Уплотнение аорты не считается самостоятельным заболеванием, отдельно лечить его не нужно.
При обнаружении подобного дефекта ее стенок необходимо пройти обследование с целью выявления причины, которая его спровоцировала. Утолщение этого сосуда прямо указывает на образование патологий, которые требуют лечения.
Как устроена аорта?
Аорта условно подразделяется на три отдела: восходящий, начало которого лежит у сердца, дуговой и нисходящий (нижняя часть). Нисходящий делится на брюшной и грудной отдел.

Верхняя ее часть отходит от левого желудочка миокарда на уровне третьего ребра. Затем она расширяется в устье, образовывая сфероподобную луковицу. В этой области находится клапан и три синуса Вальсальвы — выпуклые стенки луковицы.
От начала луковицы отходят две ветви — правая и левая венечные артерии. Они вместе с соответствующими венами образуют сердечный круг кровообращения. Далее восходящий отдел поднимается вверх и, сужаясь, переходит в дугу (изгиб) аорты. Затем дуга опускается назад и влево. Здесь образуется нисходящий отдел, отделяемый от дуги небольшим перешейком.
От верхнего изгиба дуги отходят три крупных сосуда — плечеголовной ствол, общая сонная и подключичная артерии. К ним присоединяются артерии легких, вены и артериальные связки.
Нижний отдел аорты имеет самую большую длину. На уровне четвертого поясничного позвонка он разделяется на подвздошные артерии (левую и правую).
Грудной отдел этого сосуда располагается в грудине, в левой стороне от пищевода. На уровне 8 грудного позвонка эта часть аорты отгибается назад и возле 12 позвонка переходит в брюшную.
Брюшной отдел отводит артериальные ветви к диафрагме и заканчивается тонкой крестцовой артерией.

Исходя из расположения данного дефекта стенок аорты, выделяются следующие виды утолщений:
- Уплотнение корня.
- Восходящей части.
- Нисходящего отдела.
- Уплотнение стенок дуговой части аорты.
Различия между нормальным вариантом и утолщенным:
| Нормальный | Утолщенный |
| Эластичная | Имеет повышенную плотность |
| Стенки ровные | Присутствуют утолщения на различных участках |
| Прочная | Слабая |
| Может расширяться и сужаться | Не способна к расширению |
Почему может развиться уплотнение?
Уплотнение аорты может сформироваться на любом ее участке. Самым сложным отделом считается дуга, так как в месте изгиба сосуда изменяется скорость течения крови и ее динамика.
Основные причины развития:
- Атеросклероз: при нарушении липидного обмена в крови на стенках сосудов образуются атеросклеротические бляшки. Из-за этого просвет аорты сужается, замедляется кровоток. В результате происходит разрастание фиброзной (рубцовой) ткани, уплотнение стенок.
- Гипертоническая болезнь: при постоянно повышенном аортальном давлении эластичность сосудов нарушается, в них образуются фиброзные соединения. Стенки становятся жесткими и толстыми.
- Инфекционные заболевания (туберкулез, сифилис, сепсис и другие).
- Болезни аутоиммунного характера (склеродермия, аортит).
- Интоксикация в результате длительного лечения антибиотиками приводит к расширению и склерозированию сосудов.
Помимо этого, изменение толщины стенок аорты может происходить в результате неправильного образа жизни и в качестве следствия старения организма.

Факторы риска, повышающие шанс развития этой патологии у взрослых людей:
- пожилой возраст (более 50 лет);
- вредные привычки — табакокурение, алкоголизм;
- злоупотребление жирной пищей, фаст-фудом.
У детей утолщение створок клапана и самой аорты наблюдается в случае плохой наследственности. В детском возрасте патология находится в неактивной фазе, а в дальнейшем может активироваться.
Согласно статистике, самыми частыми причинами развития уплотнения являются — атеросклероз и пожилой возраст (более 80% диагностируемых случаев).
В чем опасность этой патологии?
Опасность уплотнения аорты зависит от степени изменения ее стенок. Когда она незначительна, вреда организму не будет.
Если же изменение толщины стенок сопровождается кальцинозом, фиброзом, то есть, нарушением структуры — это означает что возможно возникновение серьезных заболеваний сосудов.
Ими могут быть:
- Тромбоз. При нем происходит закупоривание аорты с нарушением кровотока.
- Аортальная аневризма. При ней выпячиваются стенки сосуда вследствие его истончения или растяжения.
- Расслоение аорты. Кровь затекает между слоями стенок, усугубляя их деформацию, что приводит к ее разрыву.
- Аортальный стеноз. Сужение стенок сосуда, которое заканчивается непроходимостью.
Закупоривание аорты вызывает сердечные патологии, которые с трудом поддаются лечению. В тяжелых случаях развивается тромбоз головного мозга. Это происходит из-за непроходимости сосудов, питающих его.

Результатом разрыва аорты становится большая потеря крови, которая заканчивается смертью при неоказании медицинской помощи.
Симптоматика
Небольшое уплотнение сосуда в основном протекает бессимптомно. Первые признаки заболевания появляются при сужении просвета, когда кровообращение замедляется, ухудшается сердечный ритм.
Симптомы проявляются по-разному, в зависимости от того, где стенки наиболее уплотнены:
- Утолщение сосуда у его корня (на участке примыкания к миокарду) вызывает учащенное сердцебиение, одышку, боль в левой части груди. В результате развивается ишемическая болезнь сердца, инфаркт миокарда.
- При поражении сонной артерии, идущей от дуговой части аорты к мозгу, начинается кислородная недостаточность. Признаки: головокружение, обморочное состояние, нарушение зрения.
