Варикоцеле – заболевание, при котором расширяются вены яичка и семенного канатика. На протяжении длительного времени болезнь может протекать бессимптомно и быть обнаруженной только после профилактического медосмотра.
Очень редко при наличии варикоцеле мужчина может ощутить неприятные ощущения в мошонке (тупая, давящая боль), зачастую возникающие после полового акта, физической нагрузки, либо длительного статичного положения. Регулярные болевые ощущения могут проявляться в основном на 3 стадии заболевания.
Скрыть содержание
Варикозное расширение вен семенного канатика и яичка на сегодняшний день считается одним из самых распространенных мужских заболеваний. Согласно статистике ВОЗ, данное заболевание диагностируется больше чем у 16% мужского населения.
В 2% случаев встречается право- либо двустороннее варикоцеле, в 98% — левостороннее.

Субклиническое варикоцеле: вены яичка не обнаруживаются путем пальпации, обнаружить варикоцеле можно только на основании результатов УЗИ.
- 1 степень: расширенные вены можно прощупать руками исключительно в положении стоя.
- 2 степень: варикоцеле можно легко обнаружить путем пальпации в любом положении тела.
- 3 степень: для выявления расширенных вен достаточно визуального осмотра.
В большинстве случаев, варикоцеле стремительно прогрессирует и, достигнув какой-либо конкретной стадии, останавливается в развитии.
Варикоцеле субклинической и первой стадий не нуждается в лечении. Для устранения негативных явлений достаточно ликвидировать застойные процессы, локализующиеся в органах малого таза.
- В перечень таких мер входит отказ от употребления алкоголя, нормализация стула, регулярная половая жизнь, сбалансированное физическое напряжение.
Такие элементарные действия могут уменьшить расширенные вены и не дать болезни прогрессировать.- Пожилым людям, у которых заболевание застыло на ранней стадии будет полезным ношение суспензория.
- Во время второй степени варикоцеле, если заболевание характеризуется болевыми ощущениями, необходима операция.
Неизбежной мерой является операция при третьей степени варикоцеле. Теперь мы разобрались с вопросом о том, нужна ли операция при варикоцеле и на каких стадиях ее стоит делать.
Варикоцеле может повлечь за собой другие, более неприятные проблемы, такие как бесплодие.
Именно такой диагноз у 40% мужчин, страдающих от варикоцеле. Дело в том, что расширенные вены способствуют повышению температуры в мошонке, а это приводит к нарушениям морфологии, подвижности сперматозоидов и их количества.
Вообще, симптомы варикоцеле и его последствий могут проявиться по-разному. Некоторые мужчины могут иметь детей и не подозревать о наличии заболевания на протяжении всей жизни, у других варикоцеле может дать о себе знать бесплодием либо болевыми ощущениями.
Варикоцеле не несет никакой угрозы для жизни пациента, поэтому, если взрослый мужчина не заинтересован в сохранении детородной функции, операцию проводить не обязательно.
Полностью излечить варикоцеле можно только посредством хирургического вмешательства. Операция является обязательной в том случае, если пациент планирует в дальнейшем иметь детей, у него наблюдается атрофия или изменение консистенции яичка, либо больного беспокоят сильные боли, возникшие на почве варикоцеле.
Проводить операцию рекомендуется только в случае конкретной необходимости. Если показания к операции отсутствуют, значит можно обойтись и лечением без хирургического вмешательства.

- Узнайте как проводится лазерное обрезание, возможно это поможет вам решиться на важный шаг.
- Узнайте тут о методах лечения фимоза.
Операция при варикоцеле: виды, типы, методы, способы (как делают?)
Суть всех разновидностей операций — ликвидация пораженных участков вен. Между собой операции различаются по способу проведения, степени травмирования, эффективности и вероятных осложнениях.
Традиционные операции
Различают 3 разновидности традиционного оперативного вмешательства – по Иваниссевичу, Мармару и Паломо.
Операция Иваниссевича
Данная методика оперирования является одной из самых первых разработок по устранению варикоцеле. На сегодняшний день она признана одной из самых неэффективных, так как частота развития рецидивов достигла 40%.
Проводится операция под местным наркозом. В левой части подвздошной области делается разрез длиной до 5 см. В глубину разрез достигает стенок пахового канала, в котором проходят вены и семенной канатик. Обнаруженные вены пересекаются и рана зашивается.
Целью операции является перевязка абсолютно всех вен в рамках одной процедуры. Существует высокая степень риска по поводу того, что один или несколько кровеносных сосудов будут пропущены, что может привести к повторному развитию заболевания.
От уровня мастерства оперирующего врача и качества его работы зависит вероятность того, что перевязыванию будет подвергнута по ошибке яичковая артерия, а это грозит нарушениями в работе сперматогенеза.
Операция по удалению варикоцеле яичка по Иваниссевичу признана наиболее травматичной, период восстановления после нее может составлять около 3 недель.
Среди хирургических операций признана максимально эффективной. В ходе операции посредством пахового доступа легируются вены семенного канатика.
