис, редьку. Эти овощи содержат грубую клетчатку, способны вызвать чрезмерное газообразование и привести к ухудшениям. Из рациона исключают:
- цитрусовые фрукты;
- кондитерку и выпечку из белой муки;
- острые и соленые продукты;
- копчености и сладости;
- газированные напитки, кофе;
- шоколадные изделия и высококалорийные десерты.
Следует отказаться от таких вредных привычек, как курение, алкоголь, кофе.
Немаловажное значение имеют прогулки. Пациентам рекомендуют гимнастику Кегеля. Занятия проводят регулярно 1–2 раза в день по 10 минут.
Комплекс упражнений:
- Кошка. Стоя в коленно-локтевой позе прогибают спину, как кошка.
- Ножницы. Приподнимают нижние конечности под углом 45°. Разводят и сводят.
- Березка. Приподнимают таз и туловище в вертикальное положение. Удерживают, насколько возможно.
Родившей женщине противопоказано заниматься самолечением геморроя. Из-за неправильной терапии возникают следующие осложнения:
- инфицирование, переходящее в парапроктиты;
- образование трещин и свищей;
- гнойные воспаления;
- значительные хронические кровопотери;
- резистентная анемия.
Кроме того, при самолечении есть высокий риск навредить малышу. Фармакологические элементы и инфекция попадает в кровь, а оттуда в грудное молоко.
Профилактические мероприятия помогают предупредить развитие патологии. В период беременности придерживаются следующих рекомендаций:
- длительные пешие прогулки от 1 до 2 часов;
- соблюдение основ интимной гигиены;
- терапия запоров и закреплений стула;
- лечение трещин;
- правильный рацион со свежими овощами и зеленью, фруктами и ягодами;
- питье воды, компотов, чтобы общий объем жидкости был не менее 1,5 л в сутки;
- отказ от черного чая и кофейных напитков.
Лечение геморроя проводится комплексно. Кормящие мамы придерживаются здорового питания, местно применяют мази и свечи, которые подбирает лечащий доктор. Чтобы полностью избавиться от недуга, избежать тромбоза, ущемлений, кровотечений, к врачу обращаются при первых же симптомах болезни.
Геморрой после родов: как долго проходит, что делать, как лечить
Даже когда беременность протекает нормально, будущие матери активно жалуются на воспалившиеся геморроидальные узлы после родов.
Эта болезнь ошибочно считается приобретенной, как результат потуг. Основные симптомы, как правило, начинают развиваться уже в середине срока.
При этом недуг доставляет хлопоты и неприятные ощущения, которые могут сохраняться даже долгое время после беременности.
Попробуем разобраться, через сколько проходит геморрой и как стоит его лечить в идеале.
Симптомы
Ухудшение состояния, как правило, начинается ещё в больнице. Тонус организма в этот период снижен и перистальтика прямой кишки (её работа, движение пищи в ней) осуществляется намного слабее. В кишечнике скапливается большое количество каловых масс и вы чувствуете себя плохо.
Первые симптомы:
- Тяжесть в области анального отверстия.
- Дискомфорт, жжение, зуд.
- Ощущение постороннего тела в заднем проходе.
- Ужасная боль при испражнении.
- Кровь при дефекации.
Почему возникает проблема
Данное заболевание развивается при переполнении кровью вен около заднего прохода.

Наиболее часто интересует вопрос, пройдет ли геморрой после родов? Если будущая мама обнаружила такую проблему, необходимо прежде всего уточнить причину. Выделяют следующие:
- Неблагоприятное влияние растущей матки. Со второго триместра этот орган существенно увеличивается по весу и размеру. При этом соседние органы, стенки малого таза, сосуды находятся под постоянным давлением.
- Запоры. Задержка стула у беременных связана с изменением гормонального фона, а также работы кишечника или других органов. Смена питания или предпочтений в еде, снижение активности служат дополнительными провокаторами нарушения.