- Если аорта стала более плотной в брюшном отделе, то наблюдается расстройство пищеварительной системы. Присутствуют ноющие или острые боли в животе, тяжесть, вздутия и т. п.
- Поражения стенок нижнего отдела аорты приводит к венозным заболеваниям ног и органов малого таза. Симптомами являются: тяжесть в ногах, судороги, хромота.
Методы диагностики
Так как симптоматика часто не выражена, то уплотнение отделов аорты выявляется в основном случайно, при проведении флюорографии или рентгенологического исследования.
Обследование пациента проводят при появлении жалоб на боли в груди, тахикардию и т. д. Врача должны насторожить лишние шумы при прослушивании сердца. А также признаком патологии является большая разница между показателями артериального давления при измерении его у пациента.

Для подтверждения этого диагноза проводятся следующие аппаратные исследования:
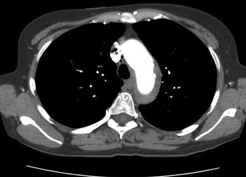
- Рентген грудной клетки в прямой и боковой проекциях. На снимках хорошо видны крупные сосуды, по виду которых врач делает вывод о наличии патологии. При утолщении аорты меняется ее изгиб, удлиняется тень. По этим признакам специалист определяет величину закупоривания.
- УЗИ позволяет выявить место деформации сосуда. Изменение внешнего вида внутренних органов, смежных с сердцем, говорят о начавшихся заболеваниях, связанных с нарушением работы кровеносной системы.
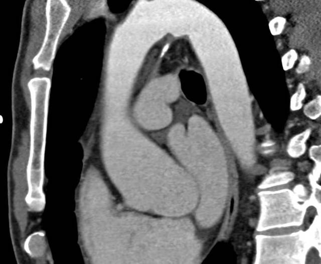
- МРТ. Магнитно-резонансная томография — информативный способ получения изображения с использованием магнитного резонанса. Позволяет получать развернутую визуальную картину имеющейся патологии.
- Ангиография. Метод исследования кровеносных сосудов с помощью введения контрастного вещества. Дает возможность получить сведения о заполняемости аорты кровью, работе клапанов.
- ЭхоКГ. На эхокардиографии сердца определяют размеры миокарда, структуру и функции митрального (МК) и аортального клапанов (АОК), скорость кровотока.
На основании результатов исследований врач ставит диагноз и назначает соответствующее лечение.
Способы лечения
- При назначении терапии специалист учитывает такие факторы, как: тяжесть и продолжительность болезни, наличие сопутствующих патологий, наследственность.
- Лечение направлено именно на устранение самой причины уплотнения аорты.
- Для этого применяются меры, включающие:
- специальное питание;
- двигательный режим;
- инвазивную и медикаментозную терапию;
- народные средства.
При плохой наследственности, которая выражается в предрасположенности к сердечно-сосудистым заболеваниям, рекомендуется переход на здоровый образ жизни с упором на правильное питание.
Диета
- При болезнях сосудистой системы (тромбозах, стенозе, атеросклерозе) пациенту показано диетическое питание, которое способствует восстановлению организма.
- Из рациона нужно исключить жирную, острую, жареную еду, которая вызывает накопление холестерина и забивание сосудов бляшками.
- А также противопоказано:
- сладкое;
- мучные блюда;
- жирные молочные продукты;
- фаст-фуд;
- кофе, черный чай.
Необходимо кушать натуральные продукты (овощи, зелень, фрукты, ягоды). Разрешается диетическое мясо (курица, кролик), рыба, крупы, бобовые, орехи.
Напитки готовят на основе ягод или лекарственных трав. Полезен зеленый, белый чай.
Медикаментозная терапия и хирургические вмешательства
В зависимости от вида заболевания, приведшего к уплотнению аорты, врач подбирает лекарства и прописывает схему лечения.
Назначают следующие лекарственные средства:
- при атеросклерозе: Фенофибрат, Холестирамин. Ловастатин, Холестипол. Они снижают уровень холестерина, улучшают качество кроветворения;
- при гипертонии: адреноблокаторы – Бисопролол, Атенолол; блокаторы кальциевых каналов — Амлодипин, Нифедипин. Они приводят в норму повышенное давление;
- при венерических и инфекционных болезнях назначается лечение антибиотиками и противовоспалительными средствами.
В случаях возникновения непроходимости аорты или нарушении работы клапанов показано хирургическое вмешательство.
Применяется трансплантация створки клапана, фиброзного кольца, протезирование части сосуда.
В тяжелых случаях атеросклероза, стеноза, закупорки — проводится операция стентирования, которая заключается в том, что пациенту ставится стент внутрь артерии.
Он представляет собой сетчатую трубочку, которую вставляют в поврежденный сосуд. С помощью гибкого катетера его подводят к месту сужения.
Затем баллон стента раздувают, используя специальное вещество, после чего стент расправляется и расширяет стенки артерии.

Народные средства
Бороться с заболеваниями сосудов можно и при помощи народных способов.
Отвары трав
Один из них — это настои на основе лекарственных растений. Для приготовления напитков используют травы, способствующие разжижению крови, укреплению стенок сосудов.
К ним относятся:
- фенхель;
- пустырник;
- сушица;
- шиповник;
- боярышник;
- любисток.
Травы можно заваривать по отдельности или делая смесь из них. В комплексе они усиливают полезные качества напитка. На 250 мл кипятка берут столовую ложку высушенной измельченной травы.