Операция имеет ряд преимуществ:
- минимальная инвазивность, поскольку длина разреза равна 2-3 см, ее можно сравнить с лапароскопической;
- послеоперационное восстановление в сжатые сроки;
- минимальное количество повторных проявлений болезни и осложнений;
- высокий косметический эффект. Шов (шрам) после такой операции по лечению варикоцеле маленький и располагается ниже, чем начинается уровень ношения белья.
В ходе хирургической операции первоочередно локализуется яичковая артерия, после чего происходит последовательная локализация всех крупных и мелких вен семенного канатика.
После операции пациенту будет необходимо провести в клинике на дневном стационаре около 4-7 часов. По истечении этого времени он может быть отправлен домой под присмотром родственников.
Данная процедура является усовершенствованной версией операции Иваниссевича. Разница в том, что место разреза располагается выше, чем в первом случае. Вена перевязывается в забрюшинной клетчатке.
Лапароскопическая операция (эндоскопическая)
Малоинвазивный и современный метод лечения.- Во время проведения операции в передней брюшной стенке делаются проколы диаметром до 5 мм, в которые впоследствии будут вводиться инструменты и лапароскоп.
- В ходе лапароскопической операции при варикоцеле выделяют вены и артерию яичка, причем на первые накладываются титановые скобы либо они перевязываются при помощи хирургической нити.
Проводят данную операцию под общим наркозом. Что примечательно, сама операция по удалению варикоцеле может длиться около по времени 15-40 минут. Продолжительность операции может варьироваться.
Так, чем более поздняя стадия заболевания, тем меньше времени будет затрачено на операцию из-за того, что варикоцеле к этому времени уже ярко выражено.
В ходе операции на основании изображения, предоставленного лапароском, доктор обнаруживает и пересекает яичковую вену. После проведения данной операции пациент должен провести в клинике максимум двое суток. На данный момент лапароскопия считается самым эффективным методом лечения варикоцеле, так как приборы позволяют произвести осмотр всего протяжения яичковой вены.
Лапароскопическая операция по удалению варикоцеле хороша и тем, что позволяет проводить одномоментное оперирование двустороннего варикоцеле. Вероятность рецидива после проведения эндоскопических операций не превышает 2%.
Результатом проведения данной операции является нормализация кровотока в яичковой вене. Проводится оперативное вмешательство с применением общей анестезии.
Разрез делается в нижнем участке живота (5 см), в рану выводится яичковая вена по всему ее протяжению от места впадению в почечную вену до яичка. Параллельно происходит выделение участка надчревной вены. Яичковую вену удаляют полностью, вместо нее пришивают надчревную.
Считается физиологической операцией, поскольку кровообращение в мошонке может восстановиться непосредственно по окончании операции, что уменьшает риск осложнений.
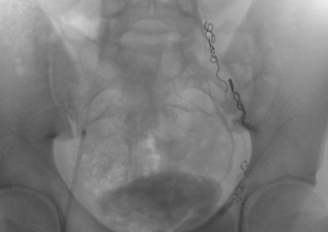
Оперативное вмешательство проводится под рентгеновским контролем.- Путем прокола в бедренной вене в организм вводится катетер, поставляющий в яичковую вену склерозирующее лекарство, закупоривающее яичковую вену.
- Одна из наименее эффективных операций – после нее существует большая огромная вероятность проявления рецидива.
Общие рекомендации после операции
Мужчинам, перенесшим операцию по удалению варикоцеле, необходимо будет воздерживаться от половой близости на протяжении трех недель. В течение некоторого времени после операции по лечению варикоцеле во время секса могут возникать болезненные либо неприятные ощущения.
Желательно в ближайший месяц после традиционной операции по удалению варикоцеле избегать физических нагрузок и занятий спортом. После эндоваскулярной либо эндоскопической операции приступать к физическим нагрузкам можно будет гораздо раньше.
Вообще, первые несколько послеоперационных дней пациент должен носить суспензорий, представляющий собой специальную повязку для мошонки, предназначенную для уменьшения натяжения тканей семенного канатика и мошонки.
Операция при варикоцеле с одинаковым успехом проводится в любом возрасте, как у детей, в особенности выявляется в подростковом возрасте, так и у взрослых, но рекомендованный возраст — не менее 9 лет.
Если провести операцию сразу после обнаружения, детородная функция мужчины будет сохранена. Это говорит о том, что мужчина, перенесший операцию по удалению варикоцеле, остается способным к зачатию. Наличие этого заболевания во многих случаях как раз и является временной причиной того, что пара не может завести детей.
На поздних стадиях варикоцеле существует высокая вероятность развития бесплодия и эректильной дисфункции.
Что касается питания, то желательно на все время реабилитационного периода после операции по удалению варикоцеле придерживаться щадящей диеты.
Через 3 месяца после операции необходимо сделать анализ – спермограмму. Если результаты анализов плохие, назначается лечение андролога для восстановления детородной функции после операции по удалению варикоцеле.
Послеоперационный период: как реабилитироваться и каковы могут быть последствия (осложнения) после операции?


Имеются также и фотографии степеней варикоцеле.