- Неправильное питание. Порой женщина, узнав о своем положении, начинает позволять себе то, что не ела раньше. Качество питания незаслуженно уходит на второй план, что приводит к нарушению перистальтики и запорам.
- После родов геморрой с кровью часто появляется из-за того, что у девушки была предрасположенность. Если от рождения венозная стенка слабая, то, скорее всего, проблема проявит себя в этот период.
- Малоподвижный образ жизни.
- Стремительный набор веса (от 5 до 20 кг) во время вынашивания малыша.
Разобравшись с побудителями, надо понять, что делать, если вы обнаружили симптоматику. Какое решение принять?
Нужно ли волноваться
Молодых мам волнует, может ли геморрой пройти сам после родов? В положении часто зарождается сомнение: лечить или нет? Пугает любое влияние на организм, даже если это касается здоровья. Безусловно, есть отклонения, которые исчезают самостоятельно, но, скорее всего, конкретно этот недуг останется, если своевременно не принять меры.
Данное заболевание имеет разные стадии, и каждая из них доставляют ряд своих неприятностей, ухудшая самочувствие:
- Первая обладает циклическим характером, когда обострение приходит во время опорожнения кишечника, потом постепенно уменьшается. Сопровождается выделениями без гноя. При обследовании узелки можно прощупать. Слизистая покрасневшая, воспалённая и чувствительная. Хотя, выпадания не происходит.
- На второй добавляются боли в спине, зуд и выделения.
- Третья усиливает болевые ощущения в заднем проходе, узлы выпадают, но ещё возможно ручное вправление.
- Самой опасной является четвёртая. Узелки увеличиваются в размерах, выпадают и появляется необходимость оперативного вмешательства.
Акушеры и проктологи утверждают, что эта болезнь усугубляется во время потуг.
Учитывая возможность ухудшения, вывод может быть только один не лечиться, оставляя ситуацию без решения — опасное заблуждение. Не нужно дотягивать до того момента, когда медикаментозное решение будет неактуально. При своевременном обращении врачи могут подобрать методы, показанные для «особого положения», подразумевающие использование мазей, гелей и свечей.
Прочтите также Что делать, если опустилась или выпадает матка после родов

Забросив ситуацию, появляются шишки большого размера. Провоцируется воспаление и отмирание тканей. При таких обстоятельствах возрастает риск инфекций, которые опасны как для матери, так и для ребенка. Опасным последствием бывает малокровие или анемия, которые вызывают постоянные кровотечения.
Часть лекарств при беременности запрещены, имеют противопоказания и начинать их прием без одобрения доктора запрещено. Предупредить развитие или предотвратить прогрессию, можно и самостоятельно, влияя на то, как быстро случится выздоровление.
Лечение
Навсегда нарост убрать можно только у проктолога, который поможет подобрать необходимые препараты. Не доверяйте слепо рекламе, если кормите грудью, некоторые средства могут быть вредны.
Даже если вы знаете хорошее средство, которое помогало вам или членам семьи раньше, записаться на консультацию всё равно стоит.
Лечение должно начаться как можно быстрее, потому что при данном недуге после родов женщина испытывает большое психологическое напряжение.
Это может повлиять на выработку молока, ускорить развитие депрессии и серьёзно испортить отношения с мужем в это и так нелёгкое время.
К тому же восстановление в подобной ситуации проходит медленнее, вы не можете жить полноценной жизнью и рискуете подхватить ещё несколько болезней во время того, как иммунитет ослаблен.
Ещё одна проблема, с которой сталкивается девушка, решившая отложить лечение после рождения ребёнка на потом, — анемия. Постоянные кровотечения снижают уровень железа в крови. Вы бледнеете, слабеете, железа не хватает в грудном молоке, и малыш начинает болеть, плохо ест и спит. В конце пропадает молоко.

К выбору медикаментов нужно подходить с особой осторожностью, так как даже мазь впитывается в кровь и может изменить состав молока.