Ингредиенты заливают водой и оставляют настаиваться в течение 20-30 минут. После этого состав процеживают. Принимать настой нужно по половине стакана за полчаса до еды два-три раза в день.
Курс лечения – 4-6 недель.
Хрен и мед
От закупорки вен помогает смесь хрена и меда. Сухой корень растения измельчают в порошок и смешивают с чайной ложкой меда.
Состав употребляют за час до приема пищи 3-4 раза в день.
Чесночная настойка
Хорошо укрепляет сосуды настой чеснока. Берут несколько зубчиков, очищают и измельчают до состояния кашицы. Затем заливают стаканом кипящей воды.
Плотно накрывают крышкой и ставят в темное сухое место. Через неделю состав нужно перемешать, процедить и принимать по 20 мл три раза в день.
Прогноз
- Уплотнение стенок аорты врачи рассматривают как первую стадию развития сердечно-сосудистых заболеваний.
- При условии соблюдения правильного рациона и заботе о своем здоровье прогноз благоприятный — в 80% случаев перехода в более тяжелые патологии не наблюдается.
- При наличии дополнительных неблагоприятных факторов могут развиваться стенозы, тромбозы, аневризма.
Профилактика
Профилактические меры по предотвращению заболеваний кровеносных сосудов заключаются в следующих действиях:
- отказ от курения, злоупотребления алкоголем;
- ведение активного образа жизни, умеренные физические нагрузки;
- нормальный режим отдыха с полноценным сном;
- контроль за качеством питания, переход на рацион с упором на растительную пищу.
При наличии генетической предрасположенности к сосудистым патологиям необходимо периодически проходить обследование. А также это рекомендуется пожилым людям и пациентам с уже имеющимся уплотнением.
Дмитриева Юлия (Сыч) — В 2014 году с отличием окончила Саратовский государственный медицинский университет имени В. И. Разумовского. В настоящее время работает врачом-кардиологом 8 СГКБ в 1 к/о.
Аорта уплотнена: что это значит, симптомы и лечение недуга :
Во время диагностики сердечно-сосудистой системы часто обнаруживается, что у пациента аорта уплотнена. Что это значит? Насколько опасной может быть патология? Стоит ли волноваться по поводу данного диагноза? Какие методы лечения может предложить современная медицина? На какие симптомы нужно обращать внимание? Ответы на эти вопросы интересуют многих людей.
Что представляет собой патология
Во время кардиологического обследования нередко оказывается, что у пациента аорта удлинена, уплотнена. Что это значит? По тем или иным причинам стенки сосуда изменяются, теряют свою первоначальную структуру, становятся более плотными, но менее эластичными. Нередко на них образуются бляшки или фиброзные наросты.
Как известно, аорта является самым крупным сосудом в человеческом теле, который, собственно, и обеспечивает кровоток ко всем органам и тканям. Стоит отметить, что утолщение его стенок редко развивается само по себе. В большинстве случаев данная патология является симптомом других заболеваний.
Чем отличается утолщенная стенка от нормальной
Многие люди сталкиваются с такой проблемой, как уплотненная аорта. Что это значит? На самом деле существуют различия между нормальной и патологически измененной структурой сосуда.
Например, в норме стенка аорты мягкая и эластичная, но достаточно плотная, что обеспечивает нормальный ток крови и устойчивость к давлению, под которым кровь выбрасывается из сердца. Утолщенные ткани твердые и плотные. Более того, стенка сосуда ослаблена и более подвержена различным травмам, ведь она не способна растягиваться.
Основные причины развития недуга
В медицине выделяют несколько объяснений состоянию, при котором аорта развернута, уплотнена. Что это значит и чем может быть спровоцирован подобный недуг, станет понятно из следующего перечня:
- Наиболее распространенной причиной является атеросклероз сосудов. На фоне данного заболевания на внутренней поверхности стенки аорты начинают образовываться липидные бляшки. Это приводит к сужению просвета сосуда, повышению кровяного давления. Постепенно под бляшками начинает формироваться рубцовая ткань.
- К факторам риска относят и хроническую гипертензию. При подобной патологии кровяное давление повышается, в результате чего аорте приходится справляться с дополнительными нагрузками. Запускаются компенсаторные реакции, в результате которых стенка аорты утолщается. Тем не менее увеличение объема связано с разрастанием фиброзных структур, которые не способны к растяжению — сосуд постепенно теряет свои функции и становится более уязвимым.
- Причиной утолщения может быть аутоиммунной заболевание, которое сопровождается хроническими воспалениями сосудов, в том числе и аорты. К перечню опасных патологий относят склеродермию, узелковый периартериит, ревматоидный артрит.
- К уплотнению могут привести и инфекционные заболевания, включая сепсис, бруцеллез. В роли возбудителей могут выступать стрептококки, риккетсии, микроорганизмы, распространяющиеся во время полового акта.
- Потенциально опасной является и туберкулезная инфекция.
- Уплотнение аорты порой развивается на фоне длительного приема некоторых препаратов, в частности, сульфаниламидов, антибактериальных средств.
Потенциально опасные факторы
Если во время диагностических мероприятий врачи определили, что у вас аорта уплотнена, что это значит и как выглядит лечение — это, конечно, важные вопросы, но для начала стоит разобраться с механизмами развития. Вы уже знаете о том, какие заболевания и патологии могут привести к уплотнению стенок сосуда. Тем не менее есть и некоторые факторы риска, со списком которых также стоит ознакомиться:
- В первую очередь стоит упомянуть неправильное питание. Систематическое переедание, употребление продуктов, содержащих большое количество вредного холестерина, — все это ведет к развитию атеросклероза и, соответственно, изменению сосудистых стенок.