Мучает вопрос, что можно и нужно делать после операции? Если мужчине сделали операцию по удалению варикоцеле, то после этого могут возникнуть различные осложнения, а самое распространенное – водянка яичка. В таком случае между каждой из оболочек яичка происходит накопление серозной жидкости.
Возникновению водянки способствует нарушение кровообращения в яичке, вызванное оперативным вмешательством. Через некоторое время в мужской репродуктивной системе формируется венозный коллатеральный отток, позволяющий крови оттекать посредством других вен мошонки.
Осложнения могут возникнуть, если в первые недели после операции проявлять сексуальную активность. До тех пор, пока не закончится процесс реабилитации после вылеченного операцией варикоцеле, следует воздержаться от занятий сексом с партнершей и мастурбации — таковы ограничения.
Также не рекомендуется на период восстановления после операции варикоцеле употреблять алкогольные напитки – они могут вызвать перегрузку почек, что повлечет за собой негативные последствия вплоть до рецидива.
Также существует вероятность возникновения рецидива даже соблюдая все правила реабилитации. В основном причиной рецидива является пропущенная хирургом лозовидная вена либо веточка. Кроме этого, после неудачной операции возможно повреждение подвздошной артерии, инфекционный процесс в ранке, кровотечение, гипертрофия, атрофия либо азооспермия яичка.
В некоторых случаях возможно неоднократное повторение операций по удалению варикоцеле, до полного перевязывания поврежденных вен.
После операции варикоцеле могут возникать боли в яичках, но в 90% случаев они быстро проходят. В том случае, если боль не прекращается, необходимо обратиться к лечащему врачу.
- Узнайте о том, какие степени варикоцеле подвергаются неоперативному лечению.
- А здесь вы сможете узнать все о видах фимоза.
Прочтите на этой странице: https://man-up.ru/bolezni/andrologiya/fimoz/lechenie-fim-bez-operatsii.html статью о том, как лечить фимоз у мужчин лечение мазями.
Восстановление после варикоцеле: операции, период, реабилитация, яичка
Варикоцеле представляет собой мужское заболевание, сопровождающееся нарушением кровотока в яичках. В результате изменения строения вены репродуктивные органы не получают необходимое количество кислорода. Чаще всего патологию устраняют путем хирургического вмешательства.
Восстановление после операции варикоцеле подразумевает соблюдение определенных рекомендаций. От поведения пациента во многом зависит скорость регенеративных процессов.
Правильный подход к реабилитации позволяет предотвратить развитие осложнений, к которым относят воспалительные процессы, бесплодие, водянку и т.д.
Период реабилитации

Через 3-4 дня пациент возвращается к привычной трудовой деятельности
Восстановление после варикоцеле в каждом отдельно взятом случае осуществляется с разной интенсивностью. Длительность реабилитации зависит от метода хирургического вмешательства. При проведении малоинвазивных процедур и лапароскопии пациент восстанавливается быстрее. Уже через 3-4 дня он возвращается к привычной трудовой деятельности.
После проведения эндоваскулярной эмболии пациент может покинуть медицинское учреждение уже на следующий день. В амбулаторном порядке осуществляются диагностические процедуры, позволяющие установить эффективность проведенной операции. К ним относят УЗИ-мониторинг, сдачу спермограммы и профилактический осмотр.
Первые полгода необходимо наблюдаться у сосудистого хирурга для профилактики тромбоза.
После проведения других способов удаления варикоцеле, восстановление длительное. В отдельных случаях требуется нахождение в стационаре не меньше 7-10 дней. Медики считают, что немаловажное значение имеет и возраст пациента. У мужчин зрелого возраста регенеративные процессы замедляются. Восстановление после операции варикоцеле основывается на следующем:
- подбор медикаментозной терапии;
- определение возможности двигательной активности;
- осуществление диагностических мероприятий для исключения вероятности рецидивов;
- устранение осложнений в случае их развития.
Диета после операции
Реабилитация после операции подразумевает соблюдение основ специальной диеты. В этот период крайне важно избегать ослабления стула и запоров. Дополнительная нагрузка на систему кровообращения в малом тазу приводит к развитию осложнений.
Чтобы избежать нарушения стула, из рациона следует исключить копченые, сладкие и чрезмерно соленые блюда. Не рекомендуется употреблять в пищу жирные сорта мяса, острые приправы и соусы. Из напитков желательно отдавать предпочтение морсам, зеленому чаю и негазированной воде.
Кофе и крепкий чай пить нельзя.
Важно наладить режим приема пищи. Порции должны быть небольшими. Количество приемов в сутки – не менее 5 раз. Основу рациона должны составлять следующие продукты:
- цельнозерновые каши;
- морепродукты;
- мясо птицы;
- тушеные и вареные овощи и фрукты;
- кисломолочные продукты.
Важно! Категорически запрещено курить и употреблять спиртные напитки. Вредные привычки негативным образом сказываются на состоянии сосудистой системы.