Медикаменты с сильным действием чаще всего содержат гормоны и они абсолютно запрещены для кормящих.
Лучше, чтобы препарат назначал врач. Чаще всего доктора отдают предпочтение лекарствам на основе трав или натуральных компонентов без добавления химии (или с минимальным её количеством). Они чуть уступают другим в эффективности, но не вредят ребёнку.
Мази
Разберём, что делать при обострении данного недуга более конкретно. Мази отвечать следующим требованиям:
- Снимать боль.
- Уменьшать воспаление.
- Убирать зуд и раздражение.
- Не допускать кровотечения.
- Укреплять венозные стенки.
- Не влиять на молоко.
К счастью, в современном мире фармацевтические компании выпускают много продукции, которая соответствует всем вышеперечисленным требованиям и хорошо справляется с проблемой. Вот самые популярные из них:
- Троксевазин — бывает в форме мази и крема – хорош, если вы не знаете, чем лечить наружный геморрой после родов. Укрепляет вены и мелкие кровеносные сосуды, снимает боль и уменьшает дискомфорт. Имеет минимальное количество противопоказаний и побочных эффектов. Подходит практически всем.
- Бепантен при геморрое — хорошее средство, которое обладает охлаждающим и успокаивающим эффектом и подходит для кормящих. Но это больше антибактериальное лекарство, которое хотя и снимет воспаление и уменьшит шишки, но не так эффективно, как крема, разработанные специально для тех, у кого сильно развилось заболевание.
- Гепариновая. В основе натуральный компонент гепарин. Препарат обладает противовоспалительным и рассасывающим действием. Укрепляет стенки вен и борется с образованием тромбов.
- Безорнил – мазь с искусственным мускусом. Имеет обезболивающее, регенерирующее, противоотёчное, вяжущее действие. Снимает боль и дискомфорт, эффективно уменьшает шишки.
- Флеменга – средство для поклонников гомеопатической медицины. Врач в обычной больнице вряд ли пропишет вам его, да и в обычной аптеке сложно найти. Действует как антисептик и борется с воспалением. Очень мягкое лекарство, способствует регенерации тканей и применяется для лечения наружных шишек. Кроме этого, подсушивает кожу.
- Вишневского — классика, в состав которого входит берёзовый дёготь, антисептик и касторовое масло. Продуктивность высокая, побочных эффектов практически никаких. Только учитывайте, что крем образует заживляющую жировую плёнку и при его использовании лучше подкладывать на бельё ежедневную прокладку без отдушек, чтобы жирное пятно не перешло на одежду.
- Ихтиоловая также проверена временем, хорошо заживляет трещины.
Прочтите также Сбой цикла после родов: пришли месячные и пропали

Помните, что если какое-то лекарство вызывает повышение зуда и дискомфорт, скажите об этом проктологу и подберите другой препарат. Можно комбинировать несколько кремов или совмещать крем и свечи.
Свечи
Это второй способ как вылечить геморрой после родов в домашних условиях. Хорошие и безопасные:
- С маслом облепихи — самый популярный вариант, способствует регенерации, устраняет жжение и зуд. Хорошо подходят для уменьшения внутренних шишек, залечивают трещины и язвы. Имеют минимум противопоказаний и практически не содержит химии.
- Постеризан – улучшают слизистую прямой кишки, так как имеет в составе инактивированные кишечные палочки, укрепляют местный иммунитет.
- Прокто-Гливенол — с лидокаином и трибенозидом, оказывают местную анастезию, снимает зуд и воспаление. Хороши для лечения внутренних наростов. Улучшают кровоток.
- С календулой. Календула известна как заживляющее средство, поэтому такие свечи используют для заживления ран и микротрещин внутри.
Такие препараты как Анузол и свечи с красавкой противопоказаны для лечения кормящим, так как имеют в составе экстракт белладонны. Использование этих лекарств может очень сильно повредить здоровью маленького.