- Доказано, что имеет место наследственная предрасположенность.
- Не стоит забывать и о вредных привычках. Прием наркотиков, курение, частое употребление алкогольных напитков — все это попросту не может не сказаться на работе сердца и сосудов.
- А если сердце расширено влево, аорта уплотнена и расширена — это значит, что в вашем организме происходят процессы старения. Как свидетельствует статистика, изменение стенок сосудов намного чаще диагностируется именно у пожилых пациентов.
Уплотненная аорта: что это значит, основные симптомы
Подобное патологическое изменение сосудистых стенок в современной медицинской практике наблюдается довольно часто. Если аорта уплотнена, это значит, что патология в течение длительного времени может и вовсе никак себя не проявлять — изменение нередко диагностируются случайно, во время обследования. Но по мере прогрессирования недуга появляются определенные симптомы. Особенности клинической картины напрямую зависят от того, какой именно участок аорты был поражен:
- Если из-за ее изменения происходит сужение венечных сосудов, которые питают сердечную мышцу, то развивается стенокардия. Приступы ее со временем становятся все более частыми. В запущенных случаях патология может закончиться инфарктом миокарда.
- При поражении внутренней и наружной сонной артерии, как правило, уплотнена дуга аорты. Это значит, что кровоток к головному мозгу нарушен и возможно появление неврологических симптомов.
- Утолщение стенок брюшной части аорты сопровождается нарушением работы тех или иных органов брюшной полости. Некоторые пациенты жалуются на ноющие боли в животе. Кроме того, возможны различные нарушения пищеварения, что сопровождается потерей веса, физической слабостью. В более серьезных случаях недуг заканчивается перитонитом, что требует немедленной медицинской помощи.
- Порой изменение стенок аорты приводит к нарушению кровотока по сосудам, питающим ткани нижних конечностей. В таких случаях появляется боль в ногах, характерная хромота, которая не связана с травмами и прочими факторами.
Чем опасна патология: перечень возможных осложнений
Давайте уточним, стоит ли переживать и каких последствий ожидать, если во время обследования было обнаружено, что аорта уплотнена:
- Это значит, как уже упоминалось, что стенка аорты теряет эластичность. То есть при интенсивных физических нагрузках и резких колебаниях давления может начаться расслоение сосуда. Такое состояние чрезвычайно опасно, так как чревато разрывом аорты и массовым кровотечением.
- Кроме того, подобная патология по истечению некоторого времени может привести к аневризме. При этом формируется расширенный участок аорты с тонкими стенками, которые могут разорваться при повышенном давлении или воздействии прочих факторов.
- Патологические изменения стенки часто связаны с атеросклерозом. А это опасное заболевание, которое чревато тромбозом, закупоркой сосуда и даже летальным исходом для пациента.
- К числу прочих возможных осложнений относят и такие заболевания, как инсульт, инфаркт, перитонит.
Как вы, наверное, убедились, игнорировать подобную патологию нельзя ни в коем случае. Последствия недуга могут быть слишком серьезными. И даже если пациенту будет предоставлена необходимая хирургическая помощь, полное излечение все же не гарантировано.
Диагностические процедуры
Диагностика описываемой патологии включает в себя несколько этапов:
- Для начала пациент сдает нужные анализы, проходит обследование на наличие инфекций.
- Во время аускультативного обследования врач может услышать изменения в тонах аорты, отметить появление характерного шума.
- Информативным является рентгенографическое исследование, флюорография. Аорта уплотнена (что это значит и почему развивается, вы уже знаете), ее тень на снимке удлинена, возможно появление патологического разворота или нехарактерного изгиба по ходу сосуда.
- Золотым стандартом на сегодняшний день является контрастная ангиография. Во время этой процедуры врач может изучить особенности кровотока, увидеть те или иные отклонения.
- Также проводится ультразвуковое исследование, допплерография.
- Если врачу нужны дополнительные сведения, то пациента отправляют на магнитно-резонансную томографию. На трехмерных снимках врач может тщательно осмотреть и изучить структуру аорты, близлежащих органов.
Аорта уплотнена: что это значит? Лечение с помощью медикаментов
Схема терапии в данном случае зависит от причины появления уплотнений:
- При наличии гипертензии используются адреноблокаторы (например, «Бисопролол»), диуретики (эффективным считается «Верошпирон»), блокаторы медленных кальциевых каналов (хорошие результаты дают такие препараты, как «Амлодипин», «Нифедипин»).
- При атеросклерозе важно придерживаться правильной диеты. Применяются препараты, которые усиливают синтез желчных кислот (например, «Холестипол»), фибраты и лекарства, которые снижают уровень липипротеидов низкой плотности в крови.
- Если имеет место воспаление сосудов, то применяются нестероидные и стероидные противовоспалительные средства.
- При наличии инфекций используются антибиотики, противосифилитические препараты, противовирусные лекарства (в зависимости от природы возбудителя).
- Такие осложнения, как аневризма, повреждение клапанов сердца, перитонит, требуют немедленного хирургического вмешательства.
Советы насчет питания
Поскольку уплотнение аорты часто сопряжено с той или иной формой атеросклероза, то пациентам стоит соблюдать правильную диету.
Из рациона нужно исключить мучные изделия, жирные сорта рыбы, красное мясо, субпродукты, бобовые, колбасы, копчености, майонез, консервы, бульоны. Словом, продукты, содержащие большое количество вредного холестерина.
Их стоит заменить овощами, нежирным отварным мясом, несладкими фруктами. Важно отказаться от газированных напитков, кофе, крепкого чая.