Медикаментозная поддержка после операции

В период реабилитации рекомендуется принимать препараты
Медикаментозная поддержка играет важную роль в скорости реабилитации. Хирургическое вмешательство сопровождается надрезами кожного покрова, изменением кровотока и повреждением мышечных тканей. Поэтому важно избежать попадания инфекции в организм. В период реабилитации рекомендуется принимать следующие препараты:
- Антибактериальные средства. Необходимы для предотвращения вторичной гнойной инфекции и септических осложнений. К ним относят Амоксициллин, Цефтриаксон, Амоксиклав и Цефпир.
- Иммуностимуляторы. Помогают активизировать защитные силы организма и регенеративные механизмы. К препаратам этой группы относят Циклоферон, Тималин, Тактивин и Тимоген.
- Антикоагулянты. Помогают нормализовать свертываемость крови и предотвратить развитие тромбоза. Наиболее эффективные препараты этой категории – Ксексан, Гепарин и Варфарин.
- Стероидные и нестероидные противовоспалительные средства. Купируют болевой синдром, устраняют отечность и воспалительный процесс. К препаратам стероидного происхождения относят: Метилпреднизолон, Преднизолон и Дексаметазон. В список часто используемых нестероидных средств входят: Найз, Нимесулид, Кетотифен и Аскофен.
Восстановление спермы после операции варикоцеле
Варикоцеле сопровождается снижением репродуктивной функции мужчины. В результате нарушенного кровообращения изменяется температура в мошонке. Она становится неблагоприятной для созревания качественных сперматозоидов.
Чтобы восстановить показатели спермограммы после операции варикоцеле, требуется принимать биологически активные добавки. Они содержат витамины, минералы и природные экстракты, стимулирующие сперматогенез.
К наиболее эффективным препаратам относят:
- Спеман;
- Сперотон;
- СпермаПлант;
- Витапрост;
- СпермАктив.
Для улучшения качества спермы показана особая диета. Активизировать выработку половых гормонов помогают продукты, богатые селеном, L-карнитин, цинком, витаминами C, E и D, фолиевой кислотой. Рекомендуется ввести в рацион морепродукты, орехи, зелень, цитрусы, печень, бобовые культуры, мед, клубнику и киви.
Для улучшения кровообращения в органах малого таза необходимо носить свободное нижнее белье. Не менее важно отказаться от теплового воздействия на яички. Нельзя подолгу принимать горячие ванны и держать ноутбук на коленках. Для процесса формирования сперматозоидов необходима оптимальная температура. Она должна быть на 1-2°С ниже стандартной температуры тела.
Интересно! Планировать беременность разрешается через 3-4 месяца после операции. За этот период сперматозоиды успевают полностью обновиться.
Как влияет возраст на восстановительный процесс?

Рецидивы чаще всего возникают при осуществлении операции в юношеском возрасте
У мужчин зрелого возраста после операции варикоцеле организм восстанавливается дольше, чем в более молодом возрасте. Это обусловлено постепенным замедлением обменных процессов по мере взросления человека.
Немаловажное значение имеет гормональный фон, сопутствующие заболевания и индивидуальные особенности строения организма.
Статистика показывает, что рецидивы чаще всего возникают при осуществлении операции в юношеском возрасте.
Устранение послеоперационных осложнений
В период восстановления после операции варикоцеле зачастую возникают различные осложнения. Если размер яичка после операции изменился, речь может идти о развитии водянки. Её провоцирует случайное повреждение лимфатических узлов во время хирургических манипуляций. Такое осложнение возникает в 10% случаев. Его устраняют с помощью операции и приема медикаментов.
Болезненные ощущения считают естественной реакцией организма на оперативное вмешательство. Дискомфорт вызван растяжением придатков венозной кровью. Для устранения болевого синдрома назначают анальгезирующие средства. Схему лечения подбирает врач.
Иногда операция отражается на процессе выработки тестостерона. В этом случае требуется прием медикаментов на гормональной основе. Такая патология встречается крайне редко. К самым распространенным проблемам послеоперационного периода относят рецидив заболевания. Он возникает при некачественном проведении операции. В этом случае требуется повторное хирургическое вмешательство.
Половая жизнь после лечения

Интимная близость разрешается не раньше чем через 3 недели после выписки из больницы
На эректильную функцию мужчины оказывает влияние только запущенная стадия заболевания. В других случаях уровень сексуального влечения остается прежним.
Восстановительный период после операции подразумевает временный отказ от половых контактов. Интимную близость разрешается практиковать не раньше чем через 3 недели после выписки из больницы. Также противопоказана и мастурбация.
Длительное кровенаполнение полового органа приводит к рецидивам заболевания.
Чего делать нельзя?
После лечения варикоцеле яичка на мужчину накладывается ряд запретов. От их соблюдения зависит срок восстановления репродуктивной системы. В реабилитационный период хирурги запрещают следующее:
- поднимать тяжести больше 4,5 кг и заниматься активными видами спорта;
- употреблять алкогольные напитки и курить;
- принимать горячие ванны и посещать сауну;
- заниматься сексом;
- спать менее 8 часов в сутки;
- перегружать организм стрессовыми ситуациями;
- купаться в открытых водоемах;
- допускать переохлаждение организма;
- пить кофе и крепкий чай;
- находиться под солнечными лучами продолжительное время;
- употреблять вредную пищу.