Профилактика
Кроме медикаментозного вмешательства проктолог расскажет о важных моментах, которые будет необходимо соблюдать для скорейшего выздоровления:
- Разобраться с возникшими запорами. Ведь это одна из причин развития более серьезной болезни. Для этого стоит наладить питание, а именно: обогатить рацион свежими фруктами и овощами, сухофруктами. В них содержится клетчатка, которая активизирует пищеварение и помогает кишечнику работать. Снижение употребления пустых или быстрых углеводов, улучшит пищеварение. К ним относим сладости, хлебобулочные изделия, магазинные нектары и газированные напитки.
- Нужно очистить рацион от жирной и жаренной, копченой и острой пищи, пряностей. Такие продукты стимулируют прилив крови к тазовому дну, тем самым усугубляя состояние, и так переполненных вен заднего прохода.
- Также следует отказаться от алкогольных напитков.
- Потреблять больше жидкости. Чистая вода хорошо поддержит организм в тонусе, не допуская обезвоживания. Запомните, что кофе и чай способствуют выведению жидкости. Поэтому эти напитки желательно исключить или на одну выпитую чашку кофе, выпить 250 мл. простой чистой воды.
- Активность. Легкие физические упражнения, прогулки должны присутствовать ежедневно. Застой крови, как одна из причин, случается от сидячего образа жизни, а значит лишняя прогулка по парку, полчаса в бассейне или зарядка пойдут на пользу мамочки.
- Гигиена. Это чуть ли не самое главное правило, учитывая восстановление матки, выделение лохий. Подмываться надо после каждого похода в туалет. Соблюдение гигиены обезопасят от развития бактерий во влагалище.
Прочтите также Воспалились и загноились швы после родов: симптомы, лечение
Те кто вовремя начал профилактику, обходятся консервативным лечением.
Возникают вопросы: «Сколько проходит геморрой после рождения малыша и что делать, если все проявления останутся?» На это влияет в первую очередь на то, были ли замечены симптомы на ранних стадиях и как они устранялись. Если запустить недуг, то не стоит рассчитывать на положительный прогноз. А вот при соблюдении всех вышеуказанных советов, воспаление в течение двух месяцев после родов проходит.
Народная медицина
Народные методы, которые также нельзя списывать со счетов, такие как сидячие ванночки, компрессы и отвары. Но не стоит забывать, что травы это те же медикаменты, но растительные. Дозировка, совместимость и частотность приемов игнорироваться не должны. Для женщины в положении требуется быть внимательной к таким моментам, поэтому обязательно стоит оговорить все с врачом.
Зарядка
В женской консультации можно взять брошюры с описанием специального комплекса упражнений, которые будут очень полезны для вас и карапуза.
Если упростить, то можно выполнять любую зарядку, которая задействует ноги и нижнюю часть живота. Достаточно уделять по 10-15 минут.
Медленная езда на велосипеде, частые прогулки на свежем воздухе и танцы точно не навредят и помогут улучшить кровоток в органах малого таза.
Старайтесь меньше сидеть и если работаете в офисе, каждый час вставайте и прохаживайтесь, делайте разминку шеи и спины.
Дополнительные способы
Определенных случаях проктолог может предложить следующие варианты:
- Лигирование. При нем используют латексное колечко, небольшого диаметра, которое закрепляется специальным образом у основания шишки. Данная манипуляция вызывает ограничение поступление крови, что приводит к его отмиранию спустя две недели. Болевые ощущения отсутствуют, наличие дискомфорта первое время наблюдается.
- Прижигание. Производится инфракрасными излучениями либо жидким азотом. В результате узлы отмирают и самостоятельно выходят.
Страхи перед лекарствами в период кормления нормальны, но соблюдение дозировки при приеме надежно обеспечивает безопасность. Постоянный контроль ваших реакций на препарат и состояние новорожденного — обязательны. При возникновении каких-либо симптомов у ребенка, нужно срочно обратиться к специалисту.