Средства народной медицины
Сразу же стоит отметить, что самолечение в данном случае категорически запрещено. Безусловно, существует масса средств, предлагаемых травниками и народными знахарями.
Например, помогают отвары и настои из хмеля, травы клевера, мяты, пустырника, душицы, ягод боярышника и шиповника. При проблемах с кровообращением некоторые люди принимают настой из коры рябины.
Но стоит понимать, что перед началом использования подобных средств, нужно обязательно спросить совета у врача.
Прогнозы для пациентов
Во время диагностики часто обнаруживается, что стенки аорты уплотнены. Это значит, что пациенту необходимо лечение, так как примерно в 75-80 % случаев при правильно проведенной терапии развитие патологии удается восстановить. При этом ни качество, ни длительность жизни пациента не изменяется. Но, к сожалению, в 25-20 % уплотнение все-таки приводит к аневризме, расслоению и развитию прочих осложнений. Хотя в большинстве случаев подобные последствия связаны с отказом от медикаментозной терапии.
Даже если недуг не прогрессирует, пациенты должны регулярно проходить медицинские осмотры. Постоянный мониторинг поможет врачу вовремя обнаружить ухудшения и принять соответствующие меры предосторожности.
Уплотнения аорты: что это значит и чем опасно?
Аорта является самым крупным кровеносным сосудом в человеческом организме и питает практически все внутренние органы. Любые изменения в ее работе не могут не сказываться на здоровье человека. Кроме различных вариантов заболеваний, аорта бывает уплотнена. Что это значит? Уплотнение стенок крупнейшего сосуда является не самостоятельным диагнозом, а следствием другой патологии.
Что же такое уплотнение аорты? В нормальном состоянии стенки аорты имеют постоянную толщину на всем ее протяжении. По различным причинам, которые будут рассмотрены ниже, ее стенки в том или ином месте могут изменяться. Чем это опасно? Утолщенная стенка теряет эластичность, не может растягиваться так, как здоровая, соответственно, не способна нормально работать.
Кроме этого, утолщение стенки сужает просвет сосуда, через который крови сложнее проходить. Это приводит к тому, что органы, питающиеся от аорты, не получают достаточного количества кислорода и питательных веществ. Кровь задерживается в сердце и других сосудах, что пагубно на них влияет.
Причины уплотнения аорты
Какие заболевания могут вызвать уплотнение аорты:
- В первую очередь — гипертония. При данной болезни наблюдается постоянное повышение артериального давления, при котором на стенки сосудов оказывается очень большое давление. Под влиянием этого стенки аорты постепенно утолщаются и теряют свою эластичность. Гипертония является самым распространенным фактором, вызывающим уплотнение стенок аорты.
- На втором месте стоит такое заболевание, как атеросклероз сосудов. Если в крови человека повышается уровень холестерина, его излишки откладываются на стенках сосудов, в том числе и аорты. Таким образом возникают холестериновые бляшки. Тем более аорта является мышечно-эластичным сосудом, а они подвержены данному заболеванию в большей степени. Атеросклеротические бляшки сужают ее просвет и мешают нормальному току крови. Со временем они зарастают рубцовой тканью, не позволяя стенкам нормально растягиваться.
- Стенки бывают уплотнены и из-за различных инфекционных заболеваний. Это могут быть такие болезни, как скарлатина, бруцеллез, ревматизм, стрептококковая инфекция и другие.
- Аутоиммунные заболевания могут вызывать воспаление самой внутренней стенки аорты, что называется аортитом. Это также приводит к утолщению стенок.
- Аортит, а как следствие и уплотнение стенок могут вызывать и некоторые лекарственные препараты: антибиотики, сульфаниламиды. Поэтому не стоит назначать их себе самостоятельно и пользоваться ими бесконтрольно.
- Сифилис является одной из самых распространенных причин, вызывающих аортит. Уплотняется аорта при этом не сразу, а лишь через несколько лет, поэтому выявляется такой признак сифилитической инфекции в основном у людей после сорока лет, чаще у мужчин. Поражается обычно восходящая часть. Ее просвет не сужается, а, наоборот, расширяется, но при этом стенки теряют эластичность, а ведь именно в этом месте на них оказывается наибольшее давление. Иногда патологический процесс может затрагивать створки аортального клапана.
- На уплотнение аортальных стенок могут влиять и наследственные факторы. В таком случае данная патология может наблюдаться у лиц молодого возраста, а иногда даже у детей.
- Утолщение стенок может развиваться и с возрастом. Обычно оно сопровождается увеличенным в размерах сердцем и отклонением дуги аорты влево, что хорошо заметно на рентгеновских снимках.
Кроме основных причин существует ряд факторов, которые способствуют развитию уплотнения стенок аорты:
- Курение и употребление алкогольных напитков. Никотин, содержащийся в сигаретах, а также алкоголь, вызывают сужение сосудов и повышение артериального давления, что пагубно сказывается на стенках сосудов;
- Употребление в пищу большого количества жирных продуктов, богатых холестерином, который откладывается на стенках;
- Постоянное переедание.
Симптомы
Уплотнение аорты долгое время может протекать бессимптомно. Нередки случаи, когда его выявляют случайно, при проведении флюорографии или снимка какого-либо из отделов тела человека. Однако с течением времени, когда просвет сосуда сильно сужается и нарушается питание органов и тканей, появляются и первые симптомы. Специфических признаков, которые ясно указывали бы именно на данную патологию, не существует.