В первые дни после операции категорически запрещено снимать повязку самостоятельно. В условиях стационара перевязки осуществляют медицинские работники. Это необходимо для обеспечения должного уровня гигиены в целях предотвращения попадания инфекции.
Нагрузка на организм должна увеличиваться постепенно. Вместо активных видов спорта разрешено практиковать йогу, дыхательную гимнастику и занятия в бассейне. Также рекомендуется выполнять специальные упражнения, направленные на восстановление кровотока. Перед этим желательно проконсультироваться с лечащим врачом.
На заметку! После операции по удалению варикоцеле юношам предоставляют отсрочку от армии на срок реабилитационного периода.
Варикоцелэктомия помогает предотвратить осложнения, спровоцированные нарушением кровообращения в области мошонки. Если соблюдать назначенные врачом рекомендации, болезнь не отразится на репродуктивном здоровье мужчины в дальнейшем. Нарушение принципов реабилитации грозит осложнениями в виде бесплодия и хронических болевых ощущений.
Операция варикоцеле: видео
Когда необходимо оперативное лечение варикоцеле и как это происходит?
Варикоз поражает сосуды различных органов, но одной из самых опасных локализаций варикозного расширения вен являются семенные придатки одного из яичек. Болезнь распространена в юношеском и молодом возрасте. По статистике, порядка 17% мужчин сталкиваются с заболеванием. Форма лечения напрямую зависит от степени развития патологии. Операция варикоцеле (на видео можно увидеть фрагменты процедуры) является единственным способом полного излечения.
Причины образования варикоза яичковых вен
В зависимости от причины появления варикоза яичковых вен выделяют 2 группы патологий:
- Первичного происхождения. Если поражён семенной канатик из-за венозной недостаточности.
- Вторичного происхождения. акторы. Увеличение сосудов возникает вследствие каких-либо болезней и состояний в организме, провоцирующих патологические явления.
Варикоцеле условно разделяют на стадии, распределяемые по степени запущенности патологического процесса.
Первая, или субклиническая, форма не провоцирует специфической симптоматики, склонна к латентному течению, не имеет рисков для жизни мужчины, но способна ухудшать состояние половой функции.
Для 1-й стадии характерно прекращение полного смыкания клапана и появление рефлюкса, приводящего к повышению сосудистого давления и ухудшению функции семенных канатиков. Боли изначально проявляются редко, только после тяжёлой физической работы или интимной близости.
В юношеском и молодом возрасте болезнь особенно распространена
Показанием для хирургических вмешательств являются 2-3 стадии варикоцеле. Пациент имеет жалобы на боли в области мошонки, они появляются кратковременно или продолжительно. Болевой синдром проявляется как после нагрузок, так и в вечернее время при обычном ритме жизни. Для контроля состояния пригоден метод пальпации вены.
Самая опасная, но легче всего диагностируемая – третья стадия. Мошонка покрывается отчётливо видимыми набухшими венами, а сплетения имеют синюшный цвет.
Из-за нарушения трофики и газообмена, нарушается состояние кожи, отчего яичко уменьшается и начинает провисать. Все патологические изменения сопровождаются сильной болью.
Если не заниматься устранением болезни, повышается риск серьёзных осложнений.
Вред мужскому здоровью, наносимый варикоцеле
На основании клинических симптомов врач подбирает методы лечения варикоцеле. Изначально назначается консервативная тактика терапии, при её низкой эффективности или позднем обращении прибегают к микрохирургической методике.
Варикоцеле не имеет опасности для жизни человека, но связано с большой угрозой для репродуктивной системы. Провоцирует неблагоприятное воздействие на эндокринную систему, отчего нарушается гормональный фон, ухудшается влечение к противоположному полу и снижается потенция.
Чем опасна болезнь:
- потеря фертильности, наступает чаще частично, но есть небольшой риск и полной утраты репродуктивной способности. Воспалённый сосуд набухает, нарушается процесс кровообращения, и часть сперматозоидов не способна к созреванию;
- деградация яичковых тканей. Снижение качества кровообращения приводит к уменьшению транспортировки кислорода и питательных веществ, как следствие – застойные явления;
Для жизни человека болезнь не представляет опасности
- атрофия яичка. Отклонение в кровоснабжении на 3-й стадии болезни приводит к серьёзной деградации тканей;
- снижение количества мужского гормона. Клетки Лейдинга подвергаются снижению синтетической способности из-за развития гипоксии и атрофии. На уровне тестостерона негативно отражается заброс естественных стероидов при рефлюксе;
- уменьшение полового влечения и потенции. По мере прогрессирования болезни мужчина теряет либидо в частичной или полной мере. «Мужская сила» также страдает, примерно 90% тестостерона синтезируется в семенниках, а дефицит гормонов приводит к импотенции.
Когда операцию по удалению варикоцеле можно отсрочить?
Операция по удалению варикоцеле рекомендуется практически всем пациентам, но к подобной тактике в урологии прибегают не всегда. Есть состояния, которые накладывают ограничение на операционные вмешательства.