Хирургическое вмешательство
В запущенной форме обойтись без хирургического вмешательства уже невозможно. Женщин, прибегнувшим к данному способу, волнует через сколько уйдет недуг? Реабилитация зависит от типа операции.
Самая простая не задержит надолго в больнице. Восстановиться можно за три дня. А вот сложная займет до 5 недель полного покоя и реабилитации.
Также на полное восстановление влияет возраст, наличие других обострений.
После успешного завершения операции, назначается поддерживающая терапия, специализированная диета с оптимальным содержанием полезных нутриентов. Это требует мало времени, как правило, процедура протекает без осложнений и не требует госпитализации.
Ответы Mail.ru: Геморрой после родов пройдет сам? Или требуется лечение?
лечение… сам не пройдёт!
само безследно ничего не пройдёт. тампоны с облепихой помогут
Геморрой — узловатое расширение вен нижнего отдела кишки в заднем проходе — может стать одним из осложнений беременности и родов, это связано с возрастающим давлением на тазовое дно и увеличением притока крови к органам малого таза.
При геморрое хорошо помогают теплые сидячие ванны с использованием травяных настоев (их можно принимать только после прекращения выделений) , можно также делать фитокомпрессы или прикладывать фитолед. Помимо выполнения рекомендаций врача, нужно обратить внимание на питание, важно избегать запоров.
Включайте в свой рацион продукты, богатые клетчаткой, обладающие легким послабляющим действием: морскую капусту, свеклу, печеные яблоки, цветную капусту, проращенные злаки.
По окончании курса лечения для укрепления мышц тазового дна можно использовать упражнения Кегеля и «Кошечка» 4, однако следует избегать излишних физических нагрузок (эта рекомендация, кстати, относится не только к занятиям гимнастикой).
Купите свечи или крем» гепариновые»,поможет!
Сам он не пройдет. свечи облепиховые купите и 10-12 дней по одной ставьте, хотя мне за 5 дней помогли. И избегайте запоров — кефирчик, йогурты, фрукты.
Смотря до какой он степени загеморроился. Если небольшой выворот — то пройдет сам, если вылезли узлы — то только лечение. В большинстве случаев помогает релиф или гепатромбин г, можно так же примочки из сырой картошки делать, ну а если никак — то оперативно удалять узлы
А он вообще не пройдет! пройдет «обострение», болеть, мешать не будет, а «геморой » останется, мази — только симптоматическое лечение дают, обезбаливают или хирургическим путем удаляйте.
Сам не пройдет нужно лечить. Свечи облепиховые очень хорошр помогают.
геморрой сам не проходит ни у кого, и чем раньше его лечить (особенно послеродовый) , тем бучше результат, тем больше шансов обойтись без оперативного вмешательства и ограничиться амбулаторным лечением.
Сам не пройдёт, только лечение. И не запускать, а то потом хуже будет, без операции не обойтись.
Оказывается, геморрой — это значит общая предрасположенность к варикозу. И вообще, плохие вены. У меня тоже послеродовой геморрой. Обостряется от запоров, в остальное время мажу мазями.
Но с возрастом появились сосудистые звёздочки на ногах. Да ещё на УЗИ у гинеколога обнаружились у меня венозные узлы на матке. Доктор выписала пить Тромбоасс. Так что геморрой — это локальное проявление заболевания.
Внимательно следите за ногами, чтобы вены не повылезли!
он сам проходит. после беременности всегда, если его до беременности не было.
Лучше всего, конечно, к врачу обратиться, потому, как проходить все может по разному. Однако, понятно, что вопрос очень пикантный и не каждый решится.. Если к врачу не пойдете, можете тут почитать:
очень хорошо описано, что делать, как лечить, и что предпринимать, чтобы не повторилось.
Сразу обратиться к врачу, тут даже без вариантов. Потому что вот чем это может грозить https://kesarevo-sechenie.ru/oslozneniya/gemorroj