Симптомы уплотнения аорты сердца зависят от того, где именно располагается очаг поражения:
- При утолщении стенки у корня сосуда, на самом выходе из сердца, или в восходящей его части, страдает питание самого сердца. Проявляться это будет признаками стенокардии: боли за грудиной, учащенное сердцебиение. Уплотнение в этом месте грозит ишемией сердечной мышцы, что чревато таким серьезным осложнением, как инфаркт миокарда.
- Если уплотнена стенка аорты и ее нисходящая часть в грудном отделе, страдает в первую очередь головной мозг. Ему не хватает кислорода, что проявляется неврологической симптоматикой: частые головокружения, интенсивные головные боли, парезы, иногда обмороки. Кислородное голодание мозга является опасным состоянием и требует медицинской помощи.
- При уплотнении брюшной части сосуда появляются симптомы, характерные для заболеваний желудочно-кишечного тракта: боли в животе, нарушения пищеварения, человек может сильно похудеть. В тяжелых случаях развивается такое опасное состояние, как перитонит. Оно требует немедленного хирургического лечения.
- Если аорта уплотнена в брюшной части, может нарушаться кровообращение в нижних конечностях. При ходьбе возникают судороги и сильная боль, вынуждающая человека сильно хромать, а то и вовсе прекращать ходьбу. Подобные признаки характерны и для поражения вен нижних конечностей, однако, в этом случае боль не такая интенсивная.
Диагностика
Как уже было сказано выше, чаще всего уплотнение аорты выявляется случайно. Тем не менее есть ряд признаков, которые могут навести врача на мысль о подобной патологии:
- При измерении артериального давления наблюдается большая разница между верхним и нижним показателями;
- При прослушивании сердца слышен специфический шум, а также усиливается второй тон на аорте.
Для подтверждения уплотнения стенок аорты проводят следующие диагностические исследования:
- Рентгенографический снимок грудной полости в прямой и боковой проекциях. Врач-рентгенолог сможет разглядеть на снимке характерные изменения, подтверждающие патологию. Если подозревается изменение в брюшной части аорты, то делают снимок брюшной полости.
- Ультразвуковое исследование, допплерография. Эти методы позволяют более точно и локализованно изучить поврежденный участок сосуда, а также выявить нарушения кровообращения и изменения во внутренних органах, если таковые присутствуют.
- Магнитно-резонансная томография.
- Контрастная ангиография.
Лечение и профилактика
Лечение уплотнений дуги аорты и других ее частей, в первую очередь, должно быть направлено на устранение основного заболевания, которое вызвало данную патологию.
- Если причиной утолщения явилась гипертоническая болезнь, то назначают препараты для снижения артериального давления, мочегонные лекарственные средства, осуществляют постоянный контроль за давлением.
- При атеросклерозе необходимо снижать уровень холестерина в крови, а также применять препараты, разжижающие кровь, чтобы предупредить образование тромбов. Кроме принудительного снижения количества холестерина в данном случае важное значение имеет правильное питание. Не следует употреблять жирные, жареные продукты. Важно помнить, что такие продукты уплотнению аорты только способствуют.
- Если утолщение стенки произошло на фоне сифилитической болезни, ее лечением занимается врач-венеролог. Назначаются препараты для лечения сифилиса на любой его стадии.
Противовоспалительная терапия необходима при возникновении аортита. - Если патология вызвана возрастными изменениями, назначается поддерживающая терапия и правильный образ жизни.
Следует понимать, что уплотнение стенок сосудов – необратимый процесс. Можно эффективно лечить основное заболевание, но при этом утолщение никуда не денется. Если оно мешает нормальной работе внутренних органов, то встает вопрос о хирургической операции. Это может быть пластика сосуда, протезирование клапанов или самой стенки.
Важное значение для предупреждения прогрессирования заболевания и возникновения осложнений имеет правильный образ жизни:
- Отказ от вредных привычек;
- Соблюдение режима труда и отдыха;
- Достаточное количество сна;
- Прогулки пешком на свежем воздухе, но при этом необходимо следить за работой сердца, чтобы не перегружать его;
- Правильное рациональное питание без употребления продуктов, содержащих большое количество холестерина.
Независимо от того, чем вызвано уплотнение аорты, пациент должен обратиться к врачу, встать на учет и периодически проходить обследование для контроля за течением болезни. Данная патология опасна такими серьезными осложнениями, как перитонит, инфаркт миокарда, расслоение аорты, поэтому не стоит пытаться вылечить ее народными средствами, не обращаясь за медицинской помощью.
От чего бывает развернута аорта. Аорта развернута что это значит. Причины возникновения уплотнения аорты
Самое частое проявление заболеваний, поражающих аорту – изменение нормальной структуры ее стенок. Это значит, что уплотнение данного сосуда должно расцениваться не как отдельная болезнь, а лишь как симптом, говорящий о наличии определенной патологии.
Если патологические изменения аорты ограничены только уплотнением ее стенок – это не несет в себе большой опасности.
https://www.youtube.com/watch?v=ytpressru
Но некоторое прогностическое значение это состояние все же имеет. Аорта, как центральный артериальный сосуд организма, дает начало артериям, приносящим кровь абсолютно ко всем органам и тканям кроме легких.
Нагрузки, которые испытывают ее стенки очень большие. Поэтому даже минимальные патологические изменения (в том числе уплотнение аорты) со временем могут перерасти в тяжелые и даже в угрожающие жизни состояния:
- тромбоз – образование тромбов с закупоркой просвета;
- аневризму – аномальное расширение с истончением стенок;
- перекрытие просвета крупных артерий, исходящих из аорты;
- расслоение или разрыв стенок аорты, сопровождающееся молниеносным кровотечением.