Для отсрочки хирургического лечения выделяют ряд причин:
- болезнь находится на 1 стадии и не прогрессирует. На стадии стабильного течения назначаются профилактические мероприятия и медикаменты: антиоксиданты, венотоники, лекарства, для активации формирования половых клеток;
- непродолжительный период течения заболевания врачам даёт надежду на консервативное лечение;
- детский или преклонный возраст пациента;
- наличие сопутствующих недугов, которые не позволяют выполнять разрез.
Порой пациенты отсрочивают операцию из-за заблуждения, что процедура требует большого и длинного этапа послеоперационного восстановления. В реальности после операции варикоцеле мужчина восстанавливается быстрее, чем за 1 месяц.
Практически всем пациентам рекомендуется операция по удалению варикоцеле
Когда операция необходима?
Лучший и самый эффективный метод предотвращения репродуктивной функции – ранняя диагностика и своевременное оперативное вмешательство.
В части случаев операция назначается безотлагательно:
- варикозные изменения достигли 2-3 стадии;
- есть выраженная боль в области больного яичка;
- нарушения состояния сперматозоидов или уменьшение их количества;
- в анализе крови обнаружено значительное понижение концентрации половых гормонов;
- яичко уменьшилось в размере, вследствие деградации текстикул.
Альтернатива хирургическому лечению заболевания не разработана, медикаментозная терапия лишь помогает поддерживать состояние пациента. Разработаны десятки методов по избавлению от проблемы – от микрохирургических техник до классической операции, однако, считается, что эндоскопическая операция варикоцеле – это лучший способ полного выздоровления.
Оперативное лечение варикоцеле
Сегодня существует много методов хирургического лечения:
- операция Иваниссевича и Паломо. Достоинства техники – низкая стоимость, распространённость операции и лёгкость выполнения. Относится к открытым операциям, когда хирург делает надрез в подвздошной области параллельно паховому каналу. Сквозь разрез врач находит вены семенного канатика и достаёт их. Зажимами пережимаются вены, выполняется лигирование, пресечение и обратная укладка. Сверху наносятся швы. Операция занимает 30-40 минут. В медицинской практике данный метод не пользуется популярностью из-за высокого риска осложнений (30-40%), долгого заживления ран (от 6 месяцев), необходимости госпитализации на протяжении 1-2 недель, наличия шрама и появления болей после наркоза ещё на протяжении 2-4 дней;
Оперативное лечение варикоцеле
- варикоцелэкомия по Мармару. Тактика подобна предыдущей методике, но в ходе операции используют увеличительное стекло или микроскоп. Обладает большей точностью и меньшим риском поражения лимфатических сосудов и нервных волокон. Пресечение проводят как семенной вены, так и коллекторов. Надрез делают на расстоянии 1 см от основания полового органа. Из-за отсутствия надрезов на брюшной стенке снижается период восстановления. Преимущества: операцию проводят полчаса, делают местный наркоз, стационарное пребывание 1 сутки, низкая вероятность осложнений (5-7%), малозаметный шрам, реабилитация всего 1 месяц. Недостатки: высокая цена и необходимость в операционном микроскопе;
- операция с эндоскопом, или лапароскопия. В полость вводится эндоскоп (трубка с камерой на конце). Для введения инструментов потребуется сделать 3 отверстия: возле пупка (10 мм), справа и слева от подвздошной области (по 5 мм). Является единственным способом устранения двухстороннего варикоцеле. Преимущества: отсутствие надрезов, высокая точность, низкий риск рецидивов (2%), стационарное пребывание всего 2 дня, короткая реабилитация и слабовыраженная боль. Недостатки: проводится под общей анестезией, длится до 2 часов, стоит дорого, требует наличие специального оборудования и опыта хирурга;
- склеротизация, эмболизация. Ключевым отличием является закупоривание вены при помощи особых веществ: склерозанты, спирали, скобы из титана и т. п. Преимущества: проводится под местным обезболивающим, безболезненное лечение, риск рецидива 7%, отсутствие осложнений после операции, минимальный период реабилитации. Недостатки: дороговизна, необходимость в специальном оборудовании и специфических навыках хирурга, а также облучение рентгеном;
- реваскуляризация. В ходе операции иссекают больной сосуд и заменяют его здоровым, находящимся поблизости. Чаще задействуют надчревную вену. Среди достоинств: быстрое и полное восстановление циркуляции крови, а также небольшой риск осложнений. Недостатки: является сложным, высокоточным методом, провоцирует риск тромбообразования, наличие рубца, необходимость полной анестезии, госпитализация, восстановление более 3 месяцев и высокая цена.
После проведения операции возможны осложнения
Возможные осложнения
Нет операций, которые были бы абсолютно безопасны для пациента и лишены осложнений. Нежелательных последствий большее количество в открытых методиках операций и меньше в отношении эндоскопических тактик.
Последствия после операции варикоцеле наступают из-за ошибки врача (неполная перевязка коллекторов, недостаточное лигирование, направленность на приемлемый внешний вид), а также по вине пациента, который не следовал правилам восстановления.
Частые последствия:
- риск рецидива наступает в случае слабой перевязки вен или упущения 1-2 вен. Реже врач перевязывает не тот сосуд;
- гидроцеле возникает из-за повреждения лимфатической системы и нарушенного тока лимфы;
- атрофия наступает вследствие повреждения яичковой артерии;
- потеря чувствительности, обычно внутренней стороны бедра. Появляется по причине разреза иннервирующего нерва.
Осложнения подлежат лечению хирургическими методами. Поводом для обращения в клинику является:
- повышение температуры тела;
- отёчность, гиперемия, припухлость, появление выделений с резким запахом в месте надреза;
- подтёки крови или постоянное расширение гематомы;
- воспалительные проявления и увеличение размеров мошонки;
- усиление болевого синдрома или дискомфортные явления.
Особенности реабилитации
Период полного восстановления зависит от способа операции, в меньшей мере – от следования предписаниям. Операция Иваниссевича и техника Паломо потребуют самого длинного периода восстановления. Микрохирургической метод и эндоскопические операции приводят к необходимости короткого реабилитационного периода, а пациенты чувствуют себя лучше.
Чтобы защититься от рецидивов и ускорить процесс восстановления, важно следовать основным правилам:
- избегать тяжёлых нагрузок. Первое время предметы весом 10 кг и выше нельзя поднимать, врач самостоятельно скажет, когда это становится безопасным;
- применять лёгкую гимнастику. Разрешена лёгкая спортивная деятельность, но запрещены поездки на лошади, велосипеде, интенсивный бег и т. д.;
- предотвращать запоры и поносы. Важно заботиться о функции желудочно-кишечного тракта и не употреблять продукты, которые приводят к запорам и поносам, создающие лишние нагрузки на паховые вены;
- избегать и своевременно лечить простудные болезни, особенно те, что вызывают кашель.
На протяжении первых дней важно дать зажить тканям и соблюдать постельный режим. Диета не обязательна, но крайне желательна. Из питания исключают жирные блюда с избытком холестерина, а предпочитают продукты растительного происхождения, курицу и морепродукты.
Заключение
Операция по избавлению от варикоцеле является единственным способом полного излечения, негативные последствия зафиксированы лишь в 5% случаев после вмешательств.
Среди всех хирургических методик лучшие результаты показывают лапароскопическое вмешательство и варикоцелэктомия (по Мармару).
Все открытые способы операций приводят к наибольшему риску послеоперационного осложнения и рецидивов.
Видео операции по удалению варикоцеле
Видео урологической операции по удалению варикоцеле. Во время операции производится продольно-косой разрез для доступа к паховому каналу.
Оболочки пахового канала рассекаются послойно, после чего хирург получает доступ к венозному сплетению на этом участке.
Найдя расширенную вену, хирург с помощью специальных нитей перевязывает ее, прошивает и пресекает, затем операционная рана ушивается, а сверху накладывается стерильная повязка.
Page 2
Видео урологической операции по удалению варикоцеле. Во время операции производится продольно-косой разрез для доступа к паховому каналу.
Оболочки пахового канала рассекаются послойно, после чего хирург получает доступ к венозному сплетению на этом участке.
Найдя расширенную вену, хирург с помощью специальных нитей перевязывает ее, прошивает и пресекает, затем операционная рана ушивается, а сверху накладывается стерильная повязка.
Page 3
Видео урологической операции по удалению варикоцеле. Во время операции производится продольно-косой разрез для доступа к паховому каналу.
Оболочки пахового канала рассекаются послойно, после чего хирург получает доступ к венозному сплетению на этом участке.
Найдя расширенную вену, хирург с помощью специальных нитей перевязывает ее, прошивает и пресекает, затем операционная рана ушивается, а сверху накладывается стерильная повязка.
Page 4
Видео урологической операции по удалению варикоцеле. Во время операции производится продольно-косой разрез для доступа к паховому каналу.
Оболочки пахового канала рассекаются послойно, после чего хирург получает доступ к венозному сплетению на этом участке.
Найдя расширенную вену, хирург с помощью специальных нитей перевязывает ее, прошивает и пресекает, затем операционная рана ушивается, а сверху накладывается стерильная повязка.
Page 5
Видео урологической операции по удалению варикоцеле. Во время операции производится продольно-косой разрез для доступа к паховому каналу.
Оболочки пахового канала рассекаются послойно, после чего хирург получает доступ к венозному сплетению на этом участке.
Найдя расширенную вену, хирург с помощью специальных нитей перевязывает ее, прошивает и пресекает, затем операционная рана ушивается, а сверху накладывается стерильная повязка.
Page 6
Видео урологической операции по удалению варикоцеле. Во время операции производится продольно-косой разрез для доступа к паховому каналу.
Оболочки пахового канала рассекаются послойно, после чего хирург получает доступ к венозному сплетению на этом участке.
Найдя расширенную вену, хирург с помощью специальных нитей перевязывает ее, прошивает и пресекает, затем операционная рана ушивается, а сверху накладывается стерильная повязка.
Page 7
Видео урологической операции по удалению варикоцеле. Во время операции производится продольно-косой разрез для доступа к паховому каналу.
Оболочки пахового канала рассекаются послойно, после чего хирург получает доступ к венозному сплетению на этом участке.
Найдя расширенную вену, хирург с помощью специальных нитей перевязывает ее, прошивает и пресекает, затем операционная рана ушивается, а сверху накладывается стерильная повязка.
Page 8
Видео урологической операции по удалению варикоцеле. Во время операции производится продольно-косой разрез для доступа к паховому каналу.
Оболочки пахового канала рассекаются послойно, после чего хирург получает доступ к венозному сплетению на этом участке.
Найдя расширенную вену, хирург с помощью специальных нитей перевязывает ее, прошивает и пресекает, затем операционная рана ушивается, а сверху накладывается стерильная повязка.
Page 9
Видео урологической операции по удалению варикоцеле. Во время операции производится продольно-косой разрез для доступа к паховому каналу.
Оболочки пахового канала рассекаются послойно, после чего хирург получает доступ к венозному сплетению на этом участке.
Найдя расширенную вену, хирург с помощью специальных нитей перевязывает ее, прошивает и пресекает, затем операционная рана ушивается, а сверху накладывается стерильная повязка.
Page 10
Видео урологической операции по удалению варикоцеле. Во время операции производится продольно-косой разрез для доступа к паховому каналу.
Оболочки пахового канала рассекаются послойно, после чего хирург получает доступ к венозному сплетению на этом участке.
Найдя расширенную вену, хирург с помощью специальных нитей перевязывает ее, прошивает и пресекает, затем операционная рана ушивается, а сверху накладывается стерильная повязка.
Page 11
Видео урологической операции по удалению варикоцеле. Во время операции производится продольно-косой разрез для доступа к паховому каналу.
Оболочки пахового канала рассекаются послойно, после чего хирург получает доступ к венозному сплетению на этом участке.
Найдя расширенную вену, хирург с помощью специальных нитей перевязывает ее, прошивает и пресекает, затем операционная рана ушивается, а сверху накладывается стерильная повязка.
Page 12
Видео урологической операции по удалению варикоцеле. Во время операции производится продольно-косой разрез для доступа к паховому каналу.
Оболочки пахового канала рассекаются послойно, после чего хирург получает доступ к венозному сплетению на этом участке.
Найдя расширенную вену, хирург с помощью специальных нитей перевязывает ее, прошивает и пресекает, затем операционная рана ушивается, а сверху накладывается стерильная повязка.
Page 13
Видео урологической операции по удалению варикоцеле. Во время операции производится продольно-косой разрез для доступа к паховому каналу.
Оболочки пахового канала рассекаются послойно, после чего хирург получает доступ к венозному сплетению на этом участке.
Найдя расширенную вену, хирург с помощью специальных нитей перевязывает ее, прошивает и пресекает, затем операционная рана ушивается, а сверху накладывается стерильная повязка.
Page 14
Видео урологической операции по удалению варикоцеле. Во время операции производится продольно-косой разрез для доступа к паховому каналу.
Оболочки пахового канала рассекаются послойно, после чего хирург получает доступ к венозному сплетению на этом участке.
Найдя расширенную вену, хирург с помощью специальных нитей перевязывает ее, прошивает и пресекает, затем операционная рана ушивается, а сверху накладывается стерильная повязка.
Page 15
Видео урологической операции по удалению варикоцеле. Во время операции производится продольно-косой разрез для доступа к паховому каналу.
Оболочки пахового канала рассекаются послойно, после чего хирург получает доступ к венозному сплетению на этом участке.
Найдя расширенную вену, хирург с помощью специальных нитей перевязывает ее, прошивает и пресекает, затем операционная рана ушивается, а сверху накладывается стерильная повязка.
Page 16
Видео урологической операции по удалению варикоцеле. Во время операции производится продольно-косой разрез для доступа к паховому каналу.
Оболочки пахового канала рассекаются послойно, после чего хирург получает доступ к венозному сплетению на этом участке.
Найдя расширенную вену, хирург с помощью специальных нитей перевязывает ее, прошивает и пресекает, затем операционная рана ушивается, а сверху накладывается стерильная повязка.
Page 17
Видео урологической операции по удалению варикоцеле. Во время операции производится продольно-косой разрез для доступа к паховому каналу.
Оболочки пахового канала рассекаются послойно, после чего хирург получает доступ к венозному сплетению на этом участке.
Найдя расширенную вену, хирург с помощью специальных нитей перевязывает ее, прошивает и пресекает, затем операционная рана ушивается, а сверху накладывается стерильная повязка.
Page 18
Видео урологической операции по удалению варикоцеле. Во время операции производится продольно-косой разрез для доступа к паховому каналу.
Оболочки пахового канала рассекаются послойно, после чего хирург получает доступ к венозному сплетению на этом участке.
Найдя расширенную вену, хирург с помощью специальных нитей перевязывает ее, прошивает и пресекает, затем операционная рана ушивается, а сверху накладывается стерильная повязка.