Под уплотнением аорты не подразумевается диагноза, данный недостаток является частью заключения специалиста. После того, как пациенту проводится достаточно диагностических процедур, описывая состояние важного и крупного сосуда организма, медик включит дефект в свой отчет.
Современные разработки позволяют тщательно осмотреть аорту, исходя от ее корня и заканчивая осмотром брюшного участка.
Визуальное проявление дефекта может наступить лишь уже в преклонном возрасте. Многие пациенты живут, не зная о наличии патологии в своем организме. Признаки изменения сосуда будут проявляться в зависимости от пораженного участка (дуга аорты уплотнена, дефект в корне или затронуты иные части).

Отмечается, что в нисходящем отделе присутствует разделение на брюшную и грудную области, данные признаки будут иметь кардинальные отличия:
- За счет сонной артерии, через грудной отдел аорты, происходит кровоснабжение головного мозга. Как только происходит поражение сосудов в этой области, то у пациента можно отметить ярко выраженную неврологическую симптоматику. Общее самочувствие будет стабильно ухудшаться, в итоге, потребуется помощь медиков с возможной госпитализацией.
- Венечные сосуды будут сужены из-за уплотнения аорты. В конечном итоге у больного станут отмечаться приступы стенокардии, их частота будет расти. В случае запущенной ситуации, больной может получить инфаркт миокарда.
- Некоторые пациенты жалуются на боль в нижних конечностях, странную хромоту, что возникает без видимой причины и при отсутствии травмы. Такая картина складывается, когда поражаются сосуды, питающие кровью ноги человека.
- Брюшной отдел аорты, что имеет уплотнения стенки, характеризуется неприятными ощущениями в животе, ноющей болью. Иногда из-за нарушения пищеварения пациенты сильно теряют в весе. Тяжелые случаи предполагают наличие перитонита, отмечается лихорадочное состояние, острая боль, каменный живот и диспепсия.
Стоит отметить, что сегодня отмечается наличие подобных изменений не только у людей пожилого возраста. Относительно молодое население может иметь в анамнезе серьезные дефекты. К счастью, детские болезни такого типа почти не встречаются, исключением могут быть варианты наследственного фактора.
Интересный факт, но медицина отмечала случаи, когда в младшем возрасте врачи писали, что аорта умеренно уплотнена. Однако, дальнейшее развитие патологии было в замершем состоянии и серьезные изменения возникали уже в пожилой период.
Для того, чтобы вылечить патологию, предполагается проведение серьезной медикаментозной терапии. К подбору препаратов подходят тщательно, так как требуется целый комплекс мер.
- Пациенту может быть прописано консервативное лечение, помощь хирургов или комплекс мер для профилактики новых осложнений.
- При условии, что множественные патологии были получены из-за естественного процесса старения организма, рекомендован длительный прием ряда препаратов.
- Также, нелишним будет составление программы для того, чтобы оградить пациента от рецидивов и новых патологий. Это касается больных, что находятся в преклонном возрасте.
- Нужно отметить, что люди с данным диагнозом обязаны наблюдаться у специалиста. Им требуется регулярный осмотр для контроля лечения.
- Пациентам этой группы необходим прием таблеток для стабилизации артериального давления. Также, назначают пилюли для борьбы с атеросклерозом и средства, нормализующие обменные процессы в организме.
- Выявленные заболевания требуют скорейшего лечения, так как аорта может уплотняться еще больше. Купировать такое развитие событий обязательно.
- В некоторых случаях медики приходят к мнению, что больному требуется хирургическое вмешательство. Оценив сложность имеющегося процесса, назначают протезирование ил и пластику.
- Запущенные ситуации предполагают трансплантацию поврежденного органа, воспользовавшись услугами донора.
- В качестве профилактических мер следует полностью пересмотреть питание. Это касается не только количества, но и качества продуктов. Пациентам придется забыть про вредные привычки, курение и алкоголь усугубляют проблему.
- Людям нужно избегать стрессовых ситуаций и нервных потрясений. Также, физические нагрузки не должны быть в избытке, но и слишком пассивный образ жизни не рекомендован.
- В таком серьезном деле не стоит обращаться к методикам из народной медицины. Есть риск получить летальный исход вместо стабилизации состояния.
Во время диагностики сердечно-сосудистой системы часто обнаруживается, что у пациента аорта уплотнена. Что это значит? Насколько опасной может быть патология? Стоит ли волноваться по поводу данного диагноза?
В медицине выделяют несколько объяснений состоянию, при котором аорта развернута, уплотнена. Что это значит и чем может быть спровоцирован подобный недуг, станет понятно из следующего перечня:
- Наиболее распространенной причиной является атеросклероз сосудов. На фоне данного заболевания на внутренней поверхности стенки аорты начинают образовываться липидные бляшки. Это приводит к сужению просвета сосуда, повышению кровяного давления. Постепенно под бляшками начинает формироваться рубцовая ткань.
- К факторам риска относят и хроническую гипертензию. При подобной патологии кровяное давление повышается, в результате чего аорте приходится справляться с дополнительными нагрузками. Запускаются компенсаторные реакции, в результате которых стенка аорты утолщается. Тем не менее увеличение объема связано с разрастанием фиброзных структур, которые не способны к растяжению — сосуд постепенно теряет свои функции и становится более уязвимым.
- Причиной утолщения может быть аутоиммунной заболевание, которое сопровождается хроническими воспалениями сосудов, в том числе и аорты. К перечню опасных патологий относят склеродермию, узелковый периартериит, ревматоидный артрит.
- К уплотнению могут привести и инфекционные заболевания, включая сепсис, бруцеллез. В роли возбудителей могут выступать стрептококки, риккетсии, микроорганизмы, распространяющиеся во время полового акта.
- Потенциально опасной является и туберкулезная инфекция.
- Уплотнение аорты порой развивается на фоне длительного приема некоторых препаратов, в частности, сульфаниламидов, антибактериальных средств.
Подобное патологическое изменение сосудистых стенок в современной медицинской практике наблюдается довольно часто. Если аорта уплотнена, это значит, что патология в течение длительного времени может и вовсе никак себя не проявлять — изменение нередко диагностируются случайно, во время обследования.
- Если из-за ее изменения происходит сужение венечных сосудов, которые питают сердечную мышцу, то развивается стенокардия. Приступы ее со временем становятся все более частыми. В запущенных случаях патология может закончиться инфарктом миокарда.
- При поражении внутренней и наружной сонной артерии, как правило, уплотнена дуга аорты. Это значит, что кровоток к головному мозгу нарушен и возможно появление неврологических симптомов.
- Утолщение стенок брюшной части аорты сопровождается нарушением работы тех или иных органов брюшной полости. Некоторые пациенты жалуются на ноющие боли в животе. Кроме того, возможны различные нарушения пищеварения, что сопровождается потерей веса, физической слабостью. В более серьезных случаях недуг заканчивается перитонитом, что требует немедленной медицинской помощи.
- Порой изменение стенок аорты приводит к нарушению кровотока по сосудам, питающим ткани нижних конечностей. В таких случаях появляется боль в ногах, характерная хромота, которая не связана с травмами и прочими факторами.
Схема терапии в данном случае зависит от причины появления уплотнений:
- При наличии гипертензии используются адреноблокаторы (например, «Бисопролол»), диуретики (эффективным считается «Верошпирон»), блокаторы медленных кальциевых каналов (хорошие результаты дают такие препараты, как «Амлодипин», «Нифедипин»).
- При атеросклерозе важно придерживаться правильной диеты. Применяются препараты, которые усиливают синтез желчных кислот (например, «Холестипол»), фибраты и лекарства, которые снижают уровень липипротеидов низкой плотности в крови.
- Если имеет место воспаление сосудов, то применяются нестероидные и стероидные противовоспалительные средства.
- При наличии инфекций используются антибиотики, противосифилитические препараты, противовирусные лекарства (в зависимости от природы возбудителя).
- Такие осложнения, как аневризма, повреждение клапанов сердца, перитонит, требуют немедленного хирургического вмешательства.
Одним из наиболее крупных сосудов организма человека является аорта.
Ее предназначение заключается в обеспечении процесса кровообращения всех органов и систем (кроме легких).
Чтобы этот процесс проходил нормально, стенки аорты имеют определенную толщину и строение.
Аорта развернута уплотнена что это значит
И хотя процессы, происходящие в аорте при атеросклерозе, отличаются от тех, что можно наблюдать во время старения, до сих пор нет однозначного ответа на вопрос о том, отчего же начинает развитие атеросклероз.
При этой патологии стенки аорты уплотнены, то есть внутри нее постепенно формируются пустые, выступающие в просвет образования, содержащие только жиры (липиды) – так называемые атеросклеротические бляшки.
В некоторых случаях первые признаки этих бляшек можно обнаружить даже у детей. Правда, затем развитие заболевания будет приостановлено до пожилого возраста. Такое явление встречается у лиц, имеющих наследственную предрасположенность к уплотнению стенок аорты. Немалую роль играет в этом и нарушенный жировой обмен, который приводит в итоге к повышению уровня жиросодержащих веществ в крови.
Если же аорта сердца уплотнена и расширена – это заболевание называют аневризмой. Она опасна возможностью разрыва, который в 75% приводит к смертельному исходу. Кстати, у мужчин эта патология наблюдается чаще, чем у женщин.
Во время кардиологического обследования нередко оказывается, что у пациента аорта удлинена, уплотнена. Что это значит? По тем или иным причинам стенки сосуда изменяются, теряют свою первоначальную структуру, становятся более плотными, но менее эластичными. Нередко на них образуются бляшки или фиброзные наросты.
Как известно, аорта является самым крупным сосудом в человеческом теле, который, собственно, и обеспечивает кровоток ко всем органам и тканям. Стоит отметить, что утолщение его стенок редко развивается само по себе. В большинстве случаев данная патология является симптомом других заболеваний.
Давайте уточним, стоит ли переживать и каких последствий ожидать, если во время обследования было обнаружено, что аорта уплотнена:
- Это значит, как уже упоминалось, что стенка аорты теряет эластичность. То есть при интенсивных физических нагрузках и резких колебаниях давления может начаться расслоение сосуда. Такое состояние чрезвычайно опасно, так как чревато разрывом аорты и массовым кровотечением.
- Кроме того, подобная патология по истечению некоторого времени может привести к аневризме. При этом формируется расширенный участок аорты с тонкими стенками, которые могут разорваться при повышенном давлении или воздействии прочих факторов.
- Патологические изменения стенки часто связаны с атеросклерозом. А это опасное заболевание, которое чревато тромбозом, закупоркой сосуда и даже летальным исходом для пациента.
- К числу прочих возможных осложнений относят и такие заболевания, как инсульт, инфаркт, перитонит.
Как вы, наверное, убедились, игнорировать подобную патологию нельзя ни в коем случае. Последствия недуга могут быть слишком серьезными. И даже если пациенту будет предоставлена необходимая хирургическая помощь, полное излечение все же не гарантировано.
Дата публикации статьи: 29.06.